JavaScript is disabled in your browser. Please enable JavaScript to view this website.
AB58385

Anti-RanBP2 antibody [mAbcam58385]

1

(2 Reviews)

|

(1 Publication)

Mouse Monoclonal RanBP2 antibody. Suitable for IHC-P, Flow Cyt (Intra) and reacts with Human samples. Cited in 1 publication.

View Alternative Names

NUP358, RANBP2, E3 SUMO-protein ligase RanBP2, 358 kDa nucleoporin, Nuclear pore complex protein Nup358, Nucleoporin Nup358, Ran-binding protein 2, p270, RanBP2

2 Images
Flow Cytometry (Intracellular) - Anti-RanBP2 antibody [mAbcam58385] (AB58385)
  • Flow Cyt (Intra)

Unknown

Flow Cytometry (Intracellular) - Anti-RanBP2 antibody [mAbcam58385] (AB58385)

Overlay histogram showing HeLa cells stained with ab58385 (red line). The cells were fixed with 80% methanol (5 min) and then permeabilized with 0.1% PBS-Tween for 20 min. The cells were then incubated in 1x PBS / 10% normal goat serum / 0.3M glycine to block non-specific protein-protein interactions followed by the antibody (ab58385, 1μg/1x106 cells) for 30 min at 22°C. The secondary antibody used was DyLight® 488 goat anti-mouse IgG (H+L) (ab96879) at 1/500 dilution for 30 min at 22°C. Isotype control antibody (black line) was mouse IgG1 [ICIGG1] (ab91353, 2μg/1x106 cells) used under the same conditions. Acquisition of >5,000 events was performed. This antibody gave a positive signal in HeLa cells fixed with 4% paraformaldehyde (10 min)/permeabilized with 0.1% PBS-Tween for 20 min used under the same conditions.

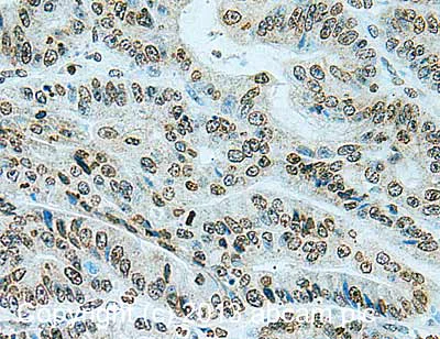
Immunohistochemistry (Formalin/PFA-fixed paraffin-embedded sections) - Anti-RanBP2 antibody [mAbcam58385] (AB58385)
  • IHC-P

Unknown

Immunohistochemistry (Formalin/PFA-fixed paraffin-embedded sections) - Anti-RanBP2 antibody [mAbcam58385] (AB58385)

IHC image of RanBP2 staining in Human colon adenocarcinoma formalin fixed paraffin embedded tissue section, performed on a Leica Bond™ system using the standard protocol F. The section was pre-treated using heat mediated antigen retrieval with sodium citrate buffer (pH6, epitope retrieval solution 1) for 20 mins. The section was then incubated with ab58385, 5μg/ml, for 15 mins at room temperature and detected using an HRP conjugated compact polymer system. DAB was used as the chromogen. The section was then counterstained with haematoxylin and mounted with DPX.

For other IHC staining systems (automated and non-automated) customers should optimize variable parameters such as antigen retrieval conditions, primary antibody concentration and antibody incubation times.

Key facts

Host species

Mouse

Clonality

Monoclonal

Clone number

mAbcam58385

Isotype

IgG2b

Carrier free

No

Reacts with

Human

Applications

IHC-P, Flow Cyt (Intra)

applications

Immunogen

The exact immunogen used to generate this antibody is proprietary information.

Reactivity data

{ "title": "Reactivity Data", "filters": { "stats": ["", "Species", "Dilution Info", "Notes"], "tabs": { "all-applications": {"fullname" : "All Applications", "shortname": "All Applications"}, "IHCP" : {"fullname" : "Immunohistochemistry (Formalin/PFA-fixed paraffin-embedded sections)", "shortname":"IHC-P"}, "FlowCytIntra" : {"fullname" : "Flow Cytometry (Intracellular)", "shortname":"Flow Cyt (Intra)"}, "WB" : {"fullname" : "Western blot", "shortname":"WB"} }, "product-promise": { "all": "all", "testedAndGuaranteed": "tested", "guaranteed": "expected", "predicted": "predicted", "notRecommended": "not-recommended" } }, "values": { "Human": { "IHCP-species-checked": "testedAndGuaranteed", "IHCP-species-dilution-info": "5 µg/mL", "IHCP-species-notes": "<p></p> Perform heat-mediated antigen retrieval with citrate buffer pH 6 before commencing with IHC staining protocol.", "FlowCytIntra-species-checked": "testedAndGuaranteed", "FlowCytIntra-species-dilution-info": "1 µg for 10^6 Cells", "FlowCytIntra-species-notes": "<p><a href='/en-us/products/primary-antibodies/mouse-igg1-kappa-monoclonal-15-6e10a7-isotype-control-ab170190'>ab170190</a> - Mouse monoclonal IgG1, is suitable for use as an isotype control with this antibody.</p>", "WB-species-checked": "notRecommended", "WB-species-dilution-info": "5 µg/mL", "WB-species-notes": "<p></p>" }, "Mouse": { "IHCP-species-checked": "predicted", "IHCP-species-dilution-info": "", "IHCP-species-notes": "", "FlowCytIntra-species-checked": "predicted", "FlowCytIntra-species-dilution-info": "", "FlowCytIntra-species-notes": "", "WB-species-checked": "notRecommended", "WB-species-dilution-info": "", "WB-species-notes": "" }, "Cow": { "IHCP-species-checked": "predicted", "IHCP-species-dilution-info": "", "IHCP-species-notes": "", "FlowCytIntra-species-checked": "predicted", "FlowCytIntra-species-dilution-info": "", "FlowCytIntra-species-notes": "", "WB-species-checked": "notRecommended", "WB-species-dilution-info": "", "WB-species-notes": "" } } }

