JavaScript is disabled in your browser. Please enable JavaScript to view this website.
AB173289

Anti-Rb (phospho S780) antibody [EPR182(N)]

5

(1 Review)

|

(20 Publications)

Rabbit Recombinant Monoclonal RB phospho S780 antibody. Suitable for IHC-P, Dot, WB and reacts with Human, Synthetic peptide samples. Cited in 20 publications.

View Alternative Names

Retinoblastoma-associated protein, p105-Rb, p110-RB1, pRb, pp110, Rb, RB1

9 Images
Immunohistochemistry (Formalin/PFA-fixed paraffin-embedded sections) - Anti-Rb (phospho S780) antibody [EPR182(N)] (AB173289)
  • IHC-P

Supplier Data

Immunohistochemistry (Formalin/PFA-fixed paraffin-embedded sections) - Anti-Rb (phospho S780) antibody [EPR182(N)] (AB173289)

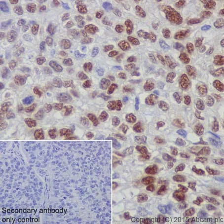
Immunohistochemical analysis of paraffin-embedded Lung squamous cell carcinoma labeling Rb (phospho S780) with ab173289 at 1/100 dilution,followed by Goat Anti-Rabbit IgG H&L (HRP) (ab97051) at 1/500 dilution.

Nucleus staining on tumor cells of lung squamous cell carcinoma.

Counter stained with Hematoxylin.

Secondary antibody only control : Used PBS instead of primary antibody,secondary antibody is ab97051 at 1/500 dilution.

Perform heat mediated antigen retrieval with citrate buffer pH 6 before commencing with IHC staining protocol.

Immunohistochemistry (Formalin/PFA-fixed paraffin-embedded sections) - Anti-Rb (phospho S780) antibody [EPR182(N)] (AB173289)
  • IHC-P

Supplier Data

Immunohistochemistry (Formalin/PFA-fixed paraffin-embedded sections) - Anti-Rb (phospho S780) antibody [EPR182(N)] (AB173289)

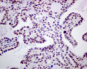
Immunohistochemical analysis of paraffin-embedded Human thyroid gland carcinoma tissue labeling Rb with ab173289 at 1/50 dilution.

Perform heat mediated antigen retrieval with citrate buffer pH 6 before commencing with IHC staining protocol.

Immunohistochemistry (Formalin/PFA-fixed paraffin-embedded sections) - Anti-Rb (phospho S780) antibody [EPR182(N)] (AB173289)
  • IHC-P

Supplier Data

Immunohistochemistry (Formalin/PFA-fixed paraffin-embedded sections) - Anti-Rb (phospho S780) antibody [EPR182(N)] (AB173289)

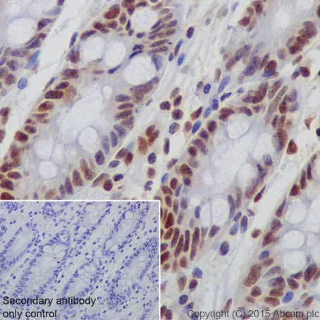
Immunohistochemical analysis of paraffin-embedded Human colon tissue labeling Rb (phospho S780) with ab173289 at 1/100 dilution,followed by Goat Anti-Rabbit IgG H&L (HRP) (ab97051) at 1/500 dilution.

Nucleus staining on normal human colon.

Counter stained with Hematoxylin.

Secondary antibody only control : Used PBS instead of primary antibody,secondary antibody is ab97051 at 1/500 dilution.

Perform heat mediated antigen retrieval with citrate buffer pH 6 before commencing with IHC staining protocol.

Immunohistochemistry (Formalin/PFA-fixed paraffin-embedded sections) - Anti-Rb (phospho S780) antibody [EPR182(N)] (AB173289)
  • IHC-P

Supplier Data

Immunohistochemistry (Formalin/PFA-fixed paraffin-embedded sections) - Anti-Rb (phospho S780) antibody [EPR182(N)] (AB173289)

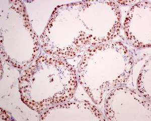
Immunohistochemical analysis of paraffin-embedded Human testis tissue labeling Rb with ab173289 at 1/50 dilution.

Perform heat mediated antigen retrieval with citrate buffer pH 6 before commencing with IHC staining protocol.

