JavaScript is disabled in your browser. Please enable JavaScript to view this website.
AB322195

Anti-RANTES antibody [EPR25836-32]

  • 20ul selling size
  • BOND RX™ Validated
  • Recombinant
  • RabMAb
  • What is this?

Be the first to review this product! Submit a review

|

(0 Publication)

Rabbit Recombinant Monoclonal RANTES antibody. Suitable for Flow Cyt (Intra), ICC/IF, IHC-P, WB and reacts with Mouse, Human samples.

View Alternative Names

Scya5, Ccl5, C-C motif chemokine 5, MuRantes, SIS-delta, Small-inducible cytokine A5, T-cell-specific protein RANTES

8 Images
Immunohistochemistry (Formalin/PFA-fixed paraffin-embedded sections) - Anti-RANTES antibody [EPR25836-32] (AB322195)
  • IHC-P

Supplier Data

Immunohistochemistry (Formalin/PFA-fixed paraffin-embedded sections) - Anti-RANTES antibody [EPR25836-32] (AB322195)

Immunohistochemical analysis of paraffin-embedded (A) RAW264.7 treated with 100ng/ml LPS for 4h, 1ug/ml BFA was then added for additional 3h cell pellets; (B) Untreated RAW 264.7 (mouse Abelson murine leukemia virus-induced tumor macrophage) cell pellets; tissue labeling RANTES with ab322195 at 1/2000 (0.269 ug/ml) dilution, followed by a ready to use LeicaDS9800 (Bond™ Polymer Refine Detection).

Positive staining in A : RAW264.7 treated with 100ng/ml LPS for 4h, 1ug/ml BFA was then added for additional 3h cell pellets, no staining in B : untreated RAW 264.7 cell pellets.
The section was incubated with ab322195 for 30 mins at room temperature.
The immunostaining was performed on a Leica Biosystems BOND® RX instrument

Counterstained with Hematoxylin.

Secondary antibody only control : Secondary antibody is a ready to use LeicaDS9800 (Bond™ Polymer Refine Detection).

Heat mediated antigen retrieval was performed with Tris-EDTA buffer (pH 9.0, Epitope Retrieval Solution2) for 20 mins

Immunohistochemistry (Formalin/PFA-fixed paraffin-embedded sections) - Anti-RANTES antibody [EPR25836-32] (AB322195)
  • IHC-P

Supplier Data

Immunohistochemistry (Formalin/PFA-fixed paraffin-embedded sections) - Anti-RANTES antibody [EPR25836-32] (AB322195)

Immunohistochemical analysis of paraffin-embedded Mouse colon tissue labeling RANTES with ab322195 at 1/100 (5.37 ug/ml) dilution, followed by a ready to use LeicaDS9800 (Bond™ Polymer Refine Detection).

Low expression tissue : No staining in mouse colon.
The section was incubated with ab322195 for 30 mins at room temperature.
The immunostaining was performed on a Leica Biosystems BOND® RX instrument

Counterstained with Hematoxylin.

Secondary antibody only control : Secondary antibody is a ready to use LeicaDS9800 (Bond™ Polymer Refine Detection).

Heat mediated antigen retrieval was performed with Tris-EDTA buffer (pH 9.0, Epitope Retrieval Solution2) for 20 mins

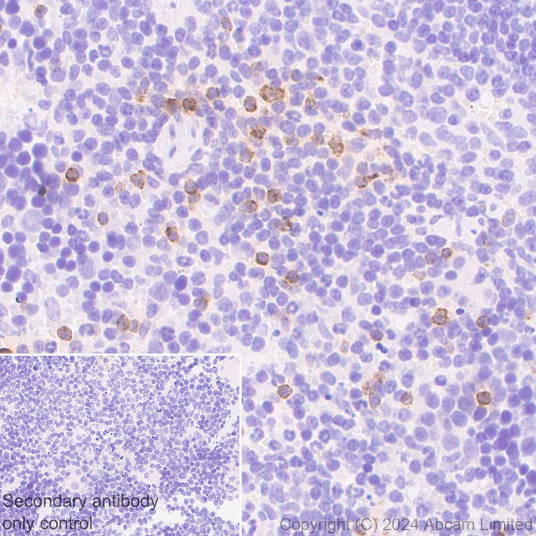
Immunohistochemistry (Formalin/PFA-fixed paraffin-embedded sections) - Anti-RANTES antibody [EPR25836-32] (AB322195)
  • IHC-P

