JavaScript is disabled in your browser. Please enable JavaScript to view this website.
AB218526

Anti-Rb antibody [EPR17512] - BSA and Azide free

Be the first to review this product! Submit a review

|

(2 Publications)

Rabbit Recombinant Monoclonal RB antibody. Carrier free. Suitable for IP, WB, ICC/IF, Flow Cyt (Intra), IHC-P and reacts with Human, African green monkey, Mouse samples. Cited in 2 publications.

View Alternative Names

Retinoblastoma-associated protein, p105-Rb, p110-RB1, pRb, pp110, Rb, RB1

9 Images
Western blot - Anti-Rb antibody [EPR17512] - BSA and Azide free (AB218526)
  • WB

Lab

Western blot - Anti-Rb antibody [EPR17512] - BSA and Azide free (AB218526)

This data was developed using the same antibody clone in a different buffer formulation (abAB181616).

Western blot : Anti-RB1 antibody [EPR17512] (ab181616) staining at 1/1000 dilution, shown in green; Mouse anti-Alpha Tubulin [DM1A] (ab7291) loading control staining at 1/20000 dilution, shown in magenta. In Western blot, ab181616 was shown to bind specifically to RB1. A band was observed at 106 kDa in wild-type A549 cell lysates with no signal observed at this size in RB1 knockout cell line. To generate this image, wild-type and RB1 knockout A549 cell lysates were analysed. First, samples were run on an SDS-PAGE gel then transferred onto a nitrocellulose membrane. Membranes were blocked in 5 % milk in TBS-0.1 % Tween® 20 (TBS-T) before incubation with primary antibodies overnight at 4 °C. Blots were washed four times in TBS-T, incubated with secondary antibodies for 1 h at room temperature, washed again four times then imaged. Secondary antibodies used were Goat anti-Rabbit IgG H&L 800CW and Goat anti-Mouse IgG H&L 680RD at 1/20000 dilution.

All lanes:

Western blot - Anti-Rb antibody [EPR17512] (<a href='/en-us/products/primary-antibodies/rb-antibody-epr17512-ab181616'>ab181616</a>) at 1/1000 dilution

Lane 1:

Wild-type A549 cell lysate at 40 µg

Lanes 2 - 3:

RB1 knockout A549 cell lysate at 40 µg

Lanes 4 - 5:

HeLa cell lysate at 20 µg

Lane 6:

Wild-type HAP1 cell lysate at 20 µg

Lane 7:

RB1 knockout HAP1 cell lysate at 20 µg

Secondary

All lanes:

Goat anti-Rabbit IgG H&L 800CW and Goat anti-Mouse IgG H&L 680RD at 1/20000 dilution

Observed band size: 106 kDa

false

Western blot - Anti-Rb antibody [EPR17512] - BSA and Azide free (AB218526)
  • WB

Lab

Western blot - Anti-Rb antibody [EPR17512] - BSA and Azide free (AB218526)

This data was developed using the same antibody clone in a different buffer formulation (ab181616).

Western blot : Rabbit monoclonal [EPR17512] to Rb ab181616 staining at 1/1000 dilution, shown in green; Mouse anti alpha Tubulin (ab7291) loading control staining at 1/20,000 dilution, shown in magenta. A band was observed at 106 kDa in Wild-type HCT 116 cell lysates with no signal observed at this size in RB1 knockout HCT 116 cell line. To generate this image, samples were run on an SDS-PAGE gel then transferred onto a nitrocellulose membrane. Membranes were blocked in 5 % Milk in TBS-0.1 % Tween® 20 (TBS-T) before incubation with primary antibodies overnight at 4 °C. Blots were washed four times in TBS-T, incubated with secondary antibodies for 1 h at room temperature, washed again four times then imaged. Secondary antibodies used were Goat anti-Rabbit 800CW & Goat anti-Mouse 680RD at 1/20,000 dilution.

