JavaScript is disabled in your browser. Please enable JavaScript to view this website.
AB40768

Anti-Raptor antibody [EP539Y]

4

(3 Reviews)

|

(38 Publications)

Rabbit Recombinant Monoclonal Raptor antibody. Suitable for WB, IHC-P and reacts with Mouse, Rat, Human samples. Cited in 38 publications.

View Alternative Names

KIAA1303, RAPTOR, RPTOR, Regulatory-associated protein of mTOR, Raptor, p150 target of rapamycin (TOR)-scaffold protein

7 Images
Immunohistochemistry (Formalin/PFA-fixed paraffin-embedded sections) - Anti-Raptor antibody [EP539Y] (AB40768)
  • IHC-P

Unknown

Immunohistochemistry (Formalin/PFA-fixed paraffin-embedded sections) - Anti-Raptor antibody [EP539Y] (AB40768)

Immunohistochemical analysis of paraffin-embedded human cardiac muscle sections labelling Raptor with purified ab40768 at dilution of 1/100. The secondary antibody used was ab97051; a goat anti-rabbit IgG H&L (HRP) at dilution of 1/500. The sample was counterstained with hematoxylin. Antigen retrieval was performed using EDTA Buffer; pH 9.0. PBS was used instead of the primary antibody as the negative control and is shown in the inset.

Immunohistochemistry (Formalin/PFA-fixed paraffin-embedded sections) - Anti-Raptor antibody [EP539Y] (AB40768)
  • IHC-P

Unknown

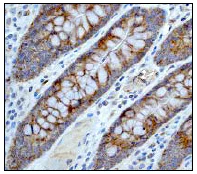
Immunohistochemistry (Formalin/PFA-fixed paraffin-embedded sections) - Anti-Raptor antibody [EP539Y] (AB40768)

Immunohistochemical analysis of paraffin-embedded human colon using anti-Raptor ab40768 at 1/50 dilution.

Western blot - Anti-Raptor antibody [EP539Y] (AB40768)
  • WB

Unknown

Western blot - Anti-Raptor antibody [EP539Y] (AB40768)

Blocking/Diluting buffer 5% NFDM /TBST

All lanes:

Western blot - Anti-Raptor antibody [EP539Y] (ab40768) at 1/5000 dilution

Lane 1:

HEK-293 (human embryonic kidney) whole cell lysate at 20 µg

Lane 2:

HeLa (human cervix adenocarcinoma) whole cell lysate at 20 µg

Lane 3:

MCF-7 (human breast carcinoma) whole cell lysate at 20 µg

Secondary

All lanes:

Western blot - Goat Anti-Rabbit IgG H&L (HRP) (<a href='/en-us/products/secondary-antibodies/goat-rabbit-igg-h-l-hrp-ab97051'>ab97051</a>) at 1/20000 dilution

Predicted band size: 149 kDa

Observed band size: 140 kDa

false

Western blot - Anti-Raptor antibody [EP539Y] (AB40768)
  • WB

Unknown

Western blot - Anti-Raptor antibody [EP539Y] (AB40768)

Blocking/Diluting buffer 5% NFDM /TBST

All lanes:

Western blot - Anti-Raptor antibody [EP539Y] (ab40768) at 1/5000 dilution

All lanes:

Rat brain tissue lysate at 20 mg/mL

Secondary

All lanes:

Western blot - Goat Anti-Rabbit IgG H&L (HRP) (<a href='/en-us/products/secondary-antibodies/goat-rabbit-igg-h-l-hrp-ab97051'>ab97051</a>) at 1/20000 dilution

Predicted band size: 149 kDa

Observed band size: 140 kDa

false

Western blot - Anti-Raptor antibody [EP539Y] (AB40768)
  • WB

Unknown

Western blot - Anti-Raptor antibody [EP539Y] (AB40768)

Blocking/Diluting buffer 5% NFDM /TBST

All lanes:

Western blot - Anti-Raptor antibody [EP539Y] (ab40768) at 1/1000 dilution

All lanes:

Mouse brain tissue lysate at 10 µg

Secondary

All lanes:

Western blot - Goat Anti-Rabbit IgG H&L (HRP) (<a href='/en-us/products/secondary-antibodies/goat-rabbit-igg-h-l-hrp-ab97051'>ab97051</a>) at 1/20000 dilution

Predicted band size: 149 kDa,23 kDa

Observed band size: 140 kDa,32 kDa

false

Western blot - Anti-Raptor antibody [EP539Y] (AB40768)
  • WB

Unknown

Western blot - Anti-Raptor antibody [EP539Y] (AB40768)

All lanes:

Western blot - Anti-Raptor antibody [EP539Y] (ab40768) at 1/500 dilution

Lane 1:

293 cell lysate at 10 µg

Lane 2:

MCF-7 cell lysate at 10 µg

Lane 3:

HeLa cell lysate at 10 µg

Lane 4:

A431 cell lysate at 10 µg

Predicted band size: 149 kDa

Observed band size: 140 kDa,21 kDa,37 kDa

false

Western blot - Anti-Raptor antibody [EP539Y] (AB40768)
  • WB

CiteAb

Western blot - Anti-Raptor antibody [EP539Y] (AB40768)

Raptor western blot using anti-Raptor antibody [EP539Y] ab40768. Publication image and figure legend from Chen, Z., Wang, C., et al., 2020, Mol Med, PubMed 32000660.

ab40768 was used in this publication in western blot. This may not be the same as the application(s) guaranteed by Abcam. For a full list of applications guaranteed by Abcam for ab40768 please see the product overview.

Aspirin affects phosphorylation of PI3K/Akt/Raptor pathway in CRC cells a Expression of PI3K protein and protein phosphorylation in HCT-116 cells treated with different concentrations of aspirin. b Expression of PI3K protein and protein phosphorylation in RKO cells treated with different concentrations of aspirin. c Expression of Akt protein and protein phosphorylation in HCT-116 cells treated with different concentrations of aspirin. d Expression of Akt protein and protein phosphorylation in RKO cells treated with different concentrations of aspirin. e The results of Raptor protein expression in differently treated groups in HCT-116 cells. f The results of Raptor protein expression in differently treated groups in RKO cells. All experiments were repeated 3 times, (n = 3) Mean ± SD. *p < 0.05, **p < 0.01 and ***p < 0.001 (vs. normal group)

false

  • Carrier free

    Anti-Raptor antibody [EP539Y] - BSA and Azide free

Key facts

Host species

Rabbit

Clonality

Monoclonal

Clone number

EP539Y

Isotype

IgG

Carrier free

No

Reacts with

Mouse, Rat, Human

Applications

WB, IHC-P

applications

Immunogen

The exact immunogen used to generate this antibody is proprietary information.

