JavaScript is disabled in your browser. Please enable JavaScript to view this website.
AB129008

Anti-RAPGEF5 antibody [EPR6882]

5

(1 Review)

|

(4 Publications)

Rabbit Recombinant Monoclonal RAPGEF5 antibody. Suitable for IHC-P, WB, ICC/IF, Flow Cyt (Intra) and reacts with Mouse, Rat, Human samples. Cited in 4 publications.

View Alternative Names

GFR, KIAA0277, MRGEF, RAPGEF5, Rap guanine nucleotide exchange factor 5, Guanine nucleotide exchange factor for Rap1, M-Ras-regulated Rap GEF, Related to Epac, MR-GEF, Repac

11 Images
Immunocytochemistry/ Immunofluorescence - Anti-RAPGEF5 antibody [EPR6882] (AB129008)
  • ICC/IF

Unknown

Immunocytochemistry/ Immunofluorescence - Anti-RAPGEF5 antibody [EPR6882] (AB129008)

Immunocytochemistry/Immunofluorescence analysis of HeLa (Human cervix adenocarcinoma epithelial cell) cells labeling RAPGEF5 with Purified ab129008 at 1 : 500 dilution (0.24 μg/ml). Cells were fixed in 4% Paraformaldehyde and permeabilized with 0.1% tritonX-100. Cells were counterstained with ab195889 Anti-alpha Tubulin antibody [DM1A] - Microtubule Marker (Alexa Fluor® 594) 1 : 200 (2.5 μg/ml). Goat anti rabbit IgG (Alexa Fluor® 488, ab150077) was used as the secondary antibody at 1 : 1000 (2 μg/ml) dilution. DAPI (blue) was used as nuclear counterstain. PBS instead of the primary antibody was used as the secondary antibody only control.

Immunocytochemistry/ Immunofluorescence - Anti-RAPGEF5 antibody [EPR6882] (AB129008)
  • ICC/IF

Unknown

Immunocytochemistry/ Immunofluorescence - Anti-RAPGEF5 antibody [EPR6882] (AB129008)

ab129008, unpurified, at 1/100 dilution, staining RAPGEF5 in HEK-293 cells by Immunofluorescence

Flow Cytometry (Intracellular) - Anti-RAPGEF5 antibody [EPR6882] (AB129008)
  • Flow Cyt (Intra)

Unknown

Flow Cytometry (Intracellular) - Anti-RAPGEF5 antibody [EPR6882] (AB129008)

Intracellular Flow Cytometry analysis of HeLa (Human cervix adenocarcinoma epithelial cell) cells, labeling RAPGEF5 with Purified ab129008 at 1/20 dilution (10μg/ml) (Red). Cells were fixed with 4% Paraformaldehyde and permeabilised with 90% Methanol. A Goat anti rabbit IgG (Alexa Fluorr® 488, ab150077) secondary antibody was used at 1/2000. Isotype control - Rabbit monoclonal IgG (Black). Unlabeled control - Cell without incubation with primary antibody and secondary antibody (Blue).

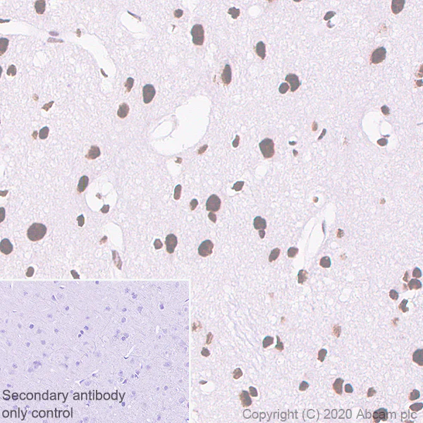
Immunohistochemistry (Formalin/PFA-fixed paraffin-embedded sections) - Anti-RAPGEF5 antibody [EPR6882] (AB129008)
  • IHC-P

Unknown

Immunohistochemistry (Formalin/PFA-fixed paraffin-embedded sections) - Anti-RAPGEF5 antibody [EPR6882] (AB129008)

Immunohistochemistry (Formalin/PFA-fixed paraffin-embedded sections) analysis of rat cerebrum tissue sections labeling RAPGEF5 with purified ab129008 at 1/100 dilution (1.19 μg/mL). Heat mediated antigen retrieval was performed using Bond™ Epitope Retrieval Solution 1 (pH 6.0). Rabbit specific IHC polymer detection kit HRP/DAB (ab209101) was used as the secondary antibody. Negative control : PBS instead of the primary antibody. Hematoxylin was used as a counterstain.
The immunostaining was performed on a Leica Biosystems BOND® RX instrument.

