JavaScript is disabled in your browser. Please enable JavaScript to view this website.
AB315458

Anti-RanBP2 antibody [EPR28204-184]

  • BOND RX™ Validated
  • 20ul selling size
  • RabMAb
  • Recombinant
  • What is this?

Be the first to review this product! Submit a review

|

(0 Publication)

Rabbit Recombinant Monoclonal RanBP2 antibody. Suitable for IHC-P, ICC/IF, IP, WB, Flow Cyt (Intra) and reacts with Human samples.

View Alternative Names

NUP358, RANBP2, E3 SUMO-protein ligase RanBP2, 358 kDa nucleoporin, Nuclear pore complex protein Nup358, Nucleoporin Nup358, Ran-binding protein 2, p270, RanBP2

8 Images
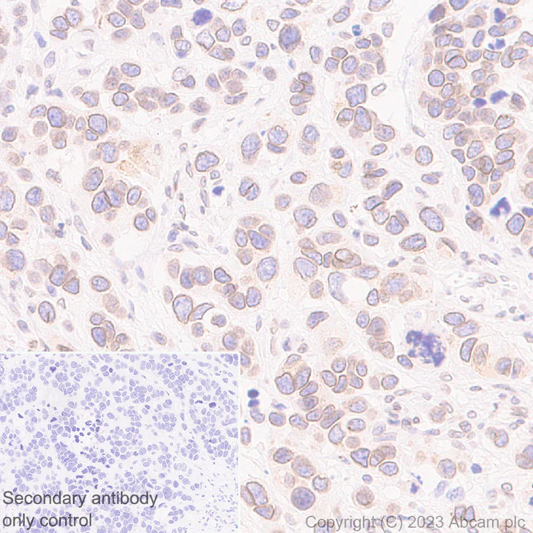
Immunohistochemistry (Formalin/PFA-fixed paraffin-embedded sections) - Anti-RanBP2 antibody [EPR28204-184] (AB315458)
  • IHC-P

Supplier Data

Immunohistochemistry (Formalin/PFA-fixed paraffin-embedded sections) - Anti-RanBP2 antibody [EPR28204-184] (AB315458)

Immunohistochemical analysis of paraffin-embedded Human gastric carcinoma tissue labeling RanBP2 with ab315458 at 1/500 (1.036 ug/ml) dilution, followed by a ready to use LeicaDS9800 (Bond™ Polymer Refine Detection).

Positive staining on human gastric carcinoma. The section was incubated with ab315458 for 30 mins at room temperature.
The immunostaining was performed on a Leica Biosystems BOND® RX instrument

Counterstained with Hematoxylin.

Secondary antibody only control : Secondary antibody is a ready to use LeicaDS9800 (Bond™ Polymer Refine Detection).

Heat mediated antigen retrieval was performed with Tris-EDTA buffer (pH 9.0, Epitope Retrieval Solution2) for 20 mins

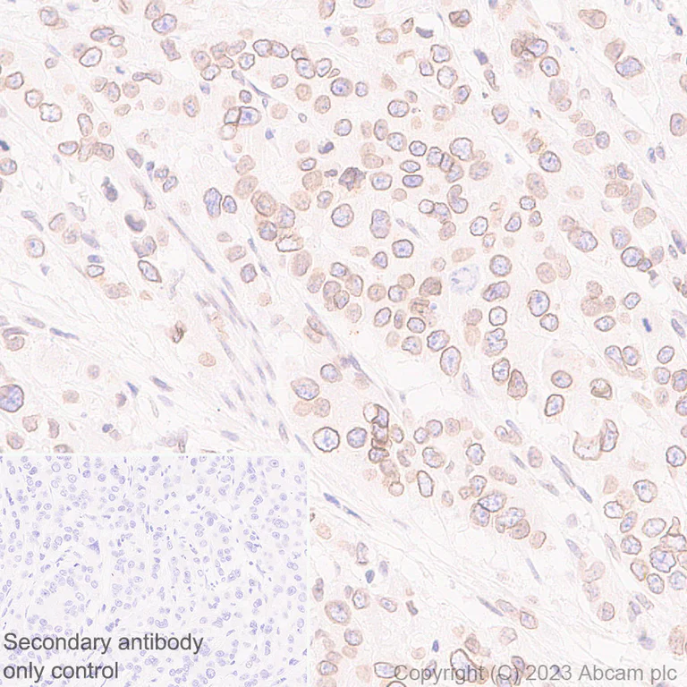
Immunohistochemistry (Formalin/PFA-fixed paraffin-embedded sections) - Anti-RanBP2 antibody [EPR28204-184] (AB315458)
  • IHC-P

