JavaScript is disabled in your browser. Please enable JavaScript to view this website.
AB227658

Anti-Ras (mutated Q61R) antibody [SP174]

4

(5 Reviews)

|

(12 Publications)

Anti-Ras (mutated Q61R) antibody [SP174] (ab227658) is a rabbit monoclonal antibody detecting Ras in Western Blot, Flow Cytometry (Intra), Flow Cytometry, IHC-P. Suitable for Human.

- Biophysical QC for unrivalled batch-batch consistency

View Alternative Names

HRAS1, NRAS, GTPase NRas, Transforming protein N-Ras

10 Images
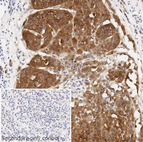
Immunohistochemistry (Formalin/PFA-fixed paraffin-embedded sections) - Anti-Ras (mutated Q61R) antibody [SP174] (AB227658)
  • IHC-P

Supplier Data

Immunohistochemistry (Formalin/PFA-fixed paraffin-embedded sections) - Anti-Ras (mutated Q61R) antibody [SP174] (AB227658)

IHC image of NRAS (mutated Q61R) staining in a section of formalin-fixed paraffin-embedded human skin melanoma* performed on a Leica BONDTM system using the standard protocol F. The section was pre-treated using heat mediated antigen retrieval with EDTA buffer (pH9, epitope retrieval solution 2) for 20mins. The section was then incubated with ab227658, 1/100 dilution, for 15 mins at room temperature and detected using an HRP conjugated compact polymer system. DAB was used as the chromogen. The section was then counterstained with haematoxylin and mounted with DPX. The inset secondary-only control image is taken from an identical assay without primary antibody.

For other IHC staining systems (automated and non-automated) customers should optimize variable parameters such as antigen retrieval conditions, primary antibody concentration and antibody incubation times.

*Tissue obtained from the Human Research Tissue Bank, supported by the NIHR Cambridge Biomedical Research Centre

Flow Cytometry (Intracellular) - Anti-Ras (mutated Q61R) antibody [SP174] (AB227658)
  • Flow Cyt (Intra)

Unknown

Flow Cytometry (Intracellular) - Anti-Ras (mutated Q61R) antibody [SP174] (AB227658)

Flow Cytometry analysis of SK-MEL-2( Human skin malignant melanoma) cells labeling NRAS with purifiedab227658 at 1 : 200 dilution (0.8 μg/ml) (Red). Cells were fixed with 4% paraformaldehyde and permeabilised with 90% methanol. A Goat anti rabbit IgG (Alexa Fluor© 488, ab150077) secondary antibody was used at 1 : 2000 dilution. Isotype control - Rabbit monoclonal IgG (ab172730) / Black. Unlabeled control - Unlabelled cells / blue.

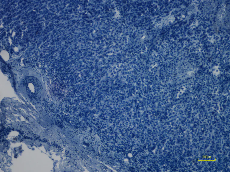
Immunohistochemistry (Formalin/PFA-fixed paraffin-embedded sections) - Anti-Ras (mutated Q61R) antibody [SP174] (AB227658)
  • IHC-P

Collaborator

Immunohistochemistry (Formalin/PFA-fixed paraffin-embedded sections) - Anti-Ras (mutated Q61R) antibody [SP174] (AB227658)

Immunohistochemical analysis of paraffin-embedded human primary malignant melanoma tissue (mutation status : NRAS Q61R) labeling NRAS with ab227658 at 1/100 dilution for 30 min at RT. The tissue was counterstained with Hematoxylin. Heat mediated antigen retrieval was achieved by using EDTA buffer pH 9.0 before IHC staining.

This image is courtesy of an anonymous collaborator.

