JavaScript is disabled in your browser. Please enable JavaScript to view this website.
AB221548

Anti-RBX1 antibody [EPR20185]

Be the first to review this product! Submit a review

|

(4 Publications)

Rabbit Recombinant Monoclonal RBX1 antibody. Suitable for IP, WB, ICC/IF, Flow Cyt (Intra), IHC-P and reacts with Human, Mouse, Rat samples. Cited in 4 publications.

View Alternative Names

RNF75, ROC1, RBX1, E3 ubiquitin-protein ligase RBX1, E3 ubiquitin-protein transferase RBX1, Protein ZYP, RING finger protein 75, RING-box protein 1, Regulator of cullins 1, Rbx1

15 Images
Immunohistochemistry (Formalin/PFA-fixed paraffin-embedded sections) - Anti-RBX1 antibody [EPR20185] (AB221548)
  • IHC-P

Supplier Data

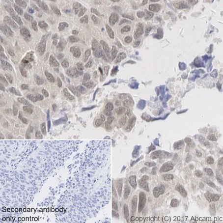
Immunohistochemistry (Formalin/PFA-fixed paraffin-embedded sections) - Anti-RBX1 antibody [EPR20185] (AB221548)

Immunohistochemical analysis of paraffin-embedded human bladder cancer tissue labeling RBX1 with ab221548 at 1/4000 dilution followed by Goat Anti-Rabbit IgG H&L (HRP) Ready to use. Nuclear and cytoplasmic staining on human bladder carcinoma tissue sections. The staining pattern observed is consistent with what has been described in the literature (PMID : 23667514).

Counter stained with hematoxylin.

Secondary antibody only control : Used PBS instead of primary antibody secondary antibody is Goat Anti-Rabbit IgG H&L (HRP) Ready to use.

Perform heat mediated antigen retrieval with Tris/EDTA buffer pH 9.0 before commencing with IHC staining protocol.

Flow Cytometry (Intracellular) - Anti-RBX1 antibody [EPR20185] (AB221548)
  • Flow Cyt (Intra)

Supplier Data

Flow Cytometry (Intracellular) - Anti-RBX1 antibody [EPR20185] (AB221548)

Intracellular flow cytometric analysis of 4% paraformaldehyde-fixed, 90% methanol permeabilized HeLa (human epithelial cell line from cervix adenocarcinoma) cell line labeling RBX1 with ab221548 at 1/600 dilution (red) compared with a Rabbit IgG, monoclonal [EPR25A] - Isotype Control (ab172730) (black) and an unlabeled control (cells without incubation with primary antibody and secondary antibody) (blue). Goat Anti-Rabbit IgG H&L (Alexa Fluor® 488) at 1/2000 dilution was used as the secondary antibody.

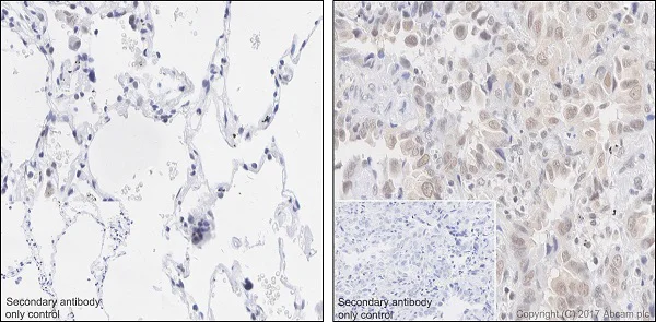
Immunohistochemistry (Formalin/PFA-fixed paraffin-embedded sections) - Anti-RBX1 antibody [EPR20185] (AB221548)
  • IHC-P

Supplier Data

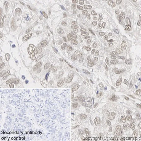
Immunohistochemistry (Formalin/PFA-fixed paraffin-embedded sections) - Anti-RBX1 antibody [EPR20185] (AB221548)

Immunohistochemical analysis of paraffin-embedded human lung and lung carcinoma tissues labeling RBX1 with ab221548 at 1/4000 dilution followed by Goat Anti-Rabbit IgG H&L (HRP) Ready to use. Weak nuclear staining of RBX1 on the epithelium cells of human lung (left) compared to strong staining in human lung carcinoma (right).

