JavaScript is disabled in your browser. Please enable JavaScript to view this website.
AB309105

Anti-RBCK1 antibody [EPR28157-53] - BSA and Azide free

Be the first to review this product! Submit a review

|

(0 Publication)

Knockout Tested Rabbit Recombinant Monoclonal RBCK1 antibody. Carrier free. Suitable for WB, ICC/IF, Flow Cyt (Intra) and reacts with Human, Mouse, Rat samples.

View Alternative Names

C20orf18, RNF54, UBCE7IP3, XAP3, XAP4, RBCK1, RanBP-type and C3HC4-type zinc finger-containing protein 1, HBV-associated factor 4, Heme-oxidized IRP2 ubiquitin ligase 1, Hepatitis B virus X-associated protein 4, RING finger protein 54, RING-type E3 ubiquitin transferase HOIL-1, Ubiquitin-conjugating enzyme 7-interacting protein 3, HOIL-1

7 Images
Immunocytochemistry/ Immunofluorescence - Anti-RBCK1 antibody [EPR28157-53] - BSA and Azide free (AB309105)
  • ICC/IF

Supplier Data

Immunocytochemistry/ Immunofluorescence - Anti-RBCK1 antibody [EPR28157-53] - BSA and Azide free (AB309105)

This data was developed using ab309104, the same antibody clone in a different buffer formulation. Immunofluorescent analysis of 4% Paraformaldehyde-fixed, 0.1% TritonX-100 permeabilized HepG2 (human hepatocellular carcinoma epithelial cell) cells labelling RBCK1 with ab309104 at 1/50 (10.14 ug/ml) dilution, followed by ab150081 Goat Anti-Rabbit IgG H&L (Alexa Fluor® 488) preadsorbed antibody at 1/1000 2 ug/ml dilution (Green). Confocal image showing mostly cytoplasmic staining in HepG2 cell line. Image was taken with a confocal microscope(Leica-Microsystems, TCS SP8). ab195889 Anti-alpha Tubulin mouse monoclonal antibody - Microtubule Marker (Alexa Fluor® 594) was used to counterstain tubulin at 1/200 2.5ug/ml dilution (Red). The Nuclear counterstain was DAPI (Blue). Secondary antibody only control : Secondary antibody is ab150081 Goat Anti-Rabbit IgG H&L (Alexa Fluor® 488) preadsorbed at 1/1000 2 ug/ml dilution.

Flow Cytometry (Intracellular) - Anti-RBCK1 antibody [EPR28157-53] - BSA and Azide free (AB309105)
  • Flow Cyt (Intra)

Supplier Data

Flow Cytometry (Intracellular) - Anti-RBCK1 antibody [EPR28157-53] - BSA and Azide free (AB309105)

This data was developed using ab309104, the same antibody clone in a different buffer formulation. Flow cytometric analysis of 4% paraformaldehyde fixed 90% methanol permeabilized HepG2 (human hepatocellular carcinoma epithelial cell) cells labelling RBCK1 with ab309104 at 1/500 dilution (0.1 ug)/Red (Red) compared with a Rabbit monoclonal IgG (ab172730) (Black) isotype control and an unlabelled control (cells without incubation with primary antibody and secondary antibody) (Blue). A Goat Anti-Rabbit IgG (Alexa Fluor® 488, ab150081) at 1/5000 dilution was used as the secondary antibody.

Flow Cytometry (Intracellular) - Anti-RBCK1 antibody [EPR28157-53] - BSA and Azide free (AB309105)
  • Flow Cyt (Intra)

Supplier Data

Flow Cytometry (Intracellular) - Anti-RBCK1 antibody [EPR28157-53] - BSA and Azide free (AB309105)

This data was developed using ab309104, the same antibody clone in a different buffer formulation. Flow cytometric analysis of 4% paraformaldehyde fixed 90% methanol permeabilized NIH/3T3 (mouse embryonic fibroblast) cells labelling RBCK1 with ab309104 at 1/500 dilution (0.1 ug)/Red (Red) compared with a Rabbit monoclonal IgG (ab172730) (Black) isotype control and an unlabelled control (cells without incubation with primary antibody and secondary antibody) (Blue). A Goat Anti-Rabbit IgG (Alexa Fluor® 488, ab150081) at 1/5000 dilution was used as the secondary antibody.

