JavaScript is disabled in your browser. Please enable JavaScript to view this website.
AB155103

Anti-Ran antibody [EPR10791(B)]

Be the first to review this product! Submit a review

|

(7 Publications)

Rabbit Recombinant Monoclonal RAN antibody. Suitable for ICC/IF, IP, WB, Flow Cyt (Intra) and reacts with Human, Mouse, Rat samples. Cited in 7 publications.

View Alternative Names

ARA24, OK/SW-cl.81, RAN, GTP-binding nuclear protein Ran, Androgen receptor-associated protein 24, GTPase Ran, Ras-like protein TC4, Ras-related nuclear protein

5 Images
Flow Cytometry (Intracellular) - Anti-Ran antibody [EPR10791(B)] (AB155103)
  • Flow Cyt (Intra)

Unknown

Flow Cytometry (Intracellular) - Anti-Ran antibody [EPR10791(B)] (AB155103)

Intracellular Flow Cytometry analysis of HeLa (Human cervix adenocarcinoma epithelial cell) cells labeling Ran with purified ab155103 at 1/100 dilution (10μg/mL) (Red). Cells were fixed with 4% Paraformaldehyde and permeabilised with 90% Methanol. A Goat anti rabbit IgG (Alexa Fluor® 488, ab150077) secondary antibody was used at 1/2000. Isotype control - Rabbit monoclonal IgG (Black). Unlabeled control - Cell without incubation with primary antibody and secondary antibody (Blue).

Immunocytochemistry/ Immunofluorescence - Anti-Ran antibody [EPR10791(B)] (AB155103)
  • ICC/IF

Unknown

Immunocytochemistry/ Immunofluorescence - Anti-Ran antibody [EPR10791(B)] (AB155103)

Immunocytochemistry/ Immunofluorescence analysis of HeLa (Human cervix adenocarcinoma epithelial cell) cells labeling Ran with purified ab155103 at 1/100 dilution (10 μg/mL). Cells were fixed in 100% Methanol and permeabilized with None. Cells were counterstained with ab195889 Anti-alpha Tubulin antibody [DM1A] - Microtubule Marker (Alexa Fluor® 594) 1/200 (2.5 μg/ml). Goat anti rabbit IgG (Alexa Fluor® 488, ab150077) was used as the secondary antibody at 1/1000 (2 μg/mL) dilution. DAPI (blue) was used as nuclear counterstain. PBS instead of the primary antibody was used as the secondary antibody only control.

Immunoprecipitation - Anti-Ran antibody [EPR10791(B)] (AB155103)
  • IP

Unknown

Immunoprecipitation - Anti-Ran antibody [EPR10791(B)] (AB155103)

Purified ab155103 at 1/50 dilution (2 μg) immunoprecipitating Ran in HeLa whole cell lysate.
Lane 1 (input) : HeLa (Human cervix adenocarcinoma epithelial cell) whole cell lysate 10 μg
Lane 2 (+) : ab155103 + HeLa whole cell lysate.
Lane 3 (-) : Rabbit monoclonal IgG (ab172730) instead of ab155103 in HeLa whole cell lysate.
VeriBlot for IP Detection Reagent (HRP) (ab131366) (1/1000 dilution) was used for Western blotting.
Blocking Buffer and concentration : 5% NFDM/TBST.
Diluting buffer and concentration : 5% NFDM/TBST.
Observed band size : 24 kDa

All lanes:

Immunoprecipitation - Anti-Ran antibody [EPR10791(B)] (ab155103)

Predicted band size: 24 kDa,43 kDa

false

Western blot - Anti-Ran antibody [EPR10791(B)] (AB155103)
  • WB

Unknown

Western blot - Anti-Ran antibody [EPR10791(B)] (AB155103)

We are unsure how to define the extra bands.

Lanes 1, 2, 3, 5, 6, 7 and 8:

Western blot - Anti-Ran antibody [EPR10791(B)] (ab155103) at 1/1000 dilution

Lane 4:

Western blot - Anti-Ran antibody [EPR10791(B)] - BSA and Azide free (<a href='/en-us/products/primary-antibodies/ran-antibody-epr10791b-bsa-and-azide-free-ab249192'>ab249192</a>) at 1/1000 dilution

Lane 1:

HepG2 (Human hepatocellular carcinoma epithelial cell) whole cell lysate at 20 µg

Lane 2:

LoVo (Human colorectal adenocarcinoma epithelial cell) whole cell lysate at 20 µg

Lane 3:

Jurkat (Human T cell leukemia T lymphocyte) whole cell lysate at 20 µg

Lane 4:

HeLa (Human cervix adenocarcinoma epithelial cell) whole cell lysate at 20 µg

Lane 5:

C6 (Rat glial tumor glial cell) whole cell lysate at 20 µg

Lane 6:

