JavaScript is disabled in your browser. Please enable JavaScript to view this website.
AB227487

Anti-RBP4 antibody [EPR18020-115] - BSA and Azide free

  • BOND RX™ Validated
  • RabMAb
  • Recombinant
  • KO Validated
  • What is this?

Be the first to review this product! Submit a review

|

(1 Publication)

Rabbit Recombinant Monoclonal RBP4 antibody. Carrier free. Suitable for IP, WB, ICC/IF, Flow Cyt (Intra), IHC-P and reacts with Mouse, Rat samples. Cited in 1 publication.

View Alternative Names

Retinol-binding protein 4, Plasma retinol-binding protein, PRBP, RBP, Rbp4

7 Images
Immunohistochemistry (Formalin/PFA-fixed paraffin-embedded sections) - Anti-RBP4 antibody [EPR18020-115] - BSA and Azide free (AB227487)
  • IHC-P

Supplier Data

Immunohistochemistry (Formalin/PFA-fixed paraffin-embedded sections) - Anti-RBP4 antibody [EPR18020-115] - BSA and Azide free (AB227487)

Immunohistochemical analysis of paraffin-embedded rat liver tissue labeling RBP4 with ab188230 at 1/50 dilution, followed by Goat Anti-Rabbit IgG H&L (HRP) Ready to use. Cytoplasmic staining on hepatocytes of rat liver (PMID : 19624771; PMID : 21324757) is observed. Counter stained with hematoxylin.

Secondary antibody only control : Used PBS instead of primary antibody, secondary antibody is Goat Anti-Rabbit IgG H&L (HRP) Ready to use.

This data was developed using the same antibody clone in a different buffer formulation containing PBS, BSA, glycerol, and sodium azide (ab188230).

Perform heat mediated antigen retrieval with Tris/EDTA buffer pH 9.0 before commencing with IHC staining protocol.

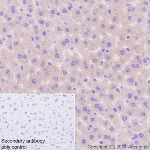
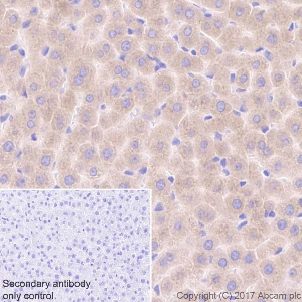
Immunohistochemistry (Formalin/PFA-fixed paraffin-embedded sections) - Anti-RBP4 antibody [EPR18020-115] - BSA and Azide free (AB227487)
  • IHC-P

Supplier Data

Immunohistochemistry (Formalin/PFA-fixed paraffin-embedded sections) - Anti-RBP4 antibody [EPR18020-115] - BSA and Azide free (AB227487)

Immunohistochemical analysis of paraffin-embedded mouse liver tissue labeling RBP4 with ab188230 at 1/50 dilution, followed by Goat Anti-Rabbit IgG H&L (HRP) Ready to use. Cytoplasmic staining on hepatocytes of mouse liver (PMID : 19624771; PMID : 21324757) is observed. Counter stained with hematoxylin.

Secondary antibody only control : Used PBS instead of primary antibody, secondary antibody is Goat Anti-Rabbit IgG H&L (HRP) Ready to use.

This data was developed using the same antibody clone in a different buffer formulation containing PBS, BSA, glycerol, and sodium azide (ab188230).

Perform heat mediated antigen retrieval with Tris/EDTA buffer pH 9.0 before commencing with IHC staining protocol.

Flow Cytometry (Intracellular) - Anti-RBP4 antibody [EPR18020-115] - BSA and Azide free (AB227487)
  • Flow Cyt (Intra)

Unknown

Flow Cytometry (Intracellular) - Anti-RBP4 antibody [EPR18020-115] - BSA and Azide free (AB227487)

Intracellular flow cytometric analysis of 4% paraformaldehyde-fixed, 90% methanol-permeabilized Hepa1-6 (mouse hepatoma epithelial cell line) cell line labeling RBP4 with ab188230 at 1/500 dilution (red) compared with a Rabbit IgG, monoclonal [EPR25A] - Isotype Control (ab172730) (black) and an unlabeled control (cells without incubation with primary antibody and secondary antibody) (blue). Goat Anti-Rabbit IgG H&L (Alexa Fluor® 488) (ab150077) at 1/2000 dilution was used as the secondary antibody.

This data was developed using the same antibody clone in a different buffer formulation containing PBS, BSA, glycerol, and sodium azide (ab188230).

