JavaScript is disabled in your browser. Please enable JavaScript to view this website.
AB181616

Anti-Rb antibody [EPR17512]

  • 20ul selling size
  • KO Validated
  • RabMAb
  • Recombinant
  • What is this?

Be the first to review this product! Submit a review

|

(107 Publications)

Anti-Rb antibody [EPR17512] (ab181616) is a rabbit monoclonal antibody detecting Rb in Western Blot, Flow Cytometry (Intra), Flow Cytometry, IP, IHC-P, ICC/IF. Suitable for African green monkey, Human, Mouse.

- KO validated for confirmed specificity
- Biophysical QC for unrivalled batch-batch consistency
- Over 80 publications

View Alternative Names

Retinoblastoma-associated protein, p105-Rb, p110-RB1, pRb, pp110, Rb, RB1

23 Images
Western blot - Anti-Rb antibody [EPR17512] (AB181616)
  • WB

Lab

Western blot - Anti-Rb antibody [EPR17512] (AB181616)

Western blot : Anti-RB1 antibody [EPR17512] (ab181616) staining at 1/1000 dilution, shown in green; Mouse anti-Alpha Tubulin [DM1A] (ab7291) loading control staining at 1/20000 dilution, shown in magenta. In Western blot, ab181616 was shown to bind specifically to RB1. A band was observed at 106 kDa in wild-type A549 cell lysates with no signal observed at this size in RB1 knockout cell line. To generate this image, wild-type and RB1 knockout A549 cell lysates were analysed. First, samples were run on an SDS-PAGE gel then transferred onto a nitrocellulose membrane. Membranes were blocked in 5 % milk in TBS-0.1 % Tween® 20 (TBS-T) before incubation with primary antibodies overnight at 4 °C. Blots were washed four times in TBS-T, incubated with secondary antibodies for 1 h at room temperature, washed again four times then imaged. Secondary antibodies used were Goat anti-Rabbit IgG H&L 800CW and Goat anti-Mouse IgG H&L 680RD at 1/20000 dilution.

All lanes:

Western blot - Anti-Rb antibody [EPR17512] (ab181616) at 1/1000 dilution

Lane 1:

Wild-type A549 cell lysate at 40 µg

Lanes 2 - 3:

RB1 knockout A549 cell lysate at 40 µg

Lanes 4 - 5:

HeLa cell lysate at 20 µg

Lane 6:

Wild-type HAP1 cell lysate at 20 µg

Lane 7:

RB1 knockout HAP1 cell lysate at 20 µg

Secondary

All lanes:

Goat anti-Rabbit IgG H&L 800CW and Goat anti-Mouse IgG H&L 680RD at 1/20000 dilution

Observed band size: 106 kDa

false

Flow Cytometry (Intracellular) - Anti-Rb antibody [EPR17512] (AB181616)
  • Flow Cyt (Intra)

Lab

Flow Cytometry (Intracellular) - Anti-Rb antibody [EPR17512] (AB181616)

ab181616 staining Rbin the human cell line MCF-7 (human breast carcinoma) by intracellular flow cytometry. Cells were fixed with 4% paraformaldehyde, permeabilized with 90% methanol and the sample was incubated with the primary antibody at a dilution of 1/140. A goat anti rabbit IgG (Alexa Fluor® 488) at a dilution of 1/2000 was used as the secondary antibody.

Isoytype control : Rabbit monoclonal IgG (Black)

Unlabelled control : Cell without incubation with primary antibody and secondary antibody (Blue)

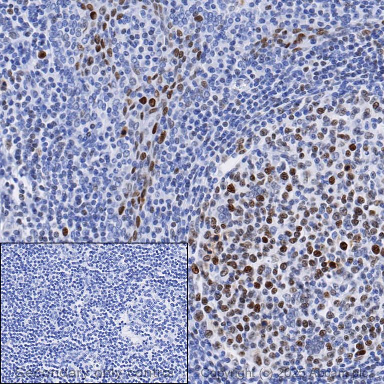
Immunohistochemistry (Formalin/PFA-fixed paraffin-embedded sections) - Anti-Rb antibody [EPR17512] (AB181616)
  • IHC-P

Lab

Immunohistochemistry (Formalin/PFA-fixed paraffin-embedded sections) - Anti-Rb antibody [EPR17512] (AB181616)

Immunohistochemical analysis of formalin fixed paraffin embedded human tonsil labelling Rb with ab181616 at a concentration of 1µg/ml. The immunostaining was performed on a Ventana DISCOVERY ULTRA (Roche Tissue Diagnostics) instrument with a OptiView DAB IHC Detection Kit. Heat mediated antigen retrieval was performed with DISCOVERY cell conditioning solution (CC1) 100°C, pH8.5 for 32mins. ab181616 anti-Rb antibody [EPR17512] was incubated for 16mins at 37°C. Sections were counterstained with Hematoxylin II. Image inset shows absence of staining in secondary antibody only control.

Customers are encouraged to optimise antigen retrieval conditions, antibody concentration, incubation times and temperature for best results in their own IHC assay workflow (automated and manual).

Immunohistochemistry (Formalin/PFA-fixed paraffin-embedded sections) - Anti-Rb antibody [EPR17512] (AB181616)
  • IHC-P

Supplier Data

Immunohistochemistry (Formalin/PFA-fixed paraffin-embedded sections) - Anti-Rb antibody [EPR17512] (AB181616)

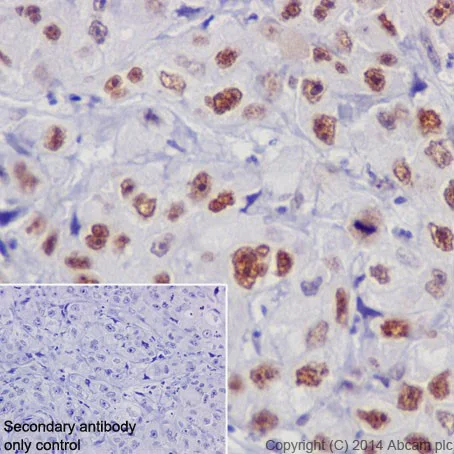
Immunohistochemical analysis of paraffin-embedded Human breast cancer tissue labeling Rb with ab181616 at 1/1000 dilution, followed by Goat Anti-Rabbit IgG H&L (HRP) (ab97051) secondary antibody at 1/500 dilution. Nuclear staining on cancer cells of Human breast cancer is observed. Counter stained with Hematoxylin.

Secondary antibody only control : Used PBS instead of primary antibody, secondary antibody is Goat Anti-Rabbit IgG H&L (HRP) (ab97051) at 1/500 dilution.

Perform heat mediated antigen retrieval with Tris/EDTA buffer pH 9.0 before commencing with IHC staining protocol.