Raw 264.7 (Mouse Abelson murine leukemia virus-induced tumor macrophage) whole cell lysate at 20 µg

Lane 7:

PC-12 (Rat adrenal gland pheochromocytoma) whole cell lysate at 20 µg

Lane 8:

NIH/3T3 (Mouse embryonic fibroblast) whole cell lysate at 20 µg

Secondary

All lanes:

Western blot - Goat Anti-Rabbit IgG H&L (HRP) (<a href='/en-us/products/secondary-antibodies/goat-rabbit-igg-h-l-hrp-ab97051'>ab97051</a>) at 1/20000 dilution

Predicted band size: 24 kDa

Observed band size: 24 kDa

false

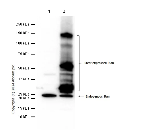
Western blot - Anti-Ran antibody [EPR10791(B)] (AB155103)
  • WB

Lab

Western blot - Anti-Ran antibody [EPR10791(B)] (AB155103)

Blocking/Diluting buffer and concentration 5% NFDM/TBST The bands observed at 30kDa, 60kDa and 150kDa should be monomer, dimer and polymer respectively.

All lanes:

Western blot - Anti-Ran antibody [EPR10791(B)] (ab155103) at 1/1000 dilution

Lane 1:

HEK-293T transfected with an empty vector whole cell lysate at 20 µg

Lane 2:

HEK-293T transfected with a human Ran expression vector containing a Flag tag whole cell lysate at 20 µg

Secondary

All lanes:

Western blot - Goat Anti-Rabbit IgG H&L (HRP) (<a href='/en-us/products/secondary-antibodies/goat-rabbit-igg-h-l-hrp-ab97051'>ab97051</a>) at 1/20000 dilution

Observed band size: 24 kDa,30 kDa,60 kDa,150 kDa

false

Exposure time: 7s

  • Carrier free

    Anti-Ran antibody [EPR10791(B)] - BSA and Azide free

Key facts

Host species

Rabbit

Clonality

Monoclonal

Clone number

EPR10791(B)

Isotype

IgG

Carrier free

No

Reacts with

Mouse, Rat, Human

Applications

Flow Cyt (Intra), ICC/IF, WB, IP

applications

Immunogen

The exact immunogen used to generate this antibody is proprietary information.

Reactivity data

{ "title": "Reactivity Data", "filters": { "stats": ["", "Species", "Dilution Info", "Notes"], "tabs": { "all-applications": {"fullname" : "All Applications", "shortname": "All Applications"}, "ICCIF" : {"fullname" : "Immunocytochemistry/ Immunofluorescence", "shortname":"ICC/IF"}, "IP" : {"fullname" : "Immunoprecipitation", "shortname":"IP"}, "WB" : {"fullname" : "Western blot", "shortname":"WB"}, "FlowCytIntra" : {"fullname" : "Flow Cytometry (Intracellular)", "shortname":"Flow Cyt (Intra)"} }, "product-promise": { "all": "all", "testedAndGuaranteed": "tested", "guaranteed": "expected", "predicted": "predicted", "notRecommended": "not-recommended" } }, "values": { "Human": { "ICCIF-species-checked": "testedAndGuaranteed", "ICCIF-species-dilution-info": "1/100", "ICCIF-species-notes": "<p><strong>For unpurified use at 1/250 - 1/500.</strong></p>", "IP-species-checked": "testedAndGuaranteed", "IP-species-dilution-info": "1/50", "IP-species-notes": "<p><strong>For unpurified use at 1/10 - 1/100.</strong></p>", "WB-species-checked": "testedAndGuaranteed", "WB-species-dilution-info": "1/1000", "WB-species-notes": "<p><strong>For unpurified use at 1/1000 - 1/10000.</strong></p>", "FlowCytIntra-species-checked": "testedAndGuaranteed", "FlowCytIntra-species-dilution-info": "1/100", "FlowCytIntra-species-notes": "<p>For unpurified use at 1/100 - 1/1000. <a href='/en-us/products/primary-antibodies/rabbit-igg-monoclonal-epr25a-isotype-control-ab172730'>ab172730</a> - Rabbit monoclonal IgG, is suitable for use as an isotype control with this antibody.</p>" }, "Mouse": { "ICCIF-species-checked": "guaranteed", "ICCIF-species-dilution-info": "", "ICCIF-species-notes": "", "IP-species-checked": "guaranteed", "IP-species-dilution-info": "", "IP-species-notes": "", "WB-species-checked": "testedAndGuaranteed", "WB-species-dilution-info": "1/1000", "WB-species-notes": "<p><strong>For unpurified use at 1/1000 - 1/10000.</strong></p>", "FlowCytIntra-species-checked": "guaranteed", "FlowCytIntra-species-dilution-info": "", "FlowCytIntra-species-notes": "" }, "Rat": { "ICCIF-species-checked": "guaranteed", "ICCIF-species-dilution-info": "", "ICCIF-species-notes": "", "IP-species-checked": "guaranteed", "IP-species-dilution-info": "", "IP-species-notes": "", "WB-species-checked": "testedAndGuaranteed", "WB-species-dilution-info": "1/1000", "WB-species-notes": "<p><strong>For unpurified use at 1/1000 - 1/10000.</strong></p>", "FlowCytIntra-species-checked": "guaranteed", "FlowCytIntra-species-dilution-info": "", "FlowCytIntra-species-notes": "" } } }

