JavaScript is disabled in your browser. Please enable JavaScript to view this website.
AB307739

Anti-RAS antibody [18/Ras] - BSA and Azide free

Be the first to review this product! Submit a review

|

(0 Publication)

Mouse Recombinant Monoclonal RASH antibody. Carrier free. Suitable for WB and reacts with Human, Mouse, Rat samples.

View Alternative Names

HRAS1, HRAS, GTPase HRas, H-Ras-1, Ha-Ras, Transforming protein p21, c-H-ras, p21ras

4 Images
Western blot - Anti-RAS antibody [18/Ras] - BSA and Azide free (AB307739)
  • WB

Lab

Western blot - Anti-RAS antibody [18/Ras] - BSA and Azide free (AB307739)

This data was developed using the same antibody clone in a different buffer formulation containing PBS, BSA, glycerol, and sodium azide (ab307738).

Western blot : Anti-RAS antibody [18/Ras] ab307738 staining at 1/200 dilution, shown in green; Rabbit anti-ACTN4 ab108198 loading control staining at 1/20000 dilution, shown in magenta. A band was observed at 22 kDa in Wild-type MCF7 cell lysates with no signal observed at this size in HRAS knockout MCF7 cell line. To generate this image, samples were run on an SDS-PAGE gel then transferred onto a nitrocellulose membrane. Membranes were blocked in 3pc Milk in TBS-0.1 % Tween 20 (TBS-T) before incubation with primary antibodies overnight at 4 °C. Blots were washed four times in TBS-T, incubated with secondary antibodies for 1 h at room temperature, washed again four times then imaged. Secondary antibodies used were Goat anti-Mouse 800CW and Goat anti-Rabbit 680RD at 1/20,000 dilution.

All lanes:

Western blot - Anti-RAS antibody [18/Ras] (<a href='/en-us/products/primary-antibodies/ras-antibody-18-ras-ab307738'>ab307738</a>) at 1/200 dilution

Lane 1:

Wild-type MCF7 whole cell lysate at 20 µg

Lane 2:

HRAS knockout MCF7 whole cell lysate at 20 µg

Lane 3:

HEK-293 whole cell lysate at 20 µg

Lane 4:

HeLa whole cell lysate at 20 µg

Secondary

All lanes:

Goat anti-Mouse 800CW & Goat anti-Rabbit 680RD at 1/20000 dilution

Predicted band size: 21 kDa

Observed band size: 22 kDa

false

Western blot - Anti-RAS antibody [18/Ras] - BSA and Azide free (AB307739)
  • WB

Supplier Data

Western blot - Anti-RAS antibody [18/Ras] - BSA and Azide free (AB307739)

This data was produced using ab307738, the same antibody clone but in a different buffer. Blocking and diluting buffer and concentration : 5% NFDM/TBST. This antibody cross-reacts with human HRAS/NRAS/KRAS. In Western blot, anti-Ras antibody (ab206969) staining at 1/1000 dilution. Exposure time : 26 seconds.

All lanes:

Western blot - Anti-RAS antibody [18/Ras] (<a href='/en-us/products/primary-antibodies/ras-antibody-18-ras-ab307738'>ab307738</a>) at 1/1000 dilution

Lane 1:

His-tagged human HRAS recombinant protein at 10 ng

Lane 2:

His-tagged human NRAS recombinant protein at 10 ng

Lane 3:

His-tagged human KRAS recombinant protein at 10 ng

Secondary

All lanes:

Peroxidase-Conjugated Goat anti-Mouse IgG (H+L) at 1/10000 dilution

Observed band size: 21 kDa

false

Exposure time: 26s

Western blot - Anti-RAS antibody [18/Ras] - BSA and Azide free (AB307739)
  • WB

Supplier Data

Western blot - Anti-RAS antibody [18/Ras] - BSA and Azide free (AB307739)

This data was produced using ab307738, the same antibody clone but in a different buffer. Blocking and diluting buffer and concentration : 5% NFDM/TBST. Exposure time : Lanes 1-3 and 5 : 180 seconds;Lane 4 : 26 seconds.