Immunohistochemistry (Formalin/PFA-fixed paraffin-embedded sections) - Anti-Rb antibody [EPR17512] (AB181616)
  • IHC-P

Supplier Data

Immunohistochemistry (Formalin/PFA-fixed paraffin-embedded sections) - Anti-Rb antibody [EPR17512] (AB181616)

Immunohistochemical analysis of paraffin-embedded Human lung tissue labeling Rb with ab181616 at 1/1000 dilution, followed by Goat Anti-Rabbit IgG H&L (HRP) (ab97051) secondary antibody at 1/500 dilution. Nuclear staining on Human lung is observed. Counter stained with Hematoxylin.

Secondary antibody only control : Used PBS instead of primary antibody, secondary antibody is Goat Anti-Rabbit IgG H&L (HRP) (ab97051) at 1/500 dilution.

Perform heat mediated antigen retrieval with Tris/EDTA buffer pH 9.0 before commencing with IHC staining protocol.

Immunocytochemistry/ Immunofluorescence - Anti-Rb antibody [EPR17512] (AB181616)
  • ICC/IF

Supplier Data

Immunocytochemistry/ Immunofluorescence - Anti-Rb antibody [EPR17512] (AB181616)

Immunofluorescent analysis of 4% paraformaldehyde-fixed, 0.1% Triton X-100 permeabilized MCF7 (Human breast adenocarcinoma cell line) cells labeling Rb with ab181616 at 1/500 dilution, followed by Goat anti-rabbit IgG (Alexa Fluor® 488) (ab150077) secondary antibody at 1/500 dilution (green). Confocal image showing nuclear staining on MCF7 cells. The nuclear counter stain is DAPI (blue). Tubulin is detected with ab7291 (anti-Tubulin mouse mAb) at 1/1000 dilution and ab150120 (AlexaFluor®594 Goat anti-Mouse secondary) at 1/500 dilution (red).
The negative controls are as follows :
-ve control 1 : ab181616 at 1/500 dilution followed by ab150120 (AlexaFluor®594 Goat anti-Mouse secondary) at 1/500 dilution.
-ve control 2 : ab7291 (anti-Tubulin mouse mAb) at 1/1000 dilution followed by ab150077 (Alexa Fluor®488 Goat Anti-Rabbit IgG H&L) at 1/500 dilution.

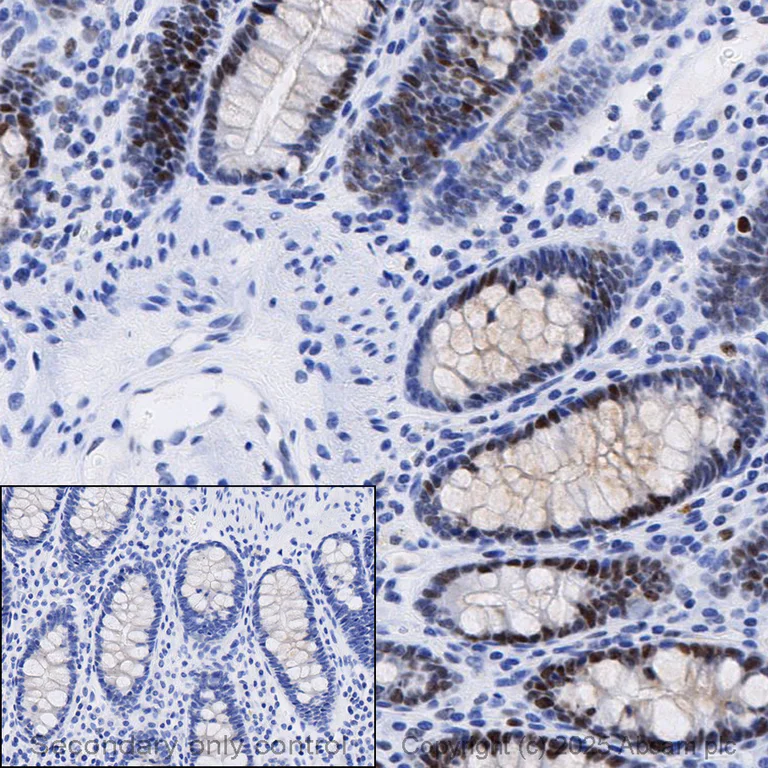
Immunohistochemistry (Formalin/PFA-fixed paraffin-embedded sections) - Anti-Rb antibody [EPR17512] (AB181616)
  • IHC-P

Lab

Immunohistochemistry (Formalin/PFA-fixed paraffin-embedded sections) - Anti-Rb antibody [EPR17512] (AB181616)

Immunohistochemical analysis of formalin fixed paraffin embedded human colon labelling Rb with ab181616 at a concentration of 1µg/ml. The immunostaining was performed on a Ventana DISCOVERY ULTRA (Roche Tissue Diagnostics) instrument with a OptiView DAB IHC Detection Kit. Heat mediated antigen retrieval was performed with DISCOVERY cell conditioning solution (CC1) 100°C, pH8.5 for 32mins. ab181616 anti-Rb antibody [EPR17512] was incubated for 16mins at 37°C. Sections were counterstained with Hematoxylin II. Image inset shows absence of staining in secondary antibody only control.

Customers are encouraged to optimise antigen retrieval conditions, antibody concentration, incubation times and temperature for best results in their own IHC assay workflow (automated and manual).

Immunoprecipitation - Anti-Rb antibody [EPR17512] (AB181616)
  • IP

Supplier Data

Immunoprecipitation - Anti-Rb antibody [EPR17512] (AB181616)

Rb was immunoprecipitated from 1mg of MCF7 (Human breast adenocarcinoma cell line) whole cell lysate with ab181616 at 1/80 dilution. Western blot was performed from the immunoprecipitate using ab181616 at 1/1000 dilution. Anti-Rabbit IgG (HRP), specific to the non-reduced form of IgG, was used as secondary antibody at 1/1500 dilution.

Lane 1 : MCF7 whole cell lysate 10 μg (Input). Lane 2 : ab181616 IP in MCF7 whole cell lysate. Lane 3 : Rabbit monoclonal IgG (ab172730) instead of ab181616 in MCF7 whole cell lysate.
Blocking and dilution buffer and concentration : 5% NFDM/TBST.

