JavaScript is disabled in your browser. Please enable JavaScript to view this website.
AB236047

Anti-RBBP4 antibody [EPR3411] - ChIP Grade - BSA and Azide free

Be the first to review this product! Submit a review

|

(1 Publication)

Rabbit Recombinant Monoclonal RBBP4 antibody. Carrier free. Suitable for IHC-P, ICC/IF, IP, WB, ChIP-seq, Flow Cyt (Intra), ChIC/CUT&RUN-seq and reacts with Rat, Human, Mouse samples. Cited in 1 publication.

View Alternative Names

RBAP48, RBBP4, Histone-binding protein RBBP4, Chromatin assembly factor 1 subunit C, Chromatin assembly factor I p48 subunit, Nucleosome-remodeling factor subunit RBAP48, Retinoblastoma-binding protein 4, Retinoblastoma-binding protein p48, CAF-1 subunit C, CAF-I 48 kDa subunit, CAF-I p48, RBBP-4

13 Images
Immunocytochemistry/ Immunofluorescence - Anti-RBBP4 antibody [EPR3411] - ChIP Grade - BSA and Azide free (AB236047)
  • ICC/IF

Unknown

Immunocytochemistry/ Immunofluorescence - Anti-RBBP4 antibody [EPR3411] - ChIP Grade - BSA and Azide free (AB236047)

ab79416 staining RBBP4 in MCF-7 (human breast carcinoma) cells by ICC (Immunocytochemistry). Cells were fixed with 4% Paraformaldehyde and permeabilized with 0.1% tritonX-100. Samples were incubated with primary antibody at a dilution of 1/500. A goat anti rabbit IgG (Alexa Fluor® 488) (ab150077) was used as the secondary antibody at a dilution of 1/1000. DAPI was used as a nuclear counterstain.

Negative control 1 : PBS only.

This data was developed using the same antibody clone in a different buffer formulation containing PBS, BSA, glycerol, and sodium azide (ab79416).

Immunocytochemistry/ Immunofluorescence - Anti-RBBP4 antibody [EPR3411] - ChIP Grade - BSA and Azide free (AB236047)
  • ICC/IF

Unknown

Immunocytochemistry/ Immunofluorescence - Anti-RBBP4 antibody [EPR3411] - ChIP Grade - BSA and Azide free (AB236047)

Immunocytochemical staining of RBBP4 in HeLa cells using unpurified ab79416 at 1/100 dilution.

This data was developed using the same antibody clone in a different buffer formulation containing PBS, BSA, glycerol, and sodium azide (ab79416).

Immunohistochemistry (Formalin/PFA-fixed paraffin-embedded sections) - Anti-RBBP4 antibody [EPR3411] - ChIP Grade - BSA and Azide free (AB236047)
  • IHC-P

Unknown

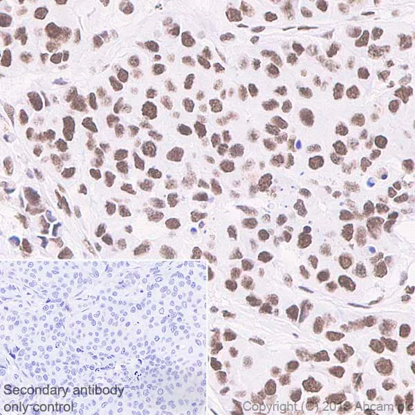
Immunohistochemistry (Formalin/PFA-fixed paraffin-embedded sections) - Anti-RBBP4 antibody [EPR3411] - ChIP Grade - BSA and Azide free (AB236047)

Immunohistochemistry (Formalin/PFA-fixed paraffin-embedded sections) analysis of Human breast cancer tissue sections labeling RBBP4 with Purified ab79416 at 1 : 8000 dilution (0.014 μg/ml). Heat mediated antigen retrieval was performed using ab93684 (Tris/EDTA buffer, pH 9.0) ImmunoHistoProbe one step HRP Polymer (ready to use)was used as the secondary antibody. Negative control : PBS instead of the primary antibody. Hematoxylinwas used as a counterstain.

This data was developed using the same antibody clone in a different buffer formulation containing PBS, BSA, glycerol, and sodium azide (ab79416).

Immunohistochemistry (Formalin/PFA-fixed paraffin-embedded sections) - Anti-RBBP4 antibody [EPR3411] - ChIP Grade - BSA and Azide free (AB236047)
  • IHC-P

Supplier Data

Immunohistochemistry (Formalin/PFA-fixed paraffin-embedded sections) - Anti-RBBP4 antibody [EPR3411] - ChIP Grade - BSA and Azide free (AB236047)

ab79416, at 1/100 dilution, staining RBBP4 in human breast carcinoma tissue by Immunohistochemistry.

