JavaScript is disabled in your browser. Please enable JavaScript to view this website.
AB45039

Anti-RANKL antibody [12A668] - BSA and Azide free

5

(2 Reviews)

|

(86 Publications)

Mouse Monoclonal RANKL antibody. Carrier free. Suitable for WB, IHC-P, ICC/IF and reacts with Human samples. Cited in 86 publications. Immunogen corresponding to Recombinant Full Length Protein corresponding to Mouse Tnfsf11.

View Alternative Names

CD254, Opgl, Rankl, Trance, Tnfsf11, Tumor necrosis factor ligand superfamily member 11, Osteoclast differentiation factor, Osteoprotegerin ligand, Receptor activator of nuclear factor kappa-B ligand, TNF-related activation-induced cytokine, ODF, OPGL, RANKL, TRANCE

5 Images
Immunohistochemistry (Formalin/PFA-fixed paraffin-embedded sections) - Anti-RANKL antibody [12A668] - BSA and Azide free (AB45039)
  • IHC-P

Supplier Data

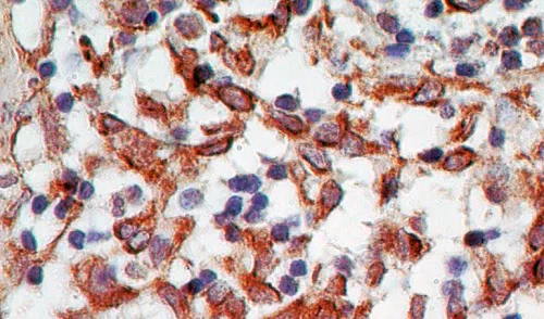
Immunohistochemistry (Formalin/PFA-fixed paraffin-embedded sections) - Anti-RANKL antibody [12A668] - BSA and Azide free (AB45039)

Paraffin embedded human liver tissue stained for RANKL with ab45039 at a 1/500 dilution. Peroxidase-conjugate and DAB chromogen. A 2 hour incubation at RT was used.

Immunocytochemistry/ Immunofluorescence - Anti-RANKL antibody [12A668] - BSA and Azide free (AB45039)
  • ICC/IF

Unknown

Immunocytochemistry/ Immunofluorescence - Anti-RANKL antibody [12A668] - BSA and Azide free (AB45039)

ICC/IF image of ab45039 stained HeLa cells. The cells were 4% formaldehyde fixed (10 minutes) and then incubated in 1%BSA / 10% normal goat serum / 0.3M glycine in 0.1% PBS-Tween for 1 hour to permeabilize the cells and block non-specific protein-protein interactions. The cells were then incubated with the antibody (ab45039, 10 μg/ml) overnight at +4°C. The secondary antibody (green) was Alexa Fluor® 488 goat anti-mouse IgG (H+L) used at a 1/1000 dilution for 1 hour. Alexa Fluor® 594 WGA was used to label plasma membranes (red) at a 1/200 dilution for 1 hour. DAPI was used to stain the cell nuclei (blue) at a concentration of 1.43 μM.

Immunohistochemistry (Formalin/PFA-fixed paraffin-embedded sections) - Anti-RANKL antibody [12A668] - BSA and Azide free (AB45039)
  • IHC-P

Supplier Data

Immunohistochemistry (Formalin/PFA-fixed paraffin-embedded sections) - Anti-RANKL antibody [12A668] - BSA and Azide free (AB45039)

Paraffin embedded human lymph node tissue stained for RANKL with ab45039 at 5 μg/ml.

Western blot - Anti-RANKL antibody [12A668] - BSA and Azide free (AB45039)
  • WB

Supplier Data

Western blot - Anti-RANKL antibody [12A668] - BSA and Azide free (AB45039)

Band detected at ~35kDa and ~28kDa. (Expected MW of 35.5kDa according to NP_003692.1 and of 27.7kDa according to NP_143026.1)

All lanes:

Western blot - Anti-RANKL antibody [12A668] - BSA and Azide free (ab45039) at 0.5 µg/mL

All lanes:

human lymph node lysate in RIPA buffer at 35 µg

Predicted band size: 35 kDa

Observed band size: 28 kDa

false

Western blot - Anti-RANKL antibody [12A668] - BSA and Azide free (AB45039)
  • WB

Unknown

Western blot - Anti-RANKL antibody [12A668] - BSA and Azide free (AB45039)

All lanes:

Western blot - Anti-RANKL antibody [12A668] - BSA and Azide free (ab45039) at 2 µg

All lanes:

transfected cell lysate

Predicted band size: 35 kDa

Observed band size: 35 kDa

false

Key facts

Host species

Mouse

Clonality

Monoclonal

Clone number

12A668

Isotype

IgG1

Light chain type

kappa

Carrier free

Yes

Reacts with

Human

Applications

WB, IHC-P, ICC/IF

applications

Immunogen

Recombinant Full Length Protein corresponding to Mouse Tnfsf11.