All lanes:

Immunoprecipitation - Anti-Rb antibody [EPR17512] (ab181616)

Predicted band size: 106 kDa

false

Exposure time: 8s

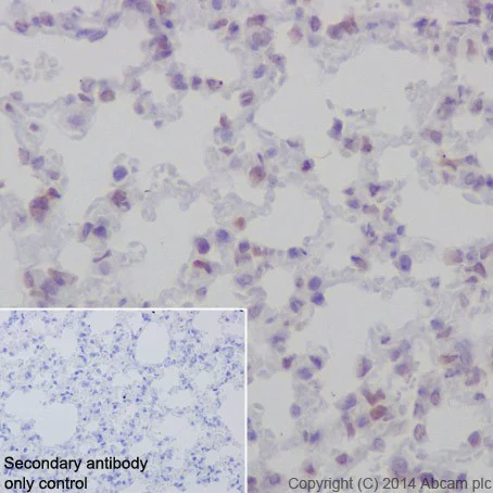
Immunohistochemistry (Formalin/PFA-fixed paraffin-embedded sections) - Anti-Rb antibody [EPR17512] (AB181616)
  • IHC-P

Supplier Data

Immunohistochemistry (Formalin/PFA-fixed paraffin-embedded sections) - Anti-Rb antibody [EPR17512] (AB181616)

Immunohistochemical analysis of paraffin-embedded Mouse lung tissue labeling Rb with ab181616 at 1/1000 dilution, followed by Goat Anti-Rabbit IgG H&L (HRP) (ab97051) secondary antibody at 1/500 dilution. Nuclear staining on mouse lung is observed. Counter stained with Hematoxylin.

Secondary antibody only control : Used PBS instead of primary antibody, secondary antibody is Goat Anti-Rabbit IgG H&L (HRP) (ab97051) at 1/500 dilution.

Perform heat mediated antigen retrieval with Tris/EDTA buffer pH 9.0 before commencing with IHC staining protocol.

Immunohistochemistry (Formalin/PFA-fixed paraffin-embedded sections) - Anti-Rb antibody [EPR17512] (AB181616)
  • IHC-P

Supplier Data

Immunohistochemistry (Formalin/PFA-fixed paraffin-embedded sections) - Anti-Rb antibody [EPR17512] (AB181616)

Immunohistochemical analysis of paraffin-embedded Mouse cerebral cortex tissue labeling Rb with ab181616 at 1/1000 dilution, followed by Goat Anti-Rabbit IgG H&L (HRP) (ab97051) secondary antibody at 1/500 dilution. Nuclear staining on neuron of mouse cerebral cortex is observed. Counter stained with Hematoxylin.

Secondary antibody only control : Used PBS instead of primary antibody, secondary antibody is Goat Anti-Rabbit IgG H&L (HRP) (ab97051) at 1/500 dilution.

Perform heat mediated antigen retrieval with Tris/EDTA buffer pH 9.0 before commencing with IHC staining protocol.

Western blot - Anti-Rb antibody [EPR17512] (AB181616)
  • WB

Supplier Data

Western blot - Anti-Rb antibody [EPR17512] (AB181616)

Blocking and diluting buffer and concentration : 5% NFDM/TBST. Palbociclib is a CDK4/6 inhibitor. Treatment leads to a reduction in total Rb1 levels through G1 phase arrest. In Western blot, Anti-GAPDH antibody [EPR16891] - Loading Control (ab181602) staining at 1/200000 dilution. In Western blot, Anti-Rb antibody [EPR17512] (ab181616) staining at 1/1000 dilution.

All lanes:

Western blot - Anti-Rb (phospho T252 + T356 + S608 + S780 + S807) antibody [RM1144] (<a href='/en-us/products/primary-antibodies/rb-phospho-t252-t356-s608-s780-s807-antibody-rm1144-ab320747'>ab320747</a>) at 1/1000 dilution

Lane 1:

Untreated Jurkat (human T cell leukemia T lymphocyte from peripheral blood) whole cell lysate (untreated membrane) at 20 µg

Lane 2:

Jurkat treated with 1uM palbociclib for 48 hours whole cell lysate (untreated membrane) at 20 µg

Lane 3:

Untreated Jurkat whole cell lysate (alkaline phosphatase treated membrane) at 20 µg

Lane 4:

Jurkat treated with 1uM palbociclib for 8 hours whole cell lysate (alkaline phosphatase treated membrane) at 20 µg

Secondary

All lanes:

Western blot - Goat Anti-Rabbit IgG H&L (HRP) (<a href='/en-us/products/secondary-antibodies/goat-rabbit-igg-h-l-hrp-ab97051'>ab97051</a>) at 1/100000 dilution

Observed band size: 110 kDa,36 kDa

false

Exposure time: 37s

Western blot - Anti-Rb antibody [EPR17512] (AB181616)
  • WB

Lab

Western blot - Anti-Rb antibody [EPR17512] (AB181616)

Lane 1 : Wild-type HAP1 whole cell lysate (20 μg)
Lane 2 : Rb knockout HAP1 whole cell lysate (20 μg)
Lane 3 : HeLa whole cell lysate (20 μg)
Lane 4 : HEK293 whole cell lysate (20 μg)

Lanes 1 - 4 : Merged signal (red and green). Green - ab181616 observed at 120 kDa. Red - loading control, ab8245, observed at 37 kDa.

ab181616 was shown to recognize Rb in wild-type HAP1 cells as signal was lost at the expected MW in Rb knockout cells. Additional cross-reactive bands were observed in the wild-type and knockout cells. Wild-type and RB1 knockout samples were subjected to SDS-PAGE. ab181616 and ab8245 (Mouse anti-GAPDH loading control) were incubated overnight at 4°C at 1/2000 dilution and 1/10000 dilution respectively. Blots were developed with Goat anti-Rabbit IgG H&L (IRDye® 800CW) preabsorbed ab216773 and Goat anti-Mouse IgG H&L (IRDye® 680RD) preabsorbed ab216776 secondary antibodies at 1/10000 dilution for 1 hour at room temperature before imaging.

All lanes:

Western blot - Anti-Rb antibody [EPR17512] (ab181616)

Predicted band size: 106 kDa

false

Western blot - Anti-Rb antibody [EPR17512] (AB181616)
  • WB

Supplier Data

Western blot - Anti-Rb antibody [EPR17512] (AB181616)

Blocking and diluting buffer and concentration : 5% NFDM/TBST.

To minimize protein degradation, cells were lysed immediately after harvest and then applied to a gel and transfer membrane for Western blotting as soon as possible.

This blot was developed using a high sensitivity ECL substrate.

The identity of the bands at approximately 40 kDa, 60 kDa and 280 kDa (in lanes 1-2) are unknown.

In Western blot, Anti-GAPDH antibody [EPR16891] - Loading Control (ab181602) staining at 1/200000 dilution.

In Western blot, Anti-Rb antibody [EPR17512-291] (ab181616) staining at 1/1000 dilution.

