JavaScript is disabled in your browser. Please enable JavaScript to view this website.
AB316336

Anti-RanBP2 antibody [RM2047]

  • BOND RX™ Validated
  • 20ul selling size
  • Recombinant
  • RabMAb
  • What is this?

Be the first to review this product! Submit a review

|

(0 Publication)

Rabbit Recombinant Multiclonal RanBP2 antibody. Suitable for WB, IHC-P, ICC/IF, IP and reacts with Human, Mouse, Rat samples.

View Alternative Names

NUP358, RANBP2, E3 SUMO-protein ligase RanBP2, 358 kDa nucleoporin, Nuclear pore complex protein Nup358, Nucleoporin Nup358, Ran-binding protein 2, p270, RanBP2

11 Images
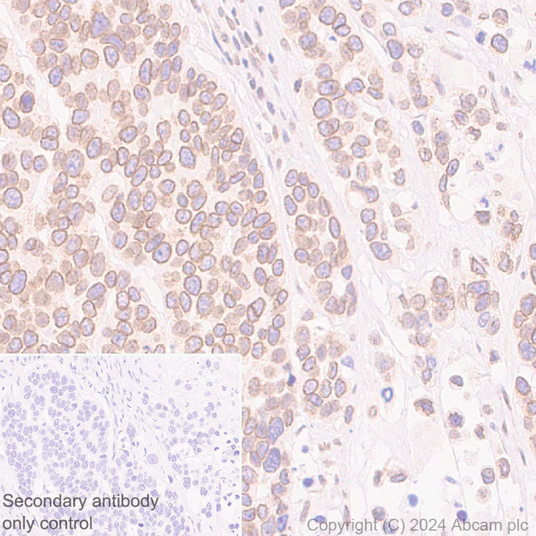
Immunohistochemistry (Formalin/PFA-fixed paraffin-embedded sections) - Anti-RanBP2 antibody [RM2047] (AB316336)
  • IHC-P

Supplier Data

Immunohistochemistry (Formalin/PFA-fixed paraffin-embedded sections) - Anti-RanBP2 antibody [RM2047] (AB316336)

Immunohistochemical analysis of paraffin-embedded Human gastric carcinoma tissue labeling RanBP2 with ab316336 at 1/500 (1.002 ug/ml) dilution, followed by a ready to use Rabbit specific IHC polymer detection kit HRP/DAB (ab209101).

Positive staining on human gastric carcinoma. The section was incubated with ab316336 for 30 mins at room temperature.
The immunostaining was performed on a Leica Biosystems BOND® RX instrument

Counterstained with Hematoxylin.

Secondary antibody only control : Secondary antibody is a ready to use Rabbit specific IHC polymer detection kit HRP/DAB (ab209101).

Heat mediated antigen retrieval was performed with Tris-EDTA buffer (pH 9.0, Epitope Retrieval Solution2) for 20 mins

Immunohistochemistry (Formalin/PFA-fixed paraffin-embedded sections) - Anti-RanBP2 antibody [RM2047] (AB316336)
  • IHC-P

Supplier Data

Immunohistochemistry (Formalin/PFA-fixed paraffin-embedded sections) - Anti-RanBP2 antibody [RM2047] (AB316336)

Immunohistochemical analysis of paraffin-embedded Human cerebrum tissue labeling RanBP2 with ab316336 at 1/500 (1.002 ug/ml) dilution, followed by a ready to use Rabbit specific IHC polymer detection kit HRP/DAB (ab209101).

Positive staining on human cerebrum. The section was incubated with ab316336 for 30 mins at room temperature.
The immunostaining was performed on a Leica Biosystems BOND® RX instrument

Counterstained with Hematoxylin.

Secondary antibody only control : Secondary antibody is a ready to use Rabbit specific IHC polymer detection kit HRP/DAB (ab209101).