As documented in the literature ROC1 has higher expression level in cancerous tissue compared to normal tissue (PMID : 19509229).

Counter stained with hematoxylin.

Secondary antibody only control : Used PBS instead of primary antibody secondary antibody is Goat Anti-Rabbit IgG H&L (HRP) Ready to use.

Perform heat mediated antigen retrieval with Tris/EDTA buffer pH 9.0 before commencing with IHC staining protocol.

Immunohistochemistry (Formalin/PFA-fixed paraffin-embedded sections) - Anti-RBX1 antibody [EPR20185] (AB221548)
  • IHC-P

Supplier Data

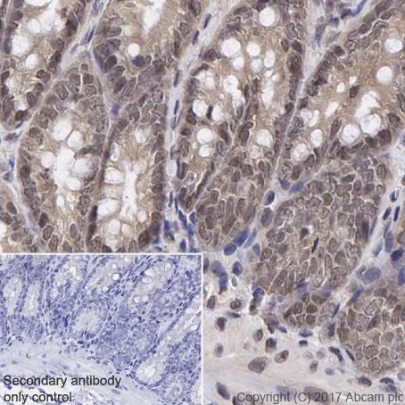
Immunohistochemistry (Formalin/PFA-fixed paraffin-embedded sections) - Anti-RBX1 antibody [EPR20185] (AB221548)

Immunohistochemical analysis of paraffin-embedded human gastric carcinoma tissue labeling RBX1 with ab221548 at 1/4000 dilution followed by Goat Anti-Rabbit IgG H&L (HRP) Ready to use. Nuclear and cytoplasmic staining on human gastric carcinoma tissue sections. The staining pattern observed is consistent with what has been described in the literature (PMID : 24292229).

Counter stained with hematoxylin.

Secondary antibody only control : Used PBS instead of primary antibody secondary antibody is Goat Anti-Rabbit IgG H&L (HRP) Ready to use.

Perform heat mediated antigen retrieval with Tris/EDTA buffer pH 9.0 before commencing with IHC staining protocol.

Immunocytochemistry/ Immunofluorescence - Anti-RBX1 antibody [EPR20185] (AB221548)
  • ICC/IF

Supplier Data

Immunocytochemistry/ Immunofluorescence - Anti-RBX1 antibody [EPR20185] (AB221548)

Immunofluorescent analysis of 4% paraformaldehyde-fixed 0.1% Triton X-100 permeabilized HeLa (human epithelial cell line from cervix adenocarcinoma) cells labeling RBX1 with ab221548 at 1/500 dilution followed by Goat Anti-Rabbit IgG H&L (Alexa Fluor® 488) (ab150077) secondary antibody at 1/1000 dilution (green). Confocal image showing nuclear and weak cytoplasmic staining on HeLa cell line.

The nuclear counter stain is DAPI (blue). Tubulin is detected with Anti-alpha Tubulin antibody [DM1A] - Microtubule Marker (Alexa Fluor® 594) (ab195889) (red) at 1/200 dilution.

Secondary antibody only control : Used PBS instead of primary antibody secondary antibody is Goat Anti-Rabbit IgG H&L (Alexa Fluor® 488) (ab150077) secondary antibody at 1/1000 dilution.

Immunohistochemistry (Formalin/PFA-fixed paraffin-embedded sections) - Anti-RBX1 antibody [EPR20185] (AB221548)
  • IHC-P

Supplier Data

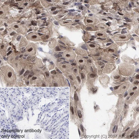
Immunohistochemistry (Formalin/PFA-fixed paraffin-embedded sections) - Anti-RBX1 antibody [EPR20185] (AB221548)

Immunohistochemical analysis of paraffin-embedded human colon tissue labeling RBX1 with ab221548 at 1/4000 dilution followed by Goat Anti-Rabbit IgG H&L (HRP) Ready to use. Nuclear staining is observed on human colon tissue section.

As documented in the literature RBX1 has lower expression level in normal tissue compared to cancerous tissue (PMID : 19509229).

Counter stained with hematoxylin.

Secondary antibody only control : Used PBS instead of primary antibody secondary antibody is Goat Anti-Rabbit IgG H&L (HRP) Ready to use.

Perform heat mediated antigen retrieval with Tris/EDTA buffer pH 9.0 before commencing with IHC staining protocol.