Product details

Want a custom formulation?
This antibody clone is manufactured by Abcam. If you require a custom buffer formulation or conjugation for your experiments, please contact orders@abcam.com

Properties and storage information

Form
Liquid
Purification technique
Affinity purification
Storage buffer
pH: 7.4 Preservative: 0.02% Sodium azide Constituents: PBS, 6.97% L-Arginine
Shipped at conditions
Blue Ice
Appropriate short-term storage duration
1-2 weeks
Appropriate short-term storage conditions
+4°C
Appropriate long-term storage conditions
-20°C
Aliquoting information
Upon delivery aliquot
Storage information
Avoid freeze / thaw cycle

Supplementary information

This supplementary information is collated from multiple sources and compiled automatically.

RanBP2 also known as Nucleoporin 358 (Nup358) is a large protein with a molecular mass of approximately 358 kDa. It is an important component of the nuclear pore complex (NPC) and is found on the cytoplasmic side of the nuclear envelope. RanBP2 is expressed in a variety of tissues with higher levels in the brain and testis. Its alternates names include Nup358 due to its role as a nucleoporin. Mechanically RanBP2 facilitates nucleocytoplasmic transport by interacting with the small GTPase Ran.
Biological function summary

RanBP2 plays a significant role in multiple processes such as mitotic spindle assembly and chromatin condensation. It functions as part of the Ran GTPase system a critical complex for nucleocytoplasmic transport. In addition RanBP2 contributes to protein sumoylation where it acts as a scaffold for conjugating enzymes. It maintains nuclear envelope integrity and supports the positioning of centrosomes during cell division.

Pathways

RanBP2 is actively involved in the nucleocytoplasmic transport pathway ensuring the proper exchange of proteins and RNA between the nucleus and cytoplasm. It is critical to the Ran cycle where it works alongside proteins like RanGTP and RanGAP1 to regulate transport activities. The involvement of RanBP2 in the SUMOylation pathway also emphasizes its role in post-translational modification impacting various cellular events and signaling.

Changes in RanBP2 expression have been linked to neurodegenerative diseases and certain types of cancer. In neurodegenerative conditions such as hereditary spastic paraplegia RanBP2 forms a complex with proteins like atlastin-1 which further influences disease progression. In cancer RanBP2 interacts with oncogenic pathways through its role in cell cycle regulation highlighting its potential as a therapeutic target.

Product protocols

For this product, it's our understanding that no specific protocols are required. You can visit:

Target data

E3 SUMO-protein ligase which facilitates SUMO1 and SUMO2 conjugation by UBE2I (PubMed : 11792325, PubMed : 12032081, PubMed : 15378033, PubMed : 15931224, PubMed : 22194619). Involved in transport factor (Ran-GTP, karyopherin)-mediated protein import via the F-G repeat-containing domain which acts as a docking site for substrates (PubMed : 7775481). Binds single-stranded RNA (in vitro) (PubMed : 7775481). May bind DNA (PubMed : 7775481). Component of the nuclear export pathway (PubMed : 10078529). Specific docking site for the nuclear export factor exportin-1 (PubMed : 10078529). Inhibits EIF4E-dependent mRNA export (PubMed : 22902403). Sumoylates PML at 'Lys-490' which is essential for the proper assembly of PML-NB (PubMed : 22155184). Recruits BICD2 to the nuclear envelope and cytoplasmic stacks of nuclear pore complex known as annulate lamellae during G2 phase of cell cycle (PubMed : 20386726). Probable inactive PPIase with no peptidyl-prolyl cis-trans isomerase activity (PubMed : 20676357, PubMed : 23353830).
See full target information RANBP2

Publications (1)

Recent publications for all applications. Explore the full list and refine your search

Proceedings of the National Academy of Sciences of 107:10743-8 PubMed20498050

2010

One SUMO is sufficient to silence the dimeric potassium channel K2P1.

Applications

Unspecified application

Species

Unspecified reactive species

Leigh D Plant,Irina S Dementieva,Astrid Kollewe,Sonia Olikara,Jeremy D Marks,Steve A N Goldstein
View all publications

Product promise

We are committed to supporting your work with high-quality reagents, and we're here for you every step of the way. In the unlikely event that one of our products does not perform as expected, you're protected by our Product Promise.
For full details, please see our Terms & Conditions

Please note: All products are 'FOR RESEARCH USE ONLY. NOT FOR USE IN DIAGNOSTIC OR THERAPEUTIC PROCEDURES'.

For licensing inquiries, please contact partnerships@abcam.com