Heat mediated antigen retrieval was performed with Tris-EDTA buffer (pH 9.0, Epitope Retrieval Solution2) for 20 mins

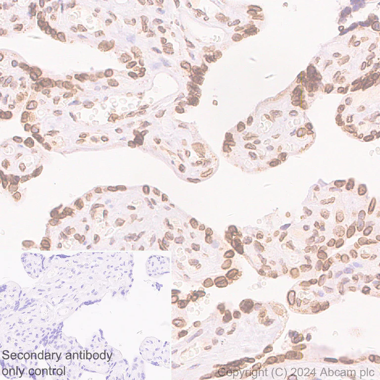
Immunohistochemistry (Formalin/PFA-fixed paraffin-embedded sections) - Anti-RanBP2 antibody [RM2047] (AB316336)
  • IHC-P

Supplier Data

Immunohistochemistry (Formalin/PFA-fixed paraffin-embedded sections) - Anti-RanBP2 antibody [RM2047] (AB316336)

Immunohistochemical analysis of paraffin-embedded Human placenta tissue labeling RanBP2 with ab316336 at 1/500 (1.002 ug/ml) dilution, followed by a ready to use Rabbit specific IHC polymer detection kit HRP/DAB (ab209101).

Positive staining on human placenta. The section was incubated with ab316336 for 30 mins at room temperature.
The immunostaining was performed on a Leica Biosystems BOND® RX instrument

Counterstained with Hematoxylin.

Secondary antibody only control : Secondary antibody is a ready to use Rabbit specific IHC polymer detection kit HRP/DAB (ab209101).

Heat mediated antigen retrieval was performed with Tris-EDTA buffer (pH 9.0, Epitope Retrieval Solution2) for 20 mins

Immunocytochemistry/ Immunofluorescence - Anti-RanBP2 antibody [RM2047] (AB316336)
  • ICC/IF

Supplier Data

Immunocytochemistry/ Immunofluorescence - Anti-RanBP2 antibody [RM2047] (AB316336)

Immunofluorescent analysis of 4% Paraformaldehyde-fixed, 0.1% TritonX-100 permeabilized HeLa (human cervical adenocarcinoma epithelial cell) cells labelling RanBP2 with ab316336 at 1/500 (1.002 ug/ml) dilution, followed by ab150081 Goat Anti-Rabbit IgG H&L (Alexa Fluor® 488) preadsorbed antibody at 1/1000 (2 ug/ml) dilution (Green).

Confocal image showing nuclear envelope with puncta signal in HeLa cell line.
Image was taken with a confocal microscope(Leica-Microsystems, TCS SP8).

ab195889 Anti-alpha Tubulin mouse monoclonal antibody - Microtubule Marker (Alexa Fluor® 594) was used to counterstain tubulin at 1/200 (2.5ug/ml) dilution (Magenta). The Nuclear counterstain was DAPI (Blue).

Secondary antibody only control : Secondary antibody is ab150081 Goat Anti-Rabbit IgG H&L (Alexa Fluor® 488) preadsorbed at 1/1000 (2 ug/ml) dilution.

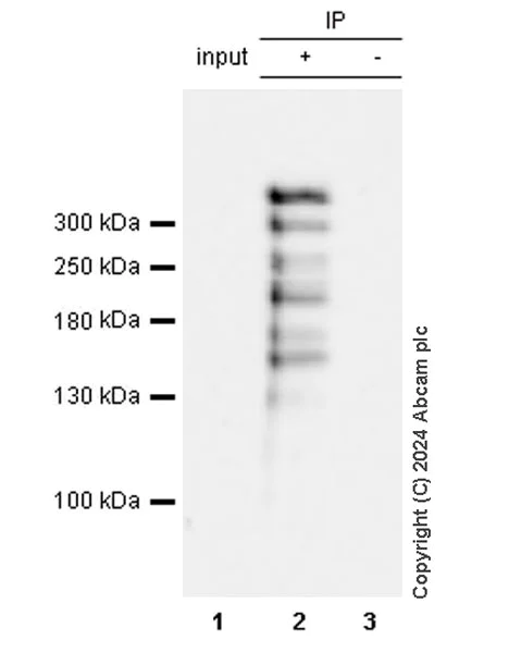
Immunoprecipitation - Anti-RanBP2 antibody [RM2047] (AB316336)
  • IP

Supplier Data

Immunoprecipitation - Anti-RanBP2 antibody [RM2047] (AB316336)

RanBP2 was immunoprecipitated from 0.35 mg HeLa (human cervix adenocarcinoma epithelial cell) whole cell lysate with ab316336 at 1/30 dilution (2ug in 0.35mg lysates). Western blot was performed on the immunoprecipitate using ab316336 at 1/1000 dilution. VeriBlot for IP secondary antibody(HRP)(ab131366) was used at 1/5000 dilution.

