JavaScript is disabled in your browser. Please enable JavaScript to view this website.
AB239907

Anti-RanGAP1 antibody [EPR3295] - BSA and Azide free

Be the first to review this product! Submit a review

|

(1 Publication)

Rabbit Recombinant Monoclonal RanGAP1 antibody. Carrier free. Suitable for IHC-P, IP, WB, ICC/IF, Flow Cyt (Intra) and reacts with Rat, Human, Mouse samples. Cited in 1 publication.

View Alternative Names

KIAA1835, SD, RANGAP1, Ran GTPase-activating protein 1, RanGAP1

10 Images
Flow Cytometry (Intracellular) - Anti-RanGAP1 antibody [EPR3295] - BSA and Azide free (AB239907)
  • Flow Cyt (Intra)

Unknown

Flow Cytometry (Intracellular) - Anti-RanGAP1 antibody [EPR3295] - BSA and Azide free (AB239907)

Overlay histogram showing Jurkat cells stained with ab92360 (red line). The cells were fixed with 4% paraformaldehyde (10 min) and then permeabilized with 0.1% PBS-Tween for 20 min. The cells were then incubated in 1x PBS / 10% normal goat serum / 0.3M glycine to block non-specific protein-protein interactions followed by the antibody (ab92360, 1/100 dilution) for 30 min at 22°C. The secondary antibody used was DyLight® 488 goat anti-rabbit IgG (H+L) (ab96899) at 1/500 dilution for 30 min at 22°C. Isotype control antibody (black line) was rabbit IgG (monoclonal) (1μg/1x106 cells) used under the same conditions. Unlabelled sample (blue line). Acquisition of >5,000 events were collected using a 20mW Argon ion laser (488nm) and 525/30 bandpass filter. This antibody gave a positive signal in Jurkat cells fixed with 80% methanol (5 min)/permeabilized with 0.1% PBS-Tween for 20 min used under the same conditions.

This data was developed using the same antibody clone in a different buffer formulation containing PBS, BSA, glycerol, and sodium azide (ab92360).

Immunocytochemistry/ Immunofluorescence - Anti-RanGAP1 antibody [EPR3295] - BSA and Azide free (AB239907)
  • ICC/IF

Unknown

Immunocytochemistry/ Immunofluorescence - Anti-RanGAP1 antibody [EPR3295] - BSA and Azide free (AB239907)

Immunofluorescence staining of MCF7 cells with purified ab92360 at a working dilution of 1/500, counter-stained with DAPI. The secondary antibody was an Alexa Fluor® 488 conjugated goat anti-rabbit (ab150077), used at a dilution of 1/1000. The cells were fixed in 4% PFA and permeabilized using 0.1% Triton X 100. The negative control is shown in bottom right hand panel - for the negative control, PBS was used instead of the primary antibody.

This data was developed using the same antibody clone in a different buffer formulation containing PBS, BSA, glycerol, and sodium azide (ab92360).

Immunohistochemistry (Formalin/PFA-fixed paraffin-embedded sections) - Anti-RanGAP1 antibody [EPR3295] - BSA and Azide free (AB239907)
  • IHC-P

Unknown

Immunohistochemistry (Formalin/PFA-fixed paraffin-embedded sections) - Anti-RanGAP1 antibody [EPR3295] - BSA and Azide free (AB239907)

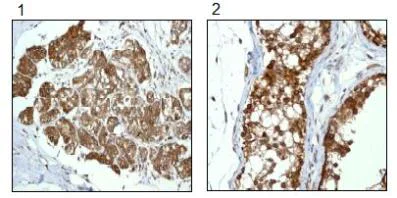
b92360 at 1/100 dilution staining RanGAP1 in paraffin-embedded (1) Human breast carcinoma tissue and (2) Human testis tissue by immunohistochemistry.

This data was developed using the same antibody clone in a different buffer formulation containing PBS, BSA, glycerol, and sodium azide (ab92360).

Perform heat mediated antigen retrieval via the pressure cooker method before commencing with IHC staining protocol.

