JavaScript is disabled in your browser. Please enable JavaScript to view this website.
AB273882

Anti-RBBP7 antibody [EPR23796-74] - ChIP Grade - BSA and Azide free

  • BOND RX™ Validated
  • RabMAb
  • Advanced Validation
  • Recombinant
  • KO Validated
  • What is this?

Be the first to review this product! Submit a review

|

(0 Publication)

Rabbit Recombinant Monoclonal RBBP7 antibody. Carrier free. Suitable for ICC/IF, IP, WB, ChIP-seq, Flow Cyt (Intra), IHC-P and reacts with Mouse, Human, Rat samples.

View Alternative Names

RBAP46, RBBP7, Histone-binding protein RBBP7, Histone acetyltransferase type B subunit 2, Nucleosome-remodeling factor subunit RBAP46, Retinoblastoma-binding protein 7, Retinoblastoma-binding protein p46, RBBP-7

17 Images
Flow Cytometry (Intracellular) - Anti-RBBP7 antibody [EPR23796-74] - ChIP Grade - BSA and Azide free (AB273882)
  • Flow Cyt (Intra)

Unknown

Flow Cytometry (Intracellular) - Anti-RBBP7 antibody [EPR23796-74] - ChIP Grade - BSA and Azide free (AB273882)

Intracellular flow cytometric analysis of 4% paraformaldehyde fixed 90% methanol permeabilized Hela (Human cervix adenocarcinoma epithelial cell) cells labelling RBBP7 (RbAp46) with ab259957 at 1/600 dilution (0.1ug) (Red) compared with a Rabbit monoclonal IgG (ab172730) (Black) isotype control and an unlabelled control (cells without incubation with primary antibody and secondary antibody) (Blue). A Goat anti rabbit IgG (Alexa Fluor® 488, ab150077) at 1/2000 dilution was used as the secondary antibody.

This data was developed using the same antibody clone in a different buffer formulation containing PBS, BSA, glycerol, and sodium azide (ab259957).

Immunocytochemistry/ Immunofluorescence - Anti-RBBP7 antibody [EPR23796-74] - ChIP Grade - BSA and Azide free (AB273882)
  • ICC/IF

Unknown

Immunocytochemistry/ Immunofluorescence - Anti-RBBP7 antibody [EPR23796-74] - ChIP Grade - BSA and Azide free (AB273882)

Immunofluorescent analysis of 4% Paraformaldehyde-fixed, 0.1% TritonX-100 permeabilized RBBP7 (RbAp46) KO HAP1 cells labelling RBBP7 with ab259957 at 1/500 dilution, followed by ab150077 Goat Anti-Rabbit IgG H&L (Alexa Fluor® 488) antibody at 1/1000 (2 ug/ml) dilution (Green). Confocal image showing no staining in RBBP7 (RbAp46) KO HAP1 cells. ab195889 Anti-alpha Tubulin mouse monoclonal antibody - Microtubule Marker (Alexa Fluor® 594) was used to counterstain tubulin at 1/200 dilution (Red). The Nuclear counterstain was DAPI (Blue).

Secondary antibody only control : Secondary antibody is ab150077 Goat Anti-Rabbit IgG H&L (Alexa Fluor® 488) at 1/1000 (2 ug/ml) dilution.

This data was developed using the same antibody clone in a different buffer formulation containing PBS, BSA, glycerol, and sodium azide (ab259957).

Flow Cytometry (Intracellular) - Anti-RBBP7 antibody [EPR23796-74] - ChIP Grade - BSA and Azide free (AB273882)
  • Flow Cyt (Intra)

Unknown

Flow Cytometry (Intracellular) - Anti-RBBP7 antibody [EPR23796-74] - ChIP Grade - BSA and Azide free (AB273882)

Intracellular flow cytometric analysis of 4% paraformaldehyde fixed 90% methanol permeabilized parental HAP1 (Wildtype control Human chronic myelogenous leukemia near-haploid cell line, Right) / RBBP7 (RbAp46) KO HAP1 (Left) cells labelling RBBP7 with ab259957 at 1/600 dilution (0.1ug) (Red) (Red) compared with a Rabbit monoclonal IgG (ab172730) (Black) isotype control and an unlabelled control (cells without incubation with primary antibody and secondary antibody) (Blue). A Goat anti rabbit IgG (Alexa Fluor® 488, ab150077) at 1/2000 dilution was used as the secondary antibody.