Lane 1 : HeLa (human cervix adenocarcinoma epithelial cell) whole cell lysate
Lane 2 : ab316336 IP in HeLa (human cervix adenocarcinoma epithelial cell) whole cell lysate
Lane 3 : Rabbit monoclonal IgG (ab172730) instead of ab316336 in HeLa whole cell lysate

The bands beneath the target band (358 kDa) are likely to be degraded target fragments.

Lysates were freshly made and used for Western blotting immediately to minimize protein degradation.

All lanes:

Immunoprecipitation - Anti-RanBP2 antibody [RM2047] (ab316336) at 1/30 dilution

All lanes:

HeLa (human cervix adenocarcinoma epithelial cell) whole cell lysate with 5% NFDM/TBST

Secondary

All lanes:

Immunoprecipitation - VeriBlot for IP Detection Reagent (HRP) (<a href='/en-us/products/reagents/veriblot-for-ip-detection-reagent-hrp-ab131366'>ab131366</a>) at 1/5000 dilution

false

Exposure time: 10s

Immunohistochemistry (Formalin/PFA-fixed paraffin-embedded sections) - Anti-RanBP2 antibody [RM2047] (AB316336)
  • IHC-P

Supplier Data

Immunohistochemistry (Formalin/PFA-fixed paraffin-embedded sections) - Anti-RanBP2 antibody [RM2047] (AB316336)

Immunohistochemical analysis of paraffin-embedded Mouse cerebrum tissue labeling RanBP2 with ab316336 at 1/1000 (0.501 ug/ml) dilution, followed by a ready to use Rabbit specific IHC polymer detection kit HRP/DAB (ab209101).

Positive staining on mouse cerebrum. The section was incubated with ab316336 for 30 mins at room temperature.
The immunostaining was performed on a Leica Biosystems BOND® RX instrument

Counterstained with Hematoxylin.

Secondary antibody only control : Secondary antibody is a ready to use Rabbit specific IHC polymer detection kit HRP/DAB (ab209101).

Heat mediated antigen retrieval was performed with Tris-EDTA buffer (pH 9.0, Epitope Retrieval Solution2) for 20 mins

Immunohistochemistry (Formalin/PFA-fixed paraffin-embedded sections) - Anti-RanBP2 antibody [RM2047] (AB316336)
  • IHC-P

Supplier Data

Immunohistochemistry (Formalin/PFA-fixed paraffin-embedded sections) - Anti-RanBP2 antibody [RM2047] (AB316336)

Immunohistochemical analysis of paraffin-embedded Rat cerebrum tissue labeling RanBP2 with ab316336 at 1/1000 (0.501 ug/ml) dilution, followed by a ready to use Rabbit specific IHC polymer detection kit HRP/DAB (ab209101).

Positive staining on rat cerebrum. The section was incubated with ab316336 for 30 mins at room temperature.
The immunostaining was performed on a Leica Biosystems BOND® RX instrument

Counterstained with Hematoxylin.

Secondary antibody only control : Secondary antibody is a ready to use Rabbit specific IHC polymer detection kit HRP/DAB (ab209101).

Heat mediated antigen retrieval was performed with Tris-EDTA buffer (pH 9.0, Epitope Retrieval Solution2) for 20 mins

Immunoprecipitation - Anti-RanBP2 antibody [RM2047] (AB316336)
  • IP

Supplier Data

Immunoprecipitation - Anti-RanBP2 antibody [RM2047] (AB316336)

RanBP2 was immunoprecipitated from 0.35 mg Neuro-2a (mouse neuroblastoma neuroblast) whole cell lysate with ab316336 at 1/30 dilution (2ug in 0.35mg lysates). Western blot was performed on the immunoprecipitate using ab316336 at 1/1000 dilution. VeriBlot for IP secondary antibody(HRP)(ab131366) was used at 1/5000 dilution.

