JavaScript is disabled in your browser. Please enable JavaScript to view this website.
AB72237

Anti-RBM25 antibody

5

(2 Reviews)

|

(6 Publications)

Rabbit Polyclonal RBM25 antibody. Suitable for IHC-P, IP, WB and reacts with Mouse, Human samples. Cited in 6 publications. Immunogen corresponding to Synthetic Peptide within Human RBM25.

View Alternative Names

RNPC7, RBM25, RNA-binding protein 25, Arg/Glu/Asp-rich protein of 120 kDa, Protein S164, RNA-binding motif protein 25, RNA-binding region-containing protein 7, RED120

3 Images
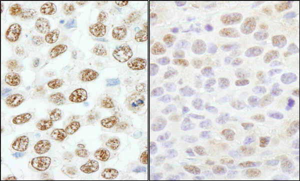
Immunohistochemistry (Formalin/PFA-fixed paraffin-embedded sections) - Anti-RBM25 antibody (AB72237)
  • IHC-P

Unknown

Immunohistochemistry (Formalin/PFA-fixed paraffin-embedded sections) - Anti-RBM25 antibody (AB72237)

Immunohistochemistry (Formalin/PFA-fixed paraffin-embedded sections) analysis of human testicular seminoma (left) and mouse CT26 colon carcinoma (right) tissues labelling RBM25 with ab72237 at 1/200 (1 µg/ml). Detection : DAB.

Immunoprecipitation - Anti-RBM25 antibody (AB72237)
  • IP

Unknown

Immunoprecipitation - Anti-RBM25 antibody (AB72237)

Immunoprecipitation/ Western Blot of RBM25.
Lane 1 : ab72237 at 3μg/mg whole cell lysate.
Lane 2 : Control IgG.

ab72237 at 1μg/ml for WB.
Whole cell lysate from Hela cells at 1mg for IP, 20% of IP loaded.
Chemiluminescence with an exposure time of 3 seconds.

All lanes:

Immunoprecipitation - Anti-RBM25 antibody (ab72237)

Predicted band size: 100 kDa

false

Western blot - Anti-RBM25 antibody (AB72237)
  • WB

Unknown

Western blot - Anti-RBM25 antibody (AB72237)

Various other bands are detected.

All lanes:

Western blot - Anti-RBM25 antibody (ab72237) at 0.04 µg/mL

Lane 1:

Whole cell lysate from Hela cells at 50 µg

Lane 2:

Whole cell lysate from Hela cells at 15 µg

Lane 3:

Whole cell lysate from Hela cells at 5 µg

Predicted band size: 100 kDa

Observed band size: 117 kDa,71 kDa

false

Key facts

Host species

Rabbit

Clonality

Polyclonal

Isotype

IgG

Carrier free

No

Reacts with

Mouse, Human

Applications

WB, IHC-P, IP

applications

Immunogen

Synthetic Peptide within Human RBM25. The exact immunogen used to generate this antibody is proprietary information.