This data was developed using the same antibody clone in a different buffer formulation containing PBS, BSA, glycerol, and sodium azide (ab79416).

Heat mediated antigen retrieval was performed before commencing with IHC staining protocol.

Flow Cytometry (Intracellular) - Anti-RBBP4 antibody [EPR3411] - ChIP Grade - BSA and Azide free (AB236047)
  • Flow Cyt (Intra)

Unknown

Flow Cytometry (Intracellular) - Anti-RBBP4 antibody [EPR3411] - ChIP Grade - BSA and Azide free (AB236047)

Intracellular Flow Cytometry analysis of MCF7 (Human breast adenocarcinoma epithelial cell) cells labeling RBBP4 with purified ab79416 at 1/20 dilution (10μg/ml) (red). Cells were fixed with 4% Paraformaldehyde. A Goat anti rabbit IgG (Alexa Fluor® 488) secondary antibody was used at 1/2000 dilution. Isotype control - Rabbit monoclonal IgG (Black). Unlabeled control - Cell without incubation with primary antibody and secondary antibody (Blue).

This data was developed using the same antibody clone in a different buffer formulation containing PBS, BSA, glycerol, and sodium azide (ab79416).

ChIP-sequencing - Anti-RBBP4 antibody [EPR3411] - ChIP Grade - BSA and Azide free (AB236047)
  • ChIP-seq

Supplier Data

ChIP-sequencing - Anti-RBBP4 antibody [EPR3411] - ChIP Grade - BSA and Azide free (AB236047)

Chromatin was prepared from HeLa cells. Cells were fixed with 1% formaldehyde for 10 minutes. ChIP was performed with 10^7 HeLa cells and 8 μg of ab79416 [EPR3411]. ChIP DNA was sequenced on the Illumina NovaSeq 6000 to a depth of 30 million reads. Additional screenshots of mapped reads can be downloaded here.

ChIP-sequencing - Anti-RBBP4 antibody [EPR3411] - ChIP Grade - BSA and Azide free (AB236047)
  • ChIP-seq

Supplier Data

ChIP-sequencing - Anti-RBBP4 antibody [EPR3411] - ChIP Grade - BSA and Azide free (AB236047)

Chromatin was prepared from HeLa cells. Cells were fixed with 1% formaldehyde for 10 minutes. ChIP was performed with 30 μg of chromatin and 4 μg of ab79416. ChIP DNA was sequenced on the Illumina NextSeq 500 to a depth of 30 million reads. ChIP-Seq validation performed by Active Motif, Carlsbad, CA. Additional screenshots of mapped reads can be downloaded here. DOI : 10.7554/eLife.54993.

Immunohistochemistry (Formalin/PFA-fixed paraffin-embedded sections) - Anti-RBBP4 antibody [EPR3411] - ChIP Grade - BSA and Azide free (AB236047)
  • IHC-P

Unknown

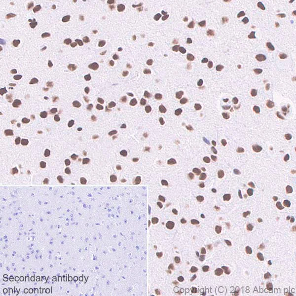
Immunohistochemistry (Formalin/PFA-fixed paraffin-embedded sections) - Anti-RBBP4 antibody [EPR3411] - ChIP Grade - BSA and Azide free (AB236047)

Immunohistochemistry (Formalin/PFA-fixed paraffin-embedded sections) analysis of Mouse cerebrum tissue sections labeling RBBP4 with Purified ab79416 at 1 : 8000 dilution (0.014 μg/ml). Heat mediated antigen retrieval was performed using ab93684 (Tris/EDTA buffer, pH 9.0) ImmunoHistoProbe one step HRP Polymer (ready to use)was used as the secondary antibody. Negative control : PBS instead of the primary antibody. Hematoxylinwas used as a counterstain.

This data was developed using the same antibody clone in a different buffer formulation containing PBS, BSA, glycerol, and sodium azide (ab79416).

