JavaScript is disabled in your browser. Please enable JavaScript to view this website.
AB275875

Anti-Ras antibody [EPR23474-20]

  • BOND RX™ Validated
  • Advanced Validation
  • RabMAb
  • Recombinant
  • What is this?

5

(4 Reviews)

|

(0 Publication)

Rabbit Recombinant Monoclonal RASK antibody. Suitable for mIHC, IP, WB, Flow Cyt (Intra), IHC-P and reacts with Mouse, Human, Rat, Recombinant full length protein - Human samples.

View Alternative Names

KRAS2, RASK2, KRAS, GTPase KRas, K-Ras 2, Ki-Ras, c-K-ras, c-Ki-ras

17 Images
Multiplex immunohistochemistry - Anti-Ras antibody [EPR23474-20] (AB275875)
  • mIHC

Lab

Multiplex immunohistochemistry - Anti-Ras antibody [EPR23474-20] (AB275875)

Multiplex immunohistochemistry analysis of formalin/PFA-fixed paraffin-embedded mouse stomach tissue staining VAChT with ab317452 at 1/1000 dilution, ab322711 anti-ALDH3A1 used at 1/500 dilution and ab275875 anti-Ras used at 1/2000 dilution. Opal Polymer HRP Ms + Rb was used as a secondary antibody.

Panel A : merged staining of anti-VAChT (green; Opal520), anti-ALDH3A1 (gray; Opal570) and anti-Ras (magenta; Opal690) on mouse stomach.
Panel B : anti-VAChT staining nerve plexus in mouse stomach.
Panel C : ant-ALDH3A1 staining epithelium in mouse stomach.
Panel D : ant-Ras showed mainly membranous staining in mouse stomach.
Nuclear DNA was labeled with DAPI (shown in blue).

The section was incubated in three rounds of staining : in the order of ab317452, ab322711 and ab275875 for 30 mins at room temperature. Each round was followed by a separate fluorescent tyramide signal amplification system.

The immunostaining was performed on a Leica Biosystems BOND®RX instrument with an Opal 4-color kit. Image acquisition was performed with Leica SP8 confocal microscope.

Heat mediated antigen retrieval with Tris-EDTA buffer (pH 9.0, epitope retrieval solution2) for 20 mins.

Western blot - Anti-Ras antibody [EPR23474-20] (AB275875)
  • WB

Lab

Western blot - Anti-Ras antibody [EPR23474-20] (AB275875)

Blocking and diluting buffer and concentration : 5% NFDM/TBST.

Exposure time : Lanes 1-2 : 26 seconds; Lane3 : 10 seconds.

All lanes:

Western blot - Anti-Ras antibody [EPR23474-20] (ab275875) at 1/1000 dilution

Lane 1:

Human colon tissue lysate at 40 µg

Lane 2:

Human liver tissue lysate at 40 µg

Lane 3:

Human stomach tissue lysate at 40 µg

Secondary

All lanes:

VeriBlot for IP secondary antibody(HRP)(<a href='/en-us/products/reagents/veriblot-for-ip-detection-reagent-hrp-ab131366'>ab131366</a>) at 1/1000 dilution

Predicted band size: 21 kDa

Observed band size: 21 kDa

false

Western blot - Anti-Ras antibody [EPR23474-20] (AB275875)
  • WB

Lab

Western blot - Anti-Ras antibody [EPR23474-20] (AB275875)

Blocking and diluting buffer and concentration : 5% NFDM/TBST.

Exposure time : 15 seconds.

All lanes:

Western blot - Anti-Ras antibody [EPR23474-20] (ab275875) at 1/1000 dilution

Lane 1:

His-tagged human KRAS recombinant protein, 20 ng

Lane 2:

His-tagged human HRAS recombinant protein, 20 ng

Lane 3:

His-tagged human NRAS recombinant protein, 20 ng

Secondary

All lanes:

Goat Anti-Rabbit IgG, (H+L), Peroxidase conjugated (<a href='/en-us/products/secondary-antibodies/goat-rabbit-igg-h-l-hrp-ab97051'>ab97051</a>) at 1/100000 dilution

Predicted band size: 21 kDa

false

Western blot - Anti-Ras antibody [EPR23474-20] (AB275875)
  • WB

Lab

Western blot - Anti-Ras antibody [EPR23474-20] (AB275875)

Blocking and diluting buffer and concentration : 5% NFDM/TBST

Exposure time : 26 seconds.