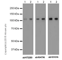
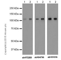
Western blot - Anti-Rb (phospho S780) antibody [EPR182(N)] (AB173289)
  • WB

Supplier Data

Western blot - Anti-Rb (phospho S780) antibody [EPR182(N)] (AB173289)

Blocking/Dilution buffer : NFDM/TBST

ab173289 : anti- Rb (phospho S780);

ab184796 : anti- Rb (phospho S807);

ab181616 : anti-Rb

All lanes:

Western blot - Anti-Rb (phospho S780) antibody [EPR182(N)] (ab173289) at 1/5000 dilution

Lane 1:

K562 (Human chronic myelogenous leukemia cell line from bone marrow) whole cell lysate at 10 µg

Lane 2:

Calyculin A treated K562(Human chronic myelogenous leukemia cell line from bone marrow) whole cell lysate at 10 µg

Secondary

All lanes:

Western blot - Goat Anti-Rabbit IgG H&L (HRP) (<a href='/en-us/products/secondary-antibodies/goat-rabbit-igg-h-l-hrp-ab97051'>ab97051</a>) at 1/100000 dilution

Predicted band size: 106 kDa

false

Western blot - Anti-Rb (phospho S780) antibody [EPR182(N)] (AB173289)
  • WB

Supplier Data

Western blot - Anti-Rb (phospho S780) antibody [EPR182(N)] (AB173289)

Blocking/Dilution buffer : 5% NFDM/TBST

Exposure time : 1 minute

All lanes:

Western blot - Anti-Rb (phospho S780) antibody [EPR182(N)] (ab173289) at 1/20000 dilution

Lane 1:

K562 (Human chronic myelogenous leukemia cell line from bone marrow) whole cell lysate at 10 µg

Lane 2:

K562(Human chronic myelogenous leukemia cell line from bone marrow) whole cell lysate, serum starved for 2 days at 10 µg

Secondary

All lanes:

Western blot - Goat Anti-Rabbit IgG H&L (HRP) (<a href='/en-us/products/secondary-antibodies/goat-rabbit-igg-h-l-hrp-ab97051'>ab97051</a>) at 1/50000 dilution

Predicted band size: 106 kDa

false

Western blot - Anti-Rb (phospho S780) antibody [EPR182(N)] (AB173289)
  • WB

Lab

Western blot - Anti-Rb (phospho S780) antibody [EPR182(N)] (AB173289)

Blocking and diluting buffer and concentration : 5% NFDM/TBST.

All lanes:

Western blot - Anti-Rb (phospho S780) antibody [EPR182(N)] (ab173289) at 1/50000 dilution

Lane 1:

Jurkat (Human T cell leukemia T lymphocyte) serum starved for 44 h. Whole cell lysates at 15 µg

Lane 2:

Jurkat (Human T cell leukemia T lymphocyte) serum starved for 24 h. Then 10% FBS incubated for 20 h. Whole cell lysates at 15 µg

Lane 3:

Jurkat (Human T cell leukemia T lymphocyte) serum starved for 24 h. Then 10% FBS incubated for 20 h. Whole cell lysates Then the membrane was incubated with phosphatase at 15 µg

Secondary

All lanes:

Western blot - Goat Anti-Rabbit IgG H&L (HRP) (<a href='/en-us/products/secondary-antibodies/goat-rabbit-igg-h-l-hrp-ab97051'>ab97051</a>) at 1/20000 dilution

Predicted band size: 106 kDa

Observed band size: 106 kDa

false

Exposure time: 1min

Western blot - Anti-Rb (phospho S780) antibody [EPR182(N)] (AB173289)
  • WB

Supplier Data

Western blot - Anti-Rb (phospho S780) antibody [EPR182(N)] (AB173289)

All lanes:

Western blot - Anti-Rb (phospho S780) antibody [EPR182(N)] (ab173289) at 1/1000 dilution

Lane 1:

Jurkat cell lysate at 10 µg

Lane 2:

Jurkat cell lysate treated with Lambda Phosphatase at 10 µg

Predicted band size: 106 kDa

false

Dot Blot - Anti-Rb (phospho S780) antibody [EPR182(N)] (AB173289)
  • Dot

Supplier Data

Dot Blot - Anti-Rb (phospho S780) antibody [EPR182(N)] (AB173289)

Dot blot analysis of Rb (phospho S780) peptide (Lane 1),Rb(non-phospho) peptide (Lane 2) with ab173289 at a dilution of 1/1000.ab97051 (Peroxidase conjugated goat anti-rabbit IgG (H+L) was used as the secondary antibody at a dilution of 1/1000.

