JavaScript is disabled in your browser. Please enable JavaScript to view this website.
AB76298

Anti-Rb (phospho T356) antibody [EPR2153AY]

Be the first to review this product! Submit a review

|

(6 Publications)

Rabbit Recombinant Monoclonal RB phospho T356 antibody. Suitable for IHC-P, IP, Dot, WB and reacts with Human, Synthetic peptide samples. Cited in 6 publications.

View Alternative Names

Retinoblastoma-associated protein, p105-Rb, p110-RB1, pRb, pp110, Rb, RB1

9 Images
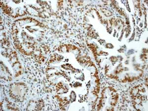
Immunohistochemistry (Formalin/PFA-fixed paraffin-embedded sections) - Anti-Rb (phospho T356) antibody [EPR2153AY] (AB76298)
  • IHC-P

Supplier Data

Immunohistochemistry (Formalin/PFA-fixed paraffin-embedded sections) - Anti-Rb (phospho T356) antibody [EPR2153AY] (AB76298)

ab76298 showing positive staining in Endometrial carcinoma tissue.

Perform heat mediated antigen retrieval with citrate buffer pH 6 before commencing with IHC staining protocol.

Immunohistochemistry (Formalin/PFA-fixed paraffin-embedded sections) - Anti-Rb (phospho T356) antibody [EPR2153AY] (AB76298)
  • IHC-P

Supplier Data

Immunohistochemistry (Formalin/PFA-fixed paraffin-embedded sections) - Anti-Rb (phospho T356) antibody [EPR2153AY] (AB76298)

ab76298 showing positive staining in Lung adenocarcinoma tissue.

Perform heat mediated antigen retrieval with citrate buffer pH 6 before commencing with IHC staining protocol.

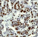
Immunohistochemistry (Formalin/PFA-fixed paraffin-embedded sections) - Anti-Rb (phospho T356) antibody [EPR2153AY] (AB76298)
  • IHC-P

Unknown

Immunohistochemistry (Formalin/PFA-fixed paraffin-embedded sections) - Anti-Rb (phospho T356) antibody [EPR2153AY] (AB76298)

ab76298 showing positive staining in Normal tonsil tissue.

Perform heat mediated antigen retrieval with citrate buffer pH 6 before commencing with IHC staining protocol.

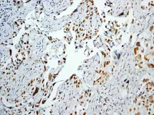
Immunohistochemistry (Formalin/PFA-fixed paraffin-embedded sections) - Anti-Rb (phospho T356) antibody [EPR2153AY] (AB76298)
  • IHC-P

Supplier Data

Immunohistochemistry (Formalin/PFA-fixed paraffin-embedded sections) - Anti-Rb (phospho T356) antibody [EPR2153AY] (AB76298)

ab76298 showing positive staining in Ovarian carcinoma tissue.

Perform heat mediated antigen retrieval with citrate buffer pH 6 before commencing with IHC staining protocol.

Immunohistochemistry (Formalin/PFA-fixed paraffin-embedded sections) - Anti-Rb (phospho T356) antibody [EPR2153AY] (AB76298)
  • IHC-P

Unknown

Immunohistochemistry (Formalin/PFA-fixed paraffin-embedded sections) - Anti-Rb (phospho T356) antibody [EPR2153AY] (AB76298)

Immunohistochemical analysis of paraffin-embedded human breast carcinoma using ab76298 at 1/100-1/250 dilution.

Perform heat mediated antigen retrieval with citrate buffer pH 6 before commencing with IHC staining protocol.

Immunoprecipitation - Anti-Rb (phospho T356) antibody [EPR2153AY] (AB76298)
  • IP

Lab

Immunoprecipitation - Anti-Rb (phospho T356) antibody [EPR2153AY] (AB76298)

Purified ab76298 at 1/20 dilution (0.5μg) immunoprecipitating Rb in Jurkat whole cell lysate.
Lane 1 (input) : Jurkat (Human T cell leukemia T lymphocyte) whole cell lysate 10μg
Lane 2 (+) : ab76298 + Jurkat whole cell lysate.
Lane 3 (-) : Rabbit monoclonal IgG (ab172730) instead of ab76298 in Jurkat whole cell lysate.
VeriBlot for IP Detection Reagent (HRP) (ab131366) (1/1000 dilution) was used for Western blotting.
Blocking Buffer and concentration : 5% NFDM/TBST.
Diluting buffer and concentration : 5% NFDM/TBST.
Observed band size : 110 kDa
Cleavage fragments were observed as described in literature. (PMID : 11420704)

All lanes:

Immunoprecipitation - Anti-Rb (phospho T356) antibody [EPR2153AY] (ab76298)

Predicted band size: 106 kDa

false

Western blot - Anti-Rb (phospho T356) antibody [EPR2153AY] (AB76298)
  • WB

Supplier Data

Western blot - Anti-Rb (phospho T356) antibody [EPR2153AY] (AB76298)

All lanes:

Western blot - Anti-Rb (phospho T356) antibody [EPR2153AY] (ab76298) at 1/4000 dilution

Lane 1:

K562 (Human chronic myelogenous leukemia cell line from bone marrow) 2 day serum starved whole cell lysate at 15 µg

Lane 2:

K562 (Human chronic myelogenous leukemia cell line from bone marrow) whole cell lysate at 15 µg

Lane 3:

K562 (Human chronic myelogenous leukemia cell line from bone marrow) whole cell lysate, membrane incubated with phosphatase at 15 µg

Secondary

All lanes:

Western blot - Goat Anti-Rabbit IgG H&L (HRP) (<a href='/en-us/products/secondary-antibodies/goat-rabbit-igg-h-l-hrp-ab97051'>ab97051</a>) at 1/20000 dilution

Predicted band size: 106 kDa

Observed band size: 106 kDa

false

Exposure time: 1min

Western blot - Anti-Rb (phospho T356) antibody [EPR2153AY] (AB76298)
  • WB

Unknown

Western blot - Anti-Rb (phospho T356) antibody [EPR2153AY] (AB76298)

All lanes:

Western blot - Anti-Rb (phospho T356) antibody [EPR2153AY] (ab76298) at 1/2000 dilution

Lane 1:

Jurkat cell lysate at 10 µg

Lane 2:

Jurkat cell lysate treated with FBS at 10 µg

Secondary

All lanes:

HRP labelled goat anti-rabbit at 1/2000 dilution

Predicted band size: 106 kDa

Observed band size: 106 kDa

false

Dot Blot - Anti-Rb (phospho T356) antibody [EPR2153AY] (AB76298)
  • Dot

Lab

Dot Blot - Anti-Rb (phospho T356) antibody [EPR2153AY] (AB76298)

Dot blot analysis of Rb (phospho T356) phospho peptide (Lane 1) Rb Non-phospho peptide (Lane 2) labelling Rb (phospho T356) with ab76298 at a dilution of 1/1000. Peroxidase conjugated goat anti-rabbit IgG (H+L) was used as the secondary antibody at a dilution of 1/2500.

Blocking and dilution buffer : 5% NFDM/TBST.

Exposure time : 3 minutes.

  • Carrier free

    Anti-Rb (phospho T356) antibody [EPR2153AY] - BSA and Azide free

Key facts

Host species

Rabbit

Clonality

Monoclonal

Clone number

EPR2153AY

Isotype

IgG

Carrier free

No

Reacts with

Human

Applications

Dot, IHC-P, IP, WB

applications

Immunogen

The exact immunogen used to generate this antibody is proprietary information.

Reactivity data

{ "title": "Reactivity Data", "filters": { "stats": ["", "Species", "Dilution Info", "Notes"], "tabs": { "all-applications": {"fullname" : "All Applications", "shortname": "All Applications"}, "IHCP" : {"fullname" : "Immunohistochemistry (Formalin/PFA-fixed paraffin-embedded sections)", "shortname":"IHC-P"}, "IP" : {"fullname" : "Immunoprecipitation", "shortname":"IP"}, "FlowCyt" : {"fullname" : "Flow Cytometry", "shortname":"Flow Cyt"}, "Dot" : {"fullname" : "Dot Blot", "shortname":"Dot"}, "WB" : {"fullname" : "Western blot", "shortname":"WB"}, "ICCIF" : {"fullname" : "Immunocytochemistry/ Immunofluorescence", "shortname":"ICC/IF"} }, "product-promise": { "all": "all", "testedAndGuaranteed": "tested", "guaranteed": "expected", "predicted": "predicted", "notRecommended": "not-recommended" } }, "values": { "Human": { "IHCP-species-checked": "testedAndGuaranteed", "IHCP-species-dilution-info": "1/100 - 1/250", "IHCP-species-notes": "<p></p>", "IP-species-checked": "testedAndGuaranteed", "IP-species-dilution-info": "1/20", "IP-species-notes": "<p></p>", "FlowCyt-species-checked": "notRecommended", "FlowCyt-species-dilution-info": "", "FlowCyt-species-notes": "<p></p>", "Dot-species-checked": "guaranteed", "Dot-species-dilution-info": "", "Dot-species-notes": "", "WB-species-checked": "testedAndGuaranteed", "WB-species-dilution-info": "1/2000", "WB-species-notes": "<p></p>", "ICCIF-species-checked": "notRecommended", "ICCIF-species-dilution-info": "1/100 - 1/250", "ICCIF-species-notes": "<p></p>" }, "Synthetic peptide": { "IHCP-species-checked": "notRecommended", "IHCP-species-dilution-info": "", "IHCP-species-notes": "", "IP-species-checked": "notRecommended", "IP-species-dilution-info": "", "IP-species-notes": "", "FlowCyt-species-checked": "notRecommended", "FlowCyt-species-dilution-info": "", "FlowCyt-species-notes": "", "Dot-species-checked": "testedAndGuaranteed", "Dot-species-dilution-info": "", "Dot-species-notes": "<p></p>", "WB-species-checked": "notRecommended", "WB-species-dilution-info": "", "WB-species-notes": "", "ICCIF-species-checked": "notRecommended", "ICCIF-species-dilution-info": "", "ICCIF-species-notes": "" } } }

