JavaScript is disabled in your browser. Please enable JavaScript to view this website.
AB230274

Anti-RARS2 antibody

Be the first to review this product! Submit a review

|

(2 Publications)

Rabbit Polyclonal RARS2 antibody. Suitable for WB, IHC-P and reacts with Mouse, Human samples. Cited in 2 publications. Immunogen corresponding to Recombinant Fragment Protein within Human RARS2 aa 1-350.

View Alternative Names

RARSL, RARS2, Arginyl-tRNA synthetase, ArgRS

3 Images
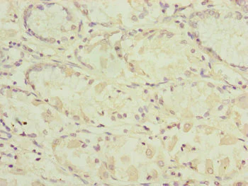
Immunohistochemistry (Formalin/PFA-fixed paraffin-embedded sections) - Anti-RARS2 antibody (AB230274)
  • IHC-P

Supplier Data

Immunohistochemistry (Formalin/PFA-fixed paraffin-embedded sections) - Anti-RARS2 antibody (AB230274)

Paraffin-embedded human gastric cancer tissue stained for RARS2 with ab230274 at 1/100 dilution in immunohistochemical analysis.

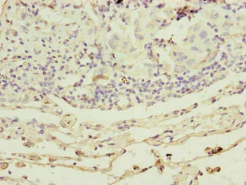
Immunohistochemistry (Formalin/PFA-fixed paraffin-embedded sections) - Anti-RARS2 antibody (AB230274)
  • IHC-P

Supplier Data

Immunohistochemistry (Formalin/PFA-fixed paraffin-embedded sections) - Anti-RARS2 antibody (AB230274)

Paraffin-embedded human lung cancer tissue stained for RARS2 with ab230274 at 1/100 dilution in immunohistochemical analysis.

Western blot - Anti-RARS2 antibody (AB230274)
  • WB

Supplier Data

Western blot - Anti-RARS2 antibody (AB230274)

All lanes:

Western blot - Anti-RARS2 antibody (ab230274) at 1/1000 dilution

Lane 1:

Mouse kidney tissue lysate

Lane 2:

HL-60 (Human promyelocytic leukemia cell line) whole cell lysate

Secondary

All lanes:

Goat polyclonal to rabbit IgG at 1/10000 dilution

Predicted band size: 66 kDa

Observed band size: 66 kDa

true

Key facts

Host species

Rabbit

Clonality

Polyclonal

Isotype

IgG

Carrier free

No

Reacts with

Mouse, Human

Applications

IHC-P, WB

applications

Immunogen

Recombinant Fragment Protein within Human RARS2 aa 1-350. The exact immunogen used to generate this antibody is proprietary information.

Q5T160

Reactivity data

{ "title": "Reactivity Data", "filters": { "stats": ["", "Species", "Dilution Info", "Notes"], "tabs": { "all-applications": {"fullname" : "All Applications", "shortname": "All Applications"}, "WB" : {"fullname" : "Western blot", "shortname":"WB"}, "IHCP" : {"fullname" : "Immunohistochemistry (Formalin/PFA-fixed paraffin-embedded sections)", "shortname":"IHC-P"} }, "product-promise": { "all": "all", "testedAndGuaranteed": "tested", "guaranteed": "expected", "predicted": "predicted", "notRecommended": "not-recommended" } }, "values": { "Human": { "WB-species-checked": "guaranteed", "WB-species-dilution-info": "", "WB-species-notes": "", "IHCP-species-checked": "testedAndGuaranteed", "IHCP-species-dilution-info": "1/20 - 1/200", "IHCP-species-notes": "<p></p>" }, "Mouse": { "WB-species-checked": "testedAndGuaranteed", "WB-species-dilution-info": "1/1000 - 1/5000", "WB-species-notes": "<p></p>", "IHCP-species-checked": "guaranteed", "IHCP-species-dilution-info": "", "IHCP-species-notes": "" }, "Cow": { "WB-species-checked": "predicted", "WB-species-dilution-info": "", "WB-species-notes": "", "IHCP-species-checked": "predicted", "IHCP-species-dilution-info": "", "IHCP-species-notes": "" }, "Orangutan": { "WB-species-checked": "predicted", "WB-species-dilution-info": "", "WB-species-notes": "", "IHCP-species-checked": "predicted", "IHCP-species-dilution-info": "", "IHCP-species-notes": "" } } }

Properties and storage information

Form
Liquid
Purification technique
Affinity purification Immunogen
Storage buffer
pH: 7.3 Preservative: 0.02% Sodium azide Constituents: PBS, 50% Glycerol (glycerin, glycerine)
Shipped at conditions
Blue Ice
Appropriate short-term storage duration
1-2 weeks
Appropriate short-term storage conditions
+4°C
Appropriate long-term storage conditions
-20°C
Aliquoting information
Upon delivery aliquot
Storage information
Avoid freeze / thaw cycle

Product protocols

For this product, it's our understanding that no specific protocols are required. You can visit:

Target data

Catalyzes the attachment of arginine to tRNA(Arg) in a two-step reaction : arginine is first activated by ATP to form Arg-AMP and then transferred to the acceptor end of tRNA(Arg).
See full target information RARS2

Publications (2)

Recent publications for all applications. Explore the full list and refine your search

Aging 16:6334-6347 PubMed38575308

2024

45 activates SHP2 through inhibition of oxidative stress to regulate osteoblast and osteoclast differentiation.

Applications

Unspecified application

Species

Unspecified reactive species

Yaming Yang,Zheng Yan,Qi Xie,Yong Wang,Zhiying Liu,Min Lei

BMC medical genomics 16:143 PubMed37344844

2023

A non-coding variant in the Kozak sequence of RARS2 strongly decreases protein levels and causes pontocerebellar hypoplasia.

Applications

Unspecified application

Species

Unspecified reactive species

Romain Nicolle,Nami Altin,Karine Siquier-Pernet,Sherlina Salignac,Pierre Blanc,Arnold Munnich,Christine Bole-Feysot,Valérie Malan,Barthélémy Caron,Patrick Nitschké,Isabelle Desguerre,Nathalie Boddaert,Marlène Rio,Antonio Rausell,Vincent Cantagrel
View all publications

Product promise

We are committed to supporting your work with high-quality reagents, and we're here for you every step of the way. In the unlikely event that one of our products does not perform as expected, you're protected by our Product Promise.
For full details, please see our Terms & Conditions

Please note: All products are 'FOR RESEARCH USE ONLY. NOT FOR USE IN DIAGNOSTIC OR THERAPEUTIC PROCEDURES'.

For licensing inquiries, please contact partnerships@abcam.com