All lanes:

Western blot - Anti-RAS antibody [18/Ras] (<a href='/en-us/products/primary-antibodies/ras-antibody-18-ras-ab307738'>ab307738</a>) at 1/1000 dilution

Lane 1:

HCT116 (human colorectal carcinoma epithelial cell) whole cell lysate at 20 µg

Lane 2:

HeLa (human cervix adenocarcinoma epithelial cell) whole cell lysate at 20 µg

Lane 3:

293T (human embryonic kidney epithelial cell) whole cell lysate at 20 µg

Lane 4:

A431 (human epidermoid carcinoma epithelial cell) whole cell lysate at 20 µg

Lane 5:

SW620 (human colorectal adenocarcinoma epithelial cell)whole cell lysate at 20 µg

Secondary

All lanes:

Peroxidase-Conjugated Goat anti-Mouse IgG (H+L) at 1/10000 dilution

Observed band size: 21 kDa

false

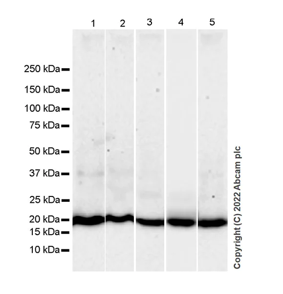
Western blot - Anti-RAS antibody [18/Ras] - BSA and Azide free (AB307739)
  • WB

Supplier Data

Western blot - Anti-RAS antibody [18/Ras] - BSA and Azide free (AB307739)

This data was produced using ab307738, the same antibody clone but in a different buffer. Blocking and diluting buffer and concentration : 5% NFDM/TBST. Exposure time : Lanes 1-4 and 7-14 : 180 seconds;Lanes 5-6 : 59 seconds.

All lanes:

Western blot - Anti-RAS antibody [18/Ras] (<a href='/en-us/products/primary-antibodies/ras-antibody-18-ras-ab307738'>ab307738</a>) at 1/100 dilution

Lane 1:

Human cerebellum tissue lysate at 10 µg

Lane 2:

Human heart tissue lysate at 10 µg

Lane 3:

Human kidney tissue lysate at 10 µg

Lane 4:

Human spleen tissue lysate at 10 µg

Lane 5:

Mouse brain tissue lysate at 10 µg

Lane 6:

Mouse kidney tissue lysate at 10 µg

Lane 7:

Rat brain tissue lysate at 10 µg

Lane 8:

Rat heart tissue lysate at 10 µg

Lane 9:

Rat kidney tissue lysate at 10 µg

Lane 10:

Rat spleen tissue lysate at 10 µg

Lane 11:

C6 (rat glial tumor glial cell) whole cell lysate at 10 µg

Lane 12:

RAW264.7 (mouse Abelson murine leukemia virus-induced tumor macrophage) whole cell lysate at 10 µg

Lane 13:

PC-12 (rat adrenal gland pheochromocytoma) whole cell lysate at 10 µg

Lane 14:

NIH/3T3 (mouse embryonic fibroblast) whole cell lysate at 10 µg

Secondary

All lanes:

Peroxidase-Conjugated Goat anti-Mouse IgG (H+L) at 1/10000 dilution

Observed band size: 21 kDa

false

Key facts

Host species

Mouse

Clonality

Monoclonal

Clone number

18/Ras

Isotype

IgG1

Carrier free

Yes

Reacts with

Human, Mouse, Rat

Applications

WB

applications

Immunogen

The exact immunogen used to generate this antibody is proprietary information.

Specificity

This antibody cross-reacts with human HRAS/NRAS/KRAS.

Reactivity data

{ "title": "Reactivity Data", "filters": { "stats": ["", "Species", "Dilution Info", "Notes"], "tabs": { "all-applications": {"fullname" : "All Applications", "shortname": "All Applications"}, "WB" : {"fullname" : "Western blot", "shortname":"WB"}, "IHCP" : {"fullname" : "Immunohistochemistry (Formalin/PFA-fixed paraffin-embedded sections)", "shortname":"IHC-P"}, "ICCIF" : {"fullname" : "Immunocytochemistry/ Immunofluorescence", "shortname":"ICC/IF"}, "IP" : {"fullname" : "Immunoprecipitation", "shortname":"IP"} }, "product-promise": { "all": "all", "testedAndGuaranteed": "tested", "guaranteed": "expected", "predicted": "predicted", "notRecommended": "not-recommended" } }, "values": { "Human": { "WB-species-checked": "testedAndGuaranteed", "WB-species-dilution-info": "", "WB-species-notes": "<p></p>", "IHCP-species-checked": "notRecommended", "IHCP-species-dilution-info": "", "IHCP-species-notes": "<p></p>", "ICCIF-species-checked": "notRecommended", "ICCIF-species-dilution-info": "", "ICCIF-species-notes": "<p></p>", "IP-species-checked": "notRecommended", "IP-species-dilution-info": "", "IP-species-notes": "<p></p>" }, "Mouse": { "WB-species-checked": "testedAndGuaranteed", "WB-species-dilution-info": "", "WB-species-notes": "<p></p>", "IHCP-species-checked": "notRecommended", "IHCP-species-dilution-info": "", "IHCP-species-notes": "<p></p>", "ICCIF-species-checked": "notRecommended", "ICCIF-species-dilution-info": "", "ICCIF-species-notes": "<p></p>", "IP-species-checked": "notRecommended", "IP-species-dilution-info": "", "IP-species-notes": "<p></p>" }, "Rat": { "WB-species-checked": "testedAndGuaranteed", "WB-species-dilution-info": "", "WB-species-notes": "<p></p>", "IHCP-species-checked": "notRecommended", "IHCP-species-dilution-info": "", "IHCP-species-notes": "<p></p>", "ICCIF-species-checked": "notRecommended", "ICCIF-species-dilution-info": "", "ICCIF-species-notes": "<p></p>", "IP-species-checked": "notRecommended", "IP-species-dilution-info": "", "IP-species-notes": "<p></p>" } } }