Flow Cytometry (Intracellular) - Anti-RanGAP1 antibody [EPR3295] - BSA and Azide free (AB239907)
  • Flow Cyt (Intra)

Unknown

Flow Cytometry (Intracellular) - Anti-RanGAP1 antibody [EPR3295] - BSA and Azide free (AB239907)

Intracellular Flow Cytometry analysis of Jurkat (Human T cell leukemia T lymphocyte) cells labeling RanGAP1 with purified ab92360 at 1/20 dilution (10μg/ml) (red). Cells were fixed with 4% Paraformaldehyde and permeabilised with 90% Methanol. A Goat anti rabbit IgG (Alexa Fluor® 488, ab150077) secondary antibody was used at 1/2000. Isotype control - Rabbit monoclonal IgG (Black). Unlabeled control - Cell without incubation with primary antibody and secondary antibody (Blue).

This data was developed using the same antibody clone in a different buffer formulation containing PBS, BSA, glycerol, and sodium azide (ab92360).

Immunocytochemistry/ Immunofluorescence - Anti-RanGAP1 antibody [EPR3295] - BSA and Azide free (AB239907)
  • ICC/IF

Unknown

Immunocytochemistry/ Immunofluorescence - Anti-RanGAP1 antibody [EPR3295] - BSA and Azide free (AB239907)

Immunocytochemistry/ Immunofluorescence analysis of MCF7 (Human breast adenocarcinoma epithelial cell) cells labeling RanGAP1 with purified ab92360 at 1/100 dilution (1.1 μg/ml). Cells were fixed in 4% Paraformaldehyde and permeabilized with 0.1% tritonX-100. Cells were counterstained with ab195889 Anti-alpha Tubulin antibody [DM1A] - Microtubule Marker (Alexa Fluor® 594) at 1/200 (2.5 μg/ml) dilution. Goat anti rabbit IgG (Alexa Fluor® 488, ab150077) was used as the secondary antibody at 1/1000 (2 μg/ml) dilution. DAPI (blue) was used as nuclear counterstain. PBS instead of the primary antibody was used as the secondary antibody only control.

This data was developed using the same antibody clone in a different buffer formulation containing PBS, BSA, glycerol, and sodium azide (ab92360).

Immunohistochemistry (Formalin/PFA-fixed paraffin-embedded sections) - Anti-RanGAP1 antibody [EPR3295] - BSA and Azide free (AB239907)
  • IHC-P

Unknown

Immunohistochemistry (Formalin/PFA-fixed paraffin-embedded sections) - Anti-RanGAP1 antibody [EPR3295] - BSA and Azide free (AB239907)

Immunohistochemistry (Formalin/PFA-fixed paraffin-embedded sections) analysis of Human bladder carcinoma tissue sections labeling RanGAP1 with purified ab92360 at 1/500 dilution (0.22 μg/ml). Perform heat mediated antigen retrieval using ab93684 (Tris/EDTA buffer, pH 9.0). ImmunoHistoProbe one step HRP Polymer (ready to use) was used as the secondary antibody. Negative control : PBS instead of the primary antibody. Hematoxylin was used as a counterstain.

This data was developed using the same antibody clone in a different buffer formulation containing PBS, BSA, glycerol, and sodium azide (ab92360).

Immunoprecipitation - Anti-RanGAP1 antibody [EPR3295] - BSA and Azide free (AB239907)
  • IP

Unknown

Immunoprecipitation - Anti-RanGAP1 antibody [EPR3295] - BSA and Azide free (AB239907)

ab92360 (purified) at 1/20 dilution (0.5ug) immunoprecipitating RanGAP1 in HeLa whole cell lysates.
Lane 1 : HeLa (Human cervix adenocarcinoma epithelial cell) whole cell lysates 10ug
Lane 2 (+) : ab92360 & HeLa whole cell lysates
Lane 3 (-) : Rabbit monoclonal IgG (ab172730) instead of ab92360 in HeLa whole cell lysates
For western blotting, VeriBlot for IP Detection Reagent (HRP) (ab131366) was used at 1/1000 dilution.
Blocking and diluting buffer : 5% NFDM/TBST.

This data was developed using the same antibody clone in a different buffer formulation containing PBS, BSA, glycerol, and sodium azide (ab92360).

