JavaScript is disabled in your browser. Please enable JavaScript to view this website.
AB118491

Anti-Rapsyn antibody

Be the first to review this product! Submit a review

|

(1 Publication)

Rabbit Polyclonal Rapsyn antibody. Suitable for IHC-P and reacts with Human samples. Cited in 1 publication. Immunogen corresponding to Synthetic Peptide within Human RAPSN aa 350 to C-terminus conjugated to Keyhole Limpet Haemocyanin.

View Alternative Names

RNF205, RAPSN, 43 kDa receptor-associated protein of the synapse, RAPsyn, 43 kDa postsynaptic protein, Acetylcholine receptor-associated 43 kDa protein, RING finger protein 205

1 Images
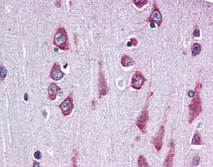
Immunohistochemistry (Formalin/PFA-fixed paraffin-embedded sections) - Anti-Rapsyn antibody (AB118491)
  • IHC-P

Unknown

Immunohistochemistry (Formalin/PFA-fixed paraffin-embedded sections) - Anti-Rapsyn antibody (AB118491)

ab118491 at 20μg/ml staining Rapsyn in Formalin-fixed, Paraffin-embedded Human brain (cortex) tissue by Immunohistochemistry, followed by biotinylated secondary antibody, alkaline phosphatase-streptavidin and chromogen.

Key facts

Host species

Rabbit

Clonality

Polyclonal

Isotype

IgG

Carrier free

No

Reacts with

Human

Applications

IHC-P

applications

Immunogen

Synthetic Peptide within Human RAPSN aa 350 to C-terminus conjugated to Keyhole Limpet Haemocyanin. The exact immunogen used to generate this antibody is proprietary information.

Q13702

Reactivity data

{ "title": "Reactivity Data", "filters": { "stats": ["", "Species", "Dilution Info", "Notes"], "tabs": { "all-applications": {"fullname" : "All Applications", "shortname": "All Applications"}, "IHCP" : {"fullname" : "Immunohistochemistry (Formalin/PFA-fixed paraffin-embedded sections)", "shortname":"IHC-P"} }, "product-promise": { "all": "all", "testedAndGuaranteed": "tested", "guaranteed": "expected", "predicted": "predicted", "notRecommended": "not-recommended" } }, "values": { "Human": { "IHCP-species-checked": "testedAndGuaranteed", "IHCP-species-dilution-info": "10-20 µg/mL", "IHCP-species-notes": "<p></p> Perform heat-mediated antigen retrieval with citrate buffer pH 6 before commencing with IHC staining protocol." }, "Mouse": { "IHCP-species-checked": "predicted", "IHCP-species-dilution-info": "", "IHCP-species-notes": "" }, "Rat": { "IHCP-species-checked": "predicted", "IHCP-species-dilution-info": "", "IHCP-species-notes": "" } } }

Properties and storage information

Form
Liquid
Purification technique
Affinity purification Protein A
Storage buffer
Preservative: 0.01% Sodium azide Constituents: PBS, 50% Glycerol (glycerin, glycerine)
Shipped at conditions
Blue Ice
Appropriate short-term storage duration
1-2 weeks
Appropriate short-term storage conditions
+4°C
Appropriate long-term storage conditions
-20°C
Aliquoting information
Upon delivery aliquot

Supplementary information

This supplementary information is collated from multiple sources and compiled automatically.

Rapsyn also known as receptor-associated protein of the synapse or 43 kDa postsynaptic protein has a mass of 43 kilodaltons. Rapsyn is mainly expressed in skeletal muscle tissues. Mechanically it plays a role as a scaffolding protein that links nicotinic acetylcholine receptors (nAChRs) to the postsynaptic cytoskeleton at neuromuscular junctions. This association ensures proper clustering of nAChRs which is essential for efficient synaptic transmission.
Biological function summary

Rapsyn facilitates the organization and stabilization of acetylcholine receptors at the neuromuscular junction. It acts as part of a larger protein complex that anchors these receptors to the skeletal muscle surface. Macromolecular complexes like those involving Rapsyn are important for the formation and maintenance of the postsynaptic membrane which ensures effective muscle contraction in response to nerve signals. Additionally Rapsyn assists in the aggregation of receptors during synaptogenesis the process by which synapses form between neurons and muscle fibers.

Pathways

Rapsyn contributes to signal transduction and synaptic transmission processes. It associates closely with Dystrophin-glycoprotein complex (DGC) pathway maintaining the structural integrity of the neuromuscular junction. Rapsyn interacts with proteins such as MuSK (Muscle-Specific Kinase) to facilitate nAChR clustering during synapse formation. This interaction also involves agrin-mediated signaling which is critical in neuromuscular development and function.

Mutations or dysfunctions in Rapsyn can be linked to conditions such as congenital myasthenic syndromes (CMS). CMS involves impaired neuromuscular transmission causing muscle weakness and fatigue. Rapsyn mutations can disrupt its interaction with proteins like nAChRs and MuSK compromising synaptic stability and efficiency. Another related disorder is limb-girdle muscular dystrophy where pathways involving Rapsyn and DGC proteins are affected leading to progressive muscle weakness and degeneration.

Product protocols

For this product, it's our understanding that no specific protocols are required. You can visit:

Target data

Postsynaptic protein required for clustering of nicotinic acetylcholine receptors (nAChRs) at the neuromuscular junction. It may link the receptor to the underlying postsynaptic cytoskeleton, possibly by direct association with actin or spectrin.
See full target information RAPSN

Publications (1)

Recent publications for all applications. Explore the full list and refine your search

Journal of ovarian research 9:56 PubMed27614897

2016

Expression pattern of circadian genes and steroidogenesis-related genes after testosterone stimulation in the human ovary.

Applications

Unspecified application

Species

Unspecified reactive species

Minghui Chen,Yanwen Xu,Benyu Miao,Hui Zhao,Lu Luo,Huijuan Shi,Canquan Zhou
View all publications

Product promise

We are committed to supporting your work with high-quality reagents, and we're here for you every step of the way. In the unlikely event that one of our products does not perform as expected, you're protected by our Product Promise.
For full details, please see our Terms & Conditions

Please note: All products are 'FOR RESEARCH USE ONLY. NOT FOR USE IN DIAGNOSTIC OR THERAPEUTIC PROCEDURES'.

For licensing inquiries, please contact partnerships@abcam.com