JavaScript is disabled in your browser. Please enable JavaScript to view this website.
AB32373

Anti-RAP1GAP antibody [Y134]

5

(1 Review)

|

(14 Publications)

Rabbit Recombinant Monoclonal RAP1GAP antibody. Suitable for IP, WB, ICC/IF, Flow Cyt (Intra), IHC-P and reacts with Rat, Mouse, Human samples. Cited in 14 publications.

View Alternative Names

KIAA0474, RAP1GA1, RAP1GAP, Rap1 GTPase-activating protein 1, Rap1GAP, Rap1GAP1

12 Images
Immunohistochemistry (Formalin/PFA-fixed paraffin-embedded sections) - Anti-RAP1GAP antibody [Y134] (AB32373)
  • IHC-P

Supplier Data

Immunohistochemistry (Formalin/PFA-fixed paraffin-embedded sections) - Anti-RAP1GAP antibody [Y134] (AB32373)

Immunohistochemical staining of paraffin embedded human cerebral cortex with purified ab32373 at a working dilution of 1/1000. The secondary antibody used is ab97051, a goat anti-rabbit IgG (H&L) at a dilution of 1/500. The sample is counter-stained with hematoxylin. Antigen retrieval was perfomed using Tris-EDTA buffer, pH 9.0. PBS was used instead of the primary antibody as the negative control, and is shown in the inset.

Immunohistochemistry (Formalin/PFA-fixed paraffin-embedded sections) - Anti-RAP1GAP antibody [Y134] (AB32373)
  • IHC-P

Supplier Data

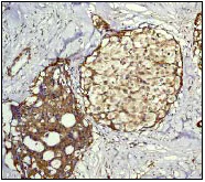
Immunohistochemistry (Formalin/PFA-fixed paraffin-embedded sections) - Anti-RAP1GAP antibody [Y134] (AB32373)

Immunohistochemical staining of paraffin-embedded human breast cancer tissue using unpurified ab32373 at 1/100 dilution.

Flow Cytometry (Intracellular) - Anti-RAP1GAP antibody [Y134] (AB32373)
  • Flow Cyt (Intra)

Lab

Flow Cytometry (Intracellular) - Anti-RAP1GAP antibody [Y134] (AB32373)

Overlay histogram showing SH-SY5Y cells stained with unpurified ab32373 (red line). The cells were fixed with 4% paraformaldehyde (10 min) and then permeabilized with 0.1% PBS-Tween for 20 min. The cells were then incubated in 1x PBS / 10% normal goat serum / 0.3M glycine to block non-specific protein-protein interactions followed by the antibody (ab32373 1/100) for 30 min at 22°C. The secondary antibody used was DyLight® 488 goat anti-rabbit IgG (H+L) (ab96899) at 1/500 dilution for 30 min at 22°C. Isotype control antibody (black line) was rabbit IgG (monoclonal) (1μg/1x106 cells) used under the same conditions. Acquisition of >5000 events was performed.

Immunocytochemistry/ Immunofluorescence - Anti-RAP1GAP antibody [Y134] (AB32373)
  • ICC/IF

Unknown

Immunocytochemistry/ Immunofluorescence - Anti-RAP1GAP antibody [Y134] (AB32373)

Immunofluorescence staining of HeLa cells with purified ab32373 at a working dilution of 1/250 counter-stained with DAPI. The secondary antibody was Alexa Fluor® 488 goat anti-rabbit (ab150077) used at a dilution of 1/1000. ab7291 a mouse anti-tubulin antibody (1/1000) was used to stain tubulin along with ab150120 (Alexa Fluor® 594 goat anti-mouse 1/1000) shown in the top right hand panel. The cells were fixed in 4 % PFA and permeabilized using 0.1% Triton X 100. The negative controls are shown in bottom middle and right hand panels - for negative control 1 purified ab32373 was used at a dilution of 1/500 followed by an Alexa Fluor® 594 goat anti-mouse antibody (ab150120) at a dilution of 1/500. For negative control 2 ab7291 (mouse anti-tubulin) was used at a dilution of 1/500 followed by an Alexa Fluor® 488 goat anti-rabbit antibody (ab150077) at a dilution of 1/400.

