JavaScript is disabled in your browser. Please enable JavaScript to view this website.
AB133565

Anti-RBX1 antibody [EPR6850(B)]

4

(1 Review)

|

(20 Publications)

Rabbit Recombinant Monoclonal RBX1 antibody. Suitable for IHC-P, IP, WB, ICC/IF, Flow Cyt (Intra) and reacts with Human, Mouse, Rat samples. Cited in 20 publications.

View Alternative Names

RNF75, ROC1, RBX1, E3 ubiquitin-protein ligase RBX1, E3 ubiquitin-protein transferase RBX1, Protein ZYP, RING finger protein 75, RING-box protein 1, Regulator of cullins 1, Rbx1

7 Images
Immunocytochemistry/ Immunofluorescence - Anti-RBX1 antibody [EPR6850(B)] (AB133565)
  • ICC/IF

Supplier Data

Immunocytochemistry/ Immunofluorescence - Anti-RBX1 antibody [EPR6850(B)] (AB133565)

Immunocytochemistry analysis of HeLa (Human cervix adenocarcinoma epithelial cell) cells labeling RBX1 with Purified ab133565 at 1 : 50 dilution (3.9 µg/ml). Cells were fixed in 4% Paraformaldehyde and permeabilized with 0.1% tritonX-100. Cells were counterstained with ab195889 Anti-alpha Tubulin antibody [DM1A] - Microtubule Marker (Alexa Fluor® 594) 1 : 200 (2.5 µg/ml). Goat anti rabbit IgG (Alexa Fluor® 488, ab150077) was used as the secondary antibody at 1 : 1000 (2 µg/ml) dilution. DAPI (blue) was used as nuclear counterstain. PBS instead of the primary antibody was used as the secondary antibody only control.

Flow Cytometry (Intracellular) - Anti-RBX1 antibody [EPR6850(B)] (AB133565)
  • Flow Cyt (Intra)

Supplier Data

Flow Cytometry (Intracellular) - Anti-RBX1 antibody [EPR6850(B)] (AB133565)

Flow Cytometry analysis of Jurkat (Human T cell leukemia T lymphocyte) cells labelling RBX1 with Purified ab133565 at 1 : 20 dilution (10 µg/ml) (Red). Cells were fixed with 4% Paraformaldehyde and permeabilised with 90% Methanol. A Goat anti rabbit IgG (Alexa Fluor® 488, ab150077) secondary antibody was used at 1 : 2000. Isotype control - Rabbit monoclonal IgG (Black). Unlabelled control - Cell without incubation with primary antibody and secondary antibody (Blue).

Immunohistochemistry (Formalin/PFA-fixed paraffin-embedded sections) - Anti-RBX1 antibody [EPR6850(B)] (AB133565)
  • IHC-P

Supplier Data

Immunohistochemistry (Formalin/PFA-fixed paraffin-embedded sections) - Anti-RBX1 antibody [EPR6850(B)] (AB133565)

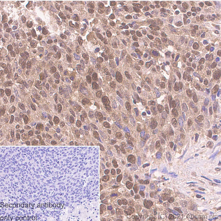
Immunohistochemistry (Formalin/PFA-fixed paraffin-embedded sections) analysis of human lung carcinoma tissue sections labeling RBX1 with Purified ab133565 at 1 : 2000 dilution (0.099 µg/mL). Heat mediated antigen retrieval was performed using Heat mediated antigen retrieval using Bond™ Epitope Retrieval Solution 2 (pH 9.0) . Tissue was counterstained with Hematoxylin. Rabbit specific IHC polymer detection kit HRP/DAB (ab209101) secondary antibody was used. PBS instead of the primary antibody was used as the negative control.

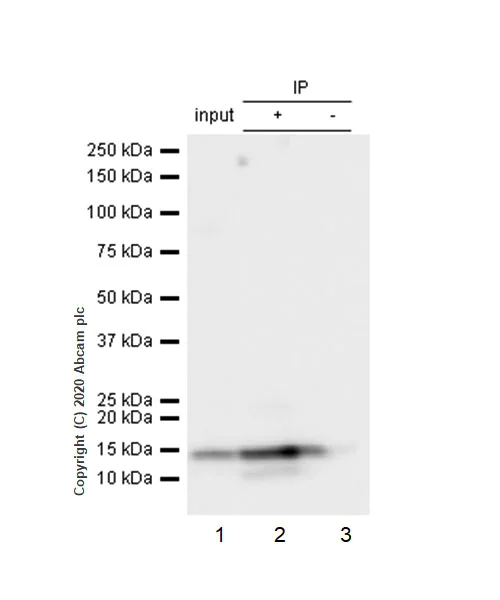
Immunoprecipitation - Anti-RBX1 antibody [EPR6850(B)] (AB133565)
  • IP

Supplier Data

Immunoprecipitation - Anti-RBX1 antibody [EPR6850(B)] (AB133565)

Purified ab133565 at 1 : 20 dilution (1μg) immunoprecipitating RBX1 in Jurkat whole cell lysate.