All lanes:

Western blot - Anti-Ras antibody [EPR23474-20] (ab275875) at 1/1000 dilution

Lane 1:

HeLa (human cervix adenocarcinoma epithelial cell) whole cell lysate at 40 µg

Lane 2:

HEK-293T (human embryonic kidney epithelial cell) whole cell lysate at 40 µg

Lane 3:

A431 (human epidermoid carcinoma epithelial cell) whole cell lysate at 40 µg

Lane 4:

Human brain tissue lysate at 40 µg

Secondary

All lanes:

Goat Anti-Rabbit IgG, (H+L), Peroxidase conjugated (<a href='/en-us/products/secondary-antibodies/goat-rabbit-igg-h-l-hrp-ab97051'>ab97051</a>) at 1/50000 dilution

Predicted band size: 21 kDa

Observed band size: 21 kDa

false

Western blot - Anti-Ras antibody [EPR23474-20] (AB275875)
  • WB

Supplier Data

Western blot - Anti-Ras antibody [EPR23474-20] (AB275875)

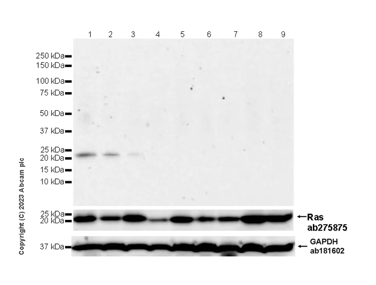
Blocking and diluting buffer and concentration : 5% NFDM/TBST Positive control : SW620, SW480, CAPAN-1 (KRAS G12V) Negative control : THP-1 (N-RAS G12D), HCT 116 (K-RAS G13D), Calu-1 (K-RAS G12C), A549 (K-RAS G12S), Caco-2 (K-RAS wild-type) and HT-29 (K-RAS wild-type). This antibody specifically recognizes RAS (mutated G12V). In Western blot, anti-Ras antibody (ab275875) staining at 1/1000 dilution. In Western blot, anti-GAPDH antibody (ab181602) loading control staining at 1/200000 dilution. Exposure time : 180 seconds

All lanes:

Western blot - Anti-RAS (mutated G12V) antibody [EPR26090-62] (<a href='/en-us/products/primary-antibodies/ras-mutated-g12v-antibody-epr26090-62-ab313698'>ab313698</a>) at 1/1000 dilution

Lane 1:

SW620 (human colorectal adenocarcinoma epithelial cell) whole cell lysate at 48 µg

Lane 2:

SW480 (human colorectal adenocarcinoma epithelial cell) whole cell lysate at 48 µg

Lane 3:

Capan-1 (human pancreatic adenocarcinoma epithelial cell) whole cell lysate at 48 µg

Lane 4:

THP-1 (human monocytic leukemia monocyte) whole cell lysate at 48 µg

Lane 5:

HCT 116 (human colorectal carcinoma epithelial cell) whole cell lysate at 48 µg

Lane 6:

Calu-1 (human lu epidermoid carcinoma epithelial cell) whole cell lysate 48 at 48 µg

Lane 7:

A549 (human lung carcinoma epithelial cell) whole cell lysate 48 at 48 µg

Lane 8:

Caco-2 (human colorectal adenocarcinoma epithelial cell) whole cell lysate at 48 µg

Lane 9:

HT-29 (human colorectal adenocarcinoma epithelial cell) whole cell lysate at 48 µg

Secondary

All lanes:

Western blot - Goat Anti-Rabbit IgG H&L (HRP) (<a href='/en-us/products/secondary-antibodies/goat-rabbit-igg-h-l-hrp-ab97051'>ab97051</a>) at 1/20000 dilution

Observed band size: 21 kDa

false

Exposure time: 180s

Western blot - Anti-Ras antibody [EPR23474-20] (AB275875)
  • WB

Supplier Data

Western blot - Anti-Ras antibody [EPR23474-20] (AB275875)

