JavaScript is disabled in your browser. Please enable JavaScript to view this website.
AB250774

Anti-Rb (phospho S780) antibody [EPR17624] - BSA and Azide free

Be the first to review this product! Submit a review

|

(1 Publication)

Rabbit Recombinant Monoclonal RB phospho S780 antibody. Carrier free. Suitable for IP, Dot, WB and reacts with Human, Mouse, Synthetic peptide samples. Cited in 1 publication.

View Alternative Names

Retinoblastoma-associated protein, p105-Rb, p110-RB1, pRb, pp110, Rb, RB1

6 Images
Western blot - Anti-Rb (phospho S780) antibody [EPR17624] - BSA and Azide free (AB250774)
  • WB

Unknown

Western blot - Anti-Rb (phospho S780) antibody [EPR17624] - BSA and Azide free (AB250774)

This data was developed using ab184702, the same antibody clone in a different buffer formulation.

The lysates were prepared in 1% SDS Hot lysis method.

Observed MW : 106 kDa.

Blocking and dilution buffer : 5% NFDM/TBST.

All lanes:

Western blot - Anti-Rb (phospho S780) antibody [EPR17624] (<a href='/en-us/products/primary-antibodies/rb-phospho-s780-antibody-epr17624-ab184702'>ab184702</a>) at 1/5000 dilution

Lane 1:

K-562 (Human chronic myelogenous leukemia lymphoblast) whole cell lysates prepared in RIPA lysis method at 15 µg

Lane 2:

K-562 (Human chronic myelogenous leukemia lymphoblast) whole cell lysates prepared in 1%SDS Hot lysis method at 15 µg

Secondary

All lanes:

Goat Anti-Rabbit IgG, (H+L), Peroxidase conjugated at 1/20000 dilution

Predicted band size: 106 kDa

false

Immunoprecipitation - Anti-Rb (phospho S780) antibody [EPR17624] - BSA and Azide free (AB250774)
  • IP

Supplier Data

Immunoprecipitation - Anti-Rb (phospho S780) antibody [EPR17624] - BSA and Azide free (AB250774)

This data was developed using ab184702, the same antibody clone in a different buffer formulation.

Rb (phospho S780) was immunoprecipitated from 0.35 mg of K562 (Human chronic myelogenous leukemia cell line from bone marrow) whole cell lysate with ab184702 at 1/30 dilution. Western blot was performed from the immunoprecipitate using ab184702 at 1/1000 dilution. VeriBlot for IP Detection Reagent (HRP) (ab131366), was used for detection at 1/10000 dilution.

Lane 1 : K562 whole cell lysate,10μg (Input).
Lane 2 : ab184702 IP in K562 whole cell lysate.
Lane 3 : Rabbit IgG,monoclonal [EPR25A]-Isotype Control (ab172730) instead of ab184702 in K562 whole cell lysate.

Blocking and dilution buffer and concentration : 5% NFDM/TBST.

Exposure time : 10 seconds.

All lanes:

Immunoprecipitation - Anti-Rb (phospho S780) antibody [EPR17624] (<a href='/en-us/products/primary-antibodies/rb-phospho-s780-antibody-epr17624-ab184702'>ab184702</a>)

Predicted band size: 106 kDa

false

Western blot - Anti-Rb (phospho S780) antibody [EPR17624] - BSA and Azide free (AB250774)
  • WB

Supplier Data

Western blot - Anti-Rb (phospho S780) antibody [EPR17624] - BSA and Azide free (AB250774)

This data was developed using ab184702, the same antibody clone in a different buffer formulation.

Blocking and dilution buffer : 5% NFDM/TBST.

The lysates were prepared in 1%SDS Hot lysis method.