Immunocytochemistry/ Immunofluorescence - Anti-RAP1GAP antibody [Y134] (AB32373)
  • ICC/IF

Unknown

Immunocytochemistry/ Immunofluorescence - Anti-RAP1GAP antibody [Y134] (AB32373)

ICC/IF image of unpurified ab32373 stained HeLa cells. The cells were 4% formaldehyde fixed (10 min) and then incubated in 1%BSA / 10% normal goat serum / 0.3M glycine in 0.1% PBS-Tween for 1h to permeabilise the cells and block non-specific protein-protein interactions. The cells were then incubated with the antibody (ab32373 1μg/ml) overnight at +4°C. The secondary antibody (green) was ab96899 DyLight® 488 goat anti-rabbit IgG (H+L) used at a 1/250 dilution for 1h.Alexa Fluor® 594 WGA was used to label plasma membranes (red) at a 1/200 dilution for 1h. DAPI was used to stain the cell nuclei (blue) at a concentration of 1.43μM.

Flow Cytometry (Intracellular) - Anti-RAP1GAP antibody [Y134] (AB32373)
  • Flow Cyt (Intra)

Unknown

Flow Cytometry (Intracellular) - Anti-RAP1GAP antibody [Y134] (AB32373)

Overlay histogram showing Jurkat cells fixed in 4% PFA and stained with purified ab32373 at a dilution of 1/30 (red line). The secondary antibody used was Alexa Fluor® 488 goat anti-rabbit at a dilution of 1/500. Rabbit monoclonal IgG was used as an isotype control (black line) and cells incubated in the absence of both primary and secondary antibody were used as a negative control (blue line).

Immunoprecipitation - Anti-RAP1GAP antibody [Y134] (AB32373)
  • IP

Unknown

Immunoprecipitation - Anti-RAP1GAP antibody [Y134] (AB32373)

ab32373 (purified) at 1/20 immunoprecipitating RAP1GAP in 10 μg C6 cell lysate (Lanes 1 and 2, observed at 82-95 kDa). Lane 3 - Rabbit monoclonal IgG (ab172730). For western blotting, HRP Veriblot for IP Detection Reagent (ab131366) was used for detection (1/1000). Blocking buffer and concentration : 5% NFDM/TBST Dilution buffer and concentration : 5% NFDM/TBST

All lanes:

Immunoprecipitation - Anti-RAP1GAP antibody [Y134] (ab32373)

Predicted band size: 73 kDa

false

Western blot - Anti-RAP1GAP antibody [Y134] (AB32373)
  • WB

Lab

Western blot - Anti-RAP1GAP antibody [Y134] (AB32373)

Western blot : Anti-RAP1GAP antibody [Y134] ab32373 staining at 1/10000 dilution, shown in green; Mouse anti GAPDH (ab8245) loading control staining at 1/20,000 dilution, shown in magenta. A band was observed at 90 kDa in Wild-type A549 cell lysates with no signal observed at this size in RAP1GAP knockout A549 cell line.

To generate this image, samples were run on an SDS-PAGE gel then transferred onto a nitrocellulose membrane. Membranes were blocked in 3pc Milk in TBS-0.1 % Tween® 20 (TBS-T) before incubation with primary antibodies overnight at 4 °C. Blots were washed four times in TBS-T, incubated with secondary antibodies for 1 h at room temperature, washed again four times then imaged. Secondary antibodies used were Goat anti-Rabbit 800CW & Goat anti-Mouse 680RD at 1/20,000 dilution.

Lanes 1 - 4:

Western blot - Anti-RAP1GAP antibody [Y134] (ab32373) at 1/10000 dilution

Lanes 1 - 4:

Western blot - Anti-RAP1GAP antibody [Y134] - BSA and Azide free (<a href='/en-us/products/primary-antibodies/rap1gap-antibody-y134-bsa-and-azide-free-ab247250'>ab247250</a>) at 1/10000 dilution

Lane 1:

Wild-type A549 at 20 µg

Lane 2:

RAP1GAP knockout A549 at 20 µg

Lane 3:

HT-29 at 20 µg

Lane 4:

Ramos at 20 µg

Secondary

All lanes:

Goat anti-Rabbit 800CW & Goat anti-Mouse 680RD at 1/20000 dilution

Predicted band size: 73 kDa

Observed band size: 90 kDa

false

Western blot - Anti-RAP1GAP antibody [Y134] (AB32373)
  • WB

Unknown

Western blot - Anti-RAP1GAP antibody [Y134] (AB32373)

The molecular weight observed is consistent with what has been described in the literature (PMID : 9346962, PMID : 15632203, PMID : 30144784).