Supplier Data

Immunohistochemistry (Formalin/PFA-fixed paraffin-embedded sections) - Anti-RANTES antibody [EPR25836-32] (AB322195)

Immunohistochemical analysis of paraffin-embedded Mouse T-cell lymphoma tissue labeling RANTES with ab322195 at 1/100 (5.37 ug/ml) dilution, followed by a ready to use LeicaDS9800 (Bond™ Polymer Refine Detection).

Positive staining in mouse T-cell lymphoma.
The section was incubated with ab322195 for 30 mins at room temperature.
The immunostaining was performed on a Leica Biosystems BOND® RX instrument

Counterstained with Hematoxylin.

Secondary antibody only control : Secondary antibody is a ready to use LeicaDS9800 (Bond™ Polymer Refine Detection).

Heat mediated antigen retrieval was performed with Citrate buffer (pH 6.0, Epitope Retrieval Solution 1) for 20 mins

Flow Cytometry (Intracellular) - Anti-RANTES antibody [EPR25836-32] (AB322195)
  • Flow Cyt (Intra)

Lab

Flow Cytometry (Intracellular) - Anti-RANTES antibody [EPR25836-32] (AB322195)

Flow cytometric analysis of 4% paraformaldehyde fixed 90% methanol permeabilized RAW 264.7 (mouse Abelson murine leukemia virus-induced tumor macrophage) treated with 100ng/ml LPS for 4+3 hours then add 1ug/ml BFA for 3 hours (Green); Untreated control (Magenta) cells labelling RANTES with ab322195 at 1/500 dilution (0.1ug) / Magenta and Green compared with a Rabbit monoclonal IgG (ab172730) / Black and Grey isotype control and an unlabelled control (cells without incubation with primary antibody and secondary antibody).

Goat Anti-Rabbit IgG (Alexa Fluor® 488, ab150081) at 1/5000 dilution was used as the secondary antibody.

Immunocytochemistry/ Immunofluorescence - Anti-RANTES antibody [EPR25836-32] (AB322195)
  • ICC/IF

Supplier Data

Immunocytochemistry/ Immunofluorescence - Anti-RANTES antibody [EPR25836-32] (AB322195)

Immunofluorescent analysis of 4% Paraformaldehyde-fixed, 0.1% TritonX-100 permeabilized Raw 264.7 (mouse Abelson murine leukemia virus-induced tumor macrophage) cells labelling RANTES with ab322195 at 1/50 (10.74 ug/ml) dilution, followed by ab150081 Goat Anti-Rabbit IgG H&L (Alexa Fluor® 488) preadsorbed antibody at 1/ 1000 2ug/ml dilution (Green).

Confocal image showing cytoplasmic staining in Raw 264.7 cells (shown in green) treated with lipopolysaccharides (LPS, 100 ng/ml) for 4 hours, then add Brefeldin A (1 ug/ml) for another 3 hours . The counterstain was observed in magenta. Nuclear DNA was labelled with DAPI (shown in blue). Image was taken with a confocal microscope (Leica-Microsystems, TCS SP8).

ab195889 Anti-alpha Tubulin mouse monoclonal antibody - Microtubule Marker (Alexa Fluor® 594) was used to counterstain tubulin at 1/ 200 2.5ug/ml dilution (Magenta). The Nuclear counterstain was DAPI (Blue).