Immunohistochemistry (Formalin/PFA-fixed paraffin-embedded sections) - Anti-Ras (mutated Q61R) antibody [SP174] (AB227658)
  • IHC-P

Collaborator

Immunohistochemistry (Formalin/PFA-fixed paraffin-embedded sections) - Anti-Ras (mutated Q61R) antibody [SP174] (AB227658)

Immunohistochemical analysis of paraffin-embedded human primary malignant melanoma tissue (mutation status : NRAS Q61R) labeling NRAS with ab227658 at 1/100 dilution for 30 min at RT. The tissue was counterstained with Hematoxylin. Heat mediated antigen retrieval was achieved by using EDTA buffer pH 9.0 before IHC staining.

This image is courtesy of an anonymous collaborator.

Immunohistochemistry (Formalin/PFA-fixed paraffin-embedded sections) - Anti-Ras (mutated Q61R) antibody [SP174] (AB227658)
  • IHC-P

Lab

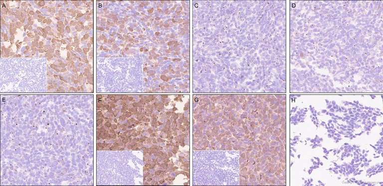
Immunohistochemistry (Formalin/PFA-fixed paraffin-embedded sections) - Anti-Ras (mutated Q61R) antibody [SP174] (AB227658)

Immunohistochemistry analysis of paraffin-embedded (A) HEK-293T transfected with NRAS (Q61R) expression vector, (B) HEK-293T transfected with NRAS (Q61K) expression vector, (C) HEK-293T transfected with NRAS (Q61H) expression vector, (D) HEK-293T transfected with NRAS (Q61L) expression vector, (E) HEK-293T transfected with NRAS expression vector, (F) HEK-293T transfected with HRAS (Q61R) expression vector, (G) HEK-293T transfected with KRAS(Q61R) and (H) HEK-293T transfected empty vector, sections labelling NRAS (mutated Q61R) with ab227658 at 1/100 dilution. The section was incubated with ab227658 for 10 mins at room temperature. Rabbit specific IHC polymer detection kit HRP/DAB (ab209101) was used as the secondary antibody. Sections were counterstained with Hematoxylin. Antigen retrieval was heat mediated using Bond™ Epitope Retrieval Solution 2 (pH 9.0) for 20 minutes. Positive staining on HEK-293T transfected with NRAS (Q61R) expression vector (Image A), HEK-293T transfected with NRAS (Q61K) expression vector (Image B), HEK-293T transfected with HRAS (Q61R) expression vector (Image F) and HEK-293T transfected with KRAS (Q61R) expression vector (Image G); Nearly no staining on HEK-293T transfected with NRAS (Q61H) expression vector (Image C), HEK-293T transfected with NRAS (Q61L) expression vector (Image D), HEK-293T transfected with NRAS expression vector (Image E) and HEK-293T transfected empty vector (Image H). The immunostaining was performed on a Leica Biosystems BOND® RX instrument.

Immunohistochemistry (Formalin/PFA-fixed paraffin-embedded sections) - Anti-Ras (mutated Q61R) antibody [SP174] (AB227658)
  • IHC-P

Collaborator

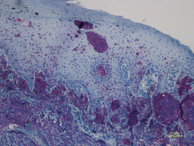
Immunohistochemistry (Formalin/PFA-fixed paraffin-embedded sections) - Anti-Ras (mutated Q61R) antibody [SP174] (AB227658)

Immunohistochemical analysis of paraffin-embedded human metastatic malignant melanoma tissue (mutation status : NRAS Q61K) labeling NRAS with ab227658 at 1/100 dilution for 30 min at RT. The tissue was counterstained with Hematoxylin. Heat mediated antigen retrieval was achieved by using EDTA buffer pH 9.0 before IHC staining.

