JavaScript is disabled in your browser. Please enable JavaScript to view this website.
AB309095

Anti-RBPMS antibody [EPR27130-21] - BSA and Azide free

  • BOND RX™ Validated
  • RabMAb
  • Recombinant
  • Advanced Validation
  • What is this?

Be the first to review this product! Submit a review

|

(0 Publication)

Rabbit Recombinant Monoclonal RBPMS antibody. Carrier free. Suitable for WB, Flow Cyt (Intra), IHC-P, mIHC and reacts with Recombinant fragment - Human, Human, Mouse, Rat samples.

View Alternative Names

HERMES, RBPMS, RNA-binding protein with multiple splicing, RBP-MS, Heart and RRM expressed sequence, Hermes

12 Images
Flow Cytometry (Intracellular) - Anti-RBPMS antibody [EPR27130-21] - BSA and Azide free (AB309095)
  • Flow Cyt (Intra)

Supplier Data

Flow Cytometry (Intracellular) - Anti-RBPMS antibody [EPR27130-21] - BSA and Azide free (AB309095)

This data was developed using ab309094, the same antibody clone in a different buffer formulation. Flow cytometric analysis of 4% paraformaldehyde fixed 90% methanol permeabilized A549 (human lung carcinoma epithelial cell) cells labeling RBPMS with ab309094 at 1/50 dilution (1 ug)/Red (Red) compared with a Rabbit monoclonal IgG (ab172730) (Black) isotype control and an unlabelled control (cells without incubation with primary antibody and secondary antibody) (Blue). A Goat Anti-Rabbit IgG (Alexa Fluor® 488, ab150081) at 1/5000 dilution was used as the secondary antibody.

Immunohistochemistry (Formalin/PFA-fixed paraffin-embedded sections) - Anti-RBPMS antibody [EPR27130-21] - BSA and Azide free (AB309095)
  • IHC-P

Supplier Data

Immunohistochemistry (Formalin/PFA-fixed paraffin-embedded sections) - Anti-RBPMS antibody [EPR27130-21] - BSA and Azide free (AB309095)

This data was developed using ab309094, the same antibody clone in a different buffer formulation. Immunohistochemical analysis of paraffin-embedded Rat skeletal muscle tissue labeling RBPMS with ab309094 at 1/2000 (0.263 ug/ml) followed by a ready to use LeicaDS9800 (Bond™ Polymer Refine Detection). Negative control : no staining on rat skeletal muscle. The section was incubated with ab309094 for 30 mins at room temperature. The immunostaining was performed on a Leica Biosystems BOND® RX instrument Counterstained with Hematoxylin. Secondary antibody only control : Secondary antibody is a ready to use LeicaDS9800 (Bond™ Polymer Refine Detection). Heat mediated antigen retrieval was performed with Tris-EDTA buffer (pH 9.0, Epitope Retrieval Solution2) for 20 mins.

Immunohistochemistry (Formalin/PFA-fixed paraffin-embedded sections) - Anti-RBPMS antibody [EPR27130-21] - BSA and Azide free (AB309095)
  • IHC-P

Supplier Data

Immunohistochemistry (Formalin/PFA-fixed paraffin-embedded sections) - Anti-RBPMS antibody [EPR27130-21] - BSA and Azide free (AB309095)

This data was developed using ab309094, the same antibody clone in a different buffer formulation. Immunohistochemical analysis of paraffin-embedded Mouse cardiac muscle tissue labeling RBPMS with ab309094 at 1/2000 (0.263 ug/ml) followed by a ready to use LeicaDS9800 (Bond™ Polymer Refine Detection). Positive staining on mouse cardiac muscle (PMID : 19737887). The section was incubated with ab309094 for 30 mins at room temperature. The immunostaining was performed on a Leica Biosystems BOND® RX instrument Counterstained with Hematoxylin. Secondary antibody only control : Secondary antibody is a ready to use LeicaDS9800 (Bond™ Polymer Refine Detection). Heat mediated antigen retrieval was performed with Tris-EDTA buffer (pH 9.0, Epitope Retrieval Solution2) for 20 mins。

Immunohistochemistry (Formalin/PFA-fixed paraffin-embedded sections) - Anti-RBPMS antibody [EPR27130-21] - BSA and Azide free (AB309095)
  • IHC-P

Supplier Data

Immunohistochemistry (Formalin/PFA-fixed paraffin-embedded sections) - Anti-RBPMS antibody [EPR27130-21] - BSA and Azide free (AB309095)