This data was developed using the same antibody clone in a different buffer formulation containing PBS, BSA, glycerol, and sodium azide (ab259957).

Immunocytochemistry/ Immunofluorescence - Anti-RBBP7 antibody [EPR23796-74] - ChIP Grade - BSA and Azide free (AB273882)
  • ICC/IF

Unknown

Immunocytochemistry/ Immunofluorescence - Anti-RBBP7 antibody [EPR23796-74] - ChIP Grade - BSA and Azide free (AB273882)

Immunofluorescent analysis of 4% Paraformaldehyde-fixed, 0.1% TritonX-100 permeabilized HeLa cells labelling RBBP7 with ab259957 at 1/500 dilution, followed by ab150077 Goat Anti-Rabbit IgG H&L (Alexa Fluor® 488) antibody at 1/1000 (2 ug/ml) dilution (Green). Confocal image showing mainly nuclear staining in HeLa cell line. ab195889 Anti-alpha Tubulin mouse monoclonal antibody - Microtubule Marker (Alexa Fluor® 594) was used to counterstain tubulin at 1/200 dilution (Red). The Nuclear counterstain was DAPI (Blue).

Secondary antibody only control : Secondary antibody is ab150077 Goat Anti-Rabbit IgG H&L (Alexa Fluor® 488) at 1/1000 (2 ug/ml) dilution.

This data was developed using the same antibody clone in a different buffer formulation containing PBS, BSA, glycerol, and sodium azide (ab259957).

Immunohistochemistry (Formalin/PFA-fixed paraffin-embedded sections) - Anti-RBBP7 antibody [EPR23796-74] - ChIP Grade - BSA and Azide free (AB273882)
  • IHC-P

Unknown

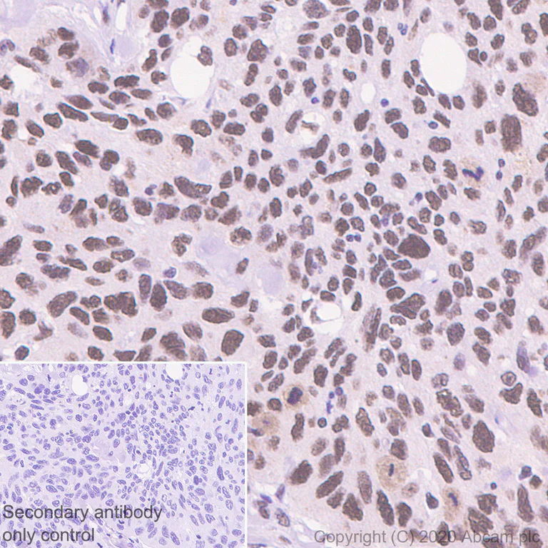
Immunohistochemistry (Formalin/PFA-fixed paraffin-embedded sections) - Anti-RBBP7 antibody [EPR23796-74] - ChIP Grade - BSA and Azide free (AB273882)

Immunohistochemical analysis of paraffin-embedded Human lung cancer tissue labeling RBBP7 with abab259957 at 1/2000 dilution followed by a ready to use Rabbit specific IHC polymer detection kit HRP/DAB (ab209101). Nuclear staining in human lung cancer (PMID : 19655816).The section was incubated with ab259957 for 30 mins at room temperature. The immunostaining was performed on a Leica Biosystems BOND® RX instrument. Counterstained with Hematoxylin.

Secondary antibody only control : Secondary antibody is a ready to use Rabbit specific IHC polymer detection kit HRP/DAB (ab209101).

Heat mediated antigen retrieval with Tris-EDTA buffer (pH 9.0, epitope retrieval solution2) for 20 mins.

This data was developed using the same antibody clone in a different buffer formulation containing PBS, BSA, glycerol, and sodium azide (ab259957).

ChIP-sequencing - Anti-RBBP7 antibody [EPR23796-74] - ChIP Grade - BSA and Azide free (AB273882)
  • ChIP-seq

Supplier Data

ChIP-sequencing - Anti-RBBP7 antibody [EPR23796-74] - ChIP Grade - BSA and Azide free (AB273882)

Chromatin was prepared from HeLa cells. Cells were fixed with 1% formaldehyde for 10 minutes. ChIP was performed with 10^7 HeLa cells and 8 μg of ab259957 [EPR23796-74]. ChIP DNA was sequenced on the Illumina NovaSeq 6000 to a depth of 30 million reads. Additional screenshots of mapped reads can be downloaded here.