Western blot - Anti-RBCK1 antibody [EPR28157-53] - BSA and Azide free (AB309105)
  • WB

Supplier Data

Western blot - Anti-RBCK1 antibody [EPR28157-53] - BSA and Azide free (AB309105)

This data was developed using ab309104, the same antibody clone in a different buffer formulation. Blocking and diluting buffer and concentration : 5% NFDM/TBST. The expression molecular weight observed is consistent with what has been described in the literature (PMID : 31209050, PMID : 27006117). The higher MW(57kd) band is the ubiquitylated form of RBCK1(PMID : 31209050). Bands below 57kd are cleaved RBCK1(PMID : 27006117).

All lanes:

Western blot - Anti-RBCK1 antibody [EPR28157-53] (<a href='/en-us/products/primary-antibodies/rbck1-antibody-epr28157-53-ab309104'>ab309104</a>) at 1/1000 dilution

Lane 1:

A549 (human lu carcinoma epithelial cell)whole cell lysate at 20 µg

Lane 2:

NIH/3T3 (mouse embryonic fibroblast) whole cell lysate at 20 µg

Lane 3:

C2C12 (mouse myoblast) whole cell lysate at 20 µg

Secondary

All lanes:

Western blot - Goat Anti-Rabbit IgG H&L (HRP) (<a href='/en-us/products/secondary-antibodies/goat-rabbit-igg-h-l-hrp-ab97051'>ab97051</a>) at 1/100000 dilution

Observed band size: 57 kDa

false

Exposure time: 180s

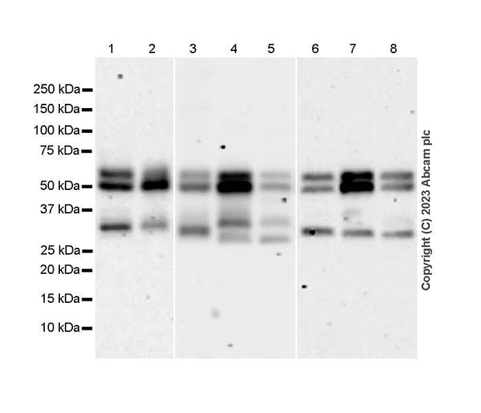
Western blot - Anti-RBCK1 antibody [EPR28157-53] - BSA and Azide free (AB309105)
  • WB

Supplier Data

Western blot - Anti-RBCK1 antibody [EPR28157-53] - BSA and Azide free (AB309105)

This data was developed using ab309104, the same antibody clone in a different buffer formulation. Blocking and diluting buffer and concentration : 5% NFDM/TBST The expression molecular weight observed is consistent with what has been described in the literature (PMID : 31209050, PMID : 27006117). The higher MW(57kd) band is the ubiquitylated form of RBCK1(PMID : 31209050). Bands below 57kd are cleaved RBCK1(PMID : 27006117). The blot of lanes1, 2 and 6-8 were developed using a high sensitivity ECL substrate. Exposure time : Lanes1, 2 and 6-8 : 180 seconds; Lane3-5 : 48 seconds

All lanes:

Western blot - Anti-RBCK1 antibody [EPR28157-53] (<a href='/en-us/products/primary-antibodies/rbck1-antibody-epr28157-53-ab309104'>ab309104</a>) at 1/1000 dilution

Lane 1:

Human hypothalamus tissue lysate at 20 µg

Lane 2:

Human spinal cord tissue lysate at 20 µg

Lane 3:

Mouse brain tissue lysate at 20 µg

Lane 4:

Mouse spleen tissue lysate at 20 µg

Lane 5:

Mouse kidney tissue lysate at 20 µg

Lane 6:

Rat brain tissue lysate at 20 µg

Lane 7:

Rat spleen tissue lysate at 20 µg

Lane 8:

Rat kidney tissue lysate at 20 µg

Secondary

All lanes:

Western blot - Goat Anti-Rabbit IgG H&L (HRP) (<a href='/en-us/products/secondary-antibodies/goat-rabbit-igg-h-l-hrp-ab97051'>ab97051</a>) at 1/100000 dilution

Observed band size: 57 kDa

false

Western blot - Anti-RBCK1 antibody [EPR28157-53] - BSA and Azide free (AB309105)
  • WB

Supplier Data

Western blot - Anti-RBCK1 antibody [EPR28157-53] - BSA and Azide free (AB309105)

This data was developed using ab309104, the same antibody clone in a different buffer formulation. Blocking and diluting buffer and concentration : 5% NFDM/TBST. The expression molecular weight observed is consistent with what has been described in the literature (PMID : 31209050, PMID : 27006117). The higher MW(57kd) band is the ubiquitylated form of RBCK1(PMID : 31209050). Bands below 57kd are cleaved RBCK1(PMID : 27006117). In Western blot, anti- H3 antibody (ab176842) loading control staining at 1/100000 dilution.

All lanes:

Western blot - Anti-RBCK1 antibody [EPR28157-53] (<a href='/en-us/products/primary-antibodies/rbck1-antibody-epr28157-53-ab309104'>ab309104</a>) at 1/1000 dilution

Lane 1:

HepG2 (human hepatocellar carcinoma epithelial cell) whole cell lysate at 20 µg

Lane 2:

HepG2 transfected with siRNA specifically targeti RBCK1 whole cell lysate at 20 µg

Secondary

All lanes:

Western blot - Goat Anti-Rabbit IgG H&L (HRP) (<a href='/en-us/products/secondary-antibodies/goat-rabbit-igg-h-l-hrp-ab97051'>ab97051</a>) at 1/100000 dilution

Observed band size: 57 kDa

false

Exposure time: 59s

Western blot - Anti-RBCK1 antibody [EPR28157-53] - BSA and Azide free (AB309105)
  • WB

Lab

Western blot - Anti-RBCK1 antibody [EPR28157-53] - BSA and Azide free (AB309105)

This data was developed using the same antibody clone in a different buffer formulation (ab309104).

Western blot : Anti-RBCK1 antibody [EPR28157-53] (ab309104) staining at 1/1000 dilution, shown in green; Mouse anti-CANX [CANX/1543] (ab238078) loading control staining at 1/20000 dilution, shown in magenta. In Western blot, ab309104 was shown to bind specifically to RBCK1. A band was observed at 58 kDa in wild-type A549 cell lysates with no signal observed at this size in RBCK1 knockout cell line. To generate this image, wild-type and RBCK1 knockout A549 cell lysates were analysed. First, samples were run on an SDS-PAGE gel then transferred onto a nitrocellulose membrane. Membranes were blocked in 3 % milk in TBS-0.1 % Tween® 20 (TBS-T) before incubation with primary antibodies overnight at 4 °C. Blots were washed four times in TBS-T, incubated with secondary antibodies for 1 h at room temperature, washed again four times then imaged. Secondary antibodies used were Goat anti-Rabbit IgG H&L 800CW and Goat anti-Mouse IgG H&L 680RD at 1/20000 dilution.

All lanes:

Western blot - Anti-RBCK1 antibody [EPR28157-53] (<a href='/en-us/products/primary-antibodies/rbck1-antibody-epr28157-53-ab309104'>ab309104</a>) at 1/1000 dilution

Lane 1:

Wild-type A549 cell lysate at 20 µg

Lane 2:

RBCK1 knockout A549 cell lysate at 20 µg

Lane 3:

HepG2 cell lysate at 20 µg

Lane 4:

MCF7 cell lysate at 20 µg

Secondary

All lanes:

Goat anti-Rabbit IgG H&L 800CW and Goat anti-Mouse IgG H&L 680RD at 1/20000 dilution

Observed band size: 58 kDa

false

Key facts

Host species

Rabbit

Clonality

Monoclonal

Clone number

EPR28157-53

Isotype

IgG

Carrier free

Yes

Reacts with

Human, Mouse, Rat

Applications

Flow Cyt (Intra), ICC/IF, WB

applications

Immunogen

The exact immunogen used to generate this antibody is proprietary information.

