JavaScript is disabled in your browser. Please enable JavaScript to view this website.
AB72423

Anti-RBM10/S1-1 antibody

Be the first to review this product! Submit a review

|

(7 Publications)

Rabbit Polyclonal RBM10/S1-1 antibody. Suitable for IHC-P, IP, WB and reacts with Human samples. Cited in 7 publications.

View Alternative Names

DXS8237E, GPATC9, GPATCH9, KIAA0122, RBM10, RNA-binding protein 10, G patch domain-containing protein 9, RNA-binding motif protein 10, RNA-binding protein S1-1, S1-1

3 Images
Western blot - Anti-RBM10/S1-1 antibody (AB72423)
  • WB

Supplier Data

Western blot - Anti-RBM10/S1-1 antibody (AB72423)

All lanes:

Western blot - Anti-RBM10/S1-1 antibody (ab72423) at 0.04 µg/mL

Lane 1:

HeLa whole cell lysate at 50 µg

Lane 2:

HeLa whole cell lysate at 15 µg

Lane 3:

HeLa whole cell lysate at 5 µg

Predicted band size: 104 kDa

Observed band size: 120 kDa

false

Exposure time: 3min

Immunoprecipitation - Anti-RBM10/S1-1 antibody (AB72423)
  • IP

Supplier Data

Immunoprecipitation - Anti-RBM10/S1-1 antibody (AB72423)

Detection of RBM10/S1-1 by Western Blot of Immunprecipitate.
ab72423 at 1μg/ml staining RBM10/S1-1 in HeLa whole cell lysate immunoprecipitated using ab72423 at 3μg/mg lysate (1 mg/IP; 20% of IP loaded/lane).
Detection : Chemiluminescence with exposure time of 10 seconds.

All lanes:

Immunoprecipitation - Anti-RBM10/S1-1 antibody (ab72423)

Predicted band size: 104 kDa

false

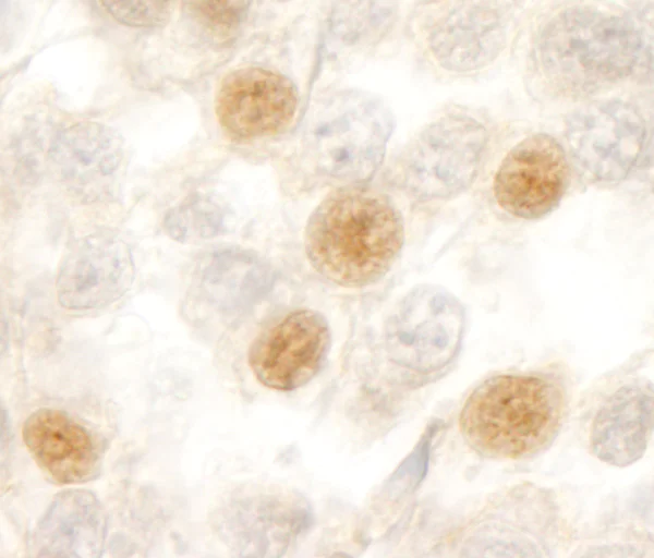
Immunohistochemistry (Formalin/PFA-fixed paraffin-embedded sections) - Anti-RBM10/S1-1 antibody (AB72423)
  • IHC-P

Supplier Data

Immunohistochemistry (Formalin/PFA-fixed paraffin-embedded sections) - Anti-RBM10/S1-1 antibody (AB72423)

Immunohistochemistry (Formalin/PFA-fixed paraffin-embedded sections) analysis of human testicular seminoma tissue labelling RBM10 with ab72423 at 1/200 (1µg/ml). Detection : DAB.

Key facts

Host species

Rabbit

Clonality

Polyclonal

Isotype

IgG

Carrier free

No

Reacts with

Human

Applications

IP, WB, IHC-P

applications

Immunogen

The exact immunogen used to generate this antibody is proprietary information.