Blocking and diluting buffer and concentration : 5% NFDM/TBST Positive control : SW620, SW480, (KRAS G12V) Negative control : SW1116 (KRAS G12A), RPMI-8226 (KRAS G12A), MIA PaCa-2 (KRAS G12C), LoVo (KRAS G13D). This antibody specifically recognizes RAS (mutated G12V). In Western blot, anti-Ras antibody (ab275875) staining at 1/1000 dilution. In Western blot, anti-GAPDH antibody (ab181602) loading control staining at 1/200000 dilution. Exposure time : 180 seconds

All lanes:

Western blot - Anti-RAS (mutated G12V) antibody [EPR26090-62] (<a href='/en-us/products/primary-antibodies/ras-mutated-g12v-antibody-epr26090-62-ab313698'>ab313698</a>) at 1/1000 dilution

Lane 1:

SW620 (human colorectal adenocarcinoma epithelial cell) whole cell lysate at 48 µg

Lane 2:

SW480 (human colorectal adenocarcinoma epithelial cell) whole cell lysate at 48 µg

Lane 3:

SW1116 (human colorectal adenocarcinoma epithelial cell) whole cell lysate at 48 µg

Lane 4:

RPMI-8226 (human plasmacytoma B Lymphocyte) whole cell lysate at 48 µg

Lane 5:

MIA PaCa-2 (human pancreas epithelial cell) whole cell lysate at 48 µg

Lane 6:

LoVo (human colorectal adenocarcinoma epithelial cell) whole cell lysate at 48 µg

Secondary

All lanes:

Western blot - Goat Anti-Rabbit IgG H&L (HRP) (<a href='/en-us/products/secondary-antibodies/goat-rabbit-igg-h-l-hrp-ab97051'>ab97051</a>) at 1/20000 dilution

Observed band size: 21 kDa

false

Exposure time: 180s

Immunohistochemistry (Formalin/PFA-fixed paraffin-embedded sections) - Anti-Ras antibody [EPR23474-20] (AB275875)
  • IHC-P

Unknown

Immunohistochemistry (Formalin/PFA-fixed paraffin-embedded sections) - Anti-Ras antibody [EPR23474-20] (AB275875)

Immunohistochemical analysis of paraffin-embedded Human colon tissue labeling Ras with ab275875 at 1/2000 (0.338 ug/ml) dilution followed by a ready to use Rabbit specific IHC polymer detection kit HRP/DAB (ab209101). Positive staining on human colon. The section was incubated with ab275875 for 30 mins at room temperature. The immunostaining was performed on a Leica Biosystems BOND® RX instrument. Counterstained with Hematoxylin.

Secondary antibody only control : Secondary antibody is a ready to use Rabbit specific IHC polymer detection kit HRP/DAB (ab209101).

Heat mediated antigen retrieval with Tris-EDTA buffer (pH 9.0, epitope retrieval solution2) for 20 mins.

Flow Cytometry (Intracellular) - Anti-Ras antibody [EPR23474-20] (AB275875)
  • Flow Cyt (Intra)

Unknown

Flow Cytometry (Intracellular) - Anti-Ras antibody [EPR23474-20] (AB275875)

Intracellular flow cytometric analysis of 4% paraformaldehyde-fixed, 90% methanol-permeabilized HeLa (human cervix adenocarcinoma epithelial cell) cells labelling Ras with ab275875 at 1/50 dilution (1ug) (Red) compared with a Rabbit monoclonal IgG (ab172730) isotype control (Black) and an unlabelled control (cells without incubation with primary antibody and secondary antibody) (Blue).

A Goat anti rabbit IgG (Alexa Fluor® 488, ab150077) at 1/2000 dilution was used as the secondary antibody.

Flow Cytometry (Intracellular) - Anti-Ras antibody [EPR23474-20] (AB275875)
  • Flow Cyt (Intra)

Unknown

Flow Cytometry (Intracellular) - Anti-Ras antibody [EPR23474-20] (AB275875)

Intracellular flow cytometric analysis of 4% paraformaldehyde-fixed, 90% methanol-permeabilized NIH/3T3 (mouse embryonic fibroblast) cells labelling Ras with ab275875 at 1/50 dilution (1ug) (Red) compared with a Rabbit monoclonal IgG (ab172730) isotype control (Black) and an unlabelled control (cells without incubation with primary antibody and secondary antibody) (Blue).

A Goat anti rabbit IgG (Alexa Fluor® 488, ab150077) at 1/2000 dilution was used as the secondary antibody.