All lanes:

Western blot - Anti-Rb (phospho S795) antibody [EPR28156-6] (<a href='/en-us/products/primary-antibodies/rb-phospho-s795-antibody-epr28156-6-ab321974'>ab321974</a>) at 1/1000 dilution

Lane 1:

MCF7 (human breast adenocarcinoma epithelial cell) serum starvation for 48h, whole cell lysate (untreated membrane) at 50 µg

Lane 2:

MCF7 serum starvation for 48h, then treated with 10% FBS for 20h, whole cell lysate (untreated membrane) at 50 µg

Lane 3:

MCF7 serum starvation for 48h, then treated with 10% FBS for 20h, whole cell lysate (alkaline phosphatase treated membrane) at 50 µg

Secondary

All lanes:

Western blot - Goat Anti-Rabbit IgG H&L (HRP) (<a href='/en-us/products/secondary-antibodies/goat-rabbit-igg-h-l-hrp-ab97051'>ab97051</a>) at 1/20000 dilution

Observed band size: 106 kDa,36 kDa

true

Exposure time: 92s

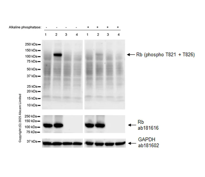
Western blot - Anti-Rb antibody [EPR17512] (AB181616)
  • WB

Supplier Data

Western blot - Anti-Rb antibody [EPR17512] (AB181616)

Blocking and diluting buffer and concentration : 5% NFDM/TBST. In Western blot, ab320747 was shown to bind specifically to RB1. Target of interest was observed at 100 kDa in wild-type HAP1 cell lysates (lane 1) with no signal observed at this size in RB1 knockout cell line (lane 2). In Western blot, Anti-GAPDH antibody [EPR16891] - Loading Control (ab181602) staining at 1/200000 dilution. In Western blot, Anti-Rb antibody [EPR17512] (ab181616) staining at 1/1000 dilution.

All lanes:

Western blot - Anti-Rb (phospho T252 + T356 + S608 + S780 + S807) antibody [RM1144] (<a href='/en-us/products/primary-antibodies/rb-phospho-t252-t356-s608-s780-s807-antibody-rm1144-ab320747'>ab320747</a>) at 1/1000 dilution

Lane 1:

Wild-type HAP1 (human chronic myelogenous leukemia near-haploid cell) whole cell lysate (untreated membrane) at 20 µg

Lane 2:

RB1 knockout HAP1 whole cell lysate (untreated membrane) at 20 µg

Lane 3:

Wild-type HAP1 whole cell lysate (alkaline phosphatase treated membrane) at 20 µg

Lane 4:

RB1 knockout HAP1 whole cell lysate (alkaline phosphatase treated membrane) at 20 µg

Secondary

All lanes:

Western blot - Goat Anti-Rabbit IgG H&L (HRP) (<a href='/en-us/products/secondary-antibodies/goat-rabbit-igg-h-l-hrp-ab97051'>ab97051</a>) at 1/100000 dilution

Observed band size: 110 kDa,36 kDa

false

Exposure time: 37s

Western blot - Anti-Rb antibody [EPR17512] (AB181616)
  • WB

Lab

Western blot - Anti-Rb antibody [EPR17512] (AB181616)

Western blot : Rabbit monoclonal [EPR17512] to Rb ab181616 staining at 1/1000 dilution, shown in green; Mouse anti alpha Tubulin (ab7291) loading control staining at 1/20,000 dilution, shown in magenta. A band was observed at 106 kDa in Wild-type HCT 116 cell lysates with no signal observed at this size in RB1 knockout HCT 116 cell line. To generate this image, samples were run on an SDS-PAGE gel then transferred onto a nitrocellulose membrane. Membranes were blocked in 5 % Milk in TBS-0.1 % Tween® 20 (TBS-T) before incubation with primary antibodies overnight at 4 °C. Blots were washed four times in TBS-T, incubated with secondary antibodies for 1 h at room temperature, washed again four times then imaged. Secondary antibodies used were Goat anti-Rabbit 800CW & Goat anti-Mouse 680RD at 1/20,000 dilution.

All lanes:

Western blot - Anti-Rb antibody [EPR17512] (ab181616) at 1/1000 dilution

Lane 1:

Wild-type HCT 116 at 20 µg

Lane 2:

Western blot - Human RB1 knockout HCT116 cell line (<a href='/en-us/products/cell-lines/human-rb1-knockout-hct116-cell-line-ab286657'>ab286657</a>) at 20 µg

Lane 3:

Wild-type A549 ab288558 at 20 µg

Lane 4:

Western blot - Human RB1 knockout A549 cell line (<a href='/en-us/products/cell-lines/human-rb1-knockout-a549-cell-line-ab286470'>ab286470</a>) at 20 µg

Lane 5:

HEK-293 at 20 µg

Secondary

All lanes:

Goat anti-Rabbit 800CW & Goat anti-Mouse 680RD at 1/20000 dilution

Predicted band size: 106 kDa

Observed band size: 106 kDa,51 kDa

false

Western blot - Anti-Rb antibody [EPR17512] (AB181616)
  • WB

Supplier Data

Western blot - Anti-Rb antibody [EPR17512] (AB181616)

Blocking/Dilution buffer : 5% NFDM/TBST.

The lysates were all prepared using 1%SDS Hot lysis method.

All lanes:

Western blot - Anti-Rb antibody [EPR17512] (ab181616) at 1/20000 dilution

Lane 1:

Jurkat (Human T cell leukemia cells from peripheral blood) whole cell lysate at 20 µg

Lane 2:

K562 (Human chronic myelogenous leukemia cells from bone marrow) whole cell lysate at 20 µg

Lane 3:

WEHI-3 (Mouse leukemia) whole cell lysate at 20 µg

Lane 4:

COS-1 (African green monkey kidney fibroblast-like cell line) whole cell lysate at 20 µg

Lane 5:

MCF7 (Human breast adenocarcinoma cell line) whole cell lysate at 20 µg

Secondary

All lanes:

Goat Anti-Rabbit IgG, (H+L),Peroxidase conjugated at 1/1000 dilution

Predicted band size: 106 kDa,42 kDa

Observed band size: 105 kDa,42 kDa

false

Exposure time: 5s

Western blot - Anti-Rb antibody [EPR17512] (AB181616)
  • WB

Supplier Data

Western blot - Anti-Rb antibody [EPR17512] (AB181616)

Blocking/Dilution buffer : 5% NFDM/TBST.

The lysates were all prepared using 1%SDS Hot lysis method.

