JavaScript is disabled in your browser. Please enable JavaScript to view this website.
AB243933

Anti-Ras (mutated Q61R) antibody [SP174] - BSA and Azide free

Be the first to review this product! Submit a review

|

(1 Publication)

Rabbit Recombinant Monoclonal RASN mutated Q61R antibody. Carrier free. Suitable for WB, IHC-P, Flow Cyt (Intra) and reacts with Transfected cell line - Human, Human samples. Cited in 1 publication.

View Alternative Names

HRAS1, NRAS, GTPase NRas, Transforming protein N-Ras

9 Images
Immunohistochemistry - Anti-Ras (mutated Q61R) antibody [SP174] - BSA and Azide free (AB243933)
  • IHC

Supplier Data

Immunohistochemistry - Anti-Ras (mutated Q61R) antibody [SP174] - BSA and Azide free (AB243933)

Formalin-fixed, paraffin-embedded human SK-MEL-2 cells stained for NRAS (mutated Q61R) using ab227658 at 1/100 dilution in immunohistochemical analysis.

This data was developed using the same antibody clone in a different buffer formulation containing PBS, BSA and sodium azide (ab227658).

Flow Cytometry (Intracellular) - Anti-Ras (mutated Q61R) antibody [SP174] - BSA and Azide free (AB243933)
  • Flow Cyt (Intra)

Unknown

Flow Cytometry (Intracellular) - Anti-Ras (mutated Q61R) antibody [SP174] - BSA and Azide free (AB243933)

Intracellular Flow Cytometry analysis of SK-MEL-2 (Human skin malignant melanoma) cells labeling NRAS with purifiedab227658 at 1/200 dilution (0.8μg/ml) (Red). Cells were fixed with 4% paraformaldehyde and permeabilised with 90% methanol. A Goat anti rabbit IgG (Alexa Fluor© 488, ab150077) secondary antibody was used at 1/2000 dilution. Isotype control - Rabbit monoclonal IgG (ab172730) / Black. Unlabeled control - Unlabelled cells / blue. This data was developed using the same antibody clone in a different buffer formulation containing PBS, BSA, glycerol, and sodium azide (ab227658).

Immunohistochemistry (Formalin/PFA-fixed paraffin-embedded sections) - Anti-Ras (mutated Q61R) antibody [SP174] - BSA and Azide free (AB243933)
  • IHC-P

Collaborator

Immunohistochemistry (Formalin/PFA-fixed paraffin-embedded sections) - Anti-Ras (mutated Q61R) antibody [SP174] - BSA and Azide free (AB243933)

Immunohistochemical analysis of paraffin-embedded human primary malignant melanoma tissue (mutation status : NRAS Q61R) labeling NRAS with ab227658 at 1/100 dilution for 30 min at RT. The tissue was counterstained with Hematoxylin. Heat mediated antigen retrieval was achieved by using EDTA buffer pH 9.0 before IHC staining. This data was developed using the same antibody clone in a different buffer formulation containing PBS, BSA and sodium azide (ab227658)

This image is courtesy of an anonymous collaborator.