All lanes:

Immunoprecipitation - Anti-RanGAP1 antibody [EPR3295] (<a href='/en-us/products/primary-antibodies/rangap1-antibody-epr3295-ab92360'>ab92360</a>)

Predicted band size: 63 kDa

false

Immunohistochemistry (Formalin/PFA-fixed paraffin-embedded sections) - Anti-RanGAP1 antibody [EPR3295] - BSA and Azide free (AB239907)
  • IHC-P

Unknown

Immunohistochemistry (Formalin/PFA-fixed paraffin-embedded sections) - Anti-RanGAP1 antibody [EPR3295] - BSA and Azide free (AB239907)

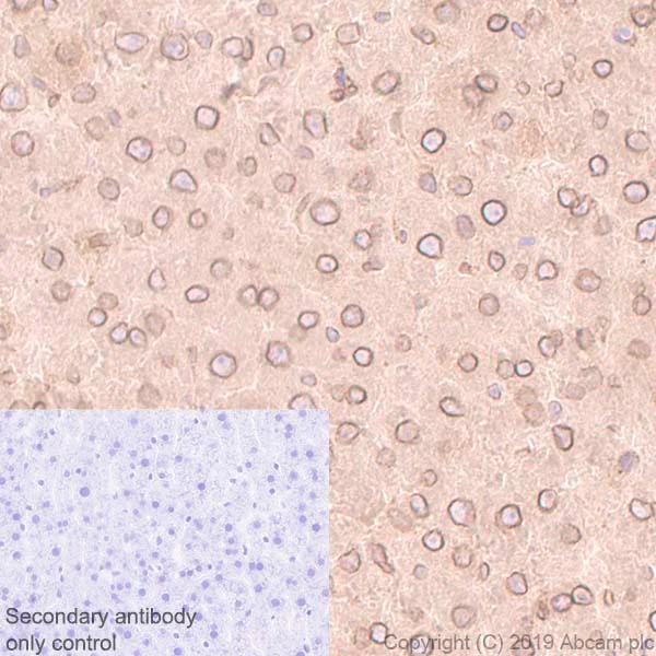
Immunohistochemistry (Formalin/PFA-fixed paraffin-embedded sections) analysis of Rat liver tissue sections labeling RanGAP1 with purified ab92360 at 1/500 dilution (0.22 μg/ml). Perform heat mediated antigen retrieval using ab93684 (Tris/EDTA buffer, pH 9.0). ImmunoHistoProbe one step HRP Polymer (ready to use) was used as the secondary antibody. Negative control : PBS instead of the primary antibody. Hematoxylin was used as a counterstain.

This data was developed using the same antibody clone in a different buffer formulation containing PBS, BSA, glycerol, and sodium azide (ab92360).

Immunohistochemistry (Formalin/PFA-fixed paraffin-embedded sections) - Anti-RanGAP1 antibody [EPR3295] - BSA and Azide free (AB239907)
  • IHC-P

Unknown

Immunohistochemistry (Formalin/PFA-fixed paraffin-embedded sections) - Anti-RanGAP1 antibody [EPR3295] - BSA and Azide free (AB239907)

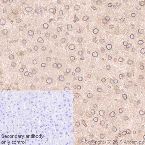
Immunohistochemistry (Formalin/PFA-fixed paraffin-embedded sections) analysis of Mouse testis tissue sections labeling RanGAP1 with purified ab92360 at 1/500 dilution (0.22 μg/ml). Perform heat mediated antigen retrieval using ab93684 (Tris/EDTA buffer, pH 9.0). ImmunoHistoProbe one step HRP Polymer (ready to use) was used as the secondary antibody. Negative control : PBS instead of the primary antibody. Hematoxylin was used as a counterstain.

This data was developed using the same antibody clone in a different buffer formulation containing PBS, BSA, glycerol, and sodium azide (ab92360).

Immunocytochemistry/ Immunofluorescence - Anti-RanGAP1 antibody [EPR3295] - BSA and Azide free (AB239907)
  • ICC/IF

AbReview40671****

Immunocytochemistry/ Immunofluorescence - Anti-RanGAP1 antibody [EPR3295] - BSA and Azide free (AB239907)

ab92360 staining RanGAP1 in mouse hepatocyte cells by ICC/IF (Immunocytochemistry/immunofluorescence). Cells were fixed with paraformaldehyde, permeabilized, and blocked with 2% BSA for 2 hours at 22°C. Samples were incubated with primary antibody (1/100 in blocking buffer) for 18 hours at 4°C. An Alexa Fluor® 488-conjugated goat anti-rabbit IgG polyclonal (1/10000) was used as the secondary antibody.

