JavaScript is disabled in your browser. Please enable JavaScript to view this website.
AB315456

Anti-Rbm15/OTT antibody [EPR28158-87]

Be the first to review this product! Submit a review

|

(2 Publications)

Rabbit Recombinant Monoclonal Rbm15/OTT antibody. Suitable for WB and reacts with Recombinant fragment - Human, Human, Mouse, Rat samples. Cited in 2 publications.

View Alternative Names

OTT, OTT1, RBM15, RNA-binding protein 15, One-twenty two protein 1, RNA-binding motif protein 15

4 Images
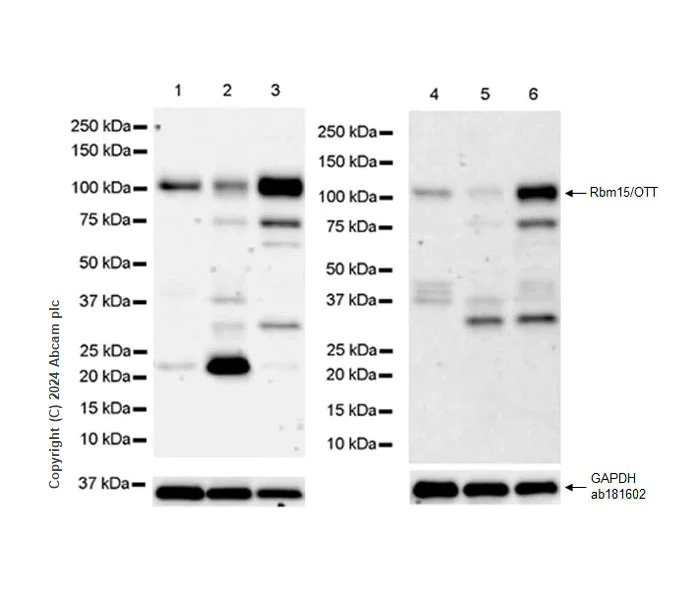
Western blot - Anti-Rbm15/OTT antibody [EPR28158-87] (AB315456)
  • WB

Supplier Data

Western blot - Anti-Rbm15/OTT antibody [EPR28158-87] (AB315456)

The identity of the lower MW bands are unknown.

Lysates were freshly made and used for Western blotting immediately to minimize protein degradation.

Exposure time : Lanes 1-4 : 92 seconds; Lane 5 : 59 seconds;

All lanes:

Western blot - Anti-Rbm15/OTT antibody [EPR28158-87] (ab315456) at 1/1000 dilution

Lane 1:

HeLa (human cervical adenocarcinoma epithelial cell) whole cell lysate at 20 µg with 5% NFDM/TBST

Lane 2:

293T (human embryonic kidney epithelial cell) whole cell lysate at 20 µg with 5% NFDM/TBST

Lane 3:

NIH/3T3 (mouse embryonic fibroblast) whole cell lysate at 20 µg with 5% NFDM/TBST

Lane 4:

PC-12 (rat adrenal gland pheochromocytoma cell) whole cell lysate at 20 µg with 5% NFDM/TBST

Lane 5:

C6 (rat glial tumor glial cell) whole cell lysate at 20 µg with 5% NFDM/TBST

Secondary

All lanes:

Western blot - Goat Anti-Rabbit IgG H&L (HRP) (<a href='/en-us/products/secondary-antibodies/goat-rabbit-igg-h-l-hrp-ab97051'>ab97051</a>) at 1/20000 dilution

Observed band size: 107 kDa

false

Western blot - Anti-Rbm15/OTT antibody [EPR28158-87] (AB315456)
  • WB

Supplier Data

Western blot - Anti-Rbm15/OTT antibody [EPR28158-87] (AB315456)

The identity of the lower MW bands are unknown.

In Western blot, Anti-GAPDH antibody [EPR16891] - Loading Control (ab181602) staining at 1/200000 dilution.

Exposure time : Lanes 1-2 : 48 seconds; Lane 3 : 70 seconds.

All lanes:

Western blot - Anti-Rbm15/OTT antibody [EPR28158-87] (ab315456) at 1/1000 dilution

Lane 1:

293T (human embryonic kidney epithelial cell) transfected with scrambled siRNA control whole cell lysate at 20 µg with 5% NFDM/TBST

Lane 2:

293T transfected with siRNA specifically targeting Rbm15/OTT whole cell lysate at 20 µg with 5% NFDM/TBST

Lane 3:

22Rv1 (human prostate carcinoma epithelial cell) whole cell lysate at 20 µg with 5% NFDM/TBST

Secondary

All lanes:

Western blot - Goat Anti-Rabbit IgG H&L (HRP) (<a href='/en-us/products/secondary-antibodies/goat-rabbit-igg-h-l-hrp-ab97051'>ab97051</a>) at 1/20000 dilution

Observed band size: 107 kDa,36 kDa

false

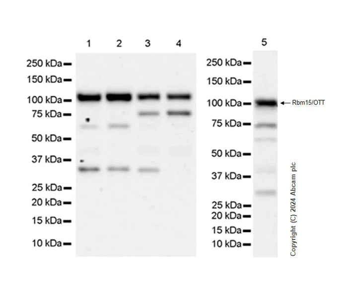
Western blot - Anti-Rbm15/OTT antibody [EPR28158-87] (AB315456)
  • WB

Supplier Data

Western blot - Anti-Rbm15/OTT antibody [EPR28158-87] (AB315456)

Low expression : liver, brain.

Lysates were freshly made and used for Western blotting immediately to minimize protein degradation.

The identity of the lower MW bands are unknown.

In Western blot, Anti-GAPDH antibody [EPR16891] - Loading Control (ab181602) staining at 1/200000 dilution.

All lanes:

Western blot - Anti-Rbm15/OTT antibody [EPR28158-87] (ab315456) at 1/1000 dilution

Lane 1:

Mouse brain tissue lysate at 20 µg with 5% NFDM/TBST

Lane 2:

Mouse liver tissue lysate at 20 µg with 5% NFDM/TBST

Lane 3:

Mouse testis tissue lysate at 20 µg with 5% NFDM/TBST

Lane 4:

Rat brain tissue lysate at 20 µg with 5% NFDM/TBST

Lane 5:

Rat liver tissue lysate at 20 µg with 5% NFDM/TBST

Lane 6:

Rat testis tissue lysate at 20 µg with 5% NFDM/TBST

Secondary

All lanes:

Western blot - Goat Anti-Rabbit IgG H&L (HRP) (<a href='/en-us/products/secondary-antibodies/goat-rabbit-igg-h-l-hrp-ab97051'>ab97051</a>) at 1/20000 dilution

Observed band size: 107 kDa,36 kDa

false

Exposure time: 180s

Western blot - Anti-Rbm15/OTT antibody [EPR28158-87] (AB315456)
  • WB

Supplier Data

Western blot - Anti-Rbm15/OTT antibody [EPR28158-87] (AB315456)

This antibody does not cross-react with human RBM15B.

In Western blot, Anti-6X His tag® antibody [EPR20547] - ChIP Grade (ab213204) staining at 1/5000 dilution.

All lanes:

Western blot - Anti-Rbm15/OTT antibody [EPR28158-87] (ab315456) at 1/1000 dilution

Lane 1:

His-tagged human RBM15 recombinant protein at 10 ng with 5% NFDM/TBST

Lane 2:

His-tagged human RBM15B recombinant protein at 10 ng with 5% NFDM/TBST

Secondary

All lanes:

Western blot - Goat Anti-Rabbit IgG H&L (HRP) (<a href='/en-us/products/secondary-antibodies/goat-rabbit-igg-h-l-hrp-ab97051'>ab97051</a>) at 1/20000 dilution

Observed band size: 24 kDa,27 kDa

false

Exposure time: 15s

Key facts

Host species

Rabbit

Clonality

Monoclonal

Clone number

EPR28158-87

Isotype

IgG

Carrier free

No

Reacts with

Human, Mouse, Rat

Applications

WB

applications

Immunogen

The exact immunogen used to generate this antibody is proprietary information.

Reactivity data

{ "title": "Reactivity Data", "filters": { "stats": ["", "Species", "Dilution Info", "Notes"], "tabs": { "all-applications": {"fullname" : "All Applications", "shortname": "All Applications"}, "WB" : {"fullname" : "Western blot", "shortname":"WB"}, "IHCP" : {"fullname" : "Immunohistochemistry (Formalin/PFA-fixed paraffin-embedded sections)", "shortname":"IHC-P"}, "IP" : {"fullname" : "Immunoprecipitation", "shortname":"IP"} }, "product-promise": { "all": "all", "testedAndGuaranteed": "tested", "guaranteed": "expected", "predicted": "predicted", "notRecommended": "not-recommended" } }, "values": { "Human": { "WB-species-checked": "testedAndGuaranteed", "WB-species-dilution-info": "1/1000", "WB-species-notes": "<p></p>", "IHCP-species-checked": "notRecommended", "IHCP-species-dilution-info": "", "IHCP-species-notes": "<p></p>", "IP-species-checked": "notRecommended", "IP-species-dilution-info": "", "IP-species-notes": "<p></p>" }, "Mouse": { "WB-species-checked": "testedAndGuaranteed", "WB-species-dilution-info": "1/1000", "WB-species-notes": "<p></p>", "IHCP-species-checked": "notRecommended", "IHCP-species-dilution-info": "", "IHCP-species-notes": "<p></p>", "IP-species-checked": "notRecommended", "IP-species-dilution-info": "", "IP-species-notes": "<p></p>" }, "Rat": { "WB-species-checked": "testedAndGuaranteed", "WB-species-dilution-info": "1/1000", "WB-species-notes": "<p></p>", "IHCP-species-checked": "notRecommended", "IHCP-species-dilution-info": "", "IHCP-species-notes": "<p></p>", "IP-species-checked": "notRecommended", "IP-species-dilution-info": "", "IP-species-notes": "" }, "Recombinant fragment - Human": { "WB-species-checked": "testedAndGuaranteed", "WB-species-dilution-info": "1/1000", "WB-species-notes": "<p></p>", "IHCP-species-checked": "notRecommended", "IHCP-species-dilution-info": "", "IHCP-species-notes": "", "IP-species-checked": "notRecommended", "IP-species-dilution-info": "", "IP-species-notes": "" } } }

Product details

Patented technology
Our RabMAb® technology is a patented hybridoma-based technology for making rabbit monoclonal antibodies. For details on our patents, please refer to RabMAb® patents.

What are the advantages of a recombinant monoclonal antibody?
This product is a recombinant monoclonal antibody, which offers several advantages including:

  • - High batch-to-batch consistency and reproducibility
  • - Improved sensitivity and specificity
  • - Long-term security of supply
  • - Animal-free batch production

For more information, read more on recombinant antibodies.

Properties and storage information

Form
Liquid
Purification technique
Affinity purification Protein A
Storage buffer
pH: 7.2 - 7.4 Preservative: 0.01% Sodium azide Constituents: PBS, 40% Glycerol (glycerin, glycerine), 0.05% BSA
Shipped at conditions
Blue Ice
Appropriate short-term storage duration
1-2 weeks
Appropriate short-term storage conditions
+4°C
Appropriate long-term storage conditions
-20°C
Aliquoting information
Upon delivery aliquot
Storage information
Avoid freeze / thaw cycle

Supplementary information

This supplementary information is collated from multiple sources and compiled automatically.

Rbm15 also known as OTT is a multifunctional RNA-binding protein with a mass of approximately 82 kDa. This protein participates in various cellular processes by binding to RNA molecules influencing their processing and stability. It is expressed in numerous tissues including hematopoietic cells in the bone marrow and fetal liver. The characteristic expression indicates its importance in developmental and cellular contexts.
Biological function summary

Rbm15 plays a role in the regulation of mRNA splicing and transcriptional activation. It functions as part of the methyltransferase complex which involves the methylation of mRNA as a post-transcriptional modification contributing to RNA stability and translation efficiency. This action suggests its involvement in gene expression regulation and cellular differentiation.

Pathways

Rbm15 interacts closely with the Notch signaling pathway which is significant for cell fate determination and differentiation. Rbm15 partners with other proteins such as Numb to mediate repression or activation of Notch-related transcriptional activity. Also Rbm15 affects signaling pathways through interactions with Wnt proteins which play an important role in embryonic development and cell proliferation.

Rbm15 has associations with acute megakaryoblastic leukemia (AMKL) and myelodysplastic syndromes (MDS). In AMKL Rbm15 forms a fusion protein with MKL1 resulting from chromosomal translocations which contributes to leukemogenesis. Understanding its interaction with MKL1 and other fusion partners provides insight into the pathogenesis of these hematological disorders. The study of Rbm15's role in these contexts holds potential for therapeutic advances.

Product protocols

For this product, it's our understanding that no specific protocols are required. You can visit:

Target data

RNA-binding protein that acts as a key regulator of N6-methyladenosine (m6A) methylation of RNAs, thereby regulating different processes, such as hematopoietic cell homeostasis, alternative splicing of mRNAs and X chromosome inactivation mediated by Xist RNA (PubMed : 27602518). Associated component of the WMM complex, a complex that mediates N6-methyladenosine (m6A) methylation of RNAs, a modification that plays a role in the efficiency of mRNA splicing and RNA processing (By similarity). Plays a key role in m6A methylation, possibly by binding target RNAs and recruiting the WMM complex (PubMed : 27602518). Involved in random X inactivation mediated by Xist RNA : acts by binding Xist RNA and recruiting the WMM complex, which mediates m6A methylation, leading to target YTHDC1 reader on Xist RNA and promoting transcription repression activity of Xist (PubMed : 27602518). Required for the development of multiple tissues, such as the maintenance of the homeostasis of long-term hematopoietic stem cells and for megakaryocyte (MK) and B-cell differentiation (By similarity). Regulates megakaryocyte differentiation by regulating alternative splicing of genes important for megakaryocyte differentiation; probably regulates alternative splicing via m6A regulation (PubMed : 26575292). Required for placental vascular branching morphogenesis and embryonic development of the heart and spleen (By similarity). Acts as a regulator of thrombopoietin response in hematopoietic stem cells by regulating alternative splicing of MPL (By similarity). May also function as an mRNA export factor, stimulating export and expression of RTE-containing mRNAs which are present in many retrotransposons that require to be exported prior to splicing (PubMed : 17001072, PubMed : 19786495). High affinity binding of pre-mRNA to RBM15 may allow targeting of the mRNP to the export helicase DBP5 in a manner that is independent of splicing-mediated NXF1 deposition, resulting in export prior to splicing (PubMed : 17001072, PubMed : 19786495). May be implicated in HOX gene regulation (PubMed : 11344311).
See full target information RBM15

Publications (2)

Recent publications for all applications. Explore the full list and refine your search

Hereditas 162:167 PubMed40830812

2025

RBM15 enhances paclitaxel resistance in triple-negative breast cancer by targeting mA methylation of TNFSF9 and inducing polarization of tumor-associated macrophages to M2 phenotype.

Applications

Unspecified application

Species

Unspecified reactive species

Jinkun Fu,Chao Wei,Yijian Chen,Xiaoming He,Kun Zhang

Biology direct 19:133 PubMed39709463

2024

MLL1 promotes placental trophoblast ferroptosis and aggravates preeclampsia symptoms through epigenetic regulation of RBM15/TRIM72/ADAM9 axis.

Applications

Unspecified application

Species

Unspecified reactive species

Lingling Li,Haining He,Zhenrong Zheng,Xiaolan Zhao
View all publications

Product promise

We are committed to supporting your work with high-quality reagents, and we're here for you every step of the way. In the unlikely event that one of our products does not perform as expected, you're protected by our Product Promise.
For full details, please see our Terms & Conditions

Please note: All products are 'FOR RESEARCH USE ONLY. NOT FOR USE IN DIAGNOSTIC OR THERAPEUTIC PROCEDURES'.

For licensing inquiries, please contact partnerships@abcam.com