All lanes:

Western blot - Anti-Rb antibody [EPR17512] (<a href='/en-us/products/primary-antibodies/rb-antibody-epr17512-ab181616'>ab181616</a>) at 1/1000 dilution

Lane 1:

Wild-type HCT 116 at 20 µg

Lane 2:

Western blot - Human RB1 knockout HCT116 cell line (<a href='/en-us/products/cell-lines/human-rb1-knockout-hct116-cell-line-ab286657'>ab286657</a>) at 20 µg

Lane 3:

Wild-type A549 ab288558 at 20 µg

Lane 4:

Western blot - Human RB1 knockout A549 cell line (<a href='/en-us/products/cell-lines/human-rb1-knockout-a549-cell-line-ab286470'>ab286470</a>) at 20 µg

Lane 5:

HEK-293 at 20 µg

Secondary

All lanes:

Goat anti-Rabbit 800CW & Goat anti-Mouse 680RD at 1/20000 dilution

Predicted band size: 106 kDa

Observed band size: 106 kDa

false

Immunocytochemistry/ Immunofluorescence - Anti-Rb antibody [EPR17512] - BSA and Azide free (AB218526)
  • ICC/IF

Supplier Data

Immunocytochemistry/ Immunofluorescence - Anti-Rb antibody [EPR17512] - BSA and Azide free (AB218526)

Immunofluorescent analysis of 4% paraformaldehyde-fixed, 0.1% Triton X-100 permeabilized MCF7 (Human breast adenocarcinoma cell line) cells labeling Rb with ab181616 at 1/500 dilution, followed by Goat anti-rabbit IgG (Alexa Fluor® 488) (ab150077) secondary antibody at 1/500 dilution (green). Confocal image showing nuclear staining on MCF7 cells. The nuclear counter stain is DAPI (blue). Tubulin is detected with ab7291 (anti-Tubulin mouse mAb) at 1/1000 dilution and ab150120 (AlexaFluor®594 Goat anti-Mouse secondary) at 1/500 dilution (red).
The negative controls are as follows :
-ve control 1 : ab181616 at 1/500 dilution followed by ab150120 (AlexaFluor®594 Goat anti-Mouse secondary) at 1/500 dilution.
-ve control 2 : ab7291 (anti-Tubulin mouse mAb) at 1/1000 dilution followed by ab150077 (Alexa Fluor®488 Goat Anti-Rabbit IgG H&L) at 1/500 dilution.

This data was developed using the same antibody clone in a different buffer formulation containing PBS, BSA, glycerol, and sodium azide (ab181616).

Flow Cytometry (Intracellular) - Anti-Rb antibody [EPR17512] - BSA and Azide free (AB218526)
  • Flow Cyt (Intra)

Lab

Flow Cytometry (Intracellular) - Anti-Rb antibody [EPR17512] - BSA and Azide free (AB218526)

ab181616 staining Rb in the human cell line MCF-7 (human breast carcinoma) by intracellular flow cytometry. Cells were fixed with 4% paraformaldehyde, permeabilized with 90% methanol and the sample was incubated with the primary antibody at a dilution of 1/140. A goat anti rabbit IgG (Alexa Fluor® 488) at a dilution of 1/2000 was used as the secondary antibody.

Isoytype control : Rabbit monoclonal IgG (Black)

Unlabelled control : Cell without incubation with primary antibody and secondary antibody (Blue)

This data was developed using the same antibody clone in a different buffer formulation containing PBS, BSA, glycerol, and sodium azide (ab181616).

Immunohistochemistry (Formalin/PFA-fixed paraffin-embedded sections) - Anti-Rb antibody [EPR17512] - BSA and Azide free (AB218526)
  • IHC-P

Supplier Data

Immunohistochemistry (Formalin/PFA-fixed paraffin-embedded sections) - Anti-Rb antibody [EPR17512] - BSA and Azide free (AB218526)

Immunohistochemical analysis of paraffin-embedded Mouse lung tissue labeling Rb with ab181616 at 1/1000 dilution, followed by Goat Anti-Rabbit IgG H&L (HRP) (ab97051) secondary antibody at 1/500 dilution. Nuclear staining on mouse lung is observed. Counter stained with Hematoxylin.

