JavaScript is disabled in your browser. Please enable JavaScript to view this website.
AB250272

Anti-RBMX2 antibody [EPR14394] - BSA and Azide free

Be the first to review this product! Submit a review

|

(0 Publication)

Rabbit Recombinant Monoclonal RBMX2 antibody. Carrier free. Suitable for ICC/IF, WB, IHC-P and reacts with Human, Mouse samples.

View Alternative Names

CGI-79, RBMX2

6 Images
Immunocytochemistry/ Immunofluorescence - Anti-RBMX2 antibody [EPR14394] - BSA and Azide free (AB250272)
  • ICC/IF

Supplier Data

Immunocytochemistry/ Immunofluorescence - Anti-RBMX2 antibody [EPR14394] - BSA and Azide free (AB250272)

This data was developed using ab180940, the same antibody clone in a different buffer formulation.

Immunofluorescent analysis of 4% paraformaldehyde fixed HepG2 cell line staining RBMX2 using ab180940 at a 1/100 dilution. Goat anti rabbit IgG (Dylight 488), at a dilution of 1/200, was used as a secondary antibody. Counter stain : Dapi (blue).

Western blot - Anti-RBMX2 antibody [EPR14394] - BSA and Azide free (AB250272)
  • WB

Supplier Data

Western blot - Anti-RBMX2 antibody [EPR14394] - BSA and Azide free (AB250272)

This data was developed using ab180940, the same antibody clone in a different buffer formulation.

Blocking and dilution buffer : 5% NFDM/TBST.

All lanes:

Western blot - Anti-RBMX2 antibody [EPR14394] (<a href='/en-us/products/primary-antibodies/rbmx2-antibody-epr14394-ab180940'>ab180940</a>) at 1/10000 dilution

Lane 1:

HepG2 cell lysate at 20 µg

Lane 2:

HeLa cell lysate at 20 µg

Secondary

All lanes:

Goat Anti-Rabbit IgG, (H+L), Peroxidase conjugated at 1/1000 dilution

Predicted band size: 37 kDa

false

Western blot - Anti-RBMX2 antibody [EPR14394] - BSA and Azide free (AB250272)
  • WB

Supplier Data

Western blot - Anti-RBMX2 antibody [EPR14394] - BSA and Azide free (AB250272)

This data was developed using ab180940, the same antibody clone in a different buffer formulation.

Blocking and dilution buffer : 5% NFDM/TBST.

All lanes:

Western blot - Anti-RBMX2 antibody [EPR14394] (<a href='/en-us/products/primary-antibodies/rbmx2-antibody-epr14394-ab180940'>ab180940</a>) at 1/2000 dilution

All lanes:

HT-1376 at 20 µg

Secondary

All lanes:

Goat Anti-Rabbit IgG, (H+L), Peroxidase conjugated at 1/1000 dilution

Predicted band size: 37 kDa

false

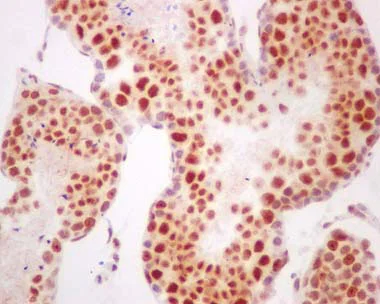
Immunohistochemistry (Formalin/PFA-fixed paraffin-embedded sections) - Anti-RBMX2 antibody [EPR14394] - BSA and Azide free (AB250272)
  • IHC-P

Supplier Data

Immunohistochemistry (Formalin/PFA-fixed paraffin-embedded sections) - Anti-RBMX2 antibody [EPR14394] - BSA and Azide free (AB250272)

This data was developed using ab180940, the same antibody clone in a different buffer formulation.

Immunohistochemical analysis of paraffin-embedded Human ovarian carcinoma tissue labeling RBMX2 with ab180940 at a 1/100 dilution. Prediluted ImmunoHistoprobe (ready to use) HRP Polymer for Rabbit IgG was used as a secondary antibody. Counter stain : Hematoxylin

Perform heat mediated antigen retrieval with EDTA buffer pH 9 before commencing with IHC staining protocol.

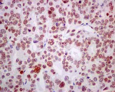
Immunohistochemistry (Formalin/PFA-fixed paraffin-embedded sections) - Anti-RBMX2 antibody [EPR14394] - BSA and Azide free (AB250272)
  • IHC-P

Supplier Data

Immunohistochemistry (Formalin/PFA-fixed paraffin-embedded sections) - Anti-RBMX2 antibody [EPR14394] - BSA and Azide free (AB250272)

This data was developed using ab180940, the same antibody clone in a different buffer formulation.

Immunohistochemical analysis of paraffin-embedded mouse testis tissue labeling RBMX2 with ab180940 at a 1/100 dilution. Prediluted ImmunoHistoprobe (ready to use) HRP Polymer for Rabbit IgG was used as a secondary antibody. Counter stain : Hematoxylin

Perform heat mediated antigen retrieval with EDTA buffer pH 9 before commencing with IHC staining protocol.

Immunocytochemistry/ Immunofluorescence - Anti-RBMX2 antibody [EPR14394] - BSA and Azide free (AB250272)
  • ICC/IF

Supplier Data

Immunocytochemistry/ Immunofluorescence - Anti-RBMX2 antibody [EPR14394] - BSA and Azide free (AB250272)

This data was developed using ab180940, the same antibody clone in a different buffer formulation.