Secondary antibody only control : Secondary antibody is ab150081 Goat Anti-Rabbit IgG H&L (Alexa Fluor® 488) preadsorbed at 1/1000 2ug/ml dilution.

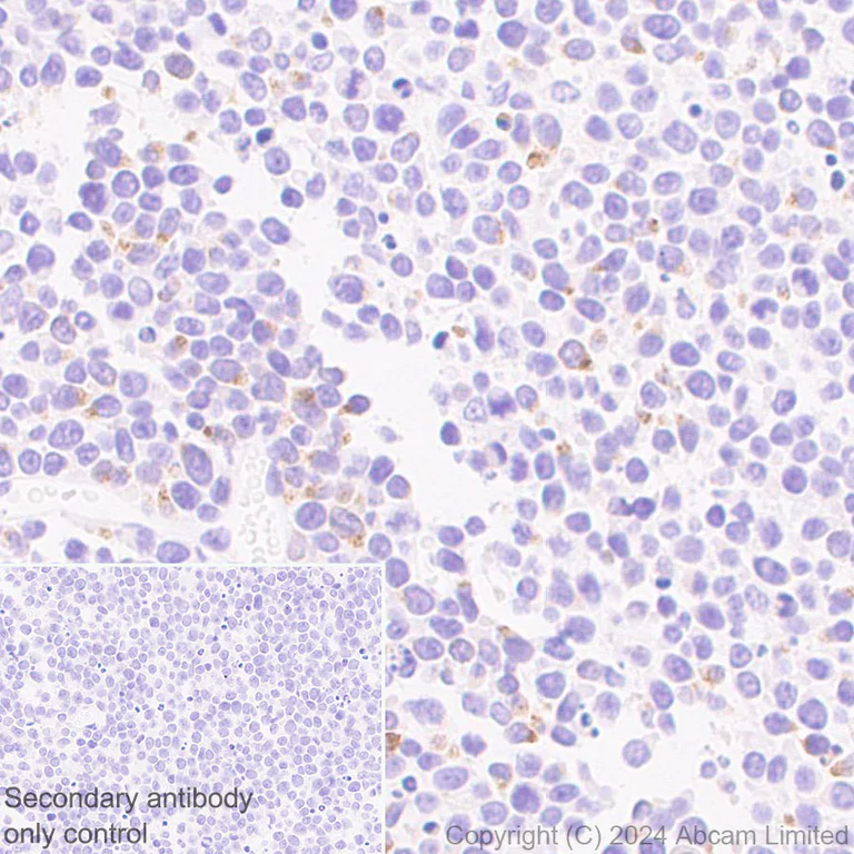
Immunohistochemistry (Formalin/PFA-fixed paraffin-embedded sections) - Anti-RANTES antibody [EPR25836-32] (AB322195)
  • IHC-P

Supplier Data

Immunohistochemistry (Formalin/PFA-fixed paraffin-embedded sections) - Anti-RANTES antibody [EPR25836-32] (AB322195)

Immunohistochemical analysis of paraffin-embedded Mouse spleen tissue labeling RANTES with ab322195 at 1/100 (5.37 ug/ml) dilution, followed by a ready to use LeicaDS9800 (Bond™ Polymer Refine Detection).

Positive staining in mouse spleen.
The section was incubated with ab322195 for 30 mins at room temperature.
The immunostaining was performed on a Leica Biosystems BOND® RX instrument

Counterstained with Hematoxylin.

Secondary antibody only control : Secondary antibody is a ready to use LeicaDS9800 (Bond™ Polymer Refine Detection).

Heat mediated antigen retrieval was performed with Citrate buffer (pH 6.0, Epitope Retrieval Solution 1) for 20 mins

Western blot - Anti-RANTES antibody [EPR25836-32] (AB322195)
  • WB

Supplier Data

Western blot - Anti-RANTES antibody [EPR25836-32] (AB322195)

Blocking and diluting buffer and concentration : 5% NFDM/TBST.

