JavaScript is disabled in your browser. Please enable JavaScript to view this website.
AB108602

Anti-Ras antibody [EPR3255]

  • BOND RX™ Validated
  • RabMAb
  • Recombinant
  • 20ul selling size
  • What is this?

5

(9 Reviews)

|

(34 Publications)

Anti-Ras antibody [EPR3255] (ab108602) is a rabbit monoclonal antibody detecting Ras in Western Blot, Flow Cytometry (Intra), Flow Cytometry, IP, IHC-P, ICC/IF. Suitable for Human, Mouse, Rat.

- Biophysical QC for unrivalled batch-batch consistency
- Over 20 publications

View Alternative Names

HRAS1, HRAS, GTPase HRas, H-Ras-1, Ha-Ras, Transforming protein p21, c-H-ras, p21ras

9 Images
Flow Cytometry (Intracellular) - Anti-Ras antibody [EPR3255] (AB108602)
  • Flow Cyt (Intra)

Unknown

Flow Cytometry (Intracellular) - Anti-Ras antibody [EPR3255] (AB108602)

Intracellular Flow Cytometry analysis of HEK-293 (Human embryonic kidney epithelial cell) cells labeling Ras with purified ab108602 at 1/30 dilution (10 μg/ml) (Red). Cells were fixed with 4% Paraformaldehyde and permeabilised with 90% Methanol. A Goat anti rabbit IgG (Alexa Fluor® 488, ab150077) secondary antibody was used at 1/2000. Isotype control - Rabbit monoclonal IgG (Black). Unlabeled control - Cell without incubation with primary antibody and secondary antibody (Blue).

Immunocytochemistry/ Immunofluorescence - Anti-Ras antibody [EPR3255] (AB108602)
  • ICC/IF

Unknown

Immunocytochemistry/ Immunofluorescence - Anti-Ras antibody [EPR3255] (AB108602)

Immunocytochemistry/ Immunofluorescence analysis of 293T (Human embryonic kidney epithelial cell) cells labeling Ras with purified ab108602 at 1 : 100 dilution (10 µg/ml). Cells were fixed in 4% Paraformaldehyde and permeabilized with 0.1% tritonX-100. Cells were counterstained with ab195889 Anti-alpha Tubulin antibody [DM1A] - Microtubule Marker (Alexa Fluor® 594) 1 : 200 (2.5 µg/ml). Goat anti rabbit IgG (Alexa Fluor® 488, ab150077) was used as the secondary antibody at 1 : 1000 (2 µg/ml) dilution. DAPI (blue) was used as nuclear counterstain. PBS instead of the primary antibody was used as the secondary antibody only control.

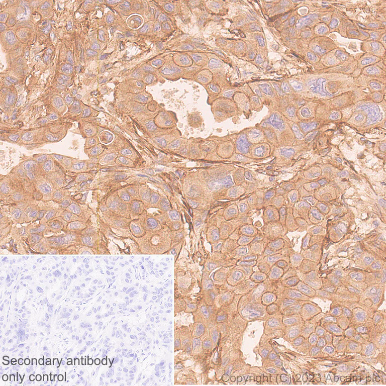
Immunohistochemistry (Formalin/PFA-fixed paraffin-embedded sections) - Anti-Ras antibody [EPR3255] (AB108602)
  • IHC-P

Supplier Data

Immunohistochemistry (Formalin/PFA-fixed paraffin-embedded sections) - Anti-Ras antibody [EPR3255] (AB108602)

Immunohistochemical analysis of paraffin-embedded human breast carcinoma tissue labelling Ras with ab209974 at 1/10000 (0.104 μg/ml) dilution followed by a LeicaDS9800 (Bond Polymer Refine Detection) at ready to use dilution. Positive staining on human breast carcinoma. The section was incubated with ab209974 for 30 mins at room temperature. The immunostaining was performed on a Leica Biosystems BOND® RX instrument. Counterstained with hematoxylin. Secondary antibody only control : Secondary antibody is LeicaDS9800 (Bond Polymer Refine Detection) at ready to use dilution. Heat mediated antigen retrieval was performed with Tris-EDTA buffer (pH 9.0, Epitope Retrieval Solution2) for 20 mins. This data was developed using the same antibody clone in a different buffer formulation (ab209974).

