JavaScript is disabled in your browser. Please enable JavaScript to view this website.
AB229272

Anti-RASGEF1A antibody

Be the first to review this product! Submit a review

|

(1 Publication)

Rabbit Polyclonal RASGEF1A antibody. Suitable for WB, IHC-P and reacts with Human, Mouse samples. Cited in 1 publication. Immunogen corresponding to Recombinant Fragment Protein within Human Ras-GEF domain-containing family member 1A.

View Alternative Names

Ras-GEF domain-containing family member 1A, RASGEF1A

2 Images
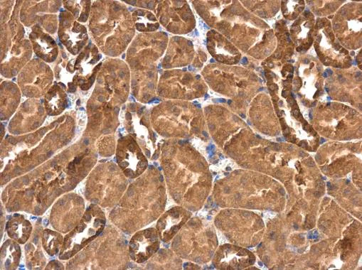
Immunohistochemistry (Formalin/PFA-fixed paraffin-embedded sections) - Anti-RASGEF1A antibody (AB229272)
  • IHC-P

Supplier Data

Immunohistochemistry (Formalin/PFA-fixed paraffin-embedded sections) - Anti-RASGEF1A antibody (AB229272)

Paraffin-embedded mouse kidney tissue stained for RASGEF1A using ab229272 at 1/500 dilution in immunohistochemical analysis.

Western blot - Anti-RASGEF1A antibody (AB229272)
  • WB

Supplier Data

Western blot - Anti-RASGEF1A antibody (AB229272)

10% SDS-PAGE gel.

All lanes:

Western blot - Anti-RASGEF1A antibody (ab229272) at 1/5000 dilution

All lanes:

IMR32 whole cell lysate at 30 µg

Predicted band size: 54 kDa

false

Key facts

Host species

Rabbit

Clonality

Polyclonal

Isotype

IgG

Carrier free

No

Reacts with

Mouse, Human

Applications

WB, IHC-P

applications

Immunogen

Recombinant Fragment Protein within Human Ras-GEF domain-containing family member 1A. The exact immunogen used to generate this antibody is proprietary information.

Q8N9B8

Reactivity data

{ "title": "Reactivity Data", "filters": { "stats": ["", "Species", "Dilution Info", "Notes"], "tabs": { "all-applications": {"fullname" : "All Applications", "shortname": "All Applications"}, "WB" : {"fullname" : "Western blot", "shortname":"WB"}, "IHCP" : {"fullname" : "Immunohistochemistry (Formalin/PFA-fixed paraffin-embedded sections)", "shortname":"IHC-P"} }, "product-promise": { "all": "all", "testedAndGuaranteed": "tested", "guaranteed": "expected", "predicted": "predicted", "notRecommended": "not-recommended" } }, "values": { "Human": { "WB-species-checked": "testedAndGuaranteed", "WB-species-dilution-info": "1/1000 - 1/10000", "WB-species-notes": "<p></p>", "IHCP-species-checked": "guaranteed", "IHCP-species-dilution-info": "", "IHCP-species-notes": "" }, "Mouse": { "WB-species-checked": "guaranteed", "WB-species-dilution-info": "", "WB-species-notes": "", "IHCP-species-checked": "testedAndGuaranteed", "IHCP-species-dilution-info": "1/100 - 1/1000", "IHCP-species-notes": "<p></p>" }, "Cow": { "WB-species-checked": "predicted", "WB-species-dilution-info": "", "WB-species-notes": "", "IHCP-species-checked": "predicted", "IHCP-species-dilution-info": "", "IHCP-species-notes": "" }, "Xenopus laevis": { "WB-species-checked": "predicted", "WB-species-dilution-info": "", "WB-species-notes": "", "IHCP-species-checked": "predicted", "IHCP-species-dilution-info": "", "IHCP-species-notes": "" } } }

Properties and storage information

Form
Liquid
Purification technique
Affinity purification Immunogen
Storage buffer
pH: 7 Preservative: 0.01% Thimerosal (merthiolate) Constituents: PBS, 20% Glycerol (glycerin, glycerine), 1% BSA
Shipped at conditions
Blue Ice
Appropriate short-term storage duration
1-2 weeks
Appropriate short-term storage conditions
+4°C
Appropriate long-term storage conditions
-20°C
Aliquoting information
Upon delivery aliquot
Storage information
Avoid freeze / thaw cycle

Product protocols

For this product, it's our understanding that no specific protocols are required. You can visit:

Target data

Guanine nucleotide exchange factor (GEF) with specificity for RAP2A, KRAS, HRAS, and NRAS (in vitro). Plays a role in cell migration.
See full target information Ras-GEF domain-containing family member 1A

Publications (1)

Recent publications for all applications. Explore the full list and refine your search

Aging 13: PubMed33493132

2021

RNF168 is highly expressed in esophageal squamous cell carcinoma and contributes to the malignant behaviors in association with the Wnt/β-catenin signaling pathway.

Applications

Unspecified application

Species

Unspecified reactive species

Yunjiu Gou,Dacheng Jin,Shengliang He,Songchen Han,Qizhou Bai
View all publications

Product promise

We are committed to supporting your work with high-quality reagents, and we're here for you every step of the way. In the unlikely event that one of our products does not perform as expected, you're protected by our Product Promise.
For full details, please see our Terms & Conditions

Please note: All products are 'FOR RESEARCH USE ONLY. NOT FOR USE IN DIAGNOSTIC OR THERAPEUTIC PROCEDURES'.

For licensing inquiries, please contact partnerships@abcam.com