All lanes:

Western blot - Anti-Rb antibody [EPR17512] (ab181616) at 1/2000 dilution

All lanes:

Human fetal brain lysate at 10 µg

Secondary

All lanes:

Anti-Rabbit IgG (HRP), specific to the non-reduced form of IgG at 1/1000 dilution

Predicted band size: 106 kDa,188 kDa,82 kDa

Observed band size: 105 kDa,188 kDa,82 kDa

false

Exposure time: 1min

Western blot - Anti-Rb antibody [EPR17512] (AB181616)
  • WB

Lab

Western blot - Anti-Rb antibody [EPR17512] (AB181616)

Blocking and diluting buffer and concentration : 5% NFDM/TBST.

Exposure time :

Lane 1 and 2 : 100 seconds
Lane 3 and 4 : 10 seconds

We recommend to use 1%SDS Hot lysis method to get clear band.
We are unsure how to define the extra bands.

All lanes:

Western blot - Anti-Rb antibody [EPR17512] (ab181616) at 1/1000 dilution

Lane 1:

HepG2 (Human hepatocellular carcinoma epithelial cell) whole cell lysates prepared in RIPA lysis method at 20 µg

Lane 2:

HepG2 (Human hepatocellular carcinoma epithelial cell) whole cell lysates prepared in 1%SDS Hot lysis method at 20 µg

Lane 3:

K-562 (Human chronic myelogenous leukemia lymphoblast) whole cell lysates prepared in RIPA lysis method at 20 µg

Lane 4:

K-562 (Human chronic myelogenous leukemia lymphoblast) whole cell lysates prepared in 1%SDS Hot lysis method at 20 µg

Secondary

All lanes:

Western blot - Goat Anti-Rabbit IgG H&L (HRP) (<a href='/en-us/products/secondary-antibodies/goat-rabbit-igg-h-l-hrp-ab97051'>ab97051</a>) at 1/1000 dilution

false

Western blot - Anti-Rb antibody [EPR17512] (AB181616)
  • WB

Supplier Data

Western blot - Anti-Rb antibody [EPR17512] (AB181616)

Blocking and diluting buffer and concentration : 1% BSA/TBST.

Performed under reducing conditions.

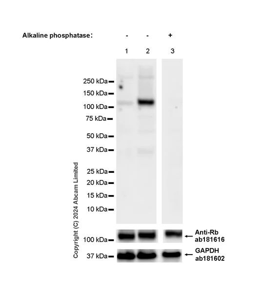
In Western blot, ab323846 was shown to bind specifically to Rb. Target of interest was observed at 106 kDa in Calyculin A treated wild-type HAP1 cell lysates (lane 2) with no signal observed at this size in Calyculin A treated Rb knockout cell line (lane 4).

Lanes 1-4 on the left untreated membrane with alkaline phosphatase; Lanes 1-4 on the right treated membrane with alkaline phosphatase.

In Western blot, Anti-GAPDH antibody [EPR16891] - Loading Control (ab181602) staining at 1/200000 dilution.

In Western blot, Anti-Rb antibody [EPR17512] - (ab181616) staining at 1/5000 dilution.

All lanes:

Western blot - Anti-Rb (phospho T821 + T826) antibody [EPR28648-126] (<a href='/en-us/products/primary-antibodies/rb-phospho-t821-t826-antibody-epr28648-126-ab323846'>ab323846</a>) at 1/1000 dilution

Lane 1:

Untreated Wild-type HAP1 (human chronic myelogenous leukemia near-haploid cell) whole cell lysate (left: untreated membrane with alkaline phosphatase) at 20 µg

Lane 1:

Untreated Wild-type HAP1 (human chronic myelogenous leukemia near-haploid cell) whole cell lysate (right: treated membrane with alkaline phosphatase) at 20 µg

Lane 2:

Wild-type HAP1 treated with 100ng/ml Calyculin A for 30min whole cell lysate (left: untreated membrane with alkaline phosphatase) at 20 µg

Lane 2:

Wild-type HAP1 treated with 100ng/ml Calyculin A for 30min whole cell lysate (right: treated membrane with alkaline phosphatase) at 20 µg

Lane 3:

Untreated Rb knockout HAP1 whole cell lysate (left: untreated membrane with alkaline phosphatase) at 20 µg

Lane 3:

Untreated Rb knockout HAP1 whole cell lysate (right: treated membrane with alkaline phosphatase) at 20 µg

Lane 4:

Rb knockout HAP1 treated with 100ng/ml Calyculin A for 30min whole cell lysate (left: untreated membrane with alkaline phosphatase) at 20 µg

Lane 4:

Rb knockout HAP1 treated with 100ng/ml Calyculin A for 30min whole cell lysate (right: treated membrane with alkaline phosphatase) at 20 µg

Secondary

All lanes:

Western blot - Goat Anti-Rabbit IgG H&L (HRP) (<a href='/en-us/products/secondary-antibodies/goat-rabbit-igg-h-l-hrp-ab97051'>ab97051</a>) at 1/20000 dilution

Observed band size: 106 kDa,36 kDa

false

Exposure time: 37s

Western blot - Anti-Rb antibody [EPR17512] (AB181616)
  • WB

Supplier Data

Western blot - Anti-Rb antibody [EPR17512] (AB181616)

Blocking and diluting buffer and concentration : 5% NFDM/TBST.

To minimize protein degradation, cells were lysed immediately after harvest and then applied to a gel and transfer membrane for Western blotting as soon as possible.

In Western blot, Anti-GAPDH antibody [EPR16891] - Loading Control (ab181602) staining at 1/200000 dilution.

In Western blot, Anti-Rb antibody [EPR17512-291] (ab181616) staining at 1/1000 dilution.

All lanes:

Western blot - Anti-Rb (phospho S795) antibody [EPR28156-6] (<a href='/en-us/products/primary-antibodies/rb-phospho-s795-antibody-epr28156-6-ab321974'>ab321974</a>) at 1/1000 dilution

Lane 1:

Jurkat (human T cell leukemia T lymphocyte from peripheral blood) serum starvation for 48h, whole cell lysate (untreated membrane) at 50 µg

Lane 2:

Jurkat serum starvation for 48h, then treated with 10% FBS for 20h, whole cell lysate (untreated membrane) at 50 µg

Lane 3:

Jurkat serum starvation for 48h, then treated with 10% FBS for 20h, whole cell lysate (alkaline phosphatase treated membrane) at 50 µg

Secondary

All lanes:

Western blot - Goat Anti-Rabbit IgG H&L (HRP) (<a href='/en-us/products/secondary-antibodies/goat-rabbit-igg-h-l-hrp-ab97051'>ab97051</a>) at 1/20000 dilution

Observed band size: 106 kDa,36 kDa

false

Exposure time: 15s

Western blot - Anti-Rb antibody [EPR17512] (AB181616)
  • WB

Supplier Data

Western blot - Anti-Rb antibody [EPR17512] (AB181616)

Blocking/Dilution buffer : 5% NFDM/TBST.