This data was developed using ab309094, the same antibody clone in a different buffer formulation. Immunohistochemical analysis of paraffin-embedded Rat cardiac muscle tissue labeling RBPMS with ab309094 at 1/2000 (0.263 ug/ml) followed by a ready to use LeicaDS9800 (Bond™ Polymer Refine Detection). Positive staining on rat cardiac muscle (PMID : 19737887). The section was incubated with ab309094 for 30 mins at room temperature. The immunostaining was performed on a Leica Biosystems BOND® RX instrument Counterstained with Hematoxylin. Secondary antibody only control : Secondary antibody is a ready to use LeicaDS9800 (Bond™ Polymer Refine Detection). Heat mediated antigen retrieval was performed with Tris-EDTA buffer (pH 9.0, Epitope Retrieval Solution2) for 20 mins.

Immunohistochemistry (Formalin/PFA-fixed paraffin-embedded sections) - Anti-RBPMS antibody [EPR27130-21] - BSA and Azide free (AB309095)
  • IHC-P

Supplier Data

Immunohistochemistry (Formalin/PFA-fixed paraffin-embedded sections) - Anti-RBPMS antibody [EPR27130-21] - BSA and Azide free (AB309095)

This data was developed using ab309094, the same antibody clone in a different buffer formulation. Immunohistochemical analysis of paraffin-embedded Mouse retina tissue labeling RBPMS with ab309094 at 1/2000 (0.263 ug/ml) followed by a ready to use LeicaDS9800 (Bond™ Polymer Refine Detection). Positive staining on ganglion cell layer of mouse retina (PMID : 24318667). The section was incubated with ab309094 for 30 mins at room temperature. The immunostaining was performed on a Leica Biosystems BOND® RX instrument Counterstained with Hematoxylin. Secondary antibody only control : Secondary antibody is a ready to use LeicaDS9800 (Bond™ Polymer Refine Detection). Heat mediated antigen retrieval was performed with Tris-EDTA buffer (pH 9.0, Epitope Retrieval Solution2) for 20 mins.

Immunohistochemistry (Formalin/PFA-fixed paraffin-embedded sections) - Anti-RBPMS antibody [EPR27130-21] - BSA and Azide free (AB309095)
  • IHC-P

Supplier Data

Immunohistochemistry (Formalin/PFA-fixed paraffin-embedded sections) - Anti-RBPMS antibody [EPR27130-21] - BSA and Azide free (AB309095)

This data was developed using ab309094, the same antibody clone in a different buffer formulation. Immunohistochemical analysis of paraffin-embedded Rat retina tissue labeling RBPMS with ab309094 at 1/2000 (0.263 ug/ml) followed by a ready to use LeicaDS9800 (Bond™ Polymer Refine Detection). Positive staining on ganglion cell layer of rat retina. The section was incubated with ab309094 for 30 mins at room temperature. The immunostaining was performed on a Leica Biosystems BOND® RX instrument Counterstained with Hematoxylin. Secondary antibody only control : Secondary antibody is a ready to use LeicaDS9800 (Bond™ Polymer Refine Detection). Heat mediated antigen retrieval was performed with Tris-EDTA buffer (pH 9.0, Epitope Retrieval Solution2) for 20 mins.

Flow Cytometry (Intracellular) - Anti-RBPMS antibody [EPR27130-21] - BSA and Azide free (AB309095)
  • Flow Cyt (Intra)

Supplier Data

Flow Cytometry (Intracellular) - Anti-RBPMS antibody [EPR27130-21] - BSA and Azide free (AB309095)

This data was developed using ab309094, the same antibody clone in a different buffer formulation. Flow cytometric analysis of 4% paraformaldehyde fixed 90% methanol permeabilized 3T3-L1 (mouse embryonic fibroblast) cells labeling RBPMS with ab309094 at 1/50 dilution (1 ug)/Red (Red) compared with a Rabbit monoclonal IgG (ab172730) (Black) isotype control and an unlabelled control (cells without incubation with primary antibody and secondary antibody) (Blue). A Goat Anti-Rabbit IgG (Alexa Fluor® 488, ab150081) at 1/5000 dilution was used as the secondary antibody.

Multiplex immunohistochemistry - Anti-RBPMS antibody [EPR27130-21] - BSA and Azide free (AB309095)
  • mIHC

Lab

Multiplex immunohistochemistry - Anti-RBPMS antibody [EPR27130-21] - BSA and Azide free (AB309095)

This data was developed using ab309094, the same antibody clone in a different buffer formulation.