Blocking and dilution buffer : 5% NFDM/TBST.

Exposure time : 3 minutes

  • Carrier free

    Anti-Rb (phospho S780) antibody [EPR182(N)] - BSA and Azide free

Key facts

Host species

Rabbit

Clonality

Monoclonal

Clone number

EPR182(N)

Isotype

IgG

Carrier free

No

Reacts with

Human

Applications

IHC-P, WB, Dot

applications

Immunogen

The exact immunogen used to generate this antibody is proprietary information.

Reactivity data

{ "title": "Reactivity Data", "filters": { "stats": ["", "Species", "Dilution Info", "Notes"], "tabs": { "all-applications": {"fullname" : "All Applications", "shortname": "All Applications"}, "IHCP" : {"fullname" : "Immunohistochemistry (Formalin/PFA-fixed paraffin-embedded sections)", "shortname":"IHC-P"}, "ICCIF" : {"fullname" : "Immunocytochemistry/ Immunofluorescence", "shortname":"ICC/IF"}, "IP" : {"fullname" : "Immunoprecipitation", "shortname":"IP"}, "FlowCyt" : {"fullname" : "Flow Cytometry", "shortname":"Flow Cyt"}, "Dot" : {"fullname" : "Dot Blot", "shortname":"Dot"}, "WB" : {"fullname" : "Western blot", "shortname":"WB"} }, "product-promise": { "all": "all", "testedAndGuaranteed": "tested", "guaranteed": "expected", "predicted": "predicted", "notRecommended": "not-recommended" } }, "values": { "Human": { "IHCP-species-checked": "testedAndGuaranteed", "IHCP-species-dilution-info": "1/100", "IHCP-species-notes": "<p></p>", "ICCIF-species-checked": "notRecommended", "ICCIF-species-dilution-info": "", "ICCIF-species-notes": "<p></p>", "IP-species-checked": "notRecommended", "IP-species-dilution-info": "", "IP-species-notes": "<p></p>", "FlowCyt-species-checked": "notRecommended", "FlowCyt-species-dilution-info": "1/300", "FlowCyt-species-notes": "<p></p>", "Dot-species-checked": "guaranteed", "Dot-species-dilution-info": "", "Dot-species-notes": "", "WB-species-checked": "testedAndGuaranteed", "WB-species-dilution-info": "1/10000", "WB-species-notes": "<p></p>" }, "Synthetic peptide": { "IHCP-species-checked": "notRecommended", "IHCP-species-dilution-info": "", "IHCP-species-notes": "", "ICCIF-species-checked": "notRecommended", "ICCIF-species-dilution-info": "", "ICCIF-species-notes": "", "IP-species-checked": "notRecommended", "IP-species-dilution-info": "", "IP-species-notes": "", "FlowCyt-species-checked": "notRecommended", "FlowCyt-species-dilution-info": "", "FlowCyt-species-notes": "", "Dot-species-checked": "testedAndGuaranteed", "Dot-species-dilution-info": "1/1000", "Dot-species-notes": "<p></p>", "WB-species-checked": "notRecommended", "WB-species-dilution-info": "", "WB-species-notes": "" } } }

Product details

Patented technology
Our RabMAb® technology is a patented hybridoma-based technology for making rabbit monoclonal antibodies. For details on our patents, please refer to RabMAb® patents.

What are the advantages of a recombinant monoclonal antibody?
This product is a recombinant monoclonal antibody, which offers several advantages including:

  • - High batch-to-batch consistency and reproducibility
  • - Improved sensitivity and specificity
  • - Long-term security of supply
  • - Animal-free batch production

For more information, read more on recombinant antibodies.

Properties and storage information

Form
Liquid
Purification technique
Affinity purification Protein A
Storage buffer
Preservative: 0.01% Sodium azide Constituents: PBS, 40% Glycerol (glycerin, glycerine), 0.05% BSA
Shipped at conditions
Blue Ice
Appropriate short-term storage duration
1-2 weeks
Appropriate short-term storage conditions
+4°C
Appropriate long-term storage conditions
-20°C
Aliquoting information
Upon delivery aliquot
Storage information
Avoid freeze / thaw cycle

Supplementary information

This supplementary information is collated from multiple sources and compiled automatically.