The lysates were all prepared using 1%SDS Hot lysis method.

All lanes:

Western blot - Anti-Rb antibody [EPR17512] (ab181616) at 1/10000 dilution

Lane 1:

F9 (Mouse embyro testicular cancer cell line) whole cell lysate at 10 µg

Lane 2:

Mouse brain lysate at 10 µg

Lane 3:

Mouse lung lysate at 10 µg

Secondary

All lanes:

Goat Anti-Rabbit IgG, (H+L),Peroxidase conjugated at 1/1000 dilution

Predicted band size: 106 kDa

Observed band size: 105 kDa

false

Exposure time: 1min

Western blot - Anti-Rb antibody [EPR17512] (AB181616)
  • WB

Supplier Data

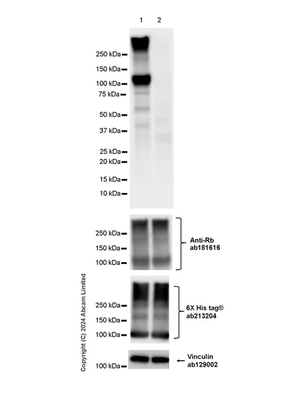
Western blot - Anti-Rb antibody [EPR17512] (AB181616)

Blocking and diluting buffer and concentration : 5% NFDM/TBST.

In Western blot, Anti-6X His tag® antibody [EPR20547] - ChIP Grade (ab213204) staining at 1/5000 dilution.

In Western blot, Anti-Vinculin antibody [EPR8185] (ab129002) staining at 1/10000 dilution.

In Western blot, Anti-Rb antibody [EPR17512-291] (ab181616) staining at 1/1000 dilution.

All lanes:

Western blot - Anti-Rb (phospho S795) antibody [EPR28156-6] (<a href='/en-us/products/primary-antibodies/rb-phospho-s795-antibody-epr28156-6-ab321974'>ab321974</a>) at 1/1000 dilution

Lane 1:

293T cells transfected with a human Rb expression vector containing a His-tag, whole cell lysate at 20 µg

Lane 2:

293T cells transfected with a human Rb (S795A mutation) expression vector containing a His-tag, whole cell lysate at 20 µg

Secondary

All lanes:

Western blot - Goat Anti-Rabbit IgG H&L (HRP) (<a href='/en-us/products/secondary-antibodies/goat-rabbit-igg-h-l-hrp-ab97051'>ab97051</a>) at 1/20000 dilution

Observed band size: 106 kDa,124 kDa

false

Exposure time: 1s

Western blot - Anti-Rb antibody [EPR17512] (AB181616)
  • WB

Supplier Data

Western blot - Anti-Rb antibody [EPR17512] (AB181616)

Blocking and diluting buffer and concentration : 5% NFDM/TBST. In Western blot, Anti-GAPDH antibody [EPR16891] - Loading Control (ab181602) staining at 1/200000 dilution. In Western blot, Anti-Rb antibody [EPR17512] (ab181616) staining at 1/1000 dilution. In Western blot, Anti-6X His tag® antibody [EPR20547] - ChIP Grade (ab213204) staining at 1/5000 dilution.

All lanes:

Western blot - Anti-Rb (phospho T252 + T356 + S608 + S780 + S807) antibody [RM1144] (<a href='/en-us/products/primary-antibodies/rb-phospho-t252-t356-s608-s780-s807-antibody-rm1144-ab320747'>ab320747</a>) at 1/1000 dilution

Lane 1:

293T cells transfected with an empty vector containing a myc-his tag, whole cell lysate at 20 µg

Lane 2:

293T cells transfected with a human Rb1 expression vector containing a myc-his-tag, whole cell lysate at 2 µg

Lane 3:

293T cells transfected with a human Rb1(T252A, T56A, S608A, S780A, S807A) expression vector containing a myc-his-tag, whole cell lysate at 40 µg

Secondary

All lanes:

Western blot - Goat Anti-Rabbit IgG H&L (HRP) (<a href='/en-us/products/secondary-antibodies/goat-rabbit-igg-h-l-hrp-ab97051'>ab97051</a>) at 1/100000 dilution

Observed band size: 110 kDa,36 kDa

false

Exposure time: 15s

Key facts

Host species

Rabbit

Clonality

Monoclonal

Clone number

EPR17512

Isotype

IgG

Carrier free

No

Reacts with

Mouse, Human, African green monkey

Applications

IHC-P, Flow Cyt (Intra), ICC/IF, WB, IP

applications

Immunogen

The exact immunogen used to generate this antibody is proprietary information.

Reactivity data

{ "title": "Reactivity Data", "filters": { "stats": ["", "Species", "Dilution Info", "Notes"], "tabs": { "all-applications": {"fullname" : "All Applications", "shortname": "All Applications"}, "IP" : {"fullname" : "Immunoprecipitation", "shortname":"IP"}, "WB" : {"fullname" : "Western blot", "shortname":"WB"}, "ICCIF" : {"fullname" : "Immunocytochemistry/ Immunofluorescence", "shortname":"ICC/IF"}, "FlowCytIntra" : {"fullname" : "Flow Cytometry (Intracellular)", "shortname":"Flow Cyt (Intra)"}, "IHCP" : {"fullname" : "Immunohistochemistry (Formalin/PFA-fixed paraffin-embedded sections)", "shortname":"IHC-P"} }, "product-promise": { "all": "all", "testedAndGuaranteed": "tested", "guaranteed": "expected", "predicted": "predicted", "notRecommended": "not-recommended" } }, "values": { "Human": { "IP-species-checked": "testedAndGuaranteed", "IP-species-dilution-info": "1/80", "IP-species-notes": "<p></p>", "WB-species-checked": "testedAndGuaranteed", "WB-species-dilution-info": "1/2000", "WB-species-notes": "<p>For Lysate preparation protocol, please refer to the protocol book in the protocol section and/or <a href=\"../../technical-resources/protocols/lysate-preparation-for-western-blot\" tabindex=\"-1\">here.</a></p>", "ICCIF-species-checked": "testedAndGuaranteed", "ICCIF-species-dilution-info": "1/500", "ICCIF-species-notes": "<p></p>", "FlowCytIntra-species-checked": "testedAndGuaranteed", "FlowCytIntra-species-dilution-info": "", "FlowCytIntra-species-notes": "<p></p>", "IHCP-species-checked": "testedAndGuaranteed", "IHCP-species-dilution-info": "1/1000", "IHCP-species-notes": "<p></p> Perform heat-mediated antigen retrieval with Tris/EDTA buffer pH 9.0 before commencing with IHC staining protocol." }, "Mouse": { "IP-species-checked": "guaranteed", "IP-species-dilution-info": "", "IP-species-notes": "", "WB-species-checked": "testedAndGuaranteed", "WB-species-dilution-info": "1/2000", "WB-species-notes": "<p>For Lysate preparation protocol, please refer to the protocol book in the protocol section and/or <a href=\"../../technical-resources/protocols/lysate-preparation-for-western-blot\" tabindex=\"-1\">here.</a></p>", "ICCIF-species-checked": "guaranteed", "ICCIF-species-dilution-info": "", "ICCIF-species-notes": "", "FlowCytIntra-species-checked": "guaranteed", "FlowCytIntra-species-dilution-info": "", "FlowCytIntra-species-notes": "", "IHCP-species-checked": "testedAndGuaranteed", "IHCP-species-dilution-info": "1/1000", "IHCP-species-notes": "<p></p> Perform heat-mediated antigen retrieval with Tris/EDTA buffer pH 9.0 before commencing with IHC staining protocol." }, "African green monkey": { "IP-species-checked": "guaranteed", "IP-species-dilution-info": "", "IP-species-notes": "", "WB-species-checked": "testedAndGuaranteed", "WB-species-dilution-info": "1/2000", "WB-species-notes": "<p>For Lysate preparation protocol, please refer to the protocol book in the protocol section and/or <a href=\"../../technical-resources/protocols/lysate-preparation-for-western-blot\" tabindex=\"-1\">here.</a></p>", "ICCIF-species-checked": "guaranteed", "ICCIF-species-dilution-info": "", "ICCIF-species-notes": "", "FlowCytIntra-species-checked": "guaranteed", "FlowCytIntra-species-dilution-info": "", "FlowCytIntra-species-notes": "", "IHCP-species-checked": "guaranteed", "IHCP-species-dilution-info": "", "IHCP-species-notes": "" } } }