Reactivity data

{ "title": "Reactivity Data", "filters": { "stats": ["", "Species", "Dilution Info", "Notes"], "tabs": { "all-applications": {"fullname" : "All Applications", "shortname": "All Applications"}, "WB" : {"fullname" : "Western blot", "shortname":"WB"}, "ICCIF" : {"fullname" : "Immunocytochemistry/ Immunofluorescence", "shortname":"ICC/IF"}, "FlowCytIntra" : {"fullname" : "Flow Cytometry (Intracellular)", "shortname":"Flow Cyt (Intra)"}, "IHCP" : {"fullname" : "Immunohistochemistry (Formalin/PFA-fixed paraffin-embedded sections)", "shortname":"IHC-P"}, "IP" : {"fullname" : "Immunoprecipitation", "shortname":"IP"} }, "product-promise": { "all": "all", "testedAndGuaranteed": "tested", "guaranteed": "expected", "predicted": "predicted", "notRecommended": "not-recommended" } }, "values": { "Human": { "WB-species-checked": "testedAndGuaranteed", "WB-species-dilution-info": "", "WB-species-notes": "<p></p>", "ICCIF-species-checked": "testedAndGuaranteed", "ICCIF-species-dilution-info": "", "ICCIF-species-notes": "<p></p>", "FlowCytIntra-species-checked": "testedAndGuaranteed", "FlowCytIntra-species-dilution-info": "", "FlowCytIntra-species-notes": "<p></p>", "IHCP-species-checked": "notRecommended", "IHCP-species-dilution-info": "", "IHCP-species-notes": "<p></p>", "IP-species-checked": "notRecommended", "IP-species-dilution-info": "", "IP-species-notes": "<p></p>" }, "Mouse": { "WB-species-checked": "testedAndGuaranteed", "WB-species-dilution-info": "", "WB-species-notes": "<p></p>", "ICCIF-species-checked": "notRecommended", "ICCIF-species-dilution-info": "", "ICCIF-species-notes": "<p></p>", "FlowCytIntra-species-checked": "testedAndGuaranteed", "FlowCytIntra-species-dilution-info": "", "FlowCytIntra-species-notes": "<p></p>", "IHCP-species-checked": "notRecommended", "IHCP-species-dilution-info": "", "IHCP-species-notes": "<p></p>", "IP-species-checked": "notRecommended", "IP-species-dilution-info": "", "IP-species-notes": "" }, "Rat": { "WB-species-checked": "testedAndGuaranteed", "WB-species-dilution-info": "", "WB-species-notes": "<p></p>", "ICCIF-species-checked": "guaranteed", "ICCIF-species-dilution-info": "", "ICCIF-species-notes": "", "FlowCytIntra-species-checked": "guaranteed", "FlowCytIntra-species-dilution-info": "", "FlowCytIntra-species-notes": "", "IHCP-species-checked": "notRecommended", "IHCP-species-dilution-info": "", "IHCP-species-notes": "<p></p>", "IP-species-checked": "notRecommended", "IP-species-dilution-info": "", "IP-species-notes": "" } } }

Product details

Patented technology
Our RabMAb® technology is a patented hybridoma-based technology for making rabbit monoclonal antibodies. For details on our patents, please refer to RabMAb® patents.

What are the advantages of a recombinant monoclonal antibody?
This product is a recombinant monoclonal antibody, which offers several advantages including:

  • - High batch-to-batch consistency and reproducibility
  • - Improved sensitivity and specificity
  • - Long-term security of supply
  • - Animal-free batch production

For more information, read more on recombinant antibodies.