P49756

Reactivity data

{ "title": "Reactivity Data", "filters": { "stats": ["", "Species", "Dilution Info", "Notes"], "tabs": { "all-applications": {"fullname" : "All Applications", "shortname": "All Applications"}, "IHCP" : {"fullname" : "Immunohistochemistry (Formalin/PFA-fixed paraffin-embedded sections)", "shortname":"IHC-P"}, "IP" : {"fullname" : "Immunoprecipitation", "shortname":"IP"}, "WB" : {"fullname" : "Western blot", "shortname":"WB"} }, "product-promise": { "all": "all", "testedAndGuaranteed": "tested", "guaranteed": "expected", "predicted": "predicted", "notRecommended": "not-recommended" } }, "values": { "Human": { "IHCP-species-checked": "testedAndGuaranteed", "IHCP-species-dilution-info": "1/200 - 1/1000", "IHCP-species-notes": "<p></p> Perform heat-mediated antigen retrieval with citrate buffer pH 6 before commencing with IHC staining protocol.", "IP-species-checked": "testedAndGuaranteed", "IP-species-dilution-info": "2-5 µg/mg of lysate", "IP-species-notes": "<p></p>", "WB-species-checked": "testedAndGuaranteed", "WB-species-dilution-info": "1/2000 - 1/10000", "WB-species-notes": "<p></p>" }, "Mouse": { "IHCP-species-checked": "testedAndGuaranteed", "IHCP-species-dilution-info": "1/200 - 1/1000", "IHCP-species-notes": "<p></p> Perform heat-mediated antigen retrieval with citrate buffer pH 6 before commencing with IHC staining protocol.", "IP-species-checked": "guaranteed", "IP-species-dilution-info": "", "IP-species-notes": "", "WB-species-checked": "guaranteed", "WB-species-dilution-info": "", "WB-species-notes": "" }, "Rat": { "IHCP-species-checked": "predicted", "IHCP-species-dilution-info": "", "IHCP-species-notes": "", "IP-species-checked": "predicted", "IP-species-dilution-info": "", "IP-species-notes": "", "WB-species-checked": "predicted", "WB-species-dilution-info": "", "WB-species-notes": "" }, "Chicken": { "IHCP-species-checked": "predicted", "IHCP-species-dilution-info": "", "IHCP-species-notes": "", "IP-species-checked": "predicted", "IP-species-dilution-info": "", "IP-species-notes": "", "WB-species-checked": "predicted", "WB-species-dilution-info": "", "WB-species-notes": "" }, "Chimpanzee": { "IHCP-species-checked": "predicted", "IHCP-species-dilution-info": "", "IHCP-species-notes": "", "IP-species-checked": "predicted", "IP-species-dilution-info": "", "IP-species-notes": "", "WB-species-checked": "predicted", "WB-species-dilution-info": "", "WB-species-notes": "" }, "Cow": { "IHCP-species-checked": "predicted", "IHCP-species-dilution-info": "", "IHCP-species-notes": "", "IP-species-checked": "predicted", "IP-species-dilution-info": "", "IP-species-notes": "", "WB-species-checked": "predicted", "WB-species-dilution-info": "", "WB-species-notes": "" }, "Dog": { "IHCP-species-checked": "predicted", "IHCP-species-dilution-info": "", "IHCP-species-notes": "", "IP-species-checked": "predicted", "IP-species-dilution-info": "", "IP-species-notes": "", "WB-species-checked": "predicted", "WB-species-dilution-info": "", "WB-species-notes": "" }, "Gorilla": { "IHCP-species-checked": "predicted", "IHCP-species-dilution-info": "", "IHCP-species-notes": "", "IP-species-checked": "predicted", "IP-species-dilution-info": "", "IP-species-notes": "", "WB-species-checked": "predicted", "WB-species-dilution-info": "", "WB-species-notes": "" }, "Guinea pig": { "IHCP-species-checked": "predicted", "IHCP-species-dilution-info": "", "IHCP-species-notes": "", "IP-species-checked": "predicted", "IP-species-dilution-info": "", "IP-species-notes": "", "WB-species-checked": "predicted", "WB-species-dilution-info": "", "WB-species-notes": "" }, "Horse": { "IHCP-species-checked": "predicted", "IHCP-species-dilution-info": "", "IHCP-species-notes": "", "IP-species-checked": "predicted", "IP-species-dilution-info": "", "IP-species-notes": "", "WB-species-checked": "predicted", "WB-species-dilution-info": "", "WB-species-notes": "" }, "Pig": { "IHCP-species-checked": "predicted", "IHCP-species-dilution-info": "", "IHCP-species-notes": "", "IP-species-checked": "predicted", "IP-species-dilution-info": "", "IP-species-notes": "", "WB-species-checked": "predicted", "WB-species-dilution-info": "", "WB-species-notes": "" }, "Platypus": { "IHCP-species-checked": "predicted", "IHCP-species-dilution-info": "", "IHCP-species-notes": "", "IP-species-checked": "predicted", "IP-species-dilution-info": "", "IP-species-notes": "", "WB-species-checked": "predicted", "WB-species-dilution-info": "", "WB-species-notes": "" }, "Rabbit": { "IHCP-species-checked": "predicted", "IHCP-species-dilution-info": "", "IHCP-species-notes": "", "IP-species-checked": "predicted", "IP-species-dilution-info": "", "IP-species-notes": "", "WB-species-checked": "predicted", "WB-species-dilution-info": "", "WB-species-notes": "" }, "Rhesus monkey": { "IHCP-species-checked": "predicted", "IHCP-species-dilution-info": "", "IHCP-species-notes": "", "IP-species-checked": "predicted", "IP-species-dilution-info": "", "IP-species-notes": "", "WB-species-checked": "predicted", "WB-species-dilution-info": "", "WB-species-notes": "" }, "Turkey": { "IHCP-species-checked": "predicted", "IHCP-species-dilution-info": "", "IHCP-species-notes": "", "IP-species-checked": "predicted", "IP-species-dilution-info": "", "IP-species-notes": "", "WB-species-checked": "predicted", "WB-species-dilution-info": "", "WB-species-notes": "" } } }

