JavaScript is disabled in your browser. Please enable JavaScript to view this website.
AB79416

Anti-RBBP4 antibody [EPR3411] - ChIP Grade

Be the first to review this product! Submit a review

|

(20 Publications)

Rabbit Recombinant Monoclonal RBBP4 antibody. Suitable for IHC-P, ICC/IF, IP, WB, ChIP-seq, Flow Cyt (Intra), ChIC/CUT&RUN-seq and reacts with Mouse, Rat, Human samples. Cited in 20 publications.

View Alternative Names

RBAP48, RBBP4, Histone-binding protein RBBP4, Chromatin assembly factor 1 subunit C, Chromatin assembly factor I p48 subunit, Nucleosome-remodeling factor subunit RBAP48, Retinoblastoma-binding protein 4, Retinoblastoma-binding protein p48, CAF-1 subunit C, CAF-I 48 kDa subunit, CAF-I p48, RBBP-4

16 Images
Immunocytochemistry/ Immunofluorescence - Anti-RBBP4 antibody [EPR3411] - ChIP Grade (AB79416)
  • ICC/IF

Unknown

Immunocytochemistry/ Immunofluorescence - Anti-RBBP4 antibody [EPR3411] - ChIP Grade (AB79416)

ab79416 staining RBBP4 in MCF-7 (human breast carcinoma) cells by ICC (Immunocytochemistry). Cells were fixed with 4% Paraformaldehyde and permeabilized with 0.1% tritonX-100. Samples were incubated with primary antibody at a dilution of 1/500. A goat anti rabbit IgG (Alexa Fluor® 488) (ab150077) was used as the secondary antibody at a dilution of 1/1000. DAPI was used as a nuclear counterstain.

Negative control 1 : PBS only.

Immunocytochemistry/ Immunofluorescence - Anti-RBBP4 antibody [EPR3411] - ChIP Grade (AB79416)
  • ICC/IF

Unknown

Immunocytochemistry/ Immunofluorescence - Anti-RBBP4 antibody [EPR3411] - ChIP Grade (AB79416)

Immunocytochemical staining of RBBP4 in HeLa cells using unpurified ab79416 at 1/100 dilution.

Immunohistochemistry (Formalin/PFA-fixed paraffin-embedded sections) - Anti-RBBP4 antibody [EPR3411] - ChIP Grade (AB79416)
  • IHC-P

Unknown

Immunohistochemistry (Formalin/PFA-fixed paraffin-embedded sections) - Anti-RBBP4 antibody [EPR3411] - ChIP Grade (AB79416)

Immunohistochemistry (Formalin/PFA-fixed paraffin-embedded sections) analysis of Human breast cancer tissue sections labeling RBBP4 with Purified ab79416 at 1 : 8000 dilution (0.014 μg/ml). Heat mediated antigen retrieval was performed using ab93684 (Tris/EDTA buffer, pH 9.0) ImmunoHistoProbe one step HRP Polymer (ready to use)was used as the secondary antibody. Negative control : PBS instead of the primary antibody. Hematoxylinwas used as a counterstain

Immunohistochemistry (Formalin/PFA-fixed paraffin-embedded sections) - Anti-RBBP4 antibody [EPR3411] - ChIP Grade (AB79416)
  • IHC-P

Supplier Data

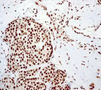
Immunohistochemistry (Formalin/PFA-fixed paraffin-embedded sections) - Anti-RBBP4 antibody [EPR3411] - ChIP Grade (AB79416)

Unpurifed ab79416, at 1/100 dilution, staining RBBP4 in human breast carcinoma tissue by Immunohistochemistry.

Heat mediated antigen retrieval was performed before commencing with IHC staining protocol.