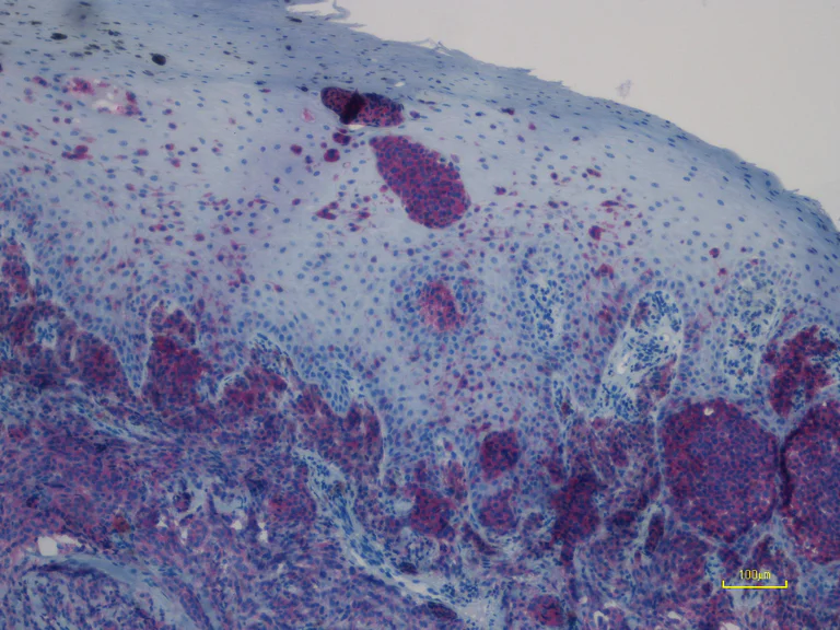
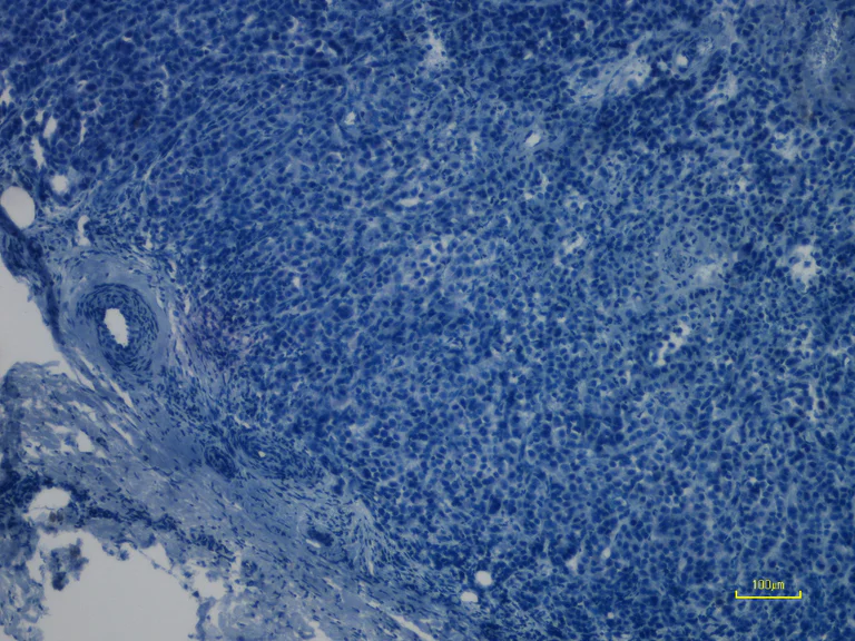
Immunohistochemistry (Formalin/PFA-fixed paraffin-embedded sections) - Anti-Ras (mutated Q61R) antibody [SP174] - BSA and Azide free (AB243933)
  • IHC-P

Collaborator

Immunohistochemistry (Formalin/PFA-fixed paraffin-embedded sections) - Anti-Ras (mutated Q61R) antibody [SP174] - BSA and Azide free (AB243933)

Immunohistochemical analysis of paraffin-embedded human primary malignant melanoma tissue (mutation status : NRAS Q61R) labeling NRAS with ab227658 at 1/100 dilution for 30 min at RT. The tissue was counterstained with Hematoxylin. Heat mediated antigen retrieval was achieved by using EDTA buffer pH 9.0 before IHC staining. This data was developed using the same antibody clone in a different buffer formulation containing PBS, BSA and sodium azide (ab227658)

This image is courtesy of an anonymous collaborator.