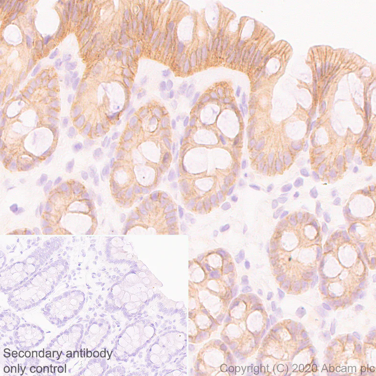
Immunohistochemistry (Formalin/PFA-fixed paraffin-embedded sections) - Anti-Ras antibody [EPR23474-20] (AB275875)
  • IHC-P

Unknown

Immunohistochemistry (Formalin/PFA-fixed paraffin-embedded sections) - Anti-Ras antibody [EPR23474-20] (AB275875)

Immunohistochemical analysis of paraffin-embedded Mouse stomach tissue labeling Ras with ab275875 at 1/2000 (0.338 ug/ml) dilution followed by a ready to use Rabbit specific IHC polymer detection kit HRP/DAB (ab209101). Positive staining on Mouse stomach. The section was incubated with ab275875 for 30 mins at room temperature. The immunostaining was performed on a Leica Biosystems BOND® RX instrument. Counterstained with Hematoxylin.

Secondary antibody only control : Secondary antibody is a ready to use Rabbit specific IHC polymer detection kit HRP/DAB (ab209101).

Heat mediated antigen retrieval with Tris-EDTA buffer (pH 9.0, epitope retrieval solution2) for 20 mins.

Immunohistochemistry (Formalin/PFA-fixed paraffin-embedded sections) - Anti-Ras antibody [EPR23474-20] (AB275875)
  • IHC-P

Unknown

Immunohistochemistry (Formalin/PFA-fixed paraffin-embedded sections) - Anti-Ras antibody [EPR23474-20] (AB275875)

Immunohistochemical analysis of paraffin-embedded Rat colon tissue labeling Ras with abab275875 at 1/2000 (0.338 ug/ml) dilution followed by a ready to use Rabbit specific IHC polymer detection kit HRP/DAB (ab209101). Positive staining on rat colon. The section was incubated with ab275875 for 30 mins at room temperature. The immunostaining was performed on a Leica Biosystems BOND® RX instrument. Counterstained with Hematoxylin.

Secondary antibody only control : Secondary antibody is a ready to use Rabbit specific IHC polymer detection kit HRP/DAB (ab209101).

Heat mediated antigen retrieval with Tris-EDTA buffer (pH 9.0, epitope retrieval solution2) for 20 mins.

Immunoprecipitation - Anti-Ras antibody [EPR23474-20] (AB275875)
  • IP

Unknown

Immunoprecipitation - Anti-Ras antibody [EPR23474-20] (AB275875)

Ras was immunoprecipitated from 0.35 mg A431 (human epidermoid carcinoma epithelial cell) whole cell lysate 10 with ab275875 at 1/30 dilution (2ug in 0.35mg lysates). Western blot was performed on the immunoprecipitate using ab275875 at 1/1000 dilution. VeriBlot for IP Detection Reagent (HRP)(ab131366) was used at 1/5000 dilution.

Lane 1 : A431 (human epidermoid carcinoma epithelial cell) whole cell lysate 10 ug

Lane 2 : ab275875 IP in A431 whole cell lysate

Lane 3 : Rabbit monoclonal IgG (ab172730) instead of ab275875 in A431 whole cell lysate

Blocking and dilution buffer and concentration : 5% NFDM/TBST.

Exposure time : 50 seconds.

All lanes:

Immunoprecipitation - Anti-Ras antibody [EPR23474-20] (ab275875)

Predicted band size: 21 kDa

Observed band size: 21 kDa

false

Immunoprecipitation - Anti-Ras antibody [EPR23474-20] (AB275875)
  • IP

Unknown

Immunoprecipitation - Anti-Ras antibody [EPR23474-20] (AB275875)

Ras was immunoprecipitated from 0.35 mg HeLa (human cervix adenocarcinoma epithelial cell) whole cell lysate with ab275875 at 1/30 dilution (2ug in 0.35mg lysates). Western blot was performed on the immunoprecipitate using ab275875 at 1/1000 dilution. VeriBlot for IP Detection Reagent (HRP)(ab131366) was used at 1/5000 dilution.

