JavaScript is disabled in your browser. Please enable JavaScript to view this website.
AB203580

Anti-RASSF2 antibody

Be the first to review this product! Submit a review

|

(1 Publication)

Rabbit Polyclonal RASSF2 antibody. Suitable for WB, IHC-P and reacts with Mouse, Rat samples. Cited in 1 publication. Immunogen corresponding to Synthetic Peptide within Human RASSF2 aa 150-250 conjugated to Keyhole Limpet Haemocyanin.

View Alternative Names

CENP-34, KIAA0168, RASSF2, Ras association domain-containing protein 2

2 Images
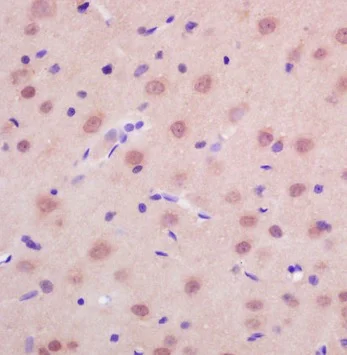
Immunohistochemistry (Formalin/PFA-fixed paraffin-embedded sections) - Anti-RASSF2 antibody (AB203580)
  • IHC-P

Supplier Data

Immunohistochemistry (Formalin/PFA-fixed paraffin-embedded sections) - Anti-RASSF2 antibody (AB203580)

Immunohistochemical analysis of formalin/PFA-fixed paraffin-embedded rat brain tissue sections labeling RASSF2 with ab203580 at a 1/200 dilution, followed by conjugation to the secondary antibody and DAB staining.

Western blot - Anti-RASSF2 antibody (AB203580)
  • WB

Supplier Data

Western blot - Anti-RASSF2 antibody (AB203580)

All lanes:

Western blot - Anti-RASSF2 antibody (ab203580) at 1/200 dilution

Lane 1:

Mouse brain lysate

Lane 2:

Mouse kidney lysate

Secondary

All lanes:

Goat anti-rabbit IgG H+L HRP conjugated at 1/3000 dilution

Predicted band size: 37 kDa

Observed band size: 36 kDa

false

Key facts

Host species

Rabbit

Clonality

Polyclonal

Isotype

IgG

Carrier free

No

Reacts with

Rat, Mouse

Applications

WB, IHC-P

applications

Immunogen

Synthetic Peptide within Human RASSF2 aa 150-250 conjugated to Keyhole Limpet Haemocyanin. The exact immunogen used to generate this antibody is proprietary information.

P50749

Reactivity data

{ "title": "Reactivity Data", "filters": { "stats": ["", "Species", "Dilution Info", "Notes"], "tabs": { "all-applications": {"fullname" : "All Applications", "shortname": "All Applications"}, "WB" : {"fullname" : "Western blot", "shortname":"WB"}, "IHCP" : {"fullname" : "Immunohistochemistry (Formalin/PFA-fixed paraffin-embedded sections)", "shortname":"IHC-P"} }, "product-promise": { "all": "all", "testedAndGuaranteed": "tested", "guaranteed": "expected", "predicted": "predicted", "notRecommended": "not-recommended" } }, "values": { "Mouse": { "WB-species-checked": "testedAndGuaranteed", "WB-species-dilution-info": "1/100 - 1/1000", "WB-species-notes": "<p></p>", "IHCP-species-checked": "guaranteed", "IHCP-species-dilution-info": "", "IHCP-species-notes": "" }, "Rat": { "WB-species-checked": "guaranteed", "WB-species-dilution-info": "", "WB-species-notes": "", "IHCP-species-checked": "testedAndGuaranteed", "IHCP-species-dilution-info": "1/100 - 1/500", "IHCP-species-notes": "<p>When using a fluorescent probe the recommended dilution is 1/50 – 1/200</p>" } } }

Properties and storage information

Form
Liquid
Purification technique
Affinity purification Protein A
Storage buffer
pH: 7.4 Preservative: 0.02% Proclin 300 Constituents: 50% Glycerol (glycerin, glycerine), 48.98% TBS, 1X, 1% BSA
Shipped at conditions
Blue Ice
Appropriate short-term storage duration
1-2 weeks
Appropriate short-term storage conditions
+4°C
Appropriate long-term storage conditions
-20°C
Aliquoting information
Upon delivery aliquot
Storage information
Avoid freeze / thaw cycle

Product protocols

For this product, it's our understanding that no specific protocols are required. You can visit:

Target data

Potential tumor suppressor. Acts as a KRAS-specific effector protein. May promote apoptosis and cell cycle arrest. Stabilizes STK3/MST2 by protecting it from proteasomal degradation.
See full target information RASSF2

Publications (1)

Recent publications for all applications. Explore the full list and refine your search

Ophthalmology and therapy 10:63-74 PubMed33188486

2020

Expression of LIGHT/TNFSF14 and Its Receptors, HVEM and LTβR, Correlates with the Severity of Fibrosis in Lacrimal Sacs from Patients with Lacrimal Duct Obstruction.

Applications

Unspecified application

Species

Unspecified reactive species

Pawel Bielecki,Ewa Gindzienska-Sieskiewicz,Joanna Reszeć,Bartosz Piszczatowski,Marek Rogowski,Otylia Kowal-Bielecka,Krzysztof Kowal,Andrzej Sieskiewicz
View all publications

Product promise

We are committed to supporting your work with high-quality reagents, and we're here for you every step of the way. In the unlikely event that one of our products does not perform as expected, you're protected by our Product Promise.
For full details, please see our Terms & Conditions

Please note: All products are 'FOR RESEARCH USE ONLY. NOT FOR USE IN DIAGNOSTIC OR THERAPEUTIC PROCEDURES'.

For licensing inquiries, please contact partnerships@abcam.com