Immunohistochemistry (Formalin/PFA-fixed paraffin-embedded sections) - Anti-Ras antibody [EPR3255] (AB108602)
  • IHC-P

Supplier Data

Immunohistochemistry (Formalin/PFA-fixed paraffin-embedded sections) - Anti-Ras antibody [EPR3255] (AB108602)

Immunohistochemical analysis of paraffin-embedded mouse cerebrum tissue labelling Ras with ab209974 at 1/10000 (0.104 μg/ml) dilution followed by a LeicaDS9800 (Bond Polymer Refine Detection) at ready to use dilution. Positive staining on mouse cerebrum. The section was incubated with ab209974 for 30 mins at room temperature. The immunostaining was performed on a Leica Biosystems BOND® RX instrument. Counterstained with hematoxylin. Secondary antibody only control : Secondary antibody is LeicaDS9800 (Bond Polymer Refine Detection) at ready to use dilution. Heat mediated antigen retrieval was performed with Tris-EDTA buffer (pH 9.0, Epitope Retrieval Solution2) for 20 mins. This data was developed using the same antibody clone in a different buffer formulation (ab209974).

Immunohistochemistry (Formalin/PFA-fixed paraffin-embedded sections) - Anti-Ras antibody [EPR3255] (AB108602)
  • IHC-P

Supplier Data

Immunohistochemistry (Formalin/PFA-fixed paraffin-embedded sections) - Anti-Ras antibody [EPR3255] (AB108602)

Immunohistochemical analysis of paraffin-embedded rat cardiac muscle tissue labelling Ras with ab209974 at 1/10000 (0.104 μg/ml) dilution followed by a LeicaDS9800 (Bond Polymer Refine Detection) at ready to use dilution. Positive staining on rat cardiac muscle. The section was incubated with ab209974 for 30 mins at room temperature. The immunostaining was performed on a Leica Biosystems BOND® RX instrument. Counterstained with Hematoxylin. Secondary antibody only control : Secondary antibody is LeicaDS9800 (Bond Polymer Refine Detection) at ready to use dilution. Heat mediated antigen retrieval was performed with Tris-EDTA buffer (pH 9.0, Epitope Retrieval Solution2) for 20 mins. This data was developed using the same antibody clone in a different buffer formulation (ab209974).

Immunohistochemistry (Formalin/PFA-fixed paraffin-embedded sections) - Anti-Ras antibody [EPR3255] (AB108602)
  • IHC-P

Supplier Data

Immunohistochemistry (Formalin/PFA-fixed paraffin-embedded sections) - Anti-Ras antibody [EPR3255] (AB108602)

Immunohistochemical analysis of paraffin-embedded rat cerebrum tissue labelling Ras with ab209974 at 1/10000 (0.104 μg/ml) dilution followed by a LeicaDS9800 (Bond Polymer Refine Detection) at ready to use dilution. Positive staining on rat cerebrum. The section was incubated with ab209974 for 30 mins at room temperature. The immunostaining was performed on a Leica Biosystems BOND® RX instrument. Counterstained with hematoxylin. Secondary antibody only control : Secondary antibody is LeicaDS9800 (Bond Polymer Refine Detection) at Ready to use dilution. Heat mediated antigen retrieval was performed with Tris-EDTA buffer (pH 9.0, Epitope Retrieval Solution2) for 20 mins. This data was developed using the same antibody clone in a different buffer formulation (ab209974).

Western blot - Anti-Ras antibody [EPR3255] (AB108602)
  • WB

Lab

Western blot - Anti-Ras antibody [EPR3255] (AB108602)

All lanes:

Western blot - Anti-Ras antibody [EPR3255] (ab108602) at 1/10000 dilution

Lane 1:

HEK-293 (Human embryonic kidney epithelial cell) whole cell lysates at 20 µg

Lane 2:

Rat brain lysates at 20 µg

Lane 3:

Mouse heart lysates at 20 µg

Secondary

All lanes:

Western blot - Goat Anti-Rabbit IgG H&L (HRP) (<a href='/en-us/products/secondary-antibodies/goat-rabbit-igg-h-l-hrp-ab97051'>ab97051</a>) at 1/20000 dilution