Flow Cytometry (Intracellular) - Anti-RBBP4 antibody [EPR3411] - ChIP Grade (AB79416)
  • Flow Cyt (Intra)

Unknown

Flow Cytometry (Intracellular) - Anti-RBBP4 antibody [EPR3411] - ChIP Grade (AB79416)

Intracellular Flow Cytometry analysis of MCF7 (Human breast adenocarcinoma epithelial cell) cells labeling RBBP4 with purified ab79416 at 1/20 dilution (10μg/ml) (red). Cells were fixed with 4% Paraformaldehyde. A Goat anti rabbit IgG (Alexa Fluor® 488) secondary antibody was used at 1/2000 dilution. Isotype control - Rabbit monoclonal IgG (Black). Unlabeled control - Cell without incubation with primary antibody and secondary antibody (Blue).

Immunoprecipitation - Anti-RBBP4 antibody [EPR3411] - ChIP Grade (AB79416)
  • IP

Unknown

Immunoprecipitation - Anti-RBBP4 antibody [EPR3411] - ChIP Grade (AB79416)

ab79416 (purified) at 1 : 20 dilution (2μg) immunoprecipitating RBBP4 in HeLa whole cell lysate.
Lane 1 (input) : HeLa (Human cervix adenocarcinoma epithelial cell) whole cell lysate 10μg
Lane 2 (+) : ab79416 & HeLa whole cell lysate
Lane 3 (-) : Rabbit monoclonal IgG (ab172730) instead of ab79416 in HeLa whole cell lysate
For western blotting, VeriBlot for IP Detection Reagent (HRP) (ab131366) was used for detection at 1 : 1000 dilution.
Blocking and diluting buffer : 5% NFDM/TBST.

All lanes:

Immunoprecipitation - Anti-RBBP4 antibody [EPR3411] - ChIP Grade (ab79416)

Predicted band size: 48 kDa

Observed band size: 33 kDa,42 kDa

false

ChIP-sequencing - Anti-RBBP4 antibody [EPR3411] - ChIP Grade (AB79416)
  • ChIP-seq

Supplier Data

ChIP-sequencing - Anti-RBBP4 antibody [EPR3411] - ChIP Grade (AB79416)

Chromatin was prepared from HeLa cells. Cells were fixed with 1% formaldehyde for 10 minutes. ChIP was performed with 10^7 HeLa cells and 8 μg of ab79416 [EPR3411]. ChIP DNA was sequenced on the Illumina NovaSeq 6000 to a depth of 30 million reads. Additional screenshots of mapped reads can be downloaded here.

ChIP-sequencing - Anti-RBBP4 antibody [EPR3411] - ChIP Grade (AB79416)
  • ChIP-seq

Supplier Data

ChIP-sequencing - Anti-RBBP4 antibody [EPR3411] - ChIP Grade (AB79416)

Chromatin was prepared from HeLa cells. Cells were fixed with 1% formaldehyde for 10 minutes. ChIP was performed with 30 μg of chromatin and 3 μg of ab79416. ChIP DNA was sequenced on the Illumina NextSeq 500 to a depth of 30 million reads. ChIP-Seq validation performed by Active Motif, Carlsbad, CA. Additional screenshots of mapped reads can be downloaded here. DOI : 10.7554/eLife.54993.

Immunohistochemistry (Formalin/PFA-fixed paraffin-embedded sections) - Anti-RBBP4 antibody [EPR3411] - ChIP Grade (AB79416)
  • IHC-P

Unknown

Immunohistochemistry (Formalin/PFA-fixed paraffin-embedded sections) - Anti-RBBP4 antibody [EPR3411] - ChIP Grade (AB79416)

Immunohistochemistry (Formalin/PFA-fixed paraffin-embedded sections) analysis of Rat pancreas tissue sections labeling RBBP4 with Purified ab79416 at 1 : 8000 dilution (0.014 μg/ml). Heat mediated antigen retrieval was performed using ab93684 (Tris/EDTA buffer, pH 9.0) ImmunoHistoProbe one step HRP Polymer (ready to use) was used as the secondary antibody. Negative control : PBS instead of the primary antibody.Hematoxylinwas used as a counterstain

Immunohistochemistry (Formalin/PFA-fixed paraffin-embedded sections) - Anti-RBBP4 antibody [EPR3411] - ChIP Grade (AB79416)
  • IHC-P

