JavaScript is disabled in your browser. Please enable JavaScript to view this website.
AB320747

Anti-Rb (phospho T252 + T356 + S608 + S780 + S807) antibody [RM1144]

  • BOND RX™ Validated
  • 20ul selling size
  • KO Validated
  • Recombinant
  • RabMAb
  • What is this?

Be the first to review this product! Submit a review

|

(1 Publication)

Knockout Tested Rabbit Recombinant Multiclonal RB phospho T252 + T356 + S608 + S780 + S807 antibody. Suitable for Dot, IHC-P, WB, IP and reacts with Synthetic peptide - Human, Mouse, Rat, Human, Transfected cell lysate - Human samples. Cited in 1 publication.

View Alternative Names

Retinoblastoma-associated protein, p105-Rb, p110-RB1, pRb, pp110, Rb

10 Images
Immunohistochemistry (Formalin/PFA-fixed paraffin-embedded sections) - Anti-Rb (phospho T252 + T356 + S608 + S780 + S807) antibody [RM1144] (AB320747)
  • IHC-P

Supplier Data

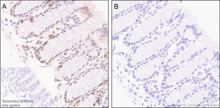
Immunohistochemistry (Formalin/PFA-fixed paraffin-embedded sections) - Anti-Rb (phospho T252 + T356 + S608 + S780 + S807) antibody [RM1144] (AB320747)

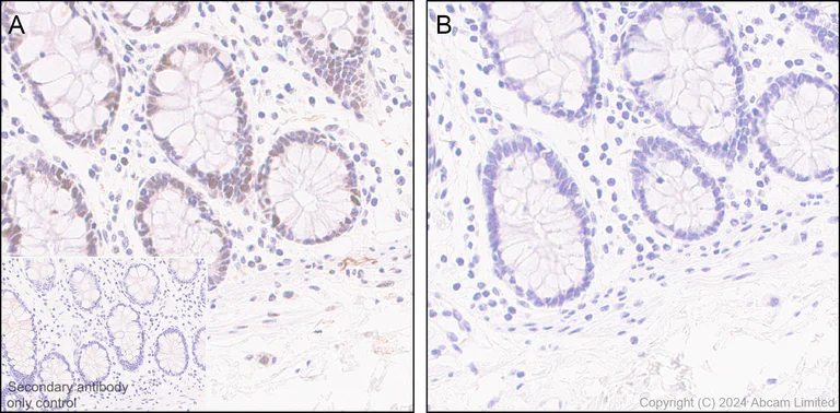
Immunohistochemical analysis of paraffin-embedded Human colon tissue labeling Rb (phospho T252 + T356 + S608 + S780 + S807) with ab320747 at 1/500 (1.022 ug/ml) dilution, followed by a ready to use LeicaDS9800 (Bond™ Polymer Refine Detection). Positive staining on (A) human colon without alkaline phosphatase treatment, no staining on (B) human colon with alkaline phosphatase treatment. The section was incubated with ab320747 for 30 mins at room temperature. The immunostaining was performed on a Leica Biosystems BOND® RX instrument Counterstained with Hematoxylin. Secondary antibody only control : Secondary antibody is a ready to use LeicaDS9800 (Bond™ Polymer Refine Detection). Heat mediated antigen retrieval was performed with Tris-EDTA buffer (pH 9.0, Epitope Retrieval Solution2) for 20 mins

Immunohistochemistry (Formalin/PFA-fixed paraffin-embedded sections) - Anti-Rb (phospho T252 + T356 + S608 + S780 + S807) antibody [RM1144] (AB320747)
  • IHC-P

Supplier Data

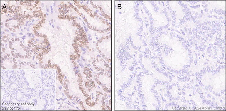
Immunohistochemistry (Formalin/PFA-fixed paraffin-embedded sections) - Anti-Rb (phospho T252 + T356 + S608 + S780 + S807) antibody [RM1144] (AB320747)

