JavaScript is disabled in your browser. Please enable JavaScript to view this website.
AB47763

Anti-Rb (phospho S780) antibody

5

(2 Reviews)

|

(43 Publications)

Rabbit Polyclonal RB phospho S780 antibody. Suitable for ELISA, WB, IHC-P, IHC-Fr and reacts with Mouse, Rat, Human samples. Cited in 43 publications. Immunogen corresponding to Synthetic Peptide within Human RB1 phospho S780.

View Alternative Names

Retinoblastoma-associated protein, p105-Rb, p110-RB1, pRb, pp110, Rb, RB1

3 Images
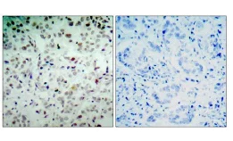
Immunohistochemistry (Formalin/PFA-fixed paraffin-embedded sections) - Anti-Rb (phospho S780) antibody (AB47763)
  • IHC-P

Unknown

Immunohistochemistry (Formalin/PFA-fixed paraffin-embedded sections) - Anti-Rb (phospho S780) antibody (AB47763)

ab47763 at 1/50 dilution staining paraffin-embedded human breast carcinoma; left without and right with immunising peptide.

Western blot - Anti-Rb (phospho S780) antibody (AB47763)
  • WB

Supplier Data

Western blot - Anti-Rb (phospho S780) antibody (AB47763)

Western blot analysis of extracts from K562 cells treated or untreated with serum using Rb antibody and ab47763.

All lanes:

Western blot - Anti-Rb (phospho S780) antibody (ab47763)

Predicted band size: 106 kDa

false

Western blot - Anti-Rb (phospho S780) antibody (AB47763)
  • WB

Unknown

Western blot - Anti-Rb (phospho S780) antibody (AB47763)

Typically 5-30ug of total protein was loaded per lane of the gel.

All lanes:

Western blot - Anti-Rb (phospho S780) antibody (ab47763) at 1/500 dilution

Lane 1:

K562 cell extract treated with serum for 20 hours

Lane 2:

K562 cell extract

Predicted band size: 106 kDa

false

Key facts

Host species

Rabbit

Clonality

Polyclonal

Isotype

IgG

Carrier free

No

Reacts with

Human, Rat, Mouse

Applications

WB, IHC-P, ELISA, IHC-Fr

applications

Immunogen

Synthetic Peptide within Human RB1 phospho S780. The exact immunogen used to generate this antibody is proprietary information.

P06400

Reactivity data

{ "title": "Reactivity Data", "filters": { "stats": ["", "Species", "Dilution Info", "Notes"], "tabs": { "all-applications": {"fullname" : "All Applications", "shortname": "All Applications"}, "ELISA" : {"fullname" : "ELISA", "shortname":"ELISA"}, "WB" : {"fullname" : "Western blot", "shortname":"WB"}, "IHCP" : {"fullname" : "Immunohistochemistry (Formalin/PFA-fixed paraffin-embedded sections)", "shortname":"IHC-P"}, "IHCFr" : {"fullname" : "Immunohistochemistry (Frozen sections)", "shortname":"IHC-Fr"} }, "product-promise": { "all": "all", "testedAndGuaranteed": "tested", "guaranteed": "expected", "predicted": "predicted", "notRecommended": "not-recommended" } }, "values": { "Human": { "ELISA-species-checked": "guaranteed", "ELISA-species-dilution-info": "", "ELISA-species-notes": "<p></p>", "WB-species-checked": "testedAndGuaranteed", "WB-species-dilution-info": "1/500 - 1/1000", "WB-species-notes": "<p></p>", "IHCP-species-checked": "testedAndGuaranteed", "IHCP-species-dilution-info": "1/50 - 1/100", "IHCP-species-notes": "<p></p>", "IHCFr-species-checked": "guaranteed", "IHCFr-species-dilution-info": "", "IHCFr-species-notes": "<p></p>" }, "Mouse": { "ELISA-species-checked": "guaranteed", "ELISA-species-dilution-info": "", "ELISA-species-notes": "<p></p>", "WB-species-checked": "predicted", "WB-species-dilution-info": "", "WB-species-notes": "", "IHCP-species-checked": "predicted", "IHCP-species-dilution-info": "", "IHCP-species-notes": "", "IHCFr-species-checked": "guaranteed", "IHCFr-species-dilution-info": "", "IHCFr-species-notes": "<p></p>" }, "Rat": { "ELISA-species-checked": "guaranteed", "ELISA-species-dilution-info": "", "ELISA-species-notes": "<p></p>", "WB-species-checked": "predicted", "WB-species-dilution-info": "", "WB-species-notes": "", "IHCP-species-checked": "predicted", "IHCP-species-dilution-info": "", "IHCP-species-notes": "", "IHCFr-species-checked": "guaranteed", "IHCFr-species-dilution-info": "", "IHCFr-species-notes": "<p></p>" } } }

Properties and storage information

Form
Liquid
Purification technique
Affinity purification Immunogen
Purification notes
The antibody was affinity-purified from rabbit antiserum by affinity-chromatography using epitope-specific phosphopeptide. The antibody against non-phosphopeptide was removed by chromatography using non-phosphopeptide corresponding to the phosphorylation site.
Storage buffer
pH: 7 Preservative: 0.02% Sodium azide Constituents: PBS, 50% Glycerol (glycerin, glycerine), 0.87% Sodium chloride
Shipped at conditions
Blue Ice
Appropriate short-term storage duration
1-2 weeks
Appropriate short-term storage conditions
+4°C
Appropriate long-term storage conditions
-20°C
Aliquoting information
Upon delivery aliquot
Storage information
Avoid freeze / thaw cycle

Supplementary information

This supplementary information is collated from multiple sources and compiled automatically.