Negative control : Raji.

The expression of RANTES is upregulated in response to PMA, LPS and BFA treatment.

This blot was developed using a high-sensitivity ECL substrate, allowing for the detection of proteins in the mid-femtogram range.

In Western blot, Anti-Vinculin antibody [EPR8185] (ab129002) staining at 1/10000 dilution.

All lanes:

Western blot - Anti-RANTES antibody [EPR25836-32] (ab322195) at 1/1000 dilution

Lane 1:

Raji (human Burkitts lymphoma B lymphocyte) whole cell lysate at 20 µg

Lane 2:

Untreated THP-1 (human monocytic leukemia monocyte) whole cell lysate at 20 µg

Lane 3:

THP-1 treated first with 100ng/ml PMA for 48h, then replaced with 100ng/ml LPS for 21h, 600ng/ml BFA was then added for additional 3h, whole cell lysate at 20 µg

Secondary

All lanes:

Goat Anti-Rabbit IgG (HRP) with minimal cross-reactivity with human IgG at 1/2000 dilution

Observed band size: 10 kDa,124 kDa

true

Exposure time: 180s

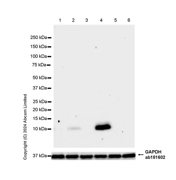
Western blot - Anti-RANTES antibody [EPR25836-32] (AB322195)
  • WB

Supplier Data

Western blot - Anti-RANTES antibody [EPR25836-32] (AB322195)

Blocking and diluting buffer and concentration : 5% NFDM/TBST.

The expression of RANTES is upregulated in response to PMA, LPS and BFA treatment.

In Western blot, Anti-GAPDH antibody [EPR16891] - Loading Control (ab181602) staining at 1/200000 dilution.

All lanes:

Western blot - Anti-RANTES antibody [EPR25836-32] (ab322195) at 1/1000 dilution

Lane 1:

Untreated RAW 264.7 (mouse Abelson murine leukemia virus-induced tumor macrophage) whole cell lysate at 20 µg

Lane 2:

RAW 264.7 treated with 100ng/ml LPS for 16h whole cell lysate at 20 µg

Lanes 3 and 5:

Untreated RAW 264.7 whole cell lysate at 20 µg

Lane 4:

RAW264.7 treated first with 80nM PMA for 24h, then replaced with 100ng/ml LPS for 4h, 1ug/ml BFA was then added for additional 3h, whole cell lysate at 20 µg

Lane 6:

RAW264.7 treated with 80nM PMA for 24h whole cell lysate at 20 µg

Secondary

All lanes:

Western blot - Goat Anti-Rabbit IgG H&L (HRP) (<a href='/en-us/products/secondary-antibodies/goat-rabbit-igg-h-l-hrp-ab97051'>ab97051</a>) at 1/100000 dilution

Observed band size: 10 kDa,36 kDa

false

Exposure time: 37s

  • Carrier free

    Anti-RANTES antibody [EPR25836-32] - BSA and Azide free

Key facts

Host species

Rabbit

Clonality

Monoclonal

Clone number

EPR25836-32

Isotype

IgG

Carrier free

No

Reacts with

Mouse, Human

Applications

WB, ICC/IF, IHC-P, Flow Cyt (Intra)

applications

Immunogen

The exact immunogen used to generate this antibody is proprietary information.

Specificity

This antibody is validated for use with human samples in WB and IHC‑P only, owing to the specific characteristics of the immunogen.

