JavaScript is disabled in your browser. Please enable JavaScript to view this website.
AB264129

Anti-RanBP1 antibody

Be the first to review this product! Submit a review

|

(0 Publication)

Rabbit Polyclonal RanBP1 antibody. Suitable for IHC-P, IP, WB and reacts with Human samples. Immunogen corresponding to Synthetic Peptide within Human RANBP1 aa 1-50.

View Alternative Names

Ran-specific GTPase-activating protein, Ran-binding protein 1, RanBP1, RANBP1

3 Images
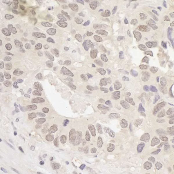
Immunohistochemistry (Formalin/PFA-fixed paraffin-embedded sections) - Anti-RanBP1 antibody (AB264129)
  • IHC-P

Unknown

Immunohistochemistry (Formalin/PFA-fixed paraffin-embedded sections) - Anti-RanBP1 antibody (AB264129)

Immunohistochemical analysis of formalin-fixed, paraffin-embedded human colon carcinoma tissue labeling RanBP1 with ab264129 at 1/5,000 dilution. Detection : DAB.

Immunoprecipitation - Anti-RanBP1 antibody (AB264129)
  • IP

Supplier Data

Immunoprecipitation - Anti-RanBP1 antibody (AB264129)

RanBP1 was immunoprecipitated from 1mg of HeLa (Human epithelial cell line from cervix adenocarcinoma) whole cell lysate with ab264129 at 3μg/mg lysate. Western blot was performed from the immunoprecipitate using ab264129 at 1μg/ml.

Lane 1 : ab264129 IP in HeLa whole cell lysate, lot 1.
Lane 2 : ab264129 IP in HeLa whole cell lysate, lot 2.
Lane 3 : Control IgG.

Exposure time : 3 mins.

All lanes:

Immunoprecipitation - Anti-RanBP1 antibody (ab264129)

Predicted band size: 23 kDa

false

Western blot - Anti-RanBP1 antibody (AB264129)
  • WB

Supplier Data

Western blot - Anti-RanBP1 antibody (AB264129)

4-20% SDS-PAGE.

All lanes:

Western blot - Anti-RanBP1 antibody (ab264129) at 0.4 µg/mL

Lane 1:

HeLa (Human epithelial cell line from cervix adenocarcinoma) whole cell lysate at 50 µg

Lane 2:

HeLa whole cell lysate at 15 µg

Lane 3:

HeLa whole cell lysate at 5 µg

Lane 4:

HEK-293T (Human epithelial cell line from embryonic kidney transformed with large T antigen) whole cell lysate at 50 µg

Predicted band size: 23 kDa

false

Exposure time: 3min

Key facts

Host species

Rabbit

Clonality

Polyclonal

Isotype

IgG

Carrier free

No

Reacts with

Human

Applications

IP, IHC-P, WB

applications

Immunogen

Synthetic Peptide within Human RANBP1 aa 1-50. The exact immunogen used to generate this antibody is proprietary information.

P43487

Reactivity data

{ "title": "Reactivity Data", "filters": { "stats": ["", "Species", "Dilution Info", "Notes"], "tabs": { "all-applications": {"fullname" : "All Applications", "shortname": "All Applications"}, "IHCP" : {"fullname" : "Immunohistochemistry (Formalin/PFA-fixed paraffin-embedded sections)", "shortname":"IHC-P"}, "IP" : {"fullname" : "Immunoprecipitation", "shortname":"IP"}, "WB" : {"fullname" : "Western blot", "shortname":"WB"} }, "product-promise": { "all": "all", "testedAndGuaranteed": "tested", "guaranteed": "expected", "predicted": "predicted", "notRecommended": "not-recommended" } }, "values": { "Human": { "IHCP-species-checked": "testedAndGuaranteed", "IHCP-species-dilution-info": "1/2000 - 1/10000", "IHCP-species-notes": "<p></p> Perform heat-mediated antigen retrieval with citrate buffer pH 6 before commencing with IHC staining protocol.", "IP-species-checked": "testedAndGuaranteed", "IP-species-dilution-info": "2-5 µg/mg of lysate", "IP-species-notes": "<p></p>", "WB-species-checked": "testedAndGuaranteed", "WB-species-dilution-info": "1/1000 - 1/5000", "WB-species-notes": "<p></p>" } } }