Immunohistochemical analysis of paraffin-embedded Human cervical carcinoma tissue labeling Rb (phospho T252 + T356 + S608 + S780 + S807) with ab320747 at 1/500 (1.022 ug/ml) dilution, followed by a ready to use LeicaDS9800 (Bond™ Polymer Refine Detection). Positive staining on (A) human cervical carcinoma without alkaline phosphatase treatment, no staining on (B) human cervical carcinoma with alkaline phosphatase treatment. The section was incubated with ab320747 for 30 mins at room temperature. The immunostaining was performed on a Leica Biosystems BOND® RX instrument Counterstained with Hematoxylin. Secondary antibody only control : Secondary antibody is a ready to use LeicaDS9800 (Bond™ Polymer Refine Detection). Heat mediated antigen retrieval was performed with Tris-EDTA buffer (pH 9.0, Epitope Retrieval Solution2) for 20 mins

Immunoprecipitation - Anti-Rb (phospho T252 + T356 + S608 + S780 + S807) antibody [RM1144] (AB320747)
  • IP

Supplier Data

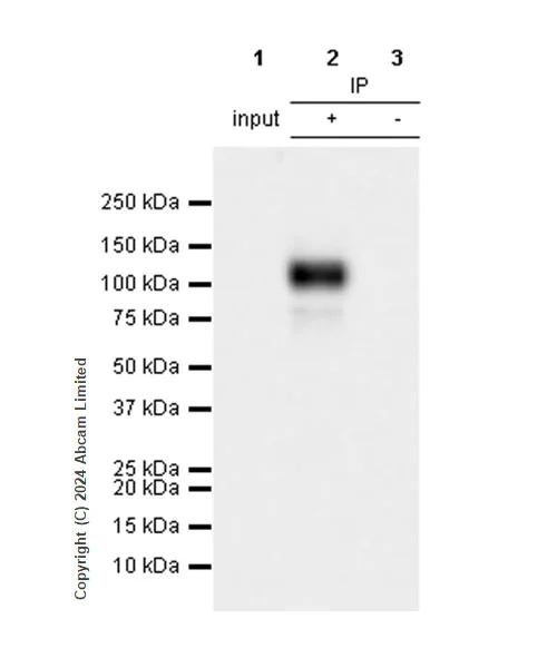
Immunoprecipitation - Anti-Rb (phospho T252 + T356 + S608 + S780 + S807) antibody [RM1144] (AB320747)

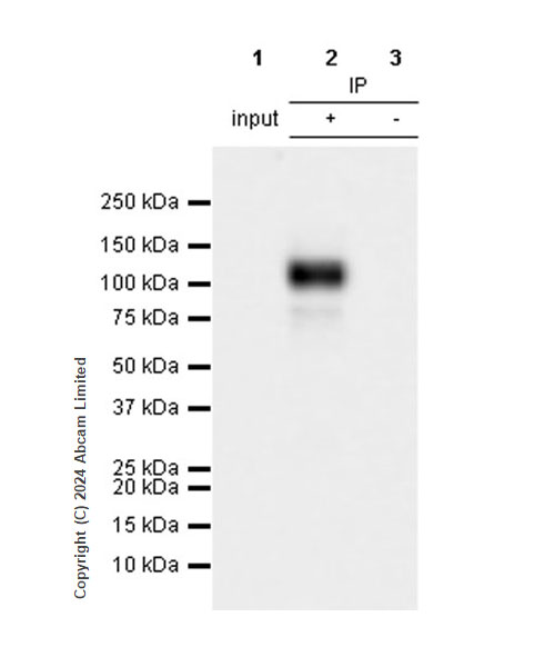
Rb (phospho T252 + T356 + S608 + S780 + S807) was immunoprecipitated from 0.35 mg Jurkat (human T cell leukemia T lymphocyte from peripheral blood) whole cell lysate with ab320747 at 1/30 dilution (2ug in 0.35mg lysates). Western blot was performed on the immunoprecipitate using ab320747 at 1/1000 dilution. VeriBlot for IP secondary antibody(HRP)(ab131366) was used at 1/5000 dilution. Lane 1 : Jurkat whole cell lysate Lane 2 : ab320747 IP in Jurkat whole cell lysate Lane 3 : Rabbit monoclonal IgG (ab172730) instead of ab320747 in Jurkat whole cell lysate Blocking and dilution buffer and concentration : 5% NFDM/TBST. Exposure time : 3 seconds.