Lane 1 (input) : Jurkat (Human T cell leukemia T lymphocyte) whole cell lysate 10μg.
Lane 2 (+) : ab133565 + Jurkat whole cell lysate.
Lane 3 (-) : Rabbit monoclonal IgG (ab172730) instead of ab133565 in Jurkat whole cell lysate.

VeriBlot for IP Detection Reagent (HRP)(ab131366) (1 : 1000 dilution) was used for Western blotting.

Blocking Buffer and concentration : 5% NFDM/TBST.
Diluting buffer and concentration : 5% NFDM/TBST.
Observed band size : 13 kDa

All lanes:

Immunoprecipitation - Anti-RBX1 antibody [EPR6850(B)] (ab133565)

Predicted band size: 12 kDa

false

Immunohistochemistry (Formalin/PFA-fixed paraffin-embedded sections) - Anti-RBX1 antibody [EPR6850(B)] (AB133565)
  • IHC-P

Supplier Data

Immunohistochemistry (Formalin/PFA-fixed paraffin-embedded sections) - Anti-RBX1 antibody [EPR6850(B)] (AB133565)

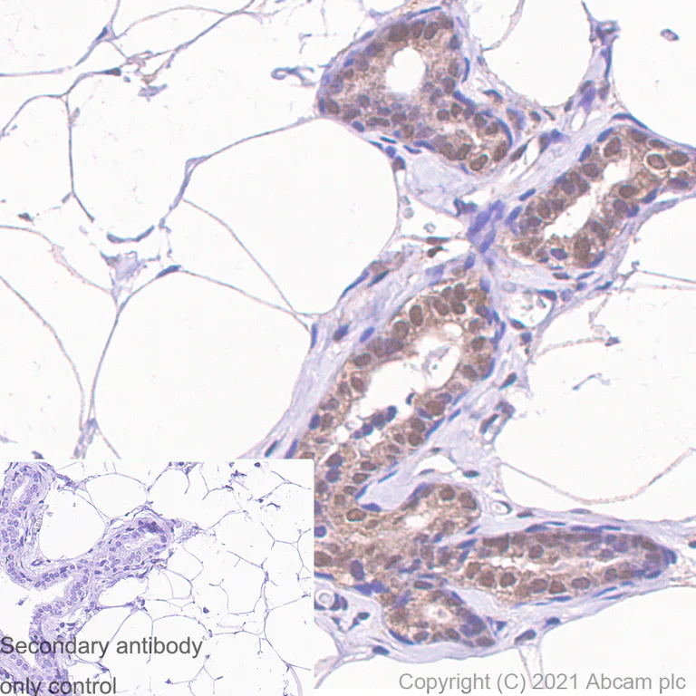
Immunohistochemistry (Formalin/PFA-fixed paraffin-embedded sections) analysis of rat breast tissue sections labeling RBX1 with Purified ab133565 at 1 : 2000 dilution (0.099 µg/mL). Heat mediated antigen retrieval was performed using Heat mediated antigen retrieval using Bond™ Epitope Retrieval Solution 2 (pH 9.0) . Tissue was counterstained with Hematoxylin. Rabbit specific IHC polymer detection kit HRP/DAB (ab209101) secondary antibody was used. PBS instead of the primary antibody was used as the negative control.