Reactivity data

{ "title": "Reactivity Data", "filters": { "stats": ["", "Species", "Dilution Info", "Notes"], "tabs": { "all-applications": {"fullname" : "All Applications", "shortname": "All Applications"}, "IP" : {"fullname" : "Immunoprecipitation", "shortname":"IP"}, "FlowCyt" : {"fullname" : "Flow Cytometry", "shortname":"Flow Cyt"}, "WB" : {"fullname" : "Western blot", "shortname":"WB"}, "ICCIF" : {"fullname" : "Immunocytochemistry/ Immunofluorescence", "shortname":"ICC/IF"}, "IHCP" : {"fullname" : "Immunohistochemistry (Formalin/PFA-fixed paraffin-embedded sections)", "shortname":"IHC-P"} }, "product-promise": { "all": "all", "testedAndGuaranteed": "tested", "guaranteed": "expected", "predicted": "predicted", "notRecommended": "not-recommended" } }, "values": { "Human": { "IP-species-checked": "notRecommended", "IP-species-dilution-info": "1/30", "IP-species-notes": "<p></p>", "FlowCyt-species-checked": "notRecommended", "FlowCyt-species-dilution-info": "1/30", "FlowCyt-species-notes": "<p><a href='/en-us/products/primary-antibodies/rabbit-igg-monoclonal-epr25a-isotype-control-ab172730'>ab172730</a> - Rabbit monoclonal IgG, is suitable for use as an isotype control with this antibody.</p>", "WB-species-checked": "testedAndGuaranteed", "WB-species-dilution-info": "1/1000 - 1/5000", "WB-species-notes": "<p><strong>For unpurified use at 1/500. </strong></p>", "ICCIF-species-checked": "notRecommended", "ICCIF-species-dilution-info": "1/100 - 1/250", "ICCIF-species-notes": "<p></p>", "IHCP-species-checked": "testedAndGuaranteed", "IHCP-species-dilution-info": "1/100", "IHCP-species-notes": "<p>See .</p> Perform heat-mediated antigen retrieval with Tris/EDTA buffer pH 9.0 before commencing with IHC staining protocol." }, "Mouse": { "IP-species-checked": "notRecommended", "IP-species-dilution-info": "1/30", "IP-species-notes": "<p></p>", "FlowCyt-species-checked": "notRecommended", "FlowCyt-species-dilution-info": "1/30", "FlowCyt-species-notes": "<p><a href='/en-us/products/primary-antibodies/rabbit-igg-monoclonal-epr25a-isotype-control-ab172730'>ab172730</a> - Rabbit monoclonal IgG, is suitable for use as an isotype control with this antibody.</p>", "WB-species-checked": "testedAndGuaranteed", "WB-species-dilution-info": "1/1000 - 1/5000", "WB-species-notes": "<p><strong>For unpurified use at 1/500. </strong></p>", "ICCIF-species-checked": "notRecommended", "ICCIF-species-dilution-info": "1/100 - 1/250", "ICCIF-species-notes": "<p></p>", "IHCP-species-checked": "guaranteed", "IHCP-species-dilution-info": "", "IHCP-species-notes": "" }, "Rat": { "IP-species-checked": "notRecommended", "IP-species-dilution-info": "1/30", "IP-species-notes": "<p></p>", "FlowCyt-species-checked": "notRecommended", "FlowCyt-species-dilution-info": "1/30", "FlowCyt-species-notes": "<p><a href='/en-us/products/primary-antibodies/rabbit-igg-monoclonal-epr25a-isotype-control-ab172730'>ab172730</a> - Rabbit monoclonal IgG, is suitable for use as an isotype control with this antibody.</p>", "WB-species-checked": "testedAndGuaranteed", "WB-species-dilution-info": "1/1000 - 1/5000", "WB-species-notes": "<p><strong>For unpurified use at 1/500. </strong></p>", "ICCIF-species-checked": "notRecommended", "ICCIF-species-dilution-info": "1/100 - 1/250", "ICCIF-species-notes": "<p></p>", "IHCP-species-checked": "guaranteed", "IHCP-species-dilution-info": "", "IHCP-species-notes": "" } } }

Product details

Patented technology
Our RabMAb® technology is a patented hybridoma-based technology for making rabbit monoclonal antibodies. For details on our patents, please refer to RabMAb® patents.

What are the advantages of a recombinant monoclonal antibody?
This product is a recombinant monoclonal antibody, which offers several advantages including:

  • - High batch-to-batch consistency and reproducibility
  • - Improved sensitivity and specificity
  • - Long-term security of supply
  • - Animal-free batch production

For more information, read more on recombinant antibodies.

Properties and storage information

Form
Liquid
Purification technique
Affinity purification Protein A
Storage buffer
pH: 7.2 - 7.4 Preservative: 0.01% Sodium azide Constituents: PBS, 40% Glycerol (glycerin, glycerine), 0.05% BSA
Shipped at conditions
Blue Ice
Appropriate short-term storage duration
1-2 weeks
Appropriate short-term storage conditions
+4°C
Appropriate long-term storage conditions
-20°C
Aliquoting information
Upon delivery aliquot
Storage information
Avoid freeze / thaw cycle

Supplementary information

This supplementary information is collated from multiple sources and compiled automatically.

Raptor short for Regulatory-associated protein of mTOR functions as an important component of the mechanistic target of rapamycin complex 1 (mTORC1). Raptor itself has a molecular mass of around 150 kDa. It is expressed in many tissues with high levels found in muscle liver and brain. Raptor plays a mechanical role as a scaffolding protein which facilitates the recruitment of substrates to mTORC1 and regulates its activity. By binding with mTOR and other components Raptor ensures proper signaling involving growth factors energy levels and nutrient availability.
Biological function summary

Raptor serves as an essential part of cell growth and proliferation by being a constituent of the mTORC1 complex. This complex is sensitive to nutrients energy oxygen and stress signals allowing cells to adjust their functions based on environmental conditions. Raptor aids mTORC1 in translating these cellular inputs into appropriate responses such as protein synthesis and autophagy inhibition. It therefore plays a pivotal role in coordinating cellular adaptation and homeostasis.