All lanes:

Western blot - Anti-Rb (phospho S780) antibody [EPR17624] (<a href='/en-us/products/primary-antibodies/rb-phospho-s780-antibody-epr17624-ab184702'>ab184702</a>) at 1/5000 dilution

Lane 1:

L-929 (Mouse connective tissue fibroblast cell line) whole cell lysate at 10 µg

Lane 2:

L-929 (Mouse connective tissue fibroblast cell line) whole cell lysate treated with Alkaline Phosphatase for 1 hour at 10 µg

Secondary

All lanes:

Western blot - Goat Anti-Rabbit IgG H&L (HRP) (<a href='/en-us/products/secondary-antibodies/goat-rabbit-igg-h-l-hrp-ab97051'>ab97051</a>) at 1/100000 dilution

Predicted band size: 101 kDa,106 kDa

Observed band size: 102 kDa,106 kDa

false

Exposure time: 3min

Western blot - Anti-Rb (phospho S780) antibody [EPR17624] - BSA and Azide free (AB250774)
  • WB

Supplier Data

Western blot - Anti-Rb (phospho S780) antibody [EPR17624] - BSA and Azide free (AB250774)

This data was developed using ab184702, the same antibody clone in a different buffer formulation.

Blocking and dilution buffer : 5% NFDM/TBST.

Rb phosphorylation at S780 is regulated by cell cycle progression, which is consistent with what has been described in the literature (PMID : 11134518 and 24765199).

The lysates were prepared in 1% SDS Hot lysis method.

All lanes:

Western blot - Anti-Rb (phospho S780) antibody [EPR17624] (<a href='/en-us/products/primary-antibodies/rb-phospho-s780-antibody-epr17624-ab184702'>ab184702</a>) at 1/1000 dilution

Lane 1:

Untreated K562 (Human chronic myelogenous leukemia cell line from bone marrow) whole cell lysate at 10 µg

Lane 2:

K562 (Human chronic myelogenous leukemia cell line from bone marrow) whole cell lysate serum starved for 2 days at 10 µg

Secondary

All lanes:

Western blot - Goat Anti-Rabbit IgG H&L (HRP) (<a href='/en-us/products/secondary-antibodies/goat-rabbit-igg-h-l-hrp-ab97051'>ab97051</a>) at 1/100000 dilution

Predicted band size: 106 kDa

Observed band size: 106 kDa

false

Exposure time: 10s

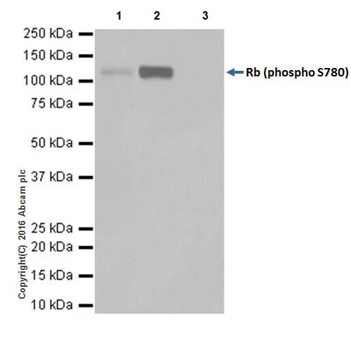
Western blot - Anti-Rb (phospho S780) antibody [EPR17624] - BSA and Azide free (AB250774)
  • WB

Supplier Data

Western blot - Anti-Rb (phospho S780) antibody [EPR17624] - BSA and Azide free (AB250774)

This data was developed using ab184702, the same antibody clone in a different buffer formulation.

Blocking and dilution buffer : 5% NFDM/TBST.

The lysates were prepared in 1% SDS Hot lysis method.

All lanes:

Western blot - Anti-Rb (phospho S780) antibody [EPR17624] (<a href='/en-us/products/primary-antibodies/rb-phospho-s780-antibody-epr17624-ab184702'>ab184702</a>) at 1/1000 dilution

Lane 1:

K562 (Human chronic myelogenous leukemia cell line from bone marrow) whole cell lysate at 10 µg

Lane 2:

K562 (Human chronic myelogenous leukemia cell line from bone marrow) whole cell lysate treated with Alkaline Phosphatase for 1 hour at 10 µg

Secondary

All lanes:

Western blot - Goat Anti-Rabbit IgG H&L (HRP) (<a href='/en-us/products/secondary-antibodies/goat-rabbit-igg-h-l-hrp-ab97051'>ab97051</a>) at 1/100000 dilution

Predicted band size: 106 kDa

Observed band size: 106 kDa

false

Exposure time: 30s

Dot Blot - Anti-Rb (phospho S780) antibody [EPR17624] - BSA and Azide free (AB250774)
  • Dot

Supplier Data

Dot Blot - Anti-Rb (phospho S780) antibody [EPR17624] - BSA and Azide free (AB250774)

This data was developed using ab184702, the same antibody clone in a different buffer formulation.

Dot blot analysis of Rb (phospho S780) labeled with ab184702 at 1/1000 dilution.