Lane 1 : Neuro-2a (mouse neuroblastoma neuroblast) whole cell lysate
Lane 2 : ab316336 IP in Neuro-2a (mouse neuroblastoma neuroblast) whole cell lysate
Lane 3 : Rabbit monoclonal IgG (ab172730) instead of ab316336 in Neuro-2a whole cell lysate

The bands beneath the target band (358 kDa) are likely to be degraded target fragments.

Lysates were freshly made and used for Western blotting immediately to minimize protein degradation.

All lanes:

Immunoprecipitation - Anti-RanBP2 antibody [RM2047] (ab316336) at 1/30 dilution

All lanes:

Neuro-2a (mouse neuroblastoma neuroblast) whole cell lysate with 5% NFDM/TBST

Secondary

All lanes:

Immunoprecipitation - VeriBlot for IP Detection Reagent (HRP) (<a href='/en-us/products/reagents/veriblot-for-ip-detection-reagent-hrp-ab131366'>ab131366</a>) at 1/5000 dilution

false

Exposure time: 15s

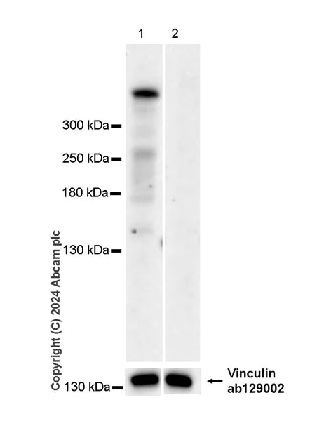
Western blot - Anti-RanBP2 antibody [RM2047] (AB316336)
  • WB

Supplier Data

Western blot - Anti-RanBP2 antibody [RM2047] (AB316336)

The bands beneath the target band (358 kDa) are likely to be degraded target fragments.

Lysates were freshly made and used for Western blotting immediately to minimize protein degradation.

In Western blot, Anti-Vinculin antibody [EPR8185] (ab129002) staining at 1/10000 dilution.

All lanes:

Western blot - Anti-RanBP2 antibody [RM2047] (ab316336) at 1/1000 dilution

Lane 1:

HeLa (human cervix adenocarcinoma epithelial cell) transfected with scrambled siRNA control whole cell lysate at 20 µg with 5% NFDM/TBST

Lane 2:

HeLa transfected with siRNA specifically targeting RanBP2 whole cell lysate at 20 µg with 5% NFDM/TBST

Secondary

All lanes:

Western blot - Goat Anti-Rabbit IgG H&L (HRP) (<a href='/en-us/products/secondary-antibodies/goat-rabbit-igg-h-l-hrp-ab97051'>ab97051</a>) at 1/200000 dilution

Observed band size: 358 kDa,124 kDa

false

Exposure time: 114s

Western blot - Anti-RanBP2 antibody [RM2047] (AB316336)
  • WB

Supplier Data

Western blot - Anti-RanBP2 antibody [RM2047] (AB316336)

The bands beneath the target band (358 kDa) are likely to be degraded target fragments.

The lysates of lanes 2-3 were freshly made and used for Western blotting immediately to minimize protein degradation.

The lane 1 was developed using a high sensitivity ECL substrate.

Lanes 2-3 are applied with Goat Anti-Rabbit IgG, (H+L), Peroxidase conjugated (ab97051) at 1/20000 and lane 1 is applied with Goat Anti-Rabbit IgG (HRP) with minimal cross-reactivity with human IgG at 1/2000.

In Western blot, Anti-Vinculin antibody [EPR8185] (ab129002) staining at 1/10000 dilution.