Immunohistochemistry (Formalin/PFA-fixed paraffin-embedded sections) - Anti-RBX1 antibody [EPR20185] (AB221548)
  • IHC-P

Supplier Data

Immunohistochemistry (Formalin/PFA-fixed paraffin-embedded sections) - Anti-RBX1 antibody [EPR20185] (AB221548)

Immunohistochemical analysis of paraffin-embedded human colon carcinoma tissue labeling RBX1 with ab221548 at 1/4000 dilution followed by Goat Anti-Rabbit IgG H&L (HRP) Ready to use. Nuclear and cytoplasmic staining is observed on human colon carcinoma tissue sections.

As documented in the literature RBX1 has higher expression level in cancerous tissue compared to normal tissue (PMID : 19509229).

Counter stained with hematoxylin.

Secondary antibody only control : Used PBS instead of primary antibody secondary antibody is Goat Anti-Rabbit IgG H&L (HRP) Ready to use.

Perform heat mediated antigen retrieval with Tris/EDTA buffer pH 9.0 before commencing with IHC staining protocol.

Immunoprecipitation - Anti-RBX1 antibody [EPR20185] (AB221548)
  • IP

Supplier Data

Immunoprecipitation - Anti-RBX1 antibody [EPR20185] (AB221548)

RBX1 was immunoprecipitated from 0.35 mg of HeLa (human epithelial cell line from cervix adenocarcinoma) whole cell lysate with ab221548 at 1/40 dilution. Western blot was performed from the immunoprecipitate using ab221548 at 1/1000 dilution. VeriBlot for IP Detection Reagent (HRP) (ab131366), was used for detection at 1/10000 dilution.

Lane 1 : HeLa whole cell lysate 10 μg (Input).

Lane 2 : ab221548 IP in HeLa whole cell lysate.

Lane 3 : Rabbit monoclonal IgG (ab172730) instead of ab221548 in HeLa whole cell lysate.

Blocking and dilution buffer and concentration : 5% NFDM/TBST.

Exposure time : 30 seconds.

The molecular weight observed is consistent with what has been described in the literature (PMID : 22822056).

All lanes:

Immunoprecipitation - Anti-RBX1 antibody [EPR20185] (ab221548)

Predicted band size: 12 kDa

false

Flow Cytometry (Intracellular) - Anti-RBX1 antibody [EPR20185] (AB221548)
  • Flow Cyt (Intra)

Supplier Data

Flow Cytometry (Intracellular) - Anti-RBX1 antibody [EPR20185] (AB221548)

Intracellular flow cytometric analysis of 4% paraformaldehyde-fixed 90% methanol permeabilized NIH/3T3 (mouse embyro fibroblast cell line) cell line labeling RBX1 with ab221548 at 1/60 dilution (red) compared with a Rabbit IgG monoclonal [EPR25A] - Isotype Control (ab172730) (black) and an unlabeled control (cells without incubation with primary antibody and secondary antibody) (blue). Goat Anti-Rabbit IgG H&L (Alexa Fluor® 488) at 1/2000 dilution was used as the secondary antibody.

Immunohistochemistry (Formalin/PFA-fixed paraffin-embedded sections) - Anti-RBX1 antibody [EPR20185] (AB221548)
  • IHC-P

Supplier Data

Immunohistochemistry (Formalin/PFA-fixed paraffin-embedded sections) - Anti-RBX1 antibody [EPR20185] (AB221548)

Immunohistochemical analysis of paraffin-embedded rat colon tissue labeling RBX1 with ab221548 at 1/4000 dilution followed by Goat Anti-Rabbit IgG H&L (HRP) Ready to use. Nuclear and cytoplasmic staining on rat colon tissue sections.

Counter stained with hematoxylin.

Secondary antibody only control : Used PBS instead of primary antibody secondary antibody is Goat Anti-Rabbit IgG H&L (HRP) Ready to use.

Perform heat mediated antigen retrieval with Tris/EDTA buffer pH 9.0 before commencing with IHC staining protocol.