Supplier Data

Immunohistochemistry (Formalin/PFA-fixed paraffin-embedded sections) - Anti-RanBP2 antibody [EPR28204-184] (AB315458)

Immunohistochemical analysis of paraffin-embedded Human breast carcinoma tissue labeling RanBP2 with ab315458 at 1/500 (1.036 ug/ml) dilution, followed by a ready to use LeicaDS9800 (Bond™ Polymer Refine Detection).

Positive staining on human breast carcinoma. The section was incubated with ab315458 for 30 mins at room temperature.
The immunostaining was performed on a Leica Biosystems BOND® RX instrument

Counterstained with Hematoxylin.

Secondary antibody only control : Secondary antibody is a ready to use LeicaDS9800 (Bond™ Polymer Refine Detection).

Heat mediated antigen retrieval was performed with Tris-EDTA buffer (pH 9.0, Epitope Retrieval Solution2) for 20 mins

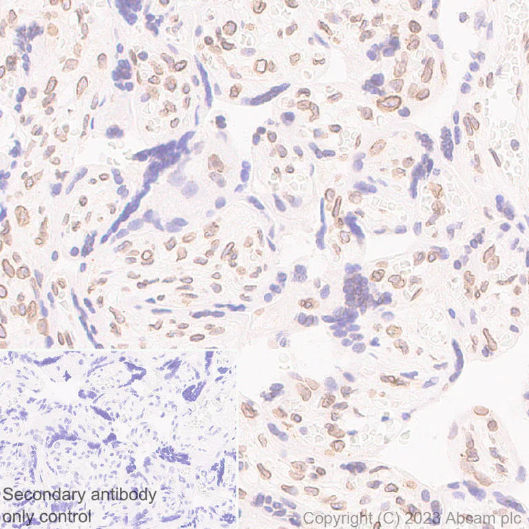
Immunohistochemistry (Formalin/PFA-fixed paraffin-embedded sections) - Anti-RanBP2 antibody [EPR28204-184] (AB315458)
  • IHC-P

Supplier Data

Immunohistochemistry (Formalin/PFA-fixed paraffin-embedded sections) - Anti-RanBP2 antibody [EPR28204-184] (AB315458)

Immunohistochemical analysis of paraffin-embedded Human placenta tissue labeling RanBP2 with ab315458 at 1/500 (1.036 ug/ml) dilution, followed by a ready to use LeicaDS9800 (Bond™ Polymer Refine Detection).

Positive staining on human placenta. The section was incubated with ab315458 for 30 mins at room temperature.
The immunostaining was performed on a Leica Biosystems BOND® RX instrument

Counterstained with Hematoxylin.

Secondary antibody only control : Secondary antibody is a ready to use LeicaDS9800 (Bond™ Polymer Refine Detection).

Heat mediated antigen retrieval was performed with Tris-EDTA buffer (pH 9.0, Epitope Retrieval Solution2) for 20 mins

Immunocytochemistry/ Immunofluorescence - Anti-RanBP2 antibody [EPR28204-184] (AB315458)
  • ICC/IF

Supplier Data

Immunocytochemistry/ Immunofluorescence - Anti-RanBP2 antibody [EPR28204-184] (AB315458)

Immunofluorescent analysis of 4% Paraformaldehyde-fixed, 0.1% TritonX-100 permeabilized HeLa (human cervical adenocarcinoma epithelial cell) cells labelling RanBP2 with ab315458 at 1/50 (10.36 ug/ml) dilution, followed by ab150081 Goat Anti-Rabbit IgG H&L (Alexa Fluor® 488) preadsorbed antibody at 1/1000 (2 ug/ml) dilution (Green).

Confocal image showing nuclear envelop and nuclear staining with puncta signal in HeLa cell line.
Image was taken with a confocal microscope(Leica-Microsystems, TCS SP8).

ab195889 Anti-alpha Tubulin mouse monoclonal antibody - Microtubule Marker (Alexa Fluor® 594) was used to counterstain tubulin at 1/200 (2.5ug/ml) dilution (Red). The Nuclear counterstain was DAPI (Blue).