Unknown

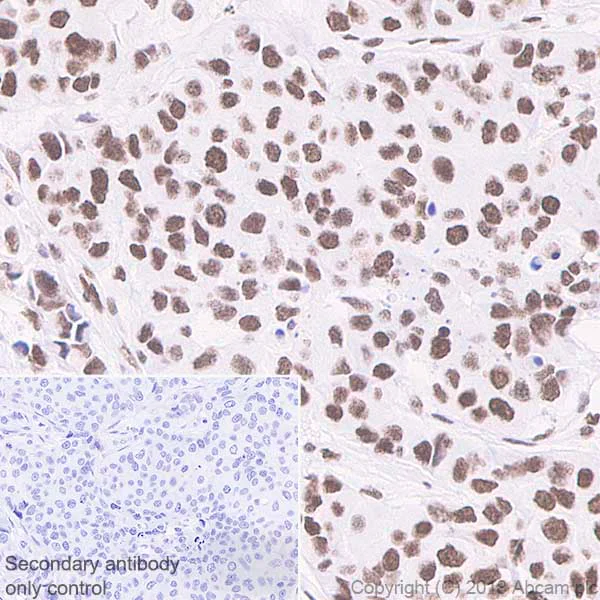
Immunohistochemistry (Formalin/PFA-fixed paraffin-embedded sections) - Anti-RBBP4 antibody [EPR3411] - ChIP Grade (AB79416)

Immunohistochemistry (Formalin/PFA-fixed paraffin-embedded sections) analysis of Mouse cerebrum tissue sections labeling RBBP4 with Purified ab79416 at 1 : 8000 dilution (0.014 μg/ml). Heat mediated antigen retrieval was performed using ab93684 (Tris/EDTA buffer, pH 9.0) ImmunoHistoProbe one step HRP Polymer (ready to use) was used as the secondary antibody. Negative control : PBS instead of the primary antibody.Hematoxylinwas used as a counterstain

Western blot - Anti-RBBP4 antibody [EPR3411] - ChIP Grade (AB79416)
  • WB

Unknown

Western blot - Anti-RBBP4 antibody [EPR3411] - ChIP Grade (AB79416)

Blocking and diluting buffer : 5% NFDM/TBST.

All lanes:

Western blot - Anti-RBBP4 antibody [EPR3411] - ChIP Grade (ab79416) at 0.006 µg/mL

All lanes:

Human fetal spleen lysates at 15 µg

Secondary

All lanes:

Goat Anti-Rabbit IgG (HRP) with minimal cross-reactivity with human IgG at 1/2000 dilution

Predicted band size: 48 kDa

false

Western blot - Anti-RBBP4 antibody [EPR3411] - ChIP Grade (AB79416)
  • WB

Unknown

Western blot - Anti-RBBP4 antibody [EPR3411] - ChIP Grade (AB79416)

Blocking and diluting buffer : 5% NFDM/TBST.

All lanes:

Western blot - Anti-RBBP4 antibody [EPR3411] - ChIP Grade (ab79416) at 0.006 µg/mL

Lane 1:

HeLa (Human cervix adenocarcinoma epithelial cell) whole cell lysates at 15 µg

Lane 2:

Mouse spleen lysates at 15 µg

Lane 3:

Rat spleen lysates at 15 µg

Secondary

All lanes:

Western blot - Goat Anti-Rabbit IgG H&L (HRP) (<a href='/en-us/products/secondary-antibodies/goat-rabbit-igg-h-l-hrp-ab97051'>ab97051</a>) at 1/20000 dilution

Predicted band size: 48 kDa

false

ChIC/CUT&RUN sequencing - Anti-RBBP4 antibody [EPR3411] - ChIP Grade (AB79416)
  • ChIC/CUT&RUN-seq

Lab

ChIC/CUT&RUN sequencing - Anti-RBBP4 antibody [EPR3411] - ChIP Grade (AB79416)

ChIC/CUT&RUN was performed using a pAG-MNase at a final concentration of 700 ng/mL, 2.5 x 10^5 HeLa (Human cervix adenocarcinoma epithelial cell) cells and 5 µg of ab79416 [EPR3411]. The resulting DNA was sequenced on the Illumina NovaSeq 6000 to a depth of 10 million reads. The negative IgG control ab172730 is also shown. The University of Geneva owns patents relevant to ChIC (Chromatin Immuno-Cleavage) methods.