Immunohistochemistry (Formalin/PFA-fixed paraffin-embedded sections) - Anti-RBBP4 antibody [EPR3411] - ChIP Grade - BSA and Azide free (AB236047)
  • IHC-P

Unknown

Immunohistochemistry (Formalin/PFA-fixed paraffin-embedded sections) - Anti-RBBP4 antibody [EPR3411] - ChIP Grade - BSA and Azide free (AB236047)

Immunohistochemistry (Formalin/PFA-fixed paraffin-embedded sections) analysis of Rat pancreas tissue sections labeling RBBP4 with Purified ab79416 at 1 : 8000 dilution (0.014 μg/ml). Heat mediated antigen retrieval was performed using ab93684 (Tris/EDTA buffer, pH 9.0) ImmunoHistoProbe one step HRP Polymer (ready to use) was used as the secondary antibody. Negative control : PBS instead of the primary antibody.Hematoxylinwas used as a counterstain.

This data was developed using the same antibody clone in a different buffer formulation containing PBS, BSA, glycerol, and sodium azide (ab79416).

ChIC/CUT&RUN sequencing - Anti-RBBP4 antibody [EPR3411] - ChIP Grade - BSA and Azide free (AB236047)
  • ChIC/CUT&RUN-seq

Lab

ChIC/CUT&RUN sequencing - Anti-RBBP4 antibody [EPR3411] - ChIP Grade - BSA and Azide free (AB236047)

This data was developed using the same antibody clone in a different buffer formulation (ab79416).

ChIC/CUT&RUN was performed using a pAG-MNase at a final concentration of 700 ng/mL, 2.5 x 10^5 HeLa (Human cervix adenocarcinoma epithelial cell) cells and 5 µg of ab79416 [EPR3411]. The resulting DNA was sequenced on the Illumina NovaSeq 6000 to a depth of 10 million reads. The negative IgG control ab172730 is also shown. The University of Geneva owns patents relevant to ChIC (Chromatin Immuno-Cleavage) methods.

ChIC/CUT&RUN sequencing - Anti-RBBP4 antibody [EPR3411] - ChIP Grade - BSA and Azide free (AB236047)
  • ChIC/CUT&RUN-seq

Lab

ChIC/CUT&RUN sequencing - Anti-RBBP4 antibody [EPR3411] - ChIP Grade - BSA and Azide free (AB236047)

This data was developed using the same antibody clone in a different buffer formulation (ab79416).

ChIC/CUT&RUN was performed using a pAG-MNase at a final concentration of 700 ng/mL, 2.5 x 10^5 HeLa (Human cervix adenocarcinoma epithelial cell) cells and 5 µg of ab79416 [EPR3411]. The resulting DNA was sequenced on the Illumina NovaSeq 6000 to a depth of 10 million reads. The negative IgG control ab172730 is also shown. The University of Geneva owns patents relevant to ChIC (Chromatin Immuno-Cleavage) methods.

ChIC/CUT&RUN sequencing - Anti-RBBP4 antibody [EPR3411] - ChIP Grade - BSA and Azide free (AB236047)
  • ChIC/CUT&RUN-seq

Lab

ChIC/CUT&RUN sequencing - Anti-RBBP4 antibody [EPR3411] - ChIP Grade - BSA and Azide free (AB236047)

This data was developed using the same antibody clone in a different buffer formulation (ab79416).

ChIC/CUT&RUN was performed using a pAG-MNase at a final concentration of 700 ng/mL, 2.5 x 10^5 HeLa (Human cervix adenocarcinoma epithelial cell) cells and 5 µg of ab79416 [EPR3411]. The resulting DNA was sequenced on the Illumina NovaSeq 6000 to a depth of 10 million reads. The negative IgG control ab172730 is also shown. The University of Geneva owns patents relevant to ChIC (Chromatin Immuno-Cleavage) methods.

Immunoprecipitation - Anti-RBBP4 antibody [EPR3411] - ChIP Grade - BSA and Azide free (AB236047)
  • IP

Unknown

Immunoprecipitation - Anti-RBBP4 antibody [EPR3411] - ChIP Grade - BSA and Azide free (AB236047)

ab79416 (purified) at 1 : 20 dilution (2μg) immunoprecipitating RBBP4 in HeLa whole cell lysate.
Lane 1 (input) : HeLa (Human cervix adenocarcinoma epithelial cell) whole cell lysate 10μg
Lane 2 (+) : ab79416 & HeLa whole cell lysate
Lane 3 (-) : Rabbit monoclonal IgG (ab172730) instead of ab79416 in HeLa whole cell lysate
For western blotting, VeriBlot for IP Detection Reagent (HRP) (ab131366) was used for detection at 1 : 1000 dilution.
Blocking and diluting buffer : 5% NFDM/TBST.

