JavaScript is disabled in your browser. Please enable JavaScript to view this website.
AB219955

Anti-RBCK1 antibody [CL4289]

Be the first to review this product! Submit a review

|

(4 Publications)

Mouse Monoclonal RBCK1 antibody. Suitable for IHC-P and reacts with Human samples. Cited in 4 publications. Immunogen corresponding to Recombinant Fragment Protein within Human RBCK1 aa 50-200.

View Alternative Names

C20orf18, RNF54, UBCE7IP3, XAP3, XAP4, RBCK1, RanBP-type and C3HC4-type zinc finger-containing protein 1, HBV-associated factor 4, Heme-oxidized IRP2 ubiquitin ligase 1, Hepatitis B virus X-associated protein 4, RING finger protein 54, RING-type E3 ubiquitin transferase HOIL-1, Ubiquitin-conjugating enzyme 7-interacting protein 3, HOIL-1

5 Images
Immunohistochemistry (Formalin/PFA-fixed paraffin-embedded sections) - Anti-RBCK1 antibody [CL4289] (AB219955)
  • IHC-P

Supplier Data

Immunohistochemistry (Formalin/PFA-fixed paraffin-embedded sections) - Anti-RBCK1 antibody [CL4289] (AB219955)

Immunohistochemical analysis of paraffin-embedded human liver tissue labeling RBCK1 with ab219955 at 1/50 dilution.

Immunohistochemistry (Formalin/PFA-fixed paraffin-embedded sections) - Anti-RBCK1 antibody [CL4289] (AB219955)
  • IHC-P

Supplier Data

Immunohistochemistry (Formalin/PFA-fixed paraffin-embedded sections) - Anti-RBCK1 antibody [CL4289] (AB219955)

Immunohistochemical analysis of paraffin-embedded human endometrium tissue labeling RBCK1 with ab219955 at 1/50 dilution.

Immunohistochemistry (Formalin/PFA-fixed paraffin-embedded sections) - Anti-RBCK1 antibody [CL4289] (AB219955)
  • IHC-P

Supplier Data

Immunohistochemistry (Formalin/PFA-fixed paraffin-embedded sections) - Anti-RBCK1 antibody [CL4289] (AB219955)

Immunohistochemical analysis of paraffin-embedded human testis tissue labeling RBCK1 with ab219955 at 1/50 dilution.

Immunohistochemistry (Formalin/PFA-fixed paraffin-embedded sections) - Anti-RBCK1 antibody [CL4289] (AB219955)
  • IHC-P

Supplier Data

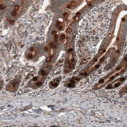
Immunohistochemistry (Formalin/PFA-fixed paraffin-embedded sections) - Anti-RBCK1 antibody [CL4289] (AB219955)

Immunohistochemical analysis of paraffin-embedded human duodenum tissue labeling RBCK1 with ab219955 at 1/50 dilution.

Immunohistochemistry (Formalin/PFA-fixed paraffin-embedded sections) - Anti-RBCK1 antibody [CL4289] (AB219955)
  • IHC-P

Supplier Data

Immunohistochemistry (Formalin/PFA-fixed paraffin-embedded sections) - Anti-RBCK1 antibody [CL4289] (AB219955)

Immunohistochemical analysis of paraffin-embedded human kidney tissue labeling RBCK1 with ab219955 at 1/50 dilution.

Key facts

Host species

Mouse

Clonality

Monoclonal

Clone number

CL4289

Isotype

IgG1

Carrier free

No

Reacts with

Human

Applications

IHC-P

applications

Immunogen

Recombinant Fragment Protein within Human RBCK1 aa 50-200. The exact immunogen used to generate this antibody is proprietary information.

Q9BYM8

Epitope

Binds to an epitope located within the peptide sequence KDMVFLDYGFPPVLQ as determined by overlapping synthetic peptides.

Reactivity data

{ "title": "Reactivity Data", "filters": { "stats": ["", "Species", "Dilution Info", "Notes"], "tabs": { "all-applications": {"fullname" : "All Applications", "shortname": "All Applications"}, "IHCP" : {"fullname" : "Immunohistochemistry (Formalin/PFA-fixed paraffin-embedded sections)", "shortname":"IHC-P"}, "WB" : {"fullname" : "Western blot", "shortname":"WB"} }, "product-promise": { "all": "all", "testedAndGuaranteed": "tested", "guaranteed": "expected", "predicted": "predicted", "notRecommended": "not-recommended" } }, "values": { "Human": { "IHCP-species-checked": "testedAndGuaranteed", "IHCP-species-dilution-info": "1/50 - 1/200", "IHCP-species-notes": "<p></p> Perform heat-mediated antigen retrieval with citrate buffer pH 6 before commencing with IHC staining protocol.", "WB-species-checked": "notRecommended", "WB-species-dilution-info": "", "WB-species-notes": "<p></p>" } } }

Properties and storage information

Form
Liquid
Purification technique
Affinity purification Protein A
Storage buffer
pH: 7.2 Preservative: 0.02% Sodium azide Constituents: PBS, 40% Glycerol (glycerin, glycerine)
Shipped at conditions
Blue Ice
Appropriate short-term storage duration
1-2 weeks
Appropriate short-term storage conditions
+4°C
Appropriate long-term storage conditions
-20°C
Aliquoting information
Upon delivery aliquot
Storage information
Avoid freeze / thaw cycle