Predicted band size: 21 kDa

Observed band size: 21 kDa

false

Immunoprecipitation - Anti-Ras antibody [EPR3255] (AB108602)
  • IP

Unknown

Immunoprecipitation - Anti-Ras antibody [EPR3255] (AB108602)

ab108602 (purified) at 1/20 dilution (2 µg) immunoprecipitating Ras in SH-SY5Y whole cell lysate.
Lane 1 (input) : SH-SY5Y (Human neuroblastoma epithelial cell) whole cell lysate 10 µg
Lane 2 (+) : ab108602 & SH-SY5Y whole cell lysate
Lane 3 (-) : Rabbit monoclonal IgG (ab172730) instead of ab108602 in SH-SY5Y whole cell lysate
For western blotting, VeriBlot for IP Detection Reagent (HRP) (ab131366) was used at 1/1000 dilution.
Blocking and diluting buffer : 5% NFDM/TBST.

All lanes:

Immunoprecipitation - Anti-Ras antibody [EPR3255] (ab108602)

Predicted band size: 21 kDa

false

Western blot - Anti-Ras antibody [EPR3255] (AB108602)
  • WB

Unknown

Western blot - Anti-Ras antibody [EPR3255] (AB108602)

All lanes:

Western blot - Anti-Ras antibody [EPR3255] (ab108602) at 1/1000 dilution

Lane 1:

HEK-293 whole cell lysate at 10 µg

Lane 2:

SH-SY5Y cell lysate at 10 µg

Secondary

All lanes:

HRP labelled goat anti-rabbit at 1/2000 dilution

Predicted band size: 21 kDa

false

Key facts

Host species

Rabbit

Clonality

Monoclonal

Clone number

EPR3255

Isotype

IgG

Carrier free

No

Reacts with

Mouse, Rat, Human

Applications

Flow Cyt (Intra), IP, IHC-P, WB, ICC/IF

applications

Immunogen

The exact immunogen used to generate this antibody is proprietary information.

Specificity

ab108602 also detects H-Ras and N-Ras.

Reactivity data

{ "title": "Reactivity Data", "filters": { "stats": ["", "Species", "Dilution Info", "Notes"], "tabs": { "all-applications": {"fullname" : "All Applications", "shortname": "All Applications"}, "IHCP" : {"fullname" : "Immunohistochemistry (Formalin/PFA-fixed paraffin-embedded sections)", "shortname":"IHC-P"}, "IP" : {"fullname" : "Immunoprecipitation", "shortname":"IP"}, "WB" : {"fullname" : "Western blot", "shortname":"WB"}, "ICCIF" : {"fullname" : "Immunocytochemistry/ Immunofluorescence", "shortname":"ICC/IF"}, "FlowCytIntra" : {"fullname" : "Flow Cytometry (Intracellular)", "shortname":"Flow Cyt (Intra)"} }, "product-promise": { "all": "all", "testedAndGuaranteed": "tested", "guaranteed": "expected", "predicted": "predicted", "notRecommended": "not-recommended" } }, "values": { "Human": { "IHCP-species-checked": "testedAndGuaranteed", "IHCP-species-dilution-info": "", "IHCP-species-notes": "<p></p> Perform heat-mediated antigen retrieval with Tris/EDTA buffer pH 9.0 before commencing with IHC staining protocol.", "IP-species-checked": "testedAndGuaranteed", "IP-species-dilution-info": "1/10 - 1/100", "IP-species-notes": "<p></p>", "WB-species-checked": "testedAndGuaranteed", "WB-species-dilution-info": "1/1000 - 1/10000", "WB-species-notes": "<p></p>", "ICCIF-species-checked": "testedAndGuaranteed", "ICCIF-species-dilution-info": "1/50 - 1/100", "ICCIF-species-notes": "<p></p>", "FlowCytIntra-species-checked": "testedAndGuaranteed", "FlowCytIntra-species-dilution-info": "1/30", "FlowCytIntra-species-notes": "<p></p>" }, "Mouse": { "IHCP-species-checked": "testedAndGuaranteed", "IHCP-species-dilution-info": "", "IHCP-species-notes": "<p></p> Perform heat-mediated antigen retrieval with Tris/EDTA buffer pH 9.0 before commencing with IHC staining protocol.", "IP-species-checked": "guaranteed", "IP-species-dilution-info": "", "IP-species-notes": "", "WB-species-checked": "testedAndGuaranteed", "WB-species-dilution-info": "1/1000 - 1/10000", "WB-species-notes": "<p></p>", "ICCIF-species-checked": "guaranteed", "ICCIF-species-dilution-info": "", "ICCIF-species-notes": "", "FlowCytIntra-species-checked": "guaranteed", "FlowCytIntra-species-dilution-info": "", "FlowCytIntra-species-notes": "" }, "Rat": { "IHCP-species-checked": "testedAndGuaranteed", "IHCP-species-dilution-info": "", "IHCP-species-notes": "<p></p> Perform heat-mediated antigen retrieval with Tris/EDTA buffer pH 9.0 before commencing with IHC staining protocol.", "IP-species-checked": "guaranteed", "IP-species-dilution-info": "", "IP-species-notes": "", "WB-species-checked": "testedAndGuaranteed", "WB-species-dilution-info": "1/1000 - 1/10000", "WB-species-notes": "<p></p>", "ICCIF-species-checked": "guaranteed", "ICCIF-species-dilution-info": "", "ICCIF-species-notes": "", "FlowCytIntra-species-checked": "guaranteed", "FlowCytIntra-species-dilution-info": "", "FlowCytIntra-species-notes": "" } } }

