JavaScript is disabled in your browser. Please enable JavaScript to view this website.
AB222516

Anti-Ras (mutated Q61) antibody [EPR20278]

4

(4 Reviews)

|

(2 Publications)

Rabbit Recombinant Monoclonal RASN mutated Q61R antibody. Suitable for WB and reacts with Transfected cell line - Human, Human samples. Cited in 2 publications.

View Alternative Names

HRAS1, NRAS, GTPase NRas, Transforming protein N-Ras

2 Images
Western blot - Anti-Ras (mutated Q61) antibody [EPR20278] (AB222516)
  • WB

Lab

Western blot - Anti-Ras (mutated Q61) antibody [EPR20278] (AB222516)

Blocking buffer and concentration : 5% NFDM/TBST Diluting buffer and concentration : 5% NFDM /TBST This antibody has been found to react with different mutations we tested. We haven’t tested all possible mutations at Q61.

All lanes:

Western blot - Anti-Ras (mutated Q61) antibody [EPR20278] (ab222516) at 1/1000 dilution

Lane 1:

HEK-293T (Human embryonic kidney epithelial cell) transfected with an empty vector (vector control), containing a His-tag at 20 µg

Lane 2:

HEK-293T (Human embryonic kidney epithelial cell) transfected with His-tagged NRAS (mutated Q61R) whole cell lysate at 20 µg

Lane 3:

HEK-293T (Human embryonic kidney epithelial cell) transfected with His-tagged NRAS (mutated Q61K) whole cell lysate at 20 µg

Lane 4:

HEK-293T (Human embryonic kidney epithelial cell) transfected with His-tagged NRAS (mutated Q61H) whole cell lysate at 20 µg

Lane 5:

HEK-293T (Human embryonic kidney epithelial cell) transfected with His-tagged NRAS (mutated Q61L) whole cell lysate at 20 µg

Lane 6:

HEK-293T (Human embryonic kidney epithelial cell) transfected with His-tagged NRAS whole cell lysate at 20 µg

Lane 7:

HEK-293T (Human embryonic kidney epithelial cell) transfected with His-tagged HRAS (mutated Q61R) whole cell lysate at 20 µg

Lane 8:

HEK-293T (Human embryonic kidney epithelial cell) transfected with His-tagged KRAS (mutated Q61R) whole cell lysate at 20 µg

Secondary

All lanes:

Western blot - Goat Anti-Rabbit IgG H&L (HRP) (<a href='/en-us/products/secondary-antibodies/goat-rabbit-igg-h-l-hrp-ab97051'>ab97051</a>) at 1/20000 dilution

Predicted band size: 21 kDa

Observed band size: 25 kDa

false

Exposure time: 3s

Western blot - Anti-Ras (mutated Q61) antibody [EPR20278] (AB222516)
  • WB

Supplier Data

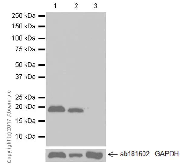
Western blot - Anti-Ras (mutated Q61) antibody [EPR20278] (AB222516)

Blocking/Dilution : 5% NFDM/TBST.

SK-MEL-2 cell line contains N-Ras Q61R homozygous mutation. HT-1197 cell line contains N-Ras Q61R heterozygous mutation. MeWo cell line is wild-type for N-Ras.

All lanes:

Western blot - Anti-Ras (mutated Q61) antibody [EPR20278] (ab222516) at 1/1000 dilution

Lane 1:

SK-MEL-2 (human skin malignant melanoma cell line) whole cell lysate at 10 µg

Lane 2:

HT-1197 (human urinary bladder carcinoma cell line) whole cell lysate at 10 µg

Lane 3:

MeWo (human malignant melanoma fibroblast cell line) whole cell lysate at 10 µg

Secondary

All lanes:

Western blot - Goat Anti-Rabbit IgG H&L (HRP) (<a href='/en-us/products/secondary-antibodies/goat-rabbit-igg-h-l-hrp-ab97051'>ab97051</a>) at 1/100000 dilution

Predicted band size: 21 kDa

Observed band size: 20 kDa

true

Exposure time: 30s

Key facts

Host species

Rabbit

Clonality

Monoclonal

Clone number

EPR20278

Isotype

IgG

Carrier free

No

Reacts with

Human

Applications

WB

applications

Immunogen

The exact immunogen used to generate this antibody is proprietary information.

Specificity

The immunogen used for this product shares 95% homology with NRAS, KRAS and HRAS.

