JavaScript is disabled in your browser. Please enable JavaScript to view this website.
AB121619

Anti-RAPH1 antibody

Be the first to review this product! Submit a review

|

(2 Publications)

Rabbit Polyclonal RAPH1 antibody. Suitable for IHC-P, ICC/IF and reacts with Human samples. Cited in 2 publications. Immunogen corresponding to Recombinant Fragment Protein within Human RAPH1 aa 1100 to C-terminus.

View Alternative Names

ALS2CR18, ALS2CR9, KIAA1681, LPD, PREL2, RMO1, RAPH1, Ras-associated and pleckstrin homology domains-containing protein 1, Amyotrophic lateral sclerosis 2 chromosomal region candidate gene 18 protein, Amyotrophic lateral sclerosis 2 chromosomal region candidate gene 9 protein, Lamellipodin, Proline-rich EVH1 ligand 2, Protein RMO1, PREL-2

2 Images
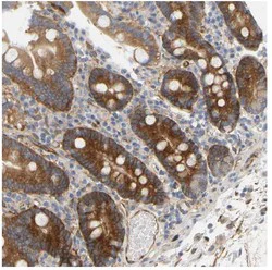
Immunohistochemistry (Formalin/PFA-fixed paraffin-embedded sections) - Anti-RAPH1 antibody (AB121619)
  • IHC-P

Unknown

Immunohistochemistry (Formalin/PFA-fixed paraffin-embedded sections) - Anti-RAPH1 antibody (AB121619)

ab121619 at 1/75 staining RALPH1 in Paraffin Embedded Human duodenum tissue. Note strong cytoplasmic positivity in glandular cells.

Immunocytochemistry/ Immunofluorescence - Anti-RAPH1 antibody (AB121619)
  • ICC/IF

Unknown

Immunocytochemistry/ Immunofluorescence - Anti-RAPH1 antibody (AB121619)

Immunofluorescent staining of Human cell line U-2 OS shows positivity in nucleus, plasma membrane and cytoplasm. Recommended concentration of ab121619 1-4 µg/ml. Cells treated with PFA/Triton X-100.

Key facts

Host species

Rabbit

Clonality

Polyclonal

Isotype

IgG

Carrier free

No

Reacts with

Human

Applications

IHC-P, ICC/IF

applications

Immunogen

Recombinant Fragment Protein within Human RAPH1 aa 1100 to C-terminus. The exact immunogen used to generate this antibody is proprietary information.

Q70E73

Reactivity data

{ "title": "Reactivity Data", "filters": { "stats": ["", "Species", "Dilution Info", "Notes"], "tabs": { "all-applications": {"fullname" : "All Applications", "shortname": "All Applications"}, "IHCP" : {"fullname" : "Immunohistochemistry (Formalin/PFA-fixed paraffin-embedded sections)", "shortname":"IHC-P"}, "ICCIF" : {"fullname" : "Immunocytochemistry/ Immunofluorescence", "shortname":"ICC/IF"} }, "product-promise": { "all": "all", "testedAndGuaranteed": "tested", "guaranteed": "expected", "predicted": "predicted", "notRecommended": "not-recommended" } }, "values": { "Human": { "IHCP-species-checked": "testedAndGuaranteed", "IHCP-species-dilution-info": "1/50 - 1/200", "IHCP-species-notes": "<p>pH 6</p> Perform heat-mediated antigen retrieval with citrate buffer pH 6 before commencing with IHC staining protocol.", "ICCIF-species-checked": "testedAndGuaranteed", "ICCIF-species-dilution-info": "1-4 µg/mL", "ICCIF-species-notes": "<p>Recommend PFA Fixation and Triton X-100 treatment</p>" } } }

Properties and storage information

Form
Liquid
Purification technique
Affinity purification Immunogen
Storage buffer
pH: 7.2 Preservative: 0.02% Sodium azide Constituents: PBS, 40% Glycerol (glycerin, glycerine)
Shipped at conditions
Blue Ice
Appropriate short-term storage conditions
+4°C
Appropriate long-term storage conditions
-20°C
Aliquoting information
Upon delivery aliquot
Storage information
Avoid freeze / thaw cycle

Product protocols

For this product, it's our understanding that no specific protocols are required. You can visit:

Target data

Mediator of localized membrane signals. Implicated in the regulation of lamellipodial dynamics. Negatively regulates cell adhesion.
See full target information RAPH1

Publications (2)

Recent publications for all applications. Explore the full list and refine your search

Journal of cardiothoracic surgery 20:51 PubMed39780196

2025

SNX30 inhibits lung adenocarcinoma cell proliferation and induces cell ferroptosis through regulating SETDB1.

Applications

Unspecified application

Species

Unspecified reactive species

Xinjie Fan,Qichu Zhu,Chengzhuo Du,Jinlai Chen,Yingming Su

Life science alliance 6: PubMed36446521

2022

Loss of NDR1/2 kinases impairs endomembrane trafficking and autophagy leading to neurodegeneration.

Applications

Unspecified application

Species

Unspecified reactive species

Flavia Roşianu,Simeon R Mihaylov,Noreen Eder,Antonie Martiniuc,Suzanne Claxton,Helen R Flynn,Shamsinar Jalal,Marie-Charlotte Domart,Lucy Collinson,Mark Skehel,Ambrosius P Snijders,Matthias Krause,Sharon A Tooze,Sila K Ultanir
View all publications

Product promise

We are committed to supporting your work with high-quality reagents, and we're here for you every step of the way. In the unlikely event that one of our products does not perform as expected, you're protected by our Product Promise.
For full details, please see our Terms & Conditions

Please note: All products are 'FOR RESEARCH USE ONLY. NOT FOR USE IN DIAGNOSTIC OR THERAPEUTIC PROCEDURES'.

For licensing inquiries, please contact partnerships@abcam.com