Product details

What is this antibody validated in?
Anti-Ras antibody [EPR3255] (ab108602) is a rabbit recombinant monoclonal antibody and is validated for use in Western Blot (WB), Flow Cytometry (Intra), Flow Cytometry (Flow Cyt), Immunoprecipitation (IP), Immunohistochemistry (IHC-P), Immunocytochemistry/immunofluorescence (ICC/IF) in Human, Mouse, Rat samples.

What is the molecular weight of Ras?
Anti-Ras [EPR3255] (ab108602) specifically detects a band for Ras (UniProt: P01116) at a molecular weight of 22kDa.

Trusted by the scientific community
Anti-Ras [EPR3255] (ab108602) was first used in a scientific publication in 2011 and has been cited over 20 times in peer-reviewed journals.

Reviewed by scientists
Anti-Ras [EPR3255] (ab108602) has over 5 independent reviews from customers.

Trial sizes available!
Test your antibody or perform pre-screening before committing to a larger quantity. Sold in 10µl. Discover our selection of trial-size antibodies.

Other related products
We have a range of other formats of antibody clone [EPR3255] also available for your convenience: ab108602, HRP - ab199557, Carrier free - ab209974, Alexa Fluor® 488 - ab308536, Alexa Fluor® 555 - ab308603, APC - ab310809, PE - ab310891, Alexa Fluor® 647 - ab311096, Alexa Fluor® 594 - ab311708, Alexa Fluor® 568 - ab312983, Alexa Fluor® 750 - ab320911

Patented technology
Our RabMAb® technology is a patented hybridoma-based technology for making rabbit monoclonal antibodies. For details on our patents, please refer to RabMAb® patents.

What are the advantages of a recombinant monoclonal antibody?
This product is a recombinant monoclonal antibody, which offers several advantages including:

  • - High batch-to-batch consistency and reproducibility
  • - Improved sensitivity and specificity
  • - Long-term security of supply
  • - Animal-free batch production

For more information, read more on recombinant antibodies.

Properties and storage information

Form
Liquid
Purification technique
Affinity purification Protein A
Storage buffer
pH: 7.2 - 7.4 Preservative: 0.01% Sodium azide Constituents: 59% PBS, 40% Glycerol (glycerin, glycerine), 0.05% BSA
Shipped at conditions
Blue Ice
Appropriate short-term storage duration
1-2 weeks
Appropriate short-term storage conditions
+4°C
Appropriate long-term storage conditions
-20°C
Aliquoting information
Upon delivery aliquot
Storage information
Avoid freeze / thaw cycle

Supplementary information

This supplementary information is collated from multiple sources and compiled automatically.