Product details

What are the advantages of a recombinant monoclonal antibody?
This product is a recombinant monoclonal antibody, which offers several advantages including:

  • - High batch-to-batch consistency and reproducibility
  • - Improved sensitivity and specificity
  • - Long-term security of supply
  • - Animal-free batch production

For more information, read more on recombinant antibodies.

Conjugation ready
Our carrier-free antibodies are typically supplied in a PBS-only formulation, purified and free of BSA, sodium azide and glycerol. This conjugation-ready format is designed for use with fluorochromes, metal isotopes, oligonucleotides, and enzymes, which makes them ideal for antibody labelling, functional and cell-based assays, flow-based assays (e.g. mass cytometry) and Multiplex Imaging applications.

Use our conjugation kits for antibody conjugates that are ready-to-use in as little as 20 minutes with 1 minute hands-on-time and 100% antibody recovery: available for fluorescent dyes, HRP, biotin and gold.

Compatibility
This product is compatible with the Maxpar® Antibody Labeling Kit from Fluidigm, without the need for antibody preparation. Maxpar® is a trademark of Fluidigm Canada Inc.

Want a custom formulation?
This antibody clone is manufactured by Abcam. If you require a custom buffer formulation or conjugation for your experiments, please contact orders@abcam.com

Properties and storage information

Form
Liquid
Purification technique
Affinity purification Protein A
Storage buffer
pH: 7.2 - 7.4 Constituents: PBS
Shipped at conditions
Blue Ice
Appropriate short-term storage conditions
+4°C
Appropriate long-term storage conditions
+4°C

Supplementary information

This supplementary information is collated from multiple sources and compiled automatically.

The Ras protein also known by its alternate names such as KRAS NRAS and HRAS functions as a small GTPase which is a type of enzyme that binds to guanosine triphosphate (GTP) and can switch to an inactive form when it hydrolyzes GTP to GDP. Ras proteins are encoded by genes located in different chromosomes and typically have a molecular weight of about 21 kDa. These proteins are expressed in various tissues throughout the body where they play key roles in cellular signaling.
Biological function summary

Ras proteins are pivotal in regulating cell proliferation differentiation and survival. They are often part of larger protein complexes that facilitate signal transduction across cell membranes. These proteins function as binary molecular switches toggling between active (GTP-bound) and inactive (GDP-bound) states. Mutations in Ras proteins such as NRAS Q61R can lead the protein to assume permanently active conformations disrupting normal cellular signaling processes and contributing to oncogenesis.

Pathways

Ras proteins play significant roles in the MAPK/ERK and PI3K/AKT signaling pathways. Their activation leads to a cascade of phosphorylation events that ultimately regulate gene expression. Within these pathways Ras proteins interact with various molecules including RAF kinases and the PI3K protein further illustrating their complex roles in signal propagation. These pathways control many cellular processes including growth differentiation and survival illustrating how Ras proteins integrate multiple signals to modulate cellular outcomes.

Ras proteins are frequently implicated in various cancers notably pancreatic and colorectal cancers. Mutated forms of Ras such as KRAS G12V drive oncogenesis by promoting uncontrolled cell growth and division. In cancer pathology Ras often interacts with tumor suppressor proteins influencing the disease progression. Targeting Ras-mediated signaling pathways using approaches like pan-Ras inhibitors or chemiluminescence ELISAs represents an ongoing area of therapeutic research aimed at combating Ras-driven malignancies.

Product protocols

For this product, it's our understanding that no specific protocols are required. You can visit:

Target data

Involved in the activation of Ras protein signal transduction (PubMed : 22821884). Ras proteins bind GDP/GTP and possess intrinsic GTPase activity (PubMed : 12740440, PubMed : 14500341, PubMed : 9020151).
See full target information HRAS

Product promise

We are committed to supporting your work with high-quality reagents, and we're here for you every step of the way. In the unlikely event that one of our products does not perform as expected, you're protected by our Product Promise.
For full details, please see our Terms & Conditions

Please note: All products are 'FOR RESEARCH USE ONLY. NOT FOR USE IN DIAGNOSTIC OR THERAPEUTIC PROCEDURES'.

For licensing inquiries, please contact partnerships@abcam.com