Secondary antibody only control : Used PBS instead of primary antibody, secondary antibody is Goat Anti-Rabbit IgG H&L (HRP) (ab97051) at 1/500 dilution.

This data was developed using the same antibody clone in a different buffer formulation containing PBS, BSA, glycerol, and sodium azide (ab181616).

Perform heat mediated antigen retrieval with Tris/EDTA buffer pH 9.0 before commencing with IHC staining protocol.

Immunohistochemistry (Formalin/PFA-fixed paraffin-embedded sections) - Anti-Rb antibody [EPR17512] - BSA and Azide free (AB218526)
  • IHC-P

Supplier Data

Immunohistochemistry (Formalin/PFA-fixed paraffin-embedded sections) - Anti-Rb antibody [EPR17512] - BSA and Azide free (AB218526)

Immunohistochemical analysis of paraffin-embedded Mouse cerebral cortex tissue labeling Rb with ab181616 at 1/1000 dilution, followed by Goat Anti-Rabbit IgG H&L (HRP) (ab97051) secondary antibody at 1/500 dilution. Nuclear staining on neuron of mouse cerebral cortex is observed. Counter stained with Hematoxylin.

Secondary antibody only control : Used PBS instead of primary antibody, secondary antibody is Goat Anti-Rabbit IgG H&L (HRP) (ab97051) at 1/500 dilution.

This data was developed using the same antibody clone in a different buffer formulation containing PBS, BSA, glycerol, and sodium azide (ab181616).

Perform heat mediated antigen retrieval with Tris/EDTA buffer pH 9.0 before commencing with IHC staining protocol.

Immunohistochemistry (Formalin/PFA-fixed paraffin-embedded sections) - Anti-Rb antibody [EPR17512] - BSA and Azide free (AB218526)
  • IHC-P

Supplier Data

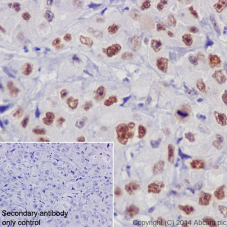
Immunohistochemistry (Formalin/PFA-fixed paraffin-embedded sections) - Anti-Rb antibody [EPR17512] - BSA and Azide free (AB218526)

Immunohistochemical analysis of paraffin-embedded Human breast cancer tissue labeling Rb with ab181616 at 1/1000 dilution, followed by Goat Anti-Rabbit IgG H&L (HRP) (ab97051) secondary antibody at 1/500 dilution. Nuclear staining on cancer cells of Human breast cancer is observed. Counter stained with Hematoxylin.

Secondary antibody only control : Used PBS instead of primary antibody, secondary antibody is Goat Anti-Rabbit IgG H&L (HRP) (ab97051) at 1/500 dilution.

This data was developed using the same antibody clone in a different buffer formulation containing PBS, BSA, glycerol, and sodium azide (ab181616).

Perform heat mediated antigen retrieval with Tris/EDTA buffer pH 9.0 before commencing with IHC staining protocol.

Immunohistochemistry (Formalin/PFA-fixed paraffin-embedded sections) - Anti-Rb antibody [EPR17512] - BSA and Azide free (AB218526)
  • IHC-P

Supplier Data

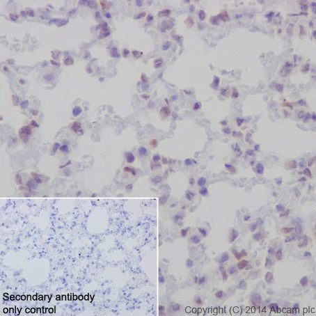
Immunohistochemistry (Formalin/PFA-fixed paraffin-embedded sections) - Anti-Rb antibody [EPR17512] - BSA and Azide free (AB218526)

Immunohistochemical analysis of paraffin-embedded Human lung tissue labeling Rb with ab181616 at 1/1000 dilution, followed by Goat Anti-Rabbit IgG H&L (HRP) (ab97051) secondary antibody at 1/500 dilution. Nuclear staining on Human lung is observed. Counter stained with Hematoxylin.

