JavaScript is disabled in your browser. Please enable JavaScript to view this website.
AB241502

Anti-RanBP3 antibody

Be the first to review this product! Submit a review

|

(1 Publication)

Rabbit Polyclonal RanBP3 antibody. Suitable for IHC-P, IP, WB and reacts with Human, Mouse samples. Cited in 1 publication. Immunogen corresponding to Synthetic Peptide within Human RANBP3 aa 150-200.

View Alternative Names

Ran-binding protein 3, RanBP3, RANBP3

4 Images
Immunohistochemistry (Formalin/PFA-fixed paraffin-embedded sections) - Anti-RanBP3 antibody (AB241502)
  • IHC-P

Supplier Data

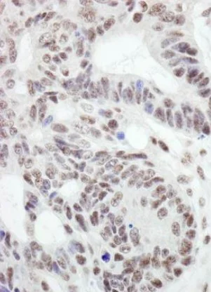
Immunohistochemistry (Formalin/PFA-fixed paraffin-embedded sections) - Anti-RanBP3 antibody (AB241502)

Formalin-fixed, paraffin-embedded human ovarian carcinoma tissue stained for RanBP3 with ab241502 at 1/200 dilution in immunohistochemical analysis. DAB staining.

Western blot - Anti-RanBP3 antibody (AB241502)
  • WB

Supplier Data

Western blot - Anti-RanBP3 antibody (AB241502)

All lanes:

Western blot - Anti-RanBP3 antibody (ab241502) at 0.04 µg/mL

Lane 1:

HeLa (human epithelial cell line from cervix adenocarcinoma) whole cell lysate at 50 µg

Lane 2:

HeLa whole cell lysate at 15 µg

Lane 3:

HeLa whole cell lysate at 5 µg

Lane 4:

HEK-239T (human epithelial cell line from embryonic kidney transformed with large T antigen) whole cell lysate at 50 µg

Lane 5:

NIH/3T3 (mouse embryo fibroblast cell line) whole cell lysate at 50 µg

Predicted band size: 60 kDa

false

Exposure time: 10s

Immunohistochemistry (Formalin/PFA-fixed paraffin-embedded sections) - Anti-RanBP3 antibody (AB241502)
  • IHC-P

Supplier Data

Immunohistochemistry (Formalin/PFA-fixed paraffin-embedded sections) - Anti-RanBP3 antibody (AB241502)

Formalin-fixed, paraffin-embedded human colon carcinoma tissue stained for RanBP3 with ab241502 at 1/80 dilution in immunohistochemical analysis.

Immunoprecipitation - Anti-RanBP3 antibody (AB241502)
  • IP

Supplier Data

Immunoprecipitation - Anti-RanBP3 antibody (AB241502)

RanBP3 was immunoprecipitated from HeLa (Human epithelial cell line from cervix adenocarcinoma) whole cell lysate (1 mg per IP reaction; 20% of IP loaded).

ab241502 used for IP at 3 μg/mg lysate. For WB 1 μg/ml.

Lane 1 : ab241502 IP in HeLa whole cell lysate.
Lane 2 : Control IgG IP in HeLa whole cell lysate.

Chemiluminescence detection : 3 seconds.

All lanes:

Immunoprecipitation - Anti-RanBP3 antibody (ab241502)

Predicted band size: 60 kDa

false

Key facts

Host species

Rabbit

Clonality

Polyclonal

Isotype

IgG

Carrier free

No

Reacts with

Mouse, Human

Applications

IHC-P, WB, IP

applications

Immunogen

Synthetic Peptide within Human RANBP3 aa 150-200. The exact immunogen used to generate this antibody is proprietary information.

Q9H6Z4

Reactivity data

{ "title": "Reactivity Data", "filters": { "stats": ["", "Species", "Dilution Info", "Notes"], "tabs": { "all-applications": {"fullname" : "All Applications", "shortname": "All Applications"}, "IHCP" : {"fullname" : "Immunohistochemistry (Formalin/PFA-fixed paraffin-embedded sections)", "shortname":"IHC-P"}, "IP" : {"fullname" : "Immunoprecipitation", "shortname":"IP"}, "WB" : {"fullname" : "Western blot", "shortname":"WB"} }, "product-promise": { "all": "all", "testedAndGuaranteed": "tested", "guaranteed": "expected", "predicted": "predicted", "notRecommended": "not-recommended" } }, "values": { "Human": { "IHCP-species-checked": "testedAndGuaranteed", "IHCP-species-dilution-info": "1/100 - 1/500", "IHCP-species-notes": "<p></p> Perform heat-mediated antigen retrieval with citrate buffer pH 6 before commencing with IHC staining protocol.", "IP-species-checked": "testedAndGuaranteed", "IP-species-dilution-info": "2-5 µg/mg of lysate", "IP-species-notes": "<p></p>", "WB-species-checked": "testedAndGuaranteed", "WB-species-dilution-info": "1/2000 - 1/10000", "WB-species-notes": "<p></p>" }, "Mouse": { "IHCP-species-checked": "guaranteed", "IHCP-species-dilution-info": "", "IHCP-species-notes": "", "IP-species-checked": "guaranteed", "IP-species-dilution-info": "", "IP-species-notes": "", "WB-species-checked": "testedAndGuaranteed", "WB-species-dilution-info": "1/2000 - 1/10000", "WB-species-notes": "<p></p>" }, "Orangutan": { "IHCP-species-checked": "predicted", "IHCP-species-dilution-info": "", "IHCP-species-notes": "", "IP-species-checked": "predicted", "IP-species-dilution-info": "", "IP-species-notes": "", "WB-species-checked": "predicted", "WB-species-dilution-info": "", "WB-species-notes": "" } } }

