JavaScript is disabled in your browser. Please enable JavaScript to view this website.
AB248660

Anti-RanBP3 antibody [EPR5088(2)] - BSA and Azide free

Be the first to review this product! Submit a review

|

(1 Publication)

Rabbit Recombinant Monoclonal RanBP3 antibody. Carrier free. Suitable for IHC-P, WB and reacts with Human, Mouse samples. Cited in 1 publication.

View Alternative Names

Ran-binding protein 3, RanBP3, RANBP3

3 Images
Immunohistochemistry (Formalin/PFA-fixed paraffin-embedded sections) - Anti-RanBP3 antibody [EPR5088(2)] - BSA and Azide free (AB248660)
  • IHC-P

Lab

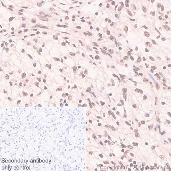
Immunohistochemistry (Formalin/PFA-fixed paraffin-embedded sections) - Anti-RanBP3 antibody [EPR5088(2)] - BSA and Azide free (AB248660)

This data was developed using ab134052, the same antibody clone in a different buffer formulation.

Immunohistochemistry of Human clear cell carcinoma of kidney tissues staining RanBP3 using ab134052 (1/1000). a HRP conjugated Goat Anti-Rabbit IgG H&L was used as a secondary antibody.

Antigen retrieval performed using heat mediated antigen retrieval using ab93684 (Tris/EDTA buffer, pH 9.0).

image shows nuclear and cytoplasmic staining on human clear cell carcinoma of kidney.

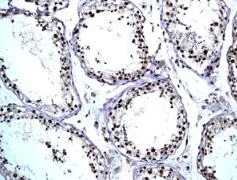
Immunohistochemistry (Formalin/PFA-fixed paraffin-embedded sections) - Anti-RanBP3 antibody [EPR5088(2)] - BSA and Azide free (AB248660)
  • IHC-P

Unknown

Immunohistochemistry (Formalin/PFA-fixed paraffin-embedded sections) - Anti-RanBP3 antibody [EPR5088(2)] - BSA and Azide free (AB248660)

This data was developed using ab134052, the same antibody clone in a different buffer formulation.

Immunohistochemical analysis of paraffin-embedded Human testis tissue labelling RanBP3 with ab134052 at 1/100 dilution.

Perform heat mediated antigen retrieval before commencing with IHC staining protocol.

Western blot - Anti-RanBP3 antibody [EPR5088(2)] - BSA and Azide free (AB248660)
  • WB

Lab

Western blot - Anti-RanBP3 antibody [EPR5088(2)] - BSA and Azide free (AB248660)

This data was developed using ab134052, the same antibody clone in a different buffer formulation.

The double bands are consistent with what has been described in PMID 16314428.

We are unsure how to define the extra bands.

All lanes:

Western blot - Anti-RanBP3 antibody [EPR5088(2)] (<a href='/en-us/products/primary-antibodies/ranbp3-antibody-epr50882-ab134052'>ab134052</a>) at 1/1000 dilution

Lane 1:

HEK-293 (Human embryonic kidney epithelial cell) whole cell lysate at 20 µg

Lane 2:

MEF (Mouse embryonic fibroblast) whole cell lysate at 20 µg

Lane 3:

Y79 (Human retinoblastoma retinoblastoma) whole cell lysate at 20 µg

Secondary

All lanes:

Western blot - Goat Anti-Rabbit IgG H&L (HRP) (<a href='/en-us/products/secondary-antibodies/goat-rabbit-igg-h-l-hrp-ab97051'>ab97051</a>) at 1/200000 dilution

Predicted band size: 60 kDa

Observed band size: 70 kDa,90 kDa

false

Exposure time: 180s

Key facts

Host species

Rabbit

Clonality

Monoclonal

Clone number

EPR5088(2)

Isotype

IgG

Carrier free

Yes

Reacts with

Mouse, Human

Applications

WB, IHC-P

applications

Immunogen

The exact immunogen used to generate this antibody is proprietary information.

Specificity

The mouse recommendation is based on the WB results. We do not guarantee IHC-P for mouse.

Reactivity data

{ "title": "Reactivity Data", "filters": { "stats": ["", "Species", "Dilution Info", "Notes"], "tabs": { "all-applications": {"fullname" : "All Applications", "shortname": "All Applications"}, "IHCP" : {"fullname" : "Immunohistochemistry (Formalin/PFA-fixed paraffin-embedded sections)", "shortname":"IHC-P"}, "WB" : {"fullname" : "Western blot", "shortname":"WB"} }, "product-promise": { "all": "all", "testedAndGuaranteed": "tested", "guaranteed": "expected", "predicted": "predicted", "notRecommended": "not-recommended" } }, "values": { "Human": { "IHCP-species-checked": "testedAndGuaranteed", "IHCP-species-dilution-info": "", "IHCP-species-notes": "<p></p>", "WB-species-checked": "testedAndGuaranteed", "WB-species-dilution-info": "", "WB-species-notes": "<p></p>" }, "Mouse": { "IHCP-species-checked": "guaranteed", "IHCP-species-dilution-info": "", "IHCP-species-notes": "", "WB-species-checked": "testedAndGuaranteed", "WB-species-dilution-info": "", "WB-species-notes": "<p></p>" } } }

Product details

ab248660 is the carrier-free version of ab134052.