All lanes:

Immunoprecipitation - Anti-Rb (phospho T252 + T356 + S608 + S780 + S807) antibody [RM1144] (ab320747) at 1/30 dilution

All lanes:

Jurkat (human T cell leukemia T lymphocyte from peripheral blood) whole cell lysate

Secondary

All lanes:

Immunoprecipitation - VeriBlot for IP Detection Reagent (HRP) (<a href='/en-us/products/reagents/veriblot-for-ip-detection-reagent-hrp-ab131366'>ab131366</a>) at 1/5000 dilution

false

Exposure time: 3s

Immunohistochemistry (Formalin/PFA-fixed paraffin-embedded sections) - Anti-Rb (phospho T252 + T356 + S608 + S780 + S807) antibody [RM1144] (AB320747)
  • IHC-P

Supplier Data

Immunohistochemistry (Formalin/PFA-fixed paraffin-embedded sections) - Anti-Rb (phospho T252 + T356 + S608 + S780 + S807) antibody [RM1144] (AB320747)

Immunohistochemical analysis of paraffin-embedded Mouse colon tissue labeling Rb (phospho T252 + T356 + S608 + S780 + S807) with ab320747 at 1/2000 (0.256 ug/ml) dilution, followed by a ready to use LeicaDS9800 (Bond™ Polymer Refine Detection). Positive staining on (A) mouse colon without alkaline phosphatase treatment, no staining on (B) mouse colon with alkaline phosphatase treatment. The section was incubated with ab320747 for 30 mins at room temperature. The immunostaining was performed on a Leica Biosystems BOND® RX instrument Counterstained with Hematoxylin. Secondary antibody only control : Secondary antibody is a ready to use LeicaDS9800 (Bond™ Polymer Refine Detection). Heat mediated antigen retrieval was performed with Tris-EDTA buffer (pH 9.0, Epitope Retrieval Solution2) for 20 mins

Immunohistochemistry (Formalin/PFA-fixed paraffin-embedded sections) - Anti-Rb (phospho T252 + T356 + S608 + S780 + S807) antibody [RM1144] (AB320747)
  • IHC-P

Supplier Data

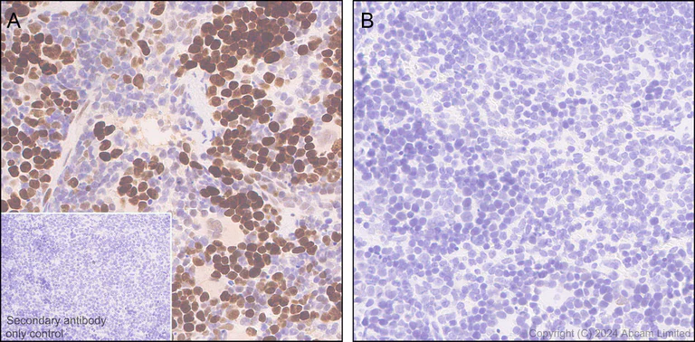
Immunohistochemistry (Formalin/PFA-fixed paraffin-embedded sections) - Anti-Rb (phospho T252 + T356 + S608 + S780 + S807) antibody [RM1144] (AB320747)