Lane 1 : HeLa (human cervix adenocarcinoma epithelial cell) whole cell lysate 10 ug

Lane 2 : ab275875 IP in HeLa whole cell lysate

Lane 3 : Rabbit monoclonal IgG (ab172730) instead of ab275875 in HeLa whole cell lysate

Blocking and dilution buffer and concentration : 5% NFDM/TBST.

Exposure time : 110 seconds.

All lanes:

Immunoprecipitation - Anti-Ras antibody [EPR23474-20] (ab275875)

Predicted band size: 21 kDa

Observed band size: 21 kDa

false

Western blot - Anti-Ras antibody [EPR23474-20] (AB275875)
  • WB

Supplier Data

Western blot - Anti-Ras antibody [EPR23474-20] (AB275875)

Blocking and diluting buffer and concentration : 5% NFDM/TBST This antibody specifically recognizes RAS (mutated G12V). In Western blot, anti-Ras antibody (ab275875) staining at 1/1000 dilution. In Western blot, anti-His antibody (ab213204) staining at 1/5000 dilution. In Western blot, anti-GAPDH antibody (ab181602) loading control staining at 1/200000 dilution. Exposure time : 180 seconds

All lanes:

Western blot - Anti-RAS (mutated G12V) antibody [EPR26090-62] (<a href='/en-us/products/primary-antibodies/ras-mutated-g12v-antibody-epr26090-62-ab313698'>ab313698</a>) at 1/1000 dilution

Lane 1:

293T (human embryonic kidney epithelial cell) cells transfected with an empty vector containing a His-tag whole cell lysate at 20 µg

Lane 2:

293T cells transfected with a human KRAS (mutated G12V) expression vector containing a His-tag whole cell lysate at 20 µg

Lane 3:

293T cells transfected with a human HRAS (mutated G12V) expression vector containing a His-tag whole cell lysate at 20 µg

Lane 4:

293T cells transfected with a human NRAS (mutated G12V) expression vector containing a His-tag whole cell lysate at 20 µg

Lane 5:

293T cells transfected with a human KRAS expression vector containing a His-tag whole cell lysate at 40 µg

Lane 6:

293T cells transfected with a human KRAS (mutated G12C) expression vector containing a His-tag whole cell lysate at 40 µg

Lane 7:

293T cells transfected with a human KRAS (mutated G12A) expression vector containing a His-tag whole cell lysate at 20 µg

Lane 8:

293T cells transfected with a human KRAS (mutated G12D) expression vector containing a His-tag whole cell lysate at 20 µg

Lane 9:

293T cells transfected with a human KRAS (mutated G12S) expression vector containing a His-tag whole cell lysate at 20 µg

Secondary

All lanes:

Western blot - Goat Anti-Rabbit IgG H&L (HRP) (<a href='/en-us/products/secondary-antibodies/goat-rabbit-igg-h-l-hrp-ab97051'>ab97051</a>) at 1/20000 dilution

Observed band size: 21 kDa

false

Exposure time: 180s

Western blot - Anti-Ras antibody [EPR23474-20] (AB275875)
  • WB

Lab

Western blot - Anti-Ras antibody [EPR23474-20] (AB275875)

Blocking and diluting buffer and concentration : 5% NFDM/TBST.

Exposure time : Lanes 1-3 : 26 seconds; Lane 4 : 70 seconds.

All lanes:

Western blot - Anti-Ras antibody [EPR23474-20] (ab275875) at 1/1000 dilution

Lane 1:

C6 (rat glial tumor glial cell) whole cell lysate at 20 µg

Lane 2:

RAW 264.7 (mouse abelson murine leukemia virus-induced tumor macrophage) whole cell lysate at 20 µg

Lane 3:

PC-12 (rat adrenal gland pheochromocytoma) whole cell lysate at 20 µg

Lane 4:

NIH/3T3 (mouse embryonic fibroblast) whole cell lysate at 20 µg

Secondary

All lanes:

Goat Anti-Rabbit IgG, (H+L), Peroxidase conjugated (<a href='/en-us/products/secondary-antibodies/goat-rabbit-igg-h-l-hrp-ab97051'>ab97051</a>) at 1/50000 dilution