Secondary antibody only control : Used PBS instead of primary antibody, secondary antibody is Goat Anti-Rabbit IgG H&L (HRP) (ab97051) at 1/500 dilution.

This data was developed using the same antibody clone in a different buffer formulation containing PBS, BSA, glycerol, and sodium azide (ab181616).

Perform heat mediated antigen retrieval with Tris/EDTA buffer pH 9.0 before commencing with IHC staining protocol.

Immunoprecipitation - Anti-Rb antibody [EPR17512] - BSA and Azide free (AB218526)
  • IP

Supplier Data

Immunoprecipitation - Anti-Rb antibody [EPR17512] - BSA and Azide free (AB218526)

Rb was immunoprecipitated from 1mg of MCF7 (Human breast adenocarcinoma cell line) whole cell lysate with ab181616 at 1/80 dilution. Western blot was performed from the immunoprecipitate using ab181616 at 1/1000 dilution. Anti-Rabbit IgG (HRP), specific to the non-reduced form of IgG, was used as secondary antibody at 1/1500 dilution.

Lane 1 : MCF7 whole cell lysate 10 µg (Input). Lane 2 : ab181616 IP in MCF7 whole cell lysate. Lane 3 : Rabbit monoclonal IgG (ab172730) instead of ab181616 in MCF7 whole cell lysate.
Blocking and dilution buffer and concentration : 5% NFDM/TBST.

This data was developed using the same antibody clone in a different buffer formulation containing PBS, BSA, glycerol, and sodium azide (ab181616).

All lanes:

Immunoprecipitation - Anti-Rb antibody [EPR17512] (<a href='/en-us/products/primary-antibodies/rb-antibody-epr17512-ab181616'>ab181616</a>)

Predicted band size: 106 kDa

false

Exposure time: 8s

Key facts

Host species

Rabbit

Clonality

Monoclonal

Clone number

EPR17512

Isotype

IgG

Carrier free

Yes

Reacts with

Mouse, Human, African green monkey

Applications

IHC-P, Flow Cyt (Intra), ICC/IF, IP, WB

applications

Immunogen

The exact immunogen used to generate this antibody is proprietary information.

Reactivity data

{ "title": "Reactivity Data", "filters": { "stats": ["", "Species", "Dilution Info", "Notes"], "tabs": { "all-applications": {"fullname" : "All Applications", "shortname": "All Applications"}, "IP" : {"fullname" : "Immunoprecipitation", "shortname":"IP"}, "WB" : {"fullname" : "Western blot", "shortname":"WB"}, "ICCIF" : {"fullname" : "Immunocytochemistry/ Immunofluorescence", "shortname":"ICC/IF"}, "FlowCytIntra" : {"fullname" : "Flow Cytometry (Intracellular)", "shortname":"Flow Cyt (Intra)"}, "IHCP" : {"fullname" : "Immunohistochemistry (Formalin/PFA-fixed paraffin-embedded sections)", "shortname":"IHC-P"} }, "product-promise": { "all": "all", "testedAndGuaranteed": "tested", "guaranteed": "expected", "predicted": "predicted", "notRecommended": "not-recommended" } }, "values": { "Human": { "IP-species-checked": "testedAndGuaranteed", "IP-species-dilution-info": "", "IP-species-notes": "<p></p> Perform heat-mediated antigen retrieval with Tris/EDTA buffer pH 9.0 before commencing with IHC staining protocol.", "WB-species-checked": "testedAndGuaranteed", "WB-species-dilution-info": "", "WB-species-notes": "<p></p>", "ICCIF-species-checked": "testedAndGuaranteed", "ICCIF-species-dilution-info": "", "ICCIF-species-notes": "<p></p>", "FlowCytIntra-species-checked": "testedAndGuaranteed", "FlowCytIntra-species-dilution-info": "", "FlowCytIntra-species-notes": "<p></p>", "IHCP-species-checked": "testedAndGuaranteed", "IHCP-species-dilution-info": "", "IHCP-species-notes": "<p></p> Perform heat-mediated antigen retrieval with Tris/EDTA buffer pH 9.0 before commencing with IHC staining protocol." }, "Mouse": { "IP-species-checked": "predicted", "IP-species-dilution-info": "", "IP-species-notes": "", "WB-species-checked": "guaranteed", "WB-species-dilution-info": "", "WB-species-notes": "<p></p>", "ICCIF-species-checked": "predicted", "ICCIF-species-dilution-info": "", "ICCIF-species-notes": "", "FlowCytIntra-species-checked": "predicted", "FlowCytIntra-species-dilution-info": "", "FlowCytIntra-species-notes": "", "IHCP-species-checked": "predicted", "IHCP-species-dilution-info": "", "IHCP-species-notes": "" }, "African green monkey": { "IP-species-checked": "guaranteed", "IP-species-dilution-info": "", "IP-species-notes": "", "WB-species-checked": "testedAndGuaranteed", "WB-species-dilution-info": "", "WB-species-notes": "<p></p>", "ICCIF-species-checked": "guaranteed", "ICCIF-species-dilution-info": "", "ICCIF-species-notes": "", "FlowCytIntra-species-checked": "guaranteed", "FlowCytIntra-species-dilution-info": "", "FlowCytIntra-species-notes": "", "IHCP-species-checked": "guaranteed", "IHCP-species-dilution-info": "", "IHCP-species-notes": "" } } }