ChIP-sequencing - Anti-RBBP7 antibody [EPR23796-74] - ChIP Grade - BSA and Azide free (AB273882)
  • ChIP-seq

Supplier Data

ChIP-sequencing - Anti-RBBP7 antibody [EPR23796-74] - ChIP Grade - BSA and Azide free (AB273882)

Chromatin was prepared from HeLa cells. Cells were fixed with 1% formaldehyde for 10 minutes. ChIP was performed with 107 HeLa cells and 3 μg of ab259957 [EPR23796-74]. ChIP DNA was sequenced on the Illumina NovaSeq 6000 to a depth of 30 million reads. At time of publication of this image, ChIP-seq was not widely characterised in HeLa for this antibody. For any questions, please contact Abcam Technical Support. Additional screenshots of mapped reads can be downloaded here.

Immunohistochemistry (Formalin/PFA-fixed paraffin-embedded sections) - Anti-RBBP7 antibody [EPR23796-74] - ChIP Grade - BSA and Azide free (AB273882)
  • IHC-P

Unknown

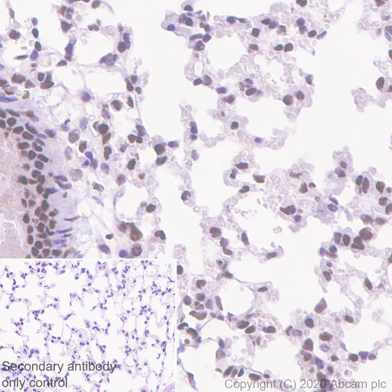
Immunohistochemistry (Formalin/PFA-fixed paraffin-embedded sections) - Anti-RBBP7 antibody [EPR23796-74] - ChIP Grade - BSA and Azide free (AB273882)

Immunohistochemical analysis of paraffin-embedded Rat lung tissue labeling RBBP7 with abab259957 at 1/2000 dilution followed by a ready to use Rabbit specific IHC polymer detection kit HRP/DAB (ab209101). Nuclear staining in rat lung (PMID : 19655816). The section was incubated with ab259957 for 30 mins at room temperature.The immunostaining was performed on a Leica Biosystems BOND® RX instrument. Counterstained with Hematoxylin.

Secondary antibody only control : Secondary antibody is a ready to use Rabbit specific IHC polymer detection kit HRP/DAB (ab209101).

Heat mediated antigen retrieval with Tris-EDTA buffer (pH 9.0, epitope retrieval solution2) for 20 mins.

This data was developed using the same antibody clone in a different buffer formulation containing PBS, BSA, glycerol, and sodium azide (ab259957).

Flow Cytometry (Intracellular) - Anti-RBBP7 antibody [EPR23796-74] - ChIP Grade - BSA and Azide free (AB273882)
  • Flow Cyt (Intra)

Unknown

Flow Cytometry (Intracellular) - Anti-RBBP7 antibody [EPR23796-74] - ChIP Grade - BSA and Azide free (AB273882)

Intracellular flow cytometric analysis of 4% paraformaldehyde fixed 90% methanol permeabilized NIH/3T3 (Mouse embryonic fibroblast) cells labelling RBBP7 (RbAp46) with ab259957 at 1/600 dilution (0.1ug) (Red) compared with a Rabbit monoclonal IgG (ab172730) (Black) isotype control and an unlabelled control (cells without incubation with primary antibody and secondary antibody) (Blue). A Goat anti rabbit IgG (Alexa Fluor® 488, ab150077) at 1/2000 dilution was used as the secondary antibody.

This data was developed using the same antibody clone in a different buffer formulation containing PBS, BSA, glycerol, and sodium azide (ab259957).

Immunohistochemistry (Formalin/PFA-fixed paraffin-embedded sections) - Anti-RBBP7 antibody [EPR23796-74] - ChIP Grade - BSA and Azide free (AB273882)
  • IHC-P

Unknown

Immunohistochemistry (Formalin/PFA-fixed paraffin-embedded sections) - Anti-RBBP7 antibody [EPR23796-74] - ChIP Grade - BSA and Azide free (AB273882)

Immunohistochemical analysis of paraffin-embedded Mouse lung tissue labeling RBBP7 with abab259957 at 1/2000 dilution followed by a ready to use Rabbit specific IHC polymer detection kit HRP/DAB (ab209101). Nuclear staining in mouse lung (PMID : 19655816). The section was incubated with ab259957 for 30 mins at room temperature. The immunostaining was performed on a Leica Biosystems BOND® RX instrument. Counterstained with Hematoxylin.