All lanes:

Western blot - Anti-RAP1GAP antibody [Y134] (ab32373) at 1/50000 dilution

All lanes:

Jurkat cell lysate

Predicted band size: 73 kDa

Observed band size: 95 kDa

false

Western blot - Anti-RAP1GAP antibody [Y134] (AB32373)
  • WB

Lab

Western blot - Anti-RAP1GAP antibody [Y134] (AB32373)

Blocking buffer : 5% NFDM/TBST
Dilution buffer : 5% NFDM/TBST

The molecular weight observed is consistent with what has been described in the literature (PMID : 9346962, PMID : 15632203, PMID : 30144784).

All lanes:

Western blot - Anti-RAP1GAP antibody [Y134] (ab32373) at 1/10000 dilution

All lanes:

SH-SY5Y cell lysate at 20 µg

Secondary

All lanes:

Anti-rabbit IgG (HRP), specific to the non-reduced form of IgG at 1/1000 dilution

Predicted band size: 73 kDa

Observed band size: 95 kDa

false

Western blot - Anti-RAP1GAP antibody [Y134] (AB32373)
  • WB

Lab

Western blot - Anti-RAP1GAP antibody [Y134] (AB32373)

Blocking buffer : 5% NFDM/TBST
Dilution buffer : 5% NFDM/TBST

The molecular weight observed is consistent with what has been described in the literature (PMID : 9346962, PMID : 15632203, PMID : 30144784).

All lanes:

Western blot - Anti-RAP1GAP antibody [Y134] (ab32373) at 1/10000 dilution

All lanes:

Jurkat cell lysate at 20 µg

Secondary

All lanes:

Western blot - Goat Anti-Rabbit IgG H&L (HRP) (<a href='/en-us/products/secondary-antibodies/goat-rabbit-igg-h-l-hrp-ab97051'>ab97051</a>) at 1/100000 dilution

Predicted band size: 73 kDa

Observed band size: 95 kDa

false

Western blot - Anti-RAP1GAP antibody [Y134] (AB32373)
  • WB

Lab

Western blot - Anti-RAP1GAP antibody [Y134] (AB32373)

Blocking buffer : 5% NFDM/TBST
Dilution buffer : 5% NFDM/TBST

The molecular weight observed is consistent with what has been described in the literature (PMID : 9346962, PMID : 15632203, PMID : 30144784).

All lanes:

Western blot - Anti-RAP1GAP antibody [Y134] (ab32373) at 1/10000 dilution

Lane 1:

Mouse brain lysate at 20 µg

Lane 2:

Rat brain lysate at 20 µg

Secondary

All lanes:

Western blot - Goat Anti-Rabbit IgG H&L (HRP) (<a href='/en-us/products/secondary-antibodies/goat-rabbit-igg-h-l-hrp-ab97051'>ab97051</a>) at 1/20000 dilution

Predicted band size: 73 kDa

Observed band size: 95 kDa

false

Key facts

Host species

Rabbit

Clonality

Monoclonal

Clone number

Y134

Isotype

IgG

Carrier free

No

Reacts with

Mouse, Rat, Human

Applications

IP, WB, ICC/IF, IHC-P, Flow Cyt (Intra)

applications

Immunogen

The exact immunogen used to generate this antibody is proprietary information.