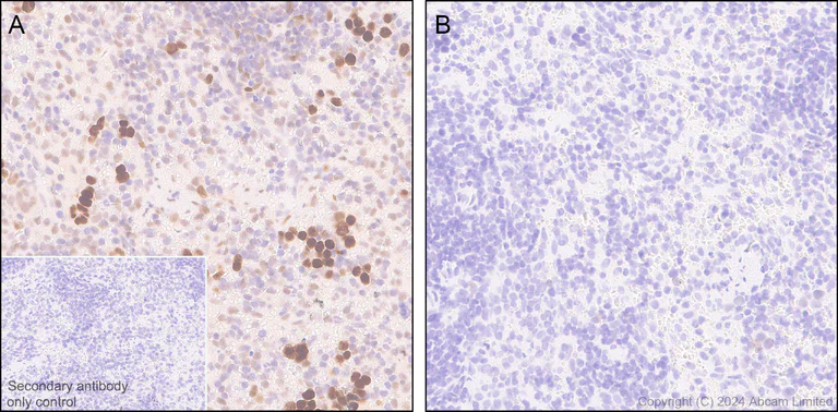
Immunohistochemical analysis of paraffin-embedded Rat spleen tissue labeling Rb (phospho T252 + T356 + S608 + S780 + S807) with ab320747 at 1/2000 (0.256 ug/ml) dilution, followed by a ready to use LeicaDS9800 (Bond™ Polymer Refine Detection). Positive staining on (A) rat spleen without alkaline phosphatase treatment, no staining on (B) rat spleen with alkaline phosphatase treatment. The section was incubated with ab320747 for 30 mins at room temperature. The immunostaining was performed on a Leica Biosystems BOND® RX instrument Counterstained with Hematoxylin. Secondary antibody only control : Secondary antibody is a ready to use LeicaDS9800 (Bond™ Polymer Refine Detection). Heat mediated antigen retrieval was performed with Tris-EDTA buffer (pH 9.0, Epitope Retrieval Solution2) for 20 mins

Immunohistochemistry (Formalin/PFA-fixed paraffin-embedded sections) - Anti-Rb (phospho T252 + T356 + S608 + S780 + S807) antibody [RM1144] (AB320747)
  • IHC-P

Supplier Data

Immunohistochemistry (Formalin/PFA-fixed paraffin-embedded sections) - Anti-Rb (phospho T252 + T356 + S608 + S780 + S807) antibody [RM1144] (AB320747)

Immunohistochemical analysis of paraffin-embedded Mouse spleen tissue labeling Rb (phospho T252 + T356 + S608 + S780 + S807) with ab320747 at 1/2000 (0.256 ug/ml) dilution, followed by a ready to use LeicaDS9800 (Bond™ Polymer Refine Detection). Positive staining on (A) mouse spleen without alkaline phosphatase treatment, no staining on (B) mouse spleen with alkaline phosphatase treatment. The section was incubated with ab320747 for 30 mins at room temperature. The immunostaining was performed on a Leica Biosystems BOND® RX instrument Counterstained with Hematoxylin. Secondary antibody only control : Secondary antibody is a ready to use LeicaDS9800 (Bond™ Polymer Refine Detection). Heat mediated antigen retrieval was performed with Tris-EDTA buffer (pH 9.0, Epitope Retrieval Solution2) for 20 mins

Western blot - Anti-Rb (phospho T252 + T356 + S608 + S780 + S807) antibody [RM1144] (AB320747)
  • WB

Supplier Data

Western blot - Anti-Rb (phospho T252 + T356 + S608 + S780 + S807) antibody [RM1144] (AB320747)

Blocking and diluting buffer and concentration : 5% NFDM/TBST. Palbociclib is a CDK4/6 inhibitor. Treatment leads to a reduction in total Rb1 levels through G1 phase arrest. In Western blot, Anti-GAPDH antibody [EPR16891] - Loading Control (ab181602) staining at 1/200000 dilution. In Western blot, Anti-Rb antibody [EPR17512] (ab181616) staining at 1/1000 dilution.

All lanes:

Western blot - Anti-Rb (phospho T252 + T356 + S608 + S780 + S807) antibody [RM1144] (ab320747) at 1/1000 dilution

Lane 1:

Untreated Jurkat (human T cell leukemia T lymphocyte from peripheral blood) whole cell lysate (untreated membrane) at 20 µg

Lane 2:

Jurkat treated with 1uM palbociclib for 48 hours whole cell lysate (untreated membrane) at 20 µg

Lane 3:

Untreated Jurkat whole cell lysate (alkaline phosphatase treated membrane) at 20 µg

Lane 4:

Jurkat treated with 1uM palbociclib for 8 hours whole cell lysate (alkaline phosphatase treated membrane) at 20 µg

Secondary

All lanes:

Western blot - Goat Anti-Rabbit IgG H&L (HRP) (<a href='/en-us/products/secondary-antibodies/goat-rabbit-igg-h-l-hrp-ab97051'>ab97051</a>) at 1/100000 dilution