ChIC/CUT&RUN sequencing - Anti-RBBP4 antibody [EPR3411] - ChIP Grade (AB79416)
  • ChIC/CUT&RUN-seq

Lab

ChIC/CUT&RUN sequencing - Anti-RBBP4 antibody [EPR3411] - ChIP Grade (AB79416)

ChIC/CUT&RUN was performed using a pAG-MNase at a final concentration of 700 ng/mL, 2.5 x 10^5 HeLa (Human cervix adenocarcinoma epithelial cell) cells and 5 µg of ab79416 [EPR3411]. The resulting DNA was sequenced on the Illumina NovaSeq 6000 to a depth of 10 million reads. The negative IgG control ab172730 is also shown. The University of Geneva owns patents relevant to ChIC (Chromatin Immuno-Cleavage) methods.

ChIC/CUT&RUN sequencing - Anti-RBBP4 antibody [EPR3411] - ChIP Grade (AB79416)
  • ChIC/CUT&RUN-seq

Lab

ChIC/CUT&RUN sequencing - Anti-RBBP4 antibody [EPR3411] - ChIP Grade (AB79416)

ChIC/CUT&RUN was performed using a pAG-MNase at a final concentration of 700 ng/mL, 2.5 x 10^5 HeLa (Human cervix adenocarcinoma epithelial cell) cells and 5 µg of ab79416 [EPR3411]. The resulting DNA was sequenced on the Illumina NovaSeq 6000 to a depth of 10 million reads. The negative IgG control ab172730 is also shown. The University of Geneva owns patents relevant to ChIC (Chromatin Immuno-Cleavage) methods.

Western blot - Anti-RBBP4 antibody [EPR3411] - ChIP Grade (AB79416)
  • WB

Unknown

Western blot - Anti-RBBP4 antibody [EPR3411] - ChIP Grade (AB79416)

All lanes:

Western blot - Anti-RBBP4 antibody [EPR3411] - ChIP Grade (ab79416) at 1/50000 dilution

Lane 1:

HeLa lysate at 10 µg

Lane 2:

Jurkat lysate at 10 µg

Lane 3:

NIIH/3T3 lysate at 10 µg

Lane 4:

293 lysate at 10 µg

Secondary

All lanes:

HRP labelled goat anti-rabbit at 1/2000 dilution

Predicted band size: 48 kDa

Observed band size: 48 kDa

false

  • 578 PE

    PE Anti-RBBP4 antibody [EPR3411]

  • Carrier free

    Anti-RBBP4 antibody [EPR3411] - ChIP Grade - BSA and Azide free

Key facts

Host species

Rabbit

Clonality

Monoclonal

Clone number

EPR3411

Isotype

IgG

Carrier free

No

Reacts with

Mouse, Rat, Human

Applications

Flow Cyt (Intra), IP, ICC/IF, ChIC/CUT&RUN-seq, ChIP-seq, IHC-P, WB

applications

Immunogen

The exact immunogen used to generate this antibody is proprietary information.