Product details

ab218526 is the carrier-free version of ab181616.

Patented technology
Our RabMAb® technology is a patented hybridoma-based technology for making rabbit monoclonal antibodies. For details on our patents, please refer to RabMAb® patents.

What are the advantages of a recombinant monoclonal antibody?
This product is a recombinant monoclonal antibody, which offers several advantages including:

  • - High batch-to-batch consistency and reproducibility
  • - Improved sensitivity and specificity
  • - Long-term security of supply
  • - Animal-free batch production

For more information, read more on recombinant antibodies.

Conjugation ready
Our carrier-free antibodies are typically supplied in a PBS-only formulation, purified and free of BSA, sodium azide and glycerol. This conjugation-ready format is designed for use with fluorochromes, metal isotopes, oligonucleotides, and enzymes, which makes them ideal for antibody labelling, functional and cell-based assays, flow-based assays (e.g. mass cytometry) and Multiplex Imaging applications.

Use our conjugation kits for antibody conjugates that are ready-to-use in as little as 20 minutes with 1 minute hands-on-time and 100% antibody recovery: available for fluorescent dyes, HRP, biotin and gold.

Compatibility
This product is compatible with the Maxpar® Antibody Labeling Kit from Fluidigm, without the need for antibody preparation. Maxpar® is a trademark of Fluidigm Canada Inc.

Properties and storage information

Form
Liquid
Purification technique
Affinity purification Protein A
Storage buffer
pH: 7.2 - 7.4 Constituents: PBS
Shipped at conditions
Blue Ice
Appropriate short-term storage conditions
+4°C
Appropriate long-term storage conditions
+4°C
Storage information
Do Not Freeze

Supplementary information

This supplementary information is collated from multiple sources and compiled automatically.

Retinoblastoma protein (Rb) also known as pRb is an important regulatory protein with a molecular weight of approximately 110 kDa. It is mainly expressed in the nucleus of cells. Rb functions as a tumor suppressor by controlling the cell cycle progression from G1 to S phase. Rb becomes active when it is dephosphorylated allowing it to bind and inhibit E2F transcription factors consequently preventing the transcription of genes essential for S phase entry.
Biological function summary

Retinoblastoma protein influences cellular proliferation differentiation and apoptosis. It acts within a larger protein complex modulating various cellular responses. When functional Rb halts uncontrolled cell division important for maintaining normal tissue homeostasis. In its phosphorylated state known as phospho-Rb or phospho-Rb E182 it loses its regulatory capabilities which can lead to unrestrained cell cycle progression.