This data was developed using the same antibody clone in a different buffer formulation containing PBS, BSA, glycerol, and sodium azide (ab79416).

All lanes:

Immunoprecipitation - Anti-RBBP4 antibody [EPR3411] - ChIP Grade (<a href='/en-us/products/primary-antibodies/rbbp4-antibody-epr3411-chip-grade-ab79416'>ab79416</a>)

Predicted band size: 48 kDa

Observed band size: 33 kDa,42 kDa

false

Key facts

Host species

Rabbit

Clonality

Monoclonal

Clone number

EPR3411

Isotype

IgG

Carrier free

Yes

Reacts with

Mouse, Rat, Human

Applications

Flow Cyt (Intra), WB, IP, IHC-P, ChIP-seq, ChIC/CUT&RUN-seq, ICC/IF

applications

Immunogen

The exact immunogen used to generate this antibody is proprietary information.

Reactivity data

{ "title": "Reactivity Data", "filters": { "stats": ["", "Species", "Dilution Info", "Notes"], "tabs": { "all-applications": {"fullname" : "All Applications", "shortname": "All Applications"}, "IHCP" : {"fullname" : "Immunohistochemistry (Formalin/PFA-fixed paraffin-embedded sections)", "shortname":"IHC-P"}, "ICCIF" : {"fullname" : "Immunocytochemistry/ Immunofluorescence", "shortname":"ICC/IF"}, "IP" : {"fullname" : "Immunoprecipitation", "shortname":"IP"}, "WB" : {"fullname" : "Western blot", "shortname":"WB"}, "ChIPseq" : {"fullname" : "ChIP-sequencing", "shortname":"ChIP-seq"}, "FlowCytIntra" : {"fullname" : "Flow Cytometry (Intracellular)", "shortname":"Flow Cyt (Intra)"}, "ChICCUTRUNseq" : {"fullname" : "ChIC/CUT&RUN sequencing", "shortname":"ChIC/CUT&RUN-seq"} }, "product-promise": { "all": "all", "testedAndGuaranteed": "tested", "guaranteed": "expected", "predicted": "predicted", "notRecommended": "not-recommended" } }, "values": { "Human": { "IHCP-species-checked": "guaranteed", "IHCP-species-dilution-info": "", "IHCP-species-notes": "", "ICCIF-species-checked": "testedAndGuaranteed", "ICCIF-species-dilution-info": "", "ICCIF-species-notes": "<p></p>", "IP-species-checked": "testedAndGuaranteed", "IP-species-dilution-info": "", "IP-species-notes": "<p></p>", "WB-species-checked": "guaranteed", "WB-species-dilution-info": "", "WB-species-notes": "<p></p>", "ChIPseq-species-checked": "testedAndGuaranteed", "ChIPseq-species-dilution-info": "", "ChIPseq-species-notes": "<p></p>", "FlowCytIntra-species-checked": "testedAndGuaranteed", "FlowCytIntra-species-dilution-info": "", "FlowCytIntra-species-notes": "<p><a href='/en-us/products/primary-antibodies/rabbit-igg-monoclonal-epr25a-isotype-control-ab172730'>ab172730</a> - Rabbit monoclonal IgG, is suitable for use as an isotype control with this antibody.</p>", "ChICCUTRUNseq-species-checked": "testedAndGuaranteed", "ChICCUTRUNseq-species-dilution-info": "", "ChICCUTRUNseq-species-notes": "<p></p>" }, "Mouse": { "IHCP-species-checked": "predicted", "IHCP-species-dilution-info": "", "IHCP-species-notes": "", "ICCIF-species-checked": "predicted", "ICCIF-species-dilution-info": "", "ICCIF-species-notes": "", "IP-species-checked": "predicted", "IP-species-dilution-info": "", "IP-species-notes": "", "WB-species-checked": "guaranteed", "WB-species-dilution-info": "", "WB-species-notes": "<p></p>", "ChIPseq-species-checked": "predicted", "ChIPseq-species-dilution-info": "", "ChIPseq-species-notes": "", "FlowCytIntra-species-checked": "predicted", "FlowCytIntra-species-dilution-info": "", "FlowCytIntra-species-notes": "", "ChICCUTRUNseq-species-checked": "predicted", "ChICCUTRUNseq-species-dilution-info": "", "ChICCUTRUNseq-species-notes": "" }, "Rat": { "IHCP-species-checked": "testedAndGuaranteed", "IHCP-species-dilution-info": "", "IHCP-species-notes": "<p></p>", "ICCIF-species-checked": "guaranteed", "ICCIF-species-dilution-info": "", "ICCIF-species-notes": "", "IP-species-checked": "guaranteed", "IP-species-dilution-info": "", "IP-species-notes": "", "WB-species-checked": "guaranteed", "WB-species-dilution-info": "", "WB-species-notes": "<p></p>", "ChIPseq-species-checked": "guaranteed", "ChIPseq-species-dilution-info": "", "ChIPseq-species-notes": "", "FlowCytIntra-species-checked": "guaranteed", "FlowCytIntra-species-dilution-info": "", "FlowCytIntra-species-notes": "", "ChICCUTRUNseq-species-checked": "guaranteed", "ChICCUTRUNseq-species-dilution-info": "", "ChICCUTRUNseq-species-notes": "" } } }