Predicted band size: 21 kDa

Observed band size: 21 kDa

false

Western blot - Anti-Ras antibody [EPR23474-20] (AB275875)
  • WB

Supplier Data

Western blot - Anti-Ras antibody [EPR23474-20] (AB275875)

Blocking and diluting buffer and concentration : 5% NFDM/TBST This antibody specifically recognizes RAS (mutated G12V). In Western blot, anti-Ras antibody (ab275875) staining at 1/1000 dilution. In Western blot, anti-His antibody (ab213204) staining at 1/5000 dilution. In Western blot, anti-GAPDH antibody (ab181602) loading control staining at 1/200000 dilution. Exposure time : 180 seconds

All lanes:

Western blot - Anti-RAS (mutated G12V) antibody [EPR26090-62] (<a href='/en-us/products/primary-antibodies/ras-mutated-g12v-antibody-epr26090-62-ab313698'>ab313698</a>) at 1/1000 dilution

Lane 1:

293T (human embryonic kidney epithelial cell) cells transfected with an empty vector containing a His-tag whole cell lysate at 20 µg

Lane 2:

293T cells transfected with a human KRAS (mutated G12V) expression vector containing a His-tag whole cell lysate at 20 µg

Lane 3:

293T cells transfected with a human KRAS (mutated G12R) expression vector containing a His-tag whole cell lysate at 20 µg

Lane 4:

293T cells transfected with a human KRAS (mutated G13D) expression vector containing a His-tag whole cell lysate at 20 µg

Secondary

All lanes:

Western blot - Goat Anti-Rabbit IgG H&L (HRP) (<a href='/en-us/products/secondary-antibodies/goat-rabbit-igg-h-l-hrp-ab97051'>ab97051</a>) at 1/20000 dilution

Observed band size: 21 kDa

false

Exposure time: 180s

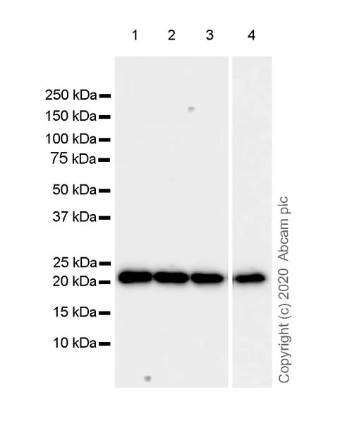
Western blot - Anti-Ras antibody [EPR23474-20] (AB275875)
  • WB

Lab

Western blot - Anti-Ras antibody [EPR23474-20] (AB275875)

Blocking and diluting buffer and concentration : 5% NFDM/TBST

Exposure time : 3 seconds.

All lanes:

Western blot - Anti-Ras antibody [EPR23474-20] (ab275875) at 1/1000 dilution

Lane 1:

Mouse colon tissue lysate at 40 µg

Lane 2:

Mouse stomach tissue lysate at 40 µg

Lane 3:

Rat colon tissue lysate at 40 µg

Secondary

All lanes:

Goat Anti-Rabbit IgG, (H+L), Peroxidase conjugated (<a href='/en-us/products/secondary-antibodies/goat-rabbit-igg-h-l-hrp-ab97051'>ab97051</a>) at 1/50000 dilution

Predicted band size: 21 kDa

Observed band size: 21 kDa

false

Key facts

Host species

Rabbit

Clonality

Monoclonal

Clone number

EPR23474-20

Isotype

IgG

Carrier free

No

Reacts with

Mouse, Rat, Human

Applications

mIHC, IP, WB, IHC-P, Flow Cyt (Intra)

applications

Immunogen

The exact immunogen used to generate this antibody is proprietary information.