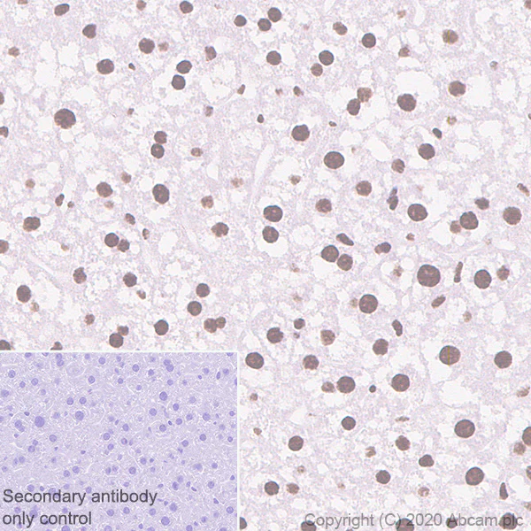
Immunohistochemistry (Formalin/PFA-fixed paraffin-embedded sections) - Anti-RAPGEF5 antibody [EPR6882] (AB129008)
  • IHC-P

Unknown

Immunohistochemistry (Formalin/PFA-fixed paraffin-embedded sections) - Anti-RAPGEF5 antibody [EPR6882] (AB129008)

Immunohistochemistry (Formalin/PFA-fixed paraffin-embedded sections) analysis of mouse liver tissue sections labeling RAPGEF5 with purified ab129008 at 1/100 dilution (1.19 µg/mL). Heat mediated antigen retrieval was performed using Bond™ Epitope Retrieval Solution 1 (pH 6.0). Rabbit specific IHC polymer detection kit HRP/DAB (ab209101) was used as the secondary antibody. Negative control : PBS instead of the primary antibody. Hematoxylin was used as a counterstain.
The immunostaining was performed on a Leica Biosystems BOND® RX instrument.

Western blot - Anti-RAPGEF5 antibody [EPR6882] (AB129008)
  • WB

Unknown

Western blot - Anti-RAPGEF5 antibody [EPR6882] (AB129008)

All lanes:

Western blot - Anti-RAPGEF5 antibody [EPR6882] (ab129008) at 1/1000 dilution

Lane 1:

293T cell lysate at 10 µg

Lane 2:

HeLa cell lysate at 10 µg

Lane 3:

K562 cell lysate at 10 µg

Secondary

All lanes:

HRP labelled Goat anti-Rabbit IgG at 1/2000 dilution

Predicted band size: 68 kDa

false

Immunohistochemistry (Formalin/PFA-fixed paraffin-embedded sections) - Anti-RAPGEF5 antibody [EPR6882] (AB129008)
  • IHC-P

Unknown

Immunohistochemistry (Formalin/PFA-fixed paraffin-embedded sections) - Anti-RAPGEF5 antibody [EPR6882] (AB129008)

ab129008, unpurified, at 1/250 dilution, staining RAPGEF5 in paraffin embedded Human brain tissue by Immunohistochemistry.

Perform heat mediated antigen retrieval with citrate buffer pH 6 before commencing with IHC staining protocol.

Immunohistochemistry (Formalin/PFA-fixed paraffin-embedded sections) - Anti-RAPGEF5 antibody [EPR6882] (AB129008)
  • IHC-P

Unknown

Immunohistochemistry (Formalin/PFA-fixed paraffin-embedded sections) - Anti-RAPGEF5 antibody [EPR6882] (AB129008)

ab129008, unpurified, at 1/250 dilution, staining RAPGEF5 in paraffin embedded Human testis tissue by Immunohistochemistry.

Perform heat mediated antigen retrieval with citrate buffer pH 6 before commencing with IHC staining protocol.

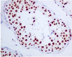
Immunohistochemistry (Formalin/PFA-fixed paraffin-embedded sections) - Anti-RAPGEF5 antibody [EPR6882] (AB129008)
  • IHC-P

Unknown

Immunohistochemistry (Formalin/PFA-fixed paraffin-embedded sections) - Anti-RAPGEF5 antibody [EPR6882] (AB129008)

Immunohistochemistry (Formalin/PFA-fixed paraffin-embedded sections) analysis of human testis tissue sections labeling RAPGEF5 with purified ab129008 at 1/100 dilution (1.19 μg/mL). Heat mediated antigen retrieval was performed using Bond™ Epitope Retrieval Solution 1 (pH 6.0). Rabbit specific IHC polymer detection kit HRP/DAB (ab209101) was used as the secondary antibody. Negative control : PBS instead of the primary antibody. Hematoxylin was used as a counterstain.
The immunostaining was performed on a Leica Biosystems BOND® RX instrument.