Product details

ab236047 is the carrier-free version of ab79416.

Patented technology
Our RabMAb® technology is a patented hybridoma-based technology for making rabbit monoclonal antibodies. For details on our patents, please refer to RabMAb® patents.

What are the advantages of a recombinant monoclonal antibody?
This product is a recombinant monoclonal antibody, which offers several advantages including:

  • - High batch-to-batch consistency and reproducibility
  • - Improved sensitivity and specificity
  • - Long-term security of supply
  • - Animal-free batch production

For more information, read more on recombinant antibodies.

Conjugation ready
Our carrier-free antibodies are typically supplied in a PBS-only formulation, purified and free of BSA, sodium azide and glycerol. This conjugation-ready format is designed for use with fluorochromes, metal isotopes, oligonucleotides, and enzymes, which makes them ideal for antibody labelling, functional and cell-based assays, flow-based assays (e.g. mass cytometry) and Multiplex Imaging applications.

Use our conjugation kits for antibody conjugates that are ready-to-use in as little as 20 minutes with 1 minute hands-on-time and 100% antibody recovery: available for fluorescent dyes, HRP, biotin and gold.

Compatibility
This product is compatible with the Maxpar® Antibody Labeling Kit from Fluidigm, without the need for antibody preparation. Maxpar® is a trademark of Fluidigm Canada Inc.

Properties and storage information

Form
Liquid
Purification technique
Affinity purification Protein A
Storage buffer
pH: 7.2 - 7.4 Constituents: PBS
Shipped at conditions
Blue Ice
Appropriate short-term storage conditions
+4°C
Appropriate long-term storage conditions
+4°C
Storage information
Do Not Freeze

Product protocols

For this product, it's our understanding that no specific protocols are required. You can visit:

Target data

Core histone-binding subunit that may target chromatin assembly factors, chromatin remodeling factors and histone deacetylases to their histone substrates in a manner that is regulated by nucleosomal DNA. Component of several complexes which regulate chromatin metabolism. These include the chromatin assembly factor 1 (CAF-1) complex, which is required for chromatin assembly following DNA replication and DNA repair; the core histone deacetylase (HDAC) complex, which promotes histone deacetylation and consequent transcriptional repression; the nucleosome remodeling and histone deacetylase complex (the NuRD complex), which promotes transcriptional repression by histone deacetylation and nucleosome remodeling; the PRC2 complex, which promotes repression of homeotic genes during development; and the NURF (nucleosome remodeling factor) complex.
See full target information RBBP4

Publications (1)

Recent publications for all applications. Explore the full list and refine your search

Molecular cell 78:1133-1151.e14 PubMed32402252

2020

KAP1 Is a Chromatin Reader that Couples Steps of RNA Polymerase II Transcription to Sustain Oncogenic Programs.

Applications

Unspecified application

Species

Unspecified reactive species

Curtis W Bacon,Ashwini Challa,Usman Hyder,Ashutosh Shukla,Aditi N Borkar,Juan Bayo,Jiuyang Liu,Shwu-Yuan Wu,Cheng-Ming Chiang,Tatiana G Kutateladze,Iván D'Orso
View all publications

Product promise

We are committed to supporting your work with high-quality reagents, and we're here for you every step of the way. In the unlikely event that one of our products does not perform as expected, you're protected by our Product Promise.
For full details, please see our Terms & Conditions

Please note: All products are 'FOR RESEARCH USE ONLY. NOT FOR USE IN DIAGNOSTIC OR THERAPEUTIC PROCEDURES'.

For licensing inquiries, please contact partnerships@abcam.com