Reactivity data

{ "title": "Reactivity Data", "filters": { "stats": ["", "Species", "Dilution Info", "Notes"], "tabs": { "all-applications": {"fullname" : "All Applications", "shortname": "All Applications"}, "FlowCytIntra" : {"fullname" : "Flow Cytometry (Intracellular)", "shortname":"Flow Cyt (Intra)"}, "ICCIF" : {"fullname" : "Immunocytochemistry/ Immunofluorescence", "shortname":"ICC/IF"}, "IHCP" : {"fullname" : "Immunohistochemistry (Formalin/PFA-fixed paraffin-embedded sections)", "shortname":"IHC-P"}, "WB" : {"fullname" : "Western blot", "shortname":"WB"} }, "product-promise": { "all": "all", "testedAndGuaranteed": "tested", "guaranteed": "expected", "predicted": "predicted", "notRecommended": "not-recommended" } }, "values": { "Human": { "FlowCytIntra-species-checked": "notRecommended", "FlowCytIntra-species-dilution-info": "", "FlowCytIntra-species-notes": "<p></p>", "ICCIF-species-checked": "notRecommended", "ICCIF-species-dilution-info": "", "ICCIF-species-notes": "<p></p>", "IHCP-species-checked": "guaranteed", "IHCP-species-dilution-info": "", "IHCP-species-notes": "", "WB-species-checked": "testedAndGuaranteed", "WB-species-dilution-info": "1/1000", "WB-species-notes": "<p></p>" }, "Mouse": { "FlowCytIntra-species-checked": "testedAndGuaranteed", "FlowCytIntra-species-dilution-info": "1/500", "FlowCytIntra-species-notes": "<p></p>", "ICCIF-species-checked": "testedAndGuaranteed", "ICCIF-species-dilution-info": "1/50", "ICCIF-species-notes": "<p></p>", "IHCP-species-checked": "testedAndGuaranteed", "IHCP-species-dilution-info": "1/100", "IHCP-species-notes": "<p></p> Perform heat-mediated antigen retrieval with citrate buffer pH 6 before commencing with IHC staining protocol.", "WB-species-checked": "testedAndGuaranteed", "WB-species-dilution-info": "1/1000", "WB-species-notes": "<p></p>" } } }

Product details

Patented technology
Our RabMAb® technology is a patented hybridoma-based technology for making rabbit monoclonal antibodies. For details on our patents, please refer to RabMAb® patents.

What are the advantages of a recombinant monoclonal antibody?
This product is a recombinant monoclonal antibody, which offers several advantages including:

  • - High batch-to-batch consistency and reproducibility
  • - Improved sensitivity and specificity
  • - Long-term security of supply
  • - Animal-free batch production

For more information, read more on recombinant antibodies.

Properties and storage information

Form
Liquid
Purification technique
Affinity purification Protein A
Storage buffer
pH: 7.2 - 7.4 Preservative: 0.01% Sodium azide Constituents: PBS, 40% Glycerol (glycerin, glycerine), 0.05% BSA
Shipped at conditions
Blue Ice
Appropriate short-term storage duration
1-2 weeks
Appropriate short-term storage conditions
+4°C
Appropriate long-term storage conditions
-20°C
Aliquoting information
Upon delivery aliquot
Storage information
Avoid freeze / thaw cycle

Product protocols

For this product, it's our understanding that no specific protocols are required. You can visit:

Target data

Chemoattractant for blood monocytes, memory T-helper cells and eosinophils. Causes the release of histamine from basophils and activates eosinophils. May activate several chemokine receptors including CCR1, CCR3, CCR4 and CCR5. May also be an agonist of the G protein-coupled receptor GPR75. Together with GPR75, may play a role in neuron survival through activation of a downstream signaling pathway involving the PI3, Akt and MAP kinases. By activating GPR75 may also play a role in insulin secretion by islet cells.
See full target information Ccl5

Product promise

We are committed to supporting your work with high-quality reagents, and we're here for you every step of the way. In the unlikely event that one of our products does not perform as expected, you're protected by our Product Promise.
For full details, please see our Terms & Conditions

Please note: All products are 'FOR RESEARCH USE ONLY. NOT FOR USE IN DIAGNOSTIC OR THERAPEUTIC PROCEDURES'.

For licensing inquiries, please contact partnerships@abcam.com