Product details

Patented technology
Our RabMAb® technology is a patented hybridoma-based technology for making rabbit monoclonal antibodies. For details on our patents, please refer to RabMAb® patents.

What are the advantages of a recombinant monoclonal antibody?
This product is a recombinant monoclonal antibody, which offers several advantages including:

  • - High batch-to-batch consistency and reproducibility
  • - Improved sensitivity and specificity
  • - Long-term security of supply
  • - Animal-free batch production

For more information, read more on recombinant antibodies.

Properties and storage information

Form
Liquid
Purification technique
Affinity purification Protein A
Storage buffer
Preservative: 0.01% Sodium azide Constituents: PBS, 40% Glycerol (glycerin, glycerine), 0.05% BSA
Shipped at conditions
Blue Ice
Appropriate short-term storage duration
1-2 weeks
Appropriate short-term storage conditions
+4°C
Appropriate long-term storage conditions
-20°C
Aliquoting information
Upon delivery aliquot
Storage information
Avoid freeze / thaw cycle

Supplementary information

This supplementary information is collated from multiple sources and compiled automatically.

Ran also known as Ras-related nuclear protein is a small GTP-binding protein with a mass of approximately 24 kDa. It localizes mainly in the nucleus and cytoplasm of cells and is highly expressed in actively dividing cells including various types of tumors. Ran plays a mechanical role in nucleocytoplasmic transport by facilitating the transport of proteins and ribonucleic acids through the nuclear pore complex. This protein belongs to the Ras superfamily of small GTPases which cycle between active GTP-bound and inactive GDP-bound states.
Biological function summary

Ran is a central part of the nucleocytoplasmic transport complex and directly participates in the regulation of genome organization and cell cycle progression. Ran's GTP-bound state helps maintain nuclear import and export balance supporting chromatin condensation and mitotic spindle assembly. This protein's complex involvement in the chromosomal region maintenance highlights its importance in cellular homeostasis emphasizing its role in organisms' growth and development.

Pathways

The mechanical functions of Ran impact the Ran GTPase pathway known for regulating nucleocytoplasmic transport and mitotic spindle organization. In the Ran cycle the protein works closely with RCC1 its guanine nucleotide exchange factor and RanGAP1 the GTPase-activating protein. These interactions are essential during cell division particularly for spindle assembly. Ran also aligns with pathways involving importins and exportins affecting protein export and nuclear import rates vital for cellular cyclic processes.

Ran has implications in cancer and neurodegenerative conditions. The protein's overexpression or dysfunction often correlate with various cancers due to its role in cell division and genetic material organization making it a focal point for cancer research. Additionally changes in Ran's regulatory pathways may influence neurodegenerative diseases by affecting nucleocytoplasmic transport in neurons. In these disorders Ran interacts with proteins such as CRM1 and others involved in the transport machinery highlighting its potential as a therapeutic target.

Product protocols

For this product, it's our understanding that no specific protocols are required. You can visit:

Target data

GTPase involved in nucleocytoplasmic transport, participating both to the import and the export from the nucleus of proteins and RNAs (PubMed : 10400640, PubMed : 17209048, PubMed : 26272610, PubMed : 27306458, PubMed : 8276887, PubMed : 8636225, PubMed : 8692944, PubMed : 8896452, PubMed : 9351834, PubMed : 9428644, PubMed : 9822603). Switches between a cytoplasmic GDP- and a nuclear GTP-bound state by nucleotide exchange and GTP hydrolysis (PubMed : 11336674, PubMed : 26272610, PubMed : 29040603, PubMed : 7819259, PubMed : 8636225, PubMed : 8692944, PubMed : 8896452, PubMed : 9351834, PubMed : 9428644, PubMed : 9822603). Nuclear import receptors such as importin beta bind their substrates only in the absence of GTP-bound RAN and release them upon direct interaction with GTP-bound RAN, while export receptors behave in the opposite way. Thereby, RAN controls cargo loading and release by transport receptors in the proper compartment and ensures the directionality of the transport (PubMed : 8896452, PubMed : 9351834, PubMed : 9428644). Interaction with RANBP1 induces a conformation change in the complex formed by XPO1 and RAN that triggers the release of the nuclear export signal of cargo proteins (PubMed : 20485264). RAN (GTP-bound form) triggers microtubule assembly at mitotic chromosomes and is required for normal mitotic spindle assembly and chromosome segregation (PubMed : 10408446, PubMed : 29040603). Required for normal progress through mitosis (PubMed : 12194828, PubMed : 29040603, PubMed : 8421051). The complex with BIRC5/survivin plays a role in mitotic spindle formation by serving as a physical scaffold to help deliver the RAN effector molecule TPX2 to microtubules (PubMed : 18591255). Acts as a negative regulator of the kinase activity of VRK1 and VRK2 (PubMed : 18617507). Enhances AR-mediated transactivation. Transactivation decreases as the poly-Gln length within AR increases (PubMed : 10400640).
See full target information RAN