Conjugation ready
Our carrier-free antibodies are typically supplied in a PBS-only formulation, purified and free of BSA, sodium azide and glycerol. This conjugation-ready format is designed for use with fluorochromes, metal isotopes, oligonucleotides, and enzymes, which makes them ideal for antibody labelling, functional and cell-based assays, flow-based assays (e.g. mass cytometry) and Multiplex Imaging applications.

Use our conjugation kits for antibody conjugates that are ready-to-use in as little as 20 minutes with 1 minute hands-on-time and 100% antibody recovery: available for fluorescent dyes, HRP, biotin and gold.

Compatibility
This product is compatible with the Maxpar® Antibody Labeling Kit from Fluidigm, without the need for antibody preparation. Maxpar® is a trademark of Fluidigm Canada Inc.

Properties and storage information

Form
Liquid
Purification technique
Affinity purification Protein A
Storage buffer
pH: 7.2 - 7.4 Constituents: PBS
Shipped at conditions
Blue Ice
Appropriate short-term storage conditions
+4°C
Appropriate long-term storage conditions
+4°C

Product protocols

For this product, it's our understanding that no specific protocols are required. You can visit:

Target data

E3 ubiquitin-protein ligase, which accepts ubiquitin from specific E2 ubiquitin-conjugating enzymes, such as UBE2L3/UBCM4, and then transfers it to substrates (PubMed : 12629548, PubMed : 17449468, PubMed : 18711448). Functions as an E3 ligase for oxidized IREB2 and both heme and oxygen are necessary for IREB2 ubiquitination (PubMed : 12629548). Promotes ubiquitination of TAB2 and IRF3 and their degradation by the proteasome (PubMed : 17449468, PubMed : 18711448). Component of the LUBAC complex which conjugates linear ('Met-1'-linked) polyubiquitin chains to substrates and plays a key role in NF-kappa-B activation and regulation of inflammation (PubMed : 17006537, PubMed : 19136968, PubMed : 21455173, PubMed : 21455180, PubMed : 21455181). LUBAC conjugates linear polyubiquitin to IKBKG and RIPK1 and is involved in activation of the canonical NF-kappa-B and the JNK signaling pathways (PubMed : 17006537, PubMed : 19136968, PubMed : 21455173, PubMed : 21455180, PubMed : 21455181). Linear ubiquitination mediated by the LUBAC complex interferes with TNF-induced cell death and thereby prevents inflammation (PubMed : 17006537, PubMed : 21455173, PubMed : 21455180, PubMed : 21455181). LUBAC is recruited to the TNF-R1 signaling complex (TNF-RSC) following polyubiquitination of TNF-RSC components by BIRC2 and/or BIRC3 and to conjugate linear polyubiquitin to IKBKG and possibly other components contributing to the stability of the complex (PubMed : 17006537, PubMed : 19136968, PubMed : 21455173, PubMed : 21455180, PubMed : 21455181). The LUBAC complex is also involved in innate immunity by conjugating linear polyubiquitin chains at the surface of bacteria invading the cytosol to form the ubiquitin coat surrounding bacteria (PubMed : 28481331). LUBAC is not able to initiate formation of the bacterial ubiquitin coat, and can only promote formation of linear polyubiquitins on pre-existing ubiquitin (PubMed : 28481331). The bacterial ubiquitin coat acts as an 'eat-me' signal for xenophagy and promotes NF-kappa-B activation (PubMed : 28481331). Together with OTULIN, the LUBAC complex regulates the canonical Wnt signaling during angiogenesis (PubMed : 23708998). Binds polyubiquitin of different linkage types (PubMed : 20005846, PubMed : 21455181).
See full target information RBCK1

Product promise

We are committed to supporting your work with high-quality reagents, and we're here for you every step of the way. In the unlikely event that one of our products does not perform as expected, you're protected by our Product Promise.
For full details, please see our Terms & Conditions

Please note: All products are 'FOR RESEARCH USE ONLY. NOT FOR USE IN DIAGNOSTIC OR THERAPEUTIC PROCEDURES'.

For licensing inquiries, please contact partnerships@abcam.com