Secondary antibody only control : Secondary antibody is a ready to use Rabbit specific IHC polymer detection kit HRP/DAB (ab209101).

Heat mediated antigen retrieval with Tris-EDTA buffer (pH 9.0, epitope retrieval solution2) for 20 mins.

This data was developed using the same antibody clone in a different buffer formulation containing PBS, BSA, glycerol, and sodium azide (ab259957).

Immunocytochemistry/ Immunofluorescence - Anti-RBBP7 antibody [EPR23796-74] - ChIP Grade - BSA and Azide free (AB273882)
  • ICC/IF

Unknown

Immunocytochemistry/ Immunofluorescence - Anti-RBBP7 antibody [EPR23796-74] - ChIP Grade - BSA and Azide free (AB273882)

Immunofluorescent analysis of 4% Paraformaldehyde-fixed, 0.1% TritonX-100 permeabilized NIH/3T3 cells labelling RBBP7 with ab259957 at 1/500 dilution, followed by ab150077 Goat Anti-Rabbit IgG H&L (Alexa Fluor® 488) antibody at 1/1000 (2 ug/ml) dilution (Green). Confocal image showing mainly nuclear staining in NIH/3T3 cell line. ab195889 Anti-alpha Tubulin mouse monoclonal antibody - Microtubule Marker (Alexa Fluor® 594) was used to counterstain tubulin at 1/200 dilution (Red). The Nuclear counterstain was DAPI (Blue).

Secondary antibody only control : Secondary antibody is ab150077 Goat Anti-Rabbit IgG H&L (Alexa Fluor® 488) at 1/1000 (2 ug/ml) dilution.

This data was developed using the same antibody clone in a different buffer formulation containing PBS, BSA, glycerol, and sodium azide (ab259957).

Western blot - Anti-RBBP7 antibody [EPR23796-74] - ChIP Grade - BSA and Azide free (AB273882)
  • WB

Lab

Western blot - Anti-RBBP7 antibody [EPR23796-74] - ChIP Grade - BSA and Azide free (AB273882)

Blocking and diluting buffer and concentration : 5% NFDM/TBST.

Exposure times : 8 seconds.

This data was developed using the same antibody clone in a different buffer formulation containing PBS, BSA, glycerol, and sodium azide (ab259957).

All lanes:

Western blot - Anti-RBBP7 antibody [EPR23796-74] - ChIP Grade (<a href='/en-us/products/primary-antibodies/rbbp7-antibody-epr23796-74-chip-grade-ab259957'>ab259957</a>) at 1/1000 dilution

Lane 1:

Jurkat (human t cell leukemia t lymphocyte) whole cell lysate at 20 µg

Lane 2:

MCF7 (human breast adenocarcinoma epithelial cell) whole cell lysate at 20 µg

Lane 3:

SH-SY5Y (human neuroblastoma epithelial cell) whole cell lysate at 20 µg

Lane 4:

LNCaP (human prostate carcinoma epithelial cell) whole cell lysate at 20 µg

Lane 5:

F9 (mouse embryonal carcinoma epithelial cell) whole cell lysate at 20 µg

Secondary

All lanes:

Goat Anti-Rabbit IgG, (H+L), Peroxidase conjugated (<a href='/en-us/products/secondary-antibodies/goat-rabbit-igg-h-l-hrp-ab97051'>ab97051</a>) at 1/50000 dilution

Predicted band size: 48 kDa

Observed band size: 48 kDa

false

Western blot - Anti-RBBP7 antibody [EPR23796-74] - ChIP Grade - BSA and Azide free (AB273882)
  • WB

Lab

Western blot - Anti-RBBP7 antibody [EPR23796-74] - ChIP Grade - BSA and Azide free (AB273882)

Blocking and diluting buffer and concentration : 5% NFDM/TBST.

Exposure times : Lanes 1-3 : 3 minutes; Lane 4 : 3 seconds; Lanes 5-6 : 3 minutes; Lane 7-11 : 3 seconds.