O35235

Reactivity data

{ "title": "Reactivity Data", "filters": { "stats": ["", "Species", "Dilution Info", "Notes"], "tabs": { "all-applications": {"fullname" : "All Applications", "shortname": "All Applications"}, "FlowCyt" : {"fullname" : "Flow Cytometry", "shortname":"Flow Cyt"}, "WB" : {"fullname" : "Western blot", "shortname":"WB"}, "IHCP" : {"fullname" : "Immunohistochemistry (Formalin/PFA-fixed paraffin-embedded sections)", "shortname":"IHC-P"}, "ICCIF" : {"fullname" : "Immunocytochemistry/ Immunofluorescence", "shortname":"ICC/IF"} }, "product-promise": { "all": "all", "testedAndGuaranteed": "tested", "guaranteed": "expected", "predicted": "predicted", "notRecommended": "not-recommended" } }, "values": { "Human": { "FlowCyt-species-checked": "notRecommended", "FlowCyt-species-dilution-info": "", "FlowCyt-species-notes": "<p></p>", "WB-species-checked": "testedAndGuaranteed", "WB-species-dilution-info": "1-2 µg/mL", "WB-species-notes": "<p></p>", "IHCP-species-checked": "testedAndGuaranteed", "IHCP-species-dilution-info": "1-5 µg/mL", "IHCP-species-notes": "<p></p>", "ICCIF-species-checked": "testedAndGuaranteed", "ICCIF-species-dilution-info": "10 µg/mL", "ICCIF-species-notes": "<p></p>" } } }

Properties and storage information

Form
Liquid
Purification technique
Affinity purification Protein G
Storage buffer
pH: 7.4 Constituents: PBS
Shipped at conditions
Blue Ice
Appropriate short-term storage duration
1-2 weeks
Appropriate short-term storage conditions
+4°C
Appropriate long-term storage conditions
-20°C
Aliquoting information
Upon delivery aliquot

Product protocols

For this product, it's our understanding that no specific protocols are required. You can visit:

Target data

Cytokine that binds to TNFRSF11B/OPG and to TNFRSF11A/RANK. Osteoclast differentiation and activation factor (PubMed : 22437732). Augments the ability of dendritic cells to stimulate naive T-cell proliferation. May be an important regulator of interactions between T-cells and dendritic cells and may play a role in the regulation of the T-cell-dependent immune response. May also play an important role in enhanced bone-resorption in humoral hypercalcemia of malignancy (By similarity). Induces osteoclastogenesis by activating multiple signaling pathways in osteoclast precursor cells, chief among which is induction of long lasting oscillations in the intracellular concentration of Ca (2+) resulting in the activation of NFATC1, which translocates to the nucleus and induces osteoclast-specific gene transcription to allow differentiation of osteoclasts (PubMed : 18586671, PubMed : 24039232, PubMed : 27336669). During osteoclast differentiation, in a TMEM64 and ATP2A2-dependent manner induces activation of CREB1 and mitochondrial ROS generation necessary for proper osteoclast generation (PubMed : 23395171, PubMed : 26644563).
See full target information Tnfsf11

Publications (86)

Recent publications for all applications. Explore the full list and refine your search

Open life sciences 20:20251126 PubMed40822968

2025

SATB2 promotes humeral fracture healing in rats by activating the PI3K/AKT pathway.

Applications

Unspecified application

Species

Unspecified reactive species

Liantao Liu,Shuai Rong,Xiaobin Zhou,Hao Li,Kepei Zhen,Chong Zheng,Kewei Li

Inflammation : PubMed40447963

2025

XBP1 Knockdown Alleviates Pyroptosis and Promotes Th17/Treg Imbalance in Periodontitis by Inhibiting the IL-17 Signaling Pathway.