Pathways

Several involve the retinoblastoma protein. One key pathway is the p53 pathway which Rb interacts with to influence cellular outcomes like cell-cycle arrest and apoptosis. Rb cooperates with proteins like p21 to implement these processes. Additionally it is involved in the cyclin D-dependent kinase 4 (CDK4) pathway which modulates its phosphorylation state influencing binding interactions and cell cycle control.

Dysregulation of retinoblastoma protein is commonly associated with cancer particularly retinoblastoma and breast cancer. In retinoblastoma mutations in the Rb gene directly lead to uncontrolled cell proliferation due to the absence of functional Rb protein. Additionally Rb's connection to the E2F family of transcription factors can become disrupted contributing to oncogenesis in other cancers.

Product protocols

For this product, it's our understanding that no specific protocols are required. You can visit:

Target data

Tumor suppressor that is a key regulator of the G1/S transition of the cell cycle (PubMed : 10499802). The hypophosphorylated form binds transcription regulators of the E2F family, preventing transcription of E2F-responsive genes (PubMed : 10499802). Both physically blocks E2Fs transactivating domain and recruits chromatin-modifying enzymes that actively repress transcription (PubMed : 10499802). Cyclin and CDK-dependent phosphorylation of RB1 induces its dissociation from E2Fs, thereby activating transcription of E2F responsive genes and triggering entry into S phase (PubMed : 10499802). RB1 also promotes the G0-G1 transition upon phosphorylation and activation by CDK3/cyclin-C (PubMed : 15084261). Directly involved in heterochromatin formation by maintaining overall chromatin structure and, in particular, that of constitutive heterochromatin by stabilizing histone methylation. Recruits and targets histone methyltransferases SUV39H1, KMT5B and KMT5C, leading to epigenetic transcriptional repression. Controls histone H4 'Lys-20' trimethylation. Inhibits the intrinsic kinase activity of TAF1. Mediates transcriptional repression by SMARCA4/BRG1 by recruiting a histone deacetylase (HDAC) complex to the c-FOS promoter. In resting neurons, transcription of the c-FOS promoter is inhibited by BRG1-dependent recruitment of a phospho-RB1-HDAC1 repressor complex. Upon calcium influx, RB1 is dephosphorylated by calcineurin, which leads to release of the repressor complex (By similarity).. (Microbial infection) In case of viral infections, interactions with SV40 large T antigen, HPV E7 protein or adenovirus E1A protein induce the disassembly of RB1-E2F1 complex thereby disrupting RB1's activity.
See full target information RB1

Publications (2)

Recent publications for all applications. Explore the full list and refine your search

Cancer cell international 20:202 PubMed32514247

2020

Circular RNA circ-CSPP1 regulates CCNE2 to facilitate hepatocellular carcinoma cell growth via sponging miR-577.

Applications

Unspecified application

Species

Unspecified reactive species

Qian Sun,Rui Yu,Chunfeng Wang,Jianning Yao,Lianfeng Zhang

Cell biochemistry and function 38:660-668 PubMed32207169

2020

TSPAN31 suppresses cell proliferation in human cervical cancer through down-regulation of its antisense pairing with CDK4.

Applications

Unspecified application

Species

Unspecified reactive species

Yingjie Xia,Yuanfei Deng,Yuting Zhou,Dan Li,Xuemeng Sun,Lei Gu,Zipeng Chen,Qing Zhao
View all publications

Product promise

We are committed to supporting your work with high-quality reagents, and we're here for you every step of the way. In the unlikely event that one of our products does not perform as expected, you're protected by our Product Promise.
For full details, please see our Terms & Conditions

Associated Products

Select an associated product type
Alternative Product
Primary Antibodies

AB218505

Anti-Rb antibody [SPM353]

primary-antibodies

rb-antibody-spm353-ab218505

0

(0 reviews)

Alternative Product
Primary Antibodies

AB218506

Anti-Rb antibody [RB1/1754]

primary-antibodies

rb-antibody-rb1-1754-ab218506

0

(0 reviews)