Observed band size: 110 kDa,36 kDa

false

Exposure time: 37s

Western blot - Anti-Rb (phospho T252 + T356 + S608 + S780 + S807) antibody [RM1144] (AB320747)
  • WB

Supplier Data

Western blot - Anti-Rb (phospho T252 + T356 + S608 + S780 + S807) antibody [RM1144] (AB320747)

Blocking and diluting buffer and concentration : 5% NFDM/TBST. In Western blot, ab320747 was shown to bind specifically to RB1. Target of interest was observed at 100 kDa in wild-type HAP1 cell lysates (lane 1) with no signal observed at this size in RB1 knockout cell line (lane 2). In Western blot, Anti-GAPDH antibody [EPR16891] - Loading Control (ab181602) staining at 1/200000 dilution. In Western blot, Anti-Rb antibody [EPR17512] (ab181616) staining at 1/1000 dilution.

All lanes:

Western blot - Anti-Rb (phospho T252 + T356 + S608 + S780 + S807) antibody [RM1144] (ab320747) at 1/1000 dilution

Lane 1:

Wild-type HAP1 (human chronic myelogenous leukemia near-haploid cell) whole cell lysate (untreated membrane) at 20 µg

Lane 2:

RB1 knockout HAP1 whole cell lysate (untreated membrane) at 20 µg

Lane 3:

Wild-type HAP1 whole cell lysate (alkaline phosphatase treated membrane) at 20 µg

Lane 4:

RB1 knockout HAP1 whole cell lysate (alkaline phosphatase treated membrane) at 20 µg

Secondary

All lanes:

Western blot - Goat Anti-Rabbit IgG H&L (HRP) (<a href='/en-us/products/secondary-antibodies/goat-rabbit-igg-h-l-hrp-ab97051'>ab97051</a>) at 1/100000 dilution

Observed band size: 110 kDa,36 kDa

false

Exposure time: 37s

Dot Blot - Anti-Rb (phospho T252 + T356 + S608 + S780 + S807) antibody [RM1144] (AB320747)
  • Dot

Supplier Data

Dot Blot - Anti-Rb (phospho T252 + T356 + S608 + S780 + S807) antibody [RM1144] (AB320747)

Dot blot analysis of Rb (phospho T252 + T356 + S608 + S780 + S807) using ab320747 at 1 : 1000 (0.511 ug/ml) followed by a Goat Anti-Rabbit IgG, (H+L), Peroxidase conjugated (ab97051) at 1 : 100,000 dilution. Lane 1 : Human Rb1 non-phospho peptide Lane 2 : Human Rb1 (phospho T252) peptide Lane 3 : Human Rb1 non-phospho peptide Lane 4 : Human Rb1 (phospho T356) peptide Lane 5 : Human Rb1 non-phospho peptide Lane 6 : Human Rb1 (phospho S608) peptide Lane 7 : Human Rb1 non-phospho peptide Lane 8 : Human Rb1 (phospho S780) peptide Lane 9 : Human Rb1 non-phospho peptide Lane 10 : Human Rb1 (phospho S807) peptide Exposure time : 180 seconds. Blocking and diluting buffer and concentration : 5% NFDM/TBST.

All lanes:

Dot Blot - Anti-Rb (phospho T252 + T356 + S608 + S780 + S807) antibody [RM1144] (ab320747) at 1/1000 dilution

Lanes 1, 3, 5, 7 and 9:

Human Rb1 non-phospho peptide

Lane 2:

Human Rb1 (phospho T252) peptide

Lane 4:

Human Rb1 (phospho T356) peptide

Lane 6:

Human Rb1 (phospho S608) peptide

Lane 8:

Human Rb1 (phospho S780) peptide

Lane 10:

Human Rb1 (phospho S807) peptide

Secondary

All lanes:

Dot Blot - Goat Anti-Rabbit IgG H&L (HRP) (<a href='/en-us/products/secondary-antibodies/goat-rabbit-igg-h-l-hrp-ab97051'>ab97051</a>) at 1/100000 dilution

false

Exposure time: 180s

Western blot - Anti-Rb (phospho T252 + T356 + S608 + S780 + S807) antibody [RM1144] (AB320747)
  • WB