This data was developed using the same antibody clone in a different buffer formulation containing PBS, BSA, glycerol, and sodium azide (ab259957).

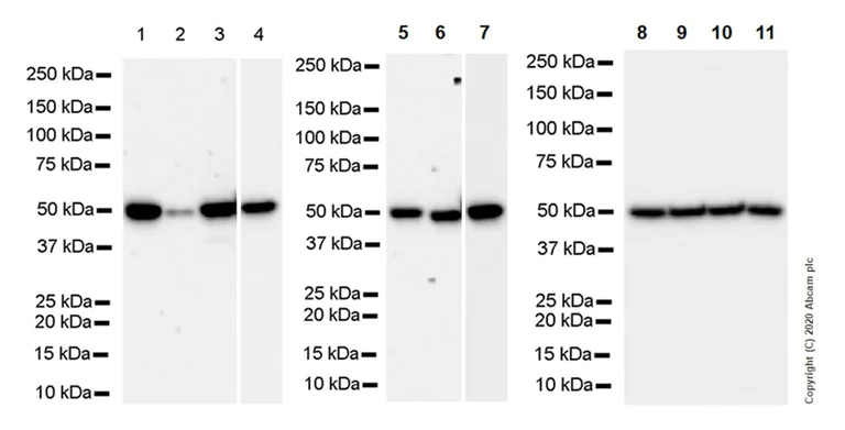
All lanes:

Western blot - Anti-RBBP7 antibody [EPR23796-74] - ChIP Grade (<a href='/en-us/products/primary-antibodies/rbbp7-antibody-epr23796-74-chip-grade-ab259957'>ab259957</a>) at 1/1000 dilution

Lane 1:

Mouse brain tissue lysate at 20 µg

Lane 2:

Mouse heart tissue lysate at 20 µg

Lane 3:

Mouse liver tissue lysate at 20 µg

Lane 4:

Mouse spleen tissue lysate at 20 µg

Lane 5:

Rat heart tissue lysate at 20 µg

Lane 6:

Rat kidney tissue lysate at 20 µg

Lane 7:

Rat spleen tissue lysate at 20 µg

Lane 8:

C6 (rat glial tumor glial cell) whole cell lysate at 20 µg

Lane 9:

RAW 264.7 (mouse abelson murine leukemia virus-induced tumor macrophage) whole cell lysate at 20 µg

Lane 10:

PC-12 (rat adrenal gland pheochromocytoma) whole cell lysate at 20 µg

Lane 11:

NIH/3T3 (mouse embryonic fibroblast) whole cell lysate at 20 µg

Secondary

All lanes:

Goat Anti-Rabbit IgG, (H+L), Peroxidase conjugated (<a href='/en-us/products/secondary-antibodies/goat-rabbit-igg-h-l-hrp-ab97051'>ab97051</a>) at 1/50000 dilution

Predicted band size: 48 kDa

Observed band size: 48 kDa

false

Immunoprecipitation - Anti-RBBP7 antibody [EPR23796-74] - ChIP Grade - BSA and Azide free (AB273882)
  • IP

Unknown

Immunoprecipitation - Anti-RBBP7 antibody [EPR23796-74] - ChIP Grade - BSA and Azide free (AB273882)

RBBP7 was immunoprecipitated from 0.35 mg HeLa (human cervix adenocarcinoma epithelial cell) whole cell lysate with ab259957 at 1/30 dilution (2ug in 0.35mg lysates). Western blot was performed on the immunoprecipitate using ab259957 at 1/1000 dilution. VeriBlot for IP Detection Reagent (HRP)(ab131366) was used at 1/5000 dilution.

Lane 1 : HeLa (human cervix adenocarcinoma epithelial cell) whole cell lysate 10 ug

Lane 2 : abab259957 IP in HeLa whole cell lysate

Lane 3 : Rabbit monoclonal IgG (ab172730) instead of ab259957 in HeLa whole cell lysate

Blocking and dilution buffer and concentration : 5% NFDM/TBST.

Exposure time : 24 seconds.

This data was developed using the same antibody clone in a different buffer formulation containing PBS, BSA, glycerol, and sodium azide (ab259957).