Immunocytochemistry/ Immunofluorescence - Anti-RBX1 antibody [EPR20185] (AB221548)
  • ICC/IF

Supplier Data

Immunocytochemistry/ Immunofluorescence - Anti-RBX1 antibody [EPR20185] (AB221548)

Immunofluorescent analysis of 4% paraformaldehyde-fixed 0.1% Triton X-100 permeabilized NIH/3T3 (mouse embyro fibroblast cell line) cells labeling RBX1 with ab221548 at 1/500 dilution followed by Goat Anti-Rabbit IgG H&L (Alexa Fluor® 488) (ab150077) secondary antibody at 1/1000 dilution (green). Confocal image showing nuclear and weak cytoplasmic staining on NIH/3T3 cell line.

The nuclear counter stain is DAPI (blue). Tubulin is detected with Anti-alpha Tubulin antibody [DM1A] - Microtubule Marker (Alexa Fluor® 594) (ab195889) (red) at 1/200 dilution.

Secondary antibody only control : Used PBS instead of primary antibody secondary antibody is Goat Anti-Rabbit IgG H&L (Alexa Fluor® 488) (ab150077) secondary antibody at 1/1000 dilution.

Immunohistochemistry (Formalin/PFA-fixed paraffin-embedded sections) - Anti-RBX1 antibody [EPR20185] (AB221548)
  • IHC-P

Supplier Data

Immunohistochemistry (Formalin/PFA-fixed paraffin-embedded sections) - Anti-RBX1 antibody [EPR20185] (AB221548)

Immunohistochemical analysis of paraffin-embedded mouse stomach tissue labeling RBX1 with ab221548 at 1/4000 dilution followed by Goat Anti-Rabbit IgG H&L (HRP) Ready to use. Nuclear and cytoplasmic staining on mouse stomach tissue sections.

Counter stained with hematoxylin.

Secondary antibody only control : Used PBS instead of primary antibody secondary antibody is Goat Anti-Rabbit IgG H&L (HRP) Ready to use.

Perform heat mediated antigen retrieval with Tris/EDTA buffer pH 9.0 before commencing with IHC staining protocol.

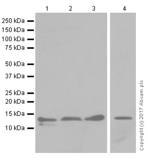
Western blot - Anti-RBX1 antibody [EPR20185] (AB221548)
  • WB

Supplier Data

Western blot - Anti-RBX1 antibody [EPR20185] (AB221548)

Exposure time : Lanes 1-3 : 30 seconds; Lane 4 : 10 seconds.

Blocking/Dilution buffer : 5% NFDM/TBST.

The molecular weight observed is consistent with what has been described in the literature (PMID : 22822056).

All lanes:

Western blot - Anti-RBX1 antibody [EPR20185] (ab221548) at 1/5000 dilution

Lane 1:

HeLa (human epithelial cell line from cervix adenocarcinoma) whole cell lysate at 20 µg

Lane 2:

HepG2 (human liver hepatocellular carcinoma cell line) whole cell lysate at 20 µg

Lane 3:

HT1080 (human fibrosarcoma cell line) whole cell lysate at 20 µg

Lane 4:

HEK-293 (human epithelial cell line from embryonic kidney) whole cell lysate at 20 µg

Secondary

All lanes:

Western blot - Goat Anti-Rabbit IgG H&L (HRP) (<a href='/en-us/products/secondary-antibodies/goat-rabbit-igg-h-l-hrp-ab97051'>ab97051</a>) at 1/100000 dilution

Predicted band size: 12 kDa

Observed band size: 11 kDa,12 kDa

true

Western blot - Anti-RBX1 antibody [EPR20185] (AB221548)
  • WB

Supplier Data

Western blot - Anti-RBX1 antibody [EPR20185] (AB221548)

Blocking/Dilution buffer : 5% NFDM/TBST.

All lanes:

Western blot - Anti-RBX1 antibody [EPR20185] (ab221548) at 1/1000 dilution

Lane 1:

Human fetal heart lysate at 20 µg

Lane 2:

Human fetal kidney lysate at 20 µg

Secondary

All lanes:

Goat Anti-Rabbit IgG Peroxidase Conjugate, specific to the non-reduced form of IgG at 1/4000 dilution

Predicted band size: 12 kDa

Observed band size: 12 kDa

true

Exposure time: 15s

Western blot - Anti-RBX1 antibody [EPR20185] (AB221548)
  • WB

Supplier Data

Western blot - Anti-RBX1 antibody [EPR20185] (AB221548)

Exposure time : Lanes 1-6 : 3 seconds; Lanes 7-8 : 5 seconds.

Blocking/Dilution buffer : 5% NFDM/TBST.