Supplier Data

Western blot - Anti-Rb (phospho T252 + T356 + S608 + S780 + S807) antibody [RM1144] (AB320747)

Blocking and diluting buffer and concentration : 5% NFDM/TBST. In Western blot, Anti-GAPDH antibody [EPR16891] - Loading Control (ab181602) staining at 1/200000 dilution. In Western blot, Anti-Rb antibody [EPR17512] (ab181616) staining at 1/1000 dilution. In Western blot, Anti-6X His tag® antibody [EPR20547] - ChIP Grade (ab213204) staining at 1/5000 dilution.

All lanes:

Western blot - Anti-Rb (phospho T252 + T356 + S608 + S780 + S807) antibody [RM1144] (ab320747) at 1/1000 dilution

Lane 1:

293T cells transfected with an empty vector containing a myc-his tag, whole cell lysate at 20 µg

Lane 2:

293T cells transfected with a human Rb1 expression vector containing a myc-his-tag, whole cell lysate at 2 µg

Lane 3:

293T cells transfected with a human Rb1(T252A, T56A, S608A, S780A, S807A) expression vector containing a myc-his-tag, whole cell lysate at 40 µg

Secondary

All lanes:

Western blot - Goat Anti-Rabbit IgG H&L (HRP) (<a href='/en-us/products/secondary-antibodies/goat-rabbit-igg-h-l-hrp-ab97051'>ab97051</a>) at 1/100000 dilution

Observed band size: 110 kDa,36 kDa

false

Exposure time: 15s

Key facts

Host species

Rabbit

Clonality

Multiclonal

Clone number

RM1144

Isotype

IgG

Carrier free

No

Reacts with

Mouse, Rat, Human

Applications

Dot, IP, WB, IHC-P

applications

Immunogen

This product was produced with the following immunogens:

The exact immunogen used to generate this antibody is proprietary information.

The exact immunogen used to generate this antibody is proprietary information.

The exact immunogen used to generate this antibody is proprietary information.

The exact immunogen used to generate this antibody is proprietary information.