Patented technology
Our RabMAb® technology is a patented hybridoma-based technology for making rabbit monoclonal antibodies. For details on our patents, please refer to RabMAb® patents.

What are the advantages of a recombinant monoclonal antibody?
This product is a recombinant monoclonal antibody, which offers several advantages including:

  • - High batch-to-batch consistency and reproducibility
  • - Improved sensitivity and specificity
  • - Long-term security of supply
  • - Animal-free batch production

For more information, read more on recombinant antibodies.

Species reactivity
Rat: We have preliminary internal testing data to indicate this antibody may not react with this species.
Please contact us for more information.

Conjugation ready
Our carrier-free antibodies are typically supplied in a PBS-only formulation, purified and free of BSA, sodium azide and glycerol. This conjugation-ready format is designed for use with fluorochromes, metal isotopes, oligonucleotides, and enzymes, which makes them ideal for antibody labelling, functional and cell-based assays, flow-based assays (e.g. mass cytometry) and Multiplex Imaging applications.

Use our conjugation kits for antibody conjugates that are ready-to-use in as little as 20 minutes with 1 minute hands-on-time and 100% antibody recovery: available for fluorescent dyes, HRP, biotin and gold.

Compatibility
This product is compatible with the Maxpar® Antibody Labeling Kit from Fluidigm, without the need for antibody preparation. Maxpar® is a trademark of Fluidigm Canada Inc.

Properties and storage information

Form
Liquid
Purification technique
Affinity purification Protein A
Storage buffer
pH: 7.2 - 7.4 Constituents: PBS
Shipped at conditions
Blue Ice
Appropriate short-term storage conditions
+4°C
Appropriate long-term storage conditions
+4°C
Storage information
Do Not Freeze

Supplementary information

This supplementary information is collated from multiple sources and compiled automatically.

RanBP3 also known as Ran-binding protein 3 functions as a Ran-dependent nuclear export factor. It has a molecular weight of around 58 kDa. It specifically facilitates the export of proteins and RNAs from the nucleus to the cytoplasm interacting directly with the Ran GTPase. RanBP3 is ubiquitously expressed in many tissue types indicating its significant role across various cellular processes. It serves as an adapter in the formation of export complexes binding to export receptors and the cargo.
Biological function summary

RanBP3 modulates cargo recognition and assembly of export complexes. It plays a role in the nuclear transport of proteins impacting gene regulation and cell cycle progression. As part of a larger export complex RanBP3 works together with exportin-1 and the GTP-bound form of Ran to mediate the nuclear export process efficiently. This targeted export contributes to maintaining cellular homeostasis and influences cellular responses to environmental changes.

Pathways

RanBP3 importantly participates in the nucleocytoplasmic transport pathway. This pathway is important for the regulation of gene expression and signal transduction. RanBP3 interacts with proteins such as exportin-1 (CRM1) and CAS which coordinate the nuclear export of various proteins and RNAs. The pathway ensures the proper distribution of cellular components which is essential for cell function and survival.

RanBP3 associates with conditions like cancer and viral infections. Alterations in RanBP3 expression or function can lead to dysregulation of nuclear export impacting cell proliferation and apoptosis as observed in cancer. RanBP3's interaction with importin-beta and exportin-1 can influence the cellular response to viral infections as viruses often exploit nuclear export pathways for replication. Understanding these associations could lead to potential therapeutic interventions targeting RanBP3 activities.

Product protocols

For this product, it's our understanding that no specific protocols are required. You can visit:

Target data

Acts as a cofactor for XPO1/CRM1-mediated nuclear export, perhaps as export complex scaffolding protein. Bound to XPO1/CRM1, stabilizes the XPO1/CRM1-cargo interaction. In the absence of Ran-bound GTP prevents binding of XPO1/CRM1 to the nuclear pore complex. Binds to CHC1/RCC1 and increases the guanine nucleotide exchange activity of CHC1/RCC1. Recruits XPO1/CRM1 to CHC1/RCC1 in a Ran-dependent manner. Negative regulator of TGF-beta signaling through interaction with the R-SMAD proteins, SMAD2 and SMAD3, and mediating their nuclear export.
See full target information RANBP3

Publications (1)

Recent publications for all applications. Explore the full list and refine your search

Theranostics 12:4513-4535 PubMed35832075

2022

Blockade of phosphotyrosine pathways suggesting SH2 superbinder as a novel therapy for pulmonary fibrosis.

Applications

Unspecified application

Species

Unspecified reactive species

Meng Wang,An-Dong Liu,Qian Niu,Xiao Feng,Yuan-Yi Zheng,Shuai-Jun Chen,Hui Xu,Qian Li,Guo-Qing Hou,Xiao-Yang Bi,Yu-Zhi Lu,Pei-Pei Cheng,Li-Mei Liang,Ye-Han Jiang,Li-Qin Zhao,Fei Liu,Lin-Jie Song,Li-Ling Zhou,Ling-Yan Xiao,Feng Chen,Shawn Shun-Cheng Li,Wan-Li Ma,Xuan Cao,Hong Ye
View all publications

Product promise

We are committed to supporting your work with high-quality reagents, and we're here for you every step of the way. In the unlikely event that one of our products does not perform as expected, you're protected by our Product Promise.
For full details, please see our Terms & Conditions

Please note: All products are 'FOR RESEARCH USE ONLY. NOT FOR USE IN DIAGNOSTIC OR THERAPEUTIC PROCEDURES'.

For licensing inquiries, please contact partnerships@abcam.com