Pathways

The mTOR signaling which involves Raptor is significant for the regulation of cell growth and metabolism. The two main pathways where Raptor shows importance are the PI3K/AKT/mTOR and AMP-activated protein kinase (AMPK) pathways. Raptor interacts with other proteins like Akt and TSC2 providing a link between growth factor signals and cellular metabolic processes. These interactions help balance energy consumption and storage maintaining cellular and organismal energy stability.

Raptor has links to cancer and type 2 diabetes. Aberrant mTORC1 activity influenced by dysregulation of Raptor contributes to tumorigenesis through uncontrolled cell proliferation. Similarly alterations in Raptor function affect insulin signaling pathways leading to metabolic disturbances observed in type 2 diabetes. In both contexts Raptor interacts with proteins like TSC1 and PRAS40 further influencing disease progression and therapeutic outcomes.

Product protocols

For this product, it's our understanding that no specific protocols are required. You can visit:

Target data

Component of the mechanistic target of rapamycin complex 1 (mTORC1), an evolutionarily conserved central nutrient sensor that stimulates anabolic reactions and macromolecule biosynthesis to promote cellular biomass generation and growth (PubMed : 12150925, PubMed : 12150926, PubMed : 12747827, PubMed : 24403073, PubMed : 26588989, PubMed : 32561715, PubMed : 37541260). In response to nutrients, growth factors or amino acids, mTORC1 is recruited to the lysosome membrane and promotes protein, lipid and nucleotide synthesis by phosphorylating several substrates, such as ribosomal protein S6 kinase (RPS6KB1 and RPS6KB2) and EIF4EBP1 (4E-BP1) (PubMed : 12150925, PubMed : 12150926, PubMed : 12747827, PubMed : 24403073, PubMed : 26588989, PubMed : 37541260). In the same time, it inhibits catabolic pathways by phosphorylating the autophagy initiation components ULK1 and ATG13, as well as transcription factor TFEB, a master regulators of lysosomal biogenesis and autophagy (PubMed : 12150925, PubMed : 12150926, PubMed : 12747827, PubMed : 24403073, PubMed : 32561715, PubMed : 37541260). The mTORC1 complex is inhibited in response to starvation and amino acid depletion (PubMed : 12150925, PubMed : 12150926, PubMed : 12747827, PubMed : 24403073, PubMed : 37541260). Within the mTORC1 complex, RPTOR acts both as a molecular adapter, which (1) mediates recruitment of mTORC1 to lysosomal membranes via interaction with small GTPases Rag (RagA/RRAGA, RagB/RRAGB, RagC/RRAGC and/or RagD/RRAGD), and a (2) substrate-specific adapter, which promotes substrate specificity by binding to TOS motif-containing proteins and direct them towards the active site of the MTOR kinase domain for phosphorylation (PubMed : 12747827, PubMed : 24403073, PubMed : 26588989, PubMed : 37541260). mTORC1 complex regulates many cellular processes, such as odontoblast and osteoclast differentiation or neuronal transmission (By similarity). mTORC1 complex in excitatory neuronal transmission is required for the prosocial behavior induced by the psychoactive substance lysergic acid diethylamide (LSD) (By similarity).
See full target information RPTOR

Publications (38)

Recent publications for all applications. Explore the full list and refine your search

Balkan medical journal 42:538-546 PubMed41035257

2025

Fat Mass and Obesity-Associated Protein-Mediated Adipogenic Differentiation of Bone Marrow Mesenchymal Stem Cells Promotes Chemotherapy Resistance in Acute Myeloid Leukemia

Applications

Unspecified application

Species

Unspecified reactive species

Pan Zhipeng,Kang Lixia,Chen Ling

eLife 13: PubMed39283662

2024

Mechanistic target of rapamycin (mTOR) pathway in Sertoli cells regulates age-dependent changes in sperm DNA methylation.