Applications

Unspecified application

Species

Unspecified reactive species

Lixun Kang,Binglu Shi,Siyu Shen,Kai Ma,Yuanxu Jing,Qi An,Yan Dai

Quantitative imaging in medicine and surgery 14:4403-4416 PubMed39022252

2024

The mechanism of bone metabolism in a Sprague Dawley rat model of mandibular osteoradionecrosis.

Applications

Unspecified application

Species

Unspecified reactive species

Shanshan Liu,Bin Zhang,Shengnan Ma,Feiguang Wu,Xiaona Shi,Jiandong Wu,Ole T Jensen,Paolo Cariati,Jinsheng Hong,Xiaofeng Zhu

Environmental health perspectives 131:107002 PubMed37792558

2023

Ambient Exposure and Bone Homeostasis: Analysis of UK Biobank Data and Experimental Studies in Mice and .

Applications

Unspecified application

Species

Unspecified reactive species

Qinwen Ge,Sijia Yang,Yu Qian,Jiali Chen,Wenhua Yuan,Sanduo Li,Pinger Wang,Ran Li,Lu Zhang,Guobo Chen,Haidong Kan,Sanjay Rajagopalan,Qinghua Sun,Hou-Feng Zheng,Hongting Jin,Cuiqing Liu

NPJ microgravity 9:75 PubMed37723136

2023

Bisphosphonate conjugation enhances the bone-specificity of NELL-1-based systemic therapy for spaceflight-induced bone loss in mice.

Applications

Unspecified application

Species

Unspecified reactive species

Pin Ha,Jin Hee Kwak,Yulong Zhang,Jiayu Shi,Luan Tran,Timothy Pan Liu,Hsin-Chuan Pan,Samantha Lee,Jong Kil Kim,Eric Chen,Yasaman Shirazi-Fard,Louis S Stodieck,Andy Lin,Zhong Zheng,Stella Nuo Dong,Xinli Zhang,Benjamin M Wu,Kang Ting,Chia Soo

Scientific reports 13:15170 PubMed37704707

2023

Osteoclast differentiation and dynamic mRNA expression during mice embryonic palatal bone development.

Applications

Unspecified application

Species

Unspecified reactive species

Yongzhen Lai,Yan Guo,Caiyu Liao,Chuanqing Mao,Jing Liu,Chengyan Ren,Wen Yang,Lin Luo,Weihui Chen

Medicina (Kaunas, Lithuania) 59: PubMed37512126

2023

Radiation Induces Bone Microenvironment Disruption by Activating the STING-TBK1 Pathway.

Applications

Unspecified application

Species

Unspecified reactive species

Yuyang Wang,Li Ren,Linshan Xu,Jianping Wang,Jianglong Zhai,Guoying Zhu

Cellular and molecular biology (Noisy-le-Grand, France) 69:125-131 PubMed37605579

2023

Expression of spleen macrophages in a mouse model of alveolar bone resorption periodontitis.

Applications

Unspecified application

Species

Unspecified reactive species

Yixin Xu,Yixin Wang,Yongming Li

FASEB journal : official publication of the Federation of American Societies for Experimental Biology 37:e22985 PubMed37249350

2023

A static magnetic field improves bone quality and balances the function of bone cells with regulation on iron metabolism and redox status in type 1 diabetes.

Applications

Unspecified application

Species

Unspecified reactive species

Huanhuan Lv,Yijia Wang,Chenxiao Zhen,Junyu Liu,Xin Chen,Gejing Zhang,Wei Yao,Huijie Guo,Yunpeng Wei,Shenghang Wang,Jiancheng Yang,Peng Shang

Journal of molecular medicine (Berlin, Germany) 101:607-620 PubMed37121919

2023

SOST gene suppression stimulates osteocyte Wnt/β-catenin signaling to prevent bone resorption and attenuates particle-induced osteolysis.

Applications

Unspecified application

Species

Unspecified reactive species

Zixue Jiao,Hao Chai,Shendong Wang,Chunguang Sun,Qun Huang,Wei Xu
View all publications

Product promise

We are committed to supporting your work with high-quality reagents, and we're here for you every step of the way. In the unlikely event that one of our products does not perform as expected, you're protected by our Product Promise.
For full details, please see our Terms & Conditions

Please note: All products are 'FOR RESEARCH USE ONLY. NOT FOR USE IN DIAGNOSTIC OR THERAPEUTIC PROCEDURES'.

For licensing inquiries, please contact partnerships@abcam.com