Immunohistochemistry (Formalin/PFA-fixed paraffin-embedded sections) - Anti-Ras (mutated Q61R) antibody [SP174] (AB227658)
  • IHC-P

Collaborator

Immunohistochemistry (Formalin/PFA-fixed paraffin-embedded sections) - Anti-Ras (mutated Q61R) antibody [SP174] (AB227658)

Immunohistochemical analysis of paraffin-embedded human primary malignant melanoma tissue (mutation status : NRAS Q61R) labeling NRAS with ab227658 at 1/100 dilution for 30 min at RT. The tissue was counterstained with Hematoxylin. Heat mediated antigen retrieval was achieved by using EDTA buffer pH 9.0 before IHC staining.

This image is courtesy of an anonymous collaborator.

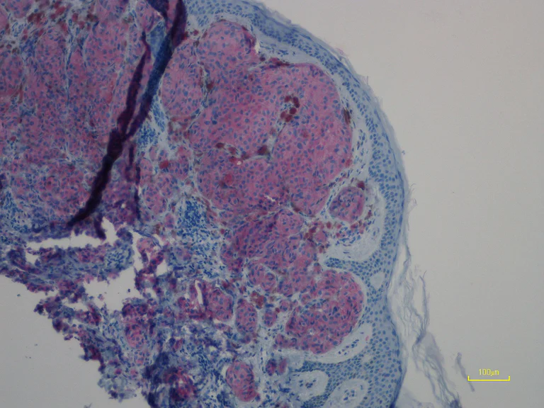
Immunohistochemistry (Formalin/PFA-fixed paraffin-embedded sections) - Anti-Ras (mutated Q61R) antibody [SP174] (AB227658)
  • IHC-P

Collaborator

Immunohistochemistry (Formalin/PFA-fixed paraffin-embedded sections) - Anti-Ras (mutated Q61R) antibody [SP174] (AB227658)

Immunohistochemical analysis of paraffin-embedded human metastatic malignant melanoma tissue (mutation status : NRAS Q61R) labeling NRAS with ab227658 at 1/100 dilution for 30 min at RT. The tissue was counterstained with Hematoxylin. Heat mediated antigen retrieval was achieved by using EDTA buffer pH 9.0 before IHC staining.

This image is courtesy of an anonymous collaborator.

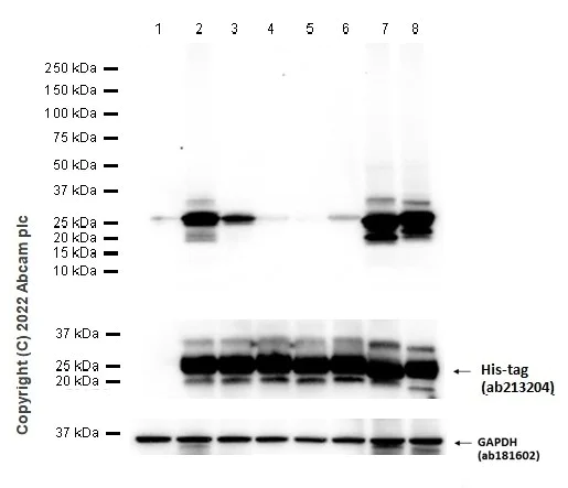
Western blot - Anti-Ras (mutated Q61R) antibody [SP174] (AB227658)
  • WB

Lab

Western blot - Anti-Ras (mutated Q61R) antibody [SP174] (AB227658)

Blocking buffer and concentration : 5% NFDM/TBST Diluting buffer and concentration : 5% NFDM /TBST This antibody has been found to react with different mutations we tested. We haven’t tested all possible mutations at Q61.

All lanes:

Western blot - Anti-Ras (mutated Q61R) antibody [SP174] (ab227658) at 1/1000 dilution

Lane 1:

HEK-293T (Human embryonic kidney epithelial cell) transfected with an empty vector (vector control), containing a His-tag, whole cell lysate at 20 µg

Lane 2:

HEK-293T (Human embryonic kidney epithelial cell) transfected with His-tagged NRAS (mutated Q61R) whole cell lysate at 20 µg

Lane 3:

HEK-293T (Human embryonic kidney epithelial cell) transfected with His-tagged NRAS (mutated Q61K) whole cell lysate at 20 µg