Immunohistochemistry (Formalin/PFA-fixed paraffin-embedded sections) - Anti-RBX1 antibody [EPR6850(B)] (AB133565)
  • IHC-P

Supplier Data

Immunohistochemistry (Formalin/PFA-fixed paraffin-embedded sections) - Anti-RBX1 antibody [EPR6850(B)] (AB133565)

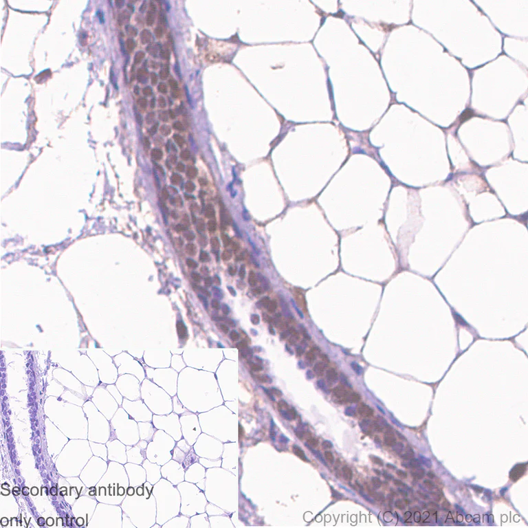
Immunohistochemistry (Formalin/PFA-fixed paraffin-embedded sections) analysis of mouse breast tissue sections labeling RBX1 with Purified ab133565 at 1 : 2000 dilution (0.099 µg/mL). Heat mediated antigen retrieval was performed using Heat mediated antigen retrieval using Bond™ Epitope Retrieval Solution 2 (pH 9.0) . Tissue was counterstained with Hematoxylin. Rabbit specific IHC polymer detection kit HRP/DAB (ab209101) secondary antibody was used. PBS instead of the primary antibody was used as the negative control.

Western blot - Anti-RBX1 antibody [EPR6850(B)] (AB133565)
  • WB

Lab

Western blot - Anti-RBX1 antibody [EPR6850(B)] (AB133565)

Blocking and dilution buffer : 5% NFDM/TBST.

Image produced using the purified version.

All lanes:

Western blot - Anti-RBX1 antibody [EPR6850(B)] (ab133565) at 1/5000 dilution

Lane 1:

Jurkat (Human T cell leukemia T lymphocyte) whole cell lysate at 15 µg

Lane 2:

Mouse heart lysate at 15 µg

Lane 3:

Rat heart lysate at 15 µg

Secondary

All lanes:

Western blot - Goat Anti-Rabbit IgG H&L (HRP) (<a href='/en-us/products/secondary-antibodies/goat-rabbit-igg-h-l-hrp-ab97051'>ab97051</a>) at 1/20000 dilution

Predicted band size: 12 kDa

Observed band size: 13 kDa

false

  • Carrier free

    Anti-RBX1 antibody [EPR6850(B)] - BSA and Azide free

  • 578 PE

    PE Anti-RBX1 antibody [EPR6850(B)]

  • 660 APC

    APC Anti-RBX1 antibody [EPR6850(B)]

  • HRP

    HRP Anti-RBX1 antibody [EPR6850(B)]

  • 617 Alexa Fluor® 594

    Alexa Fluor® 594 Anti-RBX1 antibody [EPR6850(B)]

  • 519 Alexa Fluor® 488

    Alexa Fluor® 488 Anti-RBX1 antibody [EPR6850(B)]

  • 665 Alexa Fluor® 647

    Alexa Fluor® 647 Anti-RBX1 antibody [EPR6850(B)]

  • 565 Alexa Fluor® 555

    Alexa Fluor® 555 Anti-RBX1 antibody [EPR6850(B)]

  • 603 Alexa Fluor® 568

    Alexa Fluor® 568 Anti-RBX1 antibody [EPR6850(B)]

  • 775 Alexa Fluor® 750

    Alexa Fluor® 750 Anti-RBX1 antibody [EPR6850(B)]

Key facts

Host species

Rabbit

Clonality

Monoclonal

Clone number

EPR6850(B)

Isotype

IgG

Carrier free

No

Reacts with

Human, Mouse, Rat

Applications

ICC/IF, IHC-P, IP, WB, Flow Cyt (Intra)

applications

Immunogen

The exact immunogen used to generate this antibody is proprietary information.