All lanes:

Immunoprecipitation - Anti-RBBP7 antibody [EPR23796-74] - ChIP Grade (<a href='/en-us/products/primary-antibodies/rbbp7-antibody-epr23796-74-chip-grade-ab259957'>ab259957</a>)

Predicted band size: 48 kDa

Observed band size: 48 kDa

false

Immunoprecipitation - Anti-RBBP7 antibody [EPR23796-74] - ChIP Grade - BSA and Azide free (AB273882)
  • IP

Unknown

Immunoprecipitation - Anti-RBBP7 antibody [EPR23796-74] - ChIP Grade - BSA and Azide free (AB273882)

RBBP7 was immunoprecipitated from 0.35 mg NIH/3T3 (mouse embryonic fibroblast) whole cell lysate with ab259957 at 1/30 dilution (2ug in 0.35mg lysates). Western blot was performed on the immunoprecipitate using ab259957 at 1/1000 dilution. VeriBlot for IP Detection Reagent (HRP)(ab131366) was used at 1/5000 dilution.

Lane 1 : NIH/3T3 (mouse embryonic fibroblast) whole cell lysate 10 ug

Lane 2 : abab259957 IP in NIH/3T3 whole cell lysate

Lane 3 : Rabbit monoclonal IgG (ab172730) instead of ab259957 in NIH/3T3 whole cell lysate

Blocking and dilution buffer and concentration : 5% NFDM/TBST.

Exposure time : 24 seconds.

This data was developed using the same antibody clone in a different buffer formulation containing PBS, BSA, glycerol, and sodium azide (ab259957).

All lanes:

Immunoprecipitation - Anti-RBBP7 antibody [EPR23796-74] - ChIP Grade (<a href='/en-us/products/primary-antibodies/rbbp7-antibody-epr23796-74-chip-grade-ab259957'>ab259957</a>)

Predicted band size: 48 kDa

Observed band size: 48 kDa

false

Western blot - Anti-RBBP7 antibody [EPR23796-74] - ChIP Grade - BSA and Azide free (AB273882)
  • WB

Lab

Western blot - Anti-RBBP7 antibody [EPR23796-74] - ChIP Grade - BSA and Azide free (AB273882)

Blocking and diluting buffer and concentration : 5% NFDM/TBST.

ab259957 was shown to specifically react with RBBP7 in wild-type HAP1 cells as signal was lost in RBBP7 (RbAp46) knockout cells.

Wild-type and RBBP7 (RbAp46) knockout samples were subjected to SDS-PAGE. ab259957 and ab181602 (Rabbit anti-GAPDH loading control) were incubated 1 hour at room temperature at 1/2000 dilution and 1/200,000 dilution respectively. Blots were developed with Goat Anti-Rabbit IgG, (H+L), Peroxidase conjugated (ab97051) secondary antibody at 1/50,000 dilution for 1 hour at room temperature before imaging. The blot was developed on a BIO-RAD® ChemiDoc MP instrument using the ECL technique.

Exposure time : 10 seconds.

This data was developed using the same antibody clone in a different buffer formulation containing PBS, BSA, glycerol, and sodium azide (ab259957).

All lanes:

Western blot - Anti-RBBP7 antibody [EPR23796-74] - ChIP Grade (<a href='/en-us/products/primary-antibodies/rbbp7-antibody-epr23796-74-chip-grade-ab259957'>ab259957</a>) at 1/2000 dilution

Lane 1:

Wild-type HAP1 whole cell lysate at 20 µg

Lane 2:

RBBP7 (RbAp46) knockout HAP1 whole cell lysate at 20 µg

Lane 3:

HeLa (human cervix adenocarcinoma epithelial cell) whole cell lysate at 20 µg

Lane 4:

HepG2 (human hepatocellular carcinoma epithelial cell) whole cell lysate at 20 µg

Secondary

All lanes:

Goat Anti-Rabbit IgG, (H+L), Peroxidase conjugated (<a href='/en-us/products/secondary-antibodies/goat-rabbit-igg-h-l-hrp-ab97051'>ab97051</a>) at 1/50000 dilution

Predicted band size: 48 kDa

Observed band size: 48 kDa

false

Western blot - Anti-RBBP7 antibody [EPR23796-74] - ChIP Grade - BSA and Azide free (AB273882)
  • WB

Lab

Western blot - Anti-RBBP7 antibody [EPR23796-74] - ChIP Grade - BSA and Azide free (AB273882)

This data was developed using the same antibody clone in a different buffer formulation (ab259957).