Lane 4:

HEK-293T (Human embryonic kidney epithelial cell) transfected with His-tagged NRAS (mutated Q61H) whole cell lysate at 20 µg

Lane 5:

HEK-293T (Human embryonic kidney epithelial cell) transfected with His-tagged NRAS (mutated Q61L) whole cell lysate at 20 µg

Lane 6:

HEK-293T (Human embryonic kidney epithelial cell) transfected with His-tagged NRAS whole cell lysate at 20 µg

Lane 7:

HEK-293T (Human embryonic kidney epithelial cell) transfected with His-tagged HRAS (mutated Q61R) whole cell lysate at 20 µg

Lane 8:

HEK-293T (Human embryonic kidney epithelial cell) transfected with His-tagged KRAS (mutated Q61R) whole cell lysate at 20 µg

Secondary

All lanes:

Western blot - Goat Anti-Rabbit IgG H&L (HRP) (<a href='/en-us/products/secondary-antibodies/goat-rabbit-igg-h-l-hrp-ab97051'>ab97051</a>) at 1/20000 dilution

Predicted band size: 21 kDa

Observed band size: 25 kDa

false

Exposure time: 5s

Western blot - Anti-Ras (mutated Q61R) antibody [SP174] (AB227658)
  • WB

Supplier Data

Western blot - Anti-Ras (mutated Q61R) antibody [SP174] (AB227658)

All lanes:

Western blot - Anti-Ras (mutated Q61R) antibody [SP174] (ab227658) at 1/400 dilution

All lanes:

SK-MEL-2 cell lysate

Predicted band size: 21 kDa

false

  • Carrier free

    Anti-Ras (mutated Q61R) antibody [SP174] - BSA and Azide free

  • 578 PE

    PE Anti-RAS (mutated Q61R) antibody [SP174]

  • 617 Alexa Fluor® 594

    Alexa Fluor® 594 Anti-RAS (mutated Q61R) antibody [SP174]

  • 665 Alexa Fluor® 647

    Alexa Fluor® 647 Anti-RAS (mutated Q61R) antibody [SP174]

  • 519 Alexa Fluor® 488

    Alexa Fluor® 488 Anti-RAS (mutated Q61R) antibody [SP174]

  • 565 Alexa Fluor® 555

    Alexa Fluor® 555 Anti-RAS (mutated Q61R) antibody [SP174]

  • 660 APC

    APC Anti-RAS (mutated Q61R) antibody [SP174]

  • 775 Alexa Fluor® 750

    Alexa Fluor® 750 Anti-Ras (mutated Q61R) antibody [SP174]

Key facts

Host species

Rabbit

Clonality

Monoclonal

Clone number

SP174

Isotype

IgG

Carrier free

No

Reacts with

Human

Applications

WB, IHC-P, Flow Cyt (Intra)

applications

Immunogen

The exact immunogen used to generate this antibody is proprietary information.

Specificity

This antibody has been found to react with different mutations we tested. We have not tested all possible mutations at Q61.