Applications

Unspecified application

Species

Unspecified reactive species

Saira Amir,Olatunbosun Arowolo,Ekaterina Mironova,Joseph McGaunn,Oladele Oluwayiose,Oleg Sergeyev,J Richard Pilsner,Alexander Suvorov

Journal of agricultural and food chemistry 72:19667-19679 PubMed39219293

2024

mTORC1 and mTORC2 Co-Protect against Cadmium-Induced Renal Tubular Epithelial Cell Apoptosis and Acute Kidney Injury by Regulating Protein Kinase B.

Applications

Unspecified application

Species

Unspecified reactive species

Jiaqiao Zhu,Zhonggui Gong,Xueru Wang,Kanglei Zhang,Yonggang Ma,Hui Zou,Ruilong Song,Hongyan Zhao,Zongping Liu,Wenxuan Dong

British journal of cancer 130:1119-1130 PubMed38341510

2024

Tumorigenic role of tacrolimus through mTORC1/C2 activation in post-transplant renal cell carcinomas.

Applications

Unspecified application

Species

Unspecified reactive species

Dorottya Moldvai,Dániel Sztankovics,Titanilla Dankó,Enikő Vetlényi,Gábor Petővári,Ágnes Márk,Attila Patonai,Gyula Végső,László Piros,Ádám Hosszú,Judit Pápay,Ildikó Krencz,Anna Sebestyén

Molecular medicine reports 28: PubMed37681444

2023

Iron oxide nanoparticles induce ferroptosis via the autophagic pathway by synergistic bundling with paclitaxel.

Applications

Unspecified application

Species

Unspecified reactive species

Qi Nie,Wenqing Chen,Tianmei Zhang,Shangrong Ye,Zhongyu Ren,Peng Zhang,Jian Wen

Toxicology 486:153434 PubMed36708981

2023

Dysregulation of the mTOR pathway by mechlorethamine.

Applications

Unspecified application

Species

Unspecified reactive species

Trishaal Janardhanam Raghavendra Rao,Ganming Mao,Benedette J Cuffari,Blase Billack

Cell & bioscience 12:122 PubMed35918763

2022

AKT phosphorylation as a predictive biomarker for PI3K/mTOR dual inhibition-induced proteolytic cleavage of mTOR companion proteins in small cell lung cancer.

Applications

Unspecified application

Species

Unspecified reactive species

Ming-Chun Hung,Wan-Ping Wang,Ya-Hui Chi

Annals of translational medicine 10:291 PubMed35433951

2022

Jian Pi Tiao Gan Yin alleviates obesity phenotypes through mTORC1/SREBP1 signaling and .

Applications

Unspecified application

Species

Unspecified reactive species

Xiaoming Song,Lulu Han,Xiaowan Lin,Minghui Tian,Fenglei Sun,Bo Feng

Global spine journal 13:2396-2408 PubMed35400210

2022

Mechanism of the Mitogen-Activated Protein Kinases/Mammalian Target of Rapamycin Pathway in the Process of Cartilage Endplate Stem Cell Degeneration Induced by Tension Load.

Applications

Unspecified application

Species

Unspecified reactive species

Yu Zhang,Chen Liu,Yu Li,Hongguang Xu

Animal nutrition (Zhongguo xu mu shou yi xue hui) 10:12-18 PubMed35601254

2022

The ubiquitin ligase Nedd4-2 mediates the regulation of PepT2 by mTORC1 in bovine mammary epithelial cells.

Applications

Unspecified application

Species

Unspecified reactive species

Caihong Wang,Fengqi Zhao,Jianxin Liu,Hongyun Liu
View all publications

Product promise

We are committed to supporting your work with high-quality reagents, and we're here for you every step of the way. In the unlikely event that one of our products does not perform as expected, you're protected by our Product Promise.
For full details, please see our Terms & Conditions

Please note: All products are 'FOR RESEARCH USE ONLY. NOT FOR USE IN DIAGNOSTIC OR THERAPEUTIC PROCEDURES'.

For licensing inquiries, please contact partnerships@abcam.com