The Ras protein also known by its alternate names such as KRAS NRAS and HRAS functions as a small GTPase which is a type of enzyme that binds to guanosine triphosphate (GTP) and can switch to an inactive form when it hydrolyzes GTP to GDP. Ras proteins are encoded by genes located in different chromosomes and typically have a molecular weight of about 21 kDa. These proteins are expressed in various tissues throughout the body where they play key roles in cellular signaling.
Biological function summary

Ras proteins are pivotal in regulating cell proliferation differentiation and survival. They are often part of larger protein complexes that facilitate signal transduction across cell membranes. These proteins function as binary molecular switches toggling between active (GTP-bound) and inactive (GDP-bound) states. Mutations in Ras proteins such as NRAS Q61R can lead the protein to assume permanently active conformations disrupting normal cellular signaling processes and contributing to oncogenesis.

Pathways

Ras proteins play significant roles in the MAPK/ERK and PI3K/AKT signaling pathways. Their activation leads to a cascade of phosphorylation events that ultimately regulate gene expression. Within these pathways Ras proteins interact with various molecules including RAF kinases and the PI3K protein further illustrating their complex roles in signal propagation. These pathways control many cellular processes including growth differentiation and survival illustrating how Ras proteins integrate multiple signals to modulate cellular outcomes.

Ras proteins are frequently implicated in various cancers notably pancreatic and colorectal cancers. Mutated forms of Ras such as KRAS G12V drive oncogenesis by promoting uncontrolled cell growth and division. In cancer pathology Ras often interacts with tumor suppressor proteins influencing the disease progression. Targeting Ras-mediated signaling pathways using approaches like pan-Ras inhibitors or chemiluminescence ELISAs represents an ongoing area of therapeutic research aimed at combating Ras-driven malignancies.

Product protocols

For this product, it's our understanding that no specific protocols are required. You can visit:

Target data

Involved in the activation of Ras protein signal transduction (PubMed : 22821884). Ras proteins bind GDP/GTP and possess intrinsic GTPase activity (PubMed : 12740440, PubMed : 14500341, PubMed : 9020151).
See full target information HRAS

Publications (34)

Recent publications for all applications. Explore the full list and refine your search

Nature 642:232-241 PubMed40335703

2025

Targeting the SHOC2-RAS interaction in RAS-mutant cancers.

Applications

Unspecified application

Species

Unspecified reactive species

Zachary J Hauseman,Frédéric Stauffer,Kim S Beyer,Sandra Mollé,Elena Cavicchioli,Jean-Remy Marchand,Michelle Fodor,Jessica Viscomi,Anxhela Dhembi,Stéphanie Katz,Beatrice Faggion,Mylene Lanter,Grainne Kerr,Daniela Schildknecht,Cornelia Handl,Danilo Maddalo,Carole Pissot Soldermann,Jacob Brady,Om Shrestha,Zachary Nguyen,Lukas Leder,Gregor Cremosnik,Sandra Lopez Romero,Ulrich Hassiepen,Travis Stams,Markus Linder,Giorgio G Galli,Daniel A Guthy,Daniel A King,Sauveur-Michel Maira,Claudio R Thoma,Veronika Ehmke,Luca Tordella

Cancer cell international 25:49 PubMed39962568

2025

Comprehensive network pharmacology and experimental study to investigate the effect and mechanism of solasonine on breast carcinoma treatment.

Applications

Unspecified application

Species

Unspecified reactive species

Wenkai Ge,Min Gao,Yingqi Dai,Gang Zheng,Li Yang,Wenshu Zuo,Xingsong Tian

CytoJournal 21:34 PubMed39563667

2024

The mechanism of L1 cell adhesion molecule interacting with protein tyrosine kinase 2 to regulate the focal adhesion kinase-growth factor receptor-bound protein 2-son of sevenless-rat sarcoma pathway in the identification and treatment of type I high-risk endometrial cancer.

Applications

Unspecified application

Species

Unspecified reactive species

Wei He,Wei Liu,Xiumei Liu,Wenhua Tan

Journal of biochemical and molecular toxicology 38:e23848 PubMed39264832

2024

GAD1 ameliorates glioma progression through regulating cuproptosis via RAS/MAPK pathway.

Applications

Unspecified application

Species

Unspecified reactive species

Zhiqiang Gao,Jing Yang

Cancer discovery 14:994-1017 PubMed38593348

2024

Translational and Therapeutic Evaluation of RAS-GTP Inhibition by RMC-6236 in RAS-Driven Cancers.