Exposure time : Lane 1 : 180 seconds; lane 2 : 26 seconds; lane 3 : 180 seconds

All lanes:

Western blot - Anti-RanBP2 antibody [RM2047] (ab316336) at 1/1000 dilution

Lane 1:

Human testis tissue lysate at 20 µg with 5% NFDM/TBST

Lane 2:

Mouse testis tissue lysate at 20 µg with 5% NFDM/TBST

Lane 3:

Rat testis tissue lysate at 20 µg with 5% NFDM/TBST

Secondary

Lane 1:

Goat Anti-Rabbit IgG (HRP) with minimal cross-reactivity with human IgG at 1/2000 dilution

Lanes 2 - 3:

Western blot - Goat Anti-Rabbit IgG H&L (HRP) (<a href='/en-us/products/secondary-antibodies/goat-rabbit-igg-h-l-hrp-ab97051'>ab97051</a>) at 1/20000 dilution

Observed band size: 358 kDa,124 kDa

false

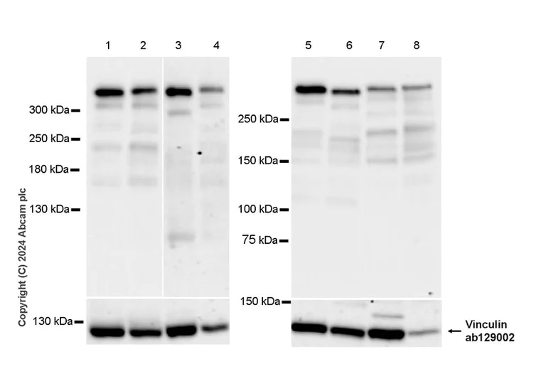
Western blot - Anti-RanBP2 antibody [RM2047] (AB316336)
  • WB

Supplier Data

Western blot - Anti-RanBP2 antibody [RM2047] (AB316336)

The bands beneath the target band (358 kDa) are likely to be degraded target fragments.

Lysates were freshly made and used for Western blotting immediately to minimize protein degradation.

In Western blot, Anti-Vinculin antibody [EPR8185] (ab129002) staining at 1/10000 dilution.

Exposure time : Lanes 1-2 : 10 seconds; lanes 3-4 : 180 seconds; lanes 5-8 : 26 seconds

All lanes:

Western blot - Anti-RanBP2 antibody [RM2047] (ab316336) at 1/1000 dilution

Lane 1:

HeLa (human cervix adenocarcinoma epithelial cell) whole cell lysate at 20 µg with 5% NFDM/TBST

Lane 2:

293T (human embryonic kidney epithelial cell) whole cell lysate at 20 µg with 5% NFDM/TBST

Lane 3:

NIH/3T3 (mouse embryonic fibroblast) whole cell lysate at 20 µg with 5% NFDM/TBST

Lane 4:

PC-12 (rat adrenal gland pheochromocytoma cell) whole cell lysate at 20 µg with 5% NFDM/TBST

Lane 5:

C6 (rat glial tumor glial cell) whole cell lysate at 20 µg with 5% NFDM/TBST

Lane 6:

Neuro-2a (mouse neuroblastoma neuroblast) whole cell lysate at 20 µg with 5% NFDM/TBST

Lane 7:

U-87 MG (human glioblastoma-astrocytoma epithelial cell) whole cell lysate at 20 µg with 5% NFDM/TBST

Lane 8:

SH-SY5Y (human neuroblastoma epithelial cell) whole cell lysate at 20 µg with 5% NFDM/TBST

Secondary

All lanes:

Western blot - Goat Anti-Rabbit IgG H&L (HRP) (<a href='/en-us/products/secondary-antibodies/goat-rabbit-igg-h-l-hrp-ab97051'>ab97051</a>) at 1/200000 dilution

Observed band size: 358 kDa,124 kDa

false

Key facts

Host species

Rabbit

Clonality

Multiclonal

Clone number

RM2047

Isotype

IgG

Carrier free

No

Reacts with

Human, Mouse, Rat

Applications

IHC-P, ICC/IF, WB, IP

applications

Immunogen

The exact immunogen used to generate this antibody is proprietary information.