Alternative Product
Primary Antibodies

AB47474

Anti-Rb (phospho S795) antibody

primary-antibodies

rb-phospho-s795-antibody-ab47474

4

(2 reviews)

Alternative Product
Primary Antibodies

AB47763

Anti-Rb (phospho S780) antibody

primary-antibodies

rb-phospho-s780-antibody-ab47763

5

(2 reviews)

Alternative Product
Primary Antibodies

AB131264

Anti-Rb (phospho S780) antibody

primary-antibodies

rb-phospho-s780-antibody-ab131264

0

(0 reviews)

Alternative Product
Primary Antibodies

AB263969

Anti-Rb (methyl K860) antibody

primary-antibodies

rb-methyl-k860-antibody-ab263969

0

(0 reviews)

Alternative Product
Primary Antibodies

AB4787

Anti-Rb (phospho T821) antibody

primary-antibodies

rb-phospho-t821-antibody-ab4787

4

(1 reviews)

Alternative Product
Primary Antibodies

AB277935

Alexa Fluor® 594 Anti-Rb (phospho S807) antibody [EPR17732]

primary-antibodies

alexa-fluor-594-rb-phospho-s807-antibody-epr17732-ab277935

0

(0 reviews)

Alternative Product
Primary Antibodies

AB214949

Alexa Fluor® 488 Anti-Rb (phospho S807) antibody [EPR17732]

primary-antibodies

alexa-fluor-488-rb-phospho-s807-antibody-epr17732-ab214949

0

(0 reviews)

Alternative Product
Primary Antibodies

AB184797

Anti-Rb (phospho T252) antibody [EPR17733]

primary-antibodies

rb-phospho-t252-antibody-epr17733-ab184797

5

(1 reviews)

Alternative Product
Primary Antibodies

AB133446

Anti-Rb (phospho T826) antibody [EPR5351]

primary-antibodies

rb-phospho-t826-antibody-epr5351-ab133446

0

(0 reviews)

Alternative Product
Primary Antibodies

AB76298

Anti-Rb (phospho T356) antibody [EPR2153AY]

primary-antibodies

rb-phospho-t356-antibody-epr2153ay-ab76298

0

(0 reviews)

Alternative Product
Primary Antibodies

AB172975

Anti-Rb (phospho S608) antibody [EPR10849]

primary-antibodies

rb-phospho-s608-antibody-epr10849-ab172975

0

(0 reviews)

Alternative Product
Primary Antibodies

AB173289

Anti-Rb (phospho S780) antibody [EPR182(N)]

primary-antibodies

rb-phospho-s780-antibody-epr182n-ab173289

5

(1 reviews)

Alternative Product
Primary Antibodies

AB215530

Anti-Rb (phospho S807) antibody [EPR17732] - BSA and Azide free

primary-antibodies

rb-phospho-s807-antibody-epr17732-bsa-and-azide-free-ab215530

0

(0 reviews)

Alternative Version
Primary Antibodies

AB300158

Alexa Fluor® 647 Anti-Rb antibody [EPR17512]

primary-antibodies

alexa-fluor-647-rb-antibody-epr17512-ab300158

0

(0 reviews)

Alternative Version
Primary Antibodies

AB300670

Alexa Fluor® 594 Anti-Rb antibody [EPR17512]

primary-antibodies

alexa-fluor-594-rb-antibody-epr17512-ab300670

0

(0 reviews)

Alternative Version
Primary Antibodies

AB300672

Alexa Fluor® 555 Anti-Rb antibody [EPR17512]

primary-antibodies

alexa-fluor-555-rb-antibody-epr17512-ab300672

0

(0 reviews)

Alternative Version
Primary Antibodies

AB300671

Alexa Fluor® 488 Anti-Rb antibody [EPR17512]

primary-antibodies

alexa-fluor-488-rb-antibody-epr17512-ab300671

0

(0 reviews)

Please note: All products are 'FOR RESEARCH USE ONLY. NOT FOR USE IN DIAGNOSTIC OR THERAPEUTIC PROCEDURES'.

For licensing inquiries, please contact partnerships@abcam.com