Reactivity data

{ "title": "Reactivity Data", "filters": { "stats": ["", "Species", "Dilution Info", "Notes"], "tabs": { "all-applications": {"fullname" : "All Applications", "shortname": "All Applications"}, "FlowCytIntra" : {"fullname" : "Flow Cytometry (Intracellular)", "shortname":"Flow Cyt (Intra)"}, "WB" : {"fullname" : "Western blot", "shortname":"WB"}, "IHCP" : {"fullname" : "Immunohistochemistry (Formalin/PFA-fixed paraffin-embedded sections)", "shortname":"IHC-P"} }, "product-promise": { "all": "all", "testedAndGuaranteed": "tested", "guaranteed": "expected", "predicted": "predicted", "notRecommended": "not-recommended" } }, "values": { "Human": { "FlowCytIntra-species-checked": "testedAndGuaranteed", "FlowCytIntra-species-dilution-info": "1/2000", "FlowCytIntra-species-notes": "<p></p>", "WB-species-checked": "testedAndGuaranteed", "WB-species-dilution-info": "1/400 - 1/1000", "WB-species-notes": "<p></p>", "IHCP-species-checked": "testedAndGuaranteed", "IHCP-species-dilution-info": "1/100", "IHCP-species-notes": "<p>Perform heat mediated antigen retrieval with EDTA buffer pH 8.0 before commencing with IHC staining protocol.</p><p>This antibody may not be able to detect endogenous NRAS Q61K in patient tissue samples by IHC-P based on a collaborator's data.</p>" }, "Transfected cell line - Human": { "FlowCytIntra-species-checked": "notRecommended", "FlowCytIntra-species-dilution-info": "", "FlowCytIntra-species-notes": "", "WB-species-checked": "testedAndGuaranteed", "WB-species-dilution-info": "1/400 - 1/1000", "WB-species-notes": "<p></p>", "IHCP-species-checked": "testedAndGuaranteed", "IHCP-species-dilution-info": "1/100", "IHCP-species-notes": "<p>Perform heat mediated antigen retrieval with EDTA buffer pH 8.0 before commencing with IHC staining protocol.</p><p>This antibody may not be able to detect endogenous NRAS Q61K in patient tissue samples by IHC-P based on a collaborator's data.</p>" } } }

Product details

What is this antibody validated in?
Anti-Ras (mutated Q61R) antibody [SP174] (ab227658) is a rabbit recombinant monoclonal antibody and is validated for use in Western Blot (WB), Flow Cytometry (Intra), Flow Cytometry (Flow Cyt), Immunohistochemistry (IHC-P) in Human samples.

What is the molecular weight of Ras?
Anti-Ras (mutated Q61R) [SP174] (ab227658) specifically detects a band for Ras (UniProt: P01111) at a molecular weight of 21kDa.

Collaboration
Anti-Ras (mutated Q61R) [SP174] (ab227658) is a clone from the portfolio of Spring Bioscience (Roche) SP clones which have been optimised for immunohistochemistry (IHC).

Trusted by the scientific community
Anti-Ras (mutated Q61R) [SP174] (ab227658) was first used in a scientific publication in 2018 and has been cited over 10 times in peer-reviewed journals.

Trial sizes available!
Test your antibody or perform pre-screening before committing to a larger quantity. Sold in 10µl. Discover our selection of trial-size antibodies.

Other related products
We have a range of other formats of antibody clone [SP174] also available for your convenience: ab227658, Carrier free - ab243933, ab279570, PE - ab318388, APC - ab318491, Alexa Fluor® 488 - ab318594, Alexa Fluor® 647 - ab318697, Alexa Fluor® 594 - ab318800, Alexa Fluor® 555 - ab318900, Alexa Fluor® 750 - ab321439

Properties and storage information

Form
Liquid
Purification technique
Affinity purification Protein A/G
Purification notes
Purified from TCS by protein A/G.
Storage buffer
pH: 7.6 Preservative: 0.1% Sodium azide Constituents: PBS, 1% BSA
Shipped at conditions
Blue Ice
Appropriate short-term storage duration
1-2 weeks
Appropriate short-term storage conditions
+4°C
Appropriate long-term storage conditions
-20°C
Aliquoting information
Upon delivery aliquot
Storage information
Avoid freeze / thaw cycle

Supplementary information

This supplementary information is collated from multiple sources and compiled automatically.

The Ras protein also known by its alternate names such as KRAS NRAS and HRAS functions as a small GTPase which is a type of enzyme that binds to guanosine triphosphate (GTP) and can switch to an inactive form when it hydrolyzes GTP to GDP. Ras proteins are encoded by genes located in different chromosomes and typically have a molecular weight of about 21 kDa. These proteins are expressed in various tissues throughout the body where they play key roles in cellular signaling.
Biological function summary

Ras proteins are pivotal in regulating cell proliferation differentiation and survival. They are often part of larger protein complexes that facilitate signal transduction across cell membranes. These proteins function as binary molecular switches toggling between active (GTP-bound) and inactive (GDP-bound) states. Mutations in Ras proteins such as NRAS Q61R can lead the protein to assume permanently active conformations disrupting normal cellular signaling processes and contributing to oncogenesis.