Product protocols

For this product, it's our understanding that no specific protocols are required. You can visit:

Target data

E3 ubiquitin-protein ligase, which accepts ubiquitin from specific E2 ubiquitin-conjugating enzymes, such as UBE2L3/UBCM4, and then transfers it to substrates (PubMed : 12629548, PubMed : 17449468, PubMed : 18711448). Functions as an E3 ligase for oxidized IREB2 and both heme and oxygen are necessary for IREB2 ubiquitination (PubMed : 12629548). Promotes ubiquitination of TAB2 and IRF3 and their degradation by the proteasome (PubMed : 17449468, PubMed : 18711448). Component of the LUBAC complex which conjugates linear ('Met-1'-linked) polyubiquitin chains to substrates and plays a key role in NF-kappa-B activation and regulation of inflammation (PubMed : 17006537, PubMed : 19136968, PubMed : 21455173, PubMed : 21455180, PubMed : 21455181). LUBAC conjugates linear polyubiquitin to IKBKG and RIPK1 and is involved in activation of the canonical NF-kappa-B and the JNK signaling pathways (PubMed : 17006537, PubMed : 19136968, PubMed : 21455173, PubMed : 21455180, PubMed : 21455181). Linear ubiquitination mediated by the LUBAC complex interferes with TNF-induced cell death and thereby prevents inflammation (PubMed : 17006537, PubMed : 21455173, PubMed : 21455180, PubMed : 21455181). LUBAC is recruited to the TNF-R1 signaling complex (TNF-RSC) following polyubiquitination of TNF-RSC components by BIRC2 and/or BIRC3 and to conjugate linear polyubiquitin to IKBKG and possibly other components contributing to the stability of the complex (PubMed : 17006537, PubMed : 19136968, PubMed : 21455173, PubMed : 21455180, PubMed : 21455181). The LUBAC complex is also involved in innate immunity by conjugating linear polyubiquitin chains at the surface of bacteria invading the cytosol to form the ubiquitin coat surrounding bacteria (PubMed : 28481331). LUBAC is not able to initiate formation of the bacterial ubiquitin coat, and can only promote formation of linear polyubiquitins on pre-existing ubiquitin (PubMed : 28481331). The bacterial ubiquitin coat acts as an 'eat-me' signal for xenophagy and promotes NF-kappa-B activation (PubMed : 28481331). Together with OTULIN, the LUBAC complex regulates the canonical Wnt signaling during angiogenesis (PubMed : 23708998). Binds polyubiquitin of different linkage types (PubMed : 20005846, PubMed : 21455181).
See full target information RBCK1

Publications (4)

Recent publications for all applications. Explore the full list and refine your search

International archives of allergy and immunology 184:471-480 PubMed36702106

2023

RBCK1 Overexpression Attenuates Inflammation and Mobility of Derp1-Induced Nasal Mucosal Cells by Downregulating NLRP3.

Applications

Unspecified application

Species

Unspecified reactive species

Jingwei Du,Lijuan Peng,Jun Feng,Tao Zhang

American journal of cancer research 12:1372-1392 PubMed35411229

2022

The E3 ubiquitin ligase RBCK1 promotes the invasion and metastasis of hepatocellular carcinoma by destroying the PPARγ/PGC1α complex.

Applications

Unspecified application

Species

Unspecified reactive species

Zheng Xu,Jun Shao,Cihua Zheng,Jing Cai,Bowen Li,Xiaogang Peng,Leifeng Chen,Tiande Liu

Frontiers in immunology 12:734646 PubMed34795663

2021

Comprehensive Multi-Omics Identification of Interferon-γ Response Characteristics Reveals That RBCK1 Regulates the Immunosuppressive Microenvironment of Renal Cell Carcinoma.

Applications

Unspecified application

Species

Unspecified reactive species

Wenhao Xu,Juli Tao,Wenkai Zhu,Wangrui Liu,Aihetaimujiang Anwaier,Xi Tian,Jiaqi Su,Guohai Shi,Haineng Huang,Gaomeng Wei,Chuanyu Li,Yuanyuan Qu,Hailiang Zhang,Dingwei Ye

Oncology letters 17:3305-3313 PubMed30867764

2019

Efficacy of celastrol combined with cisplatin in enhancing the apoptosis of U-2OS osteosarcoma cells via the mitochondrial and endoplasmic reticulum pathways of apoptosis.

Applications

Unspecified application

Species

Unspecified reactive species

Qiang Wang,Xiaolong Yu,Fan Li,Xin Lv,Xiaoxing Fu,Houyun Gu,Hucheng Liu,Jun Liu,Min Dai,Bin Zhang
View all publications

Product promise

We are committed to supporting your work with high-quality reagents, and we're here for you every step of the way. In the unlikely event that one of our products does not perform as expected, you're protected by our Product Promise.
For full details, please see our Terms & Conditions

Please note: All products are 'FOR RESEARCH USE ONLY. NOT FOR USE IN DIAGNOSTIC OR THERAPEUTIC PROCEDURES'.

For licensing inquiries, please contact partnerships@abcam.com