Reactivity data

{ "title": "Reactivity Data", "filters": { "stats": ["", "Species", "Dilution Info", "Notes"], "tabs": { "all-applications": {"fullname" : "All Applications", "shortname": "All Applications"}, "WB" : {"fullname" : "Western blot", "shortname":"WB"} }, "product-promise": { "all": "all", "testedAndGuaranteed": "tested", "guaranteed": "expected", "predicted": "predicted", "notRecommended": "not-recommended" } }, "values": { "Human": { "WB-species-checked": "testedAndGuaranteed", "WB-species-dilution-info": "1/1000", "WB-species-notes": "<p></p>" }, "Transfected cell line - Human": { "WB-species-checked": "testedAndGuaranteed", "WB-species-dilution-info": "1/1000", "WB-species-notes": "<p></p>" } } }

Product details

Patented technology
Our RabMAb® technology is a patented hybridoma-based technology for making rabbit monoclonal antibodies. For details on our patents, please refer to RabMAb® patents.

What are the advantages of a recombinant monoclonal antibody?
This product is a recombinant monoclonal antibody, which offers several advantages including:

  • - High batch-to-batch consistency and reproducibility
  • - Improved sensitivity and specificity
  • - Long-term security of supply
  • - Animal-free batch production

For more information, read more on recombinant antibodies.

Properties and storage information

Form
Liquid
Purification technique
Affinity purification Protein A
Storage buffer
pH: 7.2 - 7.4 Preservative: 0.01% Sodium azide Constituents: PBS, 40% Glycerol (glycerin, glycerine), 0.05% BSA
Shipped at conditions
Blue Ice
Appropriate short-term storage duration
1-2 weeks
Appropriate short-term storage conditions
+4°C
Appropriate long-term storage conditions
-20°C
Aliquoting information
Upon delivery aliquot
Storage information
Avoid freeze / thaw cycle

Supplementary information

This supplementary information is collated from multiple sources and compiled automatically.

The Ras protein also known by its alternate names such as KRAS NRAS and HRAS functions as a small GTPase which is a type of enzyme that binds to guanosine triphosphate (GTP) and can switch to an inactive form when it hydrolyzes GTP to GDP. Ras proteins are encoded by genes located in different chromosomes and typically have a molecular weight of about 21 kDa. These proteins are expressed in various tissues throughout the body where they play key roles in cellular signaling.
Biological function summary

Ras proteins are pivotal in regulating cell proliferation differentiation and survival. They are often part of larger protein complexes that facilitate signal transduction across cell membranes. These proteins function as binary molecular switches toggling between active (GTP-bound) and inactive (GDP-bound) states. Mutations in Ras proteins such as NRAS Q61R can lead the protein to assume permanently active conformations disrupting normal cellular signaling processes and contributing to oncogenesis.

Pathways

Ras proteins play significant roles in the MAPK/ERK and PI3K/AKT signaling pathways. Their activation leads to a cascade of phosphorylation events that ultimately regulate gene expression. Within these pathways Ras proteins interact with various molecules including RAF kinases and the PI3K protein further illustrating their complex roles in signal propagation. These pathways control many cellular processes including growth differentiation and survival illustrating how Ras proteins integrate multiple signals to modulate cellular outcomes.

Ras proteins are frequently implicated in various cancers notably pancreatic and colorectal cancers. Mutated forms of Ras such as KRAS G12V drive oncogenesis by promoting uncontrolled cell growth and division. In cancer pathology Ras often interacts with tumor suppressor proteins influencing the disease progression. Targeting Ras-mediated signaling pathways using approaches like pan-Ras inhibitors or chemiluminescence ELISAs represents an ongoing area of therapeutic research aimed at combating Ras-driven malignancies.

Product protocols

For this product, it's our understanding that no specific protocols are required. You can visit:

Target data

Ras proteins bind GDP/GTP and possess intrinsic GTPase activity.
See full target information NRAS mutated Q61R

Publications (2)

Recent publications for all applications. Explore the full list and refine your search

PloS one 20:e0331289 PubMed40892739

2025

CUB domain-containing protein 1 signaling dysregulates gemcitabine metabolism contributing to therapeutic resistance in T24 cells.

Applications

Unspecified application

Species

Unspecified reactive species

Kun-Lin Hsieh,Kuan-Hua Huang,Ching-Ping Chang,Hung-Wen Tsai,Yu-Hao Chang,Yi-Ru Zheng,Huei-Sheng Huang

Nature communications 16:616 PubMed39805830

2025

CPSF6-RARγ interacts with histone deacetylase 3 to promote myeloid transformation in RARG-fusion acute myeloid leukemia.

Applications

Unspecified application

Species

Unspecified reactive species

Tianhui Liu,Tanzhen Wang,Lijuan Qi,Yujie Liu,Meng Shan,Fuqiang Wang,Yanglan Fang,Sining Liu,Lijun Wen,Suning Chen,Depei Wu,Yang Xu
View all publications

Product promise

We are committed to supporting your work with high-quality reagents, and we're here for you every step of the way. In the unlikely event that one of our products does not perform as expected, you're protected by our Product Promise.
For full details, please see our Terms & Conditions

Please note: All products are 'FOR RESEARCH USE ONLY. NOT FOR USE IN DIAGNOSTIC OR THERAPEUTIC PROCEDURES'.

For licensing inquiries, please contact partnerships@abcam.com