Product details

Product Specifications
Anti-Rb antibody [EPR17512] (ab181616) was developed by Abcam using patented rabbit monoclonal antibody technology and is validated for use in Flow Cyt (Intra), ICC/IF, IHC-P, IP, WB in african green monkey, human, mouse samples.
Anti-Rb antibody [EPR17512] (ab181616) specifically detects Rb (UniProt ID: P13405; Molecular weight: 105kDa) and is sold in a convenient trial size to enable initial testing (20 µL) and larger sizes for subsequent scaling up experiments (100 µL and 1 mL).

Quality and Validation
Abcam's high quality manufacturing and validation processes ensure Anti-Rb antibody [EPR17512] (ab181616) has high sensitivity and specificity alongside high lot-to-lot consistency and reproducibility.
The specificity of Anti-Rb antibody [EPR17512] (ab181616) has been confirmed by testing in knockout samples.
Anti-Rb antibody [EPR17512] (ab181616) has been cited over 83 times in peer reviewed journals and is trusted by the scientific community.

Related Products
Antibody clone EPR17512 is also available pre-conjugated to a variety of labels for your convenience - Alexa Fluor® 647, Alexa Fluor® 594, Alexa Fluor® 488, Alexa Fluor® 555 (ab300158, ab300670, ab300671, ab300672).

Patented technology
Our RabMAb® technology is a patented hybridoma-based technology for making rabbit monoclonal antibodies. For details on our patents, please refer to RabMAb® patents.

What are the advantages of a recombinant monoclonal antibody?
This product is a recombinant monoclonal antibody, which offers several advantages including:

  • - High batch-to-batch consistency and reproducibility
  • - Improved sensitivity and specificity
  • - Long-term security of supply
  • - Animal-free batch production

For more information, read more on recombinant antibodies.

Properties and storage information

Form
Liquid
Purification technique
Affinity purification Protein A
Storage buffer
Preservative: 0.01% Sodium azide Constituents: PBS, 40% Glycerol (glycerin, glycerine), 0.05% BSA
Shipped at conditions
Blue Ice
Appropriate short-term storage duration
1-2 weeks
Appropriate short-term storage conditions
+4°C
Appropriate long-term storage conditions
-20°C
Aliquoting information
Upon delivery aliquot
Storage information
Avoid freeze / thaw cycle

Supplementary information

This supplementary information is collated from multiple sources and compiled automatically.

Retinoblastoma protein (Rb) also known as pRb is an important regulatory protein with a molecular weight of approximately 110 kDa. It is mainly expressed in the nucleus of cells. Rb functions as a tumor suppressor by controlling the cell cycle progression from G1 to S phase. Rb becomes active when it is dephosphorylated allowing it to bind and inhibit E2F transcription factors consequently preventing the transcription of genes essential for S phase entry.
Biological function summary

Retinoblastoma protein influences cellular proliferation differentiation and apoptosis. It acts within a larger protein complex modulating various cellular responses. When functional Rb halts uncontrolled cell division important for maintaining normal tissue homeostasis. In its phosphorylated state known as phospho-Rb or phospho-Rb E182 it loses its regulatory capabilities which can lead to unrestrained cell cycle progression.

Pathways

Several involve the retinoblastoma protein. One key pathway is the p53 pathway which Rb interacts with to influence cellular outcomes like cell-cycle arrest and apoptosis. Rb cooperates with proteins like p21 to implement these processes. Additionally it is involved in the cyclin D-dependent kinase 4 (CDK4) pathway which modulates its phosphorylation state influencing binding interactions and cell cycle control.

Dysregulation of retinoblastoma protein is commonly associated with cancer particularly retinoblastoma and breast cancer. In retinoblastoma mutations in the Rb gene directly lead to uncontrolled cell proliferation due to the absence of functional Rb protein. Additionally Rb's connection to the E2F family of transcription factors can become disrupted contributing to oncogenesis in other cancers.

Product protocols

For this product, it's our understanding that no specific protocols are required. You can visit:

Target data

Tumor suppressor that is a key regulator of the G1/S transition of the cell cycle (PubMed : 10499802). The hypophosphorylated form binds transcription regulators of the E2F family, preventing transcription of E2F-responsive genes (PubMed : 10499802). Both physically blocks E2Fs transactivating domain and recruits chromatin-modifying enzymes that actively repress transcription (PubMed : 10499802). Cyclin and CDK-dependent phosphorylation of RB1 induces its dissociation from E2Fs, thereby activating transcription of E2F responsive genes and triggering entry into S phase (PubMed : 10499802). RB1 also promotes the G0-G1 transition upon phosphorylation and activation by CDK3/cyclin-C (PubMed : 15084261). Directly involved in heterochromatin formation by maintaining overall chromatin structure and, in particular, that of constitutive heterochromatin by stabilizing histone methylation. Recruits and targets histone methyltransferases SUV39H1, KMT5B and KMT5C, leading to epigenetic transcriptional repression. Controls histone H4 'Lys-20' trimethylation. Inhibits the intrinsic kinase activity of TAF1. Mediates transcriptional repression by SMARCA4/BRG1 by recruiting a histone deacetylase (HDAC) complex to the c-FOS promoter. In resting neurons, transcription of the c-FOS promoter is inhibited by BRG1-dependent recruitment of a phospho-RB1-HDAC1 repressor complex. Upon calcium influx, RB1 is dephosphorylated by calcineurin, which leads to release of the repressor complex (By similarity).. (Microbial infection) In case of viral infections, interactions with SV40 large T antigen, HPV E7 protein or adenovirus E1A protein induce the disassembly of RB1-E2F1 complex thereby disrupting RB1's activity.
See full target information RB1

Publications (107)

Recent publications for all applications. Explore the full list and refine your search

Evolution, medicine, and public health 13:281-290 PubMed41069959

2025

Dual targeting of conserved cell cycle and transcription programs in advanced colorectal cancer by fadraciclib.