Immunocytochemistry/ Immunofluorescence - Anti-RBP4 antibody [EPR18020-115] - BSA and Azide free (AB227487)
  • ICC/IF

Supplier Data

Immunocytochemistry/ Immunofluorescence - Anti-RBP4 antibody [EPR18020-115] - BSA and Azide free (AB227487)

Immunofluorescent analysis of 4% paraformalehyde-fixed, 0.1% Triton X-100 permeabilized Hepa1-6 (mouse hepatoma epithelial cell line) cells labeling RBP4 with ab188230 at 1/500 dilution, followed by Goat Anti-Rabbit IgG H&L (Alexa Fluor® 488) (ab150077) secondary antibody at 1/1000 dilution (green). Confocal image showing cytoplasmic staining on Hepa1-6 cells.

The nuclear counterstain is DAPI (blue). Tubulin is detected with Anti-alpha Tubulin antibody [DM1A] - Microtubule Marker (Alexa Fluor® 594) (ab195889) at 1/200 dilution (red).

Secondary antibody only control : Used PBS instead of primary antibody, secondary antibody is Goat Anti-Rabbit IgG H&L (Alexa Fluor® 488) (ab150077) secondary antibody at 1/1000 dilution.

This data was developed using the same antibody clone in a different buffer formulation containing PBS, BSA, glycerol, and sodium azide (ab188230).

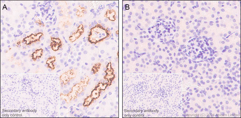
Immunohistochemistry (Formalin/PFA-fixed paraffin-embedded sections) - Anti-RBP4 antibody [EPR18020-115] - BSA and Azide free (AB227487)
  • IHC-P

Lab

Immunohistochemistry (Formalin/PFA-fixed paraffin-embedded sections) - Anti-RBP4 antibody [EPR18020-115] - BSA and Azide free (AB227487)

This data was developed using ab188230, the same antibody clone in a different buffer formulation.

Immunohistochemical analysis of paraffin-embedded (A) Kidney tissue from wild-type C57BL/6JGpt mice and (B) Kidney tissue from Rbp4 knockout mice tissue labeling RBP4 with ab188230 at 1/50 dilution, followed by a ready to use LeicaDS9800 (Bond Polymer Refine Detection).

Positive staining on (A) Kidney tissue from wild-type C57BL/6JGpt mice and no staining on (B) Kidney tissue from Rbp4 knockout mice.
The section was incubated with ab188230 for 30 mins at room temperature.
The immunostaining was performed on a Leica Biosystems BOND® RX instrument.
The tissue samples were kindly provided by GemPharmatech. C57BL/6JGpt wildtype mice and Rbp4-KO homozygous mice (Strain ID : T012705).

Secondary antibody only control : Secondary antibody is a ready to use LeicaDS9800 (Bond Polymer Refine Detection).

Heat mediated antigen retrieval was performed with Tris-EDTA buffer (pH 9.0, Epitope Retrieval Solution2) for 20 mins.

Western blot - Anti-RBP4 antibody [EPR18020-115] - BSA and Azide free (AB227487)
  • WB

Lab

Western blot - Anti-RBP4 antibody [EPR18020-115] - BSA and Azide free (AB227487)

This data was developed using ab188230, the same antibody clone in a different buffer formulation.

The tissue samples were kindly provided by GemPharmatech. C57BL/6JGpt wildtype mice and Nppa-KO homozygous mice (Strain ID : T012705).

The identity of the higher MW band at approximately 37 kDa (in Lane 4-5) is unknown.

In Western blot, Anti-GAPDH antibody [EPR16891] - Loading Control (ab181602) staining at 1/200000 dilution.

Blocking and diluting buffer and concentration : 5% NFDM/TBST.

All lanes:

Western blot - Anti-RBP4 antibody [EPR18020-115] (<a href='/en-us/products/primary-antibodies/rbp4-antibody-epr18020-115-ab188230'>ab188230</a>) at 1/1000 dilution

Lane 1:

Wild-type Mouse kidney (female)

Lane 2:

Rbp4 knockout kidneytissue lysate (female case1)

Lane 3:

Rbp4 knockout kidneytissue lysate (female case2)

Lane 4:

Wild-type Mouse liver (female)

Lane 5:

Rbp4 knockout liver tissue lysate (female case1)

Lane 6:

Rbp4 knockout liver tissue lysate (female case2)

Secondary

All lanes:

Western blot - Goat Anti-Rabbit IgG H&L (HRP) (<a href='/en-us/products/secondary-antibodies/goat-rabbit-igg-h-l-hrp-ab97051'>ab97051</a>) at 1/5000 dilution

Observed band size: 21 kDa

false

Exposure time: 92s

Immunoprecipitation - Anti-RBP4 antibody [EPR18020-115] - BSA and Azide free (AB227487)
  • IP

Supplier Data

Immunoprecipitation - Anti-RBP4 antibody [EPR18020-115] - BSA and Azide free (AB227487)

RBP4 was immunoprecipitated from 0.35 mg of Hepa1-6 (mouse hepatoma epithelial cell line) whole cell lysate with ab188230 at 1/30 dilution. Western blot was performed from the immunoprecipitate using ab188230 at 1/1000 dilution. VeriBlot for IP Detection Reagent (HRP) (ab131366), was used for detection at 1/1000 dilution.

