JavaScript is disabled in your browser. Please enable JavaScript to view this website.
AB18541

Rat IgG2b, kappa monoclonal [RTK4530] - Isotype control

Be the first to review this product! Submit a review

|

(4 Publications)

Rat IgG2b, kappa monoclonal [RTK4530] - Isotype control Cited in 4 publications.
3 Images
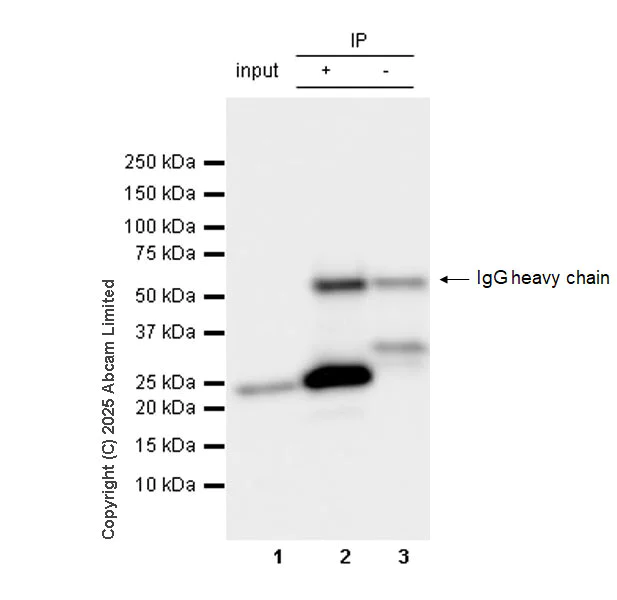
Immunoprecipitation - Rat IgG2b, kappa monoclonal [RTK4530] - Isotype control (AB18541)
  • IP

Lab

Immunoprecipitation - Rat IgG2b, kappa monoclonal [RTK4530] - Isotype control (AB18541)

CBX1 / HP1 beta was immunoprecipitated from 0.4 mg HepG2 (human hepatocellular carcinoma epithelial cell) whole cell lysate with ab10811 at 1/50 dilution (2µg in 0.4mg lysates). Western blot was performed on the immunoprecipitate using ab10811 at 1/1000 dilution.

Blocking and dilution buffer and concentration : 5% NFDM/TBST

All lanes:

Immunoprecipitation - Anti-CBX1 / HP1 beta antibody [MAC353] (<a href='/en-us/products/primary-antibodies/cbx1-hp1-beta-antibody-mac353-ab10811'>ab10811</a>) at 1/50 dilution

Lane 1:

HepG2 (human hepatocellular carcinoma epithelial cell) whole cell lysate (Input) at 10 µg

Lane 2:

HepG2 whole cell lysate

Lane 3:

Rat IgG2b isotype control (ab18541) instead of <a href='/en-us/products/primary-antibodies/cbx1-hp1-beta-antibody-mac353-ab10811'>ab10811</a> in HepG2 whole cell lysate

Secondary

All lanes:

Immunoprecipitation - VeriBlot for IP Detection Reagent (HRP) (<a href='/en-us/products/reagents/veriblot-for-ip-detection-reagent-hrp-ab131366'>ab131366</a>) at 1/5000 dilution

Observed band size: 21 kDa

false

Exposure time: 1s

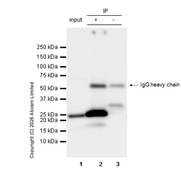
Immunoprecipitation - Rat IgG2b, kappa monoclonal [RTK4530] - Isotype control (AB18541)
  • IP

Lab

Immunoprecipitation - Rat IgG2b, kappa monoclonal [RTK4530] - Isotype control (AB18541)

CBX1 / HP1 beta was immunoprecipitated from 0.4 mg ES-D3 [D3] (mouse blastocyst-derived embryonic stem cell) whole cell lysate with ab10811 at 1/50 dilution (2µg in 0.4mg lysates). Western blot was performed on the immunoprecipitate using ab10811 at 1/1000 dilution.

Blocking and dilution buffer and concentration : 5% NFDM/TBST

All lanes:

Immunoprecipitation - Anti-CBX1 / HP1 beta antibody [MAC353] (<a href='/en-us/products/primary-antibodies/cbx1-hp1-beta-antibody-mac353-ab10811'>ab10811</a>) at 1/50 dilution

Lane 1:

ES-D3 [D3]  (mouse blastocyst-derived embryonic stem cell) whole cell lysate (Input) at 10 µg

Lane 2:

ES-D3 [D3]  (mouse blastocyst-derived embryonic stem cell) whole cell lysate (+)

Lane 3:

Rat IgG2b isotype control (ab18541) instead of <a href='/en-us/products/primary-antibodies/cbx1-hp1-beta-antibody-mac353-ab10811'>ab10811</a> in ES-D3 [D3] whole cell lysate (-)

Secondary

All lanes:

Immunoprecipitation - VeriBlot for IP Detection Reagent (HRP) (<a href='/en-us/products/reagents/veriblot-for-ip-detection-reagent-hrp-ab131366'>ab131366</a>) at 1/5000 dilution

Observed band size: 21 kDa

false

Exposure time: 1s

Immunoprecipitation - Rat IgG2b, kappa monoclonal [RTK4530] - Isotype control (AB18541)
  • IP

Lab

Immunoprecipitation - Rat IgG2b, kappa monoclonal [RTK4530] - Isotype control (AB18541)

Strep Tag II was immunoprecipitated from HEK-293T transfected with GFP expression vector containing a Strep Tag II whole cell lysate with ab252885 at 1/50 dilution. Western blot was performed on the immunoprecipitate using ab252885 at 1/1000 dilution. Goat Anti-rat IgG (H+L), HRP) (ab205720) was used at 1/10000 dilution. Lane 1(Input) : HEK-293T transfected with GFP expression vector containing a strep tag whole cell lysate 2 μg Lane 2 (+) : HEK-293T transfected with GFP expression vector containing a strep tag II whole cell lysate Lane 3 (-) : Rat monoclonal IgG2b (ab18541) instead of ab252885 in HEK-293T transfected with GFP expression vector containing a strep tag II whole cell lysate Observed MV : 26 kDa Blocking and dilution buffer and concentration : 5% NFDM/TBST.

All lanes:

Immunoprecipitation - Anti-Strep-tag II antibody [11A7] (<a href='/en-us/products/primary-antibodies/strep-tag-ii-antibody-11a7-ab252885'>ab252885</a>) at 1/1000 dilution

Lane 1:

HEK-293T transfected with GFP expression vector containing a strep tag whole cell lysate at 2 µg

Lane 2:

HEK-293T transfected with GFP expression vector containing a strep tag II whole cell lysate

Lane 3:

Rat monoclonal IgG2b (ab18541) instead of <a href='/en-us/products/primary-antibodies/strep-tag-ii-antibody-11a7-ab252885'>ab252885</a> in HEK-293T transfected with GFP expression vector containing a strep tag II whole cell lysate

Secondary

All lanes:

Immunoprecipitation - Goat Anti-Rat IgG H&L (HRP) (<a href='/en-us/products/secondary-antibodies/goat-rat-igg-h-l-hrp-ab205720'>ab205720</a>) at 1/10000 dilution

Observed band size: 26 kDa

false

Exposure time: 5s

Key facts

Host species

Rat

Clonality

Monoclonal

Clone number

RTK4530

Isotype

IgG2b

Light chain type

kappa

Carrier free

No

Applications

Flow Cyt

applications

Product details

Isotype control has been screened on a variety of resting, activated, live, and fixed mouse and human tissues.

Properties and storage information

Form
Liquid
Purification technique
Affinity purification Immunogen
Storage buffer
pH: 7.2 Preservative: 0.09% Sodium azide Constituents: PBS
Shipped at conditions
Blue Ice
Appropriate short-term storage conditions
+4°C
Appropriate long-term storage conditions
+4°C
Storage information
Do Not Freeze

Product protocols

For this product, it's our understanding that no specific protocols are required. You can visit:

Target data

Publications (4)

Recent publications for all applications. Explore the full list and refine your search

PloS one 15:e0229888 PubMed32208430

2020

MRTF-A promotes angiotensin II-induced inflammatory response and aortic dissection in mice.

Applications

Unspecified application

Species

Unspecified reactive species

Sohei Ito,Yohei Hashimoto,Ryohei Majima,Eichi Nakao,Hiroki Aoki,Michihide Nishihara,Satoko Ohno-Urabe,Aya Furusho,Saki Hirakata,Norifumi Nishida,Makiko Hayashi,Koichiro Kuwahara,Yoshihiro Fukumoto

Scientific reports 9:16931 PubMed31729436

2019

Requirement of β1 integrin for endothelium-dependent vasodilation and collateral formation in hindlimb ischemia.

Applications

Unspecified application

Species

Unspecified reactive species

Carina Henning,Anna Branopolski,Dominik Schuler,Dimitrios Dimitroulis,Patrik Huelsemann,Christopher Nicolaus,Roberto Sansone,Jelle Ludolf Postma,Daniel Eberhard,Ferdinand Le Noble,Malte Kelm,Eckhard Lammert,Christian Heiss

Scientific reports 9:13658 PubMed31541184

2019

Haploinsufficiency of Transferrin Receptor 1 Impairs Angiogenesis with Reduced Mitochondrial Complex I in Mice with Limb Ischemia.

Applications

Unspecified application

Species

Unspecified reactive species

Keisuke Okuno,Yoshiro Naito,Seiki Yasumura,Hisashi Sawada,Masanori Asakura,Tohru Masuyama,Masaharu Ishihara

PloS one 12:e0185393 PubMed28949989

2017

In vivo imaging of endothelial cell adhesion molecule expression after radiosurgery in an animal model of arteriovenous malformation.

Applications

Unspecified application

Species

Unspecified reactive species

Newsha Raoufi-Rad,Lucinda S McRobb,Vivienne S Lee,David Bervini,Michael Grace,Jaysree Ukath,Joshua Mchattan,Varun K A Sreenivasan,T T Hong Duong,Zhenjun Zhao,Marcus A Stoodley
View all publications

Product promise

We are committed to supporting your work with high-quality reagents, and we're here for you every step of the way. In the unlikely event that one of our products does not perform as expected, you're protected by our Product Promise.
For full details, please see our Terms & Conditions

Please note: All products are 'FOR RESEARCH USE ONLY. NOT FOR USE IN DIAGNOSTIC OR THERAPEUTIC PROCEDURES'.

For licensing inquiries, please contact partnerships@abcam.com