JavaScript is disabled in your browser. Please enable JavaScript to view this website.
AB133530

Anti-RBP4 antibody [EPR5878]

Be the first to review this product! Submit a review

|

(2 Publications)

Rabbit Recombinant Monoclonal RBP4 antibody. Suitable for IHC-P, WB and reacts with Human samples. Cited in 2 publications.

View Alternative Names

PRO2222, RBP4, Retinol-binding protein 4, Plasma retinol-binding protein, PRBP, RBP

3 Images
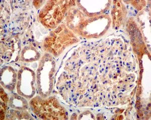
Immunohistochemistry (Formalin/PFA-fixed paraffin-embedded sections) - Anti-RBP4 antibody [EPR5878] (AB133530)
  • IHC-P

Unknown

Immunohistochemistry (Formalin/PFA-fixed paraffin-embedded sections) - Anti-RBP4 antibody [EPR5878] (AB133530)

Immunohistochemistry analysis of Paraffin Embedded Human kidney tissue labelling RBP4 with ab133530 at 1/100.

Perform heat mediated antigen retrieval with citrate buffer pH 6 before commencing with IHC staining protocol.

Western blot - Anti-RBP4 antibody [EPR5878] (AB133530)
  • WB

Unknown

Western blot - Anti-RBP4 antibody [EPR5878] (AB133530)

All lanes:

Western blot - Anti-RBP4 antibody [EPR5878] (ab133530) at 1/1000 dilution

Lane 1:

Human plasma lysate at 10 µg

Lane 2:

Human fetal liver lysate at 10 µg

Lane 3:

HepG2 lysate at 10 µg

Predicted band size: 23 kDa

false

OI-RD Scanning - Anti-RBP4 antibody [EPR5878] (AB133530)
  • OI-RD Scanning

Unknown

OI-RD Scanning - Anti-RBP4 antibody [EPR5878] (AB133530)

We have systematically measured KD (the equilibrium dissociation constant between the antibody and its antigen), of more than 840 recombinant antibodies to assess not only their individual KD values but also to see the average affinity of antibody. Based on the comparison with published literature values for mouse monoclonal antibodies, Recombinant antibodies appear to be on average 1-2 order of magnitude higher affinity.

  • Carrier free

    Anti-RBP4 antibody [EPR5878] - BSA and Azide free

Key facts

Host species

Rabbit

Clonality

Monoclonal

Clone number

EPR5878

Isotype

IgG

Carrier free

No

Reacts with

Human

Applications

IHC-P, WB

applications

Immunogen

The exact immunogen used to generate this antibody is proprietary information.

Reactivity data

{ "title": "Reactivity Data", "filters": { "stats": ["", "Species", "Dilution Info", "Notes"], "tabs": { "all-applications": {"fullname" : "All Applications", "shortname": "All Applications"}, "IHCP" : {"fullname" : "Immunohistochemistry (Formalin/PFA-fixed paraffin-embedded sections)", "shortname":"IHC-P"}, "ICCIF" : {"fullname" : "Immunocytochemistry/ Immunofluorescence", "shortname":"ICC/IF"}, "IP" : {"fullname" : "Immunoprecipitation", "shortname":"IP"}, "FlowCyt" : {"fullname" : "Flow Cytometry", "shortname":"Flow Cyt"}, "WB" : {"fullname" : "Western blot", "shortname":"WB"} }, "product-promise": { "all": "all", "testedAndGuaranteed": "tested", "guaranteed": "expected", "predicted": "predicted", "notRecommended": "not-recommended" } }, "values": { "Human": { "IHCP-species-checked": "testedAndGuaranteed", "IHCP-species-dilution-info": "1/100 - 1/250", "IHCP-species-notes": "<p></p>", "ICCIF-species-checked": "notRecommended", "ICCIF-species-dilution-info": "", "ICCIF-species-notes": "<p></p>", "IP-species-checked": "notRecommended", "IP-species-dilution-info": "", "IP-species-notes": "<p></p>", "FlowCyt-species-checked": "notRecommended", "FlowCyt-species-dilution-info": "", "FlowCyt-species-notes": "<p></p>", "WB-species-checked": "testedAndGuaranteed", "WB-species-dilution-info": "1/1000 - 1/10000", "WB-species-notes": "<p></p>" } } }

Product details

Species reactivity
Mouse, Rat: We have preliminary internal testing data to indicate this antibody may not react with these species.
Please contact us for more information.