Reactivity data

{ "title": "Reactivity Data", "filters": { "stats": ["", "Species", "Dilution Info", "Notes"], "tabs": { "all-applications": {"fullname" : "All Applications", "shortname": "All Applications"}, "WB" : {"fullname" : "Western blot", "shortname":"WB"}, "IHCP" : {"fullname" : "Immunohistochemistry (Formalin/PFA-fixed paraffin-embedded sections)", "shortname":"IHC-P"}, "ICCIF" : {"fullname" : "Immunocytochemistry/ Immunofluorescence", "shortname":"ICC/IF"}, "IP" : {"fullname" : "Immunoprecipitation", "shortname":"IP"}, "FlowCytIntra" : {"fullname" : "Flow Cytometry (Intracellular)", "shortname":"Flow Cyt (Intra)"} }, "product-promise": { "all": "all", "testedAndGuaranteed": "tested", "guaranteed": "expected", "predicted": "predicted", "notRecommended": "not-recommended" } }, "values": { "Human": { "WB-species-checked": "testedAndGuaranteed", "WB-species-dilution-info": "1/1000", "WB-species-notes": "<p></p>", "IHCP-species-checked": "testedAndGuaranteed", "IHCP-species-dilution-info": "1/500", "IHCP-species-notes": "<p></p> Perform heat-mediated antigen retrieval with Tris/EDTA buffer pH 9.0 before commencing with IHC staining protocol.", "ICCIF-species-checked": "testedAndGuaranteed", "ICCIF-species-dilution-info": "1/500", "ICCIF-species-notes": "<p></p>", "IP-species-checked": "testedAndGuaranteed", "IP-species-dilution-info": "1/30", "IP-species-notes": "<p></p>", "FlowCytIntra-species-checked": "notRecommended", "FlowCytIntra-species-dilution-info": "", "FlowCytIntra-species-notes": "<p></p>" }, "Mouse": { "WB-species-checked": "testedAndGuaranteed", "WB-species-dilution-info": "1/1000", "WB-species-notes": "<p></p>", "IHCP-species-checked": "testedAndGuaranteed", "IHCP-species-dilution-info": "1/1000", "IHCP-species-notes": "<p></p> Perform heat-mediated antigen retrieval with Tris/EDTA buffer pH 9.0 before commencing with IHC staining protocol.", "ICCIF-species-checked": "guaranteed", "ICCIF-species-dilution-info": "", "ICCIF-species-notes": "", "IP-species-checked": "testedAndGuaranteed", "IP-species-dilution-info": "1/30", "IP-species-notes": "<p></p>", "FlowCytIntra-species-checked": "notRecommended", "FlowCytIntra-species-dilution-info": "", "FlowCytIntra-species-notes": "" }, "Rat": { "WB-species-checked": "testedAndGuaranteed", "WB-species-dilution-info": "1/1000", "WB-species-notes": "<p></p>", "IHCP-species-checked": "testedAndGuaranteed", "IHCP-species-dilution-info": "1/1000", "IHCP-species-notes": "<p></p> Perform heat-mediated antigen retrieval with Tris/EDTA buffer pH 9.0 before commencing with IHC staining protocol.", "ICCIF-species-checked": "guaranteed", "ICCIF-species-dilution-info": "", "ICCIF-species-notes": "", "IP-species-checked": "guaranteed", "IP-species-dilution-info": "", "IP-species-notes": "", "FlowCytIntra-species-checked": "notRecommended", "FlowCytIntra-species-dilution-info": "", "FlowCytIntra-species-notes": "" } } }

Product details

What are recombinant multiclonals?
Recombinant multiclonals are a mixture of recombinant antibodies co-expressed from a library of heavy and light chains. They offer several advantages including:

  • - The sensitivity of polyclonal antibodies by recognising multiple epitopes
  • - High batch-to-batch consistency and reproducibility
  • - Improved sensitivity and specificity
  • - Long-term security of supply
  • - Animal-free batch production

View our range of recombinant multiclonal antibodies.