Specificity

ab32373 recognises Rap1 GTPase-activating protein 1

Reactivity data

{ "title": "Reactivity Data", "filters": { "stats": ["", "Species", "Dilution Info", "Notes"], "tabs": { "all-applications": {"fullname" : "All Applications", "shortname": "All Applications"}, "IP" : {"fullname" : "Immunoprecipitation", "shortname":"IP"}, "WB" : {"fullname" : "Western blot", "shortname":"WB"}, "ICCIF" : {"fullname" : "Immunocytochemistry/ Immunofluorescence", "shortname":"ICC/IF"}, "FlowCytIntra" : {"fullname" : "Flow Cytometry (Intracellular)", "shortname":"Flow Cyt (Intra)"}, "IHCP" : {"fullname" : "Immunohistochemistry (Formalin/PFA-fixed paraffin-embedded sections)", "shortname":"IHC-P"} }, "product-promise": { "all": "all", "testedAndGuaranteed": "tested", "guaranteed": "expected", "predicted": "predicted", "notRecommended": "not-recommended" } }, "values": { "Human": { "IP-species-checked": "guaranteed", "IP-species-dilution-info": "", "IP-species-notes": "", "WB-species-checked": "testedAndGuaranteed", "WB-species-dilution-info": "1/10000 - 1/50000", "WB-species-notes": "<p></p>", "ICCIF-species-checked": "testedAndGuaranteed", "ICCIF-species-dilution-info": "1/100 - 1/250", "ICCIF-species-notes": "<p></p>", "FlowCytIntra-species-checked": "testedAndGuaranteed", "FlowCytIntra-species-dilution-info": "1/30 - 1/50", "FlowCytIntra-species-notes": "<p><a href='/en-us/products/primary-antibodies/rabbit-igg-monoclonal-epr25a-isotype-control-ab172730'>ab172730</a> - Rabbit monoclonal IgG, is suitable for use as an isotype control with this antibody.</p>", "IHCP-species-checked": "testedAndGuaranteed", "IHCP-species-dilution-info": "1/1000", "IHCP-species-notes": "<p></p>" }, "Mouse": { "IP-species-checked": "guaranteed", "IP-species-dilution-info": "", "IP-species-notes": "", "WB-species-checked": "testedAndGuaranteed", "WB-species-dilution-info": "1/10000 - 1/50000", "WB-species-notes": "<p></p>", "ICCIF-species-checked": "guaranteed", "ICCIF-species-dilution-info": "", "ICCIF-species-notes": "", "FlowCytIntra-species-checked": "guaranteed", "FlowCytIntra-species-dilution-info": "", "FlowCytIntra-species-notes": "", "IHCP-species-checked": "guaranteed", "IHCP-species-dilution-info": "", "IHCP-species-notes": "" }, "Rat": { "IP-species-checked": "testedAndGuaranteed", "IP-species-dilution-info": "1/20 - 1/60", "IP-species-notes": "<p></p>", "WB-species-checked": "testedAndGuaranteed", "WB-species-dilution-info": "1/10000 - 1/50000", "WB-species-notes": "<p></p>", "ICCIF-species-checked": "guaranteed", "ICCIF-species-dilution-info": "", "ICCIF-species-notes": "", "FlowCytIntra-species-checked": "guaranteed", "FlowCytIntra-species-dilution-info": "", "FlowCytIntra-species-notes": "", "IHCP-species-checked": "guaranteed", "IHCP-species-dilution-info": "", "IHCP-species-notes": "" } } }

Product details

Patented technology
Our RabMAb® technology is a patented hybridoma-based technology for making rabbit monoclonal antibodies. For details on our patents, please refer to RabMAb® patents.

What are the advantages of a recombinant monoclonal antibody?
This product is a recombinant monoclonal antibody, which offers several advantages including:

  • - High batch-to-batch consistency and reproducibility
  • - Improved sensitivity and specificity
  • - Long-term security of supply
  • - Animal-free batch production

For more information, read more on recombinant antibodies.

Properties and storage information

Form
Liquid
Purification technique
Affinity purification Protein A
Storage buffer
pH: 7.2 - 7.4 Preservative: 0.01% Sodium azide Constituents: PBS, 40% Glycerol (glycerin, glycerine), 0.05% BSA
Shipped at conditions
Blue Ice
Appropriate short-term storage duration
1-2 weeks
Appropriate short-term storage conditions
+4°C
Appropriate long-term storage conditions
-20°C
Aliquoting information
Upon delivery aliquot
Storage information
Avoid freeze / thaw cycle

Product protocols

For this product, it's our understanding that no specific protocols are required. You can visit:

Target data

GTPase activator for the nuclear Ras-related regulatory protein RAP-1A (KREV-1), converting it to the putatively inactive GDP-bound state.
See full target information RAP1GAP

Publications (14)

Recent publications for all applications. Explore the full list and refine your search

Chemical biology & drug design 104:e14602 PubMed39134897

2024

Promotion Effect of Catalpol on Angiogenesis and Potential Mechanisms: A Research Based on Network Pharmacology.