Multiplex immunohistochemistry analysis of formalin/PFA-fixed paraffin-embedded mouse retina tissue staining RBPMS with ab309094 at a 1/2000 dilution, ab140603 anti-CPX used at 1/2000 dilution and ab259971 anti-GAT1 used at a 1/500 dilution.

Panel A : merged staining of anti-RBPMS (green; Opal™520), anti-CPX (magenta; Opal™690) and anti-GAT1 (gray; Opal™570) on mouse retina.

Panel B : anti-RBPMS staining ganglion cell layer in mouse retina.

Panel C : ant-CPX staining outer nuclear layer and inner nuclear layer in mouse retina.

Panel D : ant-GAT1 staining inner plexiform layer in mouse retina.

Nuclear DNA was labeled with DAPI (shown in blue).

The section was incubated in three rounds of staining : in the order of ab309094, ab140603 and ab259971 for 30 mins at room temperature. Each round was followed by a separate fluorescent tyramide signal amplification system.

The immunostaining was performed on a Leica Biosystems BOND® RX instrument with an Opal™ 4-color kit. Image acquisition was performed with Leica SP8 confocal microscope.

Heat mediated antigen retrieval was performed with Tris-EDTA buffer (pH 9.0, Epitope Retrieval Solution2) for 20 mins.

Multiplex immunohistochemistry - Anti-RBPMS antibody [EPR27130-21] - BSA and Azide free (AB309095)
  • mIHC

Lab

Multiplex immunohistochemistry - Anti-RBPMS antibody [EPR27130-21] - BSA and Azide free (AB309095)

This data was developed using ab309094, the same antibody clone in a different buffer formulation.

Multiplex immunohistochemistry analysis of formalin/PFA-fixed paraffin-embedded rat retina tissue staining RBPMS with ab309094 at a 1/2000 dilution, ab140603 anti-CPX used at 1/2000 dilution and ab259971 anti-GAT1 used at a 1/500 dilution.

Panel A : merged staining of anti-RBPMS (green; Opal™520), anti-CPX (magenta; Opal™690) and anti-GAT1 (gray; Opal™570) on rat retina.

Panel B : anti-RBPMS staining ganglion cell layer in rat retina.

Panel C : ant-CPX staining outer nuclear layer and inner nuclear layer in rat retina.

Panel D : ant-GAT1 staining inner plexiform layer in rat retina.

Nuclear DNA was labeled with DAPI (shown in blue).

The section was incubated in three rounds of staining : in the order of ab309094, ab140603 and ab259971 for 30 mins at room temperature. Each round was followed by a separate fluorescent tyramide signal amplification system.

The immunostaining was performed on a Leica Biosystems BOND® RX instrument with an Opal™ 4-color kit. Image acquisition was performed with Leica SP8 confocal microscope.

Heat mediated antigen retrieval was performed with Tris-EDTA buffer (pH 9.0, Epitope Retrieval Solution2) for 20 mins.

Immunohistochemistry (Formalin/PFA-fixed paraffin-embedded sections) - Anti-RBPMS antibody [EPR27130-21] - BSA and Azide free (AB309095)
  • IHC-P

Supplier Data

Immunohistochemistry (Formalin/PFA-fixed paraffin-embedded sections) - Anti-RBPMS antibody [EPR27130-21] - BSA and Azide free (AB309095)

This data was developed using ab309094, the same antibody clone in a different buffer formulation. Immunohistochemical analysis of paraffin-embedded Mouse skeletal muscle tissue labeling RBPMS with ab309094 at 1/2000 (0.263 ug/ml) followed by a ready to use LeicaDS9800 (Bond™ Polymer Refine Detection). Negative control : no staining on mouse skeletal muscle. The section was incubated with ab309094 for 30 mins at room temperature. The immunostaining was performed on a Leica Biosystems BOND® RX instrument Counterstained with Hematoxylin. Secondary antibody only control : Secondary antibody is a ready to use LeicaDS9800 (Bond™ Polymer Refine Detection). Heat mediated antigen retrieval was performed with Tris-EDTA buffer (pH 9.0, Epitope Retrieval Solution2) for 20 mins.

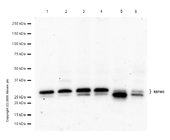
Western blot - Anti-RBPMS antibody [EPR27130-21] - BSA and Azide free (AB309095)
  • WB

Lab

Western blot - Anti-RBPMS antibody [EPR27130-21] - BSA and Azide free (AB309095)

This data was produced using ab309094, the same antibody clone but in a different buffer. Blocking and diluting buffer and concentration : 5% NFDM /TBST.