Reactivity data

{ "title": "Reactivity Data", "filters": { "stats": ["", "Species", "Dilution Info", "Notes"], "tabs": { "all-applications": {"fullname" : "All Applications", "shortname": "All Applications"}, "IHCP" : {"fullname" : "Immunohistochemistry (Formalin/PFA-fixed paraffin-embedded sections)", "shortname":"IHC-P"}, "IP" : {"fullname" : "Immunoprecipitation", "shortname":"IP"}, "WB" : {"fullname" : "Western blot", "shortname":"WB"}, "ICCIF" : {"fullname" : "Immunocytochemistry/ Immunofluorescence", "shortname":"ICC/IF"}, "FlowCytIntra" : {"fullname" : "Flow Cytometry (Intracellular)", "shortname":"Flow Cyt (Intra)"} }, "product-promise": { "all": "all", "testedAndGuaranteed": "tested", "guaranteed": "expected", "predicted": "predicted", "notRecommended": "not-recommended" } }, "values": { "Human": { "IHCP-species-checked": "testedAndGuaranteed", "IHCP-species-dilution-info": "1/2000", "IHCP-species-notes": "<p>For unpurified format use 1/100 to 1/250 dilution</p> Perform heat-mediated antigen retrieval with citrate buffer pH 6 before commencing with IHC staining protocol.", "IP-species-checked": "testedAndGuaranteed", "IP-species-dilution-info": "1/10 - 1/100", "IP-species-notes": "<p></p>", "WB-species-checked": "testedAndGuaranteed", "WB-species-dilution-info": "1/5000", "WB-species-notes": "<p>For unpurified format use 1/1000 to 1/10000 dilution</p>", "ICCIF-species-checked": "guaranteed", "ICCIF-species-dilution-info": "1/50", "ICCIF-species-notes": "<p></p>", "FlowCytIntra-species-checked": "testedAndGuaranteed", "FlowCytIntra-species-dilution-info": "1/20", "FlowCytIntra-species-notes": "<p><a href='/en-us/products/primary-antibodies/rabbit-igg-monoclonal-epr25a-isotype-control-ab172730'>ab172730</a> - Rabbit monoclonal IgG, is suitable for use as an isotype control with this antibody.</p><p>For unpurified format use at 1/100 to 1/1000 dilution.</p>" }, "Mouse": { "IHCP-species-checked": "predicted", "IHCP-species-dilution-info": "", "IHCP-species-notes": "", "IP-species-checked": "predicted", "IP-species-dilution-info": "", "IP-species-notes": "", "WB-species-checked": "predicted", "WB-species-dilution-info": "", "WB-species-notes": "", "ICCIF-species-checked": "guaranteed", "ICCIF-species-dilution-info": "1/50", "ICCIF-species-notes": "<p></p>", "FlowCytIntra-species-checked": "predicted", "FlowCytIntra-species-dilution-info": "", "FlowCytIntra-species-notes": "" }, "Rat": { "IHCP-species-checked": "predicted", "IHCP-species-dilution-info": "", "IHCP-species-notes": "", "IP-species-checked": "predicted", "IP-species-dilution-info": "", "IP-species-notes": "", "WB-species-checked": "predicted", "WB-species-dilution-info": "", "WB-species-notes": "", "ICCIF-species-checked": "guaranteed", "ICCIF-species-dilution-info": "1/50", "ICCIF-species-notes": "<p></p>", "FlowCytIntra-species-checked": "predicted", "FlowCytIntra-species-dilution-info": "", "FlowCytIntra-species-notes": "" } } }

Product details

Patented technology
Our RabMAb® technology is a patented hybridoma-based technology for making rabbit monoclonal antibodies. For details on our patents, please refer to RabMAb® patents.

What are the advantages of a recombinant monoclonal antibody?
This product is a recombinant monoclonal antibody, which offers several advantages including:

  • - High batch-to-batch consistency and reproducibility
  • - Improved sensitivity and specificity
  • - Long-term security of supply
  • - Animal-free batch production

For more information, read more on recombinant antibodies.

Properties and storage information

Form
Liquid
Purification technique
Affinity purification Protein A
Storage buffer
pH: 7.2 - 7.4 Preservative: 0.01% Sodium azide Constituents: PBS, 40% Glycerol (glycerin, glycerine), 0.05% BSA
Shipped at conditions
Blue Ice
Appropriate short-term storage conditions
+4°C
Appropriate long-term storage conditions
-20°C
Storage information
Stable for 12 months at -20°C

Supplementary information

This supplementary information is collated from multiple sources and compiled automatically.

RBX1 also known as RING-box protein 1 or ROC1 acts as an E3 ubiquitin ligase part of the ubiquitin-proteasome system. This protein facilitates the transfer of ubiquitin from E2 enzymes to target substrates marking them for degradation. The molecular weight of RBX1 is approximately 12 kDa. RBX1 is mainly expressed in various human tissues with significant expression in the heart brain and skeletal muscle. Its expression in these tissues suggests a wide involvement in cellular processes.
Biological function summary

RBX1 associates with the cullin-RING ubiquitin ligase (CRL) complex. It interacts with cullin proteins and other regulatory subunits to promote the polyubiquitination and subsequent degradation of target proteins. This regulatory activity influences many cellular processes including cell cycle progression DNA repair and signal transduction. By ensuring the degradation of proteins at the right time RBX1 maintains cellular homeostasis.