Reactivity data

{ "title": "Reactivity Data", "filters": { "stats": ["", "Species", "Dilution Info", "Notes"], "tabs": { "all-applications": {"fullname" : "All Applications", "shortname": "All Applications"}, "IHCP" : {"fullname" : "Immunohistochemistry (Formalin/PFA-fixed paraffin-embedded sections)", "shortname":"IHC-P"}, "ICCIF" : {"fullname" : "Immunocytochemistry/ Immunofluorescence", "shortname":"ICC/IF"}, "IP" : {"fullname" : "Immunoprecipitation", "shortname":"IP"}, "WB" : {"fullname" : "Western blot", "shortname":"WB"}, "ChIPseq" : {"fullname" : "ChIP-sequencing", "shortname":"ChIP-seq"}, "FlowCytIntra" : {"fullname" : "Flow Cytometry (Intracellular)", "shortname":"Flow Cyt (Intra)"}, "ChICCUTRUNseq" : {"fullname" : "ChIC/CUT&RUN sequencing", "shortname":"ChIC/CUT&RUN-seq"} }, "product-promise": { "all": "all", "testedAndGuaranteed": "tested", "guaranteed": "expected", "predicted": "predicted", "notRecommended": "not-recommended" } }, "values": { "Human": { "IHCP-species-checked": "testedAndGuaranteed", "IHCP-species-dilution-info": "1/8000", "IHCP-species-notes": "<p><strong>For unpurified use at 1/100 - 1/250</strong></p>", "ICCIF-species-checked": "testedAndGuaranteed", "ICCIF-species-dilution-info": "1/100 - 1/250", "ICCIF-species-notes": "<p></p>", "IP-species-checked": "testedAndGuaranteed", "IP-species-dilution-info": "1/20", "IP-species-notes": "<p><strong>For unpurified use at 1/50</strong></p>", "WB-species-checked": "testedAndGuaranteed", "WB-species-dilution-info": "1/10000 - 1/50000", "WB-species-notes": "<p></p>", "ChIPseq-species-checked": "testedAndGuaranteed", "ChIPseq-species-dilution-info": "3 µg for 30 µg chromatin", "ChIPseq-species-notes": "<p></p>", "FlowCytIntra-species-checked": "testedAndGuaranteed", "FlowCytIntra-species-dilution-info": "1/20", "FlowCytIntra-species-notes": "<p><a href='/en-us/products/primary-antibodies/rabbit-igg-monoclonal-epr25a-isotype-control-ab172730'>ab172730</a> - Rabbit monoclonal IgG, is suitable for use as an isotype control with this antibody. For unpurified use at 1/50</p>", "ChICCUTRUNseq-species-checked": "testedAndGuaranteed", "ChICCUTRUNseq-species-dilution-info": "5 µg", "ChICCUTRUNseq-species-notes": "<p></p>" }, "Mouse": { "IHCP-species-checked": "testedAndGuaranteed", "IHCP-species-dilution-info": "1/8000", "IHCP-species-notes": "<p><strong>For unpurified use at 1/100 - 1/250</strong></p>", "ICCIF-species-checked": "guaranteed", "ICCIF-species-dilution-info": "", "ICCIF-species-notes": "", "IP-species-checked": "guaranteed", "IP-species-dilution-info": "", "IP-species-notes": "", "WB-species-checked": "guaranteed", "WB-species-dilution-info": "", "WB-species-notes": "", "ChIPseq-species-checked": "guaranteed", "ChIPseq-species-dilution-info": "", "ChIPseq-species-notes": "", "FlowCytIntra-species-checked": "guaranteed", "FlowCytIntra-species-dilution-info": "", "FlowCytIntra-species-notes": "", "ChICCUTRUNseq-species-checked": "guaranteed", "ChICCUTRUNseq-species-dilution-info": "", "ChICCUTRUNseq-species-notes": "" }, "Rat": { "IHCP-species-checked": "testedAndGuaranteed", "IHCP-species-dilution-info": "1/8000", "IHCP-species-notes": "<p><strong>For unpurified use at 1/100 - 1/250</strong></p>", "ICCIF-species-checked": "guaranteed", "ICCIF-species-dilution-info": "", "ICCIF-species-notes": "", "IP-species-checked": "guaranteed", "IP-species-dilution-info": "", "IP-species-notes": "", "WB-species-checked": "guaranteed", "WB-species-dilution-info": "", "WB-species-notes": "", "ChIPseq-species-checked": "guaranteed", "ChIPseq-species-dilution-info": "", "ChIPseq-species-notes": "", "FlowCytIntra-species-checked": "guaranteed", "FlowCytIntra-species-dilution-info": "", "FlowCytIntra-species-notes": "", "ChICCUTRUNseq-species-checked": "guaranteed", "ChICCUTRUNseq-species-dilution-info": "", "ChICCUTRUNseq-species-notes": "" } } }

Product details

Patented technology
Our RabMAb® technology is a patented hybridoma-based technology for making rabbit monoclonal antibodies. For details on our patents, please refer to RabMAb® patents.