This data was developed using the same antibody clone in a different buffer formulation containing PBS, BSA, glycerol, and sodium azide (ab92360).

This image is courtesy of an anonymous Abreview.

Key facts

Host species

Rabbit

Clonality

Monoclonal

Clone number

EPR3295

Isotype

IgG

Carrier free

Yes

Reacts with

Mouse, Rat, Human

Applications

WB, Flow Cyt (Intra), ICC/IF, IHC-P, IP

applications

Immunogen

The exact immunogen used to generate this antibody is proprietary information.

Reactivity data

{ "title": "Reactivity Data", "filters": { "stats": ["", "Species", "Dilution Info", "Notes"], "tabs": { "all-applications": {"fullname" : "All Applications", "shortname": "All Applications"}, "IHCP" : {"fullname" : "Immunohistochemistry (Formalin/PFA-fixed paraffin-embedded sections)", "shortname":"IHC-P"}, "IP" : {"fullname" : "Immunoprecipitation", "shortname":"IP"}, "WB" : {"fullname" : "Western blot", "shortname":"WB"}, "ICCIF" : {"fullname" : "Immunocytochemistry/ Immunofluorescence", "shortname":"ICC/IF"}, "FlowCytIntra" : {"fullname" : "Flow Cytometry (Intracellular)", "shortname":"Flow Cyt (Intra)"} }, "product-promise": { "all": "all", "testedAndGuaranteed": "tested", "guaranteed": "expected", "predicted": "predicted", "notRecommended": "not-recommended" } }, "values": { "Human": { "IHCP-species-checked": "guaranteed", "IHCP-species-dilution-info": "", "IHCP-species-notes": "", "IP-species-checked": "testedAndGuaranteed", "IP-species-dilution-info": "", "IP-species-notes": "<p></p>", "WB-species-checked": "guaranteed", "WB-species-dilution-info": "", "WB-species-notes": "<p></p>", "ICCIF-species-checked": "testedAndGuaranteed", "ICCIF-species-dilution-info": "", "ICCIF-species-notes": "<p></p>", "FlowCytIntra-species-checked": "testedAndGuaranteed", "FlowCytIntra-species-dilution-info": "", "FlowCytIntra-species-notes": "<p><a href='/en-us/products/primary-antibodies/rabbit-igg-monoclonal-epr25a-isotype-control-low-endotoxin-azide-free-ab199376'>ab199376</a> - Rabbit monoclonal IgG, is suitable for use as an isotype control with this antibody.</p>" }, "Mouse": { "IHCP-species-checked": "predicted", "IHCP-species-dilution-info": "", "IHCP-species-notes": "", "IP-species-checked": "predicted", "IP-species-dilution-info": "", "IP-species-notes": "", "WB-species-checked": "guaranteed", "WB-species-dilution-info": "", "WB-species-notes": "<p></p>", "ICCIF-species-checked": "predicted", "ICCIF-species-dilution-info": "", "ICCIF-species-notes": "", "FlowCytIntra-species-checked": "predicted", "FlowCytIntra-species-dilution-info": "", "FlowCytIntra-species-notes": "" }, "Rat": { "IHCP-species-checked": "testedAndGuaranteed", "IHCP-species-dilution-info": "", "IHCP-species-notes": "<p></p>", "IP-species-checked": "guaranteed", "IP-species-dilution-info": "", "IP-species-notes": "", "WB-species-checked": "guaranteed", "WB-species-dilution-info": "", "WB-species-notes": "<p></p>", "ICCIF-species-checked": "guaranteed", "ICCIF-species-dilution-info": "", "ICCIF-species-notes": "", "FlowCytIntra-species-checked": "guaranteed", "FlowCytIntra-species-dilution-info": "", "FlowCytIntra-species-notes": "" } } }

Product details

ab239907 is the carrier-free version of ab92360.

Patented technology
Our RabMAb® technology is a patented hybridoma-based technology for making rabbit monoclonal antibodies. For details on our patents, please refer to RabMAb® patents.

What are the advantages of a recombinant monoclonal antibody?
This product is a recombinant monoclonal antibody, which offers several advantages including:

  • - High batch-to-batch consistency and reproducibility
  • - Improved sensitivity and specificity
  • - Long-term security of supply
  • - Animal-free batch production

For more information, read more on recombinant antibodies.