Reactivity data

{ "title": "Reactivity Data", "filters": { "stats": ["", "Species", "Dilution Info", "Notes"], "tabs": { "all-applications": {"fullname" : "All Applications", "shortname": "All Applications"}, "mIHC" : {"fullname" : "Multiplex immunohistochemistry", "shortname":"mIHC"}, "ICCIF" : {"fullname" : "Immunocytochemistry/ Immunofluorescence", "shortname":"ICC/IF"}, "IP" : {"fullname" : "Immunoprecipitation", "shortname":"IP"}, "WB" : {"fullname" : "Western blot", "shortname":"WB"}, "FlowCytIntra" : {"fullname" : "Flow Cytometry (Intracellular)", "shortname":"Flow Cyt (Intra)"}, "IHCP" : {"fullname" : "Immunohistochemistry (Formalin/PFA-fixed paraffin-embedded sections)", "shortname":"IHC-P"} }, "product-promise": { "all": "all", "testedAndGuaranteed": "tested", "guaranteed": "expected", "predicted": "predicted", "notRecommended": "not-recommended" } }, "values": { "Human": { "mIHC-species-checked": "guaranteed", "mIHC-species-dilution-info": "", "mIHC-species-notes": "", "ICCIF-species-checked": "notRecommended", "ICCIF-species-dilution-info": "", "ICCIF-species-notes": "", "IP-species-checked": "testedAndGuaranteed", "IP-species-dilution-info": "1/30", "IP-species-notes": "<p></p>", "WB-species-checked": "testedAndGuaranteed", "WB-species-dilution-info": "1/1000", "WB-species-notes": "<p></p>", "FlowCytIntra-species-checked": "testedAndGuaranteed", "FlowCytIntra-species-dilution-info": "1/50", "FlowCytIntra-species-notes": "<p></p>", "IHCP-species-checked": "testedAndGuaranteed", "IHCP-species-dilution-info": "1/2000", "IHCP-species-notes": "<p></p> Perform heat-mediated antigen retrieval with Tris/EDTA buffer pH 9.0 before commencing with IHC staining protocol." }, "Mouse": { "mIHC-species-checked": "testedAndGuaranteed", "mIHC-species-dilution-info": "1/2000", "mIHC-species-notes": "<p></p> Perform heat-mediated antigen retrieval with Tris/EDTA buffer pH 9.0 before commencing with IHC staining protocol.", "ICCIF-species-checked": "notRecommended", "ICCIF-species-dilution-info": "", "ICCIF-species-notes": "<p></p>", "IP-species-checked": "notRecommended", "IP-species-dilution-info": "1/30", "IP-species-notes": "<p></p>", "WB-species-checked": "testedAndGuaranteed", "WB-species-dilution-info": "1/1000", "WB-species-notes": "<p></p>", "FlowCytIntra-species-checked": "testedAndGuaranteed", "FlowCytIntra-species-dilution-info": "1/50", "FlowCytIntra-species-notes": "<p></p>", "IHCP-species-checked": "testedAndGuaranteed", "IHCP-species-dilution-info": "1/2000", "IHCP-species-notes": "<p></p> Perform heat-mediated antigen retrieval with Tris/EDTA buffer pH 9.0 before commencing with IHC staining protocol." }, "Rat": { "mIHC-species-checked": "guaranteed", "mIHC-species-dilution-info": "", "mIHC-species-notes": "", "ICCIF-species-checked": "notRecommended", "ICCIF-species-dilution-info": "", "ICCIF-species-notes": "<p></p>", "IP-species-checked": "guaranteed", "IP-species-dilution-info": "", "IP-species-notes": "", "WB-species-checked": "testedAndGuaranteed", "WB-species-dilution-info": "1/1000", "WB-species-notes": "<p></p>", "FlowCytIntra-species-checked": "guaranteed", "FlowCytIntra-species-dilution-info": "", "FlowCytIntra-species-notes": "", "IHCP-species-checked": "testedAndGuaranteed", "IHCP-species-dilution-info": "1/2000", "IHCP-species-notes": "<p></p> Perform heat-mediated antigen retrieval with Tris/EDTA buffer pH 9.0 before commencing with IHC staining protocol." }, "Recombinant full length protein - Human": { "mIHC-species-checked": "notRecommended", "mIHC-species-dilution-info": "", "mIHC-species-notes": "", "ICCIF-species-checked": "notRecommended", "ICCIF-species-dilution-info": "", "ICCIF-species-notes": "", "IP-species-checked": "notRecommended", "IP-species-dilution-info": "", "IP-species-notes": "", "WB-species-checked": "testedAndGuaranteed", "WB-species-dilution-info": "1/1000", "WB-species-notes": "<p></p>", "FlowCytIntra-species-checked": "notRecommended", "FlowCytIntra-species-dilution-info": "", "FlowCytIntra-species-notes": "", "IHCP-species-checked": "notRecommended", "IHCP-species-dilution-info": "", "IHCP-species-notes": "" } } }

Product details

Patented technology
Our RabMAb® technology is a patented hybridoma-based technology for making rabbit monoclonal antibodies. For details on our patents, please refer to RabMAb® patents.