Reactivity data

{ "title": "Reactivity Data", "filters": { "stats": ["", "Species", "Dilution Info", "Notes"], "tabs": { "all-applications": {"fullname" : "All Applications", "shortname": "All Applications"}, "Dot" : {"fullname" : "Dot Blot", "shortname":"Dot"}, "IHCP" : {"fullname" : "Immunohistochemistry (Formalin/PFA-fixed paraffin-embedded sections)", "shortname":"IHC-P"}, "WB" : {"fullname" : "Western blot", "shortname":"WB"}, "IP" : {"fullname" : "Immunoprecipitation", "shortname":"IP"}, "ICCIF" : {"fullname" : "Immunocytochemistry/ Immunofluorescence", "shortname":"ICC/IF"} }, "product-promise": { "all": "all", "testedAndGuaranteed": "tested", "guaranteed": "expected", "predicted": "predicted", "notRecommended": "not-recommended" } }, "values": { "Human": { "Dot-species-checked": "guaranteed", "Dot-species-dilution-info": "", "Dot-species-notes": "", "IHCP-species-checked": "testedAndGuaranteed", "IHCP-species-dilution-info": "1/500", "IHCP-species-notes": "<p></p> Perform heat-mediated antigen retrieval with Tris/EDTA buffer pH 9.0 before commencing with IHC staining protocol.", "WB-species-checked": "testedAndGuaranteed", "WB-species-dilution-info": "1/1000", "WB-species-notes": "<p></p>", "IP-species-checked": "testedAndGuaranteed", "IP-species-dilution-info": "1/30", "IP-species-notes": "<p></p>", "ICCIF-species-checked": "notRecommended", "ICCIF-species-dilution-info": "", "ICCIF-species-notes": "<p></p>" }, "Mouse": { "Dot-species-checked": "guaranteed", "Dot-species-dilution-info": "", "Dot-species-notes": "", "IHCP-species-checked": "testedAndGuaranteed", "IHCP-species-dilution-info": "1/500", "IHCP-species-notes": "<p></p> Perform heat-mediated antigen retrieval with Tris/EDTA buffer pH 9.0 before commencing with IHC staining protocol.", "WB-species-checked": "guaranteed", "WB-species-dilution-info": "", "WB-species-notes": "", "IP-species-checked": "guaranteed", "IP-species-dilution-info": "", "IP-species-notes": "", "ICCIF-species-checked": "notRecommended", "ICCIF-species-dilution-info": "", "ICCIF-species-notes": "" }, "Rat": { "Dot-species-checked": "guaranteed", "Dot-species-dilution-info": "", "Dot-species-notes": "", "IHCP-species-checked": "testedAndGuaranteed", "IHCP-species-dilution-info": "1/500", "IHCP-species-notes": "<p></p> Perform heat-mediated antigen retrieval with Tris/EDTA buffer pH 9.0 before commencing with IHC staining protocol.", "WB-species-checked": "guaranteed", "WB-species-dilution-info": "", "WB-species-notes": "", "IP-species-checked": "guaranteed", "IP-species-dilution-info": "", "IP-species-notes": "", "ICCIF-species-checked": "notRecommended", "ICCIF-species-dilution-info": "", "ICCIF-species-notes": "" }, "Synthetic peptide - Human": { "Dot-species-checked": "testedAndGuaranteed", "Dot-species-dilution-info": "1/1000", "Dot-species-notes": "<p></p>", "IHCP-species-checked": "notRecommended", "IHCP-species-dilution-info": "", "IHCP-species-notes": "", "WB-species-checked": "notRecommended", "WB-species-dilution-info": "", "WB-species-notes": "", "IP-species-checked": "notRecommended", "IP-species-dilution-info": "", "IP-species-notes": "", "ICCIF-species-checked": "notRecommended", "ICCIF-species-dilution-info": "", "ICCIF-species-notes": "" }, "Transfected cell lysate - Human": { "Dot-species-checked": "notRecommended", "Dot-species-dilution-info": "", "Dot-species-notes": "", "IHCP-species-checked": "notRecommended", "IHCP-species-dilution-info": "", "IHCP-species-notes": "", "WB-species-checked": "testedAndGuaranteed", "WB-species-dilution-info": "", "WB-species-notes": "<p></p>", "IP-species-checked": "notRecommended", "IP-species-dilution-info": "", "IP-species-notes": "", "ICCIF-species-checked": "notRecommended", "ICCIF-species-dilution-info": "", "ICCIF-species-notes": "" } } }

Product details

What are recombinant multiclonals?
Recombinant multiclonals are a mixture of recombinant antibodies co-expressed from a library of heavy and light chains. They offer several advantages including:

  • - The sensitivity of polyclonal antibodies by recognising multiple epitopes
  • - High batch-to-batch consistency and reproducibility
  • - Improved sensitivity and specificity
  • - Long-term security of supply
  • - Animal-free batch production

View our range of recombinant multiclonal antibodies.

Patented technology
Our RabMAb® technology is a patented hybridoma-based technology for making rabbit monoclonal antibodies. For details on our patents, please refer to RabMAb® patents.

Properties and storage information

Form
Liquid
Purification technique
Affinity purification Protein A
Storage buffer
pH: 7.2 - 7.4 Preservative: 0.01% Sodium azide Constituents: PBS, 40% Glycerol (glycerin, glycerine), 0.05% BSA
Shipped at conditions
Blue Ice
Appropriate short-term storage duration
1-2 weeks
Appropriate short-term storage conditions
+4°C
Appropriate long-term storage conditions
-20°C
Aliquoting information
Upon delivery aliquot
Storage information
Avoid freeze / thaw cycle

Supplementary information

This supplementary information is collated from multiple sources and compiled automatically.