Retinoblastoma protein (Rb) also known as pRb is an important regulatory protein with a molecular weight of approximately 110 kDa. It is mainly expressed in the nucleus of cells. Rb functions as a tumor suppressor by controlling the cell cycle progression from G1 to S phase. Rb becomes active when it is dephosphorylated allowing it to bind and inhibit E2F transcription factors consequently preventing the transcription of genes essential for S phase entry.
Biological function summary

Retinoblastoma protein influences cellular proliferation differentiation and apoptosis. It acts within a larger protein complex modulating various cellular responses. When functional Rb halts uncontrolled cell division important for maintaining normal tissue homeostasis. In its phosphorylated state known as phospho-Rb or phospho-Rb E182 it loses its regulatory capabilities which can lead to unrestrained cell cycle progression.

Pathways

Several involve the retinoblastoma protein. One key pathway is the p53 pathway which Rb interacts with to influence cellular outcomes like cell-cycle arrest and apoptosis. Rb cooperates with proteins like p21 to implement these processes. Additionally it is involved in the cyclin D-dependent kinase 4 (CDK4) pathway which modulates its phosphorylation state influencing binding interactions and cell cycle control.

Dysregulation of retinoblastoma protein is commonly associated with cancer particularly retinoblastoma and breast cancer. In retinoblastoma mutations in the Rb gene directly lead to uncontrolled cell proliferation due to the absence of functional Rb protein. Additionally Rb's connection to the E2F family of transcription factors can become disrupted contributing to oncogenesis in other cancers.

Product protocols

For this product, it's our understanding that no specific protocols are required. You can visit:

Target data

Tumor suppressor that is a key regulator of the G1/S transition of the cell cycle (PubMed : 10499802). The hypophosphorylated form binds transcription regulators of the E2F family, preventing transcription of E2F-responsive genes (PubMed : 10499802). Both physically blocks E2Fs transactivating domain and recruits chromatin-modifying enzymes that actively repress transcription (PubMed : 10499802). Cyclin and CDK-dependent phosphorylation of RB1 induces its dissociation from E2Fs, thereby activating transcription of E2F responsive genes and triggering entry into S phase (PubMed : 10499802). RB1 also promotes the G0-G1 transition upon phosphorylation and activation by CDK3/cyclin-C (PubMed : 15084261). Directly involved in heterochromatin formation by maintaining overall chromatin structure and, in particular, that of constitutive heterochromatin by stabilizing histone methylation. Recruits and targets histone methyltransferases SUV39H1, KMT5B and KMT5C, leading to epigenetic transcriptional repression. Controls histone H4 'Lys-20' trimethylation. Inhibits the intrinsic kinase activity of TAF1. Mediates transcriptional repression by SMARCA4/BRG1 by recruiting a histone deacetylase (HDAC) complex to the c-FOS promoter. In resting neurons, transcription of the c-FOS promoter is inhibited by BRG1-dependent recruitment of a phospho-RB1-HDAC1 repressor complex. Upon calcium influx, RB1 is dephosphorylated by calcineurin, which leads to release of the repressor complex (By similarity).. (Microbial infection) In case of viral infections, interactions with SV40 large T antigen, HPV E7 protein or adenovirus E1A protein induce the disassembly of RB1-E2F1 complex thereby disrupting RB1's activity.
See full target information RB1 phospho S780

Publications (43)

Recent publications for all applications. Explore the full list and refine your search

eLife 12: PubMed39373720

2024

BMP2 and BMP7 cooperate with H3.3K27M to promote quiescence and invasiveness in pediatric diffuse midline gliomas.

Applications

Unspecified application

Species

Unspecified reactive species

Paul Huchede,Swann Meyer,Clément Berthelot,Maud Hamadou,Adrien Bertrand-Chapel,Andria Rakotomalala,Line Manceau,Julia Tomine,Nicolas Lespinasse,Paul Lewandowski,Martine Cordier-Bussat,Laura Broutier,Aurélie Dutour,Isabelle Rochet,Jean-Yves Blay,Cyril Degletagne,Valéry Attignon,Angel Montero-Carcaboso,Marion Le Grand,Eddy Pasquier,Alexandre Vasiljevic,Pascale Gilardi-Hebenstreit,Samuel Meignan,Pierre Leblond,Vanessa Ribes,Erika Cosset,Marie Castets

British journal of cancer 128:2326-2337 PubMed37076563

2023

The CDK7 inhibitor CT7001 (Samuraciclib) targets proliferation pathways to inhibit advanced prostate cancer.