Retinoblastoma protein (Rb) also known as pRb is an important regulatory protein with a molecular weight of approximately 110 kDa. It is mainly expressed in the nucleus of cells. Rb functions as a tumor suppressor by controlling the cell cycle progression from G1 to S phase. Rb becomes active when it is dephosphorylated allowing it to bind and inhibit E2F transcription factors consequently preventing the transcription of genes essential for S phase entry.
Biological function summary

Retinoblastoma protein influences cellular proliferation differentiation and apoptosis. It acts within a larger protein complex modulating various cellular responses. When functional Rb halts uncontrolled cell division important for maintaining normal tissue homeostasis. In its phosphorylated state known as phospho-Rb or phospho-Rb E182 it loses its regulatory capabilities which can lead to unrestrained cell cycle progression.

Pathways

Several involve the retinoblastoma protein. One key pathway is the p53 pathway which Rb interacts with to influence cellular outcomes like cell-cycle arrest and apoptosis. Rb cooperates with proteins like p21 to implement these processes. Additionally it is involved in the cyclin D-dependent kinase 4 (CDK4) pathway which modulates its phosphorylation state influencing binding interactions and cell cycle control.

Dysregulation of retinoblastoma protein is commonly associated with cancer particularly retinoblastoma and breast cancer. In retinoblastoma mutations in the Rb gene directly lead to uncontrolled cell proliferation due to the absence of functional Rb protein. Additionally Rb's connection to the E2F family of transcription factors can become disrupted contributing to oncogenesis in other cancers.

Product protocols

For this product, it's our understanding that no specific protocols are required. You can visit:

Target data

Tumor suppressor that is a key regulator of the G1/S transition of the cell cycle (PubMed : 10499802). The hypophosphorylated form binds transcription regulators of the E2F family, preventing transcription of E2F-responsive genes (PubMed : 10499802). Both physically blocks E2Fs transactivating domain and recruits chromatin-modifying enzymes that actively repress transcription (PubMed : 10499802). Cyclin and CDK-dependent phosphorylation of RB1 induces its dissociation from E2Fs, thereby activating transcription of E2F responsive genes and triggering entry into S phase (PubMed : 10499802). RB1 also promotes the G0-G1 transition upon phosphorylation and activation by CDK3/cyclin-C (PubMed : 15084261). Directly involved in heterochromatin formation by maintaining overall chromatin structure and, in particular, that of constitutive heterochromatin by stabilizing histone methylation. Recruits and targets histone methyltransferases SUV39H1, KMT5B and KMT5C, leading to epigenetic transcriptional repression. Controls histone H4 'Lys-20' trimethylation. Inhibits the intrinsic kinase activity of TAF1. Mediates transcriptional repression by SMARCA4/BRG1 by recruiting a histone deacetylase (HDAC) complex to the c-FOS promoter. In resting neurons, transcription of the c-FOS promoter is inhibited by BRG1-dependent recruitment of a phospho-RB1-HDAC1 repressor complex. Upon calcium influx, RB1 is dephosphorylated by calcineurin, which leads to release of the repressor complex (By similarity).. (Microbial infection) In case of viral infections, interactions with SV40 large T antigen, HPV E7 protein or adenovirus E1A protein induce the disassembly of RB1-E2F1 complex thereby disrupting RB1's activity.
See full target information RB1 phospho S780

Publications (20)

Recent publications for all applications. Explore the full list and refine your search

PLoS pathogens 20:e1012535 PubMed39255317

2024

Methylation of KSHV vCyclin by PRMT5 contributes to cell cycle progression and cell proliferation.

Applications

Unspecified application

Species

Unspecified reactive species

Danping Niu,Yuanming Ma,Pengyu Ren,Sijia Chang,Chenhui Li,Yong Jiang,Chunyan Han,Ke Lan

Journal of experimental & clinical cancer research : CR 42:228 PubMed37667382

2023

Deubiquitylase YOD1 regulates CDK1 stability and drives triple-negative breast cancer tumorigenesis.

Applications

Unspecified application

Species

Unspecified reactive species

Zhitao Han,Qi Jia,Jing Zhang,Miaomiao Chen,Lining Wang,Kai Tong,Weiwei He,Yajie Zhang,Weina Zhu,Ju Qin,Tao Wang,Tielong Liu,Yong Ma,Yuanming Chen,Siluo Zha,Chunlei Zhang

Signal transduction and targeted therapy 8:63 PubMed36765030

2023

O-GlcNAcylation of YTHDF2 promotes HBV-related hepatocellular carcinoma progression in an N-methyladenosine-dependent manner.