Product details

Species reactivity
Mouse, Rat: We have preliminary internal testing data to indicate this antibody may not react with these species.
Please contact us for more information.

Patented technology
Our RabMAb® technology is a patented hybridoma-based technology for making rabbit monoclonal antibodies. For details on our patents, please refer to RabMAb® patents.

What are the advantages of a recombinant monoclonal antibody?
This product is a recombinant monoclonal antibody, which offers several advantages including:

  • - High batch-to-batch consistency and reproducibility
  • - Improved sensitivity and specificity
  • - Long-term security of supply
  • - Animal-free batch production

For more information, read more on recombinant antibodies.

Properties and storage information

Form
Liquid
Purification technique
Affinity purification Protein A
Storage buffer
pH: 7.2 - 7.4 Preservative: 0.05% Sodium azide Constituents: 50% Tissue culture supernatant, 40% Glycerol (glycerin, glycerine), 9.85% Tris glycine, 0.1% BSA
Shipped at conditions
Blue Ice
Appropriate short-term storage conditions
+4°C
Appropriate long-term storage conditions
-20°C
Aliquoting information
Upon delivery aliquot
Storage information
Avoid freeze / thaw cycle

Supplementary information

This supplementary information is collated from multiple sources and compiled automatically.

Retinoblastoma protein (Rb) also known as pRb is an important regulatory protein with a molecular weight of approximately 110 kDa. It is mainly expressed in the nucleus of cells. Rb functions as a tumor suppressor by controlling the cell cycle progression from G1 to S phase. Rb becomes active when it is dephosphorylated allowing it to bind and inhibit E2F transcription factors consequently preventing the transcription of genes essential for S phase entry.
Biological function summary

Retinoblastoma protein influences cellular proliferation differentiation and apoptosis. It acts within a larger protein complex modulating various cellular responses. When functional Rb halts uncontrolled cell division important for maintaining normal tissue homeostasis. In its phosphorylated state known as phospho-Rb or phospho-Rb E182 it loses its regulatory capabilities which can lead to unrestrained cell cycle progression.

Pathways

Several involve the retinoblastoma protein. One key pathway is the p53 pathway which Rb interacts with to influence cellular outcomes like cell-cycle arrest and apoptosis. Rb cooperates with proteins like p21 to implement these processes. Additionally it is involved in the cyclin D-dependent kinase 4 (CDK4) pathway which modulates its phosphorylation state influencing binding interactions and cell cycle control.

Dysregulation of retinoblastoma protein is commonly associated with cancer particularly retinoblastoma and breast cancer. In retinoblastoma mutations in the Rb gene directly lead to uncontrolled cell proliferation due to the absence of functional Rb protein. Additionally Rb's connection to the E2F family of transcription factors can become disrupted contributing to oncogenesis in other cancers.

Product protocols

For this product, it's our understanding that no specific protocols are required. You can visit:

Target data

Tumor suppressor that is a key regulator of the G1/S transition of the cell cycle (PubMed : 10499802). The hypophosphorylated form binds transcription regulators of the E2F family, preventing transcription of E2F-responsive genes (PubMed : 10499802). Both physically blocks E2Fs transactivating domain and recruits chromatin-modifying enzymes that actively repress transcription (PubMed : 10499802). Cyclin and CDK-dependent phosphorylation of RB1 induces its dissociation from E2Fs, thereby activating transcription of E2F responsive genes and triggering entry into S phase (PubMed : 10499802). RB1 also promotes the G0-G1 transition upon phosphorylation and activation by CDK3/cyclin-C (PubMed : 15084261). Directly involved in heterochromatin formation by maintaining overall chromatin structure and, in particular, that of constitutive heterochromatin by stabilizing histone methylation. Recruits and targets histone methyltransferases SUV39H1, KMT5B and KMT5C, leading to epigenetic transcriptional repression. Controls histone H4 'Lys-20' trimethylation. Inhibits the intrinsic kinase activity of TAF1. Mediates transcriptional repression by SMARCA4/BRG1 by recruiting a histone deacetylase (HDAC) complex to the c-FOS promoter. In resting neurons, transcription of the c-FOS promoter is inhibited by BRG1-dependent recruitment of a phospho-RB1-HDAC1 repressor complex. Upon calcium influx, RB1 is dephosphorylated by calcineurin, which leads to release of the repressor complex (By similarity).. (Microbial infection) In case of viral infections, interactions with SV40 large T antigen, HPV E7 protein or adenovirus E1A protein induce the disassembly of RB1-E2F1 complex thereby disrupting RB1's activity.
See full target information RB1 phospho T356

Publications (6)

Recent publications for all applications. Explore the full list and refine your search

Nature 631:424-431 PubMed38926571

2024

An intermediate Rb-E2F activity state safeguards proliferation commitment.

Applications

Unspecified application

Species

Unspecified reactive species

Yumi Konagaya,David Rosenthal,Nalin Ratnayeke,Yilin Fan,Tobias Meyer

Molecular and cellular biology 37: PubMed28031330

2017

SETD4 Regulates Cell Quiescence and Catalyzes the Trimethylation of H4K20 during Diapause Formation in Artemia.

Applications

Unspecified application

Species

Unspecified reactive species

Li Dai,Sen Ye,Hua-Wei Li,Dian-Fu Chen,Hong-Liang Wang,Sheng-Nan Jia,Cheng Lin,Jin-Shu Yang,Fan Yang,Hiromichi Nagasawa,Wei-Jun Yang

Molecular cancer therapeutics 15:2486-2497 PubMed27507850

2016

EGFR and RB1 as Dual Biomarkers in HPV-Negative Head and Neck Cancer.

Applications

Unspecified application

Species

Unspecified reactive species

Tim N Beck,Rachel Georgopoulos,Elena I Shagisultanova,David Sarcu,Elizabeth A Handorf,Cara Dubyk,Miriam N Lango,John A Ridge,Igor Astsaturov,Ilya G Serebriiskii,Barbara A Burtness,Ranee Mehra,Erica A Golemis

Pediatric blood & cancer 63:276-86 PubMed26398108

2015

Pharmacodynamic and genomic markers associated with response to the XPO1/CRM1 inhibitor selinexor (KPT-330): A report from the pediatric preclinical testing program.

Applications

Unspecified application

Species

Unspecified reactive species

Edward F Attiyeh,John M Maris,Richard Lock,C Patrick Reynolds,Min H Kang,Hernan Carol,Richard Gorlick,E Anders Kolb,Stephen T Keir,Jianrong Wu,Yosef Landesman,Sharon Shacham,Dmitry Lyalin,Raushan T Kurmasheva,Peter J Houghton,Malcolm A Smith

Oncotarget 6:18863-74 PubMed26265441

2015

Phospho-T356RB1 predicts survival in HPV-negative squamous cell carcinoma of the head and neck.

Applications

IHC-P

Species

Human

Tim N Beck,John Kaczmar,Elizabeth Handorf,Anna Nikonova,Cara Dubyk,Suraj Peri,Miriam Lango,John A Ridge,Ilya G Serebriiskii,Barbara Burtness,Erica A Golemis,Ranee Mehra

Biochemical and biophysical research communication 441:976-81 PubMed24220339

2013

MicroRNA-490-5p inhibits proliferation of bladder cancer by targeting c-Fos.

Applications

WB

Species

Human

Shiqi Li,Xianglai Xu,Xin Xu,Zhenghui Hu,Jian Wu,Yi Zhu,Hong Chen,Yeqing Mao,Yiwei Lin,Jindan Luo,Xiangyi Zheng,Liping Xie
View all publications

Product promise

We are committed to supporting your work with high-quality reagents, and we're here for you every step of the way. In the unlikely event that one of our products does not perform as expected, you're protected by our Product Promise.
For full details, please see our Terms & Conditions

Please note: All products are 'FOR RESEARCH USE ONLY. NOT FOR USE IN DIAGNOSTIC OR THERAPEUTIC PROCEDURES'.

For licensing inquiries, please contact partnerships@abcam.com