JavaScript is disabled in your browser. Please enable JavaScript to view this website.
AB174321

Anti-RAVER2 antibody [EPR12601]

3

(1 Review)

|

(3 Publications)

Rabbit Recombinant Monoclonal RAVER2 antibody. Suitable for IHC-P, IP, WB, ICC/IF and reacts with Human samples. Cited in 3 publications.

View Alternative Names

KIAA1579, RAVER2, Ribonucleoprotein PTB-binding 2, Protein raver-2

5 Images
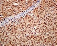
Immunohistochemistry (Formalin/PFA-fixed paraffin-embedded sections) - Anti-RAVER2 antibody [EPR12601] (AB174321)
  • IHC-P

Supplier Data

Immunohistochemistry (Formalin/PFA-fixed paraffin-embedded sections) - Anti-RAVER2 antibody [EPR12601] (AB174321)

Immunohistochemical analysis of paraffin-embedded Human tonsil tissue labeling RAVER2 with ab174321 at 1/50 dilution.

Perform heat mediated antigen retrieval before commencing with IHC staining protocol.

Immunocytochemistry/ Immunofluorescence - Anti-RAVER2 antibody [EPR12601] (AB174321)
  • ICC/IF

Supplier Data

Immunocytochemistry/ Immunofluorescence - Anti-RAVER2 antibody [EPR12601] (AB174321)

Immunofluorescent analysis of 293T cells labeling RAVER2 with ab174321 at 1/50 dilution.

Immunohistochemistry (Formalin/PFA-fixed paraffin-embedded sections) - Anti-RAVER2 antibody [EPR12601] (AB174321)
  • IHC-P

Supplier Data

Immunohistochemistry (Formalin/PFA-fixed paraffin-embedded sections) - Anti-RAVER2 antibody [EPR12601] (AB174321)

Immunohistochemical analysis of paraffin-embedded Human cervical carcinoma tissue labeling RAVER2 with ab174321 at 1/50 dilution.

Perform heat mediated antigen retrieval before commencing with IHC staining protocol.

Immunoprecipitation - Anti-RAVER2 antibody [EPR12601] (AB174321)
  • IP

Supplier Data

Immunoprecipitation - Anti-RAVER2 antibody [EPR12601] (AB174321)

Western blot analysis on immunoprecipitation pellet from fetal lung lysate, immunoprecipitated using ab174321 at 1/10 dilution.

All lanes:

Immunoprecipitation - Anti-RAVER2 antibody [EPR12601] (ab174321)

Predicted band size: 74 kDa

false

Western blot - Anti-RAVER2 antibody [EPR12601] (AB174321)
  • WB

Supplier Data

Western blot - Anti-RAVER2 antibody [EPR12601] (AB174321)

All lanes:

Western blot - Anti-RAVER2 antibody [EPR12601] (ab174321) at 1/1000 dilution

Lane 1:

Human fetal lung tissue lysate at 10 µg

Lane 2:

HT1080 cell lysate at 10 µg

Lane 3:

293T cell lysate at 10 µg

Lane 4:

Human fetal brain tissue lysate at 10 µg

Lane 5:

Jurkat cell lysate at 10 µg

Secondary

All lanes:

Goat anti-Rabbit HRP at 1/2000 dilution

Predicted band size: 74 kDa

false

  • Carrier free

    Anti-RAVER2 antibody [EPR12601] - BSA and Azide free

Key facts

Host species

Rabbit

Clonality

Monoclonal

Clone number

EPR12601

Isotype

IgG

Carrier free

No

Reacts with

Human

Applications

ICC/IF, WB, IHC-P, IP

applications

Immunogen

The exact immunogen used to generate this antibody is proprietary information.