Patented technology
Our RabMAb® technology is a patented hybridoma-based technology for making rabbit monoclonal antibodies. For details on our patents, please refer to RabMAb® patents.

Properties and storage information

Form
Liquid
Purification technique
Affinity purification Protein A
Storage buffer
pH: 7.2 - 7.4 Preservative: 0.01% Sodium azide Constituents: PBS, 40% Glycerol (glycerin, glycerine), 0.05% BSA
Shipped at conditions
Blue Ice
Appropriate short-term storage duration
1-2 weeks
Appropriate short-term storage conditions
+4°C
Appropriate long-term storage conditions
-20°C
Aliquoting information
Upon delivery aliquot
Storage information
Avoid freeze / thaw cycle

Supplementary information

This supplementary information is collated from multiple sources and compiled automatically.

RanBP2 also known as Nucleoporin 358 (Nup358) is a large protein with a molecular mass of approximately 358 kDa. It is an important component of the nuclear pore complex (NPC) and is found on the cytoplasmic side of the nuclear envelope. RanBP2 is expressed in a variety of tissues with higher levels in the brain and testis. Its alternates names include Nup358 due to its role as a nucleoporin. Mechanically RanBP2 facilitates nucleocytoplasmic transport by interacting with the small GTPase Ran.
Biological function summary

RanBP2 plays a significant role in multiple processes such as mitotic spindle assembly and chromatin condensation. It functions as part of the Ran GTPase system a critical complex for nucleocytoplasmic transport. In addition RanBP2 contributes to protein sumoylation where it acts as a scaffold for conjugating enzymes. It maintains nuclear envelope integrity and supports the positioning of centrosomes during cell division.

Pathways

RanBP2 is actively involved in the nucleocytoplasmic transport pathway ensuring the proper exchange of proteins and RNA between the nucleus and cytoplasm. It is critical to the Ran cycle where it works alongside proteins like RanGTP and RanGAP1 to regulate transport activities. The involvement of RanBP2 in the SUMOylation pathway also emphasizes its role in post-translational modification impacting various cellular events and signaling.

Changes in RanBP2 expression have been linked to neurodegenerative diseases and certain types of cancer. In neurodegenerative conditions such as hereditary spastic paraplegia RanBP2 forms a complex with proteins like atlastin-1 which further influences disease progression. In cancer RanBP2 interacts with oncogenic pathways through its role in cell cycle regulation highlighting its potential as a therapeutic target.

Product protocols

For this product, it's our understanding that no specific protocols are required. You can visit:

Target data

E3 SUMO-protein ligase which facilitates SUMO1 and SUMO2 conjugation by UBE2I (PubMed : 11792325, PubMed : 12032081, PubMed : 15378033, PubMed : 15931224, PubMed : 22194619). Involved in transport factor (Ran-GTP, karyopherin)-mediated protein import via the F-G repeat-containing domain which acts as a docking site for substrates (PubMed : 7775481). Binds single-stranded RNA (in vitro) (PubMed : 7775481). May bind DNA (PubMed : 7775481). Component of the nuclear export pathway (PubMed : 10078529). Specific docking site for the nuclear export factor exportin-1 (PubMed : 10078529). Inhibits EIF4E-dependent mRNA export (PubMed : 22902403). Sumoylates PML at 'Lys-490' which is essential for the proper assembly of PML-NB (PubMed : 22155184). Recruits BICD2 to the nuclear envelope and cytoplasmic stacks of nuclear pore complex known as annulate lamellae during G2 phase of cell cycle (PubMed : 20386726). Probable inactive PPIase with no peptidyl-prolyl cis-trans isomerase activity (PubMed : 20676357, PubMed : 23353830).
See full target information RANBP2

Product promise

We are committed to supporting your work with high-quality reagents, and we're here for you every step of the way. In the unlikely event that one of our products does not perform as expected, you're protected by our Product Promise.
For full details, please see our Terms & Conditions

Please note: All products are 'FOR RESEARCH USE ONLY. NOT FOR USE IN DIAGNOSTIC OR THERAPEUTIC PROCEDURES'.

For licensing inquiries, please contact partnerships@abcam.com