What are the advantages of a recombinant monoclonal antibody?
This product is a recombinant monoclonal antibody, which offers several advantages including:

  • - High batch-to-batch consistency and reproducibility
  • - Improved sensitivity and specificity
  • - Long-term security of supply
  • - Animal-free batch production

For more information, read more on recombinant antibodies.

Properties and storage information

Form
Liquid
Purification technique
Affinity purification Protein A
Storage buffer
Preservative: 0.01% Sodium azide Constituents: 59.94% PBS, 40% Glycerol (glycerin, glycerine), 0.05% BSA
Shipped at conditions
Blue Ice
Appropriate short-term storage duration
1-2 weeks
Appropriate short-term storage conditions
+4°C
Appropriate long-term storage conditions
-20°C
Aliquoting information
Upon delivery aliquot
Storage information
Avoid freeze / thaw cycle

Supplementary information

This supplementary information is collated from multiple sources and compiled automatically.

The Ras protein also known by its alternate names such as KRAS NRAS and HRAS functions as a small GTPase which is a type of enzyme that binds to guanosine triphosphate (GTP) and can switch to an inactive form when it hydrolyzes GTP to GDP. Ras proteins are encoded by genes located in different chromosomes and typically have a molecular weight of about 21 kDa. These proteins are expressed in various tissues throughout the body where they play key roles in cellular signaling.
Biological function summary

Ras proteins are pivotal in regulating cell proliferation differentiation and survival. They are often part of larger protein complexes that facilitate signal transduction across cell membranes. These proteins function as binary molecular switches toggling between active (GTP-bound) and inactive (GDP-bound) states. Mutations in Ras proteins such as NRAS Q61R can lead the protein to assume permanently active conformations disrupting normal cellular signaling processes and contributing to oncogenesis.

Pathways

Ras proteins play significant roles in the MAPK/ERK and PI3K/AKT signaling pathways. Their activation leads to a cascade of phosphorylation events that ultimately regulate gene expression. Within these pathways Ras proteins interact with various molecules including RAF kinases and the PI3K protein further illustrating their complex roles in signal propagation. These pathways control many cellular processes including growth differentiation and survival illustrating how Ras proteins integrate multiple signals to modulate cellular outcomes.

Ras proteins are frequently implicated in various cancers notably pancreatic and colorectal cancers. Mutated forms of Ras such as KRAS G12V drive oncogenesis by promoting uncontrolled cell growth and division. In cancer pathology Ras often interacts with tumor suppressor proteins influencing the disease progression. Targeting Ras-mediated signaling pathways using approaches like pan-Ras inhibitors or chemiluminescence ELISAs represents an ongoing area of therapeutic research aimed at combating Ras-driven malignancies.

Product protocols

For this product, it's our understanding that no specific protocols are required. You can visit:

Target data

The protein expressed by the KRAS gene binds GDP/GTP and has intrinsic GTPase activity. It plays an important role in regulating cell proliferation and may contribute to oncogenic events by inducing transcriptional silencing of tumor suppressor genes in colorectal cancer cells through a ZNF304-dependent mechanism. This supplementary information is collated from multiple sources and compiled automatically.
See full target information KRAS

Product promise

We are committed to supporting your work with high-quality reagents, and we're here for you every step of the way. In the unlikely event that one of our products does not perform as expected, you're protected by our Product Promise.
For full details, please see our Terms & Conditions

Associated Products

Select an associated product type
Alternative Product
Primary Antibodies

AB206969

Anti-Ras antibody [EPR18713-13]

primary-antibodies

ras-antibody-epr18713-13-ab206969

0

(0 reviews)

Alternative Product
Primary Antibodies

AB238444

Anti-Ras antibody [EPR18713-13] - BSA and Azide free

primary-antibodies

ras-antibody-epr18713-13-bsa-and-azide-free-ab238444

4

(8 reviews)

Please note: All products are 'FOR RESEARCH USE ONLY. NOT FOR USE IN DIAGNOSTIC OR THERAPEUTIC PROCEDURES'.

For licensing inquiries, please contact partnerships@abcam.com