Properties and storage information

Form
Liquid
Purification technique
Affinity purification Immunogen
Purification notes
Antibody was affinity purified using an epitope specific to BTAF1 immobilized on solid support
Storage buffer
pH: 6.8 - 7.4 Preservative: 0.09% Sodium azide Constituents: Tris buffered saline, 0.1% BSA
Shipped at conditions
Blue Ice
Appropriate short-term storage conditions
+4°C
Appropriate long-term storage conditions
+4°C
Aliquoting information
Upon delivery aliquot
Storage information
Avoid freeze / thaw cycle

Supplementary information

This supplementary information is collated from multiple sources and compiled automatically.

RBM25 also known as RNA-binding motif protein 25 plays a significant role in RNA splicing mechanisms. This protein has a mass of approximately 97 kDa. It localizes in the nucleus and is widely expressed in various tissues including the heart brain and placenta. RBM25 contains an RNA recognition motif that binds to specific RNA sequences influencing the processing of pre-mRNA into mature mRNA.
Biological function summary

RBM25 mediates alternative splicing a process important for generating diverse protein isoforms from a single gene. It acts as part of the spliceosomal complex and interacts with other splicing factors to modulate exon inclusion or exclusion. Through its regulatory role RBM25 influences gene expression patterns and contributes to the maintenance of cellular homeostasis. Its function is vital in tissues where precise regulation of splicing is necessary.

Pathways

RBM25 is actively involved in splicing regulation within the context of gene expression. It participates in the mRNA processing gene expression pathway while interacting with proteins like SF3B1 and U2AF2 which also play significant roles in the spliceosome. These interactions help fine-tune the splicing process facilitating the production of functional mRNAs that encode necessary proteins for various cellular processes.

RBM25 is associated with cardiovascular diseases and certain cancers. Abnormalities in the splicing function it regulates can lead to incorrect mRNA isoform production contributing to disease pathogenesis. For example it modulates splicing events linked to apoptosis-related genes interacting with other splicing factors like hnRNPL therefore potentially influencing cancer progression. Understanding its association with these diseases can open avenues for targeted therapeutic strategies.

Product protocols

For this product, it's our understanding that no specific protocols are required. You can visit:

Target data

RNA-binding protein that acts as a regulator of alternative pre-mRNA splicing. Involved in apoptotic cell death through the regulation of the apoptotic factor BCL2L1 isoform expression. Modulates the ratio of proapoptotic BCL2L1 isoform S to antiapoptotic BCL2L1 isoform L mRNA expression. When overexpressed, stimulates proapoptotic BCL2L1 isoform S 5'-splice site (5'-ss) selection, whereas its depletion caused the accumulation of antiapoptotic BCL2L1 isoform L. Promotes BCL2L1 isoform S 5'-ss usage through the 5'-CGGGCA-3' RNA sequence. Its association with LUC7L3 promotes U1 snRNP binding to a weak 5' ss in a 5'-CGGGCA-3'-dependent manner. Binds to the exonic splicing enhancer 5'-CGGGCA-3' RNA sequence located within exon 2 of the BCL2L1 pre-mRNA. Also involved in the generation of an abnormal and truncated splice form of SCN5A in heart failure.
See full target information RBM25

Publications (6)

Recent publications for all applications. Explore the full list and refine your search

Experimental biology and medicine (Maywood, N.J.) 248:1267-1277 PubMed37728157

2023

RBM25 induces trophoblast epithelial-mesenchymal transition and preeclampsia disorder by enhancing the positive feedback loop between Grhl2 and RBM25.

Applications

Unspecified application

Species

Unspecified reactive species

Jing Zhang,Wen-Qi Chen,Kai Yang,Zhao-Xi Wang,Dong-Lan Sun,Yuan-Yuan Peng,Mei Yu,Shao-Xiong Wang,Qing Guo

Cell cycle (Georgetown, Tex.) 22:986-1004 PubMed36762777

2023

Metformin attenuates multiple myeloma cell proliferation and encourages apoptosis by suppressing METTL3-mediated m6A methylation of THRAP3, RBM25, and USP4.

Applications

Unspecified application

Species

Unspecified reactive species

Cong-Jie Chen,Jie-Yun Huang,Jian-Qing Huang,Jia-Yi Deng,Xiao-Hui Shangguan,Ai-Zhen Chen,Long-Tian Chen,Wei-Hao Wu

The Journal of biological chemistry 297:101306 PubMed34673031

2021

Phosphorylation regulates arginine-rich RNA-binding protein solubility and oligomerization.

Applications

Unspecified application

Species

Unspecified reactive species

Sean R Kundinger,Eric B Dammer,Luming Yin,Cheyenne Hurst,Sarah Shapley,Lingyan Ping,Sohail Khoshnevis,Homa Ghalei,Duc M Duong,Nicholas T Seyfried

PLoS genetics 16:e1009176 PubMed33137164

2020

Dual genome-wide CRISPR knockout and CRISPR activation screens identify mechanisms that regulate the resistance to multiple ATR inhibitors.

Applications

Unspecified application

Species

Unspecified reactive species

Emily M Schleicher,Ashna Dhoonmoon,Lindsey M Jackson,Kristen E Clements,Coryn L Stump,Claudia M Nicolae,George-Lucian Moldovan

Molecular psychiatry 25:2620-2629 PubMed30622336

2019

Maternal choline supplementation ameliorates Alzheimer's disease pathology by reducing brain homocysteine levels across multiple generations.

Applications

Unspecified application

Species

Unspecified reactive species

Ramon Velazquez,Eric Ferreira,Wendy Winslow,Nikhil Dave,Ignazio S Piras,Marcus Naymik,Matthew J Huentelman,An Tran,Antonella Caccamo,Salvatore Oddo

The Journal of biological chemistry 293:11047-11066 PubMed29802200

2018

RNA-binding proteins with basic-acidic dipeptide (BAD) domains self-assemble and aggregate in Alzheimer's disease.

Applications

Unspecified application

Species

Unspecified reactive species

Isaac Bishof,Eric B Dammer,Duc M Duong,Sean R Kundinger,Marla Gearing,James J Lah,Allan I Levey,Nicholas T Seyfried
View all publications

Product promise

We are committed to supporting your work with high-quality reagents, and we're here for you every step of the way. In the unlikely event that one of our products does not perform as expected, you're protected by our Product Promise.
For full details, please see our Terms & Conditions

Please note: All products are 'FOR RESEARCH USE ONLY. NOT FOR USE IN DIAGNOSTIC OR THERAPEUTIC PROCEDURES'.

For licensing inquiries, please contact partnerships@abcam.com