Lane 1 : Rb (phospho S780) phospho peptide;
Lane 2 : Rb non-phospho peptide.

Goat Anti-Rabbit IgG, (H+L), Peroxidase conjugated (ab97051) at 1/100000 was used as secondary antibody.

Blocking and diluting buffer : 5% NFDM/TBST.

Exposure time : 3 minutes.

Key facts

Host species

Rabbit

Clonality

Monoclonal

Clone number

EPR17624

Isotype

IgG

Carrier free

Yes

Reacts with

Mouse, Human

Applications

IP, Dot, WB

applications

Immunogen

The exact immunogen used to generate this antibody is proprietary information.

Reactivity data

{ "title": "Reactivity Data", "filters": { "stats": ["", "Species", "Dilution Info", "Notes"], "tabs": { "all-applications": {"fullname" : "All Applications", "shortname": "All Applications"}, "IP" : {"fullname" : "Immunoprecipitation", "shortname":"IP"}, "Dot" : {"fullname" : "Dot Blot", "shortname":"Dot"}, "WB" : {"fullname" : "Western blot", "shortname":"WB"} }, "product-promise": { "all": "all", "testedAndGuaranteed": "tested", "guaranteed": "expected", "predicted": "predicted", "notRecommended": "not-recommended" } }, "values": { "Human": { "IP-species-checked": "testedAndGuaranteed", "IP-species-dilution-info": "", "IP-species-notes": "<p></p>", "Dot-species-checked": "guaranteed", "Dot-species-dilution-info": "", "Dot-species-notes": "", "WB-species-checked": "guaranteed", "WB-species-dilution-info": "", "WB-species-notes": "" }, "Mouse": { "IP-species-checked": "guaranteed", "IP-species-dilution-info": "", "IP-species-notes": "", "Dot-species-checked": "guaranteed", "Dot-species-dilution-info": "", "Dot-species-notes": "", "WB-species-checked": "testedAndGuaranteed", "WB-species-dilution-info": "", "WB-species-notes": "<p></p>" }, "Synthetic peptide": { "IP-species-checked": "notRecommended", "IP-species-dilution-info": "", "IP-species-notes": "", "Dot-species-checked": "testedAndGuaranteed", "Dot-species-dilution-info": "", "Dot-species-notes": "<p></p>", "WB-species-checked": "notRecommended", "WB-species-dilution-info": "", "WB-species-notes": "" } } }

Product details

ab250774 is the carrier-free version of ab184702.

Patented technology
Our RabMAb® technology is a patented hybridoma-based technology for making rabbit monoclonal antibodies. For details on our patents, please refer to RabMAb® patents.

What are the advantages of a recombinant monoclonal antibody?
This product is a recombinant monoclonal antibody, which offers several advantages including:

  • - High batch-to-batch consistency and reproducibility
  • - Improved sensitivity and specificity
  • - Long-term security of supply
  • - Animal-free batch production

For more information, read more on recombinant antibodies.

Conjugation ready
Our carrier-free antibodies are typically supplied in a PBS-only formulation, purified and free of BSA, sodium azide and glycerol. This conjugation-ready format is designed for use with fluorochromes, metal isotopes, oligonucleotides, and enzymes, which makes them ideal for antibody labelling, functional and cell-based assays, flow-based assays (e.g. mass cytometry) and Multiplex Imaging applications.

Use our conjugation kits for antibody conjugates that are ready-to-use in as little as 20 minutes with 1 minute hands-on-time and 100% antibody recovery: available for fluorescent dyes, HRP, biotin and gold.

Compatibility
This product is compatible with the Maxpar® Antibody Labeling Kit from Fluidigm, without the need for antibody preparation. Maxpar® is a trademark of Fluidigm Canada Inc.

Properties and storage information

Form
Liquid
Purification technique
Affinity purification Protein A
Storage buffer
pH: 7.2 - 7.4 Constituents: PBS
Shipped at conditions
Blue Ice
Appropriate short-term storage conditions
+4°C
Appropriate long-term storage conditions
+4°C
Storage information
Do Not Freeze

Supplementary information

This supplementary information is collated from multiple sources and compiled automatically.