Secondary antibody only control : Secondary antibody is ab150081 Goat Anti-Rabbit IgG H&L (Alexa Fluor® 488) preadsorbed at 1/1000 (2 ug/ml) dilution.

Flow Cytometry (Intracellular) - Anti-RanBP2 antibody [EPR28204-184] (AB315458)
  • Flow Cyt (Intra)

Supplier Data

Flow Cytometry (Intracellular) - Anti-RanBP2 antibody [EPR28204-184] (AB315458)

Flow cytometric analysis of 4% paraformaldehyde fixed 90% methanol permeabilized HeLa (human cervical adenocarcinoma epithelial cell) cells labelling RanBP2 with ab315458 at 1/50 dilution (1 ug)/Red compared with a Rabbit monoclonal IgG (ab172730) (Black) isotype control and an unlabelled control (cells without incubation with primary antibody and secondary antibody) (Blue).

Goat Anti-Rabbit IgG (Alexa Fluor® 488, ab150081) at 1/5000 dilution was used as the secondary antibody.

Immunoprecipitation - Anti-RanBP2 antibody [EPR28204-184] (AB315458)
  • IP

Supplier Data

Immunoprecipitation - Anti-RanBP2 antibody [EPR28204-184] (AB315458)

RanBP2 was immunoprecipitated from 0.35 mg HeLa (human cervix adenocarcinoma epithelial cell) whole cell lysate with ab315458 at 1/30 dilution (2ug in 0.35mg lysates). Western blot was performed on the immunoprecipitate using ab315458 at 1/1000 dilution. VeriBlot for IP secondary antibody(HRP)(ab131366) was used at 1/5000 dilution.

Blocking and diluting buffer and concentration : 5% NFDM/TBST.

Lysates were freshly made and used for Western blotting immediately to minimize protein degradation.

All lanes:

Immunoprecipitation - Anti-RanBP2 antibody [EPR28204-184] (ab315458) at 1/1000 dilution

Lanes 1 - 2:

HeLa (human cervix adenocarcinoma epithelial cell) whole cell lysate

Lane 2:

ab315458 IP at 1/30 in HeLa (human cervix adenocarcinoma epithelial cell) whole cell lysate

Lane 3:

Rabbit monoclonal IgG (<a href='/en-us/products/primary-antibodies/rabbit-igg-monoclonal-epr25a-isotype-control-ab172730'>ab172730</a>) instead of ab315458 in HeLa whole cell lysate

Secondary

All lanes:

Immunoprecipitation - VeriBlot for IP Detection Reagent (HRP) (<a href='/en-us/products/reagents/veriblot-for-ip-detection-reagent-hrp-ab131366'>ab131366</a>) at 1/5000 dilution

false

Exposure time: 50s

Western blot - Anti-RanBP2 antibody [EPR28204-184] (AB315458)
  • WB

Supplier Data

Western blot - Anti-RanBP2 antibody [EPR28204-184] (AB315458)

Blocking and diluting buffer and concentration : 5% NFDM/TBST.

The lower MW bands between approximately 250 kDa and 130 kDa are expected to be degradation products of the target.

Lysates were freshly made and used for Western blotting immediately to minimize protein degradation.

In Western blot, Anti-Vinculin antibody [EPR8185] (ab129002) staining at 1/10000 dilution.

Exposure time : Lane 1 : 26 seconds, lane 2 : 15 seconds.

All lanes:

Western blot - Anti-RanBP2 antibody [EPR28204-184] (ab315458) at 1/1000 dilution

Lane 1:

293T (human embryonic kidney epithelial cell) whole cell lysate at 20 µg

Lane 2:

SH-SY5Y (human neuroblastoma epithelial cell) whole cell lysate at 20 µg

Secondary

All lanes:

Western blot - Goat Anti-Rabbit IgG H&L (HRP) (<a href='/en-us/products/secondary-antibodies/goat-rabbit-igg-h-l-hrp-ab97051'>ab97051</a>) at 1/20000 dilution

Observed band size: 358 kDa,124 kDa

false

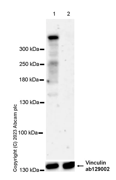
Western blot - Anti-RanBP2 antibody [EPR28204-184] (AB315458)
  • WB

Supplier Data

Western blot - Anti-RanBP2 antibody [EPR28204-184] (AB315458)

Blocking and diluting buffer and concentration : 5% NFDM/TBST.

The lower MW bands between approximately 250 kDa and 130 kDa are expected to be degradation products of the target.