The molecular weight observed is consistent with what has been described in the literature (PMID : 22822056).

All lanes:

Western blot - Anti-RBX1 antibody [EPR20185] (ab221548) at 1/1000 dilution

Lane 1:

Mouse heart lysate at 10 µg

Lane 2:

Mouse kidney lysate at 10 µg

Lane 3:

Mouse spleen lysate at 10 µg

Lane 4:

Rat brain lysate at 10 µg

Lane 5:

Rat kidney lysate at 10 µg

Lane 6:

Rat spleen lysate at 10 µg

Lane 7:

RAW 264.7 (mouse macrophage cell line transformed with Abelson murine leukemia virus) whole cell lysate at 10 µg

Lane 8:

PC-12 (rat adrenal gland pheochromocytoma cell line) whole cell lysate at 10 µg

Lane 9:

NIH/3T3 (mouse embyro fibroblast cell line) whole cell lysate at 10 µg

Secondary

All lanes:

Western blot - Goat Anti-Rabbit IgG H&L (HRP) (<a href='/en-us/products/secondary-antibodies/goat-rabbit-igg-h-l-hrp-ab97051'>ab97051</a>) at 1/100000 dilution

Predicted band size: 12 kDa

Observed band size: 11 kDa,12 kDa

true

  • Carrier free

    Anti-RBX1 antibody [EPR20185] - BSA and Azide free

Key facts

Host species

Rabbit

Clonality

Monoclonal

Clone number

EPR20185

Isotype

IgG

Carrier free

No

Reacts with

Mouse, Rat, Human

Applications

WB, IP, Flow Cyt (Intra), ICC/IF, IHC-P

applications

Immunogen

The exact immunogen used to generate this antibody is proprietary information.

Reactivity data

{ "title": "Reactivity Data", "filters": { "stats": ["", "Species", "Dilution Info", "Notes"], "tabs": { "all-applications": {"fullname" : "All Applications", "shortname": "All Applications"}, "IP" : {"fullname" : "Immunoprecipitation", "shortname":"IP"}, "WB" : {"fullname" : "Western blot", "shortname":"WB"}, "ICCIF" : {"fullname" : "Immunocytochemistry/ Immunofluorescence", "shortname":"ICC/IF"}, "FlowCytIntra" : {"fullname" : "Flow Cytometry (Intracellular)", "shortname":"Flow Cyt (Intra)"}, "IHCP" : {"fullname" : "Immunohistochemistry (Formalin/PFA-fixed paraffin-embedded sections)", "shortname":"IHC-P"} }, "product-promise": { "all": "all", "testedAndGuaranteed": "tested", "guaranteed": "expected", "predicted": "predicted", "notRecommended": "not-recommended" } }, "values": { "Human": { "IP-species-checked": "testedAndGuaranteed", "IP-species-dilution-info": "1/40", "IP-species-notes": "<p></p>", "WB-species-checked": "testedAndGuaranteed", "WB-species-dilution-info": "1/1000", "WB-species-notes": "<p></p>", "ICCIF-species-checked": "testedAndGuaranteed", "ICCIF-species-dilution-info": "1/500", "ICCIF-species-notes": "<p></p>", "FlowCytIntra-species-checked": "testedAndGuaranteed", "FlowCytIntra-species-dilution-info": "1/60", "FlowCytIntra-species-notes": "<p></p>", "IHCP-species-checked": "testedAndGuaranteed", "IHCP-species-dilution-info": "1/4000", "IHCP-species-notes": "<p></p>" }, "Mouse": { "IP-species-checked": "guaranteed", "IP-species-dilution-info": "", "IP-species-notes": "", "WB-species-checked": "testedAndGuaranteed", "WB-species-dilution-info": "1/1000", "WB-species-notes": "<p></p>", "ICCIF-species-checked": "testedAndGuaranteed", "ICCIF-species-dilution-info": "1/500", "ICCIF-species-notes": "<p></p>", "FlowCytIntra-species-checked": "testedAndGuaranteed", "FlowCytIntra-species-dilution-info": "1/60", "FlowCytIntra-species-notes": "<p></p>", "IHCP-species-checked": "testedAndGuaranteed", "IHCP-species-dilution-info": "1/4000", "IHCP-species-notes": "<p></p>" }, "Rat": { "IP-species-checked": "guaranteed", "IP-species-dilution-info": "", "IP-species-notes": "", "WB-species-checked": "testedAndGuaranteed", "WB-species-dilution-info": "1/1000", "WB-species-notes": "<p></p>", "ICCIF-species-checked": "guaranteed", "ICCIF-species-dilution-info": "", "ICCIF-species-notes": "", "FlowCytIntra-species-checked": "guaranteed", "FlowCytIntra-species-dilution-info": "", "FlowCytIntra-species-notes": "", "IHCP-species-checked": "testedAndGuaranteed", "IHCP-species-dilution-info": "1/4000", "IHCP-species-notes": "<p></p>" } } }