What are the advantages of a recombinant monoclonal antibody?
This product is a recombinant monoclonal antibody, which offers several advantages including:

  • - High batch-to-batch consistency and reproducibility
  • - Improved sensitivity and specificity
  • - Long-term security of supply
  • - Animal-free batch production

For more information, read more on recombinant antibodies.

Properties and storage information

Form
Liquid
Purification technique
Affinity purification Protein A
Storage buffer
pH: 7.2 - 7.4 Preservative: 0.01% Sodium azide Constituents: PBS, 40% Glycerol (glycerin, glycerine), 0.05% BSA
Shipped at conditions
Blue Ice
Appropriate short-term storage duration
1-2 weeks
Appropriate short-term storage conditions
+4°C
Appropriate long-term storage conditions
-20°C
Aliquoting information
Upon delivery aliquot
Storage information
Avoid freeze / thaw cycle

Product protocols

For this product, it's our understanding that no specific protocols are required. You can visit:

Target data

Core histone-binding subunit that may target chromatin assembly factors, chromatin remodeling factors and histone deacetylases to their histone substrates in a manner that is regulated by nucleosomal DNA. Component of several complexes which regulate chromatin metabolism. These include the chromatin assembly factor 1 (CAF-1) complex, which is required for chromatin assembly following DNA replication and DNA repair; the core histone deacetylase (HDAC) complex, which promotes histone deacetylation and consequent transcriptional repression; the nucleosome remodeling and histone deacetylase complex (the NuRD complex), which promotes transcriptional repression by histone deacetylation and nucleosome remodeling; the PRC2 complex, which promotes repression of homeotic genes during development; and the NURF (nucleosome remodeling factor) complex.
See full target information RBBP4

Publications (20)

Recent publications for all applications. Explore the full list and refine your search

Communications biology 8:829 PubMed40442479

2025

RBAP48 facilitates the oral squamous cell carcinoma process in an androgen receptor-dependent and independent manners.

Applications

Unspecified application

Species

Unspecified reactive species

Xue Wang,Guangqi Yan,Hao Li,Chunyu Wang,Ye Kang,Shengli Wang,Wei Liu,Lin Lin,Renlong Zou,Kai Zeng,Manlin Wang,Ruina Luan,Baosheng Zhou,Yu Bai,Dongjun Yang,Bolin Ning,Ge Sun,Yue Zhao

Nucleic acids research 51:5414-5431 PubMed37021556

2023

RBBP4 is an epigenetic barrier for the induced transition of pluripotent stem cells into totipotent 2C-like cells.

Applications

Unspecified application

Species

Unspecified reactive species

Wangfang Ping,Yingliang Sheng,Gongcheng Hu,Hongxin Zhong,Yaoyi Li,YanJiang Liu,Wei Luo,Chenghong Yan,Yulin Wen,Xinxiu Wang,Qing Li,Rong Guo,Jie Zhang,Ake Liu,Guangjin Pan,Hongjie Yao

Journal of translational medicine 21:220 PubMed36967443

2023

PHF6 recruits BPTF to promote HIF-dependent pathway and progression in YAP-high breast cancer.

Applications

Unspecified application

Species

Unspecified reactive species

Sheng Gao,Wensheng Zhang,Jingjing Ma,Xiaojian Ni

International journal of molecular sciences 23: PubMed36012122

2022

Valproate Targets Mammalian Gastrulation Impairing Neural Tissue Differentiation and Development of the Placental Source In Vitro.