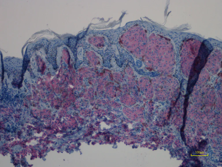
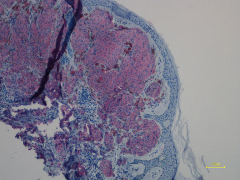
Immunohistochemistry (Formalin/PFA-fixed paraffin-embedded sections) - Anti-Ras (mutated Q61R) antibody [SP174] - BSA and Azide free (AB243933)
  • IHC-P

Collaborator

Immunohistochemistry (Formalin/PFA-fixed paraffin-embedded sections) - Anti-Ras (mutated Q61R) antibody [SP174] - BSA and Azide free (AB243933)

Immunohistochemical analysis of paraffin-embedded human metastatic malignant melanoma tissue (mutation status : NRAS Q61K) labeling NRAS with ab227658 at 1/100 dilution for 30 min at RT. The tissue was counterstained with Hematoxylin. Heat mediated antigen retrieval was achieved by using EDTA buffer pH 9.0 before IHC staining.

Immunohistochemistry (Formalin/PFA-fixed paraffin-embedded sections) - Anti-Ras (mutated Q61R) antibody [SP174] - BSA and Azide free (AB243933)
  • IHC-P

Collaborator

Immunohistochemistry (Formalin/PFA-fixed paraffin-embedded sections) - Anti-Ras (mutated Q61R) antibody [SP174] - BSA and Azide free (AB243933)

Immunohistochemical analysis of paraffin-embedded human primary malignant melanoma tissue (mutation status : NRAS Q61R) labeling NRAS with ab227658 at 1/100 dilution for 30 min at RT. The tissue was counterstained with Hematoxylin. Heat mediated antigen retrieval was achieved by using EDTA buffer pH 9.0 before IHC staining. This data was developed using the same antibody clone in a different buffer formulation containing PBS, BSA and sodium azide (ab227658)

This image is courtesy of an anonymous collaborator.

Immunohistochemistry (Formalin/PFA-fixed paraffin-embedded sections) - Anti-Ras (mutated Q61R) antibody [SP174] - BSA and Azide free (AB243933)
  • IHC-P

Collaborator

Immunohistochemistry (Formalin/PFA-fixed paraffin-embedded sections) - Anti-Ras (mutated Q61R) antibody [SP174] - BSA and Azide free (AB243933)

Immunohistochemical analysis of paraffin-embedded human metastatic malignant melanoma tissue (mutation status : NRAS Q61R) labeling NRAS with ab227658 at 1/100 dilution for 30 min at RT. The tissue was counterstained with Hematoxylin. Heat mediated antigen retrieval was achieved by using EDTA buffer pH 9.0 before IHC staining. This data was developed using the same antibody clone in a different buffer formulation containing PBS, BSA and sodium azide (ab227658)

This image is courtesy of an anonymous collaborator.

Immunohistochemistry (Formalin/PFA-fixed paraffin-embedded sections) - Anti-Ras (mutated Q61R) antibody [SP174] - BSA and Azide free (AB243933)
  • IHC-P

Lab

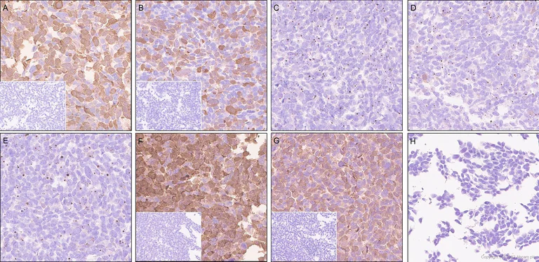
Immunohistochemistry (Formalin/PFA-fixed paraffin-embedded sections) - Anti-Ras (mutated Q61R) antibody [SP174] - BSA and Azide free (AB243933)