Reactivity data

{ "title": "Reactivity Data", "filters": { "stats": ["", "Species", "Dilution Info", "Notes"], "tabs": { "all-applications": {"fullname" : "All Applications", "shortname": "All Applications"}, "IHCP" : {"fullname" : "Immunohistochemistry (Formalin/PFA-fixed paraffin-embedded sections)", "shortname":"IHC-P"}, "IP" : {"fullname" : "Immunoprecipitation", "shortname":"IP"}, "WB" : {"fullname" : "Western blot", "shortname":"WB"} }, "product-promise": { "all": "all", "testedAndGuaranteed": "tested", "guaranteed": "expected", "predicted": "predicted", "notRecommended": "not-recommended" } }, "values": { "Human": { "IHCP-species-checked": "testedAndGuaranteed", "IHCP-species-dilution-info": "1/100 - 1/500", "IHCP-species-notes": "<p></p> Perform heat-mediated antigen retrieval with citrate buffer pH 6 before commencing with IHC staining protocol.", "IP-species-checked": "testedAndGuaranteed", "IP-species-dilution-info": "2-5 µg/mg of lysate", "IP-species-notes": "<p></p>", "WB-species-checked": "testedAndGuaranteed", "WB-species-dilution-info": "1/2000 - 1/10000", "WB-species-notes": "<p></p>" }, "Mouse": { "IHCP-species-checked": "predicted", "IHCP-species-dilution-info": "", "IHCP-species-notes": "", "IP-species-checked": "predicted", "IP-species-dilution-info": "", "IP-species-notes": "", "WB-species-checked": "predicted", "WB-species-dilution-info": "", "WB-species-notes": "" }, "Chimpanzee": { "IHCP-species-checked": "predicted", "IHCP-species-dilution-info": "", "IHCP-species-notes": "", "IP-species-checked": "predicted", "IP-species-dilution-info": "", "IP-species-notes": "", "WB-species-checked": "predicted", "WB-species-dilution-info": "", "WB-species-notes": "" }, "Cow": { "IHCP-species-checked": "predicted", "IHCP-species-dilution-info": "", "IHCP-species-notes": "", "IP-species-checked": "predicted", "IP-species-dilution-info": "", "IP-species-notes": "", "WB-species-checked": "predicted", "WB-species-dilution-info": "", "WB-species-notes": "" }, "Dog": { "IHCP-species-checked": "predicted", "IHCP-species-dilution-info": "", "IHCP-species-notes": "", "IP-species-checked": "predicted", "IP-species-dilution-info": "", "IP-species-notes": "", "WB-species-checked": "predicted", "WB-species-dilution-info": "", "WB-species-notes": "" }, "Elephant": { "IHCP-species-checked": "predicted", "IHCP-species-dilution-info": "", "IHCP-species-notes": "", "IP-species-checked": "predicted", "IP-species-dilution-info": "", "IP-species-notes": "", "WB-species-checked": "predicted", "WB-species-dilution-info": "", "WB-species-notes": "" }, "Gorilla": { "IHCP-species-checked": "predicted", "IHCP-species-dilution-info": "", "IHCP-species-notes": "", "IP-species-checked": "predicted", "IP-species-dilution-info": "", "IP-species-notes": "", "WB-species-checked": "predicted", "WB-species-dilution-info": "", "WB-species-notes": "" }, "Guinea pig": { "IHCP-species-checked": "predicted", "IHCP-species-dilution-info": "", "IHCP-species-notes": "", "IP-species-checked": "predicted", "IP-species-dilution-info": "", "IP-species-notes": "", "WB-species-checked": "predicted", "WB-species-dilution-info": "", "WB-species-notes": "" }, "Horse": { "IHCP-species-checked": "predicted", "IHCP-species-dilution-info": "", "IHCP-species-notes": "", "IP-species-checked": "predicted", "IP-species-dilution-info": "", "IP-species-notes": "", "WB-species-checked": "predicted", "WB-species-dilution-info": "", "WB-species-notes": "" }, "Orangutan": { "IHCP-species-checked": "predicted", "IHCP-species-dilution-info": "", "IHCP-species-notes": "", "IP-species-checked": "predicted", "IP-species-dilution-info": "", "IP-species-notes": "", "WB-species-checked": "predicted", "WB-species-dilution-info": "", "WB-species-notes": "" }, "Pig": { "IHCP-species-checked": "predicted", "IHCP-species-dilution-info": "", "IHCP-species-notes": "", "IP-species-checked": "predicted", "IP-species-dilution-info": "", "IP-species-notes": "", "WB-species-checked": "predicted", "WB-species-dilution-info": "", "WB-species-notes": "" }, "Rabbit": { "IHCP-species-checked": "predicted", "IHCP-species-dilution-info": "", "IHCP-species-notes": "", "IP-species-checked": "predicted", "IP-species-dilution-info": "", "IP-species-notes": "", "WB-species-checked": "predicted", "WB-species-dilution-info": "", "WB-species-notes": "" }, "Rhesus monkey": { "IHCP-species-checked": "predicted", "IHCP-species-dilution-info": "", "IHCP-species-notes": "", "IP-species-checked": "predicted", "IP-species-dilution-info": "", "IP-species-notes": "", "WB-species-checked": "predicted", "WB-species-dilution-info": "", "WB-species-notes": "" } } }

Properties and storage information

Form
Liquid
Purification technique
Affinity purification Immunogen
Purification notes
ab72423 was affinity purified using an epitope specific to RBM10/S1-1 immobilized on solid support.
Storage buffer
pH: 6.8 - 7.4 Preservative: 0.09% Sodium azide Constituents: Tris buffered saline, 0.1% BSA
Shipped at conditions
Blue Ice
Appropriate short-term storage conditions
+4°C
Appropriate long-term storage conditions
-20°C
Aliquoting information
Upon delivery aliquot
Storage information
Avoid freeze / thaw cycle

Product protocols

For this product, it's our understanding that no specific protocols are required. You can visit:

Target data

May be involved in post-transcriptional processing, most probably in mRNA splicing. Binds to RNA homopolymers, with a preference for poly(G) and poly(U) and little for poly(A) (By similarity). May bind to specific miRNA hairpins (PubMed : 28431233).
See full target information RBM10

Publications (7)

Recent publications for all applications. Explore the full list and refine your search

Genes 13: PubMed36421828

2022

A TARP Syndrome Phenotype Is Associated with a Novel Splicing Variant in .

Applications

Unspecified application

Species

Unspecified reactive species

Marta Owczarek-Lipska,Fenja Markus,Eva Bültmann,G Christoph Korenke,John Neidhardt

Nature chemical biology 18:643-651 PubMed35393574

2022

Nascent alt-protein chemoproteomics reveals a pre-60S assembly checkpoint inhibitor.

Applications

Unspecified application

Species

Unspecified reactive species

Xiongwen Cao,Alexandra Khitun,Cecelia M Harold,Carson J Bryant,Shu-Jian Zheng,Susan J Baserga,Sarah A Slavoff

Oncology letters 23:154 PubMed35836482

2022

NPTX1 inhibits pancreatic cancer cell proliferation and migration and enhances chemotherapy sensitivity by targeting RBM10.

Applications

Unspecified application

Species

Unspecified reactive species

Jing Wu,Gaifang Liu,Kang An,Linping Shi

Nucleic acids research 48:6824-6838 PubMed32432721

2020

Dengue virus targets RBM10 deregulating host cell splicing and innate immune response.

Applications

Unspecified application

Species

Unspecified reactive species

Berta Pozzi,Laureano Bragado,Pablo Mammi,María Florencia Torti,Nicolás Gaioli,Leopoldo G Gebhard,Martín E García Solá,Rita Vaz-Drago,Néstor G Iglesias,Cybele C García,Andrea V Gamarnik,Anabella Srebrow

International journal of oncology 54:467-478 PubMed30483773

2018

Functional role of RBM10 in lung adenocarcinoma proliferation.

Applications

Unspecified application

Species

Unspecified reactive species

Xiuna Sun,Mengqi Jia,Wei Sun,Lu Feng,Chundong Gu,Taihua Wu

Molecular cell 66:270-284.e13 PubMed28431233

2017

A Compendium of RNA-Binding Proteins that Regulate MicroRNA Biogenesis.

Applications

Unspecified application

Species

Unspecified reactive species

Thomas Treiber,Nora Treiber,Uwe Plessmann,Simone Harlander,Julia-Lisa Daiß,Norbert Eichner,Gerhard Lehmann,Kevin Schall,Henning Urlaub,Gunter Meister

RNA biology 14:45-57 PubMed27763814

2016

The RNA-binding landscape of RBM10 and its role in alternative splicing regulation in models of mouse early development.

Applications

WB, CLIP

Species

Mouse, Mouse

Julie Rodor,David R FitzPatrick,Eduardo Eyras,Javier F Cáceres
View all publications

Product promise

We are committed to supporting your work with high-quality reagents, and we're here for you every step of the way. In the unlikely event that one of our products does not perform as expected, you're protected by our Product Promise.
For full details, please see our Terms & Conditions

Associated Products

Select an associated product type
Alternative Product
Primary Antibodies

AB126112

Anti-RBM10/S1-1 antibody

primary-antibodies

rbm10-s1-1-antibody-ab126112

0

(0 reviews)

Alternative Product
Primary Antibodies

AB224149

Anti-RBM10/S1-1 antibody - N-terminal

primary-antibodies

rbm10-s1-1-antibody-n-terminal-ab224149

0

(0 reviews)

Alternative Product
Primary Antibodies

AB220847

Anti-RBM10/S1-1 antibody

primary-antibodies

rbm10-s1-1-antibody-ab220847

0

(0 reviews)

Please note: All products are 'FOR RESEARCH USE ONLY. NOT FOR USE IN DIAGNOSTIC OR THERAPEUTIC PROCEDURES'.

For licensing inquiries, please contact partnerships@abcam.com