Publications (7)

Recent publications for all applications. Explore the full list and refine your search

Acta pharmaceutica Sinica. B 15:3092-3106 PubMed40654364

2025

ALKBH3-regulated mA of ALDOA potentiates glycolysis and doxorubicin resistance of triple negative breast cancer cells.

Applications

Unspecified application

Species

Unspecified reactive species

Yuhua Deng,Zhiyan Chen,Peixian Chen,Yaming Xiong,Chuling Zhang,Qiuyuan Wu,Huiqi Huang,Shuqing Yang,Kun Zhang,Tiancheng He,Wei Li,Guolin Ye,Wei Luo,Hongsheng Wang,Dan Zhou

The Journal of biological chemistry 300:107964 PubMed39510185

2024

The noncanonical RNA-binding protein RAN stabilizes the mRNA of intranuclear stress granule assembly factor G3BP1 in nasopharyngeal carcinoma.

Applications

Unspecified application

Species

Unspecified reactive species

Pan-Yang Yang,Zhenyu Yang,Jiawei Lv,Pei-Yi Jiang,Ting-Qiu Quan,Zhuo-Hui Huang,Xu-Dong Xu,Rui Guo,Denghui Wei,Ying Sun

Biology direct 17:41 PubMed36528654

2022

LINC00858 stabilizes RAN expression and promotes metastasis of gastric cancer.

Applications

Unspecified application

Species

Unspecified reactive species

Yunxin Lu,Qi Meng,Long Bai,Ruobing Wang,Yong Sun,Jiaqi Li,Jun Fan,Tian Tian

Cells 11: PubMed36429088

2022

JMJD1C Regulates Megakaryopoiesis in In Vitro Models through the Actin Network.

Applications

Unspecified application

Species

Unspecified reactive species

Jialing Wang,Xiaodan Liu,Haixia Wang,Lili Qin,Anhua Feng,Daoxin Qi,Haihua Wang,Yao Zhao,Lihua Kong,Haiying Wang,Lin Wang,Zhenbo Hu,Xin Xu

Frontiers in cellular neuroscience 15:742763 PubMed34658796

2021

Mislocalization of Nucleocytoplasmic Transport Proteins in Human Huntington's Disease PSC-Derived Striatal Neurons.

Applications

Unspecified application

Species

Unspecified reactive species

Jenny Lange,Alison Wood-Kaczmar,Aneesa Ali,Sahar Farag,Rhia Ghosh,Jennifer Parker,Caroline Casey,Yumiko Uno,Akiyoshi Kunugi,Patrizia Ferretti,Ralph Andre,Sarah J Tabrizi

Genes to cells : devoted to molecular & cellular m 24:338-353 PubMed30821042

2019

Roles of Nup133, Nup153 and membrane fenestrations in assembly of the nuclear pore complex at the end of mitosis.

Applications

Unspecified application

Species

Unspecified reactive species

Şükriye Bilir,Tomoko Kojidani,Chie Mori,Hiroko Osakada,Shouhei Kobayashi,Takako Koujin,Yasushi Hiraoka,Tokuko Haraguchi

Proceedings of the National Academy of Sciences of 111:E2261-70 PubMed24843141

2014

Mechanisms controlling the smooth muscle cell death in progeria via down-regulation of poly(ADP-ribose) polymerase 1.

Applications

Unspecified application

Species

Unspecified reactive species

Haoyue Zhang,Zheng-Mei Xiong,Kan Cao
View all publications

Product promise

We are committed to supporting your work with high-quality reagents, and we're here for you every step of the way. In the unlikely event that one of our products does not perform as expected, you're protected by our Product Promise.
For full details, please see our Terms & Conditions

Please note: All products are 'FOR RESEARCH USE ONLY. NOT FOR USE IN DIAGNOSTIC OR THERAPEUTIC PROCEDURES'.

For licensing inquiries, please contact partnerships@abcam.com