Lysates were freshly made and used for Western blotting immediately to minimize protein degradation.

In Western blot, Anti-Vinculin antibody [EPR8185] (ab129002) staining at 1/10000 dilution.

All lanes:

Western blot - Anti-RanBP2 antibody [EPR28204-184] (ab315458) at 1/1000 dilution

Lane 1:

HeLa (human cervix adenocarcinoma epithelial cell) transfected with scrambled siRNA control whole cell lysate at 20 µg

Lane 2:

HeLa transfected with siRNA specifically targeting RanBP2 whole cell lysate at 20 µg

Secondary

All lanes:

Western blot - Goat Anti-Rabbit IgG H&L (HRP) (<a href='/en-us/products/secondary-antibodies/goat-rabbit-igg-h-l-hrp-ab97051'>ab97051</a>) at 1/20000 dilution

Observed band size: 358 kDa,124 kDa

true

Exposure time: 180s

Key facts

Host species

Rabbit

Clonality

Monoclonal

Clone number

EPR28204-184

Isotype

IgG

Carrier free

No

Reacts with

Human

Applications

ICC/IF, IP, WB, IHC-P, Flow Cyt (Intra)

applications

Immunogen

The exact immunogen used to generate this antibody is proprietary information.

Reactivity data

{ "title": "Reactivity Data", "filters": { "stats": ["", "Species", "Dilution Info", "Notes"], "tabs": { "all-applications": {"fullname" : "All Applications", "shortname": "All Applications"}, "IHCP" : {"fullname" : "Immunohistochemistry (Formalin/PFA-fixed paraffin-embedded sections)", "shortname":"IHC-P"}, "ICCIF" : {"fullname" : "Immunocytochemistry/ Immunofluorescence", "shortname":"ICC/IF"}, "IP" : {"fullname" : "Immunoprecipitation", "shortname":"IP"}, "WB" : {"fullname" : "Western blot", "shortname":"WB"}, "FlowCytIntra" : {"fullname" : "Flow Cytometry (Intracellular)", "shortname":"Flow Cyt (Intra)"} }, "product-promise": { "all": "all", "testedAndGuaranteed": "tested", "guaranteed": "expected", "predicted": "predicted", "notRecommended": "not-recommended" } }, "values": { "Human": { "IHCP-species-checked": "testedAndGuaranteed", "IHCP-species-dilution-info": "1/500", "IHCP-species-notes": "<p></p>", "ICCIF-species-checked": "testedAndGuaranteed", "ICCIF-species-dilution-info": "1/50", "ICCIF-species-notes": "<p></p>", "IP-species-checked": "testedAndGuaranteed", "IP-species-dilution-info": "1/30", "IP-species-notes": "<p></p>", "WB-species-checked": "testedAndGuaranteed", "WB-species-dilution-info": "1/1000", "WB-species-notes": "<p></p>", "FlowCytIntra-species-checked": "testedAndGuaranteed", "FlowCytIntra-species-dilution-info": "1/50", "FlowCytIntra-species-notes": "<p></p>" }, "Mouse": { "IHCP-species-checked": "notRecommended", "IHCP-species-dilution-info": "", "IHCP-species-notes": "<p></p>", "ICCIF-species-checked": "notRecommended", "ICCIF-species-dilution-info": "", "ICCIF-species-notes": "<p></p>", "IP-species-checked": "notRecommended", "IP-species-dilution-info": "", "IP-species-notes": "<p></p>", "WB-species-checked": "notRecommended", "WB-species-dilution-info": "", "WB-species-notes": "<p></p>", "FlowCytIntra-species-checked": "notRecommended", "FlowCytIntra-species-dilution-info": "", "FlowCytIntra-species-notes": "<p></p>" }, "Rat": { "IHCP-species-checked": "notRecommended", "IHCP-species-dilution-info": "", "IHCP-species-notes": "<p></p>", "ICCIF-species-checked": "notRecommended", "ICCIF-species-dilution-info": "", "ICCIF-species-notes": "", "IP-species-checked": "notRecommended", "IP-species-dilution-info": "", "IP-species-notes": "", "WB-species-checked": "notRecommended", "WB-species-dilution-info": "", "WB-species-notes": "<p></p>", "FlowCytIntra-species-checked": "notRecommended", "FlowCytIntra-species-dilution-info": "", "FlowCytIntra-species-notes": "" } } }

Product details

Patented technology
Our RabMAb® technology is a patented hybridoma-based technology for making rabbit monoclonal antibodies. For details on our patents, please refer to RabMAb® patents.