Lanes 1 - 2 : Merged signal (red and green). Green - ab259957 observed at 50 kDa. Red - loading control ab8245 (Mouse anti-GAPDH antibody [6C5]) observed at 37 kDa.

ab259957 was shown to react with RBBP7 in wild-type HeLa cells in Western blot with loss of signal observed in RBBP7 knockout cell line ab264677 (RBBP7 knockout cell lysate ab258628). Wild-type HeLa and RBBP7 knockout cell lysates were subjected to SDS-PAGE. Membranes were blocked in 3 % milk in TBS-T (0.1 % Tween®) before incubation with ab259957 and ab8245 (Mouse anti-GAPDH antibody [6C5]) overnight at 4 °C at a 1 in 1000 dilution and a 1 in 20000 dilution respectively. Blots were incubated with Goat anti-Rabbit IgG H&L (IRDye® 800CW) preabsorbed (ab216773) and Goat anti-Mouse IgG H&L (IRDye® 680RD) preabsorbed (ab216776) secondary antibodies at 1 in 20000 dilution for 1 h at room temperature before imaging.

All lanes:

Western blot - Anti-RBBP7 antibody [EPR23796-74] - ChIP Grade (<a href='/en-us/products/primary-antibodies/rbbp7-antibody-epr23796-74-chip-grade-ab259957'>ab259957</a>) at 1/1000 dilution

Lane 1:

Wild-type HeLa cell lysate at 20 µg

Lane 2:

RBBP7 knockout HeLa cell lysate at 20 µg

Lane 2:

Western blot - Human RBBP7 (RbAp46) knockout HeLa cell line (<a href='/en-us/products/cell-lines/human-rbbp7-rbap46-knockout-hela-cell-line-ab264677'>ab264677</a>)

Predicted band size: 48 kDa

Observed band size: 50 kDa

false

Key facts

Host species

Rabbit

Clonality

Monoclonal

Clone number

EPR23796-74

Isotype

IgG

Carrier free

Yes

Reacts with

Mouse, Rat, Human

Applications

Flow Cyt (Intra), ICC/IF, ChIP-seq, IP, IHC-P, WB

applications

Immunogen

The exact immunogen used to generate this antibody is proprietary information.

Reactivity data

{ "title": "Reactivity Data", "filters": { "stats": ["", "Species", "Dilution Info", "Notes"], "tabs": { "all-applications": {"fullname" : "All Applications", "shortname": "All Applications"}, "ICCIF" : {"fullname" : "Immunocytochemistry/ Immunofluorescence", "shortname":"ICC/IF"}, "IP" : {"fullname" : "Immunoprecipitation", "shortname":"IP"}, "WB" : {"fullname" : "Western blot", "shortname":"WB"}, "ChIPseq" : {"fullname" : "ChIP-sequencing", "shortname":"ChIP-seq"}, "FlowCytIntra" : {"fullname" : "Flow Cytometry (Intracellular)", "shortname":"Flow Cyt (Intra)"}, "IHCP" : {"fullname" : "Immunohistochemistry (Formalin/PFA-fixed paraffin-embedded sections)", "shortname":"IHC-P"} }, "product-promise": { "all": "all", "testedAndGuaranteed": "tested", "guaranteed": "expected", "predicted": "predicted", "notRecommended": "not-recommended" } }, "values": { "Human": { "ICCIF-species-checked": "testedAndGuaranteed", "ICCIF-species-dilution-info": "", "ICCIF-species-notes": "<p></p>", "IP-species-checked": "testedAndGuaranteed", "IP-species-dilution-info": "", "IP-species-notes": "<p></p>", "WB-species-checked": "testedAndGuaranteed", "WB-species-dilution-info": "", "WB-species-notes": "<p></p>", "ChIPseq-species-checked": "testedAndGuaranteed", "ChIPseq-species-dilution-info": "", "ChIPseq-species-notes": "<p></p>", "FlowCytIntra-species-checked": "testedAndGuaranteed", "FlowCytIntra-species-dilution-info": "", "FlowCytIntra-species-notes": "<p></p>", "IHCP-species-checked": "testedAndGuaranteed", "IHCP-species-dilution-info": "", "IHCP-species-notes": "<p></p>" }, "Mouse": { "ICCIF-species-checked": "testedAndGuaranteed", "ICCIF-species-dilution-info": "", "ICCIF-species-notes": "<p></p>", "IP-species-checked": "testedAndGuaranteed", "IP-species-dilution-info": "", "IP-species-notes": "<p></p>", "WB-species-checked": "testedAndGuaranteed", "WB-species-dilution-info": "", "WB-species-notes": "<p></p>", "ChIPseq-species-checked": "guaranteed", "ChIPseq-species-dilution-info": "", "ChIPseq-species-notes": "", "FlowCytIntra-species-checked": "testedAndGuaranteed", "FlowCytIntra-species-dilution-info": "", "FlowCytIntra-species-notes": "<p></p>", "IHCP-species-checked": "testedAndGuaranteed", "IHCP-species-dilution-info": "", "IHCP-species-notes": "<p></p>" }, "Rat": { "ICCIF-species-checked": "guaranteed", "ICCIF-species-dilution-info": "", "ICCIF-species-notes": "", "IP-species-checked": "guaranteed", "IP-species-dilution-info": "", "IP-species-notes": "", "WB-species-checked": "testedAndGuaranteed", "WB-species-dilution-info": "", "WB-species-notes": "<p></p>", "ChIPseq-species-checked": "guaranteed", "ChIPseq-species-dilution-info": "", "ChIPseq-species-notes": "", "FlowCytIntra-species-checked": "guaranteed", "FlowCytIntra-species-dilution-info": "", "FlowCytIntra-species-notes": "", "IHCP-species-checked": "testedAndGuaranteed", "IHCP-species-dilution-info": "", "IHCP-species-notes": "<p></p>" } } }