Lane 1 : Hepa1-6 whole cell lysate 10 μg (Input).

Lane 2 : ab188230 IP in Hepa1-6 whole cell lysate.

Lane 3 : Rabbit monoclonal IgG (ab172730) instead of ab188230 in Hepa1-6 whole cell lysate.

Exposure time : 2 seconds.

Blocking and dilution buffer and concentration : 5% NFDM/TBST.

This data was developed using the same antibody clone in a different buffer formulation containing PBS, BSA, glycerol, and sodium azide (ab188230).

All lanes:

Immunoprecipitation - Anti-RBP4 antibody [EPR18020-115] (<a href='/en-us/products/primary-antibodies/rbp4-antibody-epr18020-115-ab188230'>ab188230</a>)

Predicted band size: 23 kDa

Observed band size: 21 kDa

true

Key facts

Host species

Rabbit

Clonality

Monoclonal

Clone number

EPR18020-115

Isotype

IgG

Carrier free

Yes

Reacts with

Mouse, Rat

Applications

WB, ICC/IF, IHC-P, IP, Flow Cyt (Intra)

applications

Immunogen

The exact immunogen used to generate this antibody is proprietary information.

Reactivity data

{ "title": "Reactivity Data", "filters": { "stats": ["", "Species", "Dilution Info", "Notes"], "tabs": { "all-applications": {"fullname" : "All Applications", "shortname": "All Applications"}, "IP" : {"fullname" : "Immunoprecipitation", "shortname":"IP"}, "WB" : {"fullname" : "Western blot", "shortname":"WB"}, "ICCIF" : {"fullname" : "Immunocytochemistry/ Immunofluorescence", "shortname":"ICC/IF"}, "FlowCytIntra" : {"fullname" : "Flow Cytometry (Intracellular)", "shortname":"Flow Cyt (Intra)"}, "IHCP" : {"fullname" : "Immunohistochemistry (Formalin/PFA-fixed paraffin-embedded sections)", "shortname":"IHC-P"} }, "product-promise": { "all": "all", "testedAndGuaranteed": "tested", "guaranteed": "expected", "predicted": "predicted", "notRecommended": "not-recommended" } }, "values": { "Mouse": { "IP-species-checked": "testedAndGuaranteed", "IP-species-dilution-info": "", "IP-species-notes": "<p></p>", "WB-species-checked": "testedAndGuaranteed", "WB-species-dilution-info": "", "WB-species-notes": "<p></p>", "ICCIF-species-checked": "testedAndGuaranteed", "ICCIF-species-dilution-info": "", "ICCIF-species-notes": "<p></p>", "FlowCytIntra-species-checked": "testedAndGuaranteed", "FlowCytIntra-species-dilution-info": "", "FlowCytIntra-species-notes": "<p></p>", "IHCP-species-checked": "testedAndGuaranteed", "IHCP-species-dilution-info": "", "IHCP-species-notes": "<p></p>" }, "Rat": { "IP-species-checked": "guaranteed", "IP-species-dilution-info": "", "IP-species-notes": "", "WB-species-checked": "testedAndGuaranteed", "WB-species-dilution-info": "", "WB-species-notes": "<p></p>", "ICCIF-species-checked": "guaranteed", "ICCIF-species-dilution-info": "", "ICCIF-species-notes": "", "FlowCytIntra-species-checked": "guaranteed", "FlowCytIntra-species-dilution-info": "", "FlowCytIntra-species-notes": "", "IHCP-species-checked": "testedAndGuaranteed", "IHCP-species-dilution-info": "", "IHCP-species-notes": "<p></p>" } } }

Product details

ab227487 is the carrier-free version of ab188230.

Patented technology
Our RabMAb® technology is a patented hybridoma-based technology for making rabbit monoclonal antibodies. For details on our patents, please refer to RabMAb® patents.