Western blot - Anti-RAPGEF5 antibody [EPR6882] (AB129008)
  • WB

Unknown

Western blot - Anti-RAPGEF5 antibody [EPR6882] (AB129008)

Blocking/Diluting buffer : 5% NFDM/TBST

All lanes:

Western blot - Anti-RAPGEF5 antibody [EPR6882] (ab129008) at 1/1000 dilution

Lane 1:

293T (Human embryonic kidney epithelial cell) whole cell lysate at 20 µg

Lane 2:

K-562 (Human chronic myelogenous leukemia lymphoblast) whole cell lysate at 20 µg

Lane 3:

HeLa (Human cervix adenocarcinoma epithelial cel) whole cell lysate at 20 µg

Lane 4:

Mouse brain lysate at 20 µg

Lane 5:

Rat brain lysate at 20 µg

Secondary

All lanes:

Goat Anti-Rabbit IgG (HRP) with minimal cross-reactivity with human IgG at 1/2000 dilution

Predicted band size: 68 kDa

Observed band size: 68 kDa

false

OI-RD Scanning - Anti-RAPGEF5 antibody [EPR6882] (AB129008)
  • OI-RD Scanning

Unknown

OI-RD Scanning - Anti-RAPGEF5 antibody [EPR6882] (AB129008)

We have systematically measured KD (the equilibrium dissociation constant between the antibody and its antigen), of more than 840 recombinant antibodies to assess not only their individual KD values but also to see the average affinity of antibody. Based on the comparison with published literature values for mouse monoclonal antibodies, Recombinant antibodies appear to be on average 1-2 order of magnitude higher affinity.

Key facts

Host species

Rabbit

Clonality

Monoclonal

Clone number

EPR6882

Isotype

IgG

Carrier free

No

Reacts with

Mouse, Rat, Human

Applications

IHC-P, ICC/IF, Flow Cyt (Intra), WB

applications

Immunogen

The exact immunogen used to generate this antibody is proprietary information.

Reactivity data

{ "title": "Reactivity Data", "filters": { "stats": ["", "Species", "Dilution Info", "Notes"], "tabs": { "all-applications": {"fullname" : "All Applications", "shortname": "All Applications"}, "IHCP" : {"fullname" : "Immunohistochemistry (Formalin/PFA-fixed paraffin-embedded sections)", "shortname":"IHC-P"}, "WB" : {"fullname" : "Western blot", "shortname":"WB"}, "ICCIF" : {"fullname" : "Immunocytochemistry/ Immunofluorescence", "shortname":"ICC/IF"}, "FlowCytIntra" : {"fullname" : "Flow Cytometry (Intracellular)", "shortname":"Flow Cyt (Intra)"} }, "product-promise": { "all": "all", "testedAndGuaranteed": "tested", "guaranteed": "expected", "predicted": "predicted", "notRecommended": "not-recommended" } }, "values": { "Human": { "IHCP-species-checked": "testedAndGuaranteed", "IHCP-species-dilution-info": "1/250 - 1/500", "IHCP-species-notes": "<p></p>", "WB-species-checked": "testedAndGuaranteed", "WB-species-dilution-info": "1/1000 - 1/10000", "WB-species-notes": "<p></p>", "ICCIF-species-checked": "testedAndGuaranteed", "ICCIF-species-dilution-info": "1/100 - 1/250", "ICCIF-species-notes": "<p></p>", "FlowCytIntra-species-checked": "testedAndGuaranteed", "FlowCytIntra-species-dilution-info": "1/10 - 1/100", "FlowCytIntra-species-notes": "<p><a href='/en-us/products/primary-antibodies/rabbit-igg-monoclonal-epr25a-isotype-control-ab172730'>ab172730</a> - Rabbit monoclonal IgG, is suitable for use as an isotype control with this antibody.</p>" }, "Mouse": { "IHCP-species-checked": "testedAndGuaranteed", "IHCP-species-dilution-info": "1/250 - 1/500", "IHCP-species-notes": "<p></p>", "WB-species-checked": "testedAndGuaranteed", "WB-species-dilution-info": "1/1000 - 1/10000", "WB-species-notes": "<p></p>", "ICCIF-species-checked": "guaranteed", "ICCIF-species-dilution-info": "", "ICCIF-species-notes": "", "FlowCytIntra-species-checked": "guaranteed", "FlowCytIntra-species-dilution-info": "", "FlowCytIntra-species-notes": "" }, "Rat": { "IHCP-species-checked": "testedAndGuaranteed", "IHCP-species-dilution-info": "1/250 - 1/500", "IHCP-species-notes": "<p></p>", "WB-species-checked": "testedAndGuaranteed", "WB-species-dilution-info": "1/1000 - 1/10000", "WB-species-notes": "<p></p>", "ICCIF-species-checked": "guaranteed", "ICCIF-species-dilution-info": "", "ICCIF-species-notes": "", "FlowCytIntra-species-checked": "guaranteed", "FlowCytIntra-species-dilution-info": "", "FlowCytIntra-species-notes": "" } } }