Applications

Unspecified application

Species

Unspecified reactive species

Mohammad Zokaasadi,Wylie K Watlington,Divya L Dayanidhi,John B Mantyh,Gabrielle Rupprecht,Shannon McCall,David G Blake,Jason A Somarelli,David S Hsu

NPJ precision oncology 9:255 PubMed40707718

2025

LINE1 insertion into the NACC2 locus disrupts the HDM2 axis and activates lung oncogenic signaling.

Applications

Unspecified application

Species

Unspecified reactive species

Pasano Bojang,Yingshan Wang,Kenneth S Ramos

Scientific reports 15:25074 PubMed40646080

2025

Establishment and rescue of fibroblast cell lines carrying a nonsense mutation of RB1 by CRISPR-based base editing.

Applications

Unspecified application

Species

Unspecified reactive species

Youngri Jung,Eunhee Seo,Soyeon Yang,Sangsu Bae,Jeong Hun Kim,Hyeon-Ki Jang,Dong Hyun Jo

Proceedings of the National Academy of Sciences of the United States of America 122:e2426909122 PubMed40504161

2025

Defining CDK12 as a tumor suppressor and therapeutic target in mouse models of tubo-ovarian high-grade serous carcinoma.

Applications

Unspecified application

Species

Unspecified reactive species

Jean Ching-Yi Tien,Yali Zhai,Rong Wu,Yuping Zhang,Yu Chang,Yunhui Cheng,Abigail J Todd,Christina E Wheeler,Shuqin Li,Rahul Mannan,Caleb Cheng,Brian Magnuson,Gabriel Cruz,Yizhi Cao,Somnath Mahapatra,Carmine Stolfi,Xuhong Cao,Fengyun Su,Rui Wang,Jianzhang Yang,Licheng Zhou,Yuanyuan Qiao,Lanbo Xiao,Marcin Cieslik,Xiaoju Wang,Zhen Wang,Jonathan Chou,Eric R Fearon,Ke Ding,Kathleen R Cho,Arul M Chinnaiyan

Neoplasia (New York, N.Y.) 66:101179 PubMed40409044

2025

Twist1-induced suppression of oncogene-induced senescence in non-small cell lung cancer requires the transactivation domain of Twist1.

Applications

Unspecified application

Species

Unspecified reactive species

Audrey Lafargue,Hailun Wang,Sivarajan T Chettiar,Rajendra P Gajula,Amol C Shetty,Yang Song,Brian W Simons,Muhammad Ajmal Khan,Triet Nguyen,Hwai-Wei Tseng,Jinhee Chang,Danielle N Waters,Aaron Chan,Christine Lam,Francesca A Carrieri,Caleb Smack,Nick Connis,Dipanwita Dutta Chowdhury,Katriana Nugent,Ismaeel Siddiqui,Kekoa Taparra,Mohammad Rezaee,Natasha Zachara,Zachary S Morris,Christopher McFarland,Sarki Abba Abdulkadir,Christine L Hann,Phuoc T Tran

Cellular oncology (Dordrecht, Netherlands) 48:815-834 PubMed40327295

2025

High extracellular matrix stiffness upregulates TNNT1 to awaken dormant tumor cells in liver metastatic niches of gastric cancer.

Applications

Unspecified application

Species

Unspecified reactive species

Linhua Ji,Jie Peng,Yuxuan Lin,Yiqing Zhong,Bo Ni,Chunchao Zhu,Zizhen Zhang

Journal of cellular and molecular medicine 29:e70384 PubMed40070134

2025

Increasing RB1 Expression by Targeting EZH2 in Triple-Negative Breast Cancer.

Applications

Unspecified application

Species

Unspecified reactive species

Renfei Yang,Liyan Fei,Yingfei Xue,Yu Zhang,Qian Hu,Lu Guo,Yong Wei,Qin Wu

Nature communications 16:1736 PubMed39966385

2025

A glucose-enriched lung pre-metastatic niche triggered by matrix stiffness-tuned exosomal miRNAs in hepatocellular carcinoma.

Applications

Unspecified application

Species

Unspecified reactive species

Yingying Zhao,Hongmei Yu,Jiajun Li,Jiali Qian,Miao Li,Xi Zhang,Mimi Wang,Yaohui Wang,Yinying Dong,Yang You,Qiwen Zhou,Dongmei Gao,Yan Zhao,Binbin Liu,Rongxin Chen,Zhenggang Ren,Zhiming Wang,Kezhi Zhang,Jiefeng Cui

Molecular and clinical oncology 21:91 PubMed39421232

2024

Potential neuroendocrine differentiation in poorly differentiated colorectal adenocarcinoma: A hidden trait?

Applications

Unspecified application

Species

Unspecified reactive species

Yuhan Rong,Ikuma Kato,Naoki Okubo,Sho Tsuyuki,Eriko Katsuta,Noritoshi Kobayashi,Kazuya Nakagawa,Mayumi Ozawa,Jun Watanabe,Atsushi Ishibe,Shoji Yamanaka,Satoshi Fujii,Itaru Endo,Yasushi Ichikawa

iScience 27:110882 PubMed39351198

2024

P16 drives RB1 degradation by UTP14A-catalyzed K810 ubiquitination.

Applications

Unspecified application

Species

Unspecified reactive species

Wenjie Weng,Baozhen Zhang,Dajun Deng
View all publications
websiteProtocolBooklet
en

Product promise

We are committed to supporting your work with high-quality reagents, and we're here for you every step of the way. In the unlikely event that one of our products does not perform as expected, you're protected by our Product Promise.
For full details, please see our Terms & Conditions

Please note: All products are 'FOR RESEARCH USE ONLY. NOT FOR USE IN DIAGNOSTIC OR THERAPEUTIC PROCEDURES'.

For licensing inquiries, please contact partnerships@abcam.com