Patented technology
Our RabMAb® technology is a patented hybridoma-based technology for making rabbit monoclonal antibodies. For details on our patents, please refer to RabMAb® patents.

What are the advantages of a recombinant monoclonal antibody?
This product is a recombinant monoclonal antibody, which offers several advantages including:

  • - High batch-to-batch consistency and reproducibility
  • - Improved sensitivity and specificity
  • - Long-term security of supply
  • - Animal-free batch production

For more information, read more on recombinant antibodies.

Properties and storage information

Form
Liquid
Purification technique
Affinity purification Protein A
Storage buffer
pH: 7.2 - 7.4 Preservative: 0.05% Sodium azide Constituents: 50% Tissue culture supernatant, 40% Glycerol (glycerin, glycerine), 9.85% Tris glycine
Shipped at conditions
Blue Ice
Appropriate short-term storage conditions
+4°C
Appropriate long-term storage conditions
-20°C
Storage information
Stable for 12 months at -20°C

Supplementary information

This supplementary information is collated from multiple sources and compiled automatically.

RBP4 or retinol-binding protein 4 is a carrier protein that is essential for the transport of retinol or vitamin A in the bloodstream. Also known by the names RBP or plasma retinol-binding protein this protein has a molecular weight of approximately 21 kDa. RBP4 is mainly expressed in the liver and secreted into the blood where it binds to retinol and protects it from oxidation. The structure of RBP4 allows it to fit into binding pockets facilitating the transport of retinol to peripheral tissues.
Biological function summary

RBP4 plays a role as a transporter of vitamin A from the liver to tissues where it is needed. It forms complexes with transthyretin in the blood which prevents kidney filtration and subsequent loss of retinol. This function ensures the proper delivery and availability of retinol essential for vision cellular differentiation and immune system function. The stability of the retinol-RBP4 complex is important to maintaining sufficient vitamin A levels in the body.

Pathways

RBP4 is significant in the vitamin A metabolism pathway and affects the retinoid signaling pathways. These pathways are critical for processes such as vision and skin health. RBP4 interacts with proteins like lecithin retinol acyltransferase (LRAT) in these pathways which are responsible for esterifying retinol into retinyl esters a storage form of vitamin A. These interactions ensure the efficient transport and storage of vitamin A and that it is accessible when needed by different tissues.

RBP4 is linked to the development of insulin resistance and type 2 diabetes. Elevated RBP4 levels correlate with these conditions and highlight its role in metabolic processes. Studies also show a connection between altered RBP4 levels and obesity with insulin resistance often occurring in conjunction with obesity. The protein is implicated in these metabolic disorders through its interactions with insulin-regulating proteins which influence glucose homeostasis.

Product protocols

For this product, it's our understanding that no specific protocols are required. You can visit:

Target data

Retinol-binding protein that mediates retinol transport in blood plasma (PubMed : 5541771). Delivers retinol from the liver stores to the peripheral tissues (Probable). Transfers the bound all-trans retinol to STRA6, that then facilitates retinol transport across the cell membrane (PubMed : 22665496).
See full target information RBP4

Publications (2)

Recent publications for all applications. Explore the full list and refine your search

F1000Research 12:348 PubMed37576538

2023

The identification of high-performing antibodies for Profilin-1 for use in Western blot, immunoprecipitation and immunofluorescence.

Applications

Unspecified application

Species

Unspecified reactive species

Riham Ayoubi,Ian McDowell,Maryam Fotouhi,Kathleen Southern,Peter S McPherson,Carl Laflamme

Diabetes 68:2301-2314 PubMed31578193

2019

Comparison of Kidney Transcriptomic Profiles of Early and Advanced Diabetic Nephropathy Reveals Potential New Mechanisms for Disease Progression.

Applications

Unspecified application

Species

Unspecified reactive species

Ying Fan,Zhengzi Yi,Vivette D D'Agati,Zeguo Sun,Fang Zhong,Weijia Zhang,Jiejun Wen,Ting Zhou,Ze Li,Li He,Qunzi Zhang,Kyung Lee,John Cijiang He,Niansong Wang
View all publications

Product promise

We are committed to supporting your work with high-quality reagents, and we're here for you every step of the way. In the unlikely event that one of our products does not perform as expected, you're protected by our Product Promise.
For full details, please see our Terms & Conditions

Please note: All products are 'FOR RESEARCH USE ONLY. NOT FOR USE IN DIAGNOSTIC OR THERAPEUTIC PROCEDURES'.

For licensing inquiries, please contact partnerships@abcam.com