JavaScript is disabled in your browser. Please enable JavaScript to view this website.
AB218506

Anti-Rb antibody [RB1/1754]

Be the first to review this product! Submit a review

|

(1 Publication)

Mouse Monoclonal RB antibody. Suitable for IHC-P and reacts with Human samples. Cited in 1 publication. Immunogen corresponding to Recombinant Full Length Protein corresponding to Human RB1.

View Alternative Names

Retinoblastoma-associated protein, p105-Rb, p110-RB1, pRb, pp110, Rb, RB1

2 Images
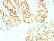
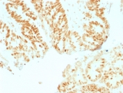
Immunohistochemistry (Formalin/PFA-fixed paraffin-embedded sections) - Anti-Rb antibody [RB1/1754] (AB218506)
  • IHC-P

Supplier Data

Immunohistochemistry (Formalin/PFA-fixed paraffin-embedded sections) - Anti-Rb antibody [RB1/1754] (AB218506)

Immunohistochemical analysis of formalin-fixed, paraffin-embedded human colon tissue labeling Rb with ab218506 at 2 μg/mL for 30 minutes at RT.

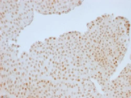
Immunohistochemistry (Formalin/PFA-fixed paraffin-embedded sections) - Anti-Rb antibody [RB1/1754] (AB218506)
  • IHC-P

Supplier Data

Immunohistochemistry (Formalin/PFA-fixed paraffin-embedded sections) - Anti-Rb antibody [RB1/1754] (AB218506)

Immunohistochemical analysis of formalin-fixed, paraffin-embedded human colon tissue labeling Rb with ab218506 at 2 μg/mL for 30 minutes at RT.

Key facts

Host species

Mouse

Clonality

Monoclonal

Clone number

RB1/1754

Isotype

IgG1

Light chain type

kappa

Carrier free

No

Reacts with

Human

Applications

IHC-P

applications

Immunogen

Recombinant Full Length Protein corresponding to Human RB1.

P06400

Reactivity data

{ "title": "Reactivity Data", "filters": { "stats": ["", "Species", "Dilution Info", "Notes"], "tabs": { "all-applications": {"fullname" : "All Applications", "shortname": "All Applications"}, "IHCP" : {"fullname" : "Immunohistochemistry (Formalin/PFA-fixed paraffin-embedded sections)", "shortname":"IHC-P"} }, "product-promise": { "all": "all", "testedAndGuaranteed": "tested", "guaranteed": "expected", "predicted": "predicted", "notRecommended": "not-recommended" } }, "values": { "Human": { "IHCP-species-checked": "testedAndGuaranteed", "IHCP-species-dilution-info": "1-2 µg/mL", "IHCP-species-notes": "<p></p> Perform heat-mediated antigen retrieval with citrate buffer pH 6 before commencing with IHC staining protocol." }, "Mouse": { "IHCP-species-checked": "predicted", "IHCP-species-dilution-info": "", "IHCP-species-notes": "" } } }

Properties and storage information

Form
Liquid
Purification technique
Affinity purification Protein G
Storage buffer
pH: 7.2 - 7.4 Preservative: 0.05% Sodium azide Constituents: PBS, 0.05% BSA
Shipped at conditions
Blue Ice
Appropriate short-term storage duration
1-2 weeks
Appropriate short-term storage conditions
+4°C
Appropriate long-term storage conditions
-20°C
Aliquoting information
Upon delivery aliquot
Storage information
Avoid freeze / thaw cycle

Supplementary information

This supplementary information is collated from multiple sources and compiled automatically.