All lanes:

Western blot - Anti-RBPMS antibody [EPR27130-21] (<a href='/en-us/products/primary-antibodies/rbpms-antibody-epr27130-21-ab309094'>ab309094</a>) at 1/1000 dilution

Lane 1:

HepG2 (human hepatocellular carcinoma epithelial cell) whole cell lysate at 20 µg

Lane 2:

HeLa (human cervix adenocarcinoma epithelial cell) whole cell lysate at 20 µg

Lane 3:

A549 (human lung carcinoma epithelial cell) whole cell lysate at 20 µg

Lane 4:

NIH:OVCAR-3 (human ovary adenocarcinoma epithelial cell) whole cell lysate at 20 µg

Lane 5:

PC-12 (rat adrenal gland pheochromocytoma) whole cell lysate at 20 µg

Lane 6:

C2C12 (mouse myoblasts myoblast) whole cell lysate at 20 µg

Secondary

All lanes:

Western blot - Goat Anti-Rabbit IgG H&L (HRP) (<a href='/en-us/products/secondary-antibodies/goat-rabbit-igg-h-l-hrp-ab97051'>ab97051</a>) at 1/20000 dilution

Observed band size: 25 kDa,30 kDa

false

Exposure time: 180s

Western blot - Anti-RBPMS antibody [EPR27130-21] - BSA and Azide free (AB309095)
  • WB

Lab

Western blot - Anti-RBPMS antibody [EPR27130-21] - BSA and Azide free (AB309095)

This data was produced using ab309094, the same antibody clone but in a different buffer. Blocking and diluting buffer and concentration : 5% NFDM /TBST. No bands were detected by antibody ab309094 in 20μg retinal tissue lysates. For samples with low RBPMS protein expression levels, we recommend : 1. Increasing lysate load to 50μg 2. Using a lower antibody dilution 3. Using femtogram-level sensitivity substrates

All lanes:

Western blot - Anti-RBPMS antibody [EPR27130-21] (<a href='/en-us/products/primary-antibodies/rbpms-antibody-epr27130-21-ab309094'>ab309094</a>) at 1/1000 dilution

Lane 1:

Human heart tissue lysate at 20 µg

Lane 2:

Mouse heart tissue lysate at 20 µg

Lane 3:

Mouse kidney tissue lysate at 20 µg

Lane 4:

Mouse retina tissue lysate at 20 µg

Lane 5:

Rat heart tissue lysate at 20 µg

Lane 6:

Rat kidney tissue lysate at 20 µg

Lane 7:

Rat retina tissue lysate at 20 µg

Secondary

All lanes:

Western blot - Goat Anti-Rabbit IgG H&L (HRP) (<a href='/en-us/products/secondary-antibodies/goat-rabbit-igg-h-l-hrp-ab97051'>ab97051</a>) at 1/20000 dilution

Observed band size: 25 kDa,30 kDa

false

Exposure time: 180s

Key facts

Host species

Rabbit

Clonality

Monoclonal

Clone number

EPR27130-21

Isotype

IgG

Carrier free

Yes

Reacts with

Human, Mouse, Rat

Applications

IHC-P, Flow Cyt (Intra), WB, mIHC

applications

Immunogen

The exact immunogen used to generate this antibody is proprietary information.