Immunohistochemistry analysis of paraffin-embedded (A) HEK-293T transfected with NRAS (Q61R) expression vector, (B) HEK-293T transfected with NRAS (Q61K) expression vector, (C) HEK-293T transfected with NRAS (Q61H) expression vector, (D) HEK-293T transfected with NRAS (Q61L) expression vector, (E) HEK-293T transfected with NRAS expression vector, (F) HEK-293T transfected with HRAS (Q61R) expression vector, (G) HEK-293T transfected with KRAS(Q61R) and (H) HEK-293T transfected empty vector, sections labelling NRAS (mutated Q61R) with ab227658 at 1/100 dilution. The section was incubated with ab227658 for 10 mins at room temperature. Rabbit specific IHC polymer detection kit HRP/DAB (ab209101) was used as the secondary antibody. Sections were counterstained with Hematoxylin. Antigen retrieval was heat mediated using Bond™ Epitope Retrieval Solution 2 (pH 9.0) for 20 minutes. Positive staining on HEK-293T transfected with NRAS (Q61R) expression vector (Image A), HEK-293T transfected with NRAS (Q61K) expression vector (Image B), HEK-293T transfected with HRAS (Q61R) expression vector (Image F) and HEK-293T transfected with KRAS (Q61R) expression vector (Image G); Nearly no staining on HEK-293T transfected with NRAS (Q61H) expression vector (Image C), HEK-293T transfected with NRAS (Q61L) expression vector (Image D), HEK-293T transfected with NRAS expression vector (Image E) and HEK-293T transfected empty vector (Image H). The immunostaining was performed on a Leica Biosystems BOND® RX instrument. This data was developed using the same antibody clone in a different buffer formulation containing PBS, BSA and sodium azide (ab227658).

Western blot - Anti-Ras (mutated Q61R) antibody [SP174] - BSA and Azide free (AB243933)
  • WB

Lab

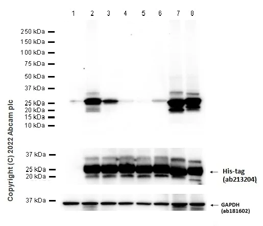
Western blot - Anti-Ras (mutated Q61R) antibody [SP174] - BSA and Azide free (AB243933)

Blocking buffer and concentration : 5% NFDM/TBST Diluting buffer and concentration : 5% NFDM /TBST This antibody has been found to react with different mutations we tested. We haven’t tested all possible mutations at Q61. This data was developed using the same antibody clone in a different buffer formulation containing PBS, BSA and sodium azide (ab227658).

All lanes:

Western blot - Anti-Ras (mutated Q61R) antibody [SP174] (<a href='/en-us/products/primary-antibodies/ras-mutated-q61r-antibody-sp174-ab227658'>ab227658</a>) at 1/1000 dilution

Lane 1:

HEK-293T (Human embryonic kidney epithelial cell) transfected with an empty vector (vector control), containing a His-tag, whole cell lysate at 20 µg

Lane 2:

HEK-293T (Human embryonic kidney epithelial cell) transfected with His-tagged NRAS (mutated Q61R) whole cell lysate at 20 µg

Lane 3:

HEK-293T (Human embryonic kidney epithelial cell) transfected with His-tagged NRAS (mutated Q61K) whole cell lysate at 20 µg

Lane 4:

HEK-293T (Human embryonic kidney epithelial cell) transfected with His-tagged NRAS (mutated Q61H) whole cell lysate at 20 µg

Lane 5:

HEK-293T (Human embryonic kidney epithelial cell) transfected with His-tagged NRAS (mutated Q61L) whole cell lysate at 20 µg

Lane 6:

HEK-293T (Human embryonic kidney epithelial cell) transfected with His-tagged NRAS whole cell lysate at 20 µg

Lane 7:

HEK-293T (Human embryonic kidney epithelial cell) transfected with His-tagged HRAS (mutated Q61R) whole cell lysate at 20 µg

Lane 8:

HEK-293T (Human embryonic kidney epithelial cell) transfected with His-tagged KRAS (mutated Q61R) whole cell lysate at 20 µg

Secondary

All lanes:

Western blot - Goat Anti-Rabbit IgG H&L (HRP) (<a href='/en-us/products/secondary-antibodies/goat-rabbit-igg-h-l-hrp-ab97051'>ab97051</a>) at 1/20000 dilution

Predicted band size: 21 kDa

Observed band size: 25 kDa

false

Exposure time: 5s

  • Unconjugated

    Anti-Ras (mutated Q61R) antibody [SP174]

  • 578 PE

    PE Anti-RAS (mutated Q61R) antibody [SP174]