Pathways

Ras proteins play significant roles in the MAPK/ERK and PI3K/AKT signaling pathways. Their activation leads to a cascade of phosphorylation events that ultimately regulate gene expression. Within these pathways Ras proteins interact with various molecules including RAF kinases and the PI3K protein further illustrating their complex roles in signal propagation. These pathways control many cellular processes including growth differentiation and survival illustrating how Ras proteins integrate multiple signals to modulate cellular outcomes.

Ras proteins are frequently implicated in various cancers notably pancreatic and colorectal cancers. Mutated forms of Ras such as KRAS G12V drive oncogenesis by promoting uncontrolled cell growth and division. In cancer pathology Ras often interacts with tumor suppressor proteins influencing the disease progression. Targeting Ras-mediated signaling pathways using approaches like pan-Ras inhibitors or chemiluminescence ELISAs represents an ongoing area of therapeutic research aimed at combating Ras-driven malignancies.

Product protocols

For this product, it's our understanding that no specific protocols are required. You can visit:

Target data

Ras proteins bind GDP/GTP and possess intrinsic GTPase activity.
See full target information NRAS mutated Q61R

Publications (12)

Recent publications for all applications. Explore the full list and refine your search

Journal of pathology and translational medicine 59:149-160 PubMed40468609

2025

Lessons learned from the first 2 years of experience with thyroid core needle biopsy at an Indonesian national referral hospital.

Applications

Unspecified application

Species

Unspecified reactive species

Agnes Stephanie Harahap,Maria Francisca Ham,Retno Asti Werdhani,Erwin Danil Julian,Rafi Ilmansyah,Chloe Indira Arfelita Mangunkusumso,Tri Juli Edi Tarigan

Biomedical reports 19:104 PubMed38025833

2023

Association of KRAS, NRAS, BRAF and PIK3CA gene mutations with clinicopathological features, prognosis and ring finger protein 215 expression in patients with colorectal cancer.

Applications

Unspecified application

Species

Unspecified reactive species

Jing-Bo Wu,Xiao-Jing Li,Hui Liu,Yong-Juan Liu,Xiu-Ping Liu

Frontiers in veterinary science 10:1281022 PubMed37901104

2023

Confirmation of canine acanthomatous ameloblastoma using RAS Q61R immunohistochemical staining of formalin-fixed paraffin-embedded tissues.

Applications

Unspecified application

Species

Unspecified reactive species

Santiago Peralta,Magdalena M Marcinczyk,William P Katt,Gerald E Duhamel

Cell 185:2071-2085.e12 PubMed35561684

2022

Topical therapy for regression and melanoma prevention of congenital giant nevi.

Applications

Unspecified application

Species

Unspecified reactive species

Yeon Sook Choi,Tal H Erlich,Max von Franque,Inbal Rachmin,Jessica L Flesher,Erik B Schiferle,Yi Zhang,Marcello Pereira da Silva,Alva Jiang,Allison S Dobry,Mack Su,Sharon Germana,Sebastian Lacher,Orly Freund,Ezra Feder,Jose L Cortez,Suyeon Ryu,Tamar Babila Propp,Yedidyah Leo Samuels,Labib R Zakka,Marjan Azin,Christin E Burd,Norman E Sharpless,X Shirley Liu,Clifford Meyer,William Gerald Austen,Branko Bojovic,Curtis L Cetrulo,Martin C Mihm,Dave S Hoon,Shadmehr Demehri,Elena B Hawryluk,David E Fisher

Histopathology 76:865-874 PubMed31887226

2019

Immunohistochemical assessment of HRAS Q61R mutations in breast adenomyoepitheliomas.