Properties and storage information

Form
Liquid
Purification technique
Affinity purification Immunogen
Purification notes
Antibody was affinity purified using an epitope specific to RanBP3 immobilized on solid support.
Storage buffer
pH: 6.8 - 7.4 Preservative: 0.09% Sodium azide Constituents: Tris buffered saline, 0.1% BSA
Shipped at conditions
Blue Ice
Appropriate short-term storage duration
1-2 weeks
Appropriate short-term storage conditions
+4°C
Appropriate long-term storage conditions
-20°C
Aliquoting information
Upon delivery aliquot
Storage information
Avoid freeze / thaw cycle

Supplementary information

This supplementary information is collated from multiple sources and compiled automatically.

RanBP3 also known as Ran-binding protein 3 functions as a Ran-dependent nuclear export factor. It has a molecular weight of around 58 kDa. It specifically facilitates the export of proteins and RNAs from the nucleus to the cytoplasm interacting directly with the Ran GTPase. RanBP3 is ubiquitously expressed in many tissue types indicating its significant role across various cellular processes. It serves as an adapter in the formation of export complexes binding to export receptors and the cargo.
Biological function summary

RanBP3 modulates cargo recognition and assembly of export complexes. It plays a role in the nuclear transport of proteins impacting gene regulation and cell cycle progression. As part of a larger export complex RanBP3 works together with exportin-1 and the GTP-bound form of Ran to mediate the nuclear export process efficiently. This targeted export contributes to maintaining cellular homeostasis and influences cellular responses to environmental changes.

Pathways

RanBP3 importantly participates in the nucleocytoplasmic transport pathway. This pathway is important for the regulation of gene expression and signal transduction. RanBP3 interacts with proteins such as exportin-1 (CRM1) and CAS which coordinate the nuclear export of various proteins and RNAs. The pathway ensures the proper distribution of cellular components which is essential for cell function and survival.

RanBP3 associates with conditions like cancer and viral infections. Alterations in RanBP3 expression or function can lead to dysregulation of nuclear export impacting cell proliferation and apoptosis as observed in cancer. RanBP3's interaction with importin-beta and exportin-1 can influence the cellular response to viral infections as viruses often exploit nuclear export pathways for replication. Understanding these associations could lead to potential therapeutic interventions targeting RanBP3 activities.

Product protocols

For this product, it's our understanding that no specific protocols are required. You can visit:

Target data

Acts as a cofactor for XPO1/CRM1-mediated nuclear export, perhaps as export complex scaffolding protein. Bound to XPO1/CRM1, stabilizes the XPO1/CRM1-cargo interaction. In the absence of Ran-bound GTP prevents binding of XPO1/CRM1 to the nuclear pore complex. Binds to CHC1/RCC1 and increases the guanine nucleotide exchange activity of CHC1/RCC1. Recruits XPO1/CRM1 to CHC1/RCC1 in a Ran-dependent manner. Negative regulator of TGF-beta signaling through interaction with the R-SMAD proteins, SMAD2 and SMAD3, and mediating their nuclear export.
See full target information RANBP3

Publications (1)

Recent publications for all applications. Explore the full list and refine your search

International journal of molecular sciences 23: PubMed36233342

2022

RAI14 Promotes Melanoma Progression by Regulating the FBXO32/c-MYC Pathway.

Applications

Unspecified application

Species

Unspecified reactive species

Jie Xu,Pengfei Shi,Fanwei Xia,Xuan Zhao,Junfan Chen,Rui Geng,Hongjuan Cui,Liqun Yang
View all publications

Product promise

We are committed to supporting your work with high-quality reagents, and we're here for you every step of the way. In the unlikely event that one of our products does not perform as expected, you're protected by our Product Promise.
For full details, please see our Terms & Conditions

Please note: All products are 'FOR RESEARCH USE ONLY. NOT FOR USE IN DIAGNOSTIC OR THERAPEUTIC PROCEDURES'.

For licensing inquiries, please contact partnerships@abcam.com