Retinoblastoma protein (Rb) also known as pRb is an important regulatory protein with a molecular weight of approximately 110 kDa. It is mainly expressed in the nucleus of cells. Rb functions as a tumor suppressor by controlling the cell cycle progression from G1 to S phase. Rb becomes active when it is dephosphorylated allowing it to bind and inhibit E2F transcription factors consequently preventing the transcription of genes essential for S phase entry.
Biological function summary

Retinoblastoma protein influences cellular proliferation differentiation and apoptosis. It acts within a larger protein complex modulating various cellular responses. When functional Rb halts uncontrolled cell division important for maintaining normal tissue homeostasis. In its phosphorylated state known as phospho-Rb or phospho-Rb E182 it loses its regulatory capabilities which can lead to unrestrained cell cycle progression.

Pathways

Several involve the retinoblastoma protein. One key pathway is the p53 pathway which Rb interacts with to influence cellular outcomes like cell-cycle arrest and apoptosis. Rb cooperates with proteins like p21 to implement these processes. Additionally it is involved in the cyclin D-dependent kinase 4 (CDK4) pathway which modulates its phosphorylation state influencing binding interactions and cell cycle control.

Dysregulation of retinoblastoma protein is commonly associated with cancer particularly retinoblastoma and breast cancer. In retinoblastoma mutations in the Rb gene directly lead to uncontrolled cell proliferation due to the absence of functional Rb protein. Additionally Rb's connection to the E2F family of transcription factors can become disrupted contributing to oncogenesis in other cancers.

Product protocols

For this product, it's our understanding that no specific protocols are required. You can visit:

Target data

Tumor suppressor that is a key regulator of the G1/S transition of the cell cycle (PubMed : 10499802). The hypophosphorylated form binds transcription regulators of the E2F family, preventing transcription of E2F-responsive genes (PubMed : 10499802). Both physically blocks E2Fs transactivating domain and recruits chromatin-modifying enzymes that actively repress transcription (PubMed : 10499802). Cyclin and CDK-dependent phosphorylation of RB1 induces its dissociation from E2Fs, thereby activating transcription of E2F responsive genes and triggering entry into S phase (PubMed : 10499802). RB1 also promotes the G0-G1 transition upon phosphorylation and activation by CDK3/cyclin-C (PubMed : 15084261). Directly involved in heterochromatin formation by maintaining overall chromatin structure and, in particular, that of constitutive heterochromatin by stabilizing histone methylation. Recruits and targets histone methyltransferases SUV39H1, KMT5B and KMT5C, leading to epigenetic transcriptional repression. Controls histone H4 'Lys-20' trimethylation. Inhibits the intrinsic kinase activity of TAF1. Mediates transcriptional repression by SMARCA4/BRG1 by recruiting a histone deacetylase (HDAC) complex to the c-FOS promoter. In resting neurons, transcription of the c-FOS promoter is inhibited by BRG1-dependent recruitment of a phospho-RB1-HDAC1 repressor complex. Upon calcium influx, RB1 is dephosphorylated by calcineurin, which leads to release of the repressor complex (By similarity).. (Microbial infection) In case of viral infections, interactions with SV40 large T antigen, HPV E7 protein or adenovirus E1A protein induce the disassembly of RB1-E2F1 complex thereby disrupting RB1's activity.
See full target information Retinoblastoma-associated protein phospho T252 + T356 + S608 + S780 + S807

Publications (1)

Recent publications for all applications. Explore the full list and refine your search

Journal of nanobiotechnology 23:536 PubMed40696430

2025

Quercetin combined with shTERT induces apoptosis in ovarian cancer via the P53/Bax pathway, and RGD-MSN/QR/shTERT nanoparticles enhance the therapeutic efficacy.

Applications

Unspecified application

Species

Unspecified reactive species

Guojie Chen,Weiwei Song,Xing Wang,Guangyao Mao,Weifeng Hu,Rongrong Dou,He Zhu,Yongkang Zhang,Xianhua Fu,Mei Lin
View all publications

Product promise

We are committed to supporting your work with high-quality reagents, and we're here for you every step of the way. In the unlikely event that one of our products does not perform as expected, you're protected by our Product Promise.
For full details, please see our Terms & Conditions

Please note: All products are 'FOR RESEARCH USE ONLY. NOT FOR USE IN DIAGNOSTIC OR THERAPEUTIC PROCEDURES'.

For licensing inquiries, please contact partnerships@abcam.com