  • 665 Alexa Fluor® 647

    Alexa Fluor® 647 Anti-RAS (mutated Q61R) antibody [SP174]

  • 519 Alexa Fluor® 488

    Alexa Fluor® 488 Anti-RAS (mutated Q61R) antibody [SP174]

  • 617 Alexa Fluor® 594

    Alexa Fluor® 594 Anti-RAS (mutated Q61R) antibody [SP174]

  • 565 Alexa Fluor® 555

    Alexa Fluor® 555 Anti-RAS (mutated Q61R) antibody [SP174]

  • 660 APC

    APC Anti-RAS (mutated Q61R) antibody [SP174]

  • 775 Alexa Fluor® 750

    Alexa Fluor® 750 Anti-Ras (mutated Q61R) antibody [SP174]

Key facts

Host species

Rabbit

Clonality

Monoclonal

Clone number

SP174

Isotype

IgG

Carrier free

Yes

Reacts with

Human

Applications

WB, Flow Cyt (Intra), IHC-P

applications

Immunogen

The exact immunogen used to generate this antibody is proprietary information.

Specificity

This antibody has been found to react with different mutations we tested. We have not tested all possible mutations at Q61.

Reactivity data

{ "title": "Reactivity Data", "filters": { "stats": ["", "Species", "Dilution Info", "Notes"], "tabs": { "all-applications": {"fullname" : "All Applications", "shortname": "All Applications"}, "WB" : {"fullname" : "Western blot", "shortname":"WB"}, "IHCP" : {"fullname" : "Immunohistochemistry (Formalin/PFA-fixed paraffin-embedded sections)", "shortname":"IHC-P"}, "FlowCytIntra" : {"fullname" : "Flow Cytometry (Intracellular)", "shortname":"Flow Cyt (Intra)"} }, "product-promise": { "all": "all", "testedAndGuaranteed": "tested", "guaranteed": "expected", "predicted": "predicted", "notRecommended": "not-recommended" } }, "values": { "Human": { "WB-species-checked": "testedAndGuaranteed", "WB-species-dilution-info": "", "WB-species-notes": "<p></p>", "IHCP-species-checked": "testedAndGuaranteed", "IHCP-species-dilution-info": "", "IHCP-species-notes": "<p>Perform heat mediated antigen retrieval with EDTA buffer pH 8.0 before commencing with IHC staining protocol.</p><p>This antibody may not be able to detect endogenous NRAS Q61K in patient tissue samples by IHC-P based on a collaborator's data.</p>", "FlowCytIntra-species-checked": "testedAndGuaranteed", "FlowCytIntra-species-dilution-info": "", "FlowCytIntra-species-notes": "<p></p>" }, "Transfected cell line - Human": { "WB-species-checked": "testedAndGuaranteed", "WB-species-dilution-info": "", "WB-species-notes": "<p></p>", "IHCP-species-checked": "testedAndGuaranteed", "IHCP-species-dilution-info": "", "IHCP-species-notes": "<p>Perform heat mediated antigen retrieval with EDTA buffer pH 8.0 before commencing with IHC staining protocol.</p><p>This antibody may not be able to detect endogenous NRAS Q61K in patient tissue samples by IHC-P based on a collaborator's data.</p>", "FlowCytIntra-species-checked": "notRecommended", "FlowCytIntra-species-dilution-info": "", "FlowCytIntra-species-notes": "" } } }

Product details

ab243933 is the carrier-free version of ab227658.

What are the advantages of a recombinant monoclonal antibody?
This product is a recombinant monoclonal antibody, which offers several advantages including:

  • - High batch-to-batch consistency and reproducibility
  • - Improved sensitivity and specificity
  • - Long-term security of supply
  • - Animal-free batch production

For more information, read more on recombinant antibodies.

Conjugation ready
Our carrier-free antibodies are typically supplied in a PBS-only formulation, purified and free of BSA, sodium azide and glycerol. This conjugation-ready format is designed for use with fluorochromes, metal isotopes, oligonucleotides, and enzymes, which makes them ideal for antibody labelling, functional and cell-based assays, flow-based assays (e.g. mass cytometry) and Multiplex Imaging applications.