Applications

Unspecified application

Species

Unspecified reactive species

Jingjing Jiang,Lingyan Jiang,Benjamin J Maldonato,Yingyun Wang,Matthew Holderfield,Ida Aronchik,Ian P Winters,Zeena Salman,Cristina Blaj,Marie Menard,Jens Brodbeck,Zhe Chen,Xing Wei,Michael J Rosen,Yevgeniy Gindin,Bianca J Lee,James W Evans,Stephanie Chang,Zhican Wang,Kyle J Seamon,Dylan Parsons,James Cregg,Abby Marquez,Aidan C A Tomlinson,Jason K Yano,John E Knox,Elsa Quintana,Andrew J Aguirre,Kathryn C Arbour,Abby Reed,W Clay Gustafson,Adrian L Gill,Elena S Koltun,David Wildes,Jacqueline A M Smith,Zhengping Wang,Mallika Singh

Science advances 10:eadh3409 PubMed38277448

2024

Ku70 senses cytosolic DNA and assembles a tumor-suppressive signalosome.

Applications

Unspecified application

Species

Unspecified reactive species

Abhimanu Pandey,Cheng Shen,Shouya Feng,Daniel Enosi Tuipulotu,Chinh Ngo,Cheng Liu,Melan Kurera,Anukriti Mathur,Shweta Venkataraman,Jing Zhang,Dipti Talaulikar,Renhua Song,Justin J-L Wong,Narci Teoh,Nadeem O Kaakoush,Si Ming Man

Science advances 9:eadf4766 PubMed37450595

2023

RAS-dependent RAF-MAPK hyperactivation by pathogenic RIT1 is a therapeutic target in Noonan syndrome-associated cardiac hypertrophy.

Applications

Unspecified application

Species

Unspecified reactive species

Antonio Cuevas-Navarro,Morgan Wagner,Richard Van,Monalisa Swain,Stephanie Mo,John Columbus,Madeline R Allison,Alice Cheng,Simon Messing,Thomas J Turbyville,Dhirendra K Simanshu,Matthew J Sale,Frank McCormick,Andrew G Stephen,Pau Castel

International journal of molecular sciences 24: PubMed37175945

2023

Effects of Therapeutic Platelet-Rich Plasma on Overactive Bladder via Modulating Hyaluronan Synthesis in Ovariectomized Rat.

Applications

Unspecified application

Species

Unspecified reactive species

Jian-He Lu,Kuang-Shun Chueh,Tai-Jui Juan,Jing-Wen Mao,Rong-Jyh Lin,Yi-Chen Lee,Mei-Chen Shen,Ting-Wei Sun,Hung-Yu Lin,Yung-Shun Juan

Journal of experimental & clinical cancer research : CR 42:13 PubMed36627634

2023

Parvimonas micra activates the Ras/ERK/c-Fos pathway by upregulating miR-218-5p to promote colorectal cancer progression.

Applications

Unspecified application

Species

Unspecified reactive species

Yuxiao Chang,Ziran Huang,Fengyi Hou,Yuejiao Liu,Likun Wang,Zhen Wang,Yifan Sun,Zhiyuan Pan,Yafang Tan,Lei Ding,Hong Gao,Ruifu Yang,Yujing Bi

Cancer immunology research 10:1475-1489 PubMed36206575

2022

CD59-Regulated Ras Compartmentalization Orchestrates Antitumor T-cell Immunity.

Applications

Unspecified application

Species

Unspecified reactive species

Luying Li,Peipei Ding,Xinyue Lv,Suhong Xie,Ling Li,Jianfeng Chen,Danlei Zhou,Xiaochao Wang,Qi Wang,Wei Zhang,Yanqing Xu,Renquan Lu,Weiguo Hu
View all publications

Product promise

We are committed to supporting your work with high-quality reagents, and we're here for you every step of the way. In the unlikely event that one of our products does not perform as expected, you're protected by our Product Promise.
For full details, please see our Terms & Conditions

Please note: All products are 'FOR RESEARCH USE ONLY. NOT FOR USE IN DIAGNOSTIC OR THERAPEUTIC PROCEDURES'.

For licensing inquiries, please contact partnerships@abcam.com