Retinoblastoma protein (Rb) also known as pRb is an important regulatory protein with a molecular weight of approximately 110 kDa. It is mainly expressed in the nucleus of cells. Rb functions as a tumor suppressor by controlling the cell cycle progression from G1 to S phase. Rb becomes active when it is dephosphorylated allowing it to bind and inhibit E2F transcription factors consequently preventing the transcription of genes essential for S phase entry.
Biological function summary

Retinoblastoma protein influences cellular proliferation differentiation and apoptosis. It acts within a larger protein complex modulating various cellular responses. When functional Rb halts uncontrolled cell division important for maintaining normal tissue homeostasis. In its phosphorylated state known as phospho-Rb or phospho-Rb E182 it loses its regulatory capabilities which can lead to unrestrained cell cycle progression.

Pathways

Several involve the retinoblastoma protein. One key pathway is the p53 pathway which Rb interacts with to influence cellular outcomes like cell-cycle arrest and apoptosis. Rb cooperates with proteins like p21 to implement these processes. Additionally it is involved in the cyclin D-dependent kinase 4 (CDK4) pathway which modulates its phosphorylation state influencing binding interactions and cell cycle control.

Dysregulation of retinoblastoma protein is commonly associated with cancer particularly retinoblastoma and breast cancer. In retinoblastoma mutations in the Rb gene directly lead to uncontrolled cell proliferation due to the absence of functional Rb protein. Additionally Rb's connection to the E2F family of transcription factors can become disrupted contributing to oncogenesis in other cancers.

Product protocols

For this product, it's our understanding that no specific protocols are required. You can visit:

Target data

Tumor suppressor that is a key regulator of the G1/S transition of the cell cycle (PubMed : 10499802). The hypophosphorylated form binds transcription regulators of the E2F family, preventing transcription of E2F-responsive genes (PubMed : 10499802). Both physically blocks E2Fs transactivating domain and recruits chromatin-modifying enzymes that actively repress transcription (PubMed : 10499802). Cyclin and CDK-dependent phosphorylation of RB1 induces its dissociation from E2Fs, thereby activating transcription of E2F responsive genes and triggering entry into S phase (PubMed : 10499802). RB1 also promotes the G0-G1 transition upon phosphorylation and activation by CDK3/cyclin-C (PubMed : 15084261). Directly involved in heterochromatin formation by maintaining overall chromatin structure and, in particular, that of constitutive heterochromatin by stabilizing histone methylation. Recruits and targets histone methyltransferases SUV39H1, KMT5B and KMT5C, leading to epigenetic transcriptional repression. Controls histone H4 'Lys-20' trimethylation. Inhibits the intrinsic kinase activity of TAF1. Mediates transcriptional repression by SMARCA4/BRG1 by recruiting a histone deacetylase (HDAC) complex to the c-FOS promoter. In resting neurons, transcription of the c-FOS promoter is inhibited by BRG1-dependent recruitment of a phospho-RB1-HDAC1 repressor complex. Upon calcium influx, RB1 is dephosphorylated by calcineurin, which leads to release of the repressor complex (By similarity).. (Microbial infection) In case of viral infections, interactions with SV40 large T antigen, HPV E7 protein or adenovirus E1A protein induce the disassembly of RB1-E2F1 complex thereby disrupting RB1's activity.
See full target information RB1

Publications (1)

Recent publications for all applications. Explore the full list and refine your search

International journal of molecular sciences 25: PubMed39769197

2025

Investigation of -Acetyllactosamine and ,-Diacetyllactosamine Residues of Seminal Plasma Prolactin-Induced Protein as Ligands Recognized by Galectin-3.

Applications

Unspecified application

Species

Unspecified reactive species

Anna Kałuża,Katarzyna Trzęsicka,Damian Drzyzga,Mirosława Ferens-Sieczkowska
View all publications

Product promise

We are committed to supporting your work with high-quality reagents, and we're here for you every step of the way. In the unlikely event that one of our products does not perform as expected, you're protected by our Product Promise.
For full details, please see our Terms & Conditions

Please note: All products are 'FOR RESEARCH USE ONLY. NOT FOR USE IN DIAGNOSTIC OR THERAPEUTIC PROCEDURES'.

For licensing inquiries, please contact partnerships@abcam.com