Immunofluorescent analysis of -20°C acetone-fixed HeLa cell line staining RBMX2 using ab180940 at a 1/100 dilution. Goat anti rabbit IgG (Dylight 488), at a dilution of 1/200, was used as a secondary antibody. Counter stain : Dapi (blue).

Key facts

Host species

Rabbit

Clonality

Monoclonal

Clone number

EPR14394

Isotype

IgG

Carrier free

Yes

Reacts with

Mouse, Human

Applications

IHC-P, ICC/IF, WB

applications

Immunogen

The exact immunogen used to generate this antibody is proprietary information.

Reactivity data

{ "title": "Reactivity Data", "filters": { "stats": ["", "Species", "Dilution Info", "Notes"], "tabs": { "all-applications": {"fullname" : "All Applications", "shortname": "All Applications"}, "ICCIF" : {"fullname" : "Immunocytochemistry/ Immunofluorescence", "shortname":"ICC/IF"}, "WB" : {"fullname" : "Western blot", "shortname":"WB"}, "IHCP" : {"fullname" : "Immunohistochemistry (Formalin/PFA-fixed paraffin-embedded sections)", "shortname":"IHC-P"} }, "product-promise": { "all": "all", "testedAndGuaranteed": "tested", "guaranteed": "expected", "predicted": "predicted", "notRecommended": "not-recommended" } }, "values": { "Human": { "ICCIF-species-checked": "testedAndGuaranteed", "ICCIF-species-dilution-info": "", "ICCIF-species-notes": "<p></p> Perform heat-mediated antigen retrieval with Tris/EDTA buffer pH 9.0 before commencing with IHC staining protocol.", "WB-species-checked": "testedAndGuaranteed", "WB-species-dilution-info": "", "WB-species-notes": "<p></p> Perform heat-mediated antigen retrieval with Tris/EDTA buffer pH 9.0 before commencing with IHC staining protocol.", "IHCP-species-checked": "testedAndGuaranteed", "IHCP-species-dilution-info": "", "IHCP-species-notes": "<p></p> Perform heat-mediated antigen retrieval with Tris/EDTA buffer pH 9.0 before commencing with IHC staining protocol." }, "Mouse": { "ICCIF-species-checked": "guaranteed", "ICCIF-species-dilution-info": "", "ICCIF-species-notes": "", "WB-species-checked": "guaranteed", "WB-species-dilution-info": "", "WB-species-notes": "", "IHCP-species-checked": "testedAndGuaranteed", "IHCP-species-dilution-info": "", "IHCP-species-notes": "<p></p> Perform heat-mediated antigen retrieval with Tris/EDTA buffer pH 9.0 before commencing with IHC staining protocol." }, "Rat": { "ICCIF-species-checked": "predicted", "ICCIF-species-dilution-info": "", "ICCIF-species-notes": "", "WB-species-checked": "predicted", "WB-species-dilution-info": "", "WB-species-notes": "", "IHCP-species-checked": "predicted", "IHCP-species-dilution-info": "", "IHCP-species-notes": "" } } }

Product details

Properties and storage information

Form
Liquid
Purification technique
Affinity purification Protein A
Storage buffer
pH: 7.2 - 7.4 Constituents: PBS
Shipped at conditions
Blue Ice
Appropriate short-term storage conditions
+4°C
Appropriate long-term storage conditions
+4°C
Storage information
Do Not Freeze

Supplementary information

This supplementary information is collated from multiple sources and compiled automatically.

RBMX2 also known as RNA-binding motif protein X-linked 2 (RBMY2 or hnRNP G-T) is a protein that binds to RNA to help regulate gene expression. This protein weighs approximately 40 kDa and is located primarily within the nucleus of cells. RBMX2 shows expression in various tissues with noticeable levels in testis tissue and to some extent in other organs suggesting a role in specific cellular processes.
Biological function summary

RNA-binding motif proteins like RBMX2 engage in RNA splicing processing and transport thereby influencing RNA metabolism. RBMX2 may be a part of ribonucleoprotein complexes that modulate mRNA processing events. These complexes maintain RNA stability and facilitate efficient gene expression impacting cell differentiation and proliferation.

Pathways

The RBMX2 protein influences RNA processing pathways. It interacts with other RNA-binding proteins such as DAZL and hnRNPA2/B1 in these pathways. These interactions highlight its involvement in post-transcriptional regulatory networks which control the proper maturation and trafficking of mRNAs essential for cellular functions.

RBMX2's aberrant expression can relate to testicular dysgenesis and reproductive issues. Alterations in RBMX2 functionality have connections with infertility particularly involving the DAZ gene family critical for spermatogenesis. Disruptions in these pathways might lead to improper RNA processing contributing to developmental defects and infertility-related syndromes.

Product protocols

For this product, it's our understanding that no specific protocols are required. You can visit:

Target data

Involved in pre-mRNA splicing as component of the activated spliceosome. As a component of the minor spliceosome, involved in the splicing of U12-type introns in pre-mRNAs (Probable).
See full target information RBMX2

Product promise

We are committed to supporting your work with high-quality reagents, and we're here for you every step of the way. In the unlikely event that one of our products does not perform as expected, you're protected by our Product Promise.
For full details, please see our Terms & Conditions

Please note: All products are 'FOR RESEARCH USE ONLY. NOT FOR USE IN DIAGNOSTIC OR THERAPEUTIC PROCEDURES'.

For licensing inquiries, please contact partnerships@abcam.com