Conjugation ready
Our carrier-free antibodies are typically supplied in a PBS-only formulation, purified and free of BSA, sodium azide and glycerol. This conjugation-ready format is designed for use with fluorochromes, metal isotopes, oligonucleotides, and enzymes, which makes them ideal for antibody labelling, functional and cell-based assays, flow-based assays (e.g. mass cytometry) and Multiplex Imaging applications.

Use our conjugation kits for antibody conjugates that are ready-to-use in as little as 20 minutes with 1 minute hands-on-time and 100% antibody recovery: available for fluorescent dyes, HRP, biotin and gold.

Compatibility
This product is compatible with the Maxpar® Antibody Labeling Kit from Fluidigm, without the need for antibody preparation. Maxpar® is a trademark of Fluidigm Canada Inc.

Properties and storage information

Form
Liquid
Purification technique
Affinity purification Protein A
Storage buffer
pH: 7.2 - 7.4 Constituents: PBS
Shipped at conditions
Blue Ice
Appropriate short-term storage conditions
+4°C
Appropriate long-term storage conditions
+4°C
Storage information
Do Not Freeze

Supplementary information

This supplementary information is collated from multiple sources and compiled automatically.

RanGAP1 also known as Ran GTPase-activating protein 1 plays an important role in regulating nucleocytoplasmic transport. Mechanically it converts RanGTP to RanGDP in the cytoplasm which is essential for the recycling of Ran and maintenance of the Ran gradient across the nuclear envelope. The molecular mass of RanGAP1 is approximately 70 kDa. RanGAP1 is expressed in various cell types with significant presence in the cytoplasm due to its function.
Biological function summary

Many cellular processes rely on the action of RanGAP1 as it forms part of the Ran cycle. This protein is an integral component of the nuclear transport complex which regulates the bidirectional movement of RNA and proteins through the nuclear pores. Through its action RanGAP1 indirectly influences nuclear import and export playing an essential part in cell cycle regulation and mitosis.

Pathways

Several key cellular pathways are dependent on RanGAP1 activity. For instance it is a component of the mitotic spindle assembly pathway and also plays a role in the RNA processing pathway. In these pathways RanGAP1 works closely with other proteins such as RanBP1 and RCC1 facilitating important cellular events that require strict regulation of nuclear-cytoplasmic transport.

Disruptions in RanGAP1 function have been associated with certain types of cancer and neurodegenerative diseases. Aberrant regulation of RanGAP1 activity can lead to improper cell cycle progression contributing to oncogenesis. Furthermore changes in the expression of RanGAP1 and its interacting proteins like RanBP2 may relate to disorders like Huntington's disease where cellular transport mechanisms are compromised.

Product protocols

For this product, it's our understanding that no specific protocols are required. You can visit:

Target data

GTPase activator for RAN (PubMed : 16428860, PubMed : 8146159, PubMed : 8896452). Converts cytoplasmic GTP-bound RAN to GDP-bound RAN, which is essential for RAN-mediated nuclear import and export (PubMed : 27160050, PubMed : 8896452). Mediates dissociation of cargo from nuclear export complexes containing XPO1, RAN and RANBP2 after nuclear export (PubMed : 27160050).
See full target information RANGAP1

Publications (1)

Recent publications for all applications. Explore the full list and refine your search

eLife 13: PubMed39259200

2024

Dysregulated Ca signaling, fluid secretion, and mitochondrial function in a mouse model of early Sjögren's disease.

Applications

Unspecified application

Species

Unspecified reactive species

Kai-Ting Huang,Larry E Wagner,Takahiro Takano,Xiao-Xuan Lin,Harini Bagavant,Umesh Deshmukh,David I Yule
View all publications

Product promise

We are committed to supporting your work with high-quality reagents, and we're here for you every step of the way. In the unlikely event that one of our products does not perform as expected, you're protected by our Product Promise.
For full details, please see our Terms & Conditions

Please note: All products are 'FOR RESEARCH USE ONLY. NOT FOR USE IN DIAGNOSTIC OR THERAPEUTIC PROCEDURES'.

For licensing inquiries, please contact partnerships@abcam.com