Pathways

RBX1 plays an important role in the control of protein stability through the ubiquitin-proteasome pathway. This pathway is important for regulating key cellular functions like the entrainment of the cell cycle and apoptosis. RBX1 also interacts with proteins like SKP1 and CUL1 as part of the SCF complex which targets specific proteins for degradation. By modulating these pathways RBX1 contributes to the overall regulation of cellular growth and stress responses.

RBX1's malfunctioning links to various types of cancer and neurodegenerative diseases. In cancer altered RBX1 activity can lead to the inappropriate degradation of tumor suppressor proteins promoting uncontrolled cell division. RBX1 is also implicated in neurodegenerative disorders where misregulation of protein degradation contributes to the accumulation of damaged proteins exacerbating disease progression. Additionally the interaction of RBX1 with proteins like p53 in cancer and tau proteins in Alzheimer's illustrates its potential role in disease pathogenesis.

Product protocols

For this product, it's our understanding that no specific protocols are required. You can visit:

Target data

E3 ubiquitin ligase component of multiple cullin-RING-based E3 ubiquitin-protein ligase (CRLs) complexes which mediate the ubiquitination and subsequent proteasomal degradation of target proteins, including proteins involved in cell cycle progression, signal transduction, transcription and transcription-coupled nucleotide excision repair (PubMed : 10230407, PubMed : 10579999, PubMed : 11961546, PubMed : 15983046, PubMed : 16678110, PubMed : 19112177, PubMed : 19679664, PubMed : 22748924, PubMed : 23455478, PubMed : 27565346, PubMed : 29769719, PubMed : 32355176, PubMed : 33417871, PubMed : 37844242, PubMed : 38326650, PubMed : 39504960, PubMed : 39667934, PubMed : 38316879). CRLs complexes and ARIH1 collaborate in tandem to mediate ubiquitination of target proteins, ARIH1 mediating addition of the first ubiquitin on CRLs targets (PubMed : 27565346). The functional specificity of the E3 ubiquitin-protein ligase complexes depends on the variable substrate recognition components. As a component of the CSA complex mediates ubiquitination of Pol II subunit POLR2A at 'Lys-1268', a critical TC-NER checkpoint (PubMed : 32355176, PubMed : 34526721). Core component of the Cul7-RING(FBXW8) ubiquitin ligase complex, which mediates the ubiquitination and subsequent proteasomal degradation of target proteins (PubMed : 35982156). Core component of a Cul9-RING ubiquitin ligase complex composed of CUL9 and RBX1, which mediates mono-ubiquitination of p53/TP53 (PubMed : 38605244). Recruits the E2 ubiquitin-conjugating enzyme CDC34 to the complex and brings it into close proximity to the substrate. Probably also stimulates CDC34 autoubiquitination. May be required for histone H3 and histone H4 ubiquitination in response to ultraviolet and for subsequent DNA repair. Promotes the neddylation of CUL1, CUL2, CUL4 and CUL4 via its interaction with UBE2M. Involved in the ubiquitination of KEAP1, ENC1 and KLHL41. In concert with ATF2 and CUL3, promotes degradation of KAT5 thereby attenuating its ability to acetylate and activate ATM. As part of a multisubunit complex composed of elongin BC complex (ELOB and ELOC), elongin A/ELOA, RBX1 and CUL5; polyubiquitinates monoubiquitinated POLR2A (PubMed : 19920177).
See full target information RBX1

Publications (20)

Recent publications for all applications. Explore the full list and refine your search

Neoplasia (New York, N.Y.) 66:101175 PubMed40367710

2025

SCF targets Ajuba for degradation in a GSK3β-dependent manner in colorectal cancer.

Applications

Unspecified application

Species

Unspecified reactive species

Liangshan Li,Feng Zhu,Yupei Liang,Yuanyuan Chen,Yongfu Pan,Lijun Jia,Shiwen Wang,Hu Zhao

Infection and immunity 93:e0055924 PubMed39976440

2025

alters the intranuclear balance of cullin-1 and c-MYC to inhibit apoptosis.