What are the advantages of a recombinant monoclonal antibody?
This product is a recombinant monoclonal antibody, which offers several advantages including:

  • - High batch-to-batch consistency and reproducibility
  • - Improved sensitivity and specificity
  • - Long-term security of supply
  • - Animal-free batch production

For more information, read more on recombinant antibodies.

Properties and storage information

Form
Liquid
Purification technique
Affinity purification Protein A
Storage buffer
pH: 7.2 - 7.4 Preservative: 0.01% Sodium azide Constituents: PBS, 40% Glycerol (glycerin, glycerine), 0.05% BSA
Shipped at conditions
Blue Ice
Appropriate short-term storage duration
1-2 weeks
Appropriate short-term storage conditions
+4°C
Appropriate long-term storage conditions
-20°C
Aliquoting information
Upon delivery aliquot
Storage information
Avoid freeze / thaw cycle

Supplementary information

This supplementary information is collated from multiple sources and compiled automatically.

RanBP2 also known as Nucleoporin 358 (Nup358) is a large protein with a molecular mass of approximately 358 kDa. It is an important component of the nuclear pore complex (NPC) and is found on the cytoplasmic side of the nuclear envelope. RanBP2 is expressed in a variety of tissues with higher levels in the brain and testis. Its alternates names include Nup358 due to its role as a nucleoporin. Mechanically RanBP2 facilitates nucleocytoplasmic transport by interacting with the small GTPase Ran.
Biological function summary

RanBP2 plays a significant role in multiple processes such as mitotic spindle assembly and chromatin condensation. It functions as part of the Ran GTPase system a critical complex for nucleocytoplasmic transport. In addition RanBP2 contributes to protein sumoylation where it acts as a scaffold for conjugating enzymes. It maintains nuclear envelope integrity and supports the positioning of centrosomes during cell division.

Pathways

RanBP2 is actively involved in the nucleocytoplasmic transport pathway ensuring the proper exchange of proteins and RNA between the nucleus and cytoplasm. It is critical to the Ran cycle where it works alongside proteins like RanGTP and RanGAP1 to regulate transport activities. The involvement of RanBP2 in the SUMOylation pathway also emphasizes its role in post-translational modification impacting various cellular events and signaling.

Changes in RanBP2 expression have been linked to neurodegenerative diseases and certain types of cancer. In neurodegenerative conditions such as hereditary spastic paraplegia RanBP2 forms a complex with proteins like atlastin-1 which further influences disease progression. In cancer RanBP2 interacts with oncogenic pathways through its role in cell cycle regulation highlighting its potential as a therapeutic target.

Product protocols

For this product, it's our understanding that no specific protocols are required. You can visit:

Target data

E3 SUMO-protein ligase which facilitates SUMO1 and SUMO2 conjugation by UBE2I (PubMed : 11792325, PubMed : 12032081, PubMed : 15378033, PubMed : 15931224, PubMed : 22194619). Involved in transport factor (Ran-GTP, karyopherin)-mediated protein import via the F-G repeat-containing domain which acts as a docking site for substrates (PubMed : 7775481). Binds single-stranded RNA (in vitro) (PubMed : 7775481). May bind DNA (PubMed : 7775481). Component of the nuclear export pathway (PubMed : 10078529). Specific docking site for the nuclear export factor exportin-1 (PubMed : 10078529). Inhibits EIF4E-dependent mRNA export (PubMed : 22902403). Sumoylates PML at 'Lys-490' which is essential for the proper assembly of PML-NB (PubMed : 22155184). Recruits BICD2 to the nuclear envelope and cytoplasmic stacks of nuclear pore complex known as annulate lamellae during G2 phase of cell cycle (PubMed : 20386726). Probable inactive PPIase with no peptidyl-prolyl cis-trans isomerase activity (PubMed : 20676357, PubMed : 23353830).
See full target information RANBP2

Product promise

We are committed to supporting your work with high-quality reagents, and we're here for you every step of the way. In the unlikely event that one of our products does not perform as expected, you're protected by our Product Promise.
For full details, please see our Terms & Conditions

Please note: All products are 'FOR RESEARCH USE ONLY. NOT FOR USE IN DIAGNOSTIC OR THERAPEUTIC PROCEDURES'.

For licensing inquiries, please contact partnerships@abcam.com