Applications

Unspecified application

Species

Unspecified reactive species

Ana Katušić-Bojanac,Milvija Plazibat,Marta Himelreich-Perić,Katarina Eck-Raković,Jure Krasić,Nino Sinčić,Gordana Jurić-Lekić,Davor Ježek,Floriana Bulić-Jakuš

Oncogene 41:538-549 PubMed34785774

2021

Smoking-associated upregulation of CBX3 suppresses ARHGAP24 expression to activate Rac1 signaling and promote tumor progression in lung adenocarcinoma.

Applications

Unspecified application

Species

Unspecified reactive species

Xin Jin,Bin Zhang,Hao Zhang,Haixin Yu

Arthritis & rheumatology (Hoboken, N.J.) 73:980-990 PubMed33369221

2021

Functional Genomic Analysis of a RUNX3 Polymorphism Associated With Ankylosing Spondylitis.

Applications

Unspecified application

Species

Unspecified reactive species

Matteo Vecellio,Liye Chen,Carla J Cohen,Adrian Cortes,Yan Li,Sarah Bonham,Carlo Selmi,Matthew A Brown,Roman Fischer,Julian C Knight,B Paul Wordsworth

Biology of reproduction 103:13-23 PubMed32285100

2020

Loss of RBBP4 results in defective inner cell mass, severe apoptosis, hyperacetylated histones and preimplantation lethality in mice†.

Applications

Unspecified application

Species

Unspecified reactive species

Xiaosu Miao,Tieqi Sun,Holly Barletta,Jesse Mager,Wei Cui

Experimental and therapeutic medicine 19:3090-3096 PubMed32256797

2020

Human immunodeficiency virus type 1 transcription is regulated by thieno[3,4- ]pyrimidine.

Applications

Unspecified application

Species

Unspecified reactive species

Wenfang Xu,Yong Wu,Jiaoping Zhao,Jiangnan Chen,Weiyang Zhang

Cancer cell 36:402-417.e13 PubMed31564638

2019

Dynamic Incorporation of Histone H3 Variants into Chromatin Is Essential for Acquisition of Aggressive Traits and Metastatic Colonization.

Applications

Unspecified application

Species

Unspecified reactive species

Ana P Gomes,Didem Ilter,Vivien Low,Adam Rosenzweig,Zih-Jie Shen,Tanya Schild,Martin A Rivas,Ekrem E Er,Dylan R McNally,Anders P Mutvei,Julie Han,Yi-Hung Ou,Paola Cavaliere,Edouard Mullarky,Michal Nagiec,Sejeong Shin,Sang-Oh Yoon,Noah Dephoure,Joan Massagué,Ari M Melnick,Lewis C Cantley,Jessica K Tyler,John Blenis

Nature communications 10:2901 PubMed31263101

2019

An ErbB2/c-Src axis links bioenergetics with PRC2 translation to drive epigenetic reprogramming and mammary tumorigenesis.

Applications

Unspecified application

Species

Unspecified reactive species

Harvey W Smith,Alison Hirukawa,Virginie Sanguin-Gendreau,Ipshita Nandi,Catherine R Dufour,Dongmei Zuo,Kristofferson Tandoc,Matthew Leibovitch,Salendra Singh,Jonathan P Rennhack,Matthew Swiatnicki,Cynthia Lavoie,Vasilios Papavasiliou,Carolin Temps,Neil O Carragher,Asier Unciti-Broceta,Paul Savage,Mark Basik,Vincent van Hoef,Ola Larsson,Caroline L Cooper,Ana Cristina Vargas Calderon,Jane Beith,Ewan Millar,Christina Selinger,Vincent Giguère,Morag Park,Lyndsay N Harris,Vinay Varadan,Eran R Andrechek,Sandra A O'Toole,Ivan Topisirovic,William J Muller
View all publications

Product promise

We are committed to supporting your work with high-quality reagents, and we're here for you every step of the way. In the unlikely event that one of our products does not perform as expected, you're protected by our Product Promise.
For full details, please see our Terms & Conditions

Please note: All products are 'FOR RESEARCH USE ONLY. NOT FOR USE IN DIAGNOSTIC OR THERAPEUTIC PROCEDURES'.

For licensing inquiries, please contact partnerships@abcam.com