Reactivity data

{ "title": "Reactivity Data", "filters": { "stats": ["", "Species", "Dilution Info", "Notes"], "tabs": { "all-applications": {"fullname" : "All Applications", "shortname": "All Applications"}, "WB" : {"fullname" : "Western blot", "shortname":"WB"}, "FlowCytIntra" : {"fullname" : "Flow Cytometry (Intracellular)", "shortname":"Flow Cyt (Intra)"}, "IHCP" : {"fullname" : "Immunohistochemistry (Formalin/PFA-fixed paraffin-embedded sections)", "shortname":"IHC-P"}, "ICCIF" : {"fullname" : "Immunocytochemistry/ Immunofluorescence", "shortname":"ICC/IF"}, "IP" : {"fullname" : "Immunoprecipitation", "shortname":"IP"}, "mIHC" : {"fullname" : "Multiplex immunohistochemistry", "shortname":"mIHC"} }, "product-promise": { "all": "all", "testedAndGuaranteed": "tested", "guaranteed": "expected", "predicted": "predicted", "notRecommended": "not-recommended" } }, "values": { "Human": { "WB-species-checked": "testedAndGuaranteed", "WB-species-dilution-info": "", "WB-species-notes": "<p></p>", "FlowCytIntra-species-checked": "testedAndGuaranteed", "FlowCytIntra-species-dilution-info": "", "FlowCytIntra-species-notes": "<p></p>", "IHCP-species-checked": "notRecommended", "IHCP-species-dilution-info": "", "IHCP-species-notes": "<p></p>", "ICCIF-species-checked": "notRecommended", "ICCIF-species-dilution-info": "", "ICCIF-species-notes": "<p></p>", "IP-species-checked": "notRecommended", "IP-species-dilution-info": "", "IP-species-notes": "", "mIHC-species-checked": "guaranteed", "mIHC-species-dilution-info": "", "mIHC-species-notes": "" }, "Mouse": { "WB-species-checked": "testedAndGuaranteed", "WB-species-dilution-info": "", "WB-species-notes": "<p></p>", "FlowCytIntra-species-checked": "testedAndGuaranteed", "FlowCytIntra-species-dilution-info": "", "FlowCytIntra-species-notes": "<p></p>", "IHCP-species-checked": "testedAndGuaranteed", "IHCP-species-dilution-info": "", "IHCP-species-notes": "<p></p>", "ICCIF-species-checked": "notRecommended", "ICCIF-species-dilution-info": "", "ICCIF-species-notes": "<p></p>", "IP-species-checked": "notRecommended", "IP-species-dilution-info": "", "IP-species-notes": "<p></p>", "mIHC-species-checked": "testedAndGuaranteed", "mIHC-species-dilution-info": "", "mIHC-species-notes": "<p></p>" }, "Rat": { "WB-species-checked": "testedAndGuaranteed", "WB-species-dilution-info": "", "WB-species-notes": "<p></p>", "FlowCytIntra-species-checked": "notRecommended", "FlowCytIntra-species-dilution-info": "", "FlowCytIntra-species-notes": "<p></p>", "IHCP-species-checked": "testedAndGuaranteed", "IHCP-species-dilution-info": "", "IHCP-species-notes": "<p></p>", "ICCIF-species-checked": "notRecommended", "ICCIF-species-dilution-info": "", "ICCIF-species-notes": "<p></p>", "IP-species-checked": "notRecommended", "IP-species-dilution-info": "", "IP-species-notes": "", "mIHC-species-checked": "testedAndGuaranteed", "mIHC-species-dilution-info": "", "mIHC-species-notes": "<p></p>" }, "Recombinant fragment - Human": { "WB-species-checked": "testedAndGuaranteed", "WB-species-dilution-info": "", "WB-species-notes": "<p></p>", "FlowCytIntra-species-checked": "notRecommended", "FlowCytIntra-species-dilution-info": "", "FlowCytIntra-species-notes": "", "IHCP-species-checked": "notRecommended", "IHCP-species-dilution-info": "", "IHCP-species-notes": "", "ICCIF-species-checked": "notRecommended", "ICCIF-species-dilution-info": "", "ICCIF-species-notes": "", "IP-species-checked": "notRecommended", "IP-species-dilution-info": "", "IP-species-notes": "", "mIHC-species-checked": "notRecommended", "mIHC-species-dilution-info": "", "mIHC-species-notes": "" } } }

Product details

Patented technology
Our RabMAb® technology is a patented hybridoma-based technology for making rabbit monoclonal antibodies. For details on our patents, please refer to RabMAb® patents.

What are the advantages of a recombinant monoclonal antibody?
This product is a recombinant monoclonal antibody, which offers several advantages including:

  • - High batch-to-batch consistency and reproducibility
  • - Improved sensitivity and specificity
  • - Long-term security of supply
  • - Animal-free batch production

For more information, read more on recombinant antibodies.

Conjugation ready
Our carrier-free antibodies are typically supplied in a PBS-only formulation, purified and free of BSA, sodium azide and glycerol. This conjugation-ready format is designed for use with fluorochromes, metal isotopes, oligonucleotides, and enzymes, which makes them ideal for antibody labelling, functional and cell-based assays, flow-based assays (e.g. mass cytometry) and Multiplex Imaging applications.

Use our conjugation kits for antibody conjugates that are ready-to-use in as little as 20 minutes with 1 minute hands-on-time and 100% antibody recovery: available for fluorescent dyes, HRP, biotin and gold.

Compatibility
This product is compatible with the Maxpar® Antibody Labeling Kit from Fluidigm, without the need for antibody preparation. Maxpar® is a trademark of Fluidigm Canada Inc.