Product details

Patented technology
Our RabMAb® technology is a patented hybridoma-based technology for making rabbit monoclonal antibodies. For details on our patents, please refer to RabMAb® patents.

What are the advantages of a recombinant monoclonal antibody?
This product is a recombinant monoclonal antibody, which offers several advantages including:

  • - High batch-to-batch consistency and reproducibility
  • - Improved sensitivity and specificity
  • - Long-term security of supply
  • - Animal-free batch production

For more information, read more on recombinant antibodies.

Properties and storage information

Form
Liquid
Purification technique
Affinity purification Protein A
Storage buffer
pH: 7.2 - 7.4 Preservative: 0.01% Sodium azide Constituents: PBS, 40% Glycerol (glycerin, glycerine), 0.05% BSA
Shipped at conditions
Blue Ice
Appropriate short-term storage duration
1-2 weeks
Appropriate short-term storage conditions
+4°C
Appropriate long-term storage conditions
-20°C
Aliquoting information
Upon delivery aliquot
Storage information
Avoid freeze / thaw cycle

Supplementary information

This supplementary information is collated from multiple sources and compiled automatically.

RBX1 also known as RING-box protein 1 or ROC1 acts as an E3 ubiquitin ligase part of the ubiquitin-proteasome system. This protein facilitates the transfer of ubiquitin from E2 enzymes to target substrates marking them for degradation. The molecular weight of RBX1 is approximately 12 kDa. RBX1 is mainly expressed in various human tissues with significant expression in the heart brain and skeletal muscle. Its expression in these tissues suggests a wide involvement in cellular processes.
Biological function summary

RBX1 associates with the cullin-RING ubiquitin ligase (CRL) complex. It interacts with cullin proteins and other regulatory subunits to promote the polyubiquitination and subsequent degradation of target proteins. This regulatory activity influences many cellular processes including cell cycle progression DNA repair and signal transduction. By ensuring the degradation of proteins at the right time RBX1 maintains cellular homeostasis.

Pathways

RBX1 plays an important role in the control of protein stability through the ubiquitin-proteasome pathway. This pathway is important for regulating key cellular functions like the entrainment of the cell cycle and apoptosis. RBX1 also interacts with proteins like SKP1 and CUL1 as part of the SCF complex which targets specific proteins for degradation. By modulating these pathways RBX1 contributes to the overall regulation of cellular growth and stress responses.

RBX1's malfunctioning links to various types of cancer and neurodegenerative diseases. In cancer altered RBX1 activity can lead to the inappropriate degradation of tumor suppressor proteins promoting uncontrolled cell division. RBX1 is also implicated in neurodegenerative disorders where misregulation of protein degradation contributes to the accumulation of damaged proteins exacerbating disease progression. Additionally the interaction of RBX1 with proteins like p53 in cancer and tau proteins in Alzheimer's illustrates its potential role in disease pathogenesis.

Product protocols

For this product, it's our understanding that no specific protocols are required. You can visit:

Target data

E3 ubiquitin ligase component of multiple cullin-RING-based E3 ubiquitin-protein ligase (CRLs) complexes which mediate the ubiquitination and subsequent proteasomal degradation of target proteins, including proteins involved in cell cycle progression, signal transduction, transcription and transcription-coupled nucleotide excision repair (PubMed : 10230407, PubMed : 10579999, PubMed : 11961546, PubMed : 15983046, PubMed : 16678110, PubMed : 19112177, PubMed : 19679664, PubMed : 22748924, PubMed : 23455478, PubMed : 27565346, PubMed : 29769719, PubMed : 33417871, PubMed : 38326650). CRLs complexes and ARIH1 collaborate in tandem to mediate ubiquitination of target proteins, ARIH1 mediating addition of the first ubiquitin on CRLs targets (PubMed : 27565346). The functional specificity of the E3 ubiquitin-protein ligase complexes depends on the variable substrate recognition components. As a component of the CSA complex promotes the ubiquitination of ERCC6 resulting in proteasomal degradation. Core component of the Cul7-RING(FBXW8) ubiquitin ligase complex, which mediates the ubiquitination and subsequent proteasomal degradation of target proteins (PubMed : 35982156). Core component of a Cul9-RING ubiquitin ligase complex composed of CUL9 and RBX1, which mediates mono-ubiquitination of p53/TP53 (PubMed : 38605244). Recruits the E2 ubiquitin-conjugating enzyme CDC34 to the complex and brings it into close proximity to the substrate. Probably also stimulates CDC34 autoubiquitination. May be required for histone H3 and histone H4 ubiquitination in response to ultraviolet and for subsequent DNA repair. Promotes the neddylation of CUL1, CUL2, CUL4 and CUL4 via its interaction with UBE2M. Involved in the ubiquitination of KEAP1, ENC1 and KLHL41. In concert with ATF2 and CUL3, promotes degradation of KAT5 thereby attenuating its ability to acetylate and activate ATM. As part of a multisubunit complex composed of elongin BC complex (ELOB and ELOC), elongin A/ELOA, RBX1 and CUL5; polyubiquitinates monoubiquitinated POLR2A (PubMed : 19920177).
See full target information RBX1

Publications (4)

Recent publications for all applications. Explore the full list and refine your search

Journal of translational medicine 23:958 PubMed40855559

2025

Quercetin promotes angiogenesis and protects the blood-spinal cord barrier structure after spinal cord injury by targeting the PI3K/Akt signaling pathway.

Applications

Unspecified application

Species

Unspecified reactive species

Xinfang Liu,Xuhua Liu,Sidong Luo,Di Chen,Jinbo Lin,Man Xiong,Lei Yang,Kaifan Li,Dawei Sun,Lina Wei,Sheng Luo,Yeyang Wang

Communications biology 7:1530 PubMed39558086

2024

KDM2B regulates stroke injury by modulating OGT-mediated 0-GlcNAcylation of SLC7A11.

Applications

Unspecified application

Species

Unspecified reactive species

Yi Li,Liangbo Niu,Dai Zheng,Xinxing Zhang,Lu Feng,Jing Fu

Nature communications 14:6774 PubMed37891180

2023

N-terminal acetylation shields proteins from degradation and promotes age-dependent motility and longevity.

Applications

Unspecified application

Species

Unspecified reactive species

Sylvia Varland,Rui Duarte Silva,Ine Kjosås,Alexandra Faustino,Annelies Bogaert,Maximilian Billmann,Hadi Boukhatmi,Barbara Kellen,Michael Costanzo,Adrian Drazic,Camilla Osberg,Katherine Chan,Xiang Zhang,Amy Hin Yan Tong,Simonetta Andreazza,Juliette J Lee,Lyudmila Nedyalkova,Matej Ušaj,Alexander J Whitworth,Brenda J Andrews,Jason Moffat,Chad L Myers,Kris Gevaert,Charles Boone,Rui Gonçalo Martinho,Thomas Arnesen

Cell & bioscience 13:36 PubMed36810109

2023

RBX1 regulates PKM alternative splicing to facilitate anaplastic thyroid carcinoma metastasis and aerobic glycolysis by destroying the SMAR1/HDAC6 complex.

Applications

Unspecified application

Species

Unspecified reactive species

Debin Xu,Jichun Yu,Yuting Yang,Yunyan Du,Hongcheng Lu,Shouhua Zhang,Qian Feng,Yi Yu,Liang Hao,Jun Shao,Leifeng Chen
View all publications

Product promise

We are committed to supporting your work with high-quality reagents, and we're here for you every step of the way. In the unlikely event that one of our products does not perform as expected, you're protected by our Product Promise.
For full details, please see our Terms & Conditions

Please note: All products are 'FOR RESEARCH USE ONLY. NOT FOR USE IN DIAGNOSTIC OR THERAPEUTIC PROCEDURES'.

For licensing inquiries, please contact partnerships@abcam.com