Product details

Patented technology
Our RabMAb® technology is a patented hybridoma-based technology for making rabbit monoclonal antibodies. For details on our patents, please refer to RabMAb® patents.

What are the advantages of a recombinant monoclonal antibody?
This product is a recombinant monoclonal antibody, which offers several advantages including:

  • - High batch-to-batch consistency and reproducibility
  • - Improved sensitivity and specificity
  • - Long-term security of supply
  • - Animal-free batch production

For more information, read more on recombinant antibodies.

Properties and storage information

Form
Liquid
Purification technique
Affinity purification Protein A
Storage buffer
pH: 7.2 - 7.4 Preservative: 0.01% Sodium azide Constituents: PBS, 40% Glycerol (glycerin, glycerine), 0.05% BSA
Shipped at conditions
Blue Ice
Appropriate short-term storage duration
1-2 weeks
Appropriate short-term storage conditions
+4°C
Appropriate long-term storage conditions
-20°C
Aliquoting information
Upon delivery aliquot
Storage information
Avoid freeze / thaw cycle

Product protocols

For this product, it's our understanding that no specific protocols are required. You can visit:

Target data

Guanine nucleotide exchange factor (GEF) for RAP1A, RAP2A and MRAS/M-Ras-GTP. Its association with MRAS inhibits Rap1 activation.
See full target information RAPGEF5

Publications (4)

Recent publications for all applications. Explore the full list and refine your search

JCI insight 9: PubMed39576014

2024

CRISPR/CasRx suppresses KRAS-induced brain arteriovenous malformation developed in postnatal brain endothelial cells in mice.

Applications

Unspecified application

Species

Unspecified reactive species

Shoji Saito,Yuka Nakamura,Satoshi Miyashita,Tokiharu Sato,Kana Hoshina,Masayasu Okada,Hitoshi Hasegawa,Makoto Oishi,Yukihiko Fujii,Jakob Körbelin,Yoshiaki Kubota,Kazuki Tainaka,Manabu Natsumeda,Masaki Ueno

Neuropathology and applied neurobiology 47:625-639 PubMed33345400

2021

RAPGEF2 mediates oligomeric Aβ-induced synaptic loss and cognitive dysfunction in the 3xTg-AD mouse model of Alzheimer's disease.

Applications

Unspecified application

Species

Unspecified reactive species

You-Na Jang,HoChung Jang,Gyu Hyun Kim,Jeong-Eun Noh,Keun-A Chang,Kea Joo Lee

Developmental cell 44:248-260.e4 PubMed29290587

2018

RAPGEF5 Regulates Nuclear Translocation of β-Catenin.

Applications

Unspecified application

Species

Unspecified reactive species

John N Griffin,Florencia Del Viso,Anna R Duncan,Andrew Robson,Woong Hwang,Saurabh Kulkarni,Karen J Liu,Mustafa K Khokha

Genomics 102:27-34 PubMed23434627

2013

Identification of chromosomal copy number variations and novel candidate loci in hereditary nonpolyposis colorectal cancer with mismatch repair proficiency.

Applications

IHC-P

Species

Human

Weixiang Chen,Lin Yuan,Ying Cai,Xiaocheng Chen,Yayun Chi,Ping Wei,Xiaoyan Zhou,Daren Shi
View all publications

Product promise

We are committed to supporting your work with high-quality reagents, and we're here for you every step of the way. In the unlikely event that one of our products does not perform as expected, you're protected by our Product Promise.
For full details, please see our Terms & Conditions

Please note: All products are 'FOR RESEARCH USE ONLY. NOT FOR USE IN DIAGNOSTIC OR THERAPEUTIC PROCEDURES'.

For licensing inquiries, please contact partnerships@abcam.com