Retinoblastoma protein (Rb) also known as pRb is an important regulatory protein with a molecular weight of approximately 110 kDa. It is mainly expressed in the nucleus of cells. Rb functions as a tumor suppressor by controlling the cell cycle progression from G1 to S phase. Rb becomes active when it is dephosphorylated allowing it to bind and inhibit E2F transcription factors consequently preventing the transcription of genes essential for S phase entry.
Biological function summary

Retinoblastoma protein influences cellular proliferation differentiation and apoptosis. It acts within a larger protein complex modulating various cellular responses. When functional Rb halts uncontrolled cell division important for maintaining normal tissue homeostasis. In its phosphorylated state known as phospho-Rb or phospho-Rb E182 it loses its regulatory capabilities which can lead to unrestrained cell cycle progression.

Pathways

Several involve the retinoblastoma protein. One key pathway is the p53 pathway which Rb interacts with to influence cellular outcomes like cell-cycle arrest and apoptosis. Rb cooperates with proteins like p21 to implement these processes. Additionally it is involved in the cyclin D-dependent kinase 4 (CDK4) pathway which modulates its phosphorylation state influencing binding interactions and cell cycle control.

Dysregulation of retinoblastoma protein is commonly associated with cancer particularly retinoblastoma and breast cancer. In retinoblastoma mutations in the Rb gene directly lead to uncontrolled cell proliferation due to the absence of functional Rb protein. Additionally Rb's connection to the E2F family of transcription factors can become disrupted contributing to oncogenesis in other cancers.

Product protocols

For this product, it's our understanding that no specific protocols are required. You can visit:

Target data

Tumor suppressor that is a key regulator of the G1/S transition of the cell cycle (PubMed : 10499802). The hypophosphorylated form binds transcription regulators of the E2F family, preventing transcription of E2F-responsive genes (PubMed : 10499802). Both physically blocks E2Fs transactivating domain and recruits chromatin-modifying enzymes that actively repress transcription (PubMed : 10499802). Cyclin and CDK-dependent phosphorylation of RB1 induces its dissociation from E2Fs, thereby activating transcription of E2F responsive genes and triggering entry into S phase (PubMed : 10499802). RB1 also promotes the G0-G1 transition upon phosphorylation and activation by CDK3/cyclin-C (PubMed : 15084261). Directly involved in heterochromatin formation by maintaining overall chromatin structure and, in particular, that of constitutive heterochromatin by stabilizing histone methylation. Recruits and targets histone methyltransferases SUV39H1, KMT5B and KMT5C, leading to epigenetic transcriptional repression. Controls histone H4 'Lys-20' trimethylation. Inhibits the intrinsic kinase activity of TAF1. Mediates transcriptional repression by SMARCA4/BRG1 by recruiting a histone deacetylase (HDAC) complex to the c-FOS promoter. In resting neurons, transcription of the c-FOS promoter is inhibited by BRG1-dependent recruitment of a phospho-RB1-HDAC1 repressor complex. Upon calcium influx, RB1 is dephosphorylated by calcineurin, which leads to release of the repressor complex (By similarity).. (Microbial infection) In case of viral infections, interactions with SV40 large T antigen, HPV E7 protein or adenovirus E1A protein induce the disassembly of RB1-E2F1 complex thereby disrupting RB1's activity.
See full target information RB1 phospho S780

Publications (1)

Recent publications for all applications. Explore the full list and refine your search

World journal of gastrointestinal oncology 16:4716-4727 PubMed39678812

2024

Enhancing the radiosensitivity of colorectal cancer cells by reducing spermine synthase through promoting autophagy and DNA damage.

Applications

Unspecified application

Species

Unspecified reactive species

Yu-Bin Guo,Yue-Ming Wu,Zhi-Zhao Lin
View all publications

Product promise

We are committed to supporting your work with high-quality reagents, and we're here for you every step of the way. In the unlikely event that one of our products does not perform as expected, you're protected by our Product Promise.
For full details, please see our Terms & Conditions

Please note: All products are 'FOR RESEARCH USE ONLY. NOT FOR USE IN DIAGNOSTIC OR THERAPEUTIC PROCEDURES'.

For licensing inquiries, please contact partnerships@abcam.com