Properties and storage information

Form
Liquid
Purification technique
Affinity purification Immunogen
Storage buffer
pH: 7 - 8 Preservative: 0.09% Sodium azide Constituents: Tris citrate/phosphate
Shipped at conditions
Blue Ice
Appropriate short-term storage duration
1-2 weeks
Appropriate short-term storage conditions
+4°C
Appropriate long-term storage conditions
-20°C
Aliquoting information
Upon delivery aliquot
Storage information
Avoid freeze / thaw cycle

Supplementary information

This supplementary information is collated from multiple sources and compiled automatically.

RanBP1 also known as Ran-binding protein 1 is an important player in the regulation of the Ran GTPase cycle integral to transport processes across the nuclear envelope. This protein has a mass of about 23 kDa. In humans RanBP1 shows expression in various tissues with higher levels observed in testis and brain. It directly interacts with Ran a small GTPase helping to modulate its activity by promoting the conversion between the active GTP-bound form and the inactive GDP-bound form.
Biological function summary

RanBP1 functions closely with Ran GTPase in the nucleocytoplasmic transport system where it is part of a complex with Ran and other factors like importins and exportins. It aids in the stabilization of the Ran-GTPase complex facilitating the release of cargo molecules and ensuring efficient transport cycles within the cells. RanBP1 in conjunction with Ran regulates the dynamic transport of proteins and RNA essential for maintaining cellular compartmentalization.

Pathways

The RanBP1 protein plays a role in the Ran GTPase cycle and nucleocytoplasmic transport pathways. These pathways are essential to cellular dynamics affecting overall transport between the cytoplasm and the nucleus. Furthermore RanBP1 affects interactions with proteins such as RanGAP1 contributing to the regulation of Ran activity cycles and supporting cellular functions including mitosis and RNA processing.

Research indicates that alterations in RanBP1 expression and function relate to cancer progression and neurodegenerative conditions. Misregulation of RanBP1 can affect nuclear transport balance impacting cancer-promoting pathways. Its interaction with Ran and its pathway-related proteins like importin beta suggests a role in tumorigenesis by contributing to aberrant cell cycle regulation and mitotic errors while its importance in neuron function suggests involvement in neurodegenerative disease mechanisms.

Product protocols

For this product, it's our understanding that no specific protocols are required. You can visit:

Target data

Plays a role in RAN-dependent nucleocytoplasmic transport. Alleviates the TNPO1-dependent inhibition of RAN GTPase activity and mediates the dissociation of RAN from proteins involved in transport into the nucleus (By similarity). Induces a conformation change in the complex formed by XPO1 and RAN that triggers the release of the nuclear export signal of cargo proteins (PubMed : 20485264). Promotes the disassembly of the complex formed by RAN and importin beta. Promotes dissociation of RAN from a complex with KPNA2 and CSE1L (By similarity). Required for normal mitotic spindle assembly and normal progress through mitosis via its effect on RAN (PubMed : 17671426). Does not increase the RAN GTPase activity by itself, but increases GTP hydrolysis mediated by RANGAP1 (PubMed : 7882974). Inhibits RCC1-dependent exchange of RAN-bound GDP by GTP (PubMed : 7616957, PubMed : 7882974).
See full target information RANBP1

Product promise

We are committed to supporting your work with high-quality reagents, and we're here for you every step of the way. In the unlikely event that one of our products does not perform as expected, you're protected by our Product Promise.
For full details, please see our Terms & Conditions

Please note: All products are 'FOR RESEARCH USE ONLY. NOT FOR USE IN DIAGNOSTIC OR THERAPEUTIC PROCEDURES'.

For licensing inquiries, please contact partnerships@abcam.com