Properties and storage information

Form
Liquid
Purification technique
Affinity purification Protein A
Storage buffer
pH: 7.2 - 7.4 Constituents: PBS
Shipped at conditions
Blue Ice
Appropriate short-term storage conditions
+4°C
Appropriate long-term storage conditions
+4°C

Supplementary information

This supplementary information is collated from multiple sources and compiled automatically.

RBPMS also known as RNA Binding Protein with Multiple Splicing is an important component in RNA processing. It weighs approximately 24 kDa and is widely expressed in human tissues with significant presence in the central nervous system and heart. The protein engages directly with RNA molecules impacting their stability and translation. Its structure allows it to bind specifically to RNA influencing the fate of transcripts by modulating their processing and transport.
Biological function summary

RBPMS plays a role in the regulation of gene expression by interacting with other proteins to form ribonucleoprotein complexes. These complexes are important for the post-transcriptional management of gene expression impacting mRNA splicing and localization. RBPMS also exhibits involvement in the development of neuronal cells where it contributes to neuronal differentiation and growth by aiding in the precise processing of specific mRNA transcripts that are essential for neural functions.

Pathways

RBPMS participates in the regulation of the mRNA splicing and transport pathways. It interacts with the spliceosome complex influencing alternative splicing events that generate diverse protein isoforms. RBPMS is associated with proteins such as SMN1 which also plays a part in mRNA processing and is integral to the spliceosomal machinery. These interactions make RBPMS a pivotal mediator in translating genetic information into functional proteins therefore affecting cellular growth and differentiation.

Mutations or altered expression of RBPMS have links to neurodegenerative diseases like amyotrophic lateral sclerosis (ALS) and cardiovascular disorders. In ALS RBPMS along with proteins like TDP-43 becomes misregulated contributing to disease pathogenesis by disrupting normal RNA processing and splicing patterns. In the heart compromised expression levels of RBPMS can lead to aberrant cardiac function where it might associate with proteins such as Troponin T implicating it in heart muscle contraction regulation essential for maintaining cardiac health.

Product protocols

For this product, it's our understanding that no specific protocols are required. You can visit:

Target data

Isoform A. RNA binding protein that mediates the regulation of pre-mRNA alternative splicing (AS) (PubMed : 24860013, PubMed : 26347403). Acts either as activator (FLNB, HSPG2, LIPA1, MYOCD, PTPRF and PPFIBP1) or repressor (TPM1, ACTN1, ITGA7, PIEZO1, LSM14B, MBNL1 and MBML2) of splicing events on specific pre-mRNA targets (By similarity). Together with RNA binding proteins RBFOX2 and MBNL1/2, activates a splicing program associated with differentiated contractile vascular smooth muscle cells (SMC) by regulating AS of numerous pre-mRNA involved in actin cytoskeleton and focal adhesion machineries, suggesting a role in promoting a cell differentiated state (By similarity). Binds to introns, exons and 3'-UTR associated with tandem CAC trinucleotide motifs separated by a variable spacer region, at a minimum as a dimer. The minimal length of RNA required for RBPMS-binding tandem CAC motifs is 15 nt, with spacing ranging from 1 to 9 nt. Can also bind to CA dinucleotide repeats (PubMed : 24860013, PubMed : 26347403). Mediates repression of TPM1 exon 3 by binding to CAC tandem repeats in the flanking intronic regions, followed by higher-order oligomerization and heterotypic interactions with other splicing regulators including MBNL1 and RBFOX2, which prevents assembly of ATP-dependent splicing complexes (By similarity).. Isoform C. Acts as a regulator of pre-mRNA alternative splicing (AS) (By similarity). Binds mRNA (PubMed : 17099224). Regulates AS of ACTN1, FLNB, although with lower efficiency than isoform A / RBPMSA (By similarity). Acts as coactivator of SMAD transcriptional activity in a TGFB1-dependent manner, possibly through increased phosphorylation of SMAD2 and SMAD3 at the C-terminal SSXS regions and promotion of the nuclear accumulation of SMAD proteins (PubMed : 17099224).
See full target information RBPMS

Product promise

We are committed to supporting your work with high-quality reagents, and we're here for you every step of the way. In the unlikely event that one of our products does not perform as expected, you're protected by our Product Promise.
For full details, please see our Terms & Conditions

Please note: All products are 'FOR RESEARCH USE ONLY. NOT FOR USE IN DIAGNOSTIC OR THERAPEUTIC PROCEDURES'.

For licensing inquiries, please contact partnerships@abcam.com