Applications

Unspecified application

Species

Unspecified reactive species

Paige E Allen,Haley E Adcox,Thomas E Siff,Sarika Gupta,Jason R Hunt,Jason A Carlyon

Nature communications 15:10536 PubMed39627198

2024

CRL3 E3 ligase facilitates ubiquitin-mediated degradation of oncogenic SRX to suppress colorectal cancer progression.

Applications

Unspecified application

Species

Unspecified reactive species

Feng Zhu,Liangshan Li,Yuanyuan Chen,Yongfu Pan,Wenjuan Zhang,Lihui Li,Lili Cai,Xiaoxue Zhao,Hu Zhao,Shiwen Wang,Lijun Jia

Nature communications 14:7908 PubMed38036533

2023

Discovery of a Drug-like, Natural Product-Inspired DCAF11 Ligand Chemotype.

Applications

Unspecified application

Species

Unspecified reactive species

Gang Xue,Jianing Xie,Matthias Hinterndorfer,Marko Cigler,Lara Dötsch,Hana Imrichova,Philipp Lampe,Xiufen Cheng,Soheila Rezaei Adariani,Georg E Winter,Herbert Waldmann

Bioscience reports 42: PubMed35880551

2022

Inhibition of NEDD8 NEDDylation induced apoptosis in acute myeloid leukemia cells via p53 signaling pathway.

Applications

Unspecified application

Species

Unspecified reactive species

Yanli Chen,Ling Sun

Brain sciences 12: PubMed35884735

2022

Identification and Validation of Novel Potential Pathogenesis and Biomarkers to Predict the Neurological Outcome after Cardiac Arrest.

Applications

Unspecified application

Species

Unspecified reactive species

Qiang Zhang,Chenyu Zhang,Cong Liu,Haohong Zhan,Bo Li,Yuanzhen Lu,Hongyan Wei,Jingge Cheng,Shuhao Li,Chuyue Wang,Chunlin Hu,Xiaoxing Liao

Infection and immunity 90:e0062821 PubMed35435726

2022

Functional Characterization of Non-Ankyrin Repeat Domains of Orientia tsutsugamushi Ank Effectors Reveals Their Importance for Molecular Pathogenesis.

Applications

Unspecified application

Species

Unspecified reactive species

Sarika Gupta,Jason R Hunt,Haley E Adcox,Shelby E Andersen,Jacob J Gumpf,Ryan S Green,Andrea R Beyer,Sean M Evans,Lauren VieBrock,Curtis B Read,Mary M Weber,Jason A Carlyon

Nucleic acids research 49:10911-10930 PubMed34581821

2021

Cockayne syndrome group A and ferrochelatase finely tune ribosomal gene transcription and its response to UV irradiation.

Applications

Unspecified application

Species

Unspecified reactive species

Manuela Lanzafame,Giulia Branca,Claudia Landi,Mingyue Qiang,Bruno Vaz,Tiziana Nardo,Debora Ferri,Manuela Mura,Sebastian Iben,Miria Stefanini,Fiorenzo A Peverali,Luca Bini,Donata Orioli

mBio 12:e0181621 PubMed34340535

2021

Nucleomodulin Ank13 Exploits the RaDAR Nuclear Import Pathway To Modulate Host Cell Transcription.

Applications

Unspecified application

Species

Unspecified reactive species

Haley E Adcox,Amanda L Hatke,Shelby E Andersen,Sarika Gupta,Nathan B Otto,Mary M Weber,Richard T Marconi,Jason A Carlyon

FASEB journal : official publication of the Federation of American Societies for Experimental Biology 35:e21800 PubMed34324733

2021

Cullin 2-RBX1 E3 ligase and USP2 regulate antithrombin ubiquitination and stability.

Applications

Unspecified application

Species

Unspecified reactive species

Dacai Xu,Jiawen Wu,Jinghong Chen,Liling Jiang,Juan Chen,Wenhao Bao,Xin Chen,Qianqian Yang,Xiaolan Zhang,Leyi Yao,Huabo Su,Jinbao Liu
View all publications

Product promise

We are committed to supporting your work with high-quality reagents, and we're here for you every step of the way. In the unlikely event that one of our products does not perform as expected, you're protected by our Product Promise.
For full details, please see our Terms & Conditions

Please note: All products are 'FOR RESEARCH USE ONLY. NOT FOR USE IN DIAGNOSTIC OR THERAPEUTIC PROCEDURES'.

For licensing inquiries, please contact partnerships@abcam.com