Applications

Unspecified application

Species

Unspecified reactive species

Jin-Rong Ni,Qun-Hu Zhang,Jie-Lin Deng,Hai-Hu Wang,Yong-Chi Duan,Cheng-Ji Zhang,Lue-Tao Jiang

BMC pulmonary medicine 23:421 PubMed37919693

2023

SOX9 promotes the invasion and migration of lung adenocarcinoma cells by activating the RAP1 signaling pathway.

Applications

Unspecified application

Species

Unspecified reactive species

Jun-Fa Yang,Qing Liao,Chen-Lin Lu

Annals of translational medicine 9:1743 PubMed35071437

2022

Notoginsenoside R2 induces colonic microvascular injuries via regulating the Rap1GAP/PI3K/Akt signaling pathway.

Applications

Unspecified application

Species

Unspecified reactive species

Ping Tao,Jiang Lin,Beiping Zhang,Shiying Wang

BioMed research international 2021:6840642 PubMed34840979

2021

Downregulation of Rap1GAP Expression Activates the TGF-/Smad3 Pathway to Inhibit the Expression of Sodium/Iodine Transporter in Papillary Thyroid Carcinoma Cells.

Applications

Unspecified application

Species

Unspecified reactive species

Zheng Yan,Wang Yangyanqiu,Han Shuwen,Mao Jing,Liao Haihong,Chen Gong,Jin Yin,Zhou Qing,Gao Weili

Frontiers in pharmacology 12:722040 PubMed34819854

2021

Arecoline Enhances Phosphodiesterase 4A Activity to Promote Transforming Growth Factor-β-Induced Buccal Mucosal Fibroblast Activation via cAMP-Epac1 Signaling Pathway.

Applications

Unspecified application

Species

Unspecified reactive species

Bo Zhang,Lihua Gao,Chunsheng Shao,Mingsi Deng,Liangjian Chen

Cell death & disease 12:957 PubMed34663788

2021

ELK4-mediated lncRNA SNHG22 promotes gastric cancer progression through interacting with EZH2 and regulating miR-200c-3p/Notch1 axis.

Applications

Unspecified application

Species

Unspecified reactive species

Xiaqiong Mao,Tao Ji,Aiguo Liu,Yunqi Weng

Oxidative medicine and cellular longevity 2021:7848027 PubMed33936386

2021

Rap1GAP Mediates Angiotensin II-Induced Cardiomyocyte Hypertrophy by Inhibiting Autophagy and Increasing Oxidative Stress.

Applications

Unspecified application

Species

Unspecified reactive species

Yan Gao,Di Zhao,Wen-Zhi Xie,Tingting Meng,Chunxiao Xu,Yutong Liu,Pengfei Zhang,Xiuping Bi,Zhuo Zhao

Cancer communications (London, England) 41:472-491 PubMed33638620

2021

Mex3a promotes oncogenesis through the RAP1/MAPK signaling pathway in colorectal cancer and is inhibited by hsa-miR-6887-3p.

Applications

Unspecified application

Species

Unspecified reactive species

Haixia Li,Jinghui Liang,Jiang Wang,Jingyi Han,Shuang Li,Kai Huang,Chuanyong Liu

Annals of translational medicine 8:1229 PubMed33178761

2020

MiR-3121-3p promotes tumor invasion and metastasis by suppressing Rap1GAP in papillary thyroid cancer .

Applications

Unspecified application

Species

Unspecified reactive species

Ming Xu,Jun Zhou,Qiulei Zhang,Kehao Le,Zihan Xi,Pengfei Yi,Xiangwang Zhao,Jie Tan,Tao Huang

Cell cycle (Georgetown, Tex.) 19:2793-2810 PubMed33064976

2020

Inhibition of microRNA-300 inhibits cell adhesion, migration, and invasion of prostate cancer cells by promoting the expression of .

Applications

Unspecified application

Species

Unspecified reactive species

Lin Li,Jing Hao,Cheng-Quan Yan,He-Feng Wang,Bin Meng,Sheng-Yong Cai
View all publications

Product promise

We are committed to supporting your work with high-quality reagents, and we're here for you every step of the way. In the unlikely event that one of our products does not perform as expected, you're protected by our Product Promise.
For full details, please see our Terms & Conditions

Please note: All products are 'FOR RESEARCH USE ONLY. NOT FOR USE IN DIAGNOSTIC OR THERAPEUTIC PROCEDURES'.

For licensing inquiries, please contact partnerships@abcam.com