Applications

Unspecified application

Species

Unspecified reactive species

Fresia Pareja,Michael S Toss,Felipe C Geyer,Edaise M da Silva,Mahsa Vahdatinia,Ana Paula M Sebastiao,Pier Selenica,Austin Szatrowski,Marcia Edelweiss,Hannah Y Wen,Raluca Mihai,Zsuzsanna Varga,Maria P Foschini,Brian P Rubin,Ian O Ellis,Sarat Chandarlapaty,Achim A Jungbluth,Edi Brogi,Britta Weigelt,Jorge S Reis-Filho,Emad A Rakha

Angiogenesis 21:287-298 PubMed29397482

2018

Somatic NRAS mutation in patient with generalized lymphatic anomaly.

Applications

Unspecified application

Species

Unspecified reactive species

Eugenia Manevitz-Mendelson,Gil S Leichner,Ortal Barel,Inbal Davidi-Avrahami,Limor Ziv-Strasser,Eran Eyal,Itai Pessach,Uri Rimon,Aviv Barzilai,Abraham Hirshberg,Keren Chechekes,Ninette Amariglio,Gideon Rechavi,Karina Yaniv,Shoshana Greenberger

The British journal of dermatology 177:1376-1384 PubMed28734009

2017

KIT mutations and CD117 overexpression are markers of better progression-free survival in vulvar melanomas.

Applications

Unspecified application

Species

Unspecified reactive species

D Dias-Santagata,M A Selim,Y Su,Y Peng,R Vollmer,A Chłopik,G Tell-Marti,K M Paral,S C Shalin,C R Shea,S Puig,M T Fernandez-Figueras,W Biernat,J Ryś,A Marszalek,M P Hoang

The Journal of molecular diagnostics : JMD 20:110-122 PubMed29061376

2017

Heterogeneity of BRAF, NRAS, and TERT Promoter Mutational Status in Multiple Melanomas and Association with MC1R Genotype: Findings from Molecular and Immunohistochemical Analysis.

Applications

Unspecified application

Species

Unspecified reactive species

Cristina Pellegrini,Lucia Di Nardo,Gianluca Cipolloni,Claudia Martorelli,Marina De Padova,Ambra Antonini,Maria Giovanna Maturo,Laura Del Regno,Sara Strafella,Tamara Micantonio,Pietro Leocata,Ketty Peris,Maria Concetta Fargnoli

Histopathology 69:680-6 PubMed27151331

2016

BRAF(V600E) and NRAS(Q61L/Q61R) mutation analysis in metastatic melanoma using immunohistochemistry: a study of 754 cases highlighting potential pitfalls and guidelines for interpretation and reporting.

Applications

Unspecified application

Species

Unspecified reactive species

Hojabr Kakavand,Emily Walker,Trina Lum,James S Wilmott,Christina I Selinger,Elizabeth Smith,Robyn P M Saw,Bing Yu,Wendy A Cooper,Georgina V Long,Sandra A O'Toole,Richard A Scolyer

The European respiratory journal 47:1785-96 PubMed27076591

2016

Recurrent NRAS mutations in pulmonary Langerhans cell histiocytosis.

Applications

Unspecified application

Species

Unspecified reactive species

Samia Mourah,Alexandre How-Kit,Véronique Meignin,Dominique Gossot,Gwenaël Lorillon,Emmanuelle Bugnet,Florence Mauger,Celeste Lebbe,Sylvie Chevret,Jörg Tost,Abdellatif Tazi
View all publications

Product promise

We are committed to supporting your work with high-quality reagents, and we're here for you every step of the way. In the unlikely event that one of our products does not perform as expected, you're protected by our Product Promise.
For full details, please see our Terms & Conditions

Please note: All products are 'FOR RESEARCH USE ONLY. NOT FOR USE IN DIAGNOSTIC OR THERAPEUTIC PROCEDURES'.

For licensing inquiries, please contact partnerships@abcam.com