JavaScript is disabled in your browser. Please enable JavaScript to view this website.
AB300468

Anti-RBM15B antibody [EPR25177-134] (BSA and Azide free)

Be the first to review this product! Submit a review

|

(0 Publication)

Rabbit Recombinant Monoclonal RBM15B antibody. Carrier free. Suitable for WB, IHC-P, Flow Cyt (Intra) and reacts with Human, Mouse, Rat samples.

View Alternative Names

OTT3, RBM15B, Putative RNA-binding protein 15B, One-twenty two protein 3, RNA-binding motif protein 15B, HsOTT3, HuOTT3

7 Images
Flow Cytometry (Intracellular) - Anti-RBM15B antibody [EPR25177-134] (BSA and Azide free) (AB300468)
  • Flow Cyt (Intra)

Supplier Data

Flow Cytometry (Intracellular) - Anti-RBM15B antibody [EPR25177-134] (BSA and Azide free) (AB300468)

This data was developed using ab300467, the same antibody clone in a different buffer formulation.Flow cytometric analysis of HeLa (human cervix adenocarcinoma epithelial cell) cells labelling RBM15B with ab300467 at 1/50 dilution (1ug) (Red) compared with a Rabbit monoclonal IgG (ab172730) (Black) isotype control and an unlabelled control (cells without incubation with primary antibody and secondary antibody) (Blue). Goat Anti-Rabbit IgG (Alexa Fluor® 488, ab150081) at 1/2000 dilution was used as the secondary antibody.

Immunohistochemistry (Formalin/PFA-fixed paraffin-embedded sections) - Anti-RBM15B antibody [EPR25177-134] (BSA and Azide free) (AB300468)
  • IHC-P

Supplier Data

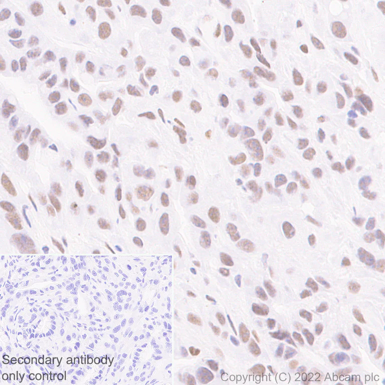
Immunohistochemistry (Formalin/PFA-fixed paraffin-embedded sections) - Anti-RBM15B antibody [EPR25177-134] (BSA and Azide free) (AB300468)

This data was developed using ab300467, the same antibody clone in a different buffer formulation.Immunohistochemical analysis of paraffin-embedded Mouse pancreatic car tissue labeling RBM15B with ab300467 at 1/100 (4.72 ug/ml) followed by a ready to use LeicaDS9800 (Bond™ Polymer Refine Detection) was used. Nuclear staining in mouse pancreatic carcinoma. The section was incubated with ab300467 for 30 mins at room temperature.The immunostaining was performed on a Leica Biosystems BOND® RX instrument Counterstained with Hematoxylin. Secondary antibody only control : Secondary antibody is a ready to use LeicaDS9800 (Bond™ Polymer Refine Detection) was used.Heat mediated antigen retrieval with Tris-EDTA buffer (pH 9.0, epitope retrieval solution2) for 20 mins

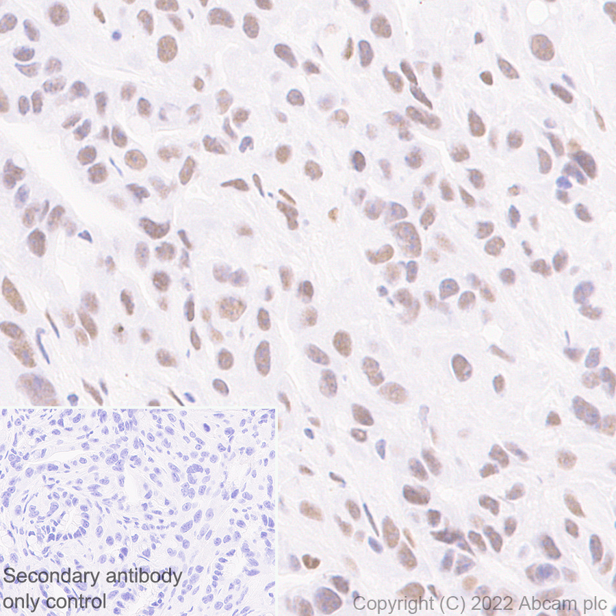
Immunohistochemistry (Formalin/PFA-fixed paraffin-embedded sections) - Anti-RBM15B antibody [EPR25177-134] (BSA and Azide free) (AB300468)
  • IHC-P

Supplier Data

Immunohistochemistry (Formalin/PFA-fixed paraffin-embedded sections) - Anti-RBM15B antibody [EPR25177-134] (BSA and Azide free) (AB300468)

This data was developed using ab300467, the same antibody clone in a different buffer formulation.Immunohistochemical analysis of paraffin-embedded Mouse cerebrum tissue labeling RBM15B with ab300467 at 1/100 (4.72 ug/ml) followed by a ready to use LeicaDS9800 (Bond™ Polymer Refine Detection) was used. Nuclear staining in mouse cerebrum. The section was incubated with ab300467 for 30 mins at room temperature.The immunostaining was performed on a Leica Biosystems BOND® RX instrument Counterstained with Hematoxylin. Secondary antibody only control : Secondary antibody is a ready to use LeicaDS9800 (Bond™ Polymer Refine Detection) was used.Heat mediated antigen retrieval with Tris-EDTA buffer (pH 9.0, epitope retrieval solution2) for 20 mins

Western blot - Anti-RBM15B antibody [EPR25177-134] (BSA and Azide free) (AB300468)
  • WB

Supplier Data

Western blot - Anti-RBM15B antibody [EPR25177-134] (BSA and Azide free) (AB300468)

This data was developed using ab300467, the same antibody clone in a different buffer formulation. Blocking Buffer and concentration : 5% NFDM/TBST

All lanes:

Western blot - Anti-RBM15B antibody [EPR25177-134] (<a href='/en-us/products/primary-antibodies/rbm15b-antibody-epr25177-134-ab300467'>ab300467</a>) at 1/1000 dilution

Lane 1:

Hela (Human cervix adenocarcinoma epithelial cell) transfected with scrambled siRNA control, whole cell lysate

Lane 2:

Hela transfected with siRNA specifically targeti RBM15B, whole cell lysate a 20

Lane 3:

Hela transfected with siRNA specifically targeti RBM15B, whole cell lysate b 20

Secondary

All lanes:

Western blot - Goat Anti-Rabbit IgG H&L (HRP) (<a href='/en-us/products/secondary-antibodies/goat-rabbit-igg-h-l-hrp-ab97051'>ab97051</a>) at 1/20000 dilution

Observed band size: 100 kDa

false

Exposure time: 114s

Western blot - Anti-RBM15B antibody [EPR25177-134] (BSA and Azide free) (AB300468)
  • WB

Supplier Data

Western blot - Anti-RBM15B antibody [EPR25177-134] (BSA and Azide free) (AB300468)

This data was developed using ab300467, the same antibody clone in a different buffer formulation. Blocking Buffer and concentration : 5% NFDM/TBST

All lanes:

Western blot - Anti-RBM15B antibody [EPR25177-134] (<a href='/en-us/products/primary-antibodies/rbm15b-antibody-epr25177-134-ab300467'>ab300467</a>) at 1/1000 dilution

Lane 1:

HeLa (human cervix adenocarcinoma epithelial cell) whole cell lysate

Lane 2:

293T (human embryonic kidney epithelial cell) whole cell lysate

Secondary

All lanes:

Western blot - Goat Anti-Rabbit IgG H&L (HRP) (<a href='/en-us/products/secondary-antibodies/goat-rabbit-igg-h-l-hrp-ab97051'>ab97051</a>) at 1/50000 dilution

Observed band size: 100 kDa

false

Exposure time: 81s

Western blot - Anti-RBM15B antibody [EPR25177-134] (BSA and Azide free) (AB300468)
  • WB

Supplier Data

Western blot - Anti-RBM15B antibody [EPR25177-134] (BSA and Azide free) (AB300468)

This data was developed using ab300467, the same antibody clone in a different buffer formulation. Blocking Buffer and concentration : 5% NFDM/TBST

All lanes:

Western blot - Anti-RBM15B antibody [EPR25177-134] (<a href='/en-us/products/primary-antibodies/rbm15b-antibody-epr25177-134-ab300467'>ab300467</a>) at 1/1000 dilution

Lane 1:

His-tagged human RBM15B recombinant protein

Lane 2:

His-tagged human RBM15 recombinant protein

Secondary

All lanes:

Western blot - Goat Anti-Rabbit IgG H&L (HRP) (<a href='/en-us/products/secondary-antibodies/goat-rabbit-igg-h-l-hrp-ab97051'>ab97051</a>) at 1/50000 dilution

Observed band size: 25 kDa

false

Exposure time: 7.75s

Western blot - Anti-RBM15B antibody [EPR25177-134] (BSA and Azide free) (AB300468)
  • WB

Supplier Data

Western blot - Anti-RBM15B antibody [EPR25177-134] (BSA and Azide free) (AB300468)

This data was developed using ab300467, the same antibody clone in a different buffer formulation.

Blocking and diluting buffer and concentration : 5% NFDM/TBST

Lysates were freshly made and used for Western blotting immediately to minimize protein degradation.

The band below 100 kDa may be caused by degradation.

This blot was developed using a higher sensitivity ECL substrate.

All lanes:

Western blot - Anti-RBM15B antibody [EPR25177-134] (<a href='/en-us/products/primary-antibodies/rbm15b-antibody-epr25177-134-ab300467'>ab300467</a>) at 1/1000 dilution

Lane 1:

Jurkat (Human T cell leukemia T lymphocyte) whole cell lysate

Lane 2:

Raw264.7 (Mouse Abelson murine leukemia virus-induced tumor macrophage) whole cell lysate

Lane 3:

2.4G2 (Rat B cell lymphoma B lymphocyte) whole cell lysate

Secondary

All lanes:

Western blot - Goat Anti-Rabbit IgG H&L (HRP) (<a href='/en-us/products/secondary-antibodies/goat-rabbit-igg-h-l-hrp-ab97051'>ab97051</a>) at 1/50000 dilution

Predicted band size: 97 kDa

Observed band size: 100 kDa

true

Exposure time: 92s

Key facts

Host species

Rabbit

Clonality

Monoclonal

Clone number

EPR25177-134

Isotype

IgG

Carrier free

Yes

Reacts with

Human, Mouse, Rat

Applications

WB, Flow Cyt (Intra), IHC-P

applications

Immunogen

The exact immunogen used to generate this antibody is proprietary information.

Reactivity data

{ "title": "Reactivity Data", "filters": { "stats": ["", "Species", "Dilution Info", "Notes"], "tabs": { "all-applications": {"fullname" : "All Applications", "shortname": "All Applications"}, "WB" : {"fullname" : "Western blot", "shortname":"WB"}, "IHCP" : {"fullname" : "Immunohistochemistry (Formalin/PFA-fixed paraffin-embedded sections)", "shortname":"IHC-P"}, "FlowCytIntra" : {"fullname" : "Flow Cytometry (Intracellular)", "shortname":"Flow Cyt (Intra)"}, "ICCIF" : {"fullname" : "Immunocytochemistry/ Immunofluorescence", "shortname":"ICC/IF"} }, "product-promise": { "all": "all", "testedAndGuaranteed": "tested", "guaranteed": "expected", "predicted": "predicted", "notRecommended": "not-recommended" } }, "values": { "Human": { "WB-species-checked": "testedAndGuaranteed", "WB-species-dilution-info": "", "WB-species-notes": "<p>We suggest optimizing experimental protocols (increasing lysate amount, using lower dilution or higher sensitivity ECL substrate) to improve results.</p>", "IHCP-species-checked": "notRecommended", "IHCP-species-dilution-info": "", "IHCP-species-notes": "<p></p>", "FlowCytIntra-species-checked": "testedAndGuaranteed", "FlowCytIntra-species-dilution-info": "", "FlowCytIntra-species-notes": "<p></p>", "ICCIF-species-checked": "notRecommended", "ICCIF-species-dilution-info": "", "ICCIF-species-notes": "<p></p>" }, "Mouse": { "WB-species-checked": "testedAndGuaranteed", "WB-species-dilution-info": "", "WB-species-notes": "<p>We suggest optimizing experimental protocols (increasing lysate amount, using lower dilution or higher sensitivity ECL substrate) to improve results.</p>", "IHCP-species-checked": "testedAndGuaranteed", "IHCP-species-dilution-info": "", "IHCP-species-notes": "<p></p>", "FlowCytIntra-species-checked": "guaranteed", "FlowCytIntra-species-dilution-info": "", "FlowCytIntra-species-notes": "<p></p>", "ICCIF-species-checked": "notRecommended", "ICCIF-species-dilution-info": "", "ICCIF-species-notes": "<p></p>" }, "Rat": { "WB-species-checked": "testedAndGuaranteed", "WB-species-dilution-info": "", "WB-species-notes": "<p>We suggest optimizing experimental protocols (increasing lysate amount, using lower dilution or higher sensitivity ECL substrate) to improve results.</p>", "IHCP-species-checked": "notRecommended", "IHCP-species-dilution-info": "", "IHCP-species-notes": "<p></p>", "FlowCytIntra-species-checked": "guaranteed", "FlowCytIntra-species-dilution-info": "", "FlowCytIntra-species-notes": "", "ICCIF-species-checked": "notRecommended", "ICCIF-species-dilution-info": "", "ICCIF-species-notes": "" } } }

Product details

ab300468 is a carrier free version of ab300467.

Patented technology
Our RabMAb® technology is a patented hybridoma-based technology for making rabbit monoclonal antibodies. For details on our patents, please refer to RabMAb® patents.

What are the advantages of a recombinant monoclonal antibody?
This product is a recombinant monoclonal antibody, which offers several advantages including:

  • - High batch-to-batch consistency and reproducibility
  • - Improved sensitivity and specificity
  • - Long-term security of supply
  • - Animal-free batch production

For more information, read more on recombinant antibodies.

Conjugation ready
Our carrier-free antibodies are typically supplied in a PBS-only formulation, purified and free of BSA, sodium azide and glycerol. This conjugation-ready format is designed for use with fluorochromes, metal isotopes, oligonucleotides, and enzymes, which makes them ideal for antibody labelling, functional and cell-based assays, flow-based assays (e.g. mass cytometry) and Multiplex Imaging applications.

Use our conjugation kits for antibody conjugates that are ready-to-use in as little as 20 minutes with 1 minute hands-on-time and 100% antibody recovery: available for fluorescent dyes, HRP, biotin and gold.

Compatibility
This product is compatible with the Maxpar® Antibody Labeling Kit from Fluidigm, without the need for antibody preparation. Maxpar® is a trademark of Fluidigm Canada Inc.

Properties and storage information

Form
Liquid
Purification technique
Affinity purification Protein A
Storage buffer
pH: 7.2 - 7.4 Constituents: PBS
Shipped at conditions
Blue Ice
Appropriate short-term storage conditions
+4°C
Appropriate long-term storage conditions
+4°C

Product protocols

For this product, it's our understanding that no specific protocols are required. You can visit:

Target data

RNA-binding protein that acts as a key regulator of N6-methyladenosine (m6A) methylation of RNAs, thereby regulating different processes, such as alternative splicing of mRNAs and X chromosome inactivation mediated by Xist RNA (PubMed : 16129689, PubMed : 27602518). Associated component of the WMM complex, a complex that mediates N6-methyladenosine (m6A) methylation of RNAs, a modification that plays a role in the efficiency of mRNA splicing and RNA processing (PubMed : 27602518). Plays a key role in m6A methylation, possibly by binding target RNAs and recruiting the WMM complex (PubMed : 27602518). Involved in random X inactivation mediated by Xist RNA : acts by binding Xist RNA and recruiting the WMM complex, which mediates m6A methylation, leading to target YTHDC1 reader on Xist RNA and promoting transcription repression activity of Xist (PubMed : 27602518). Functions in the regulation of alternative or illicit splicing, possibly by regulating m6A methylation (PubMed : 16129689). Inhibits pre-mRNA splicing (PubMed : 21044963). Also functions as a mRNA export factor by acting as a cofactor for the nuclear export receptor NXF1 (PubMed : 19586903).
See full target information RBM15B

Product promise

We are committed to supporting your work with high-quality reagents, and we're here for you every step of the way. In the unlikely event that one of our products does not perform as expected, you're protected by our Product Promise.
For full details, please see our Terms & Conditions

Please note: All products are 'FOR RESEARCH USE ONLY. NOT FOR USE IN DIAGNOSTIC OR THERAPEUTIC PROCEDURES'.

For licensing inquiries, please contact partnerships@abcam.com