Applications

Unspecified application

Species

Unspecified reactive species

Theodora A Constantin,Anabel Varela-Carver,Kyle K Greenland,Gilberto Serrano de Almeida,Ellen Olden,Lucy Penfold,Simon Ang,Alice Ormrod,Damien A Leach,Chun-Fui Lai,Edward K Ainscow,Ash K Bahl,David Carling,Matthew J Fuchter,Simak Ali,Charlotte L Bevan

International journal of molecular sciences 23: PubMed36555139

2022

Impacts of Telomeric Length, Chronic Hypoxia, Senescence, and Senescence-Associated Secretory Phenotype on the Development of Thoracic Aortic Aneurysm.

Applications

Unspecified application

Species

Unspecified reactive species

Thomas Aschacher,Daniela Geisler,Verena Lenz,Olivia Aschacher,Bernhard Winkler,Anne-Kristin Schaefer,Andreas Mitterbauer,Brigitte Wolf,Florian K Enzmann,Barbara Messner,Günther Laufer,Marek P Ehrlich,Martin Grabenwöger,Michael Bergmann

Frontiers in oncology 12:1036401 PubMed36408174

2022

DJ-1 promotes osteosarcoma progression through activating CDK4/RB/E2F1 signaling pathway.

Applications

Unspecified application

Species

Unspecified reactive species

Zhitao Han,Lining Wang,Dongshuo Wang,Luosheng Zhang,Yifeng Bi,Xinlei Zheng,Weibo Liu,Guangjian Bai,Zhenhua Wang,Wei Wan,Yong Ma,Xiaopan Cai,Tielong Liu,Qi Jia

Nature cancer 3:1105-1122 PubMed35915262

2022

Context-dependent tumor-suppressive BMP signaling in diffuse intrinsic pontine glioma regulates stemness through epigenetic regulation of CXXC5.

Applications

Unspecified application

Species

Unspecified reactive species

Ye Sun,Kun Yan,Yi Wang,Cheng Xu,Dan Wang,Wei Zhou,Shuning Guo,Yujie Han,Lei Tang,Yanqiu Shao,Shaobo Shan,Qiangfeng C Zhang,Yujie Tang,Liwei Zhang,Qiaoran Xi

Oncology letters 23:49 PubMed34992682

2022

Aberrant GIMAP2 expression affects oral squamous cell carcinoma progression by promoting cell cycle and inhibiting apoptosis.

Applications

Unspecified application

Species

Unspecified reactive species

Mari Komatsu,Kengo Saito,Isao Miyamoto,Kazuyuki Koike,Manabu Iyoda,Dai Nakashima,Atsushi Kasamatsu,Masashi Shiiba,Hideki Tanzawa,Katsuhiro Uzawa

Aging 13:7517-7537 PubMed33686022

2021

Molecular characterization of long-term survivors of hepatocellular carcinoma.

Applications

Unspecified application

Species

Unspecified reactive species

Junwei Shen,Jing Hu,Jiawen Wu,Xiaoli Luo,Yanfei Li,Jue Li

Pancreatology : official journal of the International Association of Pancreatology (IAP) ... [et al.] : PubMed33483239

2021

Smad4 deficiency substitutes Cdkn2b but not Cdkn2a downregulation in pancreatic cancer following induction of genetic events in adult mice.

Applications

Unspecified application

Species

Unspecified reactive species

Xintong Jia,Bin Sun,Qiu Tu,Huaxin Qi,Lin Li,Xiuyun Liu,Lanzhen Yan,Hongjuan Dai,Qingpeng Kong,Chengwei Tang,Xudong Zhao

Nature communications 11:5513 PubMed33139730

2020

LncRNA DILA1 inhibits Cyclin D1 degradation and contributes to tamoxifen resistance in breast cancer.

Applications

Unspecified application

Species

Unspecified reactive species

Qianfeng Shi,Yudong Li,Shunying Li,Liang Jin,Hongna Lai,Yanqing Wu,Zijie Cai,Mengdi Zhu,Qian Li,Ying Li,Jingru Wang,Yujie Liu,Zongqi Wu,Erwei Song,Qiang Liu

Cancer cell international 20:202 PubMed32514247

2020

Circular RNA circ-CSPP1 regulates CCNE2 to facilitate hepatocellular carcinoma cell growth via sponging miR-577.

Applications

Unspecified application

Species

Unspecified reactive species

Qian Sun,Rui Yu,Chunfeng Wang,Jianning Yao,Lianfeng Zhang
View all publications

Product promise

We are committed to supporting your work with high-quality reagents, and we're here for you every step of the way. In the unlikely event that one of our products does not perform as expected, you're protected by our Product Promise.
For full details, please see our Terms & Conditions

Please note: All products are 'FOR RESEARCH USE ONLY. NOT FOR USE IN DIAGNOSTIC OR THERAPEUTIC PROCEDURES'.

For licensing inquiries, please contact partnerships@abcam.com