Use our conjugation kits for antibody conjugates that are ready-to-use in as little as 20 minutes with 1 minute hands-on-time and 100% antibody recovery: available for fluorescent dyes, HRP, biotin and gold.

Compatibility
This product is compatible with the Maxpar® Antibody Labeling Kit from Fluidigm, without the need for antibody preparation. Maxpar® is a trademark of Fluidigm Canada Inc.

Properties and storage information

Form
Liquid
Purification technique
Affinity purification Protein A/G
Purification notes
Purified from TCS by protein A/G.
Storage buffer
pH: 7.2 - 7.4 Constituents: PBS
Shipped at conditions
Blue Ice
Appropriate short-term storage conditions
+4°C
Appropriate long-term storage conditions
+4°C
Storage information
Do Not Freeze

Supplementary information

This supplementary information is collated from multiple sources and compiled automatically.

The Ras protein also known by its alternate names such as KRAS NRAS and HRAS functions as a small GTPase which is a type of enzyme that binds to guanosine triphosphate (GTP) and can switch to an inactive form when it hydrolyzes GTP to GDP. Ras proteins are encoded by genes located in different chromosomes and typically have a molecular weight of about 21 kDa. These proteins are expressed in various tissues throughout the body where they play key roles in cellular signaling.
Biological function summary

Ras proteins are pivotal in regulating cell proliferation differentiation and survival. They are often part of larger protein complexes that facilitate signal transduction across cell membranes. These proteins function as binary molecular switches toggling between active (GTP-bound) and inactive (GDP-bound) states. Mutations in Ras proteins such as NRAS Q61R can lead the protein to assume permanently active conformations disrupting normal cellular signaling processes and contributing to oncogenesis.

Pathways

Ras proteins play significant roles in the MAPK/ERK and PI3K/AKT signaling pathways. Their activation leads to a cascade of phosphorylation events that ultimately regulate gene expression. Within these pathways Ras proteins interact with various molecules including RAF kinases and the PI3K protein further illustrating their complex roles in signal propagation. These pathways control many cellular processes including growth differentiation and survival illustrating how Ras proteins integrate multiple signals to modulate cellular outcomes.

Ras proteins are frequently implicated in various cancers notably pancreatic and colorectal cancers. Mutated forms of Ras such as KRAS G12V drive oncogenesis by promoting uncontrolled cell growth and division. In cancer pathology Ras often interacts with tumor suppressor proteins influencing the disease progression. Targeting Ras-mediated signaling pathways using approaches like pan-Ras inhibitors or chemiluminescence ELISAs represents an ongoing area of therapeutic research aimed at combating Ras-driven malignancies.

Product protocols

For this product, it's our understanding that no specific protocols are required. You can visit:

Target data

Ras proteins bind GDP/GTP and possess intrinsic GTPase activity.
See full target information NRAS mutated Q61R

Publications (1)

Recent publications for all applications. Explore the full list and refine your search

Cell death and differentiation : PubMed40770563

2025

ABCC10-mediated cGAMP efflux drives cancer cell radiotherapy resistance.

Applications

Unspecified application

Species

Unspecified reactive species

Zhengyang Zhang,Jie Gao,Xiang Liao,Zining Zhang,Xiongfeng Cao,Yi Gong,Wenlong Chen,Lirong Zhang,Hsiang-I Tsai,Dongqing Wang,Haitao Zhu
View all publications

Product promise

We are committed to supporting your work with high-quality reagents, and we're here for you every step of the way. In the unlikely event that one of our products does not perform as expected, you're protected by our Product Promise.
For full details, please see our Terms & Conditions

Please note: All products are 'FOR RESEARCH USE ONLY. NOT FOR USE IN DIAGNOSTIC OR THERAPEUTIC PROCEDURES'.

For licensing inquiries, please contact partnerships@abcam.com