Applications

Unspecified application

Species

Unspecified reactive species

Yang Yang,Yu Yan,Jiaxin Yin,Ni Tang,Kai Wang,Luyi Huang,Jie Hu,Zhongqi Feng,Qingzhu Gao,Ailong Huang

Science advances 8:eadc8911 PubMed36563143

2022

ACTR5 controls CDKN2A and tumor progression in an INO80-independent manner.

Applications

Unspecified application

Species

Unspecified reactive species

Xiaobao Xu,Anthony K N Chan,Mingli Li,Qiao Liu,Nicole Mattson,Sheela Pangeni Pokharel,Wen-Han Chang,Yate-Ching Yuan,Jinhui Wang,Roger E Moore,Patrick Pirrotte,Jun Wu,Rui Su,Markus Müschen,Steven T Rosen,Jianjun Chen,Lu Yang,Chun-Wei Chen

International journal of molecular sciences 23: PubMed36012688

2022

Expression of Cell Cycle Markers and Proliferation Factors during Human Eye Embryogenesis and Tumorigenesis.

Applications

Unspecified application

Species

Unspecified reactive species

Josipa Marin Lovrić,Natalija Filipović,Ljubo Znaor,Anita Rančić,Joško Petričević,Nenad Kunac,Violeta Šoljić,Mirna Saraga-Babić,Katarina Vukojević

PeerJ 10:e13759 PubMed35855897

2022

JMJD3 suppresses tumor progression in oral tongue squamous cell carcinoma patients receiving surgical resection.

Applications

Unspecified application

Species

Unspecified reactive species

Yen-Hao Chen,Chang-Han Chen,Chih-Yen Chien,Yan-Ye Su,Sheng-Dean Luo,Shau-Hsuan Li

Cell death & disease 13:350 PubMed35428778

2022

Targeted CUL4A inhibition synergizes with cisplatin to yield long-term survival in models of head and neck squamous cell carcinoma through a DDB2-mediated mechanism.

Applications

Unspecified application

Species

Unspecified reactive species

Trace M Jones,Claudia M Espitia,Aikseng Ooi,Julie E Bauman,Jennifer S Carew,Steffan T Nawrocki

Nature communications 12:7297 PubMed34911954

2021

Protein phosphatase 2A inactivation induces microsatellite instability, neoantigen production and immune response.

Applications

Unspecified application

Species

Unspecified reactive species

Yu-Ting Yen,May Chien,Pei-Yi Wu,Chi-Chang Ho,Chun-Te Ho,Kevin Chih-Yang Huang,Shu-Fen Chiang,K S Clifford Chao,William Tzu-Liang Chen,Shih-Chieh Hung

Oncogene 40:4425-4439 PubMed34108622

2021

Combined inhibition of DDR1 and CDK4/6 induces synergistic effects in ER-positive, HER2-negative breast cancer with PIK3CA/AKT1 mutations.

Applications

Unspecified application

Species

Unspecified reactive species

Maryam Shariati,Kurt W Evans,Xiaofeng Zheng,Christopher A Bristow,Patrick Kwok-Shing Ng,Yasmeen Q Rizvi,Coya Tapia,Fei Yang,Alessandro Carugo,Timothy P Heffernan,Michael D Peoples,Debu Tripathy,Funda Meric-Bernstam

Life (Basel, Switzerland) 11: PubMed33672637

2021

Spatio-Temporal Expression Pattern of Ki-67, pRB, MMP-9 and Bax in Human Secondary Palate Development.

Applications

Unspecified application

Species

Unspecified reactive species

Tanja Šimić Bilandžija,Katarina Vukojević,Anka Ćorić,Ivna Vuković Kekez,Ivana Medvedec Mikić,Lidija Lasić Arapović,Natalija Filipović,Jasminka Anđelić,Mirna Saraga-Babić,Danijela Kalibović Govorko
View all publications

Product promise

We are committed to supporting your work with high-quality reagents, and we're here for you every step of the way. In the unlikely event that one of our products does not perform as expected, you're protected by our Product Promise.
For full details, please see our Terms & Conditions

Please note: All products are 'FOR RESEARCH USE ONLY. NOT FOR USE IN DIAGNOSTIC OR THERAPEUTIC PROCEDURES'.

For licensing inquiries, please contact partnerships@abcam.com