What are the advantages of a recombinant monoclonal antibody?
This product is a recombinant monoclonal antibody, which offers several advantages including:

  • - High batch-to-batch consistency and reproducibility
  • - Improved sensitivity and specificity
  • - Long-term security of supply
  • - Animal-free batch production

For more information, read more on recombinant antibodies.

Conjugation ready
Our carrier-free antibodies are typically supplied in a PBS-only formulation, purified and free of BSA, sodium azide and glycerol. This conjugation-ready format is designed for use with fluorochromes, metal isotopes, oligonucleotides, and enzymes, which makes them ideal for antibody labelling, functional and cell-based assays, flow-based assays (e.g. mass cytometry) and Multiplex Imaging applications.

Use our conjugation kits for antibody conjugates that are ready-to-use in as little as 20 minutes with 1 minute hands-on-time and 100% antibody recovery: available for fluorescent dyes, HRP, biotin and gold.

Compatibility
This product is compatible with the Maxpar® Antibody Labeling Kit from Fluidigm, without the need for antibody preparation. Maxpar® is a trademark of Fluidigm Canada Inc.

Properties and storage information

Form
Liquid
Purification technique
Affinity purification Protein A
Storage buffer
pH: 7.2 - 7.4 Constituents: PBS
Shipped at conditions
Blue Ice
Appropriate short-term storage conditions
+4°C
Appropriate long-term storage conditions
+4°C
Storage information
Do Not Freeze

Supplementary information

This supplementary information is collated from multiple sources and compiled automatically.

RBP4 or retinol-binding protein 4 is a carrier protein that is essential for the transport of retinol or vitamin A in the bloodstream. Also known by the names RBP or plasma retinol-binding protein this protein has a molecular weight of approximately 21 kDa. RBP4 is mainly expressed in the liver and secreted into the blood where it binds to retinol and protects it from oxidation. The structure of RBP4 allows it to fit into binding pockets facilitating the transport of retinol to peripheral tissues.
Biological function summary

RBP4 plays a role as a transporter of vitamin A from the liver to tissues where it is needed. It forms complexes with transthyretin in the blood which prevents kidney filtration and subsequent loss of retinol. This function ensures the proper delivery and availability of retinol essential for vision cellular differentiation and immune system function. The stability of the retinol-RBP4 complex is important to maintaining sufficient vitamin A levels in the body.

Pathways

RBP4 is significant in the vitamin A metabolism pathway and affects the retinoid signaling pathways. These pathways are critical for processes such as vision and skin health. RBP4 interacts with proteins like lecithin retinol acyltransferase (LRAT) in these pathways which are responsible for esterifying retinol into retinyl esters a storage form of vitamin A. These interactions ensure the efficient transport and storage of vitamin A and that it is accessible when needed by different tissues.

RBP4 is linked to the development of insulin resistance and type 2 diabetes. Elevated RBP4 levels correlate with these conditions and highlight its role in metabolic processes. Studies also show a connection between altered RBP4 levels and obesity with insulin resistance often occurring in conjunction with obesity. The protein is implicated in these metabolic disorders through its interactions with insulin-regulating proteins which influence glucose homeostasis.

Product protocols

For this product, it's our understanding that no specific protocols are required. You can visit:

Target data

Retinol-binding protein that mediates retinol transport in blood plasma. Delivers retinol from the liver stores to the peripheral tissues. Transfers the bound all-trans retinol to STRA6, that then facilitates retinol transport across the cell membrane.
See full target information Retinol-binding protein 4

Publications (1)

Recent publications for all applications. Explore the full list and refine your search

Cell death & disease 14:725 PubMed37938546

2023

Crosstalk with lung fibroblasts shapes the growth and therapeutic response of mesothelioma cells.

Applications

Unspecified application

Species

Unspecified reactive species

Yakinthi Chrisochoidou,Rajat Roy,Pooyeh Farahmand,Guadalupe Gonzalez,Jennifer Doig,Lukas Krasny,Ella F Rimmer,Anne E Willis,Marion MacFarlane,Paul H Huang,Neil O Carragher,Alison F Munro,Daniel J Murphy,Kirill Veselkov,Michael J Seckl,Miriam F Moffatt,William O C Cookson,Olivier E Pardo
View all publications

Product promise

We are committed to supporting your work with high-quality reagents, and we're here for you every step of the way. In the unlikely event that one of our products does not perform as expected, you're protected by our Product Promise.
For full details, please see our Terms & Conditions

Please note: All products are 'FOR RESEARCH USE ONLY. NOT FOR USE IN DIAGNOSTIC OR THERAPEUTIC PROCEDURES'.

For licensing inquiries, please contact partnerships@abcam.com