Product details

ab273882 is the carrier-free version of ab259957.

Patented technology
Our RabMAb® technology is a patented hybridoma-based technology for making rabbit monoclonal antibodies. For details on our patents, please refer to RabMAb® patents.

What are the advantages of a recombinant monoclonal antibody?
This product is a recombinant monoclonal antibody, which offers several advantages including:

  • - High batch-to-batch consistency and reproducibility
  • - Improved sensitivity and specificity
  • - Long-term security of supply
  • - Animal-free batch production

For more information, read more on recombinant antibodies.

Conjugation ready
Our carrier-free antibodies are typically supplied in a PBS-only formulation, purified and free of BSA, sodium azide and glycerol. This conjugation-ready format is designed for use with fluorochromes, metal isotopes, oligonucleotides, and enzymes, which makes them ideal for antibody labelling, functional and cell-based assays, flow-based assays (e.g. mass cytometry) and Multiplex Imaging applications.

Use our conjugation kits for antibody conjugates that are ready-to-use in as little as 20 minutes with 1 minute hands-on-time and 100% antibody recovery: available for fluorescent dyes, HRP, biotin and gold.

Compatibility
This product is compatible with the Maxpar® Antibody Labeling Kit from Fluidigm, without the need for antibody preparation. Maxpar® is a trademark of Fluidigm Canada Inc.

Properties and storage information

Form
Liquid
Purification technique
Affinity purification Protein A
Storage buffer
pH: 7.2 - 7.4 Constituents: PBS
Shipped at conditions
Blue Ice
Appropriate short-term storage conditions
+4°C
Appropriate long-term storage conditions
+4°C
Storage information
Do Not Freeze

Product protocols

For this product, it's our understanding that no specific protocols are required. You can visit:

Target data

Core histone-binding subunit that may target chromatin remodeling factors, histone acetyltransferases and histone deacetylases to their histone substrates in a manner that is regulated by nucleosomal DNA. Component of several complexes which regulate chromatin metabolism. These include the type B histone acetyltransferase (HAT) complex, which is required for chromatin assembly following DNA replication; the core histone deacetylase (HDAC) complex, which promotes histone deacetylation and consequent transcriptional repression; the nucleosome remodeling and histone deacetylase complex (the NuRD complex), which promotes transcriptional repression by histone deacetylation and nucleosome remodeling; and the PRC2/EED-EZH2 complex, which promotes repression of homeotic genes during development; and the NURF (nucleosome remodeling factor) complex.
See full target information RBBP7

Product promise

We are committed to supporting your work with high-quality reagents, and we're here for you every step of the way. In the unlikely event that one of our products does not perform as expected, you're protected by our Product Promise.
For full details, please see our Terms & Conditions

Please note: All products are 'FOR RESEARCH USE ONLY. NOT FOR USE IN DIAGNOSTIC OR THERAPEUTIC PROCEDURES'.

For licensing inquiries, please contact partnerships@abcam.com