Reactivity data

{ "title": "Reactivity Data", "filters": { "stats": ["", "Species", "Dilution Info", "Notes"], "tabs": { "all-applications": {"fullname" : "All Applications", "shortname": "All Applications"}, "IHCP" : {"fullname" : "Immunohistochemistry (Formalin/PFA-fixed paraffin-embedded sections)", "shortname":"IHC-P"}, "IP" : {"fullname" : "Immunoprecipitation", "shortname":"IP"}, "FlowCyt" : {"fullname" : "Flow Cytometry", "shortname":"Flow Cyt"}, "WB" : {"fullname" : "Western blot", "shortname":"WB"}, "ICCIF" : {"fullname" : "Immunocytochemistry/ Immunofluorescence", "shortname":"ICC/IF"} }, "product-promise": { "all": "all", "testedAndGuaranteed": "tested", "guaranteed": "expected", "predicted": "predicted", "notRecommended": "not-recommended" } }, "values": { "Human": { "IHCP-species-checked": "testedAndGuaranteed", "IHCP-species-dilution-info": "1/50 - 1/100", "IHCP-species-notes": "<p></p>", "IP-species-checked": "testedAndGuaranteed", "IP-species-dilution-info": "1/10 - 1/100", "IP-species-notes": "<p></p>", "FlowCyt-species-checked": "notRecommended", "FlowCyt-species-dilution-info": "", "FlowCyt-species-notes": "<p></p>", "WB-species-checked": "testedAndGuaranteed", "WB-species-dilution-info": "1/1000 - 1/10000", "WB-species-notes": "<p></p>", "ICCIF-species-checked": "testedAndGuaranteed", "ICCIF-species-dilution-info": "1/50 - 1/100", "ICCIF-species-notes": "<p></p>" } } }

Product details

Species reactivity
Mouse, Rat: We have preliminary internal testing data to indicate this antibody may not react with these species.
Please contact us for more information.

Patented technology
Our RabMAb® technology is a patented hybridoma-based technology for making rabbit monoclonal antibodies. For details on our patents, please refer to RabMAb® patents.

What are the advantages of a recombinant monoclonal antibody?
This product is a recombinant monoclonal antibody, which offers several advantages including:

  • - High batch-to-batch consistency and reproducibility
  • - Improved sensitivity and specificity
  • - Long-term security of supply
  • - Animal-free batch production

For more information, read more on recombinant antibodies.

Properties and storage information

Form
Liquid
Purification technique
Affinity purification Protein A
Storage buffer
pH: 7.2 - 7.4 Preservative: 0.01% Sodium azide Constituents: PBS, 50% Tissue culture supernatant, 40% Glycerol (glycerin, glycerine), 0.05% BSA
Shipped at conditions
Blue Ice
Appropriate short-term storage duration
1-2 weeks
Appropriate short-term storage conditions
+4°C
Appropriate long-term storage conditions
-20°C
Aliquoting information
Upon delivery aliquot
Storage information
Avoid freeze / thaw cycle

Product protocols

For this product, it's our understanding that no specific protocols are required. You can visit:

Target data

May bind single-stranded nucleic acids.
See full target information RAVER2

Publications (3)

Recent publications for all applications. Explore the full list and refine your search

Investigative ophthalmology & visual science 66:52 PubMed40249603

2025

Pax6 Directly Regulates the Raver2/sFlt-1 Expression in Corneal Epithelial Cells to Maintain the Cornea's Avascular Privilege.

Applications

Unspecified application

Species

Unspecified reactive species

Haiqi Xiao,Li Hu,Xiongshi Lin,Linchang Liu,Xing Dong,Liting Yang,Ying Liu,Zhichong Wang,Ying Tian,Shuangyong Wang

Nucleic acids research 46:6069-6086 PubMed29771377

2018

Alternative splicing analysis in human monocytes and macrophages reveals MBNL1 as major regulator.

Applications

Unspecified application

Species

Unspecified reactive species

Hongfei Liu,Paolo A Lorenzini,Fan Zhang,Shaohai Xu,Mei Su M Wong,Jie Zheng,Xavier Roca

Human molecular genetics 24:2746-56 PubMed25637521

2015

Messenger RNA processing is altered in autosomal dominant leukodystrophy.

Applications

WB

Species

Mouse

Anna Bartoletti-Stella,Laura Gasparini,Caterina Giacomini,Patrizia Corrado,Rossana Terlizzi,Elisa Giorgio,Pamela Magini,Marco Seri,Agostino Baruzzi,Piero Parchi,Alfredo Brusco,Pietro Cortelli,Sabina Capellari
View all publications

Product promise

We are committed to supporting your work with high-quality reagents, and we're here for you every step of the way. In the unlikely event that one of our products does not perform as expected, you're protected by our Product Promise.
For full details, please see our Terms & Conditions

Please note: All products are 'FOR RESEARCH USE ONLY. NOT FOR USE IN DIAGNOSTIC OR THERAPEUTIC PROCEDURES'.

For licensing inquiries, please contact partnerships@abcam.com