JavaScript is disabled in your browser. Please enable JavaScript to view this website.
AB249076

Anti-RBM47 antibody [EPR9659] - BSA and Azide free

Be the first to review this product! Submit a review

|

(1 Publication)

Rabbit Recombinant Monoclonal RBM47 antibody. Carrier free. Suitable for IHC-P, WB and reacts with Human samples. Cited in 1 publication.

View Alternative Names

RNA-binding protein 47, RNA-binding motif protein 47, RBM47

2 Images
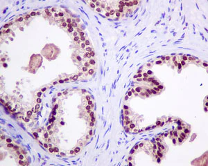
Immunohistochemistry (Formalin/PFA-fixed paraffin-embedded sections) - Anti-RBM47 antibody [EPR9659] - BSA and Azide free (AB249076)
  • IHC-P

Unknown

Immunohistochemistry (Formalin/PFA-fixed paraffin-embedded sections) - Anti-RBM47 antibody [EPR9659] - BSA and Azide free (AB249076)

This data was developed using ab154176, the same antibody clone in a different buffer formulation.

Immunohistochemical analysis of paraffin-embedded Human prostate tissue labeling RBM47 with ab154176 at 1/250 dilution.

Perform heat mediated antigen retrieval with citrate buffer pH 6 before commencing with IHC staining protocol.

Western blot - Anti-RBM47 antibody [EPR9659] - BSA and Azide free (AB249076)
  • WB

Unknown

Western blot - Anti-RBM47 antibody [EPR9659] - BSA and Azide free (AB249076)

This data was developed using ab154176, the same antibody clone in a different buffer formulation.

All lanes:

Western blot - Anti-RBM47 antibody [EPR9659] (<a href='/en-us/products/primary-antibodies/rbm47-antibody-epr9659-ab154176'>ab154176</a>) at 1/1000 dilution

Lane 1:

A549 cell lysate at 10 µg

Lane 2:

HT-1376 cell lysate at 10 µg

Lane 3:

Human fetal lung tissue lysate at 10 µg

Lane 4:

SW480 cell lysate at 10 µg

Secondary

All lanes:

HRP labelled goat anti-rabbit at 1/2000 dilution

Predicted band size: 64 kDa

false

Key facts

Host species

Rabbit

Clonality

Monoclonal

Clone number

EPR9659

Isotype

IgG

Carrier free

Yes

Reacts with

Human

Applications

IHC-P, WB

applications

Immunogen

The exact immunogen used to generate this antibody is proprietary information.

Reactivity data

{ "title": "Reactivity Data", "filters": { "stats": ["", "Species", "Dilution Info", "Notes"], "tabs": { "all-applications": {"fullname" : "All Applications", "shortname": "All Applications"}, "IHCP" : {"fullname" : "Immunohistochemistry (Formalin/PFA-fixed paraffin-embedded sections)", "shortname":"IHC-P"}, "IP" : {"fullname" : "Immunoprecipitation", "shortname":"IP"}, "FlowCyt" : {"fullname" : "Flow Cytometry", "shortname":"Flow Cyt"}, "WB" : {"fullname" : "Western blot", "shortname":"WB"}, "ICCIF" : {"fullname" : "Immunocytochemistry/ Immunofluorescence", "shortname":"ICC/IF"} }, "product-promise": { "all": "all", "testedAndGuaranteed": "tested", "guaranteed": "expected", "predicted": "predicted", "notRecommended": "not-recommended" } }, "values": { "Human": { "IHCP-species-checked": "testedAndGuaranteed", "IHCP-species-dilution-info": "", "IHCP-species-notes": "<p></p>", "IP-species-checked": "notRecommended", "IP-species-dilution-info": "", "IP-species-notes": "<p></p>", "FlowCyt-species-checked": "notRecommended", "FlowCyt-species-dilution-info": "", "FlowCyt-species-notes": "<p></p>", "WB-species-checked": "testedAndGuaranteed", "WB-species-dilution-info": "", "WB-species-notes": "<p></p>", "ICCIF-species-checked": "notRecommended", "ICCIF-species-dilution-info": "", "ICCIF-species-notes": "<p></p>" } } }

Product details

ab249076 is the carrier-free version of ab154176.

Patented technology
Our RabMAb® technology is a patented hybridoma-based technology for making rabbit monoclonal antibodies. For details on our patents, please refer to RabMAb® patents.

What are the advantages of a recombinant monoclonal antibody?
This product is a recombinant monoclonal antibody, which offers several advantages including:

  • - High batch-to-batch consistency and reproducibility
  • - Improved sensitivity and specificity
  • - Long-term security of supply
  • - Animal-free batch production

For more information, read more on recombinant antibodies.

Conjugation ready
Our carrier-free antibodies are typically supplied in a PBS-only formulation, purified and free of BSA, sodium azide and glycerol. This conjugation-ready format is designed for use with fluorochromes, metal isotopes, oligonucleotides, and enzymes, which makes them ideal for antibody labelling, functional and cell-based assays, flow-based assays (e.g. mass cytometry) and Multiplex Imaging applications.

Use our conjugation kits for antibody conjugates that are ready-to-use in as little as 20 minutes with 1 minute hands-on-time and 100% antibody recovery: available for fluorescent dyes, HRP, biotin and gold.

Compatibility
This product is compatible with the Maxpar® Antibody Labeling Kit from Fluidigm, without the need for antibody preparation. Maxpar® is a trademark of Fluidigm Canada Inc.

Properties and storage information

Form
Liquid
Purification technique
Affinity purification Protein A
Storage buffer
pH: 7.2 - 7.4 Constituents: PBS
Shipped at conditions
Blue Ice
Appropriate short-term storage conditions
+4°C
Appropriate long-term storage conditions
+4°C
Storage information
Do Not Freeze

Supplementary information

This supplementary information is collated from multiple sources and compiled automatically.

RBM47 also known as RNA-binding motif protein 47 plays a role in post-transcriptional gene regulation. It is a protein that weighs approximately 72 kDa. Researchers have found RBM47 mainly in the nucleus and its expression is observed in various tissues with higher levels in liver and kidney. This protein binds to RNA sequences and influences mRNA stability and splicing impacting gene expression.
Biological function summary

RBM47 contributes to RNA processing and modulation of mRNA splicing. It acts independently as well as part of larger protein complexes involved in RNA metabolism. This modulation can lead to variations in protein expression which is important for cellular differentiation and response. Studies indicate that RBM47 can interact with other RNA-binding proteins such as HuR which work together to stabilize specific mRNA transcripts.

Pathways

Studies associate RBM47 directly with the regulation of RNA stability and processing pathways. Notably it participates in pathways influencing the epithelial-mesenchymal transition (EMT) a process significant in cancer progression and metastasis. Within these pathways RBM47 works in conjunction with other RNA-binding proteins to maintain balance in RNA turnover and protein expression.

RBM47 has a connection to cancer and developmental abnormalities. Its role in modifying RNA transcripts and involvement in EMT suggest it might influence cancer cell metastasis. Decreased expression of RBM47 may relate to increased cancer aggressiveness. Additionally RBM47's interactions with proteins in the RNA stability pathway highlight its potential contribution to neural developmental disorders although the precise mechanisms require further research.

Product protocols

For this product, it's our understanding that no specific protocols are required. You can visit:

Target data

Single-stranded RNA-binding protein that functions in a variety of RNA processes, including alternative splicing, RNA stabilization, and RNA editing (PubMed : 24038582, PubMed : 24916387, PubMed : 27050523, PubMed : 30844405, PubMed : 31358901, PubMed : 34160127). Functions as an enzyme-substrate adapter for the cytidine deaminase APOBEC1. With APOBEC1 forms an mRNA editing complex involved into cytidine to uridine editing of a variety of mRNA molecules (PubMed : 24038582, PubMed : 24916387, PubMed : 30844405). Through the binding of their 3'UTR, also stabilizes a variety of mRNAs and regulates the expression of genes such as the interferon alpha/beta receptor and interleukin-10 (PubMed : 34160127). Also involved in the alternative splicing of several genes including TJP1. Binds the pre-mRNA (U)GCAUG consensus sequences in downstream intronic regions of alternative exons, regulating their exclusion and inclusion into mRNAs (PubMed : 27050523, PubMed : 31358901). Independently of its RNA-binding activity, could negatively regulate MAVS by promoting its lysosomal degradation (By similarity).
See full target information RBM47

Publications (1)

Recent publications for all applications. Explore the full list and refine your search

Developmental cell 60:2744-2760.e9 PubMed40460835

2025

ATG9A and ARFIP2 cooperate to control PI4P levels for lysosomal repair.

Applications

Unspecified application

Species

Unspecified reactive species

Stefano De Tito,Eugenia Almacellas,Daniel Dai Yu,Emily Millard,Wenxin Zhang,Cecilia de Heus,Christophe Queval,Javier H Hervás,Enrica Pellegrino,Ioanna Panagi,Ditte Fogde,Teresa L M Thurston,Judith Klumperman,Maximiliano Gutierrez,Sharon A Tooze
View all publications

Product promise

We are committed to supporting your work with high-quality reagents, and we're here for you every step of the way. In the unlikely event that one of our products does not perform as expected, you're protected by our Product Promise.
For full details, please see our Terms & Conditions

Please note: All products are 'FOR RESEARCH USE ONLY. NOT FOR USE IN DIAGNOSTIC